Abstract
Background and Objectives: Obesity is currently a major health problem due to fatty acid accumulation and excess intake of energy, which leads to an increase in oxidative stress, particularly in the liver. The main goal of this study is to evaluate the protective effects of spirulina (SP) against cafeteria diet (CD)-induced obesity, oxidative stress, and lipotoxicity in rats. Materials and Methods: The rats were divided into four groups and received daily treatments for eight weeks as follows: control group fed a standard diet (SD 360 g/d); cafeteria diet group (CD 360 g/d); spirulina group (SP 500 mg/kg); and CD + SP group (500 mg/kg, b.w., p.o.) according to body weight (b.w.) per oral (p.o.). Results: Our results show that treatment with a CD increased the weights of the body, liver, and abdominal fat. Additionally, severe hepatic alteration, disturbances in the metabolic parameters of serum, and lipotoxicity associated with oxidative stress in response to the CD-induced obesity were observed. However, SP treatment significantly reduced the liver alteration of CD feed and lipid profile disorder associated with obesity. Conclusions: Our findings suggest that spirulina has a marked potential therapeutic effect against obesity and mitigates disturbances in liver function parameters, histological alterations, and oxidative stress status.
1. Introduction
Obesity is defined as an abnormal excess of body fat caused by a calorie consumption that exceeds energy expenditure [1]. Obesity leads to adipose tissue accumulation, which has a harmful impact on health. Hyperlipidemia is a growing public health challenge worldwide, with significant health and economic impacts [2]. Currently, ca. 2.5 billion individuals are overweight or obese around the globe.
Obesity is a well-known risk factor for debilitating chronic diseases such as cardiovascular disease, cancer, cerebrovascular disease [3,4], and hepatic steatosis [5]. Nonalcoholic fatty liver disease (NAFLD) has developed as the most common liver pathology worldwide, and is strongly linked to the presence of oxidative stress [6,7]. Disturbances in lipid metabolism induce hepatic lipid accumulation, which disturbs different reactive oxygen species (ROS) generators, such as the mitochondria, endoplasmic reticulum, and NADPH oxidase [8]. Our study was conducted on rats with nutritional obesity caused by a cafeteria diet. This obesogenic diet induced weight gain and impaired carbohydrate homeostasis associated with insulin resistance [9,10,11]. In addition, it is widely known that obesity is linked to an oxidative stress status characterized by the overproduction of free radicals [12]. An imbalance between pro-oxidants and antioxidants may be caused by an excess of reactive oxygen species (ROS) or antioxidant depletion [13]. These ROS may originate from nicotinamide adenine dinucleotide phosphate (NADPH) oxidase and the mitochondrial respiratory chain [14]. Obesity also provides a rapid source of adipokines and pro-inflammatory cytokines [15] and promotes a chronic hepatic inflammatory state [16], as well as metabolic syndrome.
The spread of overweight and obesity in the world has encouraged us to develop natural remedies to prevent this disease. These remedies present the same pharmacological efficacy as chemical-based drugs, with fewer side effects.
Natural products play an essential role in the development ofnew drugs for the treatment of obesity, such as chamomile (Matricaria recutita L.) [17].
Spirulina is a filamentous cyanobacterium and spiral microalgae [18,19]. It is a blue-green algae that contains many components, such as minerals, protein, fiber, phytochemicals, vitamins, fatty acids, and carbohydrates. These phenolic compounds have been demonstrated to have the potential to combat the detrimental effects of free radicals, which are harmful to our food systems and bodies [20]. Spirulina can be used as apowerful treatment against several diseases due to its significant therapeutic properties, such as antioxidant, anti-inflammatory, anticancer, antiviral, and antibacterial activities [21]. Several studies suggest that SP protects against obesity by regulating appetite, food absorption, gut microbiota, insulin resistance, oxidative stress [22,23,24], and inflammation [25,26].
The aim of this study was to evaluate the protective effect of SP against CD-induced obesity in a rat model, as well as against the associated hepatic steatosis and inflammation.
2. Materials and Methods
2.1. Chemicals
Diethyl ether, eosin (E), hematoxylin (H), formaldehyde, epinephrine, bovine catalase, butylated hydroxytoluene (BHT), 2-Thio-barbituric acid (TBA), pyrogallol, NaCl, methanol, chlorhydric acid (Hcl), ethylene tetra-acetic (EDTA), and hydrogen peroxide were purchased from sigma-aldrish Co., Munich, Germany.
2.2. Prepartion of Spirulina (SP)
The flakes of spirulina were purchased from the Tunisian company Eden Life (Kettana, Tunisia). They wereground into a powder using an electric blender before being placed into bottles and kept dry in the dark. We mixed 5 g of SP powder with 50 mL of distilled water by light shaking 1 h before the treatment.
2.3. Characterization of Phenolic Compounds of Spirulina by HPLC-DAD-ESI MS/MS Analysis
The spirulina extract was dissolved in methanol and analyzed by LC-MS/MS using an Agilent Series 1100 LC system (Agilent Technologies, Palo Alto, CA, USA). This system was equipped with a photodiode array detector (PDA) and a triple quadrupole mass spectrometer, Micromass Autospec UltimaPt (Kelso, UK), interfaced with an ESI ion source. Separation was achieved using a Superspher® 100 (12.5 cm × 2 mm i.d., 4 mm, Agilent Technologies, Rising Sun, Maryland, MD, USA) at 45 °C [27].
The samples (20 µL) were eluted through the column with a gradient mobile phase consisting of A (0.1% acetic acid) and B (acetonitrile) at a flow rate of 0.25 mL min−1. The following multistep linear solvent gradient was employed: 0–5 min, 2% B; 5–75 min, 88% B; 75.1–90 min, 2% B.
PDA was detected in the 200–400 nm wavelength range, and the mass spectra were recorded in negative ion mode under the following operating conditions: capillary voltage, 3.2 kV; cone voltage, 115 V; probe temperature, 350 °C; ion source temperature, 110 °C. The spectra were acquired in the m/z range of 150–750 amu.
Identification of phenolic compounds was based on chromatography with known standards, when available. PDA and mass spectra were used to confirm the identity of compounds previously reported in the literature [28,29]. The content percentage of each component in the crude extract was determined by a UV chromatogram at 210 nm.
2.4. Preparation of Cafeteria Diet
A cafeteria diet (CD) increases the risk of obesity in rats. The components of the CD included a mixture, with 50% being cookies, cheese, salami, peanuts, chocolate, and chips in a proportion of 2:2:2:1:1:1, and with other 50% being a standard diet (mix/standard diet, w/w) given to each groups for two months [11,30]. The composition of the cafeteria diet (420 kJ/100 g) consisted of 23% energy from protein, 35% energy from carbohydrates, 42% energy from lipids and 9% moisture content [30]. The cafeteria diet induced hyperphagia followed by obesity due toits high-fat and high-calorie contents.
2.5. Animals and Treatment
Male Wistar rats (n = 32 body weight (BW) 180–200 g) were housed four per cage for a 7-day acclimation period. The animals were procured from the Society of Pharmaceutical Industries of Tunisia (SIPHAT, Ben Arous, Tunisia) and used following the guidelines of the local ethics committee of Tunisia University for the use and care of animals, as recommended by the National Institutes of Health (NIH). The animal experiments and treatments were approved by the Ethical Committee of Biomedical (CEBM) for the care and use of animals in Tunisia (ref: JORT472004/2020). The number of rats used in the study was minimized in accordance with the 3Rs guidelines for the humane treatment of animals [31], and following the International Council for Laboratory Animal Science (ICLAS) guidelines.
