Low KIBRA Expression Is Associated with Poor Prognosis in Patients with Triple-Negative Breast Cancer
Abstract
:1. Introduction
2. Materials and Methods
2.1. Case Selection
2.2. Immunohistochemistry and Fluorescence In Situ Hybridization
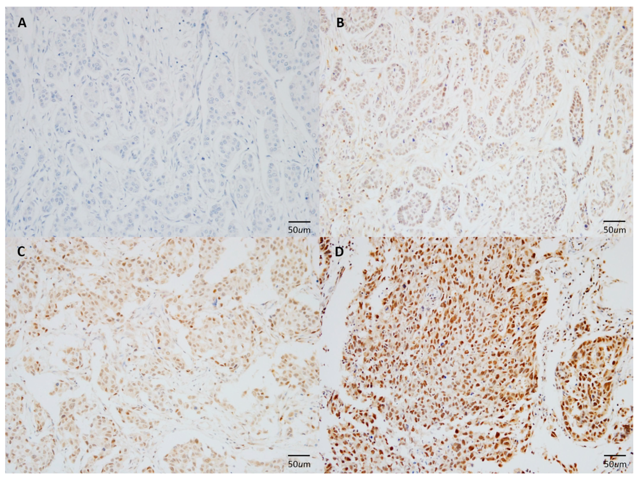
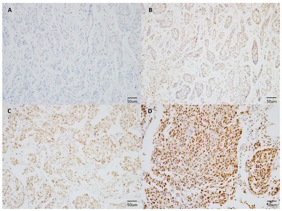
2.3. Interpretation of the KIBRA Results
2.4. Statistical Analysis
3. Results
3.1. KIBRA Expression and Clinicopathological Characteristics
3.2. Clinicopathological Significance of KIBRA Expression in Breast Cancer According to Molecular Subtypes
3.3. Prognostic Implication of KIBRA Expression in Breast Cancer
3.4. KIBRA Expression Is an Independent Prognostic Factor for TNBC
4. Discussion
5. Conclusions
Author Contributions
Funding
Institutional Review Board Statement
Informed Consent Statement
Data Availability Statement
Conflicts of Interest
References
- Knight, J.F.; Sung, V.Y.C.; Kuzmin, E.; Couzens, A.L.; de Verteuil, D.A.; Ratcliffe, C.D.H.; Coelho, P.P.; Johnson, R.M.; Samavarchi-Tehrani, P.; Gruosso, T.; et al. KIBRA (WWC1) Is a Metastasis Suppressor Gene Affected by Chromosome 5q Loss in Triple-Negative Breast Cancer. Cell Rep. 2018, 22, 3191–3205. [Google Scholar] [CrossRef] [PubMed] [Green Version]
- Foulkes, W.D.; Smith, I.E.; Reis-Filho, J.S. Triple-negative breast cancer. N. Engl. J. Med. 2010, 363, 1938–1948. [Google Scholar] [CrossRef] [PubMed] [Green Version]
- Bianchini, G.; Balko, J.M.; Mayer, I.A.; Sanders, M.E.; Gianni, L. Triple-negative breast cancer: Challenges and opportunities of a heterogeneous disease. Nat. Rev. Clin. Oncol. 2016, 13, 674–690. [Google Scholar] [CrossRef]
- Denkert, C.; Liedtke, C.; Tutt, A.; von Minckwitz, G. Molecular alterations in triple-negative breast cancer-the road to new treatment strategies. Lancet 2017, 389, 2430–2442. [Google Scholar] [CrossRef] [Green Version]
- Marra, A.; Trapani, D.; Viale, G.; Criscitiello, C.; Curigliano, G. Practical classification of triple-negative breast cancer: Intratumoral heterogeneity, mechanisms of drug resistance, and novel therapies. NPJ Breast Cancer 2020, 6, 54. [Google Scholar] [CrossRef] [PubMed]
- Lehmann, B.D.; Jovanović, B.; Chen, X.; Estrada, M.V.; Johnson, K.N.; Shyr, Y.; Moses, H.L.; Sanders, M.E.; Pietenpol, J.A. Refinement of Triple-Negative Breast Cancer Molecular Subtypes: Implications for Neoadjuvant Chemotherapy Selection. PLoS ONE 2016, 11, e0157368. [Google Scholar] [CrossRef]
- Curtis, C.; Shah, S.P.; Chin, S.F.; Turashvili, G.; Rueda, O.M.; Dunning, M.J.; Speed, D.; Lynch, A.G.; Samarajiwa, S.; Yuan, Y.; et al. The genomic and transcriptomic architecture of 2000 breast tumours reveals novel subgroups. Nature 2012, 486, 346–352. [Google Scholar] [CrossRef]
- Johannsdottir, H.K.; Jonsson, G.; Johannesdottir, G.; Agnarsson, B.A.; Eerola, H.; Arason, A.; Heikkila, P.; Egilsson, V.; Olsson, H.; Johannsson, O.T.; et al. Chromosome 5 imbalance mapping in breast tumors from BRCA1 and BRCA2 mutation carriers and sporadic breast tumors. Int. J. Cancer 2006, 119, 1052–1060. [Google Scholar] [CrossRef]
