Valorization of Amphidinium carterae for Integrated Preparation of Peridinin and Diadinoxanthin Cycle Carotenoids
Abstract
1. Introduction
2. Results and Discussion
2.1. Pigment Contents in Wet Amphidinium carterae Biomass
2.2. Effects of Different Factors on the Pigment Extraction from Wet Amphidinium carterae
2.2.1. Effects of Various Types of Solvents on Pigments Yield
2.2.2. Effects of Different Ethanol Concentrations on Pigment Yield
2.2.3. Effects of Different Durations on Pigment Yield
2.2.4. Effects of Different Temperatures on Pigment Yield
2.2.5. Effects of Different Extraction Times on Pigment Yield
2.3. Isolation of Peridinin and Diadinoxanthin Cycle Carotenoids by Octadecylsilyl Open Column Chromatography
2.4. Purification of Peridinin and Diadinoxanthin Cycle Carotenoids Using Ethanol Precipitation
2.4.1. Influences of Various Ethanol Concentrations in Peridinin Precipitation
2.4.2. Influences of Various Ethanol Concentrations on Diadinoxanthin Precipitation
2.4.3. Influences of Various Ethanol Concentrations in Diatoxanthin Precipitation
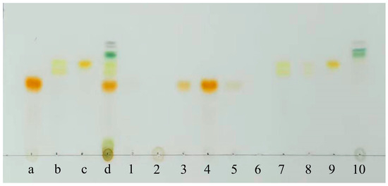
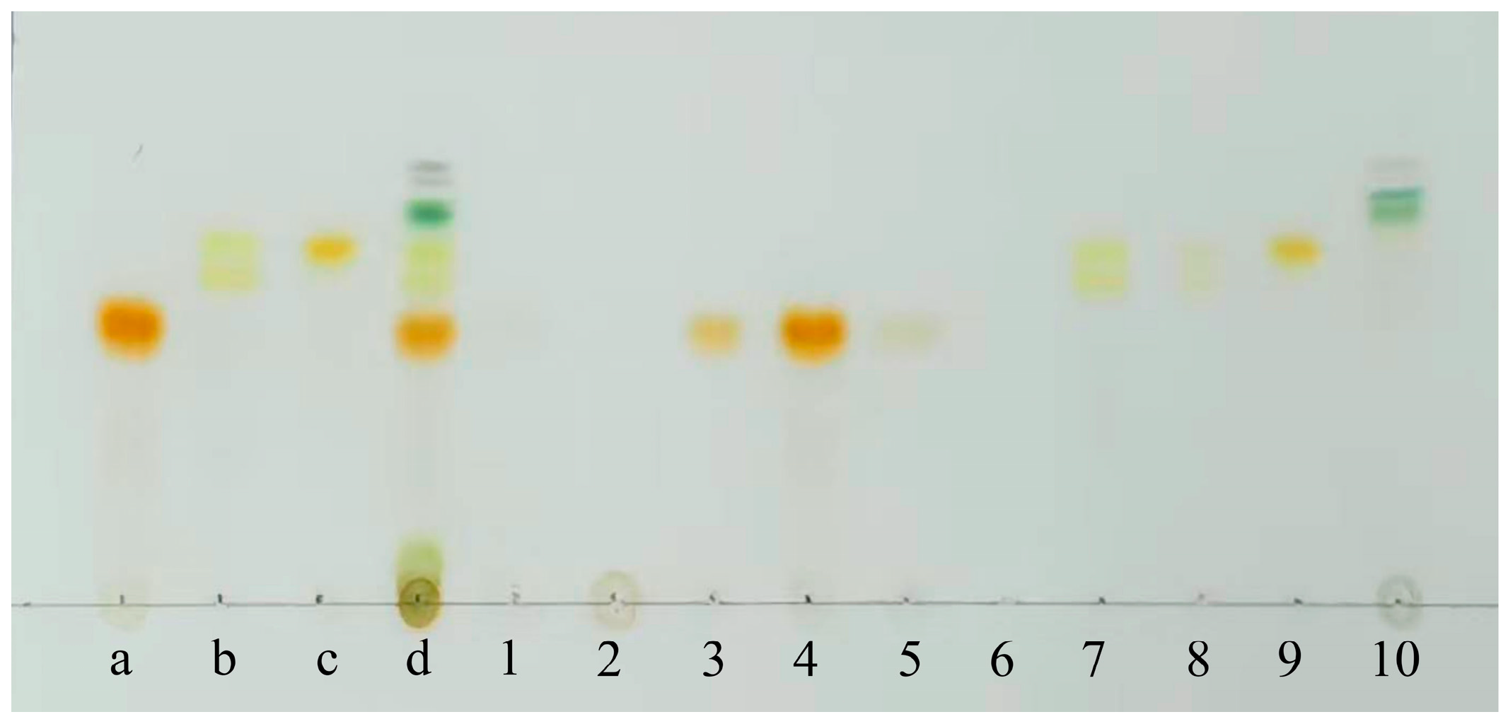
2.5. Identification of Peridinin and Diadinoxanthin Cycle Carotenoids from Amphidinium carterae
2.6. Antioxidant Activity of Peridinin and Diadinoxanthin Cycle Carotenoids
3. Materials and Methods
3.1. Chemicals
3.2. Microalgae Cultural Conditions
3.3. Quantification of Pigments in Amphidinium carterae
3.4. Optimization of Peridinin and Diadinoxanthin Cycle Carotenoids Extraction from Amphidinium carterae
3.5. Concurrent Isolation of Peridinin and Diadinoxanthin Cycle Carotenoids Using Octadecylsilyl Column Chromatography
3.6. Ethanol Precipitation for the Purification of Peridinin and Diadinoxanthin Cycle Carotenoids
3.6.1. Optimization of Ethanol Concentration in Peridinin Precipitation
3.6.2. Optimization of Ethanol Concentration in Diadinoxanthin Precipitation
3.6.3. Optimization of Ethanol Concentration in Diatoxanthin Precipitation
3.7. Thin-Layer Chromatography Analysis of Pigments
3.8. Characterization of Peridinin and Diadinoxanthin Cycle Carotenoids from Amphidinium carterae
3.9. Determination of Antioxidant of Peridinin and Diadinoxanthin Cycle Carotenoids
3.10. Statistical Analysis
4. Conclusions
Supplementary Materials
Author Contributions
Funding
Institutional Review Board Statement
Informed Consent Statement
Data Availability Statement
Conflicts of Interest
References
- Liang, M.-H.; Wang, L.; Wang, Q.; Zhu, J.; Jiang, J.-G. High-value bioproducts from microalgae: Strategies and progress. Cri. Rev. Food Sci. 2019, 59, 2423–2441. [Google Scholar] [CrossRef] [PubMed]