Animals were fed a standard pellet diet (Badr Utique-TN) and provided with free access to water ad libitum. They were housed in facilities with a controlled temperature (22 ± 2 °C) and humidity (60% of relative humidity) and a 12 h light–dark cycle. After the adaptation period, the rats were divided into four groups, each containing eight rodents, with two cages for each treatment group. Over a period of two months, animals were fed a standard diet (SD) (groups I and IV) or a cafeteria diet (360 g/day) (CD) (groups II and III) at 09:00 h. On the other hand, groups I and II received distilled water while groups III and IV were treated with SP (500 mg/kg. b.w., p.o.) for eight weeks. The treatments were administered orally every 24 h. The body weight of the animals was measured every three days.
2.6. Biochemical Assessment of Liver Tissue
On the last day of our treatment, animals were sacrificed by decapitation after overnight fasting. The liver was rapidly excised, homogenized in phosphate-buffered saline, and centrifuged for 15 min at 10,000× g at 4 °C [32]. The resulting supernatant was stored at −80 °C for the determination of biochemical parameters, including protein content, H2O2, sulfhydryl group (-SH groups), reduced glutathione (GSH), and malondialdehyde (MDA), as well as antioxidant enzyme activities and lipid composition. Blood was collected and centrifuged at 3000× g for 15 min, and the plasma was stored at −20 °C for further biochemical analysis. The remaining liver tissue was preserved in 10% formalin for histological examination.
2.7. Metabolic Parameters
The lipid markers, including total cholesterol (TC) (cat. no. 21014, Biomaghreb, Ariana, Tunisia), high-density lipoproteincholesterol (HDL) (cat. no. 23025, Biomaghreb, Tunisia), low-densitylipoproteincholesterol (LDL) (cat. no. 24022, Biomaghreb, Tunisia), and triglyceride (TG) (cat. no. 29010, Biomaghreb, Ariana, A, Tunisia),were analyzed in both plasma and liver samples. Concentrations were measured using a SELECTRAPRO XL automatic biochemical analyzer with the commercially available kits obtained from Biomaghreb, Tunisia (ISO 9001 certificate).
2.8. Biochemical Analysis
Glycemia, direct bilirubin, aspartate amino-transferase (ASAT) and alanine aminotransferase (ALAT) were measured in plasma samples using commercially available diagnostic kits (Biomaghreb, Ariana, Tunisia).
2.9. Oxidative Stress Assessment
The protein contents were determined using the Hartree method with a slight modification of the Lowry method [33]. The level of MDA was evaluated following the Drapper and Hadley [34] protocol, which involves reacting MDA with thiobarbituric acid. Ellman’s method was employed to estimate the concentration of -SH groups [35], and the Sedlak and Lindsay method was used to measure the GSH level [36].
2.10. Antioxidant Enzyme Activity Assays
Antioxidant enzyme activity assays were conducted as follows: Catalase (CAT) activity was determined using the method proposed by Aebi [37]. Superoxide dismutase activity (SOD) was assessed using the epinephrin/adenochrome method according to Misra and Fridovich’s approach [38]. Glutathione peroxidase (GPx) activity was evaluated using the method described by Flohé and Günzler [39].
2.11. Determination of Reactive Oxygen Species
Dingeon’s method was employed to assess the level of hydrogen peroxide (H2O2) in the samples [40]. In the presence of peroxidase, hydrogen peroxide reacts with p-hydroxybenzoic acid and 4-aminoantipyrine, forming a quinoneimine compound. The optical density was measured at 505 nm.
The level of hydroxyl radical was determined using the method of Paya et al. [41]. This involved the oxidation of desoxyribose by hydroxyl radicals generated by the Fe3+ascorbate-EDTA-H2O2pathway, followed by incubation with liver homogenate at 37 °C for one hour. The reaction was halted by adding TCA (2.8%) and TBA (1%), and boiled at 100 °C for 20 min. Changes in absorbance at 532 nm were measured compared to a blank containing desoxyribose and buffer.
The level of superoxide anions was determined using the Marklund method with minor modifications [42]. Briefly, the samples were incubated in tris-Hcl buffer, and pyrogallol was added to the reaction mixture, which was then incubated at 25 °C for 5 min. The reaction was stopped by adding Hcl and the absorbance at 420 nm was measured against the blank.
2.12. Histopathological Study
Immediately after sacrifice, the dissected rat livers were fixed in 10% paraformaldehyde and then embedded in paraffin [43]. Subsequently, the liver tissues were sectioned into 5 µm slices, deparaffinized, and rehydrated in ascending concentrations of ethyl alcohol (70–100%). Finally, the samples were stained with hematoxylin and eosin (H&E).
2.13. Assessment of Liver Cytokines
The levels of cytokines in the supernatant were determined using standard sandwich enzyme-linked immunosorbent assay (ELISA) kits (Cat. No. CRS-B002 and CEA-C010, Bioscience, San Diego, CA, USA) according to the manufacturer’s instructions and expressed in pg/mg protein.
2.14. Data Analysis
Statistical analysis was conducted using Statistica 13.0 data analysis software (TIBCO Software Inc., Palo Alto, CA, USA).Prior to analysis, all results were assessed for normality and homoscedasticity. The impact of different diets on weight gain, total abdominal fat, body weight, food intake, and biochemical parameters was assessed using a one-way ANOVA followed by a post hoc least significant difference (LSD) test. Differences between treatments were determined by a Student’s t-test and considered significant at p < 0.05. For the assessment of antioxidant markers and lipid peroxidation in each treatments group, based on the applied dietary experiments, the non-parametric Kruskal–Wallis test with Mann–Whitney post-hoc analysis was employed.
3. Results
3.1. HPLC-DAD-ESI-MS/MS Analysis of Spirulina
The HPLC-DAD-ESI-MS/MS analysis of spirulina enabled the identification of flavonoids such as catechin and quercetin, as well as phenolic acids like chlorogenic acid, syringic acid, and sinapic acid. Additionally, resorcinol or resorcin, or benzene-1,3-diol, the meta isomer of benzenediol, was identified as a diphenol (Table 1). The chromatographic elution profile of all identified phenolic compounds is depictedin Figure 1.
Table 1.
Retention time (Rt), molecular mass spectral data, and identification of phenolic compounds in spirulina methanolic extract.
Figure 1.
Chromatograms registered with a UV–vis detector at 360 nm for spirulina methanolic extract.
3.2. Effect of SP and CD on Body, Liver, Abdominal Fat Weight, Weight Gain, and Food Intake
Obesity was assessed principally through body weight, abdominal fat weight, and weight gain to evaluate the effect of SP on obesity induced by CD. Animals fed with a cafeteria diet (CD) exhibited significant increases in body, liver, and abdominal fat and food intake, as well as gaining weight, compared to those fed the standard diet (SD) (Table 2). Treatment with SP led to a significant decrease in all weight parameters compared to those fed with CD.
Table 2.
Effect of spirulina (SP) and a cafeteria diet (CD) on body, liver, and total abdominal fat, weights, and food intake. Rats were fed a standard diet (SD) or a cafeteria diet (CD) and treated with SP (500 mg/kg, b.w., p.o.) for 8 weeks.
3.3. Effect of SP and a CD on Liver and Plasma Lipid Profiles
To investigate the effects of obesity on the hypolipidemic effect of SP, the levels of TC, TG, HDL, and LDL were assessed in both plasma and hepatic tissue. The supplementation of a CD significantly increased TC, TG, and LDL levels while lowering the plasma HDL levels (Table 3). Additionally, a CD led to elevated hepatic TC and TG levels, but did not significantly affect LDL or HDL compared to the standard diet group (SD). Moreover, SP treatment significantly restored all these metabolic parameters to their baseline levels in the CD group.
Table 3.
Effect of spirulina(SP) and a cafeteria diet (CD) on plasma and liver lipid profiles. Rats were fed a standard diet (SD) or a cafeteria diet (CD) and treated with spirulina (SP 500 mg/kg, b.w., p.o.) for two months.
