Impact of Sarcopenia on Treatment Outcomes and Toxicity in Locally Advanced Rectal Cancer
Abstract
1. Introduction
2. Materials and Methods
2.1. Patient Selection
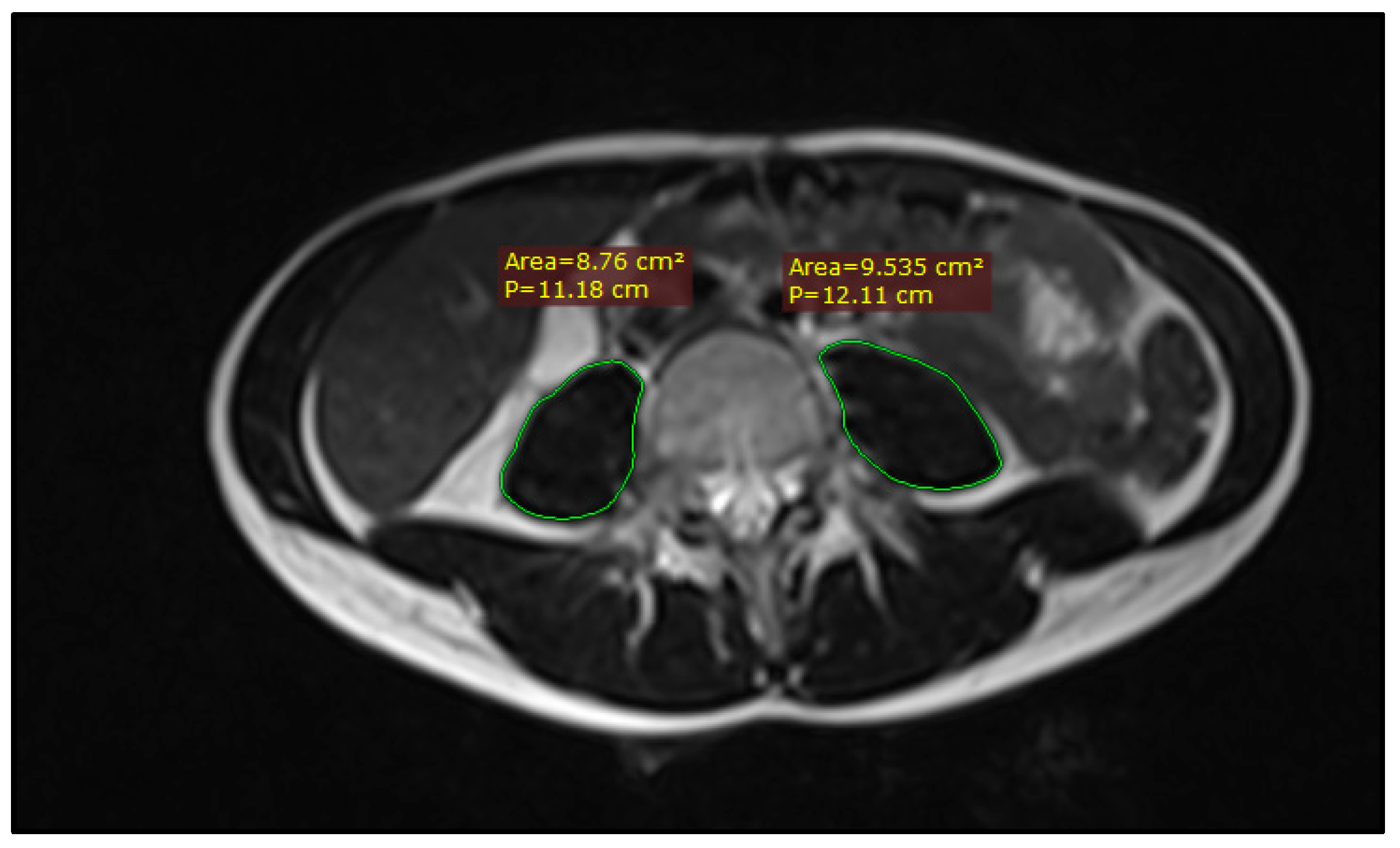
2.2. Sarcopenia Measurement
2.3. Statistical Analysis
2.4. Outcome Evaluation
3. Results
4. Discussion
5. Conclusions
Author Contributions
Funding
Institutional Review Board Statement
Informed Consent Statement
Data Availability Statement
Acknowledgments
Conflicts of Interest
References
- Gabbani, M.; Giorgi, C.; Napoli, G.; Tebano, U.; Perrone, M.S.; Missiroli, S.; Berretta, M.; Mandarà, M.; Zaninelli, M.; Luca, N.; et al. Outcomes of Locally Advanced Rectal Cancer Patients Treated with Total Neoadjuvant Treatment: A Meta-Anaysis of Randomized Controlled Trials. Clin. Colorectal Cancer 2022, 21, 297–308. [Google Scholar] [CrossRef] [PubMed]
- Guren, M.G.; Kørner, H.; Pfeffer, F.; Myklebust, T.A.; Eriksen, M.T.; Edna, T.H.; Larsen, S.G.; Knudsen, K.O.; Nesbakken, A.; Wasmuth, H.H.; et al. Nationwide Improvement of Rectal Cancer Treatment Outcomes in Norway, 1993–2010. Acta Oncol. 2015, 54, 1714–1722. [Google Scholar] [CrossRef] [PubMed]
- Dijkstra, E.A.; Nilsson, P.J.; Hospers, G.A.P.; Bahadoer, R.R.; Meershoek-Klein Kranenbarg, E.; Roodvoets, A.G.H.; Putter, H.; Berglund, Å.; Cervantes, A.; Crolla, R.M.P.H.; et al. Locoregional Failure During and After Short-Course Radiotherapy Followed by Chemotherapy and Surgery Compared With Long-Course Chemoradiotherapy and Surgery: A 5-Year Follow-up of the RAPIDO Trial. Ann. Surg. 2023, 278, E766–E772. [Google Scholar] [CrossRef] [PubMed]
- Conroy, T.; Castan, F.; Etienne, P.-L.; Rio, E.; Mesgouez-Nebout, N.; Evesque, L.; Vendrely, V.; Artignan, X.; Bouché, O.; Gargot, D.; et al. Total Neoadjuvant Therapy with MFOLFIRINOX versus Preoperative Chemoradiotherapy in Patients with Locally Advanced Rectal Cancer: Long-Term Results of the UNICANCER-PRODIGE 23 Trial. Ann. Oncol. 2024, 35, 873–881. [Google Scholar] [CrossRef]
- Cruz-Jentoft, A.J.; Sayer, A.A. Sarcopenia. Lancet 2019, 393, 2636–2646. [Google Scholar] [CrossRef]
- Bauer, J.; Morley, J.E.; Schols, A.M.W.J.; Ferrucci, L.; Cruz-Jentoft, A.J.; Dent, E.; Baracos, V.E.; Crawford, J.A.; Doehner, W.; Heymsfield, S.B.; et al. Sarcopenia: A Time for Action. An SCWD Position Paper. J. Cachexia Sarcopenia Muscle 2019, 10, 956–961. [Google Scholar] [CrossRef]
