The Effect of Physical Activity on Anterior Segment Structures and the Retinal Nerve Fiber Layer: A Comparison of Elite Athletes and Sedentary Individuals
Abstract
1. Introduction
2. Materials and Methods
2.1. Participants
2.2. Study Design
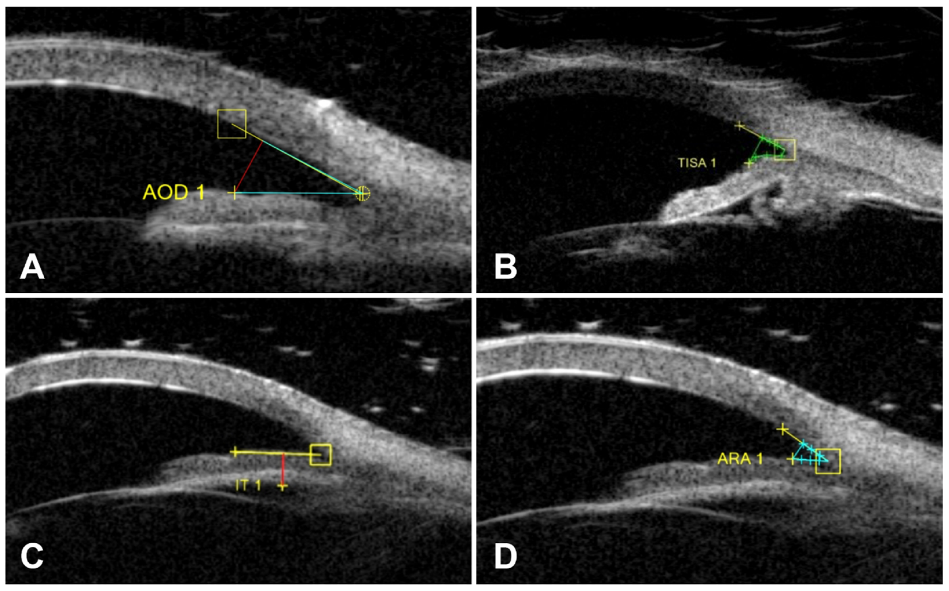
2.3. Procedures
2.4. Statistical Analysis
3. Results
4. Discussion
5. Conclusions
Author Contributions
Funding
Institutional Review Board Statement
Informed Consent Statement
Data Availability Statement
Acknowledgments
Conflicts of Interest
References
- Wylęgała, A. The Effects of Physical Exercises on Ocular Physiology: A Review. J. Glaucoma 2016, 25, e843–e849. [Google Scholar] [CrossRef] [PubMed]
- Read, S.A.; Collins, M.J. The Short-Term Influence of Exercise on Axial Length and Intraocular Pressure. Eye 2011, 25, 767–774. [Google Scholar] [CrossRef] [PubMed]
- Hirano, M.; Hutchings, N.; Simpson, T.; Dalton, K. Validity and Repeatability of a Novel Dynamic Visual Acuity System. Optom. Vis. Sci. 2017, 94, 616–625. [Google Scholar] [CrossRef] [PubMed]
- Jorge, J.; Jorge, J.P. Relationship between Dynamic Visual Acuity and Static Visual Acuity, Refractive Error, and Binocular Vision in Elite Soccer Players. Clin. Exp. Optom. 2024, 107, 820–825. [Google Scholar] [CrossRef]
- Meier, N.F.; Lee, D.-C.; Sui, X.; Blair, S.N. Physical Activity, Cardiorespiratory Fitness, and Incident Glaucoma. Med. Sci. Sports Exerc. 2018, 50, 2253–2258. [Google Scholar] [CrossRef]
- Williams, P.T. Prospective Epidemiological Cohort Study of Reduced Risk for Incident Cataract with Vigorous Physical Activity and Cardiorespiratory Fitness during a 7-Year Follow-Up. Investig. Opthalmology Vis. Sci. 2009, 50, 95–100. [Google Scholar] [CrossRef]
- Yokota, S.; Takihara, Y.; Kimura, K.; Takamura, Y.; Inatani, M. The Relationship between Self-Reported Habitual Exercise and Visual Field Defect Progression: A Retrospective Cohort Study. BMC Ophthalmol. 2016, 16, 147. [Google Scholar] [CrossRef]
- Williams, P.T. Walking and Running Are Associated with Similar Reductions in Cataract Risk. Med. Sci. Sports Exerc. 2013, 45, 1089–1096. [Google Scholar] [CrossRef]
- Zhang, Q.; Jiang, Y.; Deng, C.; Wang, J. Effects and Potential Mechanisms of Exercise and Physical Activity on Eye Health and Ocular Diseases. Front. Med. 2024, 11, 1353624. [Google Scholar] [CrossRef]
- Yan, X.; Li, M.; Song, Y.; Guo, J.; Zhao, Y.; Chen, W.; Zhang, H. Influence of Exercise on Intraocular Pressure, Schlemm’s Canal, and the Trabecular Meshwork. Investig. Opthalmology Vis. Sci. 2016, 57, 4733. [Google Scholar] [CrossRef]