3.4. Effect of SP and a CD on Liver Function
The effect of SP and CD treatment on liver function was assessed and is shown in Table 4. We observed that hepatic injuries are associated with a significant increase in glycemia, ASAT, ALAT, and direct bilirubin in the CD group. SP treatment significantly alleviated all these metabolic alterations compared to the CD group.
Table 4.
Effect of spirulina (SP) and a cafeteria diet (CD) on biochemical parameter changes in obese rats. Rats were fed a standard diet (SD) or a cafeteria diet (CD) and treated with spirulina (SP 500 mg/kg, b.w., p.o.) for two months.
3.5. Effect of SP and a CD on Liver Oxidative Stress
The cafeteria diet (CD) induced a significant alteration in the liver’s redox balance, as evidenced by the significant increase in lipid peroxidation (Figure 2A) in obese rats compared to those fed a standard diet. A significant depletion in non-enzymatic antioxidants such as -SH groups (Figure 2B) and reduced glutathione levels (Figure 2C) were observed. Conversely, SP treatment effectively mitigated these perturbations in the liver tissue when compared to the CD group (p < 0.05).
Figure 2.
Effect of spirulina (SP) and a cafeteria diet (CD) on hepatic lipoperoxidation (A), sulfhydryl groups (B), and reduced glutathione (C) levels. Rats were fed a standard diet (SD) or a cafeteria diet (CD) and treated with spirulina (SP 500 mg/kg, b.w., p.o.) for 8 weeks. Data are expressed as mean S.E.M. (n = 8). *: p < 0.05 compared to control group and #: p < 0.05 compared to CD group.
3.6. Effect of SP and a CD on Liver Antioxidant Enzyme Activity
As shown in Figure 3, a significant decrease in antioxidant enzyme activities, such as SOD (Figure 3A), CAT (Figure 3B), and GPx (Figure 3C), was found in the liver of obese rats compared to the control fed a standard diet. However, eight weeks of SP treatment significantly alleviated this inhibition compared to the CD group.
Figure 3.
Effect of spirulina (SP) and a cafeteria diet (CD) on hepatic antioxidant enzyme activities: CAT (A), SOD (B), and GPx (C). Rats were fed a standard diet (SD) or a cafeteria diet (CD) and treated with spirulina (SP 500 mg/kg, b.w, p.o.) for 8 weeks. Data are expressed as mean S.E.M. (n = 8). *: p < 0.05 compared to control group and #: p < 0.05 compared to CD group.
3.7. Effect of SP and a CD on Liver Reactive Oxygen Species (ROS)
Figure 4 shows how different treatments affected the synthesis of hepatic hydrogen peroxide (Figure 4A), hydroxyl radicals (Figure 4B), and superoxide anions (Figure 4C). The CD induced an overload of hepatic reactive oxygen species (ROS), whereas SP treatment significantly reduced the liver ROS production to the basic levels.
Figure 4.
Effect of spirulina (SP) and a cafeteria diet (CD) on hepatic hydrogen peroxide(A), hydroxyl radical (B), and superoxide anion (C) levels.Rats were fed a standard diet (SD) or a cafeteria diet (CD) and treated with spirulina (SP 500 mg/kg, b.w., p.o.) for two months. Data are expressed as mean S.E.M. (n = 8). *: p < 0.05 compared to control group and #: p < 0.05 compared to CD group.
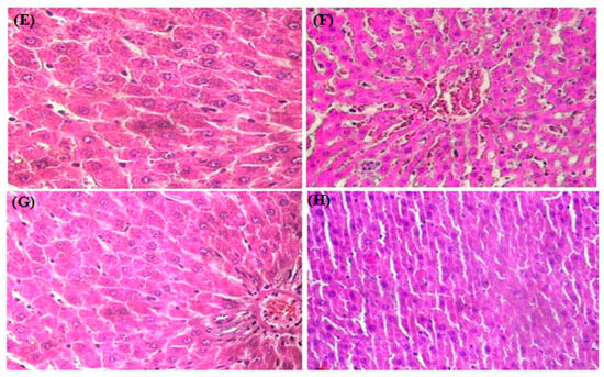
3.8. HistopathologicalStudy
A histological analysis with H&E staining was used to evaluate the impact of SP and a CD on the accumulation of fat droplets. The standard diet group exhibited a normal histological architecture (Figure 5A). SP administered rats had normal livers and no obvious changes were detected (Figure 5D). However, after 8 weeks of CD feeding, acute necrosis and steatosis were observed, with fat vacuoles and cell ballooning apparent in the liver compared to the standard diet group (Figure 5B). SP treatment reduced the vacuoles of fat droplets in the liver cells of CD-fed rats, resulting in a normal liver (Figure 5C).

Figure 5.
Hepatic histology showing the protective effect of spirulina (SP) on cafeteria diet (CD)-induced histological alterations in livers. Rats were fed a standard diet (SD) or a cafeteria diet (CD) and treated with spirulina (SP 500 mg/kg, b.w., p.o.) for 8 weeks. (A,E) control rats were fed SD; (B,F) rats were fed CD; (C,G) CD+ SP (500 mg/k, b.w., p.o.), and (D,H) SD + SP (500 mg/kg, b.w., p.o.) (magnification ×10; ×40).
3.9. Effect of SP and a CD on Liver Cytokine Levels
The effects of SP and CD on liver tumor necrosis factor (TNFα) and interleukin 1β (IL-1β) levels were investigated using an ELISA technique. The synthesis of interleukins in the liver was elevated in the CD group. Interestingly, SP treatment significantly reduced interleukin production in the liver induced by CD treatment (Figure 6A,B).
Figure 6.
Effect of spirulina (SP) and a cafeteria diet (CD) on hepatic TNFα (A) and IL1-β (B) levels. Rats were fed a standard diet (SD) or a cafeteria diet (CD) and treated with spirulina (SP 500 mg/kg, b.w., p.o.) for two months. Data are expressed as mean S.E.M. (n = 8). *: p < 0.05 compared to control group and #: p < 0.05 compared to CD group.
4. Discussion
The main purpose of this study is to demonstrate, for the first time, the potential therapeutic action of SP against obesity, liver oxidative damage, inflammation, and hepatic steatosis induced by a cafeteria diet in rats.
We first showed the chromatographic analysis of spirulina using HPLC-DAD-ESI-MS/MS, revealing the existence of six phenolic compounds, particularly flavonoids and phenolic acids. Indeed, phenolic acids constitute the major class of these compounds, which are non-flavonoid compounds [20,32]. Additionally, flavonoids include a very wide range of natural phenolic compounds, with nearly 6500 flavonoids categorized into 12 classes [44,45]. These phenolic compounds have been widely studied for their protectiveeffect against various diseases [46,47]. Specifically, flavonoids and phenolic acids are attributed to various effects, including antitumor [48], anti-inflammatory [49], anti-radical, antibacterial, analgesic, anti-allergic, and hepatoprotective effects [50].
Physiologically, we demonstrated that SP treatment reduces the obesity induced by a cafeteria diet, as evidenced by a significant change in body weight, liver enlargement, and a strong accumulation of abdominal fat compared to the standard diet group, which as in agreement with several previous studies [17,30,51]. The obesity induced by the cafeteria diet results from hyperphagia induced by nutritional factors, and is marked by the deposition of abdominal fat into epididymal, perirenal, mesenteric, and retroperitoneal white adipose tissues [17]. CD is a high-fat and high-calorie diet associated with adipose tissue accumulation and weight gain in both humans and rats [52,53]. SP treatment protects against this increase in body weight and hepatic weight and the accumulation of adipose tissue, which may be related to the major quantity of C-phycocyanin in SP [54]. In a similar context, obesity induced by a CD can be attenuated by several medicinal plants, such as lotus (Nelumbo nucifera) [55], ginseng [56], and bael (Aegle marmelos) [57], as well as by several microalgae [58], including Phaeodacty lumtricornutum [59] and Dunaliella salina (D. salina) [60].