- Cruz-Jentoft, A.J.; Bahat, G.; Bauer, J.; Boirie, Y.; Bruyère, O.; Cederholm, T.; Cooper, C.; Landi, F.; Rolland, Y.; Sayer, A.A.; et al. Sarcopenia: Revised European Consensus on Definition and Diagnosis. Age Ageing 2019, 48, 16–31. [Google Scholar] [CrossRef]
- Roberts, H.C.; Denison, H.J.; Martin, H.J.; Patel, H.P.; Syddall, H.; Cooper, C.; Sayer, A.A. A Review of the Measurement of Grip Strength in Clinical and Epidemiological Studies: Towards a Standardised Approach. Age Ageing 2011, 40, 423–429. [Google Scholar] [CrossRef]
- Derstine, B.A.; Holcombe, S.A.; Ross, B.E.; Wang, N.C.; Su, G.L.; Wang, S.C. Skeletal Muscle Cutoff Values for Sarcopenia Diagnosis Using T10 to L5 Measurements in a Healthy US Population. Sci. Rep. 2018, 8, 11369. [Google Scholar] [CrossRef]
- Dhillon, R.J.S.; Hasni, S. Pathogenesis and Management of Sarcopenia. Clin. Geriatr. Med. 2017, 33, 17. [Google Scholar] [CrossRef]
- Stewart Coats, A.J.; Srinivasan, V.; Surendran, J.; Chiramana, H.; Vangipuram, S.R.K.G.; Bhatt, N.N.; Jain, M.; Shah, S.; Ali, I.A.B.H.; Fuang, H.G.; et al. The ACT-ONE Trial, a Multicentre, Randomised, Double-Blind, Placebo-Controlled, Dose-Finding Study of the Anabolic/Catabolic Transforming Agent, MT-102 in Subjects with Cachexia Related to Stage III and IV Non-Small Cell Lung Cancer and Colorectal Cancer: Study Design. J. Cachexia Sarcopenia Muscle 2011, 2, 201–207. [Google Scholar] [CrossRef] [PubMed]
- Ryan, A.M.; Prado, C.M.; Sullivan, E.S.; Power, D.G.; Daly, L.E. Effects of Weight Loss and Sarcopenia on Response to Chemotherapy, Quality of Life, and Survival. Nutrition 2019, 67–68, 110539. [Google Scholar] [CrossRef] [PubMed]
- Zhu, Y.; Guo, X.; Zhang, Q.; Yang, Y. Prognostic Value of Sarcopenia in Patients with Rectal Cancer: A Meta-Analysis. PLoS ONE 2022, 17, e0270332. [Google Scholar] [CrossRef] [PubMed]
- Bedrikovetski, S.; Traeger, L.; Price, T.J.; Carruthers, S.; Selva-Nayagam, S.; Moore, J.W.; Sammour, T. Can Sarcopenia Predict Complete Response after Total Neoadjuvant Therapy in Advanced Rectal Cancer? A Multicentre Observational Cohort Study. J. Surg. Oncol. 2023, 128, 75–84. [Google Scholar] [CrossRef] [PubMed]
- Olmez, T.; Ofluoglu, C.B.; Sert, O.Z.; Keser, S.H.; Gulmez, S.; Senger, A.S.; Uzun, O.; Duman, M.; Polat, E. The Impact of Sarcopenia on Pathologic Complete Response Following Neoadjuvant Chemoradiation in Rectal Cancer. Langenbeck’s Arch. Surg. 2020, 405, 1131–1138. [Google Scholar] [CrossRef]
