Primary Cutaneous Anaplastic Large Cell Lymphoma (pcALCL) in the Elderly and the Importance of Sport Activity Training
Abstract
1. Introduction
2. Clinical Presentation
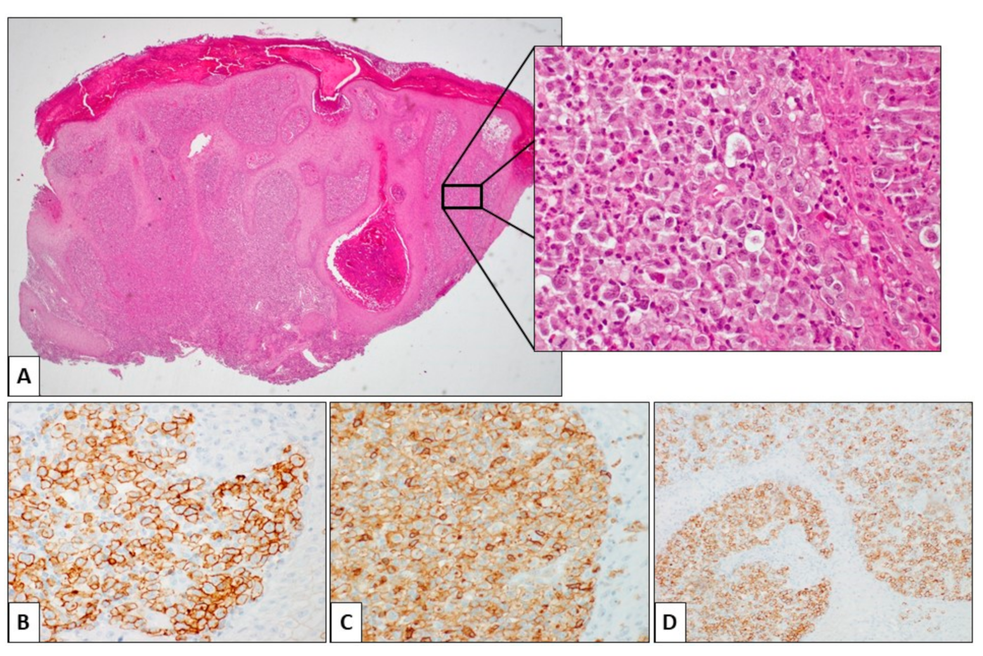
2.1. Histological and Molecular Features
2.2. Cytogenetic Alterations
3. Differential Diagnosis
4. Therapies
5. Discussion
6. Conclusions
Author Contributions
Funding
Conflicts of Interest
References
- Nikolaenko, L.; Zain, J.; Rosen, S.T.; Querfeld, C. CD30-Positive Lymphoproliferative Disorders. Cancer Treat Res. 2019, 176, 249–268. [Google Scholar] [PubMed]
- Melchers, R.C.; Willemze, R.; Bekkenk, M.W.; de Haas, E.R.M.; Horvath, B.; van Rossum, M.M.; Sanders, C.J.G.; Veraart, J.C.J.M.; Vermeer, M.H.; Quint, K.D. In a multifunctional primary cutaneous anaplastic large cell lymphoma: Report of the Dutch Cutaneous Lymphoma Group. Br. J. Dermatol. 2018, 179, 724–731. [Google Scholar] [CrossRef] [PubMed]
- Kaseb, H.; Rajasurya, V. Cancer, Anaplastic Large Cell Lymphoma (ALCL Ki 1+). Available online: https://www.ncbi.nlm.nih.gov/books/NBK537150/ (accessed on 12 August 2019).