Obesity is not merely a weight problem, it also leads to numerous diseases such as hepatic steatosis [61], renal inflammation [62], atherosclerosis, and endothelial dysfunction [63]. In this context, our study revealed that consuming a CD for two months induced dyslipidemia, as evidenced by the increased triglycerides and cholesterol in plasma and liver tissue, the elevated LDL cholesterol, and the reduction in HDL cholesterol in plasma. Indeed, obesity has been linked to hepatotoxicity due to elevated levels of lipid compounds. The liver overproduces triglycerides and cholesterol, which are transferred to ApoB-100 in the endoplasmic reticulum with the MTP protein (microsomal transfer protein) to form VLDL (very low-density lipoprotein) [64,65], while HDL in the liver is used to transport cholesterol and free fatty acids for their degradation [64]. SP supplementation significantly reduced the risk of dyslipidemia in the plasma and the liver, consistent with previous human studies. Indeed, the intake of 4.5 g of SP for three months reduced TG, TC, and LDL levels in patients with fatty liver disease [66,67].
Additionally, our study demonstrated that a CD caused a significant increase in glycemia, ASAT, ALAT, and direct bilirubin levels. Similar findings have been reported in previous studies [68]. Elevated levels of ASAT and ALAT are indicators of liver steatosis development [68], while high bilirubin amounts predispose the liver to cirrhosis and other hepatic function problems [69]. Importantly, SP treatment effectively regulates glycemia [70] and reduces ASAT, ALAT, and bilirubin levels, suggesting that microalgae might have a preventive effect on liver dysfunction [71,72].
On the other hand, our study confirmed that obesity and oxidative stress are closely linked; this was demonstrated by an increased lipid peroxidation, decreased antioxidant enzyme activities, such as SOD, CAT, and GPx, as well as depletions in non-enzymatic antioxidants such as the -SH group and GSH. These data align with previous reports indicating that liver steatosis is associated with adipose tissue ROS production [17,73,74]. Indeed, the mechanisms underlying non-alcoholic fatty liver disease (NAFLD) are induced by a perturbation in the mitochondrial metabolism, leading to the overproduction of ROS in the liver [73]. On the other hand, our results indicated that a CD was linked to harmful effects to the hydrogen peroxide (H2O2), hydroxyl radicals (OH•), and superoxide anions (O2.−) in liver tissue. However, NADPH oxidase expressed in visceral adipose tissue might be responsible for the high generation of hydrogen peroxide [13,75], leading to the production of superoxide anions and the subsequent generation of hydroxyl radicals, the most toxic ROS in oxidative stress [76,77]. This has a significant impact on the pathophysiology of obesity [13]. This link between obesity and oxidative stress has been well demonstrated in both human studies [78] and rodent models [55]. Subchronic treatment with SP significantly protected against hepatic oxidative stress. Several studies have demonstrated the antioxidant capacity of SP to reduce ROS overproduction in the liver [79,80]. According to the findings of Ready et al., SP protects against the depletion in antioxidant enzyme activity [81,82]. The antioxidant activity of spirulina is linked to various biologically active components, including C-phycocyanin, α-tocopherol, β-carotene, phenolic compounds, and phycobiliprotein [54,79,83]. In addition, SP contains superoxide dismutase, which reduces the overproduction of free radicals [84]. Our findings clearly suggest that the inhibition of hyperlipidemia-induced lipid peroxidation in rat livers was related to the ability of the phenolic compounds present in SP to inhibit hepatic oxidative stress [85]. It has been reported that various flavonoids and phenols have a protective effect on liver damage due to their antioxidant activity [20]. Hepatic oxidative stress induced by obesity has been shown to be inhibited by many plants, such as chamomile (Matrica riarecutita L.) [17] and Flaxseed [86], as well as microalgaesuch as Chlorella vulgaris [87] and Odontella aurita [88].
Concerning the histological examination, hepatic macrovacuoles were observed, characterized by lipid globules confining the nucleus at the cell periphery. Hepatic steatosis is associated with the accumulation of triglycerides in the cytoplasm of hepatocytes. It is characterized by hepatic injury and necrosis [89,90], which were clearly identified in our histological study. Treatment with SP effectively protected against the initiation of hepatic steatosis, which corroborates previous results on the same hepatoprotective mechanism [91]. In fact, SP contains a wide range of bioactive compounds, including C-phycocyanin and β-carotene, which are both powerful antioxidants and anti-inflammatory agents [92,93]. Additionally, we showed that a CD was linked to detrimental effects on pro-inflammatory cytokines such as TNFα and IL-1β. Obesity is also associated with the chronic inflammation of adipose tissue. Indeed, M1 phenotype macrophages produce numerous pro-inflammatory cytokines, including TNFα, IL-1β, and IL-6, which are associated with T lymphocyte activation in adipose tissue [94]. More importantly, spirulina contains bioactive compounds that exert beneficial effects by decreasing the TNFα and IL-1β levels and the secretion of cytokines such as TNFα [95]; in addition, phycocyanin inhibits enzymes involved in the production of inflammatory molecules such as lipoxgenase (LOX) [96] and suppresses the expression of iNOS and COX-2 [79,97,98]. SP also contains β-carotene, which has potent antioxidant and anti-inflammatory properties [92,99] and inhibits the transcription of pro-inflammatory cytokines such as IL-1β, IL-6, and IL-12 in macrophage cell lines [99].
5. Conclusions
In this study, we demonstrated for the first time that SP has a very powerful effect against cafeteria-diet-induced obesity and hepatic steatosis. This effect can be contributed, firstly, to its anti-inflammatory properties and also to its potent ROS scavenging activity. These properties position SP as a promising remedy against obesity and hepatic steatosis. Spirulina has significant potential as a potent anti-inflammatory agent which can be exploited in the future for the mitigation of other obesity-associated diseases and injuries.
Author Contributions
F.A., A.A. and N.D. performed the experiments; F.A. and M.-A.J. analyzed the data and wrote the article; C.B.F. and S.B. performed the experiments regarding in vivo analysis (e.g., histology section); H.S. provided reagents and materials and participated in data processing and the design of experiments. All authors have read and agreed to the published version of the manuscript.
Funding
This research received no external funding.
Institutional Review Board Statement
All procedures on animals in this study were approved by the Ethical Committee of Biomedical (CEBM) for the care and use of animalsin Tunisia (ref: JORT472004, date 4 September 2020).
Informed Consent Statement
Not applicable.
Data Availability Statement
The data presented in this study are available on request from the corresponding author.
Conflicts of Interest
The authors report no conflict of interest. The authors alone are responsible for the content and writing of this paper.