- Bedrikovetski, S.; Traeger, L.; Vather, R.; Sammour, T.; Moore, J.W. Does Sarcopenia Predict Local Response Rates after Chemoradiotherapy for Locally Advanced Rectal Cancer? Dis. Colon Rectum 2023, 66, 965–972. [Google Scholar] [CrossRef]
- Fokas, E.; Appelt, A.; Glynne-Jones, R.; Beets, G.; Perez, R.; Garcia-Aguilar, J.; Rullier, E.; Joshua Smith, J.; Marijnen, C.; Peters, F.P.; et al. International Consensus Recommendations on Key Outcome Measures for Organ Preservation after (Chemo)Radiotherapy in Patients with Rectal Cancer. Nat. Rev. Clin. Oncol. 2021, 18, 805–816. [Google Scholar] [CrossRef]
- Custers, P.A.; Van Der Sande, M.E.; Grotenhuis, B.A.; Peters, F.P.; Van Kuijk, S.M.J.; Beets, G.L.; Breukink, S.O. Long-Term Quality of Life and Functional Outcome of Patients With Rectal Cancer Following a Watch-and-Wait Approach. JAMA Surg. 2023, 158, E230146. [Google Scholar] [CrossRef]
- Yassaie, S.; Lan, R.; Hodder, R. Loss of Psoas Muscle during Neoadjuvant Treatment for Rectal Cancer Is Associated with Poor Oncological and Surgical Outcomes. ANZ J. Surg. 2024, 94, 1146–1150. [Google Scholar] [CrossRef]
- Habr-Gama, A.; Perez, R.; Proscurshim, I.; Gama-Rodrigues, J. Complete Clinical Response after Neoadjuvant Chemoradiation for Distal Rectal Cancer. Surg. Oncol. Clin. N. Am. 2010, 19, 829–845. [Google Scholar] [CrossRef]
- Barbaro, B.; Fiorucci, C.; Tebala, C.; Valentini, V.; Gambacorta, M.A.; Vecchio, F.M.; Rizzo, G.; Coco, C.; Crucitti, A.; Ratto, C.; et al. Locally Advanced Rectal Cancer: MR Imaging in Prediction of Response after Preoperative Chemotherapy and Radiation Therapy. Radiology 2009, 250, 730–739. [Google Scholar] [CrossRef] [PubMed]
- Maas, M.; Nelemans, P.J.; Valentini, V.; Das, P.; Rödel, C.; Kuo, L.J.; Calvo, F.A.; García-Aguilar, J.; Glynne-Jones, R.; Haustermans, K.; et al. Long-Term Outcome in Patients with a Pathological Complete Response after Chemoradiation for Rectal Cancer: A Pooled Analysis of Individual Patient Data. Lancet. Oncol. 2010, 11, 835–844. [Google Scholar] [CrossRef] [PubMed]
- Maas, M.; Nelemans, P.J.; Valentini, V.; Crane, C.H.; Capirci, C.; Rödel, C.; Nash, G.M.; Kuo, L.J.; Glynne-Jones, R.; García-Aguilar, J.; et al. Adjuvant Chemotherapy in Rectal Cancer: Defining Subgroups Who May Benefit after Neoadjuvant Chemoradiation and Resection: A Pooled Analysis of 3,313 Patients. Int. J. Cancer 2015, 137, 212–220. [Google Scholar] [CrossRef] [PubMed]
