Multisystem Amyloidosis in a Coal Miner with Silicosis: Is Exposure to Silica Dust a Cause of Amyloid Deposition?
Abstract
1. Introduction
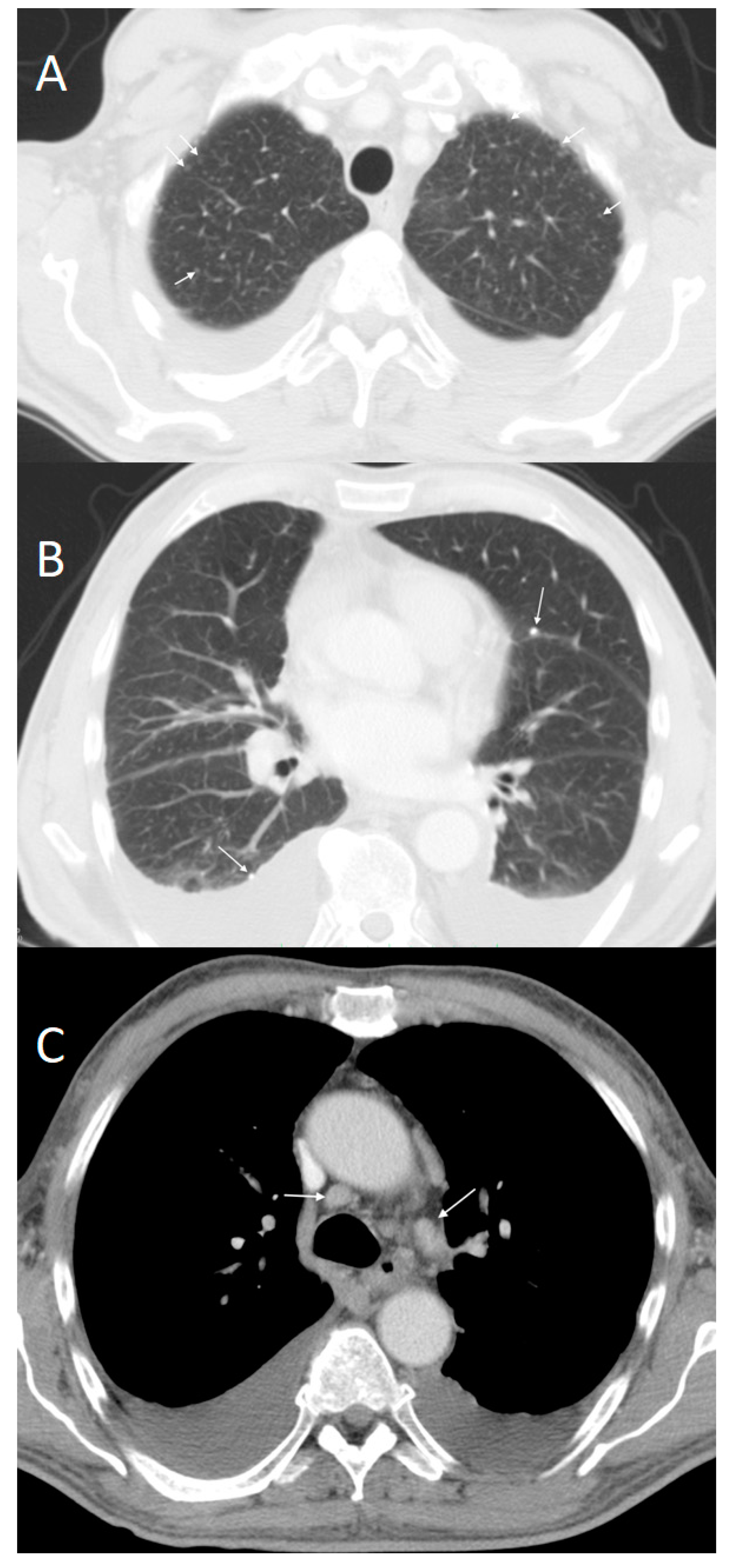
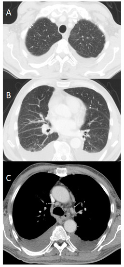
2. Case Report
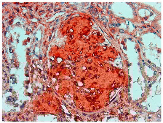
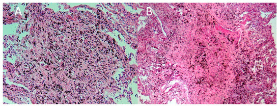
3. Autopsy
4. Discussion
5. Conclusions
Author Contributions
Funding
Institutional Review Board Statement
Informed Consent Statement
Data Availability Statement
Acknowledgments
Conflicts of Interest
References
- Parks, C.G.; Conrad, K.; Cooper, G.S. Occupational exposure to crystalline silica and autoimmune disease. Environ. Health Perspect. 1999, 107 (Suppl. S5), 793–802. [Google Scholar] [CrossRef]
- Cooper, G.S.; Miller, F.W.; Germolec, D.R. Occupational exposures and autoimmune diseases. Int. Immunopharmacol. 2002, 2, 303–313. [Google Scholar] [CrossRef]
- Hogan, S.L.; Cooper, G.S.; Savitz, D.A.; Nylander-French, L.A.; Parks, C.G.; Chin, H.; Jennette, C.E.; Lionaki, S.; Jennette, J.C.; Falk, R.J. Association of silica exposure with anti-neutrophil cytoplasmic autoantibody small-vessel vasculitis: A population-based, case-control study. Clin. J. Am. Soc. Nephrol. 2007, 2, 290–299. [Google Scholar] [CrossRef]
- Mulloy, K.B. Silica exposure and systemic vasculitis. Environ. Health Perspect. 2003, 111, 1933–1938. [Google Scholar] [CrossRef][Green Version]
- Hoy, R.F.; Chambers, D.C. Silica-related diseases in the modern world. Allergy 2020, 75, 2805–2817. [Google Scholar] [CrossRef]
- Tervaert, J.W.; Stegeman, C.A.; Kallenberg, C.G. Silicon exposure and vasculitis. Curr. Opin. Rheumatol. 1998, 10, 12–17. [Google Scholar] [CrossRef]
- Boyd, J.E.; Robertson, M.D.; Davis, J.M. Autoantibodies in coalminers: Their relationship to the development of progressive massive fibrosis. Am. J. Ind. Med. 1982, 3, 201–208. [Google Scholar] [CrossRef]
- Kolev, K.; Doitschinov, D.; Todorov, D. Morphologic alterations in the kidneys by silicosis. Med. Lav. 1970, 61, 205–210. [Google Scholar]
- Saldanha, L.F.; Rosen, V.J.; Gonick, H.C. Silicon nephropathy. Am. J. Med. 1975, 59, 95–103. [Google Scholar] [CrossRef]
- Michel, F.B.; Baldet, P.; Touron, C.; Mary, P.; Mirouze, J. Goodpasture’s syndrome and pneumoconiosis (2 cases). Poumon. Coeur 1973, 29, 305–309. [Google Scholar]
