State-of-the-Art Review of Pregnancy-Related Psoriasis
Abstract
:1. Introduction
2. Clinical Phenotypes of Psoriasis in Pregnancy
3. Evolution of Psoriasis Activity during Pregnancy
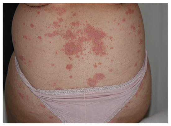
4. Specific Complications of Pregnancy-Associated Psoriasis
5. Treatment of Psoriasis during Pregnancy
6. Biologic Treatments
7. Conclusions
Author Contributions
Funding
Institutional Review Board Statement
Informed Consent Statement
Data Availability Statement
Conflicts of Interest
References
- Griffiths, C.E.; Barker, J.N. Pathogenesis and clinical features of psoriasis. Lancet 2007, 370, 263–271. [Google Scholar] [CrossRef]
- Gottlieb, A.B.; Ryan, C.; Murase, J.E. Clinical considerations for the management of psoriasis in women. Int. J. Womens Dermatol. 2019, 5, 141–150. [Google Scholar] [CrossRef]
- Tauscher, A.E.; Fleischer, A.B., Jr.; Phelps, K.C.; Feldman, S.R. Psoriasis and pregnancy. J. Cutan. Med. Surg. 2002, 6, 561–570. [Google Scholar] [CrossRef]
- Cohen-Barak, E.; Nachum, Z.; Rozenman, D.; Ziv, M. Pregnancy outcomes in women with moderate-to-severe psoriasis. J. Eur. Acad. Dermatol. Venereol. 2011, 25, 1041–1047. [Google Scholar] [CrossRef]
- Bröms, G.; Haerskjold, A.; Granath, F.; Kieler, H.; Pedersen, L.; Berglind, I.A. Effect of Maternal Psoriasis on Pregnancy and Birth Outcomes: A Population-based Cohort Study from Denmark and Sweden. Acta Derm. Venereol. 2018, 98, 728–734. [Google Scholar] [CrossRef] [PubMed] [Green Version]
- Boehncke, W.H.; Gladman, D.D.; Chandran, V. Cardiovascular comorbidities in psoriasis and psoriatic arthritis: Pathogenesis, consequences for patient management, and future research agenda: A report from the GRAPPA 2009 annual meeting. J. Rheumatol. 2011, 38, 567–571. [Google Scholar] [CrossRef] [PubMed] [Green Version]
- McDonough, E.; Ayearst, R.; Eder, L.; Chandran, V.; Rosen, C.F.; Thavaneswaran, A. Depression and anxiety in psoriatic disease: Prevalence and associated factors. J. Rheumatol. 2014, 41, 887–896. [Google Scholar] [CrossRef] [PubMed]
- Ruiz, V.; Manubens, E.; Puig, L. Psoriasis in pregnancy: A review (I). Actas Dermosifiliogr. 2014, 105, 734–743. [Google Scholar] [CrossRef]
- Liu, Z.-J.; Tian, Y.-T.; Shi, B.-Y.; Zhou, Y.; Jia, X.-S. Association between mutation of interleukin 36 receptor antagonist and generalized pustular psoriasis. Medicine 2020, 99, e23068. [Google Scholar] [CrossRef]
- Karason, A.; Gudjonsson, J.E.; Jónsson, H.H.; Hauksson, V.B.; Runarsdottir, E.H.; Stefansson, K.; Valdimarsson, H.; Gulcher, J.R. Genetics of psoriasis in Iceland: Evidence for linkage of subphenotypes to distinct Loci. J. Investig. Dermatol. 2005, 124, 1177–1185. [Google Scholar] [CrossRef] [Green Version]
- Gudjonsson, J.E.; Karason, A.; Runarsdottir, E.H.; Antonsdottir, A.A.; Hauksson, V.B.; Jónsson, H.H.; Gulcher, J.; Stefansson, K.; Valdimarsson, H. Distinct clinical differences between HLA-Cw*0602 positive and negative psoriasis patients—An analysis of 1019 HLA-C- and HLA-B-typed patients. J. Investig. Dermatol. 2006, 126, 740–745. [Google Scholar] [CrossRef] [Green Version]
- Hailfinger, S.; Schulze-Osthoff, K. The paracaspase MALT1 in psoriasis. Biol. Chem. 2021. [Google Scholar] [CrossRef]
- Israel, L.; Mellett, M. Clinical and Genetic Heterogeneity of CARD14 Mutations in Psoriatic Skin Disease. Front. Immunol. 2018, 9, 2239. [Google Scholar] [CrossRef] [PubMed] [Green Version]