- Fokas, E.; Glynne-Jones, R.; Appelt, A.; Beets-Tan, R.; Beets, G.; Haustermans, K.; Marijnen, C.; Minsky, B.D.; Ludmir, E.; Quirke, P.; et al. Outcome Measures in Multimodal Rectal Cancer Trials. Lancet. Oncol. 2020, 21, e252–e264. [Google Scholar] [CrossRef] [PubMed]
- Garcia-Aguilar, J.; Patil, S.; Gollub, M.J.; Kim, J.K.; Yuval, J.B.; Thompson, H.M.; Verheij, F.S.; Omer, D.M.; Lee, M.; Dunne, R.F.; et al. Organ Preservation in Patients with Rectal Adenocarcinoma Treated with Total Neoadjuvant Therapy. J. Clin. Oncol. 2022, 40, 2546–2556. [Google Scholar] [CrossRef] [PubMed]
- van der Valk, M.J.M.; Hilling, D.E.; Bastiaannet, E.; Meershoek-Klein Kranenbarg, E.; Beets, G.L.; Figueiredo, N.L.; Habr-Gama, A.; Perez, R.O.; Renehan, A.G.; van de Velde, C.J.H.; et al. Long-Term Outcomes of Clinical Complete Responders after Neoadjuvant Treatment for Rectal Cancer in the International Watch & Wait Database (IWWD): An International Multicentre Registry Study. Lancet 2018, 391, 2537–2545. [Google Scholar] [CrossRef]
- Turri, G.; Ostuzzi, G.; Vita, G.; Barresi, V.; Scarpa, A.; Milella, M.; Mazzarotto, R.; Ruzzenente, A.; Barbui, C.; Pedrazzani, C. Treatment of Locally Advanced Rectal Cancer in the Era of Total Neoadjuvant Therapy: A Systematic Review and Network Meta-Analysis. JAMA Netw. Open 2024, 7, e2414702. [Google Scholar] [CrossRef]
- Gartrell, R.; Qiao, J.; Kiss, N.; Faragher, I.; Chan, S.; Baird, P.N.; Yeung, J.M. Can Sarcopenia Predict Survival in Locally Advanced Rectal Cancer Patients? ANZ J. Surg. 2023, 93, 2166–2171. [Google Scholar] [CrossRef]
- Su, Q.; Shen, J. Predictive Role of Preoperative Sarcopenia for Long-Term Survival in Rectal Cancer Patients: A Meta-Analysis. PLoS ONE 2024, 19, e0303494. [Google Scholar] [CrossRef]
- Kotek, J.; Lochman, P.; Hulek, M.; Sirovy, M.; Merkl, T.; Cermakova, E.; Kotkova, K.; Paral, J.; Dusek, T. Does Computed Tomography-Derived Volumometry and Densitometry of Psoas Muscle Really Correlate with Complications in Rectal Cancer Patients after Elective Surgery? J. Clin. Imaging Sci. 2024, 14, 26. [Google Scholar] [CrossRef]
