Epstein-Barr Virus-Positive Inflammatory Follicular Dendritic Cell Sarcoma Presenting as a Colonic Polyp: Report of a Case with a Literature Review
Abstract
1. Introduction
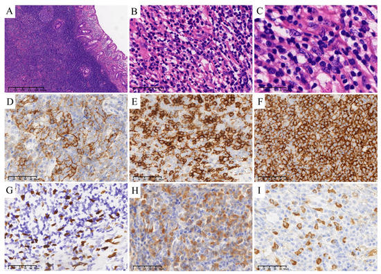
2. Case Presentation
3. Discussion
4. Conclusions
Author Contributions
Funding
Institutional Review Board Statement
Informed Consent Statement
Data Availability Statement
Conflicts of Interest
Abbreviations
References
- Shia, J.; Chen, W.; Tang, L.H.; Carlson, D.L.; Qin, J.; Guillem, J.G.; Nobrega, J.; Wong, W.D.; Klimstra, D.S. Extranodal follicular dendritic cell sarcoma: Clinical, pathologic, and histogenetic characteristics of an underrecognized disease entity. Virchows Arch. 2006, 449, 148–158. [Google Scholar] [CrossRef] [PubMed]
- Wu, A.; Pullarkat, S. Follicular Dendritic Cell Sarcoma. Arch. Pathol. Lab. Med. 2016, 140, 186–190. [Google Scholar] [CrossRef] [PubMed]
- Monda, L.; Warnke, R.; Rosai, J. A primary lymph node malignancy with features suggestive of dendritic reticulum cell differentiation. A report of 4 cases. Am. J. Pathol. 1986, 122, 562–572. [Google Scholar] [PubMed]
- Alaggio, R.; Amador, C.; Anagnostopoulos, I.; Attygalle, A.D.; Araujo, I.B.O.; Berti, E.; Bhagat, G.; Borges, A.M.; Boyer, D.; Calaminici, M.; et al. The 5th edition of the World Health Organization Classification of Haematolymphoid Tumours: Lymphoid Neoplasms. Leukemia 2022, 36, 1720–1748. [Google Scholar] [CrossRef] [PubMed]
- Ke, X.; He, H.; Zhang, Q.; Yuan, J.; Ao, Q. Epstein-Barr virus-positive inflammatory follicular dendritic cell sarcoma presenting as a solitary colonic mass: Two rare cases and a literature review. Histopathology 2020, 77, 832–840. [Google Scholar] [CrossRef]
- Cheuk, W.; Chan, J.K.; Shek, T.W.; Chang, J.H.; Tsou, M.H.; Yuen, N.W.; Ng, W.F.; Chan, A.C.; Prat, J. Inflammatory pseudotumor-like follicular dendritic cell tumor: A distinctive low-grade malignant intra-abdominal neoplasm with consistent Epstein-Barr virus association. Am. J. Surg. Pathol. 2001, 25, 721–731. [Google Scholar] [CrossRef]
- Ding, F.; Wang, C.; Xu, C.; Tang, H. Case report: Hepatic inflammatory pseudotumor-like follicular dendritic cell sarcoma: A rare case and minireview of the literature. Front. Med. 2022, 9, 1002324. [Google Scholar] [CrossRef]
- Jiang, X.N.; Zhang, Y.; Xue, T.; Chen, J.Y.; Chan, A.C.L.; Cheuk, W.; Chan, J.K.C.; Li, X.Q. New Clinicopathologic Scenarios of EBV+ Inflammatory Follicular Dendritic Cell Sarcoma: Report of 9 Extrahepatosplenic Cases. Am. J. Surg. Pathol. 2021, 45, 765–772. [Google Scholar] [CrossRef]
- Pan, S.T.; Cheng, C.Y.; Lee, N.S.; Liang, P.I.; Chuang, S.S. Follicular Dendritic Cell Sarcoma of the Inflammatory Pseudotumor-like Variant Presenting as a Colonic Polyp. Korean J. Pathol. 2014, 48, 140–145. [Google Scholar] [CrossRef]
- Goh, L.; Teo, N.Z.; Wang, L.M. Beware the inflammatory cell-rich colonic polyp: A rare case of EBV-positive inflammatory pseudotumour-like follicular dendritic cell sarcoma with increased IgG4-positive plasma cells. Pathology 2020, 52, 713–717. [Google Scholar] [CrossRef]