- Vural, S.; Kerl, K.; Doğan, P.E.; Vollmer, S.; Puchta, U.; He, M.; Arakawa, Y.; Heper, A.O.; Karal, A.; Hartmann, D.; et al. Lesional activation of Tc 17 cells in Behçet’s disease and psoriasis supports HLA-class I-mediated autoimmune responses. Br. J. Dermatol. 2021. [Google Scholar] [CrossRef] [PubMed]
- Murase, J.E.; Chan, K.K.; Garite, T.J.; Cooper, D.M.; Weinstein, G.D. Hormonal effect on psoriasis in pregnancy and postpartum. Arch. Dermatol. 2005, 141, 601–606. [Google Scholar] [CrossRef] [PubMed]
- Raychaudhuri, S.P.; Navare, T.; Gross, J.; Raychaudhuri, S.K. Clinical course of psoriasis during pregnancy. Int. J. Dermatol. 2003, 42, 518–520. [Google Scholar] [CrossRef] [PubMed]
- Polachek, A.; Li, S.; Polachek, I.S.; Chandran, V.; Gladman, D. Psoriatic arthritis disease activity during pregnancy and the first-year postpartum. Semin. Arthritis Rheum. 2017, 46, 740–745. [Google Scholar] [CrossRef]
- Richard, M.A. Psoriasis and pregnancy. Eur. J. Dermatol. 2020, 30, 3–7. [Google Scholar] [CrossRef] [PubMed]
- Boyd, A.S.; Morris, L.F.; Phillips, C.M.; Menter, M.A. Psoriasis and pregnancy: Hormone and immune system interaction. Int. J. Dermatol. 1996, 35, 169–172. [Google Scholar] [CrossRef]
- Rademaker, M.; Agnew, K.; Andrews, M.; Armour, K.; Baker, C.; Foley, P.; Frew, J.; Gebauer, K.; Gupta, M.; Kennedy, D.; et al. Psoriasis in those planning a family, pregnant or breastfeeding. The Australasian Psoriasis Collaboration. Australas. J. Dermatol. 2018, 59, 86–100. [Google Scholar] [CrossRef] [PubMed]
- Simionescu, A.A.; Horobeț, A.; Belaşcu, L.; Median, D.M. Real-World Data Analysis of Pregnancy-Associated Breast Cancer at a Tertiary-Level Hospital in Romania. Medicina 2020, 56, 522. [Google Scholar] [CrossRef] [PubMed]
- Simionescu, A.A.; Median, D. Chemotherapy for breast cancer during pregnancy and postpartum: A retrospective descriptive study. Farmacia 2015, 63, 417–421. [Google Scholar]
- Lima, X.T.; Janakiraman, V.; Hughes, M.D.; Kimball, A.B. The impact of psoriasis on pregnancy outcomes. J. Investig. Dermatol. 2012, 132, 85–91. [Google Scholar] [CrossRef] [Green Version]
- Marino, J.; Paster, J.; Benichou, G. Allorecognition by T Lymphocytes and Allograft Rejection. Front. Immunol. 2016, 7, 582. [Google Scholar] [CrossRef] [PubMed] [Green Version]
- Nussbaum, L.; Chen, Y.L.; Ogg, G.S. Role of regulatory T cells in psoriasis pathogenesis and treatment. Br. J. Dermatol. 2021, 184, 14–24. [Google Scholar] [CrossRef] [PubMed]
- Deng, Y.; Chang, C.; Lu, Q. The Inflammatory Response in Psoriasis: A Comprehensive Review. Clin. Rev. Allergy Immunol. 2016, 50, 377–389. [Google Scholar] [CrossRef]
- Yang, F.; Zheng, Q.; Jin, L. Dynamic Function and Composition Changes of Immune Cells during Normal and Pathological Pregnancy at the Maternal-Fetal Interface. Front. Immunol. 2019, 10, 2317. [Google Scholar] [CrossRef] [Green Version]
- von Rango, U. Fetal tolerance in human pregnancy—A crucial balance between acceptance and limitation of trophoblast invasion. Immunol. Lett. 2008, 115, 21–32. [Google Scholar] [CrossRef] [PubMed]
- Blois, S.M.; Kammerer, U.; Soto, A.C.; Tometten, M.C.; Shaikly, V.; Barrientos, G.; Jurd, R.; Rukavina, D.; Thomson, A.W.; Klapp, B.F.; et al. Dendritic Cells: Key to Fetal Tolerance? Biol. Reprod. 2007, 77, 590–598. [Google Scholar] [CrossRef] [Green Version]
- Piccinni, M.P.; Lombardelli, L.; Logiodice, F.; Kullolli, O.; Parronchi, P.; Romagnani, S. How pregnancy can affect autoimmune diseases progression? Clin. Mol. Allergy 2016, 14, 11. [Google Scholar] [CrossRef] [Green Version]