- Sherson, D.; Jørgensen, F. Rapidly progressive crescenteric glomerulonephritis in a sandblaster with silicosis. Br. J. Ind. Med. 1989, 46, 675–676. [Google Scholar] [CrossRef] [PubMed][Green Version]
- Bonnin, A.; Mousson, C.; Justrabo, E.; Tanter, Y.; Chalopin, J.M.; Rifle, G. Silicosis associated with crescentic IgA mesangial nephropathy. Nephron 1987, 47, 229–230. [Google Scholar] [CrossRef] [PubMed]
- Rapiti, E.; Sperati, A.; Miceli, M.; Forastiere, F.; Di Lallo, D.; Cavariani, F.; Goldsmith, D.F.; Perucci, C.A. End stage renal disease among ceramic workers exposed to silica. Occup. Environ. Med. 1999, 56, 559–561. [Google Scholar] [CrossRef] [PubMed]
- Zeren, E.H.; Colby, T.V.; Roggli, V.L. Silica-induced pleural disease: An unusual case mimicking malignant mesothelioma. Chest 1997, 112, 1436–1438. [Google Scholar] [CrossRef]
- Falk, R.H.; Comenzo, R.L.; Skinner, M. The systemic amyloidoses. N. Engl. J. Med. 1997, 337, 898–909. [Google Scholar] [CrossRef]
- Lee, S.; Honda, M.; Yamamoto, S.; Kumagai-Takei, N.; Yoshitome, K.; Nishimura, Y.; Sada, N.; Kon, S.; Otsuki, T. Role of Nephronectin in Pathophysiology of Silicosis. Int. J. Mol. Sci. 2019, 20, 2581. [Google Scholar] [CrossRef]
- Rajkumar, S.V.; Dimopoulos, M.A.; Palumbo, A.; Blade, J.; Merlini, G.; Mateos, M.V.; Kumar, S.; Hillengass, J.; Kastritis, E.; Richardson, P.; et al. International Myeloma Working Group updated criteria for the diagnosis of multiple myeloma. Lancet Oncol. 2014, 15, e538–e548. [Google Scholar] [CrossRef]
- Moseley, P.L.; Monick, M.; Hunninghake, G.W. Divergent effects of silica on lymphocyte proliferation and immunoglobulin production. J. Appl. Physiol. 1988, 65, 350–357. [Google Scholar] [CrossRef] [PubMed]
- Conway, K.A.; Lee, S.J.; Rochet, J.C.; Ding, T.T.; Harper, J.D.; Williamson, R.E.; Lansbury, P.T., Jr. Accelerated oligomerization by Parkinson’s disease linked alpha-synuclein mutants. Ann. N. Y. Acad. Sci. 2000, 920, 42–45. [Google Scholar] [CrossRef]
- Souillac, P.O.; Uversky, V.N.; Millett, I.S.; Khurana, R.; Doniach, S.; Fink, A.L. Effect of association state and conformational stability on the kinetics of immunoglobulin light chain amyloid fibril formation at physiological pH. J. Biol. Chem. 2002, 277, 12657–12665. [Google Scholar] [CrossRef]
