The Role of Open Conservation Surgery in the Era of Minimally Invasive Surgery for Hypopharyngeal Cancer
Abstract
:1. Introduction
2. Materials and Methods
2.1. Patients
2.2. Surgical Procedure
2.3. Postoperative Adjuvant Treatment
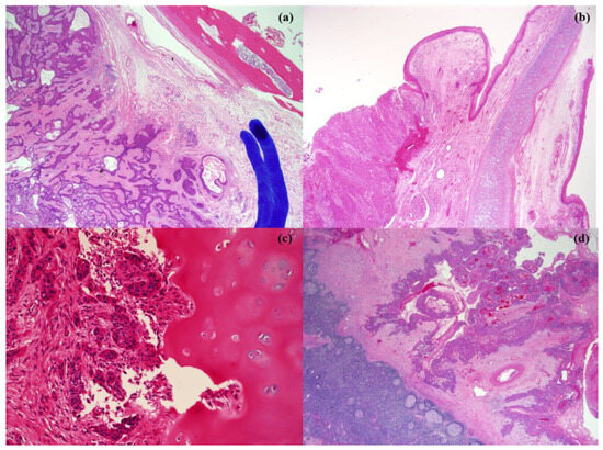
2.4. Pathological Review
2.5. Statistical Analysis
3. Results
3.1. Patient Characteristics
3.2. Histopathological Analysis
3.3. Oncological Outcomes and the Histopathological Features of Patients Undergoing Vertical Hemipharyngolaryngectomy
3.4. Hypopharyngeal Cancer Prognoses According to Invasion Status of the Pre-Epiglottic and Paraglottic Spaces and Thyroid Cartilage
4. Discussion
| Series | Technique | No. pts | M/F | Age, mean | OS, <2 y>, (3 y), {5 y} | DFS, <2 y>, (3 y), {5 y} | Complications |
|---|---|---|---|---|---|---|---|
| Hassid et al., 2020 [22] | TORS | 22 | 18/4 | 60 | (54%) | (92%) | 13% bleeding |
| Kishimoto et al., 2020 [28] | Endo | 118 | 114/4 | 65.6 | (93.6%) | 8% bleeding; 13% Subcutaneous emphysema | |
| KUO et al., 2013 [5] | TLM | 25 | 24/1 | 58 | (79%) | (83%) | 12% aspiration pneumonia; 4% Subcutaneous emphysema; 4% wound infection |
| Tomifuji et al., 2020 [8] | TOVS | 115 | 106/9 | 67 | {83.2%} | {94.3%} | 2.6% bleeding |
| Mazerolle et al., 2015 [25] | TORS | 57 | 52/5 | 60 | <84%> | 5% bleeding; 2% cervical hematoma; 2% pharyngostoma |
5. Conclusions
Author Contributions
Funding
Institutional Review Board Statement
Informed Consent Statement
Data Availability Statement
Acknowledgments
Conflicts of Interest
References
- Vokes, E.E.; Weichselbaum, R.R.; Lippman, S.M.; Hong, W.K. Medical Progress. N. Engl. J. Med. 1993, 328, 184–194. [Google Scholar] [CrossRef]
- Newman, J.R.; Connolly, T.M.; Illing, E.A.; Kilgore, M.L.; Locher, J.L.; Carroll, W.R. Survival trends in hypopharyngeal cancer: A population-based review. Laryngoscope 2015, 125, 624–629. [Google Scholar] [CrossRef] [PubMed]
- Scharpf, J.; Esclamado, R.M. Reconstruction with radial forearm flaps after ablative surgery for hypopharyngeal cancer. Head Neck 2003, 25, 261–266. [Google Scholar] [CrossRef] [PubMed]
- Milliet, F.; Gal, J.; Chamorey, E.; Dassonville, O.; Poissonnet, G.; Peyrade, F.; Benezery, K.; Hechema, R.; Sudaka, A.; Sanchez-Luini, M.; et al. Total pharyngolaryngectomy in the elderly: The impact of age on postoperative complications and oncologic and functional outcomes. Surg. Oncol. 2018, 27, 767–772. [Google Scholar] [CrossRef] [PubMed]
- Kuo, C.L.; Lee, T.L.; Chu, P.Y. Conservation surgery for hypopharyngeal cancer: Changing paradigm from open to endoscopic. Acta Otolaryngol. 2013, 133, 1096–1103. [Google Scholar] [CrossRef] [PubMed]