- Natrajan, R.; Lambros, M.B.; Rodríguez-Pinilla, S.M.; Moreno-Bueno, G.; Tan, D.S.; Marchió, C.; Vatcheva, R.; Rayter, S.; Mahler-Araujo, B.; Fulford, L.G.; et al. Tiling path genomic profiling of grade 3 invasive ductal breast cancers. Clin. Cancer Res. 2009, 15, 2711–2722. [Google Scholar] [CrossRef] [Green Version]
- Turner, N.; Lambros, M.B.; Horlings, H.M.; Pearson, A.; Sharpe, R.; Natrajan, R.; Geyer, F.C.; van Kouwenhove, M.; Kreike, B.; Mackay, A.; et al. Integrative molecular profiling of triple negative breast cancers identifies amplicon drivers and potential therapeutic targets. Oncogene 2010, 29, 2013–2023. [Google Scholar] [CrossRef] [Green Version]
- Wilson, K.E.; Li, Y.W.; Yang, N.; Shen, H.; Orillion, A.R.; Zhang, J. PTPN14 forms a complex with Kibra and LATS1 proteins and negatively regulates the YAP oncogenic function. J. Biol. Chem. 2014, 289, 23693–23700. [Google Scholar] [CrossRef] [PubMed] [Green Version]
- Baumgartner, R.; Poernbacher, I.; Buser, N.; Hafen, E.; Stocker, H. The WW domain protein Kibra acts upstream of Hippo in Drosophila. Dev. Cell 2010, 18, 309–316. [Google Scholar] [CrossRef] [Green Version]
- Yu, J.; Zheng, Y.; Dong, J.; Klusza, S.; Deng, W.M.; Pan, D. Kibra functions as a tumor suppressor protein that regulates Hippo signaling in conjunction with Merlin and Expanded. Dev. Cell 2010, 18, 288–299. [Google Scholar] [CrossRef] [Green Version]
- Edgar, B.A. From cell structure to transcription: Hippo forges a new path. Cell 2006, 124, 267–273. [Google Scholar] [CrossRef] [PubMed] [Green Version]
- Harvey, K.; Tapon, N. The Salvador-Warts-Hippo pathway—An emerging tumour-suppressor network. Nat. Rev. Cancer 2007, 7, 182–191. [Google Scholar] [CrossRef]
- Harvey, K.F.; Pfleger, C.M.; Hariharan, I.K. The Drosophila Mst ortholog, hippo, restricts growth and cell proliferation and promotes apoptosis. Cell 2003, 114, 457–467. [Google Scholar] [CrossRef] [Green Version]
- Huang, J.; Wu, S.; Barrera, J.; Matthews, K.; Pan, D. The Hippo signaling pathway coordinately regulates cell proliferation and apoptosis by inactivating Yorkie, the Drosophila Homolog of YAP. Cell 2005, 122, 421–434. [Google Scholar] [CrossRef] [PubMed] [Green Version]
- Mudduwa, L.; Peiris, H.; Gunasekara, S.; Abeysiriwardhana, D.; Liyanage, N.; Rayala, S.K.; Liyanage, T. KIBRA; a novel biomarker predicting recurrence free survival of breast cancer patients receiving adjuvant therapy. BMC Cancer 2018, 18, 589. [Google Scholar] [CrossRef] [PubMed] [Green Version]
- Wang, Z.; Katsaros, D.; Biglia, N.; Shen, Y.; Fu, Y.; Tiirikainen, M.; Yu, H. Low expression of WWC1, a tumor suppressor gene, is associated with aggressive breast cancer and poor survival outcome. FEBS Open Bio 2019, 9, 1270–1280. [Google Scholar] [CrossRef] [PubMed] [Green Version]
- Kim, S.W.; Kim, H.S.; Na, K. Characterization of Paired Box 8 (PAX8)-expressing Metastatic Breast Carcinoma. Anticancer Res. 2020, 40, 5925–5932. [Google Scholar] [CrossRef] [PubMed]
- Elston, C.W.; Ellis, I.O. Pathological prognostic factors in breast cancer. I. The value of histological grade in breast cancer: Experience from a large study with long-term follow-up. Histopathology 1991, 19, 403–410. [Google Scholar] [CrossRef]
