Effects of Pristane on Cytochrome P450 Isozyme Expression in Rat Tissues
Abstract
:Introduction
Materials and Methods
Chemicals and Reagents
Treatment of Animals
Preparation of Microsomes
Western Blot Analyses
Immunoquantification
Results
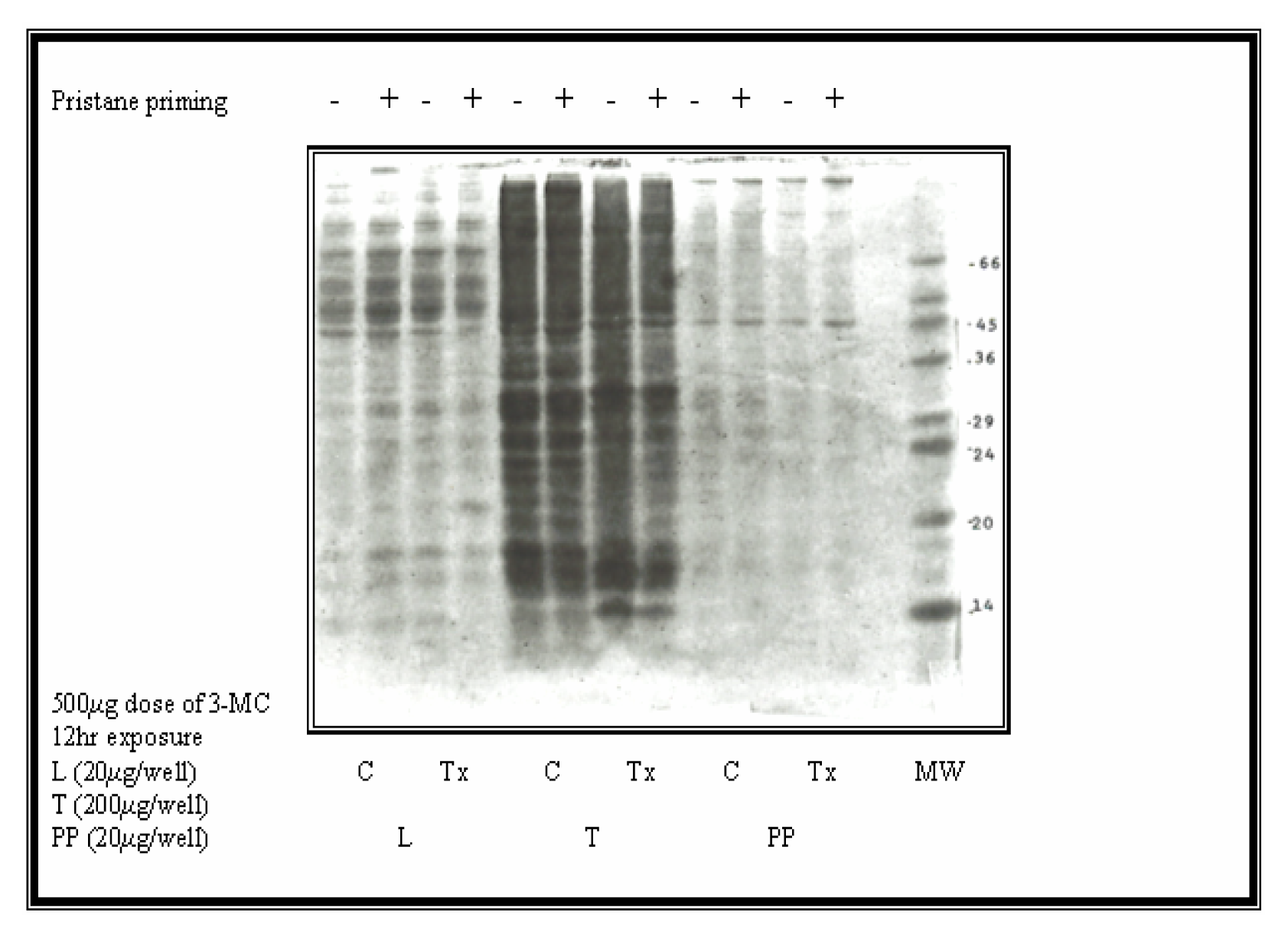
Western Blot Analyses of LIV, PP and THY Tissues following Various Treatment Protocols
Densitometric Scans of Bands on Immunoblots Derived from Western Analyses
Discussion








| − | + | ++ | − | + | − | + | − | + | Pristane | ||
|---|---|---|---|---|---|---|---|---|---|---|---|
| 3 | 3 | 12 | 12 | 24 | 24 | Time (3-MC) | |||||
| BASAL | 1A1 | ND | ND | ND | |||||||
| M VH | 1A1 | 24022 | 17658 | 20046 | |||||||
| BASAL | 1A2 | 798 | 1326 | 1135 | |||||||
| M VH | 1A2 | 33265 | 26063 | 31292 | |||||||
| 0.05μg | 1A2 | 2515 | 2063 | 1099 | 1292 | 2398 | 1525 | ||||
| 5μg | 1A2 | 2869 | 1911 | 1769 | 1283 | 2332 | 2307 | ||||
| 500μg | 1A2 | 2482 | 2646 | 30029 | 18298 | 27287 | 21040 | ||||
| BASAL | 2B | 14922 | 24407 | 22943 | |||||||
| M VH | 2B | 13309 | 4571 | 8940 | |||||||
| 0.05μg | 2B | 22689 | 25500 | 17024 | 17941 | 38077 | 23899 | ||||
| 5μg | 2B | 22427 | 15568 | 24699 | 20708 | 39891 | 29559 | ||||
| 500μg | 2B | 26912 | 17184 | 17011 | 3557 | 10080 | 10800 | ||||
| PB VH | 2B | 35265 | 27688 | 28646 | |||||||
Acknowledgments
References
- Felix, K.; Potter, M.; Bornkamm, G. W.; Janz, S. In vitro mutagenicity of the plasmacytomagenic agent pristane (2, 6, 10, 14-tetramethylpentadecane). Cancer Lett 1997, 113(1–2), 71–76. [Google Scholar]
- Felix, K.; Gerstmeier, S.; Kelliher, K. A.; Bornkamm, G. W.; Janz, S. Elevated mutant frequencies in lymphoid tissues persist throughout plasmacytoma development in BALB/c.lambdaLIZ mice. Cancer Res 1999, 59(15), 3621–3626. [Google Scholar]
- Potter, M.; Jones, G.; Dubois, W.; Williams, K.; Mushinski, E. Myeloma proteins that bind Hsp65 (GroEL) are polyreactive and are found in high incidence in pristine induced plasmacytomas. Curr. Top. Microbiol. Immunol 2000, 252, 265–271. [Google Scholar]
- Felix, K.; Gerstmeier, S.; Kyriakopoulos, A.; Howard, O. M.; Dong, H. F.; Eckhaus, M.; Behne, D.; Bornkamm, G. W.; Janz, S. Selenium deficiency abrogates inflammation-dependent plasma cell tumors in mice. Cancer Res 2004, 64(8), 2910–2917. [Google Scholar]
- Potter, M.; Wax, J. S.; Hansen, C. T.; Kenny, J. J. BALB/c.CBA/N mice carrying the defective Btkxid gene are resistant to pristine-induced plasmacytomagenesis. Internat. Immunol 1999, 11(7), 1059–1064. [Google Scholar]