- Mauget-Faÿsse, M.; Arej, N.; Paternoster, M.; Zuber, K.; Derrien, S.; Thevenin, S.; Alonso, A.-S.; Salviat, F.; Lafolie, J.; Vasseur, V. Retinal and Choroidal Blood Flow Variations after an Endurance Exercise: A Real-Life Pilot Study at the Paris Marathon. J. Sci. Med. Sport 2021, 24, 1100–1104. [Google Scholar] [CrossRef]
- Dada, T.; Sihota, R.; Gadia, R.; Aggarwal, A.; Mandal, S.; Gupta, V. Comparison of Anterior Segment Optical Coherence Tomography and Ultrasound Biomicroscopy for Assessment of the Anterior Segment. J. Cataract Refract. Surg. 2007, 33, 837–840. [Google Scholar] [CrossRef]
- Genç, Ç.D.; Yılmaz, A.K.; Kurt, M.M.; Özgür, G.; Aydın, E.; Yılmaz, C. Comparison of Choroidal Thickness, Superficial and Deep Retinal Vascular Indices, and Foveal Avascular Zones: Martial Arts Athletes vs Healthy Non-Athletes. Photodiagnosis Photodyn. Ther. 2024, 48, 104266. [Google Scholar] [CrossRef]
- Ugurlu, A.; Icel, E. Retinal Microvascular Vessel Density Differences between Adult Athletes and Nonathletes. Optom. Vis. Sci. 2021, 98, 839–845. [Google Scholar] [CrossRef] [PubMed]
- Quevedo-Junyent, L.; Aznar-Casanova, J.A.; Merindano-Encina, D.; Cardona, G.; Solé-Fortó, J. Comparison of Dynamic Visual Acuity Between Water Polo Players and Sedentary Students. Res. Q. Exerc. Sport 2011, 82, 644–651. [Google Scholar] [CrossRef] [PubMed]
- Harris, A.; Malinovsky, V.; Martin, B. Correlates of Acute Exercise-Induced Ocular Hypotension. Investig. Ophthalmol. Vis. Sci. 1994, 35, 3852–3857. [Google Scholar]
- Conte, M.; Baldin, A.; Russo, M.; Storti, L.; Caldara, A.; Cozza, H.; Ciolac, E. Effects of High-Intensity Interval vs. Continuous Moderate Exercise on Intraocular Pressure. Int. J. Sports Med. 2014, 35, 874–878. [Google Scholar] [CrossRef]
- Qureshi, I.A. Effects of Mild, Moderate and Severe Exercise on Intraocular Pressure of Sedentary Subjects. Ann. Hum. Biol. 1995, 22, 545–553. [Google Scholar] [CrossRef]
- Avunduk, A.M.; Yilmaz, B.; Şahin, N.; Kapicioglu, Z.; Dayanır, V. The Comparison of Intraocular Pressure Reductions after Isometric and Isokinetic Exercises in Normal Individuals. Ophthalmologica 1999, 213, 290–294. [Google Scholar] [CrossRef]
- Dane, S.; Koçer, I.; Demirel, H.; Uçok, K.; Tan, U. Long-Term Effects of Mild Exercise on Intraocular Pressure in Athletes and Sedentary Subjects. Int. J. Neurosci. 2006, 116, 1207–1214. [Google Scholar] [CrossRef]
- Langham, M.; Rosenthal, A. Role of Cervical Sympathetic Nerve in Regulating Intraocular Pressure and Circulation. Am. J. Physiol. Content 1966, 210, 786–794. [Google Scholar] [CrossRef]