- Bozzetti, F. Forcing the Vicious Circle: Sarcopenia Increases Toxicity, Decreases Response to Chemotherapy and Worsens with Chemotherapy. Ann. Oncol. Off. J. Eur. Soc. Med. Oncol. 2017, 28, 2107–2118. [Google Scholar] [CrossRef] [PubMed]
- Sandoval, M.L.; Yuan, Z.; Grass, G.D.; Felder, S.; Sanchez, J.; Dessureault, S.; Imanirad, I.; Kim, R.D.; Hoffe, S.E.; Frakes, J. Impact of Sarcopenia on Outcomes in Patients with Rectal Carcinoma Treated with Trimodality Therapy. J. Clin. Oncol. 2019, 37, 687. [Google Scholar] [CrossRef]
- Baumgartner, R.N.; Koehler, K.M.; Gallagher, D.; Romero, L.; Heymsfield, S.B.; Ross, R.R.; Garry, P.J.; Lindeman, R.D. Epidemiology of Sarcopenia among the Elderly in New Mexico. Am. J. Epidemiol. 1998, 147, 755–763. [Google Scholar] [CrossRef] [PubMed]
- Mbanu, P.; Osorio, E.V.; Mistry, H.; Malcomson, L.; Yousif, S.; Aznar, M.; Kochhar, R.; Van Herk, M.; Renehan, A.G.; Saunders, M.P. Clinico-Pathological Predictors of Clinical Complete Response in Rectal Cancer. Cancer Treat. Res. Commun. 2022, 31, 100540. [Google Scholar] [CrossRef] [PubMed]
- Fekete, Z.; Muntean, A.S.; Hica, Ş.; Rancea, A.; Resiga, L.; Csutak, C.; Todor, N.; Nagy, V.M. Neoadjuvant Conformal Chemoradiation with Induction Chemotherapy for Rectal Adenocarcinoma. A Prospective Observational Study. J. Gastrointestin. Liver Dis. 2014, 23, 171–178. [Google Scholar] [CrossRef]
- Sun, Y.; Xu, Z.; Lin, H.; Lu, X.; Huang, Y.; Huang, S.; Wang, X.; Chi, P. Impact of Body Mass Index on Treatment Outcome of Neoadjuvant Chemoradiotherapy in Locally Advanced Rectal Cancer. Eur. J. Surg. Oncol. 2017, 43, 1828–1834. [Google Scholar] [CrossRef]
- Zhang, Y.; Yang, X.; Zhuang, Z.; Wei, M.; Meng, W.; Deng, X.; Wang, Z. The Effect of BMI on Long-Term Outcome in Patients with Rectal Cancer and Establishment of a Nomogram Prediction Model. BMC Gastroenterol. 2023, 23, 5. [Google Scholar] [CrossRef]



| Variables | Total (n = 50) | Sarcopenic Group (n = 12) | Non-Sarcopenic Group (n = 38) | p-Value |
|---|---|---|---|---|
| Age (years), mean (SD) | 59.7 (10.4) | 59.3 (9.9) | 59.8 (10.7) | 0.785 |
| Gender | 0.74 | |||
| Male | 30 (60%) | 8 | 22 | |
| Female | 20 (40%) | 4 | 16 | |
| ECOG | 0.999 | |||
| 0–1 | 45 | 8 | 37 | |
| 2 | 5 | 0 | 5 | |
| BMI, (kg/m2) | 27.4 (17.9–39.1) | 24.9 (18.1–32.1) | 28.1 (17.9–39.1) | 0.04 |
| Psoas muscle area (cm2) | 23.7 (13–40.8) | 18 (13–22) | 25.5 (15.3–40.8) | 0.001 |
| Post-treatment sarcopenia | <0.001 | |||