- Takes, R.P.; Strojan, P.; Silver, C.E.; Bradley, P.J.; Haigentz, M., Jr.; Wolf, G.T.; Shaha, A.R.; Hartl, D.M.; Olofsson, J.; Langendijk, J.A.; et al. Current trends in initial management of hypopharyngeal cancer: The declining use of open surgery. Head Neck 2012, 34, 270–281. [Google Scholar] [CrossRef]
- Ogura, J.H.; Jurema, A.A.; Watson, R.K. Partial laryngopharyngectomy and neck dissection for pyriform sinus cancer. Conservation surgery with immediate reconstruction. Laryngoscope 1960, 70, 1399–1417. [Google Scholar] [CrossRef]
- Tomifuji, M.; Araki, K.; Uno, K.; Kamide, D.; Tanaka, S.; Suzuki, H.; Tanaka, Y.; Kimura, E.; Hirokawa, S.; Taniai, S.; et al. Transoral videolaryngoscopic surgery for laryngeal and hypopharyngeal cancer—Technical updates and long-term results. Auris Nasus Larynx 2020, 47, 282–290. [Google Scholar] [CrossRef]
- Lorincz, B.B.; Busch, C.J.; Mockelmann, N.; Knecht, R. Feasibility and safety of transoral robotic surgery (TORS) for early hypopharyngeal cancer: A subset analysis of the Hamburg University TORS-trial. Eur. Arch. Otorhinolaryngol. 2015, 272, 2993–2998. [Google Scholar] [CrossRef]
- Chantrain, G.; Deraemaecker, R.; Andry, G.; Dor, P. Wide vertical hemipharyngolaryngectomy with immediate glottic and pharyngeal reconstruction using a radial forearm free flap: Preliminary results. Laryngoscope 1991, 101, 869–875. [Google Scholar] [CrossRef]
- Kim, M.S.; Joo, Y.H.; Cho, K.J.; Park, J.O.; Sun, D.I. A Classification System for the Reconstruction of Vertical Hemipharyngolaryngectomy for Hypopharyngeal Squamous Cell Carcinoma. Arch. Otolaryngol. Head Neck Surg. 2010, 137, 88–94. [Google Scholar] [CrossRef] [PubMed]
- Krstevska, V. Early stage squamous cell carcinoma of the pyriform sinus: A review of treatment options. Indian J. Cancer 2012, 49, 236–244. [Google Scholar] [CrossRef] [PubMed]
- Bozec, A.; Poissonnet, G.; Dassonville, O.; Culie, D. Current Therapeutic Strategies for Patients with Hypopharyngeal Carcinoma: Oncologic and Functional Outcomes. J. Clin. Med. 2023, 12, 1237. [Google Scholar] [CrossRef] [PubMed]
- Hermans, R.; Feron, M.; Bellon, E.; Dupont, P.; Bogaert, W.V.; Baert, A.L. Laryngeal tumor volume measurements determined with ct: A study on intra- and interobserver variability. Int. J. Radiat. Oncol. Biol. Phys. 1998, 40, 553–557. [Google Scholar] [CrossRef] [PubMed]
- Lefebvre, J.L.; Ang, K.K.; Larynx Preservation Consensus, P. Larynx preservation clinical trial design: Key issues and recommendations--a consensus panel summary. Head Neck 2009, 31, 429–441. [Google Scholar] [CrossRef]
- Layton, T.; Thomas, R.; Harris, C.; Holmes, S.; Fraser, L.; Silva, P.; Winter, S.C. Functional Outcomes Following Total Laryngectomy and Pharyngolaryngectomy: A 20-Year Single Center Study. Ann. Otol. Rhinol. Laryngol. 2022, 131, 1301–1309. [Google Scholar] [CrossRef]
