Unilateral Biportal Endoscopic Laminectomy for Treating Cervical Stenosis: A Technical Note and Preliminary Results
Abstract
:1. Introduction
2. Materials and Methods
2.1. Ethics Statement and Subjects
2.2. Surgical Procedure
2.2.1. Position, Incision and Instruments
2.2.2. Unilateral Biportal Approach for Bilateral Laminectomy (Video S1)
3. Statistical Analysis
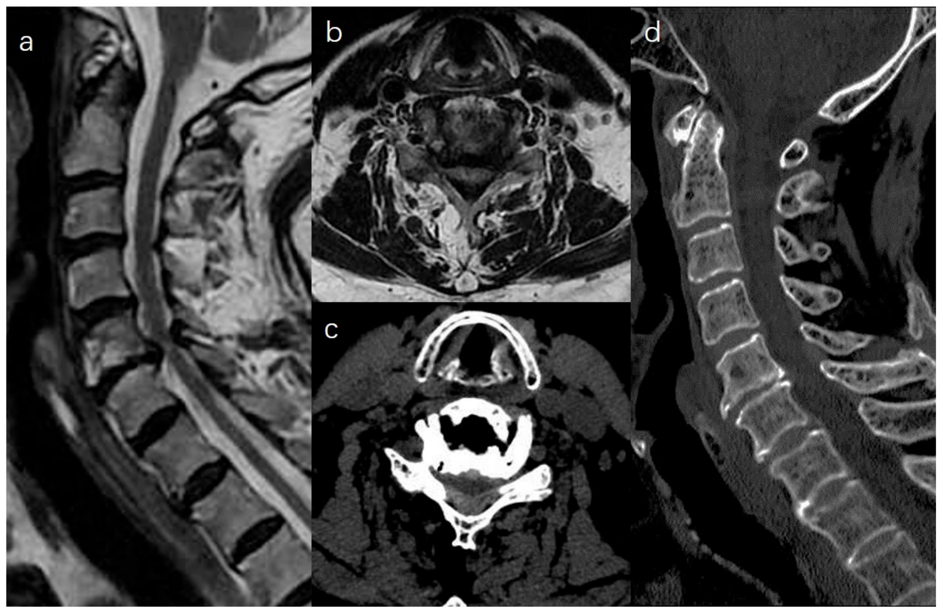
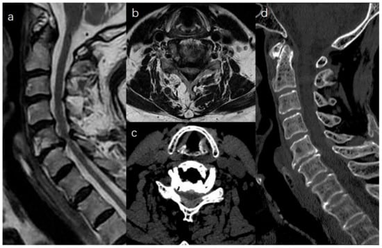
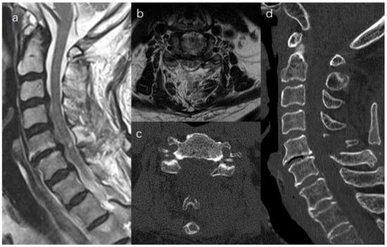
4. Results
5. Discussion
6. Conclusions
Supplementary Materials
Author Contributions
Funding
Institutional Review Board Statement
Informed Consent Statement
Data Availability Statement
Acknowledgments
Conflicts of Interest
References
- Mazas, S.; Benzakour, A.; Castelain, J.-E.; Damade, C.; Ghailane, S.; Gille, O. Cervical disc herniation: Which surgery? Int. Orthop. 2019, 43, 761–766. [Google Scholar] [CrossRef] [PubMed]
- Kuang, L.; Chen, Y.; Wang, B.; Li, L.; Lü, G. Cervical Disk Arthroplasty Versus Anterior Cervical Decompression and Fusion for the Treatment of 2-Level Cervical Spondylopathy: A Systematic Review and Meta-analysis. Clin. Spine Surg. 2016, 29, 372–382. [Google Scholar] [CrossRef] [PubMed]
- Cho, S.K.; Kim, J.S.; Overley, S.C.; Merrill, R.K. Cervical Laminoplasty: Indications, Surgical Considerations, and Clinical Outcomes. J. Am. Acad. Orthop. Surg. 2018, 26, e142–e152. [Google Scholar] [CrossRef]
- Kotter, M.R.M.; Tetreault, L.; Badhiwala, J.H.M.; Wilson, J.R.M.; Arnold, P.M.; Bartels, R.M.; Barbagallo, G.; Kopiar, B.M.; Fehlings, M.G.M. Surgical Outcomes Following Laminectomy With Fusion Versus Laminectomy Alone in Patients With Degenerative Cervical Myelopathy. Spine 2020, 45, 1696–1703. [Google Scholar] [CrossRef] [PubMed]
- Yuan, H.; Zhang, X.-F.; Zhang, L.-M.; Yan, Y.-Q.; Liu, Y.-K.; Lewandrowski, K.-U. Comparative study of curative effect of spinal endoscopic surgery and anterior cervical decompression for cervical spondylotic myelopathy. J. Spine Surg. 2020, 6 (Suppl. 1), S186–S196. [Google Scholar] [CrossRef] [PubMed]
- Carr, D.A.; Abecassis, I.J.; Hofstetter, C.P. Full endoscopic unilateral laminotomy for bilateral decompression of the cervical spine: Surgical technique and early experience. J. Spine Surg. 2020, 6, 447–456. [Google Scholar] [CrossRef] [PubMed]
- Minamide, A.; Yoshida, M.; Yamada, H.; Nakagawa, Y.; Maio, K.; Kawai, M.; Iwasaki, H. Clinical outcomes of microendoscopic decompression surgery for cervical myelopathy. Eur. Spine J. 2010, 19, 487–493. [Google Scholar] [CrossRef] [PubMed]
- Eum, J.H.; Lee, S.H.; Sabal, L.A.; Eun, S.S. Biportal endoscopic lumbar decompression for lumbar disk herniation and spinal canal stenosis: A technical note. J. Neurol. Surg. A Cent. Eur. Neurosurg. 2017, 78, 390–396. [Google Scholar] [CrossRef]