| Yes | 16 (32%) | 12 (100%) | 4 (10.5%) | |
| No | 34 (68%) | 0 (0%) | 34 (89.5%) | |
| Clinical T stage | 0.163 | |||
| T2 | 8 (16%) | 2 (16.7%) | 6 (15.8%) | |
| T3 | 29 (58%) | 5 (41.7%) | 24 (63.2%) | |
| T4a | 6 (12%) | 1 (8.3%) | 5 (13.2%) | |
| T4b | 7 (14%) | 4 (33.3%) | 3 (7.9%) | |
| Clinical N stage | 0.311 | |||
| N0 | 19 (38%) | 0 (0%) | 8 (21.1%) | |
| N1 | 6 (12%) | 5 (41.7%) | 12 (31.6%) | |
| N2a | 17 (34%) | 1 (8.3%) | 5 (13.2%) | |
| N2b | 8 (16%) | 6 (50%) | 13 (34.2%) | |
| AJCC 8th ed. | 0.413 | |||
| I | 2 (4%) | 0 | 2 (5.3%) | |
| II | 6 (12%) | 0 | 6 (15.7%) | |
| III | 42 (84%) | 12 (100%) | 30 (79%) | |
| Tumor location | 0.808 | |||
| Lower rectum | 27 (54%) | 7 (58.4%) | 20 (51.5%) | |
| Middle rectum | 16 (32%) | 4 (33.3%) | 12 (31.6%) | |
| Upper rectum | 7 (14%) | 1 (8.3%) | 6 (15.8%) | |
| MRF | 0.496 | |||
| MRF positive | 19 (38%) | 6 (50%) | 13 (34.2%) | |
| MRF negative | 31 (62%) | 6 (50%) | 25 (65.8%) | |
| EMVI | 0.718 | |||
| EMVI positive | 14 (28%) | 4 (33.3%) | 10 (26.3%) | |
| EMVI negative | 36 (72%) | 8 (66.7%) | 28 (73.7%) | |
| TD | 0.999 | |||
| TD positive | 3 (6%) | 0 (0%) | 3 (8%) | |
| TD negative | 47 (94%) | 12 (100%) | 35 (92%) | |
| Cranio-caudal tumor extension (mm) | 61.2 (23–140) | 70.6 (35–140) | 58.2 (23–115) | 0.275 |
| Variables | Total (n = 50) | Sarcopenic Group (n = 12) | Non-Sarcopenic Group (n = 38) | p-Value |
|---|---|---|---|---|
| Neoadjuvant chemotherapy | 0.598 | |||
| Induction | 10 (20%) | 2 (16.7%) | 8 (21.1%) | |
| Consolidation | 18 (36%) | 5 (41.7%) | 13 (34.2%) | |
| Both | 12 (24%) | 4 (33.3%) | 8 (21.1%) | |
| None | 10 (20%) | 1 (8.3%) | 9 (23.7%) | |
| Compliance to chemotherapy | 0.468 | |||
| ≤4 cycles | 29 (58%) | 2 (4%) | 12 (24%) | |
| >4 cycles | 21 (42%) | 10 (20%) | 26 (52%) | |
| Compliance to radiotherapy | ||||
| 50 Gy | 50 (100%) | |||
| Duration of radiotherapy (days) | 38 (9–86) | 34.6 (9–45) | 39 (31–86) | 0.664 |
| Timing of surgery starting from the end of chemoradiation (weeks) | 17.1 (6–54) | 22.5 (6.4–54) | 15.2 (6–40.1) | 0.451 |
| Anemia (worst grade) | 0.627 | |||
| 0 | 8 (16%) | 1 (8.3%) | 7 (18.4%) | |
| 1 | 28 (56%) | 6 (50%) | 22 (57.9%) | |
| 2 | 11 (22%) | 4 (33.4%) | 7 (18.4%) | |
| 3 | 3 (6%) | 1 (8.3%) | 2 (5.3%) | |
| Neutropenia (worst grade) | 0.388 | |||
| 0 | 38 (76%) | 10 (83.3%) | 28 (73.7%) | |