- Lynch, R.C.; Gratzinger, D.; Advani, R.H. Clinical Impact of the 2016 Update to the WHO Lymphoma Classification. Curr Treat Options Oncol. 2017, 18, 45. [Google Scholar] [CrossRef] [PubMed]
- Willemze, R.; Cerroni, L.; Kempf, W.; Berti, E.; Facchetti, F.; Swerdlow, S.H.; Jaffe, E.S. The 2018 update of the WHO-EORTC classification for primary cutaneous lymphomas. Blood 2019, 133, 1703–1714. [Google Scholar] [CrossRef] [PubMed]
- Melton, L.; Brewer, B.; Kolva, E.; Joshi, T.; Bunch, M. Increasing access to care for young adults with cancer: Results of a quality-improvement project using a novel telemedicine approach to supportive group psychotherapy. Palliat. Support Care 2017, 15, 176–180. [Google Scholar] [CrossRef] [PubMed]
- Fischetti, F.; Greco, G.; Cataldi, S.; Minoia, C.; Loseto, G.; Guarini, A. Effects of Physical Exercise Intervention on Psychological and Physical Fitness in Lymphoma Patients. Medicina 2019, 55, 379. [Google Scholar] [CrossRef] [PubMed]
- Courneya, K.S.; Sellar, C.M.; Stevinson, C.; McNeely, M.L.; Peddle, C.J.; Friedenreich, C.M.; Tankel, K.; Basi, S.; Chua, N.; Mazurek, A.; et al. Randomized controlled trial of the effects of aerobic exercise on physical functioning and quality of life in lymphoma patients. J. Clin. Oncol. 2009, 27, 4605–4612. [Google Scholar] [CrossRef]
- Lucía, A.; Earnest, C.; Pérez, M. Cancer-related fatigue: Can exercise physiology assist oncologists? Lancet Oncol. 2003, 4, 616–625. [Google Scholar] [CrossRef]
- Dimeo, F.C. Effects of exercise on cancer-related fatigue. Cancer 2001, 92, 1689–1693. [Google Scholar] [CrossRef]
- Oldervoll, L.M.; Kaasa, S.; Knobel, H.; Loge, J.H. Exercise reduces fatigue in chronic fatigued Hodgkins disease survivors—Results from a pilot study. Eur. J. Cancer 2003, 39, 57–63. [Google Scholar] [CrossRef]
- Cramp, F.A.; Byron-Daniel, J.Z. Exercise for the management of cancer related fatigue in adults. Cochrane Database Syst. Rev. 2012, 11. [Google Scholar] [CrossRef] [PubMed]
- Knols, R.; Aaronson, N.K.; Uebelhart, D.; Fransen, J.; Aufdemkampe, G. Physical exercise in cancer patients during and after medical treatment: A systematic review of randomized and controlled clinical trials. J. Clin. Oncol. 2005, 23, 3830–3842. [Google Scholar] [CrossRef] [PubMed]
- Blair, C.K.; Morey, M.C.; Desmond, R.A.; Cohen, H.J.; Sloane, R.; Snyder, D.C.; Demark-Wahnefried, W. Light-intensity activity attenuates functional decline in older cancer survivors. Med. Sci. Sports Exerc. 2014, 46, 1375. [Google Scholar] [CrossRef] [PubMed]
- Sica, A.; Vitiello, P.; Sorriento, A.; Ronchi, A.; Calogero, A.; Sagnelli, C.; Troiani, T.; Fasano, M.; Dodaro, C.A.; Franco, R.; et al. Lymphomatoid papulosis. Minerva Medica 2020. [Google Scholar] [CrossRef]
- Craig, C.L.; Marshall, A.L.; Sjöström, M.; Bauman, A.E.; Booth, M.L.; Ainsworth, B.E.; Pratt, M.; Ekelund, U.; Yngve, A.; Sallis, J.F.; et al. International physical activity questionnaire: 12-country reliability and validity. Med. Sci. Sports Exerc. 2003, 35, 1381–1395. [Google Scholar] [CrossRef]
- Minoia, C.; Ciavarella, S.; Lerario, G.; Daniele, A.; De Summa, S.; Napolitano, M.; Guarini, A. Improvable Lifestyle Factors in Lymphoma Survivors. Acta. Haematol. 2018, 139, 235–237. [Google Scholar] [CrossRef]
- Global Recommendations on Physical Activity for Health. WHO Library Cataloguing-in-Publication Data 2010. Available online: https://www.who.int/dietphysicalactivity/global-PA-recs-2010.pdf (accessed on 25 December 2019).