References
- Ataey, A.; Jafarvand, E.; Adham, D.; Moradi-Asl, E. The Relationship Between Obesity, Overweight, and the Human Development Index in World Health Organization Eastern Mediterranean Region Countries. J. Prev. Med. Pub. Health 2020, 53, 98–105. [Google Scholar] [CrossRef]
- Okunogbe, A.; Nugent, R.; Spencer, G.; Ralston, J.; Wilding, J. Economic Impacts of Overweight and Obesity: Current and Future Estimates for Eight Countries. BMJ Glob. Health 2021, 6, e006351. [Google Scholar] [CrossRef]
- Ezzati, M.; Riboli, E. Behavioral and Dietary Risk Factors for Noncommunicable Diseases. N. Engl. J. Med. 2013, 369, 954–964. [Google Scholar] [CrossRef]
- Mitra, M.S.; Donthamsetty, S.; White, B.; Mehendale, H.M. High Fat Diet-Fed Obese Rats Are Highly Sensitive to Doxorubicin-Induced Cardiotoxicity. Toxicol. Appl. Pharmacol. 2008, 231, 413–422. [Google Scholar] [CrossRef]
- Masarone, M.; Rosato, V.; Dallio, M.; Gravina, A.G.; Aglitti, A.; Loguercio, C.; Federico, A.; Persico, M. Role of Oxidative Stress in Pathophysiology of Nonalcoholic Fatty Liver Disease. Oxid. Med. Cell. Longev. 2018, 2018, e9547613. [Google Scholar] [CrossRef] [PubMed]
- Chen, Z.; Tian, R.; She, Z.; Cai, J.; Li, H. Role of Oxidative Stress in the Pathogenesis of Nonalcoholic Fatty Liver Disease. Free Radic. Biol. Med. 2020, 152, 116–141. [Google Scholar] [CrossRef]
- Chalasani, N.; Younossi, Z.; Lavine, J.E.; Charlton, M.; Cusi, K.; Rinella, M.; Harrison, S.A.; Brunt, E.M.; Sanyal, A.J. The Diagnosis and Management of Nonalcoholic Fatty Liver Disease: Practice Guidance from the American Association for the Study of Liver Diseases. Hepatology 2018, 67, 328. [Google Scholar] [CrossRef]
- Takaki, A.; Kawai, D.; Yamamoto, K. Multiple Hits, Including Oxidative Stress, as Pathogenesis and Treatment Target in Non-Alcoholic Steatohepatitis (NASH). Int. J. Mol. Sci. 2013, 14, 20704–20728. [Google Scholar] [CrossRef]
- Flachs, P.; Horakova, O.; Brauner, P.; Rossmeisl, M.; Pecina, P.; Franssen-van Hal, N.; Ruzickova, J.; Sponarova, J.; Drahota, Z.; Vlcek, C.; et al. Polyunsaturated Fatty Acids of Marine Origin Upregulate Mitochondrial Biogenesis and Induce β-Oxidation in White Fat. Diabetologia 2005, 48, 2365–2375. [Google Scholar] [CrossRef] [PubMed]
- Castro, H.; Pomar, C.; Picó, C.; Sánchez, J.; Palou, A. Cafeteria Diet over Feeding in Young Male Rats Impairs the Adaptive Response to Fed/Fasted Conditions and Increases Adiposity Independent of Body Weight. Int. J. Obes. 2014, 39, 430–437. [Google Scholar] [CrossRef] [PubMed]
- Darimont, C.; Turini, M.; Epitaux, M.; Zbinden, I.; Richelle, M.; Montell, E.; Ferrer-Martinez, A.; Macé, K. β3-adrenoceptor agonist prevents alterations of muscle diacylglycerol and adipose tissue phospholipids induced by a cafeteria diet. Nutr. Metab. 2004, 1, 4. [Google Scholar] [CrossRef]
- Valdecantos, P.; Pérez-Matute, P.; Martinez, J. Obesity and Oxidative Stress: Role of Antioxidant Supplementation. Rev. Investig. Clínica Organo Hosp. Enfermedades Nutr. 2009, 61, 127–139. [Google Scholar]
- Bonnefont-Rousselot, D. Obésité et stress oxydant. Obésité 2014, 9, 8–13. [Google Scholar] [CrossRef]
- Rigoulet, M.; Yoboue, E.D.; Devin, A. Mitochondrial ROS Generation and Its Regulation: Mechanisms Involved in H2O2 Signaling. Antioxid. Redox Signal. 2011, 14, 459–468. [Google Scholar] [CrossRef]
- Cancello, R.; Henegar, C.; Viguerie, N.; Taleb, S.; Poitou, C.; Rouault, C.; Coupaye, M.; Pelloux, V.; Hugol, D.; Bouillot, J.L.; et al. Reduction of Macrophage Infiltration and Chemoattractant Gene Expression Changes in White Adipose Tissue of Morbidly Obese Subjects After Surgery-Induced Weight Loss. Diabetes 2005, 54, 2277–2286. [Google Scholar] [CrossRef]
- Gauvreau, D.; Villeneuve, N.; Deshaies, Y.; Cianflone, K. Novel Adipokines: Links between Obesity and Atherosclerosis. Ann. Endocrinol. 2011, 72, 224–231. [Google Scholar] [CrossRef]
- Jabri, M.A.; Sakly, M.; Marzouki, L.; Sebai, H. Chamomile (Matricaria recutita L.) Decoction Extract Inhibits In Vitro Intestinal Glucose Absorption and Attenuates High Fat Diet-Induced Lipotoxicity and Oxidative Stress. Biomed. Pharmacother. Biomedecine Pharmacother. 2017, 87, 153–159. [Google Scholar] [CrossRef] [PubMed]
- Kulshrestha, A.; Joseph, A.; Jarouliya, U.; Bhadauriya, P.; Prasad, G.; Bisen, P. Spirulina in Health Care Management. Curr. Pharm. Biotechnol. 2008, 9, 400–405. [Google Scholar] [CrossRef]
- Yousefi, R.; Saidpour, A.; Mottaghi, A. The Effects of Spirulina Supplementation on Metabolic Syndrome Components, Its Liver Manifestation and Related Inflammatory Markers: A Systematic Review. Complement. Ther. Med. 2018, 42, 137–144. [Google Scholar] [CrossRef]
- Acosta-Estrada, B.A.; Gutiérrez-Uribe, J.A.; Serna-Saldívar, S.O. Bound Phenolics in Foods, a Review. Food Chem. 2014, 152, 46–55. [Google Scholar] [CrossRef]
- Wu, Q.; Liu, L.; Miron, A.; Klimova, B.; Wan, D.; Kuca, K. The Antioxidant, Immunomodulatory, and Anti-Inflammatory Activities of Spirulina: An Overview. Arch. Toxicol. 2016, 90, 1817–1840. [Google Scholar] [CrossRef]
- Abebe, W.; Agrawal, D. Role of Tyrosine Kinases in Norepinephrine-Induced Contraction of Vascular Smooth Muscle. J. Cardiovasc. Pharmacol. 1995, 26, 153–159. [Google Scholar] [CrossRef] [PubMed]
- Finamore, A.; Palmery, M.; Bensehaila, S.; Peluso, I. Antioxidant, Immunomodulating, and Microbial-Modulating Activities of the Sustainable and Ecofriendly Spirulina. Oxid. Med. Cell. Longev. 2017, 2017, 1–14. [Google Scholar] [CrossRef]
- Karczewski, J.; Śledzińska, E.; Baturo, A.; Jończyk, I.; Maleszko, A.; Samborski, P.; Begier-Krasińska, B.; Dobrowolska-Zachwieja, A. Obesity and Inflammation. Eur. Cytokine Netw. 2018, 29, 83–94. [Google Scholar] [CrossRef]
- Calella, P.; Cerullo, G.; Di Dio, M.; Liguori, F.; Di Onofrio, V.; Gallè, F.; Liguori, G. Antioxidant, Anti-Inflammatory and Immunomodulatory Effects of Spirulina in Exercise and Sport: A Systematic Review. Front. Nutr. 2022, 9, 1048258. [Google Scholar] [CrossRef]