| 1 | 6 (12%) | 0 | 6 (15.8%) | |
| 2 | 5 (10%) | 2 (16.7%) | 3 (7.9%) | |
| 3 | 1 (2%) | 0 | 1 (2.6%) | |
| Thrombocytopenia (worst grade) | 0.222 | |||
| 0 | 20 (40%) | 3 (25%) | 17 (44.7%) | |
| 1 | 23 (46%) | 6 (50%) | 17 (44.7%) | |
| 2 | 6 (12%) | 2 (16.7%) | 4 (10.6%) | |
| 3 | 1 (2%) | 1 (8.3%) | 0 | |
| Neuropathy (worst grade) | 0.463 | |||
| 0 | 31 (62%) | 6 (50%) | 25 (65.8%) | |
| 1 | 18 (36%) | 6 (50%) | 12 (31.6%) | |
| 2 | 1 (2%) | 0 | 1 (2.6%) | |
| Diarrhea (worst grade) | 0.795 | |||
| 0 | 46 (92%) | 11 (91.7%) | 35 (92.1%) | |
| 1 | 3 (6%) | 1 (8.3%) | 2 (5.3%) | |
| 2 | 1 (2%) | 0 | 1 (2.6%) | |
| Nausea and vomiting (worst grade) | 0.851 | |||
| 0 | 45 (90%) | 11 (91.7%) | 34 (89.5%) | |
| 1 | 4 (8%) | 1 (8.3%) | 3 (7.9%) | |
| 2 | 1 (2%) | 0 | 1 (2.6%) | |
| Proctitis (worst grade) | 0.593 | |||
| 0 | 28 (56%) | 6 (50%) | 22 (57.9%) | |
| 1 | 17 (34%) | 4 (33.3%) | 13 (34.2%) | |
| 2 | 4 (8%) | 2 (16.7%) | 2 (5.3%) | |
| 3 | 1 (2%) | 0 | 1 (2.6%) | |
| Cystitis (worst grade) | 0.999 | |||
| 0 | 42 (84%) | 10 (83.3%) | 32 (84.2%) | |
| 1 | 8 (16%) | 2 (16.7%) | 6 (15.8%) |
| Variables | Total (n = 50) | Sarcopenic Group (n = 12) | Non-Sarcopenic Group (n = 38) | p-Value |
|---|---|---|---|---|
| oCR | 0.092 | |||
| Yes | 9 (18%) | 0 | 9 (24%) | |
| No | 41 (82%) | 12 (100%) | 29 (76%) | |
| cCR | 4 (8%) | 0 | 4 (10%) | 0.319 |
| pCR | 5 (10%) | 0 | 5 (13%) | 0.560 |
| Variables | Total (n = 50) | Sarcopenic Group (n = 12) | Non-Sarcopenic Group (n = 38) | p-Value |
|---|---|---|---|---|
| Procedure | 0.825 | |||
| Restorative | 18 (36%) | 3 (25%) | 15 (39.5%) | |
| Non-restorative | 24 (48%) | 7 (58.3%) | 17 (44.7%) | |
| No surgery | 8 (16%) | 2 (16.7%) | 6 (15.8%) | |
| Post-operative morbidity a | 0.657 | |||
| Yes | 12 (38%) | 6 (60%) | 24 (75%) | |
| No | 30 (62%) | 4 (40%) | 8 (25%) | |
| ypT stage a | 0.100 | |||
| T0 | 6 (14.3%) | 0 (0%) | 6 (18.8%) | |
| T1 | 1 (2.4%) | 1 (10%) | 0 (0%) | |
| T2 | 12 (28.6%) | 2 (20%) | 10 (31.2%) | |
| T3 | 18 (42.9%) | 4 (40%) | 14 (43.8%) | |
| T4a | 2 (4.8%) | 1 (10%) | 1 (3.1%) | |
| T4b | 3 (7.1%) | 2 (20%) | 1 (3.1%) | |
| ypN stage a | 0.460 | |||
| N0 | 29 (69%) | 8 (80%) | 21 (65.6%) | |
| N1 | 7 (16.7%) | 1 (10%) | 6 (18.8%) | |
| N2a | 4 (9.5%) | 0 | 4 12.5%) | |
| N2b | 2 (4.8%) | 1 (10%) | 1 (3.1%) | |
| CRM a | 0.052 | |||