- Sica, A.; Casale, B.; Di Dato, M.T.; Calogero, A.; Spada, A.; Sagnelli, C.; Santagata, M.; Buonavolontà, P.; Fiorelli, A.; Salzano, A.; et al. Cancer and not cancer related chronic pain: From the physiopathological bases to the management. Open Med. 2019, 14, 761–766. [Google Scholar] [CrossRef]
- Gerami, P.; Wickless, S.C.; Rosen, S.; Kuzel, T.M.; Ciurea, A.; Havey, J.; Guitart, J. Applying the new TNM classification system for primary cutaneous lymphomas other than mycosis fungoides and Sézary syndrome in primary cutaneous marginal zone lymphoma. J. Am. Acad. Dermatol. 2008, 59, 245–254. [Google Scholar] [CrossRef]
- Kim, Y.H.; Willemze, R.; Pimpinelli, N.; Whittaker, S.; Olsen, E.A.; Ranki, A.; Dummer, R.; Hoppe, R.T.; ISCL and the EORTC. TNM classification system for primary cutaneous lymphomas other than mycosis fungoides and Sezary syndrome: A proposal of the International Society for Cutaneous Lymphomas (ISCL) and the Cutaneous Lymphoma Task Force of the European Organization of Research and Treatment of Cancer (EORTC). Blood 2007, 110, 479–484. [Google Scholar]
- Caccavale, S.; Vitiello, P.; Franco, R.; Panarese, I.; Ronchi, A.; Sica, A.; Jurakic, T.R.; Alfano, R.; Argenziano, G. Dermoscopic characterization of folliculotropic mycosis fungoides selectively localized on trunk and limbs. Int. J. Dermatol. 2019, 58, e187–e189. [Google Scholar] [CrossRef]
- Prieto-Torres, L.; Rodriguez-Pinilla, S.M.; Onaindia, A.; Ara, M.; Requena, L.; Piris, M.Á. CD30-positive primary cutaneous lymphoproliferative disorders: Molecular alterations and targeted therapies. Haematologica 2019, 104, 226–235. [Google Scholar] [CrossRef] [PubMed]
- Reginelli, A.; Belfiore, M.P.; Russo, A.; Turriziani, F.; Moscarella, E.; Troiani, T.; Brancaccio, G.; Ronchi, A.; Giunta, E.; Sica, A.; et al. A preliminary study for quantitative assessment with HFUS (High Frequency ultrasound) of nodular skin melanoma Breslow thickness in adults before surgery: Interdisciplinary team experience. Curr. Radiopharm. 2019. [Google Scholar] [CrossRef] [PubMed]
- Duvic, M.; Tetzlaff, M.T.; Gangar, P.; Clos, A.L.; Sui, D.; Talpur, R. Results of a Phase II Trial of Brentuximab Vedotin for CD30+ Cutaneous T-Cell Lymphoma and Lymphomatoid Papulosis. J. Clin. Oncol. 2015, 33, 3759–3765. [Google Scholar] [CrossRef] [PubMed]
- Prince, H.M.; Kim, Y.H.; Horwitz, S.M.; Dummer, R.; Scarisbrick, J.; Quaglino, P.; Zinzani, L.; Wolter, P.; Sanches, J.A.; Ortiz-Romero, P.L.; et al. Brentuximab vedotin or physician’s choice in CD30-positive cutaneous T-cell lymphoma (ALCANZA): An international, open-label, randomised, phase 3, multicentre trial. Lancet 2017, 390, 555–566. [Google Scholar] [CrossRef]