- Schuh, F.; Biazús, J.V.; Resetkova, E.; Benfica, C.Z.; Ventura, A.d.F.; Uchoa, D.; Graudenz, M.; Edelweiss, M.I.A. Histopathological grading of breast ductal carcinoma in situ: Validation of a web-based survey through intra-observer reproducibility analysis. Diagn. Pathol. 2015, 10, 93. [Google Scholar] [CrossRef] [Green Version]
- Rayala, S.K.; den Hollander, P.; Manavathi, B.; Talukder, A.H.; Song, C.; Peng, S.; Barnekow, A.; Kremerskothen, J.; Kumar, R. Essential role of KIBRA in co-activator function of dynein light chain 1 in mammalian cells. J. Biol. Chem. 2006, 281, 19092–19099. [Google Scholar] [CrossRef] [Green Version]
- Kyriazoglou, A.; Liontos, M.; Zakopoulou, R.; Kaparelou, M.; Tsiara, A.; Papatheodoridi, A.M.; Georgakopoulou, R.; Zagouri, F. The Role of the Hippo Pathway in Breast Cancer Carcinogenesis, Prognosis, and Treatment: A Systematic Review. Breast Care 2021, 16, 6–15. [Google Scholar] [CrossRef]
- Engler, A.J.; Sen, S.; Sweeney, H.L.; Discher, D.E. Matrix elasticity directs stem cell lineage specification. Cell 2006, 126, 677–689. [Google Scholar] [CrossRef] [PubMed] [Green Version]
- Lui, C.; Lee, K.; Nelson, C.M. Matrix compliance and RhoA direct the differentiation of mammary progenitor cells. Biomech. Model. Mechanobiol. 2012, 11, 1241–1249. [Google Scholar] [CrossRef] [PubMed] [Green Version]
- Skibinski, A.; Breindel, J.L.; Prat, A.; Galván, P.; Smith, E.; Rolfs, A.; Gupta, P.B.; LaBaer, J.; Kuperwasser, C. The Hippo transducer TAZ interacts with the SWI/SNF complex to regulate breast epithelial lineage commitment. Cell Rep. 2014, 6, 1059–1072. [Google Scholar] [CrossRef] [PubMed]
- Maugeri-Saccà, M.; Barba, M.; Pizzuti, L.; Vici, P.; Di Lauro, L.; Dattilo, R.; Vitale, I.; Bartucci, M.; Mottolese, M.; De Maria, R. The Hippo transducers TAZ and YAP in breast cancer: Oncogenic activities and clinical implications. Expert Rev. Mol. Med. 2015, 17, e14. [Google Scholar] [CrossRef]
- Bendinelli, P.; Maroni, P.; Matteucci, E.; Luzzati, A.; Perrucchini, G.; Desiderio, M.A. Hypoxia inducible factor-1 is activated by transcriptional co-activator with PDZ-binding motif (TAZ) versus WWdomain-containing oxidoreductase (WWOX) in hypoxic microenvironment of bone metastasis from breast cancer. Eur. J. Cancer 2013, 49, 2608–2618. [Google Scholar] [CrossRef]
- Visser, S.; Yang, X. LATS tumor suppressor: A new governor of cellular homeostasis. Cell Cycle 2010, 9, 3892–3903. [Google Scholar] [CrossRef] [PubMed] [Green Version]
- Lehn, S.; Tobin, N.P.; Sims, A.H.; Stål, O.; Jirström, K.; Axelson, H.; Landberg, G. Decreased expression of Yes-associated protein is associated with outcome in the luminal A breast cancer subgroup and with an impaired tamoxifen response. BMC Cancer 2014, 14, 119. [Google Scholar] [CrossRef] [PubMed] [Green Version]
- Weigman, V.J.; Chao, H.H.; Shabalin, A.A.; He, X.; Parker, J.S.; Nordgard, S.H.; Grushko, T.; Huo, D.; Nwachukwu, C.; Nobel, A.; et al. Basal-like Breast cancer DNA copy number losses identify genes involved in genomic instability, response to therapy, and patient survival. Breast Cancer Res. Treat. 2012, 133, 865–880. [Google Scholar] [CrossRef] [Green Version]