| positive | 2 (4.8%) | 2 (20%) | 0 (0%) | |
| negative | 40 (95.2%) | 8 (80%) | 32 (100%) | |
| ypEMVI a | 0.238 | |||
| positive | 1 (2.4%) | 1 (10%) | 0 (0%) | |
| negative | 41 (97.6%) | 9 (90%) | 32 (100%) | |
| Resection margins a | 0.540 | |||
| R0 | 39 (92.8%) | 12 (100%) | 27 (92%) | |
| R1 | 3 (7.2%) | 0 | 3 (10%) | |
| Modified Ryan regression grade a | 0.193 | |||
| 0-1 | 12 (28.5%) | 1 (10%) | 11 (34.4%) | |
| 2 | 16 (38%) | 6 (60%) | 10 (31.2%) | |
| 3 | 14 (33.5%) | 3 (30%) | 11 (34.4%) |
Disclaimer/Publisher’s Note: The statements, opinions and data contained in all publications are solely those of the individual author(s) and contributor(s) and not of MDPI and/or the editor(s). MDPI and/or the editor(s) disclaim responsibility for any injury to people or property resulting from any ideas, methods, instructions or products referred to in the content. |
© 2024 by the authors. Published by MDPI on behalf of the Lithuanian University of Health Sciences. Licensee MDPI, Basel, Switzerland. This article is an open access article distributed under the terms and conditions of the Creative Commons Attribution (CC BY) license (https://creativecommons.org/licenses/by/4.0/).
Share and Cite
Curcean, S.; Gherman, A.; Tipcu, A.; Fekete, Z.; Muntean, A.-S.; Curcean, A.; Craciun, R.; Stanciu, S.; Irimie, A. Impact of Sarcopenia on Treatment Outcomes and Toxicity in Locally Advanced Rectal Cancer. Medicina 2024, 60, 1606. https://doi.org/10.3390/medicina60101606
Curcean S, Gherman A, Tipcu A, Fekete Z, Muntean A-S, Curcean A, Craciun R, Stanciu S, Irimie A. Impact of Sarcopenia on Treatment Outcomes and Toxicity in Locally Advanced Rectal Cancer. Medicina. 2024; 60(10):1606. https://doi.org/10.3390/medicina60101606
Chicago/Turabian StyleCurcean, Sebastian, Alexandra Gherman, Alexandru Tipcu, Zsolt Fekete, Alina-Simona Muntean, Andra Curcean, Rares Craciun, Stefan Stanciu, and Alexandru Irimie. 2024. "Impact of Sarcopenia on Treatment Outcomes and Toxicity in Locally Advanced Rectal Cancer" Medicina 60, no. 10: 1606. https://doi.org/10.3390/medicina60101606
APA StyleCurcean, S., Gherman, A., Tipcu, A., Fekete, Z., Muntean, A.-S., Curcean, A., Craciun, R., Stanciu, S., & Irimie, A. (2024). Impact of Sarcopenia on Treatment Outcomes and Toxicity in Locally Advanced Rectal Cancer. Medicina, 60(10), 1606. https://doi.org/10.3390/medicina60101606