- Baran, R.L. A nail psoriasis severity index. Br. J. Dermatol. 2004, 150, 568–569. [Google Scholar] [CrossRef] [PubMed]
- Trivedi, M.K.; Vaughn, A.R.; Murase, J.E. Pustular psoriasis of pregnancy: Current perspectives. Int. J. Womens Health 2018, 10, 109–115. [Google Scholar] [CrossRef] [PubMed] [Green Version]
- Kondo, R.N.; Araújo, F.M.; Pereira, A.M.; Lopes, V.C.; Martins, L.M. Pustular psoriasis of pregnancy (impetigo herpetiformis)—Case report. An. Bras. Dermatol. 2013, 88 (Suppl. 1), 186–189. [Google Scholar] [CrossRef] [PubMed] [Green Version]
- Flynn, A.; Burke, N.; Byrne, B.; Gleeson, N.; Wynne, B.; Barnes, L. Two case reports of generalized pustular psoriasis of pregnancy: Different outcomes. Obstet. Med. 2016, 9, 55–59. [Google Scholar] [CrossRef]
- Feldman, S.R.; Krueger, G.G. Psoriasis assessment tools in clinical trials. Ann. Rheum. Dis. 2005, 64 (Suppl. 2), ii65–ii68. [Google Scholar] [CrossRef]
- Ferreira, C.; Azevedo, A.; Nogueira, M.; Torres, T. Management of psoriasis in pregnancy-a review of the evidence to date. Drugs Context 2020, 9, 2019-11-6. [Google Scholar] [CrossRef] [Green Version]
- Ursin, K.; Lydersen, S.; Skomsvoll, J.F.; Wallenius, M. Psoriatic Arthritis Disease Activity During and After Pregnancy: A Prospective Multicenter Study. Arthritis Care Res. 2019, 71, 1092–1100. [Google Scholar] [CrossRef]
- Mowad, C.M.; Margolis, D.J.; Halpern, A.C.; Suri, B.; Synnestvedt, M.; Guzzo, C.A. Hormonal influences on women with psoriasis. Cutis 1998, 61, 257–260. [Google Scholar]
- Park, B.S.; Youn, J.I. Factors influencing psoriasis: An analysis based upon the extent of involvement and clinical type. J. Dermatol. 1998, 25, 97–102. [Google Scholar] [CrossRef]
- Dunna, S.F.; Finlay, A.Y. Psoriasis: Improvement during and worsening after pregnancy. Br. J. Dermatol. 1989, 120, 584. [Google Scholar] [CrossRef]
- Schoels, M.; Aletaha, D.; Funovits, J.; Kavanaugh, A.; Baker, D.; Smolen, J.S. Application of the DAREA/DAPSA score for assessment of disease activity in psoriatic arthritis. Ann. Rheum. Dis. 2010, 69, 1441–1447. [Google Scholar] [CrossRef]
- Gladman, D.D.; Tom, B.D.M.; Mease, P.J.; Farewell, V.T. Informing response criteria for psoriatic arthritis. I: Discrimination models based on data from 3 anti-tumor necrosis factor randomized studies. J. Rheumatol. 2010, 37, 1892–1897. [Google Scholar] [CrossRef]
- Gladman, D.D.; Tom, B.D.M.; Mease, P.J.; Farewell, V.T. Informing response criteria for psoriatic arthritis (PsA). II: Further considerations and a proposal—The PsA joint activity index. J. Rheumatol. 2010, 37, 2559–2565. [Google Scholar] [CrossRef] [PubMed]
- Mumtaz, A.; Gallagher, P.; Kirby, B.; Waxman, R.; Coates, L.C.; Veale, J.D.; Helliwell, P.; FitzGerald, O. Development of a preliminary composite disease activity index in psoriatic arthritis. Ann. Rheum. Dis. 2011, 70, 272–277. [Google Scholar] [CrossRef]
- Ramsay, B.; Lawrence, C.M. Measurement of involved surface area in patients with psoriasis. Br. J. Dermatol. 1991, 124, 565–570. [Google Scholar] [CrossRef] [PubMed]
- Fredriksson, T.; Pettersson, U. Severe psoriasis—Oral therapy with a new retinoid. Dermatologica 1978, 157, 238–244. [Google Scholar] [CrossRef] [PubMed]
- Langley, R.G.; Ellis, C.N. Evaluating psoriasis with psoriasis area and severity index, psoriasis global assessment, and lattice system physician’s global assessment. J. Am. Acad. Dermatol. 2004, 51, 563–569. [Google Scholar] [CrossRef] [PubMed]