- Al-Qahtani, W.H.; Binobead, M.A. Anti-Inflammatory, Antioxidant and Antihepatotoxic Effects of Spirulina Platensis against d-Galactosamine Induced Hepatotoxicity in Rats. Saudi J. Biol. Sci. 2019, 26, 647–652. [Google Scholar] [CrossRef]
- Jabri, M.-A.; Rtibi, K.; Tounsi, H.; Hosni, K.; Souli, A.; El-Benna, J.; Marzouki, L.; Sakly, M.; Sebai, H. Myrtle Berry Seed Aqueous Extract Inhibits Human Neutrophil Myeloperoxidase in Vitro and Attenuates Acetic Acid-Induced Ulcerative Colitis in Rats. RSC Adv. 2015, 5, 64865–64877. [Google Scholar] [CrossRef]
- Clifford, M.N.; Knight, S.; Kuhnert, N. Discriminating between the Six Isomers of Dicaffeoylquinic Acid by LC-MS n. J. Agric. Food Chem. 2005, 53, 3821–3832. [Google Scholar] [CrossRef]
- Gouveia, S.; Castilho, P.C. Characterisation of Phenolic Acid Derivatives and Flavonoids from Different Morphological Parts of Helichrysum Obconicum by a RP-HPLC–DAD-(−)–ESI-MSn Method. Food Chem. 2011, 129, 333–344. [Google Scholar] [CrossRef]
- Bouanane, S.; Benkalfat, N.B.; Baba Ahmed, F.-Z.; Merzouk, H.; Mokhtari, N.S.; Merzouk, S.-A.; Gresti, J.; Tessier, C.; Narce, M. Time Course of Changes in Serum Oxidant/Antioxidant Status in Overfed Obese Rats and Their Offspring. Clin. Sci. 2009, 116, 669–680. [Google Scholar] [CrossRef]
- Russell, W.M.S.; Burch, R.L. The Principles of Humane Experimental Technique; Norecopa: Methuen, MA, USA, 1959. [Google Scholar]
- Hajji, N.; Jabri, M.-A.; Tounsi, H.; Wanes, D.; Ben El Hadj Ali, I.; Boulila, A.; Marzouki, L.; Sebai, H. Phytochemical Analysis by HPLC-PDA/ESI-MS of Globularia Alypum Aqueous Extract and Mechanism of Its Protective Effect on Experimental Colitis Induced by Acetic Acid in Rat. J. Funct. Foods 2018, 47, 220–228. [Google Scholar] [CrossRef]
- Hartree, E.F. Determination of Protein: A Modification of the Lowry Method That Gives a Linear Photometric Response. Anal. Biochem. 1972, 48, 422–427. [Google Scholar] [CrossRef]
- Draper, H.; Hadley, M. Malondialdehyde Determination as Index of Lipid Peroxidation. Methods Enzymol. 1990, 186, 421–431. [Google Scholar] [CrossRef]
- Ellman, G.L. Tissue Sulfhydryl Groups. Arch. Biochim. Biophys. 1959, 82, 10–11. [Google Scholar] [CrossRef]
- Sedlak, J.; Lindsay, R.H. Estimation of Total, Protein-Bound, and Nonprotein Sulfhydryl Groups in Tissue with Ellman’s Reagent. Anal. Biochem. 1968, 25, 192–205. [Google Scholar] [CrossRef] [PubMed]
- Aebi, H. Catalase in Vitro. In Methods in Enzymology; Oxygen Radicals in Biological Systems; Academic Press: Cambridge, MA, USA, 1984; Volume 105, pp. 121–126. [Google Scholar]
- Misra, H.P.; Fridovich, I. The Role of Superoxide Anion in the Autoxidation of Epinephrine and a Simple Assay for Superoxide Dismutase. J. Biol. Chem. 1972, 247, 3170–3175. [Google Scholar] [CrossRef]
- Flohé, L.; Günzler, W.A. Assays of Glutathione Peroxidase. In Methods in Enzymology; Oxygen Radicals in Biological Systems; Academic Press: Cambridge, MA, USA, 1984; Volume 105, pp. 114–120. [Google Scholar]
- Dingeon, B.; Ferry, J.P.; Roullet, A. Automatic assay of blood sugar by Trinder’s method. Ann. Biol. Clin. 1975, 33, 3–13. [Google Scholar]
- Payá, M.; Halliwell, B.; Hoult, J.R.S. Interactions of a Series of Coumarins with Reactive Oxygen Species. Biochem. Pharmacol. 1992, 44, 205–214. [Google Scholar] [CrossRef]
- Marklund, S.; Marklund, G. Involvement of the Superoxide Anion Radical in the Autoxidation of Pyrogallol and a Convenient Assay for Superoxide Dismutase. Eur. J. Biochem. 2005, 47, 469–474. [Google Scholar] [CrossRef]
- Fischer, A.H.; Jacobson, K.A.; Rose, J.; Zeller, R. Hematoxylin and Eosin Staining of Tissue and Cell Sections. CSH Protoc. 2008, 2008, pdb.prot4986. [Google Scholar] [CrossRef]
- Manner, S.; Skogman, M.; Goeres, D.; Vuorela, P.; Fallarero, A. Systematic Exploration of Natural and Synthetic Flavonoids for the Inhibition of Staphylococcus Aureus Biofilms. Int. J. Mol. Sci. 2013, 14, 19434–19451. [Google Scholar] [CrossRef]
- Corradini, E.; Foglia, P.; Giansanti, P.; Gubbiotti, R.; Samperi, R.; Laganà, A. Flavonoids: Chemical Properties and Analytical Methodologies of Identification and Quantitation in Foods and Plants. Nat. Prod. Res. 2011, 25, 469–495. [Google Scholar] [CrossRef]
- Cartea, M.E.; Francisco, M.; Soengas, P.; Velasco, P. Phenolic Compounds in Brassica Vegetables. Molecules 2010, 16, 251–280. [Google Scholar] [CrossRef]
- De la Rosa, L.A.; Moreno-Escamilla, J.O.; Rodrigo-García, J.; Alvarez-Parrilla, E. Phenolic Compounds. In Postharvest Physiology and Biochemistry of Fruits and Vegetables; Elsevier: Amsterdam, The Netherlands, 2019; pp. 253–271. [Google Scholar]
- Liu, M.; Zhu, K.; Yao, Y.; Chen, Y.; Guo, H.; Ren, G.; Yang, X.; Li, J. Antioxidant, Anti-inflammatory, and Antitumor Activities of Phenolic Compounds from White, Red, and Black Chenopodium Quinoa Seed. Cereal Chem. 2020, 97, 703–713. [Google Scholar] [CrossRef]
- Aguilera, Y.; Martin-Cabrejas, M.A.; González de Mejia, E. Phenolic Compounds in Fruits and Beverages Consumed as Part of the Mediterranean Diet: Their Role in Prevention of Chronic Diseases. Phytochem. Rev. 2016, 15, 405–423. [Google Scholar] [CrossRef]
- Sobeh, M.; Esmat, A.; Petruk, G.; Abdelfattah, M.A.; Dmirieh, M.; Monti, D.M.; Abdel-Naim, A.B.; Wink, M. Phenolic Compounds from Syzygium Jambos (Myrtaceae) Exhibit Distinct Antioxidant and Hepatoprotective Activities in Vivo. J. Funct. Foods 2018, 41, 223–231. [Google Scholar] [CrossRef]
- Golay, A. Rôle Des Graisses Alimentaires Dans Le Développement de l’obésité. OCL Ol. Corps Gras Lipides 1998, 5, 205–207. [Google Scholar]
- Laissouf, A.; Nassima, M.-S.; Merzouk, H.; Nouzha, B. Dietary flaxseed oil supplementation improves the oxidant/antioxidant status in obese aged rats. IJMPS 2013, 3, 87–94. [Google Scholar]
- Armitage, J.; Taylor, P.; Poston, L. Experimental Models of Development Programming: Consequences of Exposure to an Energy Rich Diet during Development. J. Physiol. 2005, 565, 3–8. [Google Scholar] [CrossRef]