- McDougal, D.H.; Gamlin, P.D. Autonomic Control of the Eye. Compr. Physiol. 2015, 5, 439–473. [Google Scholar] [CrossRef]
- Steinle, J.J.; Krizsan-Agbas, D.; Smith, P.G. Regional Regulation of Choroidal Blood Flow by Autonomic Innervation in the Rat. Am. J. Physiol. Integr. Comp. Physiol. 2000, 279, R202–R209. [Google Scholar] [CrossRef]
- Güngör, K.; Beydaăi, H.; Bekir, N.; Arslan, C.; Süer, C.; Erbağci, İ.; Ergenoğlu, T.; Aynacioğlu, A. The Impact of Acute Dynamic Exercise on Intraocular Pressure: Role of the β 2 -Adrenergic Receptor Polymorphism. J. Int. Med. Res. 2002, 30, 26–33. [Google Scholar] [CrossRef]
- Höhn, R.; Kottler, U.; Peto, T.; Blettner, M.; Münzel, T.; Blankenberg, S.; Lackner, K.J.; Beutel, M.; Wild, P.S.; Pfeiffer, N. The Ophthalmic Branch of the Gutenberg Health Study: Study Design, Cohort Profile and Self-Reported Diseases. PLoS ONE 2015, 10, e0120476. [Google Scholar] [CrossRef]
- Huang, D.; Swanson, E.A.; Lin, C.P.; Schuman, J.S.; Stinson, W.G.; Chang, W.; Hee, M.R.; Flotte, T.; Gregory, K.; Puliafito, C.A.; et al. Optical Coherence Tomography. Science 1991, 254, 1178–1181. [Google Scholar] [CrossRef] [PubMed]
- Li, K.; Yang, G.; Chang, S.; Yao, J.; He, C.; Lu, F.; Wang, X.; Wang, Z. Comprehensive Assessment of the Anterior Segment in Refraction Corrected OCT Based on Multitask Learning. Biomed. Opt. Express 2023, 14, 3968. [Google Scholar] [CrossRef] [PubMed]
- Kojima, T.; Yokoyama, S.; Ito, M.; Horai, R.; Hara, S.; Nakamura, T.; Ichikawa, K. Optimization of an Implantable Collamer Lens Sizing Method Using High-Frequency Ultrasound Biomicroscopy. Am. J. Ophthalmol. 2012, 153, 632–637.e1. [Google Scholar] [CrossRef] [PubMed]
- Zhang, J.; Luo, H.H.; Zhuang, J.; Yu, K.M. Comparison of Anterior Section Parameters Using Anterior Segment Optical Coherence Tomography and Ultrasound Biomicroscopy in Myopic Patients after ICL Implantation. Int. J. Ophthalmol. 2016, 9, 58. [Google Scholar] [CrossRef]
- Dimitrova, G.; Trenceva, A. The Short-Term Effect of Yoga Ocular Exercise on Intra-Ocular Pressure. Acta Ophthalmol. 2017, 95, e81–e82. [Google Scholar] [CrossRef]
- Li, M.; Song, Y.; Zhao, Y.; Yan, X.; Zhang, H. Influence of Exercise on the Structure of the Anterior Chamber of the Eye. Acta Ophthalmol. 2018, 96, e247–e253. [Google Scholar] [CrossRef]
- Gene-Morales, J.; Gené-Sampedro, A.; Salvador-Palmer, R.; Colado, J.C. Effects of Squatting with Elastic Bands or Conventional Resistance-Training Equipment at Different Effort Levels in Post-Exercise Intraocular Pressure of Healthy Men. Biol. Sport 2022, 39, 895–903. [Google Scholar] [CrossRef] [PubMed]