- Shinohara, M.M.; Shustov, A. How I treat primary cutaneous CD30+ lymphoproliferative disorders. Blood. 2019, 134, 515–524. [Google Scholar] [CrossRef]
- Kempf, W.; Pfaltz, K.; Vermeer, M.H.; Cozzio, A.; Ortiz-Romero, P.L.; Bagot, M.; Olsen, E.; Kim, Y.H.; Dummer, R.; Pimpinelli, N.; et al. EORTC, ISCL, and USCLC consensus recommendations for the treatment of primary cutaneous CD30-positive lymphoproliferative disorders: Lymphomatoid papulosis and primary cutaneous anaplastic large-cell lymphoma. Blood 2011, 118, 4024–4035. [Google Scholar] [CrossRef]
- Bekkenk, M.W.; Geelen, F.A.; van Voorst Vader, P.C.; Heule, F.; Geerts, M.L.; van Vloten, W.A.; Meijer, C.J.; Willemze, R. Primary and secondary cutaneous CD30(+) lymphoproliferative disorders: A report from the Dutch Cutaneous Lymphoma Group on the long-term follow-up data of 219 patients and guidelines for diagnosis and treatment. Blood 2000, 95, 3653–3661. [Google Scholar] [CrossRef]
- Pisaturo, M.; Guastafierro, S.; Filippini, P.; Tonziello, G.; Sica, A.; Di Martino, F.; Sagnelli, C.; Ferrara, M.G.; Martini, S.; Cozzolino, D.; et al. Absence of occult HCV infection in patients experiencing an immunodepression condition. Infez. Med. 2013, 21, 296–301. [Google Scholar]
- Tonziello, G.; Pisaturo, M.; Sica, A.; Ferrara, M.G.; Sagnelli, C.; Pasquale, G.; Sagnelli, E.; Guastafierro, S.; Coppola, N. Transient reactivation of occult hepatitis B virus infection despite lamivudine prophylaxis in a patient treated for non-Hodgkin lymphoma. Infection 2013, 41, 225–229. [Google Scholar] [CrossRef]
- Coppola, N.; Pisaturo, M.; Guastafierro, S.; Tonziello, G.; Sica, A.; Iodice, V.; Sagnelli, C.; Ferrara, M.G.; Sagnelli, E. Increased hepatitis C viral load and reactivation of liver disease in HCV RNA-positive patients with onco-haematological disease undergoing chemotherapy. Dig. Liver Dis. 2012, 44, 49–54. [Google Scholar] [CrossRef]
- Coppola, N.; Pisaturo, M.; Guastafierro, S.; Tonziello, G.; Sica, A.; Sagnelli, C.; Ferrara, M.G.; Sagnelli, E. Absence of occult hepatitis C virus infection in patients under immunosupressive therapy for oncohematological diseases. Hepatology 2011, 54, 1487–1489. [Google Scholar] [CrossRef] [PubMed]
- Merli, M.; Frigeni, M.; Alric, L.; Visco, C.; Besson, C.; Mannelli, L.; Di Rocco, A.; Ferrari, A.; Farina, L.; Pirisi, M.; et al. Direct-Acting Antivirals in Hepatitis C Virus-Associated Diffuse Large B-cell Lymphomas. Oncologist 2018, 24, e720–e729. [Google Scholar] [CrossRef] [PubMed]
- Matutes, E. The 2017 WHO update on mature T- and natural killer (NK) cell neoplasms. Int. J. Lab. Hematol. 2018, 40 Suppl 1, 97–103. [Google Scholar] [CrossRef]
- Woo, D.K.; Jones, C.R.; Vanoli-Storz, M.N.; Kohler, S.; Reddy, S.; Advani, R.; Hoppe, R.T.; Kim, Y.H. Prognostic factors in primary cutaneous anaplastic large cell lymphoma: Characterization of clinical subset with worse outcome. JAMA Dermatol. 2009, 145, 667–674. [Google Scholar] [CrossRef] [PubMed]