- Hussain, F.; Shah, S.Z.; Ahmad, H.; Abubshait, S.A.; Abubshait, H.A.; Laref, A.; Manikandan, A.; Kusuma, H.S.; Iqbal, M. Microalgae an ecofriendly and sustainable wastewater treatment option: Biomass application in biofuel and bio-fertilizer production. A review. Renew. Sus. Energ. Rev. 2021, 137, 110603. [Google Scholar] [CrossRef]
- Haley, H.M.S.; Hill, A.G.; Greenwood, A.I.; Woerly, E.M.; Rienstra, C.M.; Burke, M.D. Peridinin is an exceptionally potent and membrane-embedded inhibitor of bilayer lipid peroxidation. J. Am. Chem. Soc. 2018, 140, 15227–15240. [Google Scholar] [CrossRef] [PubMed]
- Onodera, K.-i.; Konishi, Y.; Taguchi, T.; Kiyoto, S.; Tominaga, A. Peridinin from the marine symbiotic dinoflagellate, Symbiodinium sp., regulates eosinophilia in mice. Mar. Drugs 2014, 12, 1773–1787. [Google Scholar] [CrossRef]
- Chuyen, H.V.; Eun, J.-B. Marine carotenoids: Bioactivities and potential benefits to human health. Crit. Rev. Food Sci. 2017, 57, 2600–2610. [Google Scholar]
- Furuichi, N.; Hara, H.; Osaki, T.; Mori, H.; Katsumura, S. Highly efficient stereocontrolled total synthesis of the polyfunctional carotenoid peridinin. Angew. Chem. Int. Edit. 2002, 41, 1023–1026. [Google Scholar] [CrossRef]
- Schaller-Laudel, S.; Volke, D.; Redlich, M.; Kansy, M.; Hoffmann, R.; Wilhelm, C.; Goss, R. The diadinoxanthin diatoxanthin cycle induces structural rearrangements of the isolated FCP antenna complexes of the pennate diatom Phaeodactylum tricornutum. Plant Physiol. Bioch. 2015, 96, 364–376. [Google Scholar] [CrossRef]
- Zhuang, G.; Ye, Y.; Zhao, J.; Zhou, C.; Zhu, J.; Li, Y.; Zhang, J.; Yan, X. Valorization of Phaeodactylum tricornutum for integrated preparation of diadinoxanthin and fucoxanthin. Bioresour. Technol. 2023, 385, 129412. [Google Scholar] [CrossRef]
- Pistelli, L.; Sansone, C.; Smerilli, A.; Festa, M.; Noonan, D.M.; Albini, A.; Brunet, C. MMP-9 and IL-1β as targets for diatoxanthin and related microalgal pigments: Potential chemopreventive and photoprotective agents. Mar. Drugs 2021, 19, 354. [Google Scholar] [CrossRef]
- Sansone, C.; Pistelli, L.; Del Mondo, A.; Calabrone, L.; Fontana, A.; Noonan, D.M.; Albini, A.; Brunet, C. The microalgal diatoxanthin inflects the cytokine storm in SARS-CoV-2 stimulated ACE2 overexpressing lung cells. Antioxidants 2022, 11, 1515. [Google Scholar]
- Olpp, T.; Brückner, R. Total synthesis of the light-harvesting carotenoid peridinin. Angew. Chem. Int. Edit. 2006, 45, 4023–4027. [Google Scholar] [CrossRef]