- Xie, L.; Liu, R.; Jiang, X.; Ni, C.; Wang, B.; Hou, C.; Lan, D.; Du, W.; Xie, X. Carbon Induced Multiple Interfaces and In-Situ Formed Defects in Oxidation of Co toward Enhancing Microwave Absorption Performances. Carbon 2025, 238, 120272. [Google Scholar] [CrossRef]
- Radhakrishnan, S. Comparison of Optical Coherence Tomography and Ultrasound Biomicroscopy for Detection of Narrow Anterior Chamber Angles. Arch. Ophthalmol. 2005, 123, 1053. [Google Scholar] [CrossRef] [PubMed]
- Seager, F.E.; Jefferys, J.L.; Quigley, H.A. Comparison of Dynamic Changes in Anterior Ocular Structures Examined With Anterior Segment Optical Coherence Tomography in a Cohort of Various Origins. Investig. Opthalmology Vis. Sci. 2014, 55, 1672. [Google Scholar] [CrossRef]
- Haargaard, B.; Jensen, P.K.; Kessing, S.V.; Nissen, O.I. Exercise and Iris Concavity in Healthy Eyes. Acta Ophthalmol. Scand. 2001, 79, 277–282. [Google Scholar] [CrossRef]
- Triolo, G.; Barboni, P.; Savini, G.; De Gaetano, F.; Monaco, G.; David, A.; Scialdone, A. The Use of Anterior-Segment Optical-Coherence Tomography for the Assessment of the Iridocorneal Angle and Its Alterations: Update and Current Evidence. J. Clin. Med. 2021, 10, 231. [Google Scholar] [CrossRef]
- Risner, D.; Ehrlich, R.; Kheradiya, N.S.; Siesky, B.; McCranor, L.; Harris, A. Effects of Exercise on Intraocular Pressure and Ocular Blood Flow. J. Glaucoma 2009, 18, 429–436. [Google Scholar] [CrossRef]
- Ma, Q.-Y.; Zhou, J.; Xue, Y.-X.; Xia, Y.-T.; Wu, J.-G.; Yang, X.-X. Analysis of Aerobic Exercise Influence on Intraocular Pressure and Ocular Perfusion Pressure in Patients with Primary Open-Angle Glaucoma: A Randomized Clinical Trial. Indian J. Ophthalmol. 2022, 70, 4228–4234. [Google Scholar] [CrossRef]
- Heijl, A. Reduction of Intraocular Pressure and Glaucoma Progression. Arch. Ophthalmol. 2002, 120, 1268. [Google Scholar] [CrossRef]
- Leske, M.C.; Heijl, A.; Hussein, M.; Bengtsson, B.; Hyman, L.; Komaroff, E. Early Manifest Glaucoma Trial Group Factors for Glaucoma Progression and the Effect of Treatment: The Early Manifest Glaucoma Trial. Arch. Ophthalmol. 2003, 121, 48–56. [Google Scholar] [CrossRef] [PubMed]
- Kass, M.A.; Heuer, D.K.; Higginbotham, E.J.; Johnson, C.A.; Keltner, J.L.; Miller, J.P.; Parrish, R.K.; Wilson, M.R.; Gordon, M.O. The Ocular Hypertension Treatment Study: A Randomized Trial Determines That Topical Ocular Hypotensive Medication Delays or Prevents the Onset of Primary Open-Angle Glaucoma. Arch. Ophthalmol. 2002, 120, 701–713. [Google Scholar] [CrossRef] [PubMed]