- Chen, Y.R.; Lee, C.L.; Lee, Y.C.; Chang, K.C. Inflammatory pseudotumour-like follicular dendritic cell tumour of the colon with plasmacytosis mimicking EBV-positive lymphoproliferative disorder. Pathology 2020, 52, 484–488. [Google Scholar] [CrossRef]
- Zhao, M.; Du, X.; OuYang, B.; Li, M.; Yang, H. Inflammatory pseudotumor-like follicular dendritic cell sarcoma mimicking a colonic polyp. J. Gastrointest. Surg. 2021, 25, 2429–2430. [Google Scholar] [CrossRef] [PubMed]
- Nagata, K.; Hara, S.; Nakayama, Y.; Higaki, K.; Sugihara, H.; Kuwamoto, S.; Matsushita, M.; Kato, M.; Tanio, S.; Ishiguro, K.; et al. Epstein-Barr Virus Lytic Reactivation Induces IgG4 Production by Host B Lymphocytes in Graves’ Disease Patients and Controls: A Subset of Graves’ Disease Is an IgG4-Related Disease-like Condition. Viral Immunol. 2018, 31, 540–547. [Google Scholar] [CrossRef] [PubMed]
- Choe, J.Y.; Go, H.; Jeon, Y.K.; Yun, J.Y.; Kim, Y.A.; Kim, H.J.; Huh, J.; Lee, H.; Shin, D.H.; Kim, J.E. Inflammatory pseudotumor-like follicular dendritic cell sarcoma of the spleen: A report of six cases with increased IgG4-positive plasma cells. Pathol. Int. 2013, 63, 245–251. [Google Scholar] [CrossRef] [PubMed]
- Damania, B.; Kenney, S.C.; Raab-Traub, N. Epstein-Barr virus: Biology and clinical disease. Cell 2022, 185, 3652–3670. [Google Scholar] [CrossRef]
- Wagner, H.J.; Hornef, M.; Teichert, H.M.; Kirchner, H. Sex difference in the serostatus of adults to the Epstein-Barr virus. Immunobiology 1994, 190, 424–429. [Google Scholar] [CrossRef]
- Hesse, J.; Ibsen, K.K.; Krabbe, S.; Uldall, P. Prevalence of antibodies to Epstein-Barr virus (EBV) in childhood and adolescence in Denmark. Scand. J. Infect. Dis. 1983, 15, 335–338. [Google Scholar] [CrossRef]
- Teruya-Feldstein, J.; Jaffe, E.S.; Burd, P.R.; Kanegane, H.; Kingma, D.W.; Wilson, W.H.; Longo, D.L.; Tosato, G. The Role of Mig, the Monokine Induced by Interferon-γ, and IP-10, the Interferon-γ–Inducible Protein-10, in Tissue Necrosis and Vascular Damage Associated with Epstein-Barr Virus-Positive Lymphoproliferative Disease. Blood 1997, 90, 4099–4105. [Google Scholar] [CrossRef]
- Wei, C.J.; Bu, W.; Nguyen, L.A.; Batchelor, J.D.; Kim, J.; Pittaluga, S.; Fuller, J.R.; Nguyen, H.; Chou, T.H.; Cohen, J.I.; et al. A bivalent Epstein-Barr virus vaccine induces neutralizing antibodies that block infection and confer immunity in humanized mice. Sci. Transl. Med. 2022, 14, eabf3685. [Google Scholar] [CrossRef]
- Kazemimood, R.; Hamedani, F.S.; Sharif, A.; Gaitonde, S.; Wiley, E.; Giulianotti, P.C.; Groth, J.V. A Rare Case of Epstein-Barr Virus Negative Inflammatory Pseudotumor-like Follicular Dendritic Cell Sarcoma Presenting as a Solitary Colonic Mass in a 53-Year-Old Woman; Case Report and Review of Literature. Appl. Immunohistochem. Mol. Morphol. 2017, 25, E30–E33. [Google Scholar] [CrossRef]
- Morales-Vargas, B.; Deeb, K.; Peker, D. Clinicopathologic and Molecular Analysis of Inflammatory Pseudotumor-like Follicular/Fibroblastic Dendritic Cell Sarcoma: A Case Report and Review of Literature. Turk. Patoloji Derg. 2021, 37, 266–272. [Google Scholar] [CrossRef]