- Hilton, H.N.; Stanford, P.M.; Harris, J.; Oakes, S.R.; Kaplan, W.; Daly, R.J.; Ormandy, C.J. KIBRA interacts with discoidin domain receptor 1 to modulate collagen-induced signalling. Biochim. Biophys. Acta 2008, 1783, 383–393. [Google Scholar] [CrossRef] [Green Version]
- Zanconato, F.; Battilana, G.; Cordenonsi, M.; Piccolo, S. YAP/TAZ as therapeutic targets in cancer. Curr. Opin. Pharmacol. 2016, 29, 26–33. [Google Scholar] [CrossRef] [PubMed]
- Ji, M.; Yang, S.; Chen, Y.; Xiao, L.; Zhang, L.; Dong, J. Phospho-regulation of KIBRA by CDK1 and CDC14 phosphatase controls cell-cycle progression. Biochem. J. 2012, 447, 93–102. [Google Scholar] [CrossRef] [PubMed] [Green Version]


| Parameter | Number of Cases | KIBRA Expression | p-Value | |
|---|---|---|---|---|
| Low | High | |||
| (n = 240) | (n = 246) | |||
| n (%) | n (%) | |||
| Age (years), mean ± standard deviation | 486 | 52 ± 11.16 | 50 ± 11.34 | 0.213 |
| Nuclear grade | <0.001 | |||
| Low (1–2) | 248 | 95 (39.6) | 153 (62.2) | |
| High (3) | 238 | 145 (60.4) | 93 (37.8) | |
| Histologic grade | <0.001 | |||
| Low (1–2) | 254 | 99 (41.3) | 155 (63.0) | |
| High (3) | 232 | 141 (58.7) | 91 (37.0) | |
| Pathological tumor stage (pT) | 0.069 | |||
| 1–2 | 223 | 100 (41.7) | 123 (50.0) | |
| 3–4 | 263 | 140 (58.3) | 123 (50.0) | |
| Lymph node metastasis | 1 | |||
| Absent | 257 | 127 (52.9) | 130 (52.8) | |
| Present | 229 | 113 (47.1) | 116 (47.2) | |
| Lymphovascular invasion | 0.924 | |||
| Absent | 317 | 156 (65.0) | 161 (65.4) | |
| Present | 169 | 84 (35.0) | 85 (34.6) | |
| Estrogen receptor | <0.001 | |||
| Negative | 188 | 130 (54.2) | 58 (23.6) | |
| Positive | 298 | 110 (45.8) | 188 (76.4) | |
| HER2 | 0.308 | |||
| Negative | 192 | 89 (37.1) | 103 (41.9) | |
| Positive | 294 | 151 (62.9) | 143 (58.1) | |
| Molecular subtype | <0.001 | |||
| Luminal A | 90 | 42 (17.5) | 48 (19.5) | |
| Luminal B | 208 | 68 (28.3) | 140 (56.9) | |
| HER2-enriched | 97 | 63 (26.3) | 34 (13.8) | |
| Triple-negative | 91 | 67 (27.9) | 24 (9.8) | |
| KIBRA | Luminal A | p-Value | Luminal B | p-Value | HER2-Enriched | p-Value | Triple-Negative | p-Value | ||||
|---|---|---|---|---|---|---|---|---|---|---|---|---|
| Low | High | Low | High | Low | High | Low | High | |||||
| (n = 42) | (n = 48) | (n = 68) | (n = 140) | (n = 63) | (n = 34) | (n = 67) | (n = 24) | |||||
| n (%) | n (%) | n (%) | n (%) | n (%) | n (%) | n (%) | n (%) | |||||
| Age (years), mean ± standard deviation | 52 ± 10.08 | 48 ± 8.5 | 0.036 | 49 ± 11.64 | 52 ± 11.30 | 0.148 | 54 ± 11.36 | 48 ± 14.48 | 0.044 | 51 ± 10.87 | 49 ± 10.80 | 0.33 |
| Nuclear grade | 1 | 0.003 | 0.03 | 0.602 | ||||||||
| Low (1–2) | 38 (90.5) | 44 (91.7) | 27 (39.7) | 87 (62.1) | 12 (19.0) | 14 (41.2) | 18 (26.9) | 8 (33.3) | ||||
| High (3) | 4 (9.5) | 4 (8.3) | 41 (60.3) | 53 (37.9) | 51 (81.0) | 20 (58.8) | 49 (73.1) | 16 (66.7) | ||||
| Histologic grade | 1 | 0.002 | 0.007 | 0.319 | ||||||||
| Low (1–2) | 41 (97.6) | 46 (95.8) | 24 (35.3) | 82 (58.6) | 14 (22.2) | 17 (50.0) | 20 (29.9) | 10 (41.7) | ||||