- Guo, J.-M.; Li, M.; Xu, X.-L.; Zhang, H.; Wang, J.-M. Anterior Segment Changes after Pharmacologic Mydriasis Using Pentacam and Optical Coherence Tomography in Angle Closure Suspects. Int. J. Ophthalmol. 2015, 8, 980–984. [Google Scholar] [CrossRef] [PubMed]
- Kur, J.; Newman, E.A.; Chan-Ling, T. Cellular and Physiological Mechanisms Underlying Blood Flow Regulation in the Retina and Choroid in Health and Disease. Prog. Retin. Eye Res. 2012, 31, 377–406. [Google Scholar] [CrossRef]
- Nongpiur, M.E.; He, M.; Amerasinghe, N.; Friedman, D.S.; Tay, W.-T.; Baskaran, M.; Smith, S.D.; Wong, T.Y.; Aung, T. Lens Vault, Thickness, and Position in Chinese Subjects with Angle Closure. Ophthalmology 2011, 118, 474–479. [Google Scholar] [CrossRef]
- Cheon, M.H.; Sung, K.R.; Choi, E.H.; Kang, S.Y.; Cho, J.W.; Lee, S.; Kim, J.Y.; Tchah, H.W.; Kook, M.S. Effect of Age on Anterior Chamber Angle Configuration in Asians Determined by Anterior Segment Optical Coherence Tomography; Clinic-Based Study. Acta Ophthalmol. 2010, 88, e205–e210. [Google Scholar] [CrossRef]
- Amerasinghe, N.; Foster, P.J.; Wong, T.Y.; Htoon, H.M.; He, M.; Shen, S.Y.; Aung, H.T.; Saw, S.-M.; Aung, T. Variation of Angle Parameters in Asians: An Anterior Segment Optical Coherence Tomography Study in a Population of Singapore Malays. Investig. Ophthalmol. Vis. Sci. 2009, 50, 2626–2631. [Google Scholar] [CrossRef]
- Bao, M.; Harada, R.; Kasai, Y.; Okabe, N.; Takahashi, A.; Kuleshov, C.; Shigemoto, Y.; Ooka, T.; Yokomichi, H.; Miyake, K.; et al. Anterior Chamber Configuration and Its Related Factors Among 8-Year-Old Children in the Yamanashi Adjunct Study of the Japan Environment and Children’s Study. J. Clin. Med. 2025, 14, 5454. [Google Scholar] [CrossRef]
- Moreles, E.; Martínez-López, B.; Higuera-Parra, S.; Olvera-Prado, E.R.; Zavala-Hidalgo, J. Short- and Long-Term Relationships between the Yucatan Channel Transport and the Loop Current System. arXiv 2024, arXiv:2411.02202. [Google Scholar] [CrossRef]
- Jiang, Y.; Wang, D.; Wang, W.; Chen, F.; Wang, L.; Scheetz, J.; Huang, W.; Huang, S.; He, M. Five-Year Changes in Anterior Segment Parameters in an Older Population in Urban Southern China: The Liwan Eye Study. Br. J. Ophthalmol. 2020, 104, 582–587. [Google Scholar] [CrossRef]
- Sawicki, A.; Wilkos-Kuc, A.; Żarnowski, T. Quantitative Evaluation of Anterior Chamber Parameters Using Anterior Segment Optical Coherence Tomography in Primary Angle Closure Mechanisms in Caucasian Eyes. Ophthalmol. J. 2024, 9, 68–76. [Google Scholar] [CrossRef]