- Jager, N.; Schlesner, M.; Jones, D.T.; Raffel, S.; Mallm, J.P.; Junge, K.M.; Weichenhan, D.; Bauer, T.; Ishaque, N.; Kool, M.; et al. Hypermutation of the inactive X chromosome is a frequent event in cancer. Cell 2013, 155, 567–581. [Google Scholar] [CrossRef]
- Mahajan, P.; Casanova, M.; Ferrari, A.; Fordham, A.; Trahair, T.; Venkatramani, R. Inflammatory myofibroblastic tumor: Molecular landscape, targeted therapeutics, and remaining challenges. Curr. Probl. Cancer 2021, 45, 100768. [Google Scholar] [CrossRef]
- Starr, J.S.; Attia, S.; Joseph, R.W.; Menke, D.; Casler, J.; Smallridge, R.C. Follicular Dendritic Cell Sarcoma Presenting as a Thyroid Mass. J. Clin. Oncol. 2015, 33, e74–e76. [Google Scholar] [CrossRef]



| Age/Gender | Clinical Presentation | Colonoscopy Findings | Immunohistochemistry (FDC Markers) | EBER-ISH | lgg4+Plasma Cells and lgg4: lgg Ratio | Treatment | Follow-Up | Source |
|---|---|---|---|---|---|---|---|---|
| 78/Female | Abdominal discomfort, bloody stool; mild anemia (Hb 10 g/dL) | 3 cm pedunculated polyp in the transverse colon | CD21+, CD23+, CD35+, D2-40+ | Positive | Not mentioned | Polypectomy | Disease free after 5 months | Pan et al., 2014 [9] |
| 46/Female | Symptomatic anemia (Hb 6.4 g/dL, dizziness, breathlessness, lethargy); colo-colic intussusception | 4 cm broadly pedunculated polyp at hepatic flexure | CD21+, CD23+, CD35+, D2-40+, clusterin+ | Positive | Increased (240/HPF); 70% | Biopsy, followed by right hemicolectomy | Disease free after 5 months | Goh et al., 2020 [10] |
| 54/Male | Positive fecal occult blood test | 2.4 cm pedunculated polyp at the splenic flexure of the colon | CD21+, CD23+, D2-40+, fascin+ | Positive | Not mentioned | Endoscopic polypectomy | “Follow-up uneventful” | Chen et al., 2020 [11] |
| 68/Male | Positive fecal occult blood test | 2.0 cm polyp in the transverse colon | CD21+, CD23+, D2-40+, fascin+ | Positive | Not mentioned | Endoscopic polypectomy | “Follow-up uneventful” | Chen et al., 2020 [11] |
| 53/Male | Chest and back pain | 2 × 2 cm pedunculated polyp 400 mm from the anal verge | CD21+, CD23+, CD35+, D2-40+ | Positive | Not mentioned | Endoscopic polypectomy | Disease free after 11 months | Ke et al., 2020 [5] |
| 48/Male | Left lower quadrant pain, irregular bowel movement | 7 × 4 cm cauliflower-like pedunculated polypoid mass in the transverse colon | CD21+, CD23+, CD35+, D2-40+ | Positive | Not mentioned | Right hemicolectomy | Disease free after 7 months | Ke et al., 2020 [5] |
| 56/Female | Positive fecal occult blood test | 3.2 cm pedunculated polyp in the transverse colon | CD21+, CD23+, CD35+, D2-40+ | Positive | Few cells | Surgical resection | Disease free after 14 months | Zhao et al., 2021 [12] |
| 53/Male | Abdominal pain and blood in stool | 3.5 × 3 × 3 cm pedunculated polyp in the descending colon | CD21+, CD23+, CD35+, D2-40+/− | Positive | Not mentioned | Left hemicolectomy | Disease free after 18 months | Jiang et al., 2021 [8] |