| High (3) | 1 (2.4) | 2 (4.2) | 44 (64.7) | 58 (41.4) | 49 (77.8) | 17 (50.0) | 47 (70.1) | 14 (58.3) | ||||
| Pathological tumor stage (pT) | 0.828 | 0.369 | 0.091 | 0.324 | ||||||||
| 1–2 | 27 (64.3) | 32 (66.7) | 24 (35.3) | 59 (42.1) | 27 (42.9) | 21 (61.8) | 22 (32.8) | 11 (45.8) | ||||
| 3–4 | 15 (35.7) | 16 (33.3) | 44 (64.7) | 81 (57.9) | 36 (57.1) | 13 (38.2) | 45 (67.2) | 13 (54.2) | ||||
| Lymph node metastasis | 1 | 0.768 | 0.672 | 1 | ||||||||
| Absent | 23 (54.8) | 27 (56.3) | 37 (54.4) | 72 (51.4) | 28 (44.4) | 17 (50.0) | 39 (58.2) | 14 (58.3) | ||||
| Present | 19 (45.2) | 21 (43.8) | 31 (45.6) | 68 (48.6) | 35 (55.6) | 17 (50.0) | 28 (41.8) | 10 (41.7) | ||||
| Lymphovascular invasion | 1 | 0.23 | 0.085 | 0.194 | ||||||||
| Absent | 33 (78.6) | 37 (77.1) | 45 (66.2) | 80 (57.1) | 32 (50.8) | 24 (70.6) | 46 (68.7) | 20 (83.3) | ||||
| Present | 9 (21.4) | 11 (22.9) | 23 (33.8) | 60 (42.9) | 31 (49.2) | 10 (29.4) | 21 (31.3) | 4 (16.7) | ||||
| Factor | Univariate Analysis | Multivariate Analysis | ||||
|---|---|---|---|---|---|---|
| HR | 95% CI | p | HR | 95% CI | p | |
| KIBRA | 0.001 | 0.004 | ||||
| High | 1 | 1 | ||||
| Low | 3.958 | 1.562–10.03 | 3.952 | 1.542–10.133 | ||
| Lymph node metastasis | <0.001 | <0.001 | ||||
| Absent | 1 | 1 | ||||
| Present | 7.561 | 3.37–16.965 | 6.597 | 2.786–15.623 | ||
| Lymphovascular invasion | <0.001 | 0.198 | ||||
| Absent | 1 | 1 | ||||
| Present | 3.629 | 1.983–6.640 | 1.532 | 0.800–2.931 | ||
| Age, years | 0.557 | |||||
| <60 | 1 | |||||
| ≥60 | 1.226 | 0.643–2.422 | ||||
| Pathological tumor stage (pT) | 0.242 | |||||
| 1–2 | 1 | |||||
| 3–4 | 1.44 | 0.782–2.651 | ||||
| Nuclear grade | 0.969 | |||||
| Low (1–2) | 1 | |||||
| High (3) | 1.006 | 0.729–1.389 | ||||
| Histologic grade | 0.494 | |||||
| Low (1–2) | 1 | |||||
| High (3) | 1.252 | 0.647–2.386 | ||||
Publisher’s Note: MDPI stays neutral with regard to jurisdictional claims in published maps and institutional affiliations. |
© 2021 by the authors. Licensee MDPI, Basel, Switzerland. This article is an open access article distributed under the terms and conditions of the Creative Commons Attribution (CC BY) license (https://creativecommons.org/licenses/by/4.0/).
Share and Cite
Kim, S.-W.; Chu, J.; Do, S.-I.; Na, K. Low KIBRA Expression Is Associated with Poor Prognosis in Patients with Triple-Negative Breast Cancer. Medicina 2021, 57, 837. https://doi.org/10.3390/medicina57080837
Kim S-W, Chu J, Do S-I, Na K. Low KIBRA Expression Is Associated with Poor Prognosis in Patients with Triple-Negative Breast Cancer. Medicina. 2021; 57(8):837. https://doi.org/10.3390/medicina57080837
Chicago/Turabian StyleKim, So-Woon, Jinah Chu, Sung-Im Do, and Kiyong Na. 2021. "Low KIBRA Expression Is Associated with Poor Prognosis in Patients with Triple-Negative Breast Cancer" Medicina 57, no. 8: 837. https://doi.org/10.3390/medicina57080837
APA StyleKim, S.-W., Chu, J., Do, S.-I., & Na, K. (2021). Low KIBRA Expression Is Associated with Poor Prognosis in Patients with Triple-Negative Breast Cancer. Medicina, 57(8), 837. https://doi.org/10.3390/medicina57080837