- Pinto, E.; Catalani, L.H.; Lopes, N.P.; Di Mascio, P.; Colepicolo, P. Peridinin as the major biological carotenoid quencher of singlet oxygen in marine algae Gonyaulax polyedra. Biochem. Bioph. Res. Co. 2000, 268, 496–500. [Google Scholar] [CrossRef] [PubMed]
- Kuczynska, P.; Jemiola-Rzeminska, M. Isolation and purification of all-trans diadinoxanthin and all-trans diatoxanthin from diatom Phaeodactylum tricornutum. J. Appl. Phycol. 2017, 29, 79–87. [Google Scholar] [CrossRef] [PubMed]
- Pagliara, P.; Caroppo, C. Toxicity assessment of Amphidinium carterae, Coolia cfr. monotis and Ostreopsis cfr. ovata (Dinophyta) isolated from the northern Ionian Sea (Mediterranean Sea). Toxicon 2012, 60, 1203–1214. [Google Scholar] [PubMed]
- Stabili, L.; Licciano, M.; Giangrande, A.; Caroppo, C. Filtration of the microalga Amphidinium carterae by the polychaetes Sabella spallanzanii and Branchiomma luctuosum: A new tool for the control of harmful algal blooms? Microorganisms 2022, 10, 156. [Google Scholar] [CrossRef]
- López-Rodríguez, M.; Cerón-García, M.C.; López-Rosales, L.; González-López, C.V.; Molina-Miras, A.; Ramírez-González, A.; Sánchez-Mirón, A.; García-Camacho, F.; Molina-Grima, E. Assessment of multi-step processes for an integral use of the biomass of the marine microalga Amphidinium carterae. Bioresour. Technol. 2019, 282, 370–377. [Google Scholar] [CrossRef]
- Fuentes-Grünewald, C.; Bayliss, C.; Fonlut, F.; Chapuli, E. Long-term dinoflagellate culture performance in a commercial photobioreactor: Amphidinium carterae case. Bioresour. Technol. 2016, 218, 533–540. [Google Scholar] [CrossRef]
- López-Rodríguez, M.; Cerón-García, M.C.; López-Rosales, L.; Navarro-López, E.; Sánchez-Mirón, A.; Molina-Miras, A.; Abreu, A.C.; Fernández, I.; García-Camacho, F. Improved extraction of bioactive compounds from biomass of the marine dinoflagellate microalga Amphidinium carterae. Bioresour. Technol. 2020, 313, 123518. [Google Scholar] [CrossRef]
- Molina-Miras, A.; López-Rosales, L.; Sánchez-Mirón, A.; Cerón-García, M.C.; Seoane-Parra, S.; García-Camacho, F.; Molina-Grima, E. Long-term culture of the marine dinoflagellate microalga Amphidinium carterae in an indoor LED-lighted raceway photobioreactor: Production of carotenoids and fatty acids. Bioresour. Technol. 2018, 265, 257–267. [Google Scholar] [CrossRef]
- Kiani, H.; Aznar, R.; Poojary, M.M.; Tiwari, B.K.; Halim, R. Chromatographic techniques to separate and identify bioactive compounds in microalgae. Front. Energy Res. 2022, 10, 904014. [Google Scholar] [CrossRef]