- Kim, B.-J.; Cho, S.-M.; Hur, J.W.; Cha, J.; Kim, S.-H. Kinematics after cervical laminoplasty: Risk factors for cervical kyphotic deformity after laminoplasty. Spine J. 2021, 21, 1822–1829. [Google Scholar] [CrossRef]
- Li, Z.; Xue, Y.; He, D.; Tang, Y.; Ding, H.; Wang, Y.; Zong, Y.; Zhao, Y. Extensive laminectomy for multilevel cervical stenosis with ligamentum flavum hypertrophy: More than 10 years follow-up. Eur. Spine J. 2015, 24, 1605–1612. [Google Scholar] [CrossRef]
- Takeshita, K.; Inanami, H.; Takano, Y.; Koga, H.; Iwahori, T.; Baba, S.; Tanaka, S.; Oshima, Y. Cervical microendoscopic interlaminar decompression through a midline approach in patients with cervical myelopathy: A technical note. J. Neurol. Surg. A Cent. Eur. Neurosurg. 2014, 75, 474–478. [Google Scholar] [CrossRef] [PubMed]
- Merter, A.; Karaeminogullari, O.; Shibayama, M. Comparison of radiation exposure among 3 different endoscopic discectomy techniques for lumbar disc herniation. World Neurosurg. 2020, 139, e572–e579. [Google Scholar] [CrossRef] [PubMed]
- Song, K.S.; Lee, C.W. The Biportal Endoscopic Posterior Cervical Inclinatory Foraminotomy for Cervical Radiculopathy: Technical Report and Preliminary Results. Neurospine 2020, 17 (Suppl. 1), S145–S153. [Google Scholar] [CrossRef] [PubMed]
- Kim, J.; Heo, D.H.; Lee, D.C.; Chung, H.T. Biportal endoscopic unilateral laminotomy with bilateral decompression for the treatment of cervical spondylotic myelopathy. Acta Neurochir. 2021, 163, 2537–2543. [Google Scholar] [CrossRef] [PubMed]
- Zhu, C.; Cheng, W.; Wang, D.; Pan, H.; Zhang, W. A Helpful Third Portal for Unilateral Biportal Endoscopic Decompression in Patients with Cervical Spondylotic Myelopathy: A Technical Note. World Neurosurg. 2022, 161, 75–81. [Google Scholar] [CrossRef]
- Zhu, C.; Wang, J.; Cheng, W.; Wang, D.; Pan, H.; Zhang, W. Case Report: Bilateral Biportal Endoscopic Open-Door Laminoplasty With the Use of Suture Anchors: A Technical Report and Literature Review. Front. Surg. 2022, 9, 913456. [Google Scholar] [CrossRef]
- Zhu, C.; Deng, X.; Pan, H.; Zhang, W. Unilateral biportal endoscopic laminectomy with lateral mass screw fixation for treating cervical spinal stenosis. Acta Neurochir. 2022, 164, 1529–1533. [Google Scholar] [CrossRef]
- Revesz, D.F.; Charalampidis, A.; Gerdhem, P. Effectiveness of laminectomy with fusion and laminectomy alone in degenerative cervical myelopathy. Eur. Spine J. 2022, 31, 1300–1308. [Google Scholar] [CrossRef] [PubMed]
- De Dios, E.; Heary, R.F.; Lindhagen, L.; MacDowall, A. Laminectomy alone versus laminectomy with fusion for degenerative cervical myelopathy: A long-term study of a national cohort. Eur. Spine J. 2022, 31, 334–345. [Google Scholar] [CrossRef]
- Kim, B.S.; Dhillon, R.S. Cervical Laminectomy With or Without Lateral Mass Instrumentation: A Comparison of Outcomes. Clin. Spine Surg. 2019, 32, 226–232. [Google Scholar] [CrossRef]