- Gado, K.; Silva, S.; Paloczi, K.; Domjan, G.; Falus, A. Mouse plasmacytoma: an experimental model of human multiple myeloma. Haematologica 2001, 86(3), 227–236. [Google Scholar]
- Harper, C. M.; Soni, M. G.; Mehendale, H. M.; Cuchens, M. A. Pristane-induced effects on cytochrome P-4501A, ornithine decarboxylase and putrescine in rats. Cancer Lett 1995, 95(1–2), 11–21. [Google Scholar]
- Garrett, L. R.; Cuchens, M. A. Pristane induced effects on chromatin of rat lymphoid cells. J. Cell. Biochem 1991, 45, 311–316. [Google Scholar]
- Garrett, L. R.; Randall, C. C.; Cuchens, M. A. Thymic tumors induced by 3-methylcholanthrene treatment of rat Peyer’s patches. Exp. Mol. Pathol 1991, 54, 47–60. [Google Scholar]
- Garrett, L. R.; Jones, C. J.; Cuchens, M. A. Pristane induced gene activation. Chem-Biol Interact 1981, 119–130. [Google Scholar]
- Banbura, M.; Ackland-Berglund, C.; Lee, S.; Hamernik, D.; Jones, C. Analysis of transcriptional activation of a cyclic AMP response element by 2, 6, 10, 14-tetramethylpentadecane (pristane) in JB6 mouse epidermal cells. Mol. Carcino 1994, 11, 204–214. [Google Scholar]
- Garrett, L. R.; Ackland-Berglund, C. E.; Jones, C. J.; Cuchens, M. A. Differential effects of TPA and pristane on gene expression and transformation in mouse epidermal cells. Exp. Cell. Res 1993, 205, 416–421. [Google Scholar]
- Lee, S. H.; Ackland-Berglund, C. E.; Jones, C. J. The tumor promoter pristane activates transcription by a cAMP dependent mechanism. Mol. Cell Biochem 1992, 110, 75–81. [Google Scholar]
- Castagna, M. Phorbol esters as signal transducers and tumor promoters. Biol. Cell 1987, 59, 3–14. [Google Scholar]
- Roesch, S. F.; Wiebel, F. J. Differential effects of 12-O-tetradecanolyphorbol 13-acetate on cytochrome P-450I and suppression of P-450II. Toxicol 1990, 61, 147–159. [Google Scholar]
- Bost, K. L.; Cuchens, M. The role of Peyer’s patches in carcinogenesis. I. The adsorption from the gut and retention of 3-methylcholanthrene by Peyer’s patches. Carcinogeno 1986, 7, 1251–1256. [Google Scholar]
- Malins, D. C.; Anderson, K. M.; Gilman, N. K.; Green, V. M.; Barker, E. A.; Hellstrom, K. E. Development of a cancer DNA phenotype prior to tumor formation. Proc. Natl. Acad. Sci. U SA 2004, 101(29), 10721–10725. [Google Scholar]
- Fujii-Kuriyama, Y.; Imataka, H.; Sogawa, K.; Yasumoto, K.; Kikuchi, Y. Regulation of CYP1A1 expression. FASEB J 1992, 6, 706–710. [Google Scholar]