- Nagaoka, S.; Shimizu, K.; Kaneko, H.; Shibayama, F.; Morikawa, K.; Kanamaru, Y.; Ayako; Hirahashi, T.; Kato, T. A Novel Protein C-Phycocyanin Plays a Crucial Role in the Hypocholesterolemic Action of Spirulina Platensis Concentrate in Rats. J. Nutr. 2005, 135, 2425–2430. [Google Scholar] [CrossRef]
- You, J.; Lee, Y.; Kim, K.; Kim, S.; Chang, K. Ethanol Extract of Lotus (Nelumbo Nucifera) Root Exhibits an Anti-Adipogenic Effect in Human Pre-Adipocytes and Anti-Obesity and Anti-Oxidant Effects in Rats Fed a High-Fat Diet. Nutr. Res. N. Y. 2014, 34, 258–267. [Google Scholar] [CrossRef] [PubMed]
- Jung, S.; Lee, M.-S.; Shin, Y.; Kim, C.-T.; Kim, I.-H.; Kim, Y.; Kim, Y. Anti-Obesity and Anti-Inflammatory Effects of High Hydrostatic Pressure Extracts of Ginseng in High-Fat Diet Induced Obese Rats. J. Funct. Foods 2014, 10, 169–177. [Google Scholar] [CrossRef]
- Karmase, A.; Birari, R.; Bhutani, K. Evaluation of Anti-Obesity Effect of Aegle Marmelos Leaves. Phytomedicine Int. J. Phytother. Phytopharm. 2013, 20, 805–812. [Google Scholar] [CrossRef] [PubMed]
- González-Arceo, M.; Gómez-Zorita, S.; Aguirre, L.; Portillo, M.P. Effect of Microalgae and Macroalgae Extracts on Non-Alcoholic Fatty Liver Disease. Nutrients 2021, 13, 2017. [Google Scholar] [CrossRef] [PubMed]
- Koo, S.Y.; Hwang, J.-H.; Yang, S.-H.; Um, J.-I.; Hong, K.W.; Kang, K.; Pan, C.-H.; Hwang, K.T.; Kim, S.M. Anti-Obesity Effect of Standardized Extract of Microalga Phaeodactylum Tricornutum Containing Fucoxanthin. Mar. Drugs 2019, 17, 311. [Google Scholar] [CrossRef]
- El-Baz, F.K.; Salama, A.; Salama, R.A.A. Therapeutic Effect of Dunaliella Salina Microalgae on Thioacetamide- (TAA-) Induced Hepatic Liver Fibrosis in Rats: Role of TGF-β and MMP9. BioMed Res. Int. 2019, 2019, e7028314. [Google Scholar] [CrossRef]
- Alfadda, A.A.; Sallam, R.M. Reactive Oxygen Species in Health and Disease. J. Biomed. Biotechnol. 2012, 2012, 1–14. [Google Scholar] [CrossRef]
- Charradi, K.; Elkahoui, S.; Karkouch, I.; Limam, F.; Hamdaoui, G.; Hassine, F.; El May, M.; May, A.; Aouani, E. Grape Seed and Skin Extract Alleviates High-Fat Diet-Induced Renal Lipotoxicity and Prevents Copper Depletion in Rat. Appl. Physiol. Nutr. Metab. Physiol. Appliquée Nutr. Métabolisme 2013, 38, 259–267. [Google Scholar] [CrossRef]
- Violi, F.; Basili, S.; Nigro, C.; Pignatelli, P. Role of NADPH Oxidase in Atherosclerosis. Future Cardiol. 2009, 5, 83–92. [Google Scholar] [CrossRef]
- Chang, C.; Tzeng, T.-F.; Liou, S.-S.; Liu, I.-M. Kaempferol Regulates the Lipid-Profile in High-Fat Diet-Fed Rats through an Increase in Hepatic PPAR α Levels. Planta Med. 2011, 77, 1876–1882. [Google Scholar] [CrossRef]
- Feingold, K.; Grunfeld, C. Introduction to Lipids and Lipoproteins; MDText. com. Inc.: South Dartmouth, MA, USA, 2020; undefined 2015. [Google Scholar]
- Iwata, K.; Inayama, T.; Kato, T. Effects of Spirulina Platensis on Plasma Lipoprotein Lipase Activity in Fructose-Induced Hyperlipidemic Rats. J. Nutr. Sci. Vitaminol. 1990, 36, 165–171. [Google Scholar] [CrossRef] [PubMed]
- Mazokopakis, E.; Starakis, I.; Papadomanolaki, M.; Mavroeidi, N.; Emmanuel, S. The Hypolipidaemic Effects of Spirulina (Arthrospira platensis) Supplementation in a Cretan Population: A Prospective Study. J. Sci. Food Agric. 2014, 94, 432–437. [Google Scholar] [CrossRef]
- Azab, S.; Abdel Daim, M.; Eldahshan, O. Phytochemical, Cytotoxic, Hepatoprotective and Antioxidant Properties of Delonix Regia Leaves Extract. Med. Chem. Res. 2013, 22, 4269–4277. [Google Scholar] [CrossRef]
- Payen, J.-L.; Muscari, F.; Vibert, É.; Ernst, O.; Pelletier, G. Lithiase biliaire. Presse Médicale 2011, 40, 567–580. [Google Scholar] [CrossRef] [PubMed]
- Parikh, P.; Mani, U.; Iyer, U. Role of Spirulina in the Control of Glycemia and Lipidemia in Type 2 Diabetes Mellitus. J. Med. Food 2001, 4, 193–199. [Google Scholar] [CrossRef]
- Bhattacharrya, S.; Mehta, P. The Hepatoprotective Potential of Spirulina and Vitamin C Supplemention in Cisplatin Toxicity. Food Funct. 2011, 3, 164–169. [Google Scholar] [CrossRef]
- Moor, V.; Biapa, P.; Legrand, N.; Moukette, B.; Sando, Z.; Kenfack, C.; Ateba Amana, B.; Matip, M.; Pieme, A.; Jeanne, N. Hypolipidemic Effect and Activation of Lecithin Cholesterol Acyl Transferase (LCAT) by Aqueous Extract of Spirulina Platensis during Toxicological Investigation. BMC Nutr. 2017, 3, 25. [Google Scholar] [CrossRef]
- Bucher, S.; Le Guillou, D.; Allard, J.; Pinon, G.; Begriche, K.; Tête, A.; Sergent, O.; Lagadic-Gossmann, D.; Fromenty, B. Possible Involvement of Mitochondrial Dysfunction and Oxidative Stress in a Cellular Model of NAFLD Progression Induced by Benzo[a]Pyrene/Ethanol CoExposure. Oxid. Med. Cell. Longev. 2018, 2018, 4396403. [Google Scholar] [CrossRef]
- Rakic, D.; Joksimovic Jovic, J.; Jakovljevic, V.; Zivkovic, V.; Nikolic, M.; Sretenovic, J.; Nikolic, M.; Jovic, N.; Bicanin Ilic, M.; Arsenijevic, P.; et al. High Fat Diet Exaggerate Metabolic and Reproductive PCOS Features by Promoting Oxidative Stress: An Improved EV Model in Rats. Medicina 2023, 59, 1104. [Google Scholar] [CrossRef]
- Mahadev, K.; Motoshima, H.; Wu, X.; Ruddy, J.; Arnold, R.; Cheng, G.; Lambeth, J.; Goldstein, B. The NAD(P)H Oxidase Homolog Nox4 Modulates Insulin-Stimulated Generation of H2O2 and Plays an Integral Role in Insulin Signal Transduction. Mol. Cell. Biol. 2004, 24, 1844–1854. [Google Scholar] [CrossRef]
- Lih-Brody, L.; Powell, S.; Collier, K.; Reddy, G.; Cerchia, R.; Kahn, E.; Weissman, G.; Katz, S.; Floyd, R.; McKinley, M.; et al. Increased Oxidative Stress and Decreased Antioxidant Defenses in Mucosa of Inflammatory Bowel Disease. Dig. Dis. Sci. 1996, 41, 2078–2086. [Google Scholar] [CrossRef] [PubMed]
- Reimund, J.-M. Stress Oxydant Au Cours Des Syndromes Inflammatoires Chroniques. Nutr. Clin. Metab. 2002, 16, 275–284. [Google Scholar] [CrossRef]
- Davì, G.; Guagnano, M.; Ciabattoni, G.; Basili, S.; Falco, A.; Marinopiccoli, M.; Nutini, M.; Sensi, S.; Patrono, C. Platelet Activation in Obese Women: Role of Inflammation and Oxidant Stress. JAMA J. Am. Med. Assoc. 2002, 288, 2008–2014. [Google Scholar] [CrossRef] [PubMed]