- Kim, J.E.; Choi, D.J.; Park, E.J. Evaluation of Postoperative Spinal Epidural Hematoma After Biportal Endoscopic Spine Surgery for Single-Level Lumbar Spinal Stenosis: Clinical and Magnetic Resonance Imaging Study. World Neurosurg. 2019, 126, e786–e792. [Google Scholar] [CrossRef] [PubMed]
- Amiri, A.R.; Fouyas, I.P.; Cro, S.; Casey, A.T. Postoperative spinal epidural hematoma (SEH): Incidence, risk factors, onset, and management. Spine J. 2013, 13, 134–140. [Google Scholar] [CrossRef] [PubMed]





| Characteristic | Value |
|---|---|
| Age, years | 65.2 ± 7.7 |
| Sex, male/female | 13/6 |
| Operation time, minutes | 82.6 ± 18.4 |
| Estimated blood loss, ml | 38.4 ± 19.2 |
| Level of flavectomy | |
| C4/5 | 3 |
| C5/6 | 6 |
| C6/7 | 6 |
| C5-7 | 2 |
| C3-6 | 2 |
| Hospital stay | 2.6 ± 1.2 |
| Surgical complication | |
| Epidural hematoma | 1 |
| Follow-up periods, month | 16.3 ± 2.6 |
| Outcomes | Preoperative | Final Follow-Up | p Value |
|---|---|---|---|
| JOA | 10.8 ± 1.5 | 13.9 ± 1.0 | 0.000 |
| VAS of axial pain | 2.3 ± 0.7 | 2.1 ± 0.5 | 0.042 |
| C2–C7 Cobb angle | 14.8 ± 5.5 | 15.3 ± 5.4 | 0.439 |
Disclaimer/Publisher’s Note: The statements, opinions and data contained in all publications are solely those of the individual author(s) and contributor(s) and not of MDPI and/or the editor(s). MDPI and/or the editor(s) disclaim responsibility for any injury to people or property resulting from any ideas, methods, instructions or products referred to in the content. |
© 2023 by the authors. Licensee MDPI, Basel, Switzerland. This article is an open access article distributed under the terms and conditions of the Creative Commons Attribution (CC BY) license (https://creativecommons.org/licenses/by/4.0/).
Share and Cite
Zhu, C.; Zhou, X.; Ge, G.; Wang, C.; Zhuang, X.; Cheng, W.; Wang, D.; Zhu, H.; Pan, H.; Zhang, W. Unilateral Biportal Endoscopic Laminectomy for Treating Cervical Stenosis: A Technical Note and Preliminary Results. Medicina 2023, 59, 305. https://doi.org/10.3390/medicina59020305
Zhu C, Zhou X, Ge G, Wang C, Zhuang X, Cheng W, Wang D, Zhu H, Pan H, Zhang W. Unilateral Biportal Endoscopic Laminectomy for Treating Cervical Stenosis: A Technical Note and Preliminary Results. Medicina. 2023; 59(2):305. https://doi.org/10.3390/medicina59020305
Chicago/Turabian StyleZhu, Chengyue, Xizhuo Zhou, Guofen Ge, Cuijuan Wang, Xiaoshan Zhuang, Wei Cheng, Dong Wang, Hang Zhu, Hao Pan, and Wei Zhang. 2023. "Unilateral Biportal Endoscopic Laminectomy for Treating Cervical Stenosis: A Technical Note and Preliminary Results" Medicina 59, no. 2: 305. https://doi.org/10.3390/medicina59020305
APA StyleZhu, C., Zhou, X., Ge, G., Wang, C., Zhuang, X., Cheng, W., Wang, D., Zhu, H., Pan, H., & Zhang, W. (2023). Unilateral Biportal Endoscopic Laminectomy for Treating Cervical Stenosis: A Technical Note and Preliminary Results. Medicina, 59(2), 305. https://doi.org/10.3390/medicina59020305