- Kashani, A.H.; Zimmer-Galler, I.E.; Shah, S.M.; Dustin, L.; Do, D.V.; Eliott, D.; Haller, J.A.; Nguyen, Q.D. Retinal Thickness Analysis by Race, Gender, and Age Using Stratus OCT. Am. J. Ophthalmol. 2010, 149, 496–502.e1. [Google Scholar] [CrossRef]
- Kawano, H.; Sonoda, S.; Saito, S.; Terasaki, H.; Sakamoto, T. Choroidal Structure Altered by Degeneration of Retina in Eyes with Retinitis Pigmentosa. Retina 2017, 37, 2175–2182. [Google Scholar] [CrossRef]
- Rathinam, N.; Kasturi, N.; Kaliaperumal, S.; Jayaseelan, V. Correlation between Retinal Nerve Fiber Layer Thickness and Anterior Segment Parameters in Patients with Pseudoexfoliation: A Cross-Sectional Comparative Study. Oman J. Ophthalmol. 2023, 16, 252–257. [Google Scholar] [CrossRef] [PubMed]
- Flammer, J.; Mozaffarieh, M. Autoregulation, a Balancing Act between Supply and Demand. Can. J. Ophthalmol. 2008, 43, 317–321. [Google Scholar] [CrossRef] [PubMed]
- Pinilla, I.; Garcia-Martin, E.; Idoipe, M.; Sancho, E.; Fuertes, I. Comparison of Retinal Nerve Fiber Layer Thickness Measurements in Healthy Subjects Using Fourier and Time Domain Optical Coherence Tomography. J. Ophthalmol. 2012, 2012, 107053. [Google Scholar] [CrossRef]
- Wang, Y.X.; Pan, Z.; Zhao, L.; You, Q.S.; Xu, L.; Jonas, J.B. Retinal Nerve Fiber Layer Thickness. The Beijing Eye Study 2011. PLoS ONE 2013, 8, e66763. [Google Scholar] [CrossRef]
- Chua, J.; Li, C.; Wong, D.W.K.; Chong, R.S.; Husain, R.; Wong, T.T.; Vass, C.; Cheng, C.-Y.; Aung, T.; Schmetterer, L. Anatomical Compensation of Retinal Nerve Fiber Layer Improves the Detection of Glaucoma between Ethnicities. Ann. N. Y. Acad. Sci. 2024, 1540, 338–349. [Google Scholar] [CrossRef]
- Kim, J.; Bollaert, R.E.; Cerna, J.; Adamson, B.C.; Robbs, C.M.; Khan, N.A.; Motl, R.W. Moderate-to-Vigorous Physical Activity Is Related With Retinal Neuronal and Axonal Integrity in Persons With Multiple Sclerosis. Neurorehabil. Neural Repair 2022, 36, 810–815. [Google Scholar] [CrossRef]
- Stephens, S.; Iseyas, N.; Yeh, E.A. Physical Activity Demonstrates Protective Associations with Structural Visual Metrics in Children with Multiple Sclerosis through Time. Mult. Scler. 2025, 31, 1070–1077. [Google Scholar] [CrossRef]
- Chauhan, B.C.; McCormick, T.A.; Nicolela, M.T.; LeBlanc, R.P. Optic Disc and Visual Field Changes in a Prospective Longitudinal Study of Patients with Glaucoma: Comparison of Scanning Laser Tomography with Conventional Perimetry and Optic Disc Photography. Arch. Ophthalmol. 2001, 119, 1492–1499. [Google Scholar] [CrossRef]





| Athletes (n = 33) | Sedentary (n = 42) | |||
|---|---|---|---|---|
| Mean ± SD | Mean ± SD | p | ||