- Rostagno, A.; Vidal, R.; Kaplan, B.; Chuba, J.; Kumar, A.; Elliott, J.I.; Frangione, B.; Gallo, G.; Ghiso, J. pH-dependent fibrillogenesis of a VkappaIII Bence Jones protein. Br. J. Haematol. 1999, 107, 835–843. [Google Scholar] [CrossRef] [PubMed]
- Zhu, M.; Souillac, P.O.; Ionescu-Zanetti, C.; Carter, S.A.; Fink, A.L. Surface-catalyzed amyloid fibril formation. J. Biol. Chem. 2002, 277, 50914–50922. [Google Scholar] [CrossRef] [PubMed]
- Hiroshima, K.; Ohwada, H.; Ishibashi, M.; Yamamoto, N.; Tamiya, N.; Yamaguchi, Y. Nodular pulmonary amyloidosis associated with asbestos exposure. Pathol. Int. 1996, 46, 66–70. [Google Scholar] [CrossRef]
- Hirano, T.; Numakura, T.; Moriyama, H.; Saito, R.; Shishikura, Y.; Shiihara, J.; Sugiura, H.; Ichinose, M. The first case of multiple pulmonary granulomas with amyloid deposition in a dental technician; a rare manifestation as an occupational lung disease. BMC Pulm. Med. 2018, 18, 77. [Google Scholar] [CrossRef]
- Sowa, T.; Komatsu, T.; Fujinaga, T.; Kato, T. A case of solitary pulmonary nodular amyloidosis with Sjögren’s syndrome. Ann. Thorac. Cardiovasc. Surg. 2013, 19, 247–249. [Google Scholar] [CrossRef] [PubMed][Green Version]
- Tokunaga, T.; Takeda, S.; Sawabata, N.; Inoue, M.; Maeda, H. Nodular pulmonary amyloidosis. Jpn. J. Thorac. Cardiovasc. Surg. 2006, 54, 399–401. [Google Scholar] [CrossRef] [PubMed]
- Hara, K. Amyloidosis and cysts of the Lung in Sjogren’s syndrom. Jpn. J. Chest Dis. 2009, 68, 311–322. [Google Scholar]
- Okabe, H.; Tomita, K.; Ogasawara, T.; Iesato, K.; Kominami, S.; Ohde, Y.; Toyoda, F.; Otsuki, Y.; Shimizu, S.; Kobayashi, H.; et al. A case of solitary nodular pulmonary amyloidosis. Nihon Kokyuki Gakkai Zasshi 2003, 41, 341–346. [Google Scholar]
- Neben-Wittich, M.A.; Wittich, C.M.; Mueller, P.S.; Larson, D.R.; Gertz, M.A.; Edwards, W.D. Obstructive intramural coronary amyloidosis and myocardial ischemia are common in primary amyloidosis. Am. J. Med. 2005, 118, 1287. [Google Scholar] [CrossRef]
- Prochorec-Sobieszek, M.; Szufladowicz, E.; Szaroszyk, W.; Wagner, T.; Loukas, M. Clinical and morphological diagnosis of cardiac AL amyloidosis: A review of findings and difficulties as illustrated in one case. Med. Sci. Monit. 2005, 11, CS45–CS48. [Google Scholar]