- Sesardic, D.; Cole, K. J.; Edwards, R. J.; Davies, D. S.; Thomas, P. E.; Levin, W.; Boobis, A. R. The inducibility and catalytic activity of cytochromes P450s (P450IA1) and P450d (P450IA2) in rat tissues. Biochem. Pharmacol 1990, 39, 499–506. [Google Scholar]
- Zacharova, L.Y.; Gulyaeva, L. F.; Lyakhovich, V. V.; Mikhailova, O. N.; Timofeeva, O. A.; Filipenko, M. L.; Kaledin, V. I. Cytochrome P4501A1 and 1A2 gene expression in the liver of 3-methylcholanthrene- and o-aminoazotoluene-treated mice: a comparison between PAH-responsive and PAH-nonresponsive strains. Toxicol. Sci 2003, 73(1), 108–113. [Google Scholar]
- Wang, J. S.; Backman, J. T.; Taavitsainen, P.; Neuvonen, P. J.; Kivisto, K. T. Involvement of CYP1A2 and CYP3A4 in lidocaine N-deethylation and 3-hydroxylation in humans. Drug Metab. Dispos 2000, 28(8), 959–965. [Google Scholar]
- Yamazaki, H.; Inoue, K.; Shaw, P. M.; Checovich, W. J.; Guengerich, F. P.; Shamada, T. Different contributions of cytochrome P450 2C19 and 3A4 in the oxidation of omeprazole by human liver microsomes: effects of contents of these two forms in individual human samples. J. Pharmacol. Exp. Ther 1997, 283(2), 434–442. [Google Scholar]
- Yoo, J. S.; Smith, T. J.; Ning, S. M. Modulation of the levels of cytochromes P450 in rat liver and lung by dietary lipid. Biochem. Pharmaco 1992, 43, 2535–2542. [Google Scholar]
- Miller, M. S.; Jones, A. B.; Chauhan, D. P.; Park, S. S.; Anderson, L. M. Induction of cytochrome P-450IA1 in fetal rat liver by a single dose of 3-methylcholanthrene. Biochem. Biophys. Res. Comm 1991, 176, 280–287. [Google Scholar]
- Peng, J. Z.; Remmel, R. P.; Sawchuk, R. J. Inhibition of murine cytochrome P4501A by tacrine: in vitro studies. Drug Metab. Dispos 2004, 32(8), 805–812. [Google Scholar]
- Shimada, T.; Sugie, A.; Yamada, T.; Kawazoe, H.; Hashimoto, M.; Azuma, E.; Nakajima, T.; Inoue, K.; Oda, Y. Dose-response studies on the induction of liver cytochromes P4501A1 and 1B1 by polycyclic aromatic hydrocarbons in arylhydrocarbon-responsive C57BL/6J mice. Xenobiotica 2003, 33(9), 957–971. [Google Scholar]
- Perloff, M. D.; von Moltke, L. L.; Greenblatt, D. J. Ritonavir and dexamethasone induce expression of CYP3A and P-glycoprotein in rats. Xenobiotica 2004, 34(2), 133–150. [Google Scholar]
- Robottom-Ferreira, A. B.; Aquino, S. R.; Queiroga, R.; Albano, R. M.; Ribeiro Pinto, L. F. Expression of CYP2A3 mRNA and its regulation by 3-methylcholanthrene, pyrazole, and B-ionone in rat tissues. Braz. J. Med. Biol. Res 2003, 36(7), 839–844. [Google Scholar]