| Age (year) | F | 21.44 ± 1.69 | 22.75 ± 2.28 | 0.135 |
| M | 21.04 ± 3.14 | 23.07 ± 1.98 | 0.023 * | |
| Total | 21.15 ± 2.83 | 22.88 ± 2.17 | 0.004 * | |
| Gender (n/%) | F | 9 (27.27) | 24 (57.14) | |
| M | 24 (72.72) | 18 (42.86) | ||
| AL (mm) | 22.90 ± 1.16 | 22.86 ± 1.16 | 0.834 | |
| BCVA (logMAR) | −0.06 ± 0.09 | −0.07 ± 0.08 | 0.538 | |
| Sedentary (n = 33) | Athletes (n = 42) | ANCOVA | ||
|---|---|---|---|---|
| Group | Mean ± SD | Mean ± SD | p | |
| AOD500 (mm) | 0.99 ± 0.37 | 0.97 ± 0.39 | 0.250 | 0.009 |
| TIA500 (°) | 42.57 ± 7.73 | 41.28 ± 8.08 | 0.021 * | 0.036 |
| IT750 (mm) | 0.55 ± 0.08 | 0.57 ± 0.10 | 0.405 | 0.005 |
| ARA500 (mm2) | 0.15 ± 0.06 | 0.15 ± 0.08 | 0.389 | 0.005 |
| TISA500 (mm2) | 0.16 ± 0.07 | 0.15 ± 0.08 | 0.190 | 0.012 |
| CCT (μm) | 543.93 ± 15.03 | 546.15 ± 30.25 | 0.437 | 0.004 |
| IOP (mmHg) | 15.82 ± 2.69 | 14.61 ± 1.80 | 0.004 * | 0.057 |
| Right (n= 75) | Left (n= 75) | ANCOVA | ||
| Side | Mean ± SD | Mean ± SD | p | |
| AOD500 (mm) | 0.99 ± 0.42 | 0.98 ± 0.34 | 0.866 | <0.001 |
| TIA500 (°) | 41.89 ± 8.00 | 42.11 ± 7.82 | 0.863 | <0.001 |
| IT750 (mm) | 0.56 ± 0.10 | 0.55 ± 0.08 | 0.300 | 0.007 |
| ARA500 (mm2) | 0.15 ± 0.08 | 0.15 ± 0.06 | 0.536 | 0.003 |
| TISA500 (mm2) | 0.155 ± 0.08 | 0.16 ± 0.07 | 0.870 | <0.001 |
| CCT (μm) | 544.97 ± 23.61 | 544.84 ± 22.41 | 0.972 | <0.001 |
| IOP (mmHg) | 15.71 ± 2.70 | 14.87 ± 2.02 | 0.027 * | 0.033 |
| Female (n = 33) | Male (n = 42) | ANCOVA | ||
| Gender | Mean ± SD | Mean ± SD | p | |
| AOD500 (mm) | 0.92 ± 0.33 | 1.04 ± 0.41 | 0.030 * | 0.032 |
| TIA500 (°) | 41.27 ± 7.97 | 42.58 ± 7.81 | 0.156 | 0.014 |
| IT750 (mm) | 0.54 ± 0.08 | 0.57 ± 0.10 | 0.201 | 0.011 |
| ARA500 (mm2) | 0.13 ± 0.05 | 0.16 ± 0.08 | 0.019 * | 0.038 |
| TISA500 (mm2) | 0.15 ± 0.06 | 0.17 ± 0.08 | 0.062 | 0.024 |
| CCT (μm) | 543.20 ± 15.73 | 546.25 ± 27.33 | 0.515 | 0.003 |
| IOP (mmHg) | 15.68 ± 2.86 | 14.98 ± 1.95 | 0.349 | 0.006 |
| Sedentary (n = 33) | Athletes (n = 42) | ANCOVA | ||
|---|---|---|---|---|
| Group | Mean ± SD | Mean ± SD | p | |
| TOTAL (µm) | 107.87 ± 8.71 | 109.48 ± 8.63 | 0.671 | 0.001 |
| SUPERIOR (µm) | 135.23 ± 14.04 | 138.14 ± 10.27 | 0.277 | 0.008 |
| INFERIOR (µm) | 139.71 ± 15.15 | 140.05 ± 12.01 | 0.886 | <0.001 |
| NASAL (µm) | 82.65 ± 12.84 | 86.70 ± 13.42 | 0.210 | 0.011 |
| TEMPORAL (µm) | 75.02 ± 7.61 | 76.21 ± 7.81 | 0.105 | 0.018 |
| Right (n = 75) | Left (n = 75) | ANCOVA | ||
| Side | Mean ± SD | Mean ± SD | p | |
| TOTAL (µm) | 108.87 ± 8.88 | 108.29 ± 8.54 | 0.684 | 0.001 |
| SUPERIOR (µm) | 134.72 ± 12.85 | 138.29 ± 12.1 | 0.081 | 0.021 |