- Yin, R.; Zhuang, G.; Lei, Y.; Han, J.; Li, Y.; Zhang, J.; Yan, X. Valorization of Nannochloropsis oceanica for integrated co-production of violaxanthin cycle carotenoids. Bioresour. Technol. 2024, 399, 130597. [Google Scholar] [CrossRef] [PubMed]
- Olguín, E.J.; Sánchez-Galván, G.; Arias-Olguín, I.I.; Melo, F.J.; González-Portela, R.E.; Cruz, L.; De Philippis, R.; Adessi, A. Microalgae-based biorefineries: Challenges and future trends to produce carbohydrate enriched biomass, high-added value products and bioactive compounds. Biology 2022, 11, 1146. [Google Scholar] [CrossRef] [PubMed]
- Xiong, Z.-Q.; Guo, M.-J.; Guo, Y.-X.; Chu, J.; Zhuang, Y.-P.; Zhang, S.-L. Efficient extraction of intracellular reduced glutathione from fermentation broth of Saccharomyces cerevisiae by ethanol. Bioresour. Technol. 2009, 100, 1011–1014. [Google Scholar] [CrossRef] [PubMed]
- Yamamura, R.; Shimomura, Y. Industrial high-performance liquid chromatography purification of docosahexaenoic acid ethyl ester and docosapentaenoic acid ethyl ester from single-cell oil. J. Am. Oil Chem. Soc. 1997, 74, 1435–1440. [Google Scholar] [CrossRef]
- Tai, Y.; Shen, J.; Luo, Y.; Qu, H.; Gong, X. Research progress on the ethanol precipitation process of traditional Chinese medicine. Chin. Med. 2020, 15, 84. [Google Scholar] [CrossRef]
- Bušić, A.; Marđetko, N.; Kundas, S.; Morzak, G.; Belskaya, H.; Ivančić Šantek, M.; Komes, D.; Novak, S.; Šantek, B. Bioethanol production from renewable raw materials and its separation and purification: A review. Food Technol. Biotechnol. 2018, 56, 289–311. [Google Scholar] [CrossRef]
- Yoon, H.S.; Hackett, J.D.; Bhattacharya, D. A single origin of the peridinin- and fucoxanthin-containing plastids in dinoflagellates through tertiary endosymbiosis. Proc. Natl. Acad. Sci. USA 2002, 99, 11724–11729. [Google Scholar] [CrossRef]
- Goss, R.; Jakob, T. Regulation and function of xanthophyll cycle-dependent photoprotection in algae. Photosynth. Res. 2010, 106, 103–122. [Google Scholar] [CrossRef]
- Khossravi, D.; Connors, K.A. Solvent effects on chemical processes, I: Solubility of aromatic and heterocyclic compounds in binary aqueous—Organic solvents. J. Pharm. Sci. 1992, 81, 371–379. [Google Scholar] [CrossRef]
- Cai, J.-Q.; Liu, X.-M.; Gao, Z.-J.; Li, L.-L.; Wang, H. Chlorophylls derivatives: Photophysical properties, assemblies, nanostructures and biomedical applications. Mater. Today 2021, 45, 77–92. [Google Scholar] [CrossRef]
- Qiu, S.; Yuan, Y.; Li, X.; Zhao, C.; He, Y.; Tang, B.; Wang, W.; Fan, J. Peridinin-chlorophyll-protein complex industry from algae: A critical review of the current advancements, hurdles, and biotechnological potential. Algal Res. 2023, 72, 103118. [Google Scholar] [CrossRef]