- Welborn, M.; Duvic, M. Antibody-Based Therapies for Cutaneous T-Cell Lymphoma. Am. J. Clin. Dermatol. 2019, 20, 115–122. [Google Scholar] [CrossRef]
- Fujita, H.; Nagatani, T.; Miyazawa, M.; Wada, H.; Koiwa, K.; Komatsu, H.; Ikezawa, Z. Primary cutaneous anaplastic large cell lymphoma successfully treated with low-dose oral methotrexate. Eur. J. Dermatol. 2008, 18, 360–361. [Google Scholar]
- Yamane, N.; Kato, N.; Nishimura, M.; Ito, M.; Yanagi, T.; Osawa, R. Primary cutaneous CD30+ anaplastic large-cell lymphoma with generalized skin involvement and involvement of one peripheral lymph node, successfully treated with low-dose oral etoposide. Clin. Exp. Dermatol. 2009, 34, e56–e59. [Google Scholar] [CrossRef]
- Lee, W.J.; Moon, I.J.; Lee, S.H.; Won, C.H.; Chang, S.E.; Choi, J.H.; Moon, K.C.; Park, C.S.; Huh, J.; Lee, M.W. Cutaneous anaplastic large-cell lymphoma (ALCL): A comparative clinical feature and survival outcome analysis. J. Am. Acad. Dermatol. 2016, 74, 1135–1143. [Google Scholar] [CrossRef]
- Martino, M.; Ciavarella, S.; De Summa, S.; Russo, L.; Meliambro, N.; Imbalzano, L.; Gallo, G.A.; Moscato, T.; Messina, G.; Ferreri, A.; et al. A Comparative Assessment of Quality of Life in Patients with Multiple Myeloma Undergoing Autologous Stem Cell Transplantation Through an Outpatient and Inpatient Model. Biol. Blood Marrow Transplant. 2018, 24, 608–613. [Google Scholar] [CrossRef]
- Calogero, A.; Sagnelli, C.; Carlomagno, N.; Tammaro, V.; Candida, M.; Vernillo, A.; Peluso, G.; Minieri, G.; Santangelo, M.; Dodaro, C.A.; et al. Familial polyposis coli: The management of desmoid tumor bleeding. Open Med. 2019, 14, 572–576. [Google Scholar] [CrossRef]
- Ciavarella, S.; Minoia, C.; Quinto, A.M.; Oliva, S.; Carbonara, S.; Cormio, C.; Cox, M.C.; Bravo, E.; Santoro, F.; Napolitano, M.; et al. Improving Provision of Care for Long-term Survivors of Lymphoma. Clin. Lymphoma Myeloma Leuk. 2017, 17, e1–e9. [Google Scholar] [CrossRef] [PubMed]
- Gerritson, J.K.W.; Vincent, A.J.P.E. Exercise improves quality of life in patients with cancer: A systematic review and meta-analysis of randomized controlled trials. Br. J. Sports Med. 2016, 50, 796–803. [Google Scholar] [CrossRef] [PubMed]
- Duncan, M.; Moschopoulou, E.; Herrington, E.; Deane, J.; Roylance, R.; Jones, L.; Bourke, L.; Morgan, A.; Chalder, T.; Thaha, M.A.; et al. Review of systematic reviews of non-pharmacological interventions to improve quality of life in cancer survivors. BMJ Open 2017, 7, e015860. [Google Scholar] [CrossRef] [PubMed]
- Lymphoma Action. 2019. Available online: https://lymphoma-action.org.uk/ (accessed on 25 December 2019).