- Riss, J.; Decorde, K.; Sutra, T.; Delage, M.; Baccou, J.C.; Jouy, N.; Brune, J.-P.; Oreal, H.; Cristol, J.; Rouanet, J.-M. Phycobiliprotein C-Phycocyanin from Spirulina Platensis Is Powerfully Responsible for Reducing Oxidative Stress and NADPH Oxidase Expression Induced by an Atherogenic Diet in Hamsters. J. Agric. Food Chem. 2007, 55, 7962–7967. [Google Scholar] [CrossRef]
- Dartsch, P. Antioxidant Potential of SelectedSpirulina Platensis Preparations. Phytother. Res. PTR 2008, 22, 627–633. [Google Scholar] [CrossRef]
- Reddy, B.; Yuvaraj, N.; Vazhoor, B.; Ramnath, V.; Philomina, P.T.; Mc, S. Antioxidant and Hypolipidemic Effects of Spirulina and Natural Carotenoids in Broiler Chicken. Indian Vet. J. 2004, 81, 383–386. [Google Scholar]
- Miranda, M.; Cintra, R.; Barros, S.B.M.; Filho, J. Antioxidant Activity of the Microalga Spirulina Maxima. Braz. J. Med. Biol. Res. 1998, 31, 1075–1079. [Google Scholar] [CrossRef]
- Liu, Q.; Huang, Y.; Zhang, R.; Cai, T.; Cai, Y. Medical Application of Spirulina Platensis Derived C-Phycocyanin. Evid. Based Complement. Alternat. Med. 2016, 2016, 1–14. [Google Scholar] [CrossRef]
- Belay, A. The Potential Application of Spirulina (Arthrospira) as a Nutritional and Therapeutic Supplement in Health Management. J. Am. Nutraceutical. Assoc. 2002, 5, 24. [Google Scholar]
- Dröge, W. Free Radicals in the Physiological Control of Cell Function. Physiol. Rev. 2002, 82. [Google Scholar] [CrossRef]
- Bhathena, S.; Ali, A.A.; Haudenschild, C.; Latham, P.; Ranich, T.; Hansen, C.; Velasquez, M. Dietary Flaxseed Meal Is More Protective Than Soy Protein Concentrate Against Hypertriglyceridemia and Steatosis of the Liver in an Animal Model of Obesity. J. Am. Coll. Nutr. 2003, 22, 157–164. [Google Scholar] [CrossRef]
- Ebrahimi-Mameghani, M.; Sadeghi, Z.; Abbasalizad Farhangi, M.; Vaghef-Mehrabany, E.; Aliashrafi, S. Glucose Homeostasis, Insulin Resistance and Inflammatory Biomarkers in Patie’nts with Non-Alcoholic Fatty Liver Disease: Beneficial Effects of Supplementation with Microalgae Chlorella Vulgaris: A Double- Blind Placebo- Controlled Randomized Clinical Trial. Clin. Nutr. 2016, 36, 1001–1006. [Google Scholar] [CrossRef]
- Haimeur, A.; MIMOUNI, V.; Ulmann, L.; Martineau, A.-S.; Messaouri, H.; Pineau-Vincent, F.; Gérard, T.; Meskini, N. Fish Oil and Microalga Omega-3 as Dietary Supplements: A Comparative Study on Cardiovascular Risk Factors in High-Fat Fed Rats. Lipids 2016, 51, 1037–1049. [Google Scholar] [CrossRef]
- Zafrani, E. Non-Alcoholic Fatty Liver Disease: An Emerging Pathological Spectrum. Virchows Arch. Int. J. Pathol. 2004, 444, 3–12. [Google Scholar] [CrossRef] [PubMed]
- Piya, M.; McTernan, P.; Kumar, S. Adipokine Inflammation and Insulin Resistance: The Role of Glucose, Lipids and Endotoxin. J. Endocrinol. 2012, 216, T1–T15. [Google Scholar] [CrossRef]
- Dal-Ros, S.; Van der Werf, R.; Walter, C.; Bietiger, W.; Seyfritz, E.; Mura, C.; Peronet, C.; Legrandois, J.; Werner, D.; Ennahar, S.; et al. P234 Apports bénéfiques des antioxydants naturels dans la prévention du diabète de type 2 chez l’animal. Diabetes Metab. 2014, 40, A83. [Google Scholar] [CrossRef]
- Gonzalez, R.; Rodríguez, S.; Romay, C.; González, A.; Armesto, J.; Remirez, D.; Merino, N. Anti-Inflammatory Activity of Phycocyanin Extract in Acetic Acid-Induced Colitis in Rats. Pharmacol. Res. Off. J. Ital. Pharmacol. Soc. 1999, 39, 1055–1059. [Google Scholar] [CrossRef]
- Manconi, M.; Pendás, J.; Ledón, N.; Moreira, T.; Sinico, C.; Saso, L.; Fadda, A. Phycocyanin Liposomes for Topical Anti-Inflammatory Activity: In-Vitro in-Vivo Studies. J. Pharm. Pharmacol. 2009, 61, 423–430. [Google Scholar] [CrossRef]
- Nishimura, S.; Manabe, I.; Nagasaki, M.; Eto, K.; Yamashita, H.; Ohsugi, M.; Otsu, M.; Hara, K.; Ueki, K.; Sugiura, S.; et al. CD8+ Effector T Cells Contribute to Macrophage Recruitment and Adipose Tissue Inflammation in Obesity. Nat. Med. 2009, 15, 914–920. [Google Scholar] [CrossRef] [PubMed]
- Grover, P.; Bhatnagar, A.; Kumari, N.; Narayan Bhatt, A.; Kumar Nishad, D.; Purkayastha, J. C-Phycocyanin-a Novel Protein from Spirulina Platensis- In Vivo Toxicity, Antioxidant and Immunomodulatory Studies. Saudi J. Biol. Sci. 2021, 28, 1853–1859. [Google Scholar] [CrossRef] [PubMed]
- Romay, C.; Gonzalez, R.; Ledon, N.; Remirez, D.; Rimbau, V. C-Phycocyanin: A Biliprotein with Antioxidant, Anti-Inflammatory and Neuroprotective Effects. Curr. Protein Pept. Sci. 2003, 4, 207–216. [Google Scholar] [CrossRef] [PubMed]
- Xu, H.; Barnes, G.; Yang, Q.; Tan, G.; Yang, D.; Chou, C.; Sole, J.; Nichols, A.; Ross, J.; Tartaglia, L.; et al. Chronic Inflammation in Fat Plays a Crucial Role in the Development of Obesity-Related Insulin Resistance. J. Clin. Invest. 2004, 112, 1821–1830. [Google Scholar] [CrossRef]
- Romay, C.; Delgado Hernandez, R.; Remirez, D.; Gonzalez, R.; Rojas, A. Effects of Phycocyanin Extract on Tumor Necrosis Factor-α And Nitrite Levels in Serum of Mice Treated with Endotoxin. Arzneimittelforschung 2001, 51, 733–736. [Google Scholar] [CrossRef] [PubMed]
- Katsuura-Kamano, S.; Imamura, T.; Bando, N.; Yamanishi, R. β-Carotene and β-Cryptoxanthin but Not Lutein Evoke Redox and Immune Changes in RAW264 Murine Macrophages. Mol. Nutr. Food Res. 2009, 53, 1396–1405. [Google Scholar] [CrossRef]
Disclaimer/Publisher’s Note: The statements, opinions and data contained in all publications are solely those of the individual author(s) and contributor(s) and not of MDPI and/or the editor(s). MDPI and/or the editor(s) disclaim responsibility for any injury to people or property resulting from any ideas, methods, instructions or products referred to in the content. |
© 2023 by the authors. Licensee MDPI, Basel, Switzerland. This article is an open access article distributed under the terms and conditions of the Creative Commons Attribution (CC BY) license (https://creativecommons.org/licenses/by/4.0/).