| 77/Female | Asymptomatic | 2.5 × 3 cm pedunculated polyp in the descending colon | CD21+, CD35+, D2-40+ | Positive | Not mentioned | Endoscopic polypectomy | Disease free after 14 months | Jiang et al., 2021 [8] |
| 59/Female | Rectal bleeding and anemia | 2.5 × 2 × 1.6 cm pedunculated polyp in the proximal descending colon | CD21+, CD23+, CD35+, D2-40+ | Positive | Not mentioned | Endoscopic polypectomy | Disease free after 84 months | Jiang et al., 2021 [8] |
| 57/Male | Asymptomatic | 0.8 × 0.7 × 0.6 cm pedunculated polyp in the sigmoid colon | CD21+, CD35+, D2-40+ | Positive | Not mentioned | Endoscopic polypectomy; immunosuppressive therapy for paraneoplastic pemphigus | Died at 7 months from refractory paraneoplastic pemphigus | Jiang et al., 2021 [8] |
| 64/Female | Rectal bleeding | 2.4 × 1.3 × 1.2 cm pedunculated polyp in the distal ascending colon | CD21+/−, D2-40+ | Positive | Not mentioned | Endoscopic polypectomy | Disease free after 122 months | Jiang et al., 2021 [8] |
| 52/Female | Asymptomatic | 1.8 cm polyp in the transverse colon | CD21+, CD23+, CD35+ | Positive | Increased (>100/HPF); 40~50% | Endoscopic polypectomy | Disease free after 15 months | Current case |
Disclaimer/Publisher’s Note: The statements, opinions and data contained in all publications are solely those of the individual author(s) and contributor(s) and not of MDPI and/or the editor(s). MDPI and/or the editor(s) disclaim responsibility for any injury to people or property resulting from any ideas, methods, instructions or products referred to in the content. |
© 2023 by the authors. Licensee MDPI, Basel, Switzerland. This article is an open access article distributed under the terms and conditions of the Creative Commons Attribution (CC BY) license (https://creativecommons.org/licenses/by/4.0/).
Share and Cite
Hu, J.; Huang, D.; Xu, C.; Chen, Y.; Ma, H.; Shen, Z. Epstein-Barr Virus-Positive Inflammatory Follicular Dendritic Cell Sarcoma Presenting as a Colonic Polyp: Report of a Case with a Literature Review. Medicina 2023, 59, 1341. https://doi.org/10.3390/medicina59071341
Hu J, Huang D, Xu C, Chen Y, Ma H, Shen Z. Epstein-Barr Virus-Positive Inflammatory Follicular Dendritic Cell Sarcoma Presenting as a Colonic Polyp: Report of a Case with a Literature Review. Medicina. 2023; 59(7):1341. https://doi.org/10.3390/medicina59071341
Chicago/Turabian StyleHu, Jiahui, Dongdong Huang, Chengfu Xu, Yi Chen, Han Ma, and Zhe Shen. 2023. "Epstein-Barr Virus-Positive Inflammatory Follicular Dendritic Cell Sarcoma Presenting as a Colonic Polyp: Report of a Case with a Literature Review" Medicina 59, no. 7: 1341. https://doi.org/10.3390/medicina59071341
APA StyleHu, J., Huang, D., Xu, C., Chen, Y., Ma, H., & Shen, Z. (2023). Epstein-Barr Virus-Positive Inflammatory Follicular Dendritic Cell Sarcoma Presenting as a Colonic Polyp: Report of a Case with a Literature Review. Medicina, 59(7), 1341. https://doi.org/10.3390/medicina59071341