- Yang, C. S.; Patten, C. J.; Ishizaki, H.; Yoo, J. S. H. Induction, purification and characterization of cytochrome P450 IIE. Methods in Enzymol 1990, 206, 595–601. [Google Scholar]
- Sueyoshi, T.; Negishi, M. Phenobarbital response of cytochrome P450 genes and nuclear receptors. Annual Rev. of Pharmacol. and Toxicol 2001, 41, 123–143. [Google Scholar]
- Thomas, P. E.; Reik, L. M.; Ryan, D. E.; Levin, W. Characterization of nine monoclonal antibodies against rat hepatic cytochrome P450c. Delineation of at least five spatially distinct epitopes. J. Biol. Chem 1994, 259, 3890–3899. [Google Scholar]
- Reik, L. M.; Maines, S. L.; Ryan, D. E.; Levin, W.; Bandiera, S. B.; Thomas, P. E. A simple, non-chromatographic purification procedure for monoclonal antibodies. Isolation of monoclonal antibodies against cytochrome P450 isozymes. J. Immunol. Methods 1987, 100, 123–130. [Google Scholar]
- Dunning, W. F.; Curtis, M. R. The respective roles of longevity and genetic specificity in the occurrence of spontaneous tumors in hybrids between two inbred lines of rats. Cancer Res 1946, 6, 61–68. [Google Scholar]
- Howard, C. B.; Stevens, J.; Izevbigie, E. B.; Walker, A.; McDaniel, O. Time and dose-dependent modulation of phase 1 and phase 2 gene expression in response to treatment of MCF-7 cells with a natural anti-cancer agent. Cell. Mol. Biol 2003, 49, 1057–1065. [Google Scholar]
© 2005 MDPI. All rights reserved.
Share and Cite
Howard, C.B.; Samuel, J.; Henderson, S.B.; Stevens, J.; Thomas, P.E.; Cuchens, M.A. Effects of Pristane on Cytochrome P450 Isozyme Expression in Rat Tissues. Int. J. Environ. Res. Public Health 2005, 2, 138-146. https://doi.org/10.3390/ijerph2005010138
Howard CB, Samuel J, Henderson SB, Stevens J, Thomas PE, Cuchens MA. Effects of Pristane on Cytochrome P450 Isozyme Expression in Rat Tissues. International Journal of Environmental Research and Public Health. 2005; 2(1):138-146. https://doi.org/10.3390/ijerph2005010138
Chicago/Turabian StyleHoward, Carolyn B., Jacqueline Samuel, Shalonda B. Henderson, Jacqueline Stevens, Paul E. Thomas, and Marvin A. Cuchens. 2005. "Effects of Pristane on Cytochrome P450 Isozyme Expression in Rat Tissues" International Journal of Environmental Research and Public Health 2, no. 1: 138-146. https://doi.org/10.3390/ijerph2005010138
APA StyleHoward, C. B., Samuel, J., Henderson, S. B., Stevens, J., Thomas, P. E., & Cuchens, M. A. (2005). Effects of Pristane on Cytochrome P450 Isozyme Expression in Rat Tissues. International Journal of Environmental Research and Public Health, 2(1), 138-146. https://doi.org/10.3390/ijerph2005010138