- Sekida, S.; Okuda, K.; Katsumata, K.; Horiguchi, T. A novel type of body scale found in two strains of Amphidinium species (Dinopbyceae). Phycologia 2003, 42, 661–666. [Google Scholar] [CrossRef]
- Cerón García, M.d.C.; González López, C.V.; Fernández Sevilla, J.M.; Molina Grima, E. Preparative recovery of carotenoids from microalgal biomass. In Microbial Carotenoids: Methods and Protocols; Barreiro, C., Barredo, J.-L., Eds.; Springer: New York, NY, USA, 2018; pp. 107–115. [Google Scholar]
- Patra, M.; Salonen, E.; Terama, E.; Vattulainen, I.; Faller, R.; Lee, B.W.; Holopainen, J.; Karttunen, M. Under the influence of alcohol: The effect of ethanol and methanol on lipid bilayers. Biophys. J. 2006, 90, 1121–1135. [Google Scholar] [CrossRef]
- Pan, J.; Tai, Y.; Qu, H.; Gong, X. Optimization of membrane dispersion ethanol precipitation process with a set of temperature control improved equipment. Sci. Rep. 2020, 10, 19010. [Google Scholar] [CrossRef]
- Krane, J.; Aakermann, T.; Liaaen-Jensen, S. Algal carotenoids 47–NMR study of all-trans-peridinin, including complete 1H and 13C NMR assignments. Magn. Reson. Chem. 1992, 30, 1169–1177. [Google Scholar] [CrossRef]
- Kim, D.; Filtz, M.R.; Proteau, P.J. The Methylerythritol Phosphate Pathway Contributes to Carotenoid But Not Phytol Biosynthesis in Euglena gracilis. J. Nat. Prod. 2004, 67, 1067–1069. [Google Scholar] [CrossRef] [PubMed]
- Konishi, I.; Hosokawa, M.; Sashima, T.; Maoka, T.; Miyashita, K. Suppressive effects of alloxanthin and diatoxanthin from Halocynthia roretzi on LPS-induced expression of pro-inflammatory genes in RAW264.7 cells. J. Oleo Sci. 2008, 57, 181–189. [Google Scholar] [CrossRef] [PubMed]
- Britton, G. Structure and properties of carotenoids in relation to function. Faseb J. 1995, 9, 1551–1558. [Google Scholar] [CrossRef]
- Zigmantas, D.; Hiller, R.G.; Sundström, V.; Polívka, T. Carotenoid to chlorophyll energy transfer in the peridinin–chlorophyll-a–protein complex involves an intramolecular charge transfer state. Proc. Natl. Acad. Sci. USA 2002, 99, 16760–16765. [Google Scholar] [CrossRef]
- Kuczynska, P.; Jemiola-Rzeminska, M.; Strzalka, K. Photosynthetic Pigments in Diatoms. Mar. Drugs 2015, 13, 5847–5881. [Google Scholar] [CrossRef]
- Bufka, J.; Vaňková, L.; Sýkora, J.; Křížková, V. Exploring carotenoids: Metabolism, antioxidants, and impacts on human health. J. Funct. Foods 2024, 118, 106284. [Google Scholar] [CrossRef]
- Hong, Z.; Qiu, S.; E, J.; Zhang, W.; Yuan, Y.; Sun, L.; Fan, J. Mining marine dinoflagellate Amphidinium carterae for peridinin production by optimizing light conditions and mixotrophy strategy. Bioresour. Technol. 2025, 433, 132705. [Google Scholar] [CrossRef]