- Mudry, A.; Laccourreye, O. 2023: Total laryngectomy’s 150th anniversary! Eur. Ann. Otorhinolaryngol. Head Neck Dis. 2023, 140, 1. [Google Scholar] [CrossRef]
- Anschuetz, L.; Shelan, M.; Dematte, M.; Schubert, A.D.; Giger, R.; Elicin, O. Long-term functional outcome after laryngeal cancer treatment. Radiat. Oncol. 2019, 14, 101. [Google Scholar] [CrossRef]
- Tateya, I.; Shiotani, A.; Satou, Y.; Tomifuji, M.; Morita, S.; Muto, M.; Ito, J. Transoral surgery for laryngo-pharyngeal cancer—The paradigm shift of the head and cancer treatment. Auris Nasus Larynx 2016, 43, 21–32. [Google Scholar] [CrossRef]
- Vilaseca, I.; Blanch, J.L.; Bernal-Sprekelsen, M. Transoral laser surgery for hypopharyngeal carcinomas. Curr. Opin. Otolaryngol. Head Neck Surg. 2012, 20, 97–102. [Google Scholar] [CrossRef]
- Steiner, W. Experience in endoscopic laser surgery of malignant tumors of the upper aerodigestive tract. Adv. Otorhinomlaryngol. 1988, 39, 135–144. [Google Scholar]
- Hassid, S.; Van der Vorst, S.; Delahaut, G.; Ambroise, J.; Lawson, G. Transoral robotic surgery hypopharyngectomy (TORSH): Feasibility and outcomes. Eur. Arch. Otorhinolaryngol. 2020, 277, 2883–2892. [Google Scholar] [CrossRef]
- Satou, Y.; Omori, T.; Tagawa, M. Treatment of superficial carcinoma in the hypopharynx. Nihon Jibiinkoka Gakkai Kaiho 2006, 109, 581–586. [Google Scholar] [CrossRef] [PubMed]
- Motamed, M.; Laccourreye, O.; Bradley, P.J. Salvage conservation laryngeal surgery after irradiation failure for early laryngeal cancer. Laryngoscope 2006, 116, 451–455. [Google Scholar] [CrossRef] [PubMed]
- Mazerolle, P.; Philouze, P.; Garrel, R.; Aubry, K.; Moriniere, S.; El Bedoui, S.; Ton Van, J.; Ferron, C.; Malard, O.; Jegoux, F.; et al. Oncological and functional outcomes of trans-oral robotic surgery for pyriform sinus carcinoma: A French GETTEC group study. Oral Oncol. 2018, 86, 165–170. [Google Scholar] [CrossRef]
- Park, Y.M.; Kim, W.S.; Byeon, H.K.; De Virgilio, A.; Jung, J.S.; Kim, S.H. Feasiblity of transoral robotic hypopharyngectomy for early-stage hypopharyngeal carcinoma. Oral Oncol. 2010, 46, 597–602. [Google Scholar] [CrossRef]
- Cho, K.J.; Kim, M.S.; Cho, J.H.; Park, J.O.; Nam, I.C.; Kim, C.S.; Joo, Y.H. Oncological and functional outcomes of partial or total laryngopharyngectomy for hypopharyngeal cancer with thyroid or cricoid cartilage invasion. Acta Otolaryngol. 2023, 143, 429–433. [Google Scholar] [CrossRef]
- Kishimoto, Y.; Tateya, I.; Funakoshi, M.; Miyamoto, S.I.; Muto, M.; Omori, K. Endoscopic laryngopharyngeal surgery for hypopharyngeal lesions. Oral Oncol. 2020, 106, 104655. [Google Scholar] [CrossRef]
- Ogura, J.H.; Marks, J.E.; Freeman, R.B. Results of conservation surgery for cancers of the supraglottis and pyriform sinus. Laryngoscope 1980, 90, 591–600. [Google Scholar] [CrossRef]
