- Proceeding Paper
Programmation Optimale des Stimulateurs Multisites et Suivi des Patients Après Thérapie de Resynchronisation Cardiaque
- Grégoire Girod,
- Andreï Forclaz and
- Xavier Lyon
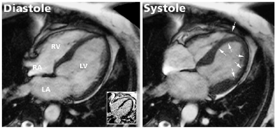
While substantial progress has been made over the past decade in the medical treatment of heart failure, certain patients fail to respond to optimal treatment despite the availability of excellent drugs. Cardiac resynchronisation therapy, or multisit...