- Parás-Bravo, P.; Salvadores-Fuentes, P.; Alonso-Blanco, C.; Paz-Zulueta, M.; Santibañez-Margüello, M.; Palacios-Ceña, D.; Boixadera-Planas, E.; Fernández-de-las-Peñas, C. The impact of muscle relaxation techniques on the quality of life of cancer patients, as measured by the FACT-G questionnaire. PLoS ONE 2017, 12, e0184147. [Google Scholar] [CrossRef] [PubMed]
- Reich, R.R.; Lengacher, C.A.; Alinat, C.B.; Kip, K.E.; Paterson, C.; Ramesar, S.; Han, H.S.; Ismail-Khan, R.; Johnson-Mallard, V.; Moscoso, M.; et al. Mindulness-based stress reduction in post-treatment breast cancer patients: Immediate and sustained effects across multiple symptom clusters. J. Pain Symptom Manag. 2017, 53, 85–95. [Google Scholar] [CrossRef] [PubMed]



| Skin (T) | T1 | Solitary Skin Involvement | |
|---|---|---|---|
| T1a | Solitary lesion <5 cm in diameter | ||
| T1b | Solitary lesion ≥5 cm in diameter | ||
| T2 | Regional skin involvement: multiple lesions limited to one body region or two contiguous body regions | ||
| T2a | All disease encompassing a <15 cm diameter circular area | ||
| T2b | All disease encompassing a 15 to ≤30 cm diameter circular area | ||
| T2c | All disease encompassing a ≥30 cm diameter circular area | ||
| T3 | Generalized skin involvement | ||
| T3a | Multiple lesions involving two noncontiguous body regions | ||
| T3b | Multiple lesions involving ≥3 body regions | ||
| Lymph nodes (N) | N0 | No clinical or pathologic lymph node involvement | |
| N1 | Involvement of one peripheral or central lymph node region that drains in an area of current or prior skin involvement | ||
| N2 | Involvement of ≥2 peripheral or central lymph node regions or involvement of any lymph node region that does not drain in an area of current or prior skin involvement | ||
| N3 | Involvement of central lymph nodes | ||
| Viscera (M) | M0 | No evidence of extracutaneous non-lymph node disease | |
| M1 | Extracutaneous non-lymph node disease present |
© 2020 by the authors. Licensee MDPI, Basel, Switzerland. This article is an open access article distributed under the terms and conditions of the Creative Commons Attribution (CC BY) license (http://creativecommons.org/licenses/by/4.0/).
Share and Cite
Sica, A.; Vitiello, P.; Ronchi, A.; Casale, B.; Calogero, A.; Sagnelli, E.; Costa Nachtigal, G.; Troiani, T.; Franco, R.; Argenziano, G.; et al. Primary Cutaneous Anaplastic Large Cell Lymphoma (pcALCL) in the Elderly and the Importance of Sport Activity Training. Int. J. Environ. Res. Public Health 2020, 17, 839. https://doi.org/10.3390/ijerph17030839
Sica A, Vitiello P, Ronchi A, Casale B, Calogero A, Sagnelli E, Costa Nachtigal G, Troiani T, Franco R, Argenziano G, et al. Primary Cutaneous Anaplastic Large Cell Lymphoma (pcALCL) in the Elderly and the Importance of Sport Activity Training. International Journal of Environmental Research and Public Health. 2020; 17(3):839. https://doi.org/10.3390/ijerph17030839
Chicago/Turabian StyleSica, Antonello, Paola Vitiello, Andrea Ronchi, Beniamino Casale, Armando Calogero, Evangelista Sagnelli, Gilca Costa Nachtigal, Teresa Troiani, Renato Franco, Giuseppe Argenziano, and et al. 2020. "Primary Cutaneous Anaplastic Large Cell Lymphoma (pcALCL) in the Elderly and the Importance of Sport Activity Training" International Journal of Environmental Research and Public Health 17, no. 3: 839. https://doi.org/10.3390/ijerph17030839
APA StyleSica, A., Vitiello, P., Ronchi, A., Casale, B., Calogero, A., Sagnelli, E., Costa Nachtigal, G., Troiani, T., Franco, R., Argenziano, G., Moscarella, E., & Sagnelli, C. (2020). Primary Cutaneous Anaplastic Large Cell Lymphoma (pcALCL) in the Elderly and the Importance of Sport Activity Training. International Journal of Environmental Research and Public Health, 17(3), 839. https://doi.org/10.3390/ijerph17030839