- Kuo, Y.L.; Chang, C.F.; Chang, S.Y.; Chu, P.Y. Partial laryngopharyngectomy in the treatment of squamous cell carcinoma of hypopharynx: Analysis of the oncologic results and laryngeal preservation rate. Acta Otolaryngol. 2012, 132, 1342–1346. [Google Scholar] [CrossRef]
- Suoglu, Y.; Guven, M.; Kiyak, E.; Enoz, M. Significance of pre-epiglottic space invasion in supracricoid partial laryngectomy with cricohyoidopexy. J. Laryngol. Otol. 2008, 122, 623–627. [Google Scholar] [CrossRef]
- Rapoport, A.; Botelho, R.A.; Souza, R.P.; Cavalcanti, S.M.; Furlam, S.; Tornin Ode, S.; Souza, T.R. The importance of pre-epiglottis space invasion in the treatment planning of larynx and hypopharynx cancer. Braz. J. Otorhinolaryngol. 2008, 74, 74–78. [Google Scholar] [CrossRef] [PubMed]
- Dursun, G.; Keser, R.; Akturk, T.; Akiner, M.N.; Demireller, A.; Sak, S.D. The significance of pre-epiglottic space invasion in supraglottic laryngeal carcinomas. Eur. Arch. Otorhinolaryngol. 1997, 254, 110–112. [Google Scholar] [CrossRef]
- Clerf, L.H. The preepiglottic space: Its relation to carcinoma of the epiglottis. Arch. Otolaryngol. 1944, 43, 177–179. [Google Scholar] [CrossRef]
- Loevner, L.A.; Yousem, D.M.; Montone, K.T.; Wever, R.; Chalian, A.A.; Weinstein, G.S. Can radiologists accurately predict PES invasion with MR imaging? Am. J. Roentgenol. 1997, 169, 1681–1687. [Google Scholar] [CrossRef]
- Zeitels, S.M.; Vaughan, C.W.; Domanowski, G.F. Endoscopic Management of Early Supraglottic Cancer. Ann. Otol. Rhinol. Laryngol. 1990, 99, 951–956. [Google Scholar] [CrossRef] [PubMed]
- Yaffe, N.M.; Quereshy, H.A.; Quinton, B.A.; Otteson, T.D.; Shah, J.R. Reimbursement Trends in Pediatric Otolaryngology From 2000 to 2020: A CMS Physician Fee Schedule Analysis. Otolaryngol. Head Neck Surg. 2023, 168, 59–64. [Google Scholar] [CrossRef] [PubMed]
- Mafee, M.F.; Schild, J.A.; Valvassori, G.E.; Capek, V. Computed tomography of the larynx: Correlation with anatomic and pathologic studies in cases of laryngeal carcinoma. Radiology 1983, 147, 123–128. [Google Scholar] [CrossRef] [PubMed]



| Variables | Number of Patients (%) |
|---|---|
| All | 49 |
| Mean age, years | 59.8 ± 17.3 |
| Gender | |
| Men | 49 (100) |
| Women | 0 (0) |
| Smoking | |
| Current | 38 (77.6) |
| Ex-smoker | 7 (14.3) |
| Non-smoker | 4 (8.2) |
| Location | |
| Pyriform sinus | 43 (87.8) |
| Posterior pharyngeal wall | 5 (10.2) |
| Postcricoid | 1 (2.0) |
| Pathological T and N classification | |
| T classification | |
| pT1 | 6 (12.2) |
| pT2 | 21 (42.9) |
| pT3 | 15 (30.6) |
| pT4 | 7 (14.3) |
| N classification | |
| pN0 | 7 (14.3) |
| pN1 | 11 (22.4) |
| pN2 | 28 (57.1) |
| pN3 | 3 (6.1) |
| Reconstruction | |
| Radial forearm free flap | 48 (98.0) |