- Ameen, F.; Mathivanan, K.; Zhang, R.; Ravi, G.; Rajasekar, S. One factor at a time and two-factor optimization of transesterification parameters through central composite design (CCD) for the conversion of used peanut oil (UPNO) to biodiesel. Fuel 2023, 352, 129065. [Google Scholar] [CrossRef]
- Sachindra, N.M.; Sato, E.; Maeda, H.; Hosokawa, M.; Niwano, Y.; Kohno, M.; Miyashita, K. Radical scavenging and singlet oxygen quenching activity of marine carotenoid fucoxanthin and its metabolites. J. Agric. Food Chem. 2007, 55, 8516–8522. [Google Scholar] [CrossRef]
- Osman, H.; Rahim, A.A.; Isa, N.M.; Bakhir, N.M. Antioxidant activity and phenolic content of Paederia foetida and Syzygium aqueum. Molecules 2009, 14, 970–978. [Google Scholar] [CrossRef]












Disclaimer/Publisher’s Note: The statements, opinions and data contained in all publications are solely those of the individual author(s) and contributor(s) and not of MDPI and/or the editor(s). MDPI and/or the editor(s) disclaim responsibility for any injury to people or property resulting from any ideas, methods, instructions or products referred to in the content. |
© 2025 by the authors. Licensee MDPI, Basel, Switzerland. This article is an open access article distributed under the terms and conditions of the Creative Commons Attribution (CC BY) license (https://creativecommons.org/licenses/by/4.0/).
Share and Cite
Li, Y.; Zhuang, G.; Zhang, X.; Cui, W.; Hong, Z.; Fan, J.; Zhang, J.; Yan, X. Valorization of Amphidinium carterae for Integrated Preparation of Peridinin and Diadinoxanthin Cycle Carotenoids. Mar. Drugs 2025, 23, 405. https://doi.org/10.3390/md23100405
Li Y, Zhuang G, Zhang X, Cui W, Hong Z, Fan J, Zhang J, Yan X. Valorization of Amphidinium carterae for Integrated Preparation of Peridinin and Diadinoxanthin Cycle Carotenoids. Marine Drugs. 2025; 23(10):405. https://doi.org/10.3390/md23100405
Chicago/Turabian StyleLi, Yi, Gengjie Zhuang, Xuan Zhang, Wei Cui, Zhiwei Hong, Jianhua Fan, Jinrong Zhang, and Xiaojun Yan. 2025. "Valorization of Amphidinium carterae for Integrated Preparation of Peridinin and Diadinoxanthin Cycle Carotenoids" Marine Drugs 23, no. 10: 405. https://doi.org/10.3390/md23100405
APA StyleLi, Y., Zhuang, G., Zhang, X., Cui, W., Hong, Z., Fan, J., Zhang, J., & Yan, X. (2025). Valorization of Amphidinium carterae for Integrated Preparation of Peridinin and Diadinoxanthin Cycle Carotenoids. Marine Drugs, 23(10), 405. https://doi.org/10.3390/md23100405