- Modesto, K.M.; Dispenzieri, A.; Gertz, M.; Cauduro, S.A.; Khandheria, B.K.; Seward, J.B.; Kyle, R.; Wood, C.M.; Bailey, K.R.; Tajik, A.J.; et al. Vascular abnormalities in primary amyloidosis. Eur. Heart J. 2007, 28, 1019–1024. [Google Scholar] [CrossRef] [PubMed]
- Liao, R.; Jain, M.; Teller, P.; Connors, L.H.; Ngoy, S.; Skinner, M.; Falk, R.H.; Apstein, C.S. Infusion of light chains from patients with cardiac amyloidosis causes diastolic dysfunction in isolated mouse hearts. Circulation 2001, 104, 1594–1597. [Google Scholar] [CrossRef] [PubMed]





| Publisher’s Note: MDPI stays neutral with regard to jurisdictional claims in published maps and institutional affiliations. | 
© 2022 by the authors. Licensee MDPI, Basel, Switzerland. This article is an open access article distributed under the terms and conditions of the Creative Commons Attribution (CC BY) license (https://creativecommons.org/licenses/by/4.0/).
Share and Cite
Gołębiowski, T.; Kuźniar, J.; Porażko, T.; Wojtala, R.; Konieczny, A.; Krajewska, M.; Klinger, M. Multisystem Amyloidosis in a Coal Miner with Silicosis: Is Exposure to Silica Dust a Cause of Amyloid Deposition? Int. J. Environ. Res. Public Health 2022, 19, 2297. https://doi.org/10.3390/ijerph19042297
Gołębiowski T, Kuźniar J, Porażko T, Wojtala R, Konieczny A, Krajewska M, Klinger M. Multisystem Amyloidosis in a Coal Miner with Silicosis: Is Exposure to Silica Dust a Cause of Amyloid Deposition? International Journal of Environmental Research and Public Health. 2022; 19(4):2297. https://doi.org/10.3390/ijerph19042297
Chicago/Turabian StyleGołębiowski, Tomasz, Jakub Kuźniar, Tomasz Porażko, Renata Wojtala, Andrzej Konieczny, Magdalena Krajewska, and Marian Klinger. 2022. "Multisystem Amyloidosis in a Coal Miner with Silicosis: Is Exposure to Silica Dust a Cause of Amyloid Deposition?" International Journal of Environmental Research and Public Health 19, no. 4: 2297. https://doi.org/10.3390/ijerph19042297
APA StyleGołębiowski, T., Kuźniar, J., Porażko, T., Wojtala, R., Konieczny, A., Krajewska, M., & Klinger, M. (2022). Multisystem Amyloidosis in a Coal Miner with Silicosis: Is Exposure to Silica Dust a Cause of Amyloid Deposition? International Journal of Environmental Research and Public Health, 19(4), 2297. https://doi.org/10.3390/ijerph19042297
 
         
                                                