| INFERIOR (µm) | 140.27 ± 14.42 | 139.45 ± 13.26 | 0.721 | 0.001 |
| NASAL (µm) | 85.47 ± 12.1 | 83.40 ± 14.24 | 0.337 | 0.006 |
| TEMPORAL (µm) | 77.36 ± 7.79 | 73.73 ± 7.21 | 0.003 * | 0.058 |
| Female (n = 33) | Male (n= 42) | ANCOVA | ||
| Gender | Mean ± SD | Mean ± SD | p | |
| TOTAL (µm) | 108.65 ± 6.91 | 108.52 ± 9.9 | 0.662 | 0.001 |
| SUPERIOR (µm) | 136.5 ± 12.87 | 136.51 ± 12.4 | 0.666 | 0.001 |
| INFERIOR (µm) | 140.3 ± 11.59 | 139.51 ± 15.4 | 0.690 | 0.001 |
| NASAL (µm) | 82.50 ± 13.04 | 85.95 ± 13.22 | 0.277 | 0.008 |
| TEMPORAL (µm) | 76.44 ± 6.73 | 74.85 ± 8.35 | 0.097 | 0.019 |
Disclaimer/Publisher’s Note: The statements, opinions and data contained in all publications are solely those of the individual author(s) and contributor(s) and not of MDPI and/or the editor(s). MDPI and/or the editor(s) disclaim responsibility for any injury to people or property resulting from any ideas, methods, instructions or products referred to in the content. |
© 2025 by the authors. Published by MDPI on behalf of the Lithuanian University of Health Sciences. Licensee MDPI, Basel, Switzerland. This article is an open access article distributed under the terms and conditions of the Creative Commons Attribution (CC BY) license (https://creativecommons.org/licenses/by/4.0/).
Share and Cite
Deniz Genç, Ç.; Korkmaz Salkılıç, E.; Anıl, B.; Akdemir, E.; Yılmaz, C.; Yılmaz, A.K. The Effect of Physical Activity on Anterior Segment Structures and the Retinal Nerve Fiber Layer: A Comparison of Elite Athletes and Sedentary Individuals. Medicina 2025, 61, 1623. https://doi.org/10.3390/medicina61091623
Deniz Genç Ç, Korkmaz Salkılıç E, Anıl B, Akdemir E, Yılmaz C, Yılmaz AK. The Effect of Physical Activity on Anterior Segment Structures and the Retinal Nerve Fiber Layer: A Comparison of Elite Athletes and Sedentary Individuals. Medicina. 2025; 61(9):1623. https://doi.org/10.3390/medicina61091623
Chicago/Turabian StyleDeniz Genç, Çiğdem, Esra Korkmaz Salkılıç, Berna Anıl, Enes Akdemir, Coşkun Yılmaz, and Ali Kerim Yılmaz. 2025. "The Effect of Physical Activity on Anterior Segment Structures and the Retinal Nerve Fiber Layer: A Comparison of Elite Athletes and Sedentary Individuals" Medicina 61, no. 9: 1623. https://doi.org/10.3390/medicina61091623
APA StyleDeniz Genç, Ç., Korkmaz Salkılıç, E., Anıl, B., Akdemir, E., Yılmaz, C., & Yılmaz, A. K. (2025). The Effect of Physical Activity on Anterior Segment Structures and the Retinal Nerve Fiber Layer: A Comparison of Elite Athletes and Sedentary Individuals. Medicina, 61(9), 1623. https://doi.org/10.3390/medicina61091623