| Anterolateral thigh free flap | 1 (2.0) |
| Disease control | |
| Disease-free | 24 (49.0) |
| Recurrence | 25 (51.0) |
| Locoregional | 19 (38.8) |
| Distant | 6 (12.2) |
| Postoperative adjuvant treatment | |
| Concurrent chemoradiation | 34 (69.4) |
| Radiation alone | 10 (20.4) |
| None | 5 (10.2) |
| Subsites | Number of Patients (%) |
|---|---|
| Paraglottic space invasion | 13 (26.5) |
| Pre-epiglottic space invasion | 4 (8.2) |
| Thyroid cartilage invasion | 9 (18.4) |
| Thyroid gland invasion | 2 (4.1) |
| Perineural invasion | 11 (22.4) |
| Lymphovascular invasion | 35 (71.4) |
| Subsite | Univariate Analysis | Multivariate Analysis | ||
|---|---|---|---|---|
| Hazard Ratio (95% CI) | p Value | Hazard Ratio (95% CI) | p Value | |
| Paraglottic space invasion | 1.35 (0.289–4.493) | 0.72 | ||
| Pre-epiglottic space invasion | 7.30 (0.310–11.143) | 0.04 * | 5.35 (0.522–8.326) | 0.04 * |
| Thyroid cartilage invasion | 1.89 (0.440–4.952) | 0.52 | ||
| Thyroid gland invasion | 1.27 (0.125–3.315) | 0.76 | ||
| Perineural invasion | 3.79 (0.285–6.163) | 0.95 | ||
| Lymphvascular invasion | 1.41 (0.352–7.234) | 0.05 * | 1.58 (0.492–3.573) | 0.25 |
Disclaimer/Publisher’s Note: The statements, opinions and data contained in all publications are solely those of the individual author(s) and contributor(s) and not of MDPI and/or the editor(s). MDPI and/or the editor(s) disclaim responsibility for any injury to people or property resulting from any ideas, methods, instructions or products referred to in the content. |
© 2023 by the authors. Licensee MDPI, Basel, Switzerland. This article is an open access article distributed under the terms and conditions of the Creative Commons Attribution (CC BY) license (https://creativecommons.org/licenses/by/4.0/).
Share and Cite
Bang, J.; Lee, O.-H.; Kim, G.-J.; Sun, D.-I.; Kim, S.-Y. The Role of Open Conservation Surgery in the Era of Minimally Invasive Surgery for Hypopharyngeal Cancer. Medicina 2023, 59, 1873. https://doi.org/10.3390/medicina59101873
Bang J, Lee O-H, Kim G-J, Sun D-I, Kim S-Y. The Role of Open Conservation Surgery in the Era of Minimally Invasive Surgery for Hypopharyngeal Cancer. Medicina. 2023; 59(10):1873. https://doi.org/10.3390/medicina59101873
Chicago/Turabian StyleBang, Jooin, Oh-Hyeong Lee, Geun-Jeon Kim, Dong-Il Sun, and Sang-Yeon Kim. 2023. "The Role of Open Conservation Surgery in the Era of Minimally Invasive Surgery for Hypopharyngeal Cancer" Medicina 59, no. 10: 1873. https://doi.org/10.3390/medicina59101873
APA StyleBang, J., Lee, O.-H., Kim, G.-J., Sun, D.-I., & Kim, S.-Y. (2023). The Role of Open Conservation Surgery in the Era of Minimally Invasive Surgery for Hypopharyngeal Cancer. Medicina, 59(10), 1873. https://doi.org/10.3390/medicina59101873