- Feldman, S.R.; Fleischer, A.B., Jr.; Reboussin, D.M.; Rapp, S.R.; Exum, M.L.; Clark, A.R.; Nurre, L. The self-administered psoriasis area and severity index is valid and reliable. J. Investig. Dermatol. 1996, 106, 183–186. [Google Scholar] [CrossRef] [PubMed] [Green Version]
- Kirby, B.; Fortune, D.G.; Bhushan, M.; Chalmers, R.J.G.; Griffiths, C.E.M. The salford psoriasis index: An holistic measure of psoriasis severity. Br. J. Dermatol. 2000, 142, 728–732. [Google Scholar] [CrossRef] [PubMed]
- Eder, L.; Chandran, V.; Shen, H.; Cook, R.J.; Gladman, D.D. Is ASDAS better than BASDAI as a measure of disease activity in axial psoriatic arthritis? Ann. Rheum. Dis. 2010, 69, 2160–2164. [Google Scholar] [CrossRef]
- Harrington, L.E.; Hatton, R.D.; Mangan, P.R.; Turner, H.; Murphy, T.L.; Murphy, K.M.; Weaver, C.T. Interleukin 17-producing CD4+ effector T cells develop via a lineage distinct from the T helper type 1 and 2 lineages. Nat. Immunol. 2005, 6, 1123–1132. [Google Scholar] [CrossRef] [PubMed]
- Prinz, J.C. Melanocytes: Target Cells of an HLA-C*06:02-Restricted Autoimmune Response in Psoriasis. J. Investig. Dermatol. 2017, 137, 2053–2058. [Google Scholar] [CrossRef] [Green Version]
- Fitch, E.; Harper, E.; Skorcheva, I.; Kurtz, S.E.; Blauvelt, A. Pathophysiology of psoriasis: Recent advances on IL-23 and Th17 cytokines. Curr. Rheumatol. Rep. 2007, 9, 461–467. [Google Scholar] [CrossRef] [PubMed] [Green Version]
- Pahar, B.; Madonna, S.; Das, A.; Albanesi, C.; Girolomoni, G. Immunomodulatory Role of the Antimicrobial LL-37 Peptide in Autoimmune Diseases and Viral Infections. Vaccines 2020, 8, 517. [Google Scholar] [CrossRef] [PubMed]
- Beaumont, P.E.; McHugh, B.; Findlay, E.G.; Mackellar, A.; Mackenzie, K.J.; Gallo, R.L.; Govan, J.R.; Simpson, A.J.; Davidson, D.J. Cathelicidin host defence peptide augments clearance of pulmonary Pseudomonas aeruginosa infection by its influence on neutrophil function in vivo. PLoS ONE 2014, 9, e99029. [Google Scholar] [CrossRef]
- Jung, C.; Ho, J.T.; Torpy, D.J.; Rogers, A.; Doogue, M.; Lewis, J.G.; Czajko, R.J.; Inder, W.J. A longitudinal study of plasma and urinary cortisol in pregnancy and postpartum. J. Clin. Endocrinol. Metab. 2011, 96, 1533–1540. [Google Scholar] [CrossRef] [Green Version]
- Pofi, R.; Tomlinson, J.W. Glucocorticoids in pregnancy. Obstet. Med. 2020, 13, 62–69. [Google Scholar] [CrossRef]
- Napso, T.; Yong, H.E.J.; Lopez-Tello, J.; Sferruzzi-Perri, A.N. The Role of Placental Hormones in Mediating Maternal Adaptations to Support Pregnancy and Lactation. Front. Physiol. 2018, 9, 1091. [Google Scholar] [CrossRef]
- de Andrés, C.; Fernández-Paredes, L.; Tejera-Alhambra, M.; Alonso, B.; Ramos-Medina, R.; Sánchez-Ramón, S. Activation of Blood CD3+CD56+CD8+ T Cells during Pregnancy and Multiple Sclerosis. Front. Immunol. 2017, 8, 196. [Google Scholar] [CrossRef] [Green Version]
- Kim, D.H.; Park, H.J.; Park, H.S.; Lee, J.U.; Ko, C.; Gye, M.C.; Choi, J.M. Estrogen receptor α in T cells suppresses follicular helper T cell responses and prevents autoimmunity. Exp. Mol. Med. 2019, 51, 1–9. [Google Scholar] [CrossRef] [Green Version]
- Vena, G.A.; Cassano, N.; Bellia, G.; Colombo, D. Psoriasis in pregnancy: Challenges and solutions. Psoriasis 2015, 5, 83–95. [Google Scholar] [CrossRef] [Green Version]
- Arslanpence, I.; Dede, F.S.; Gokcu, M.; Gelisen, O. Impetigo herpetiformis unresponsive to therapy in a pregnant adolescent. J. Pediatr. Adolesc. Gynecol. 2003, 16, 129–132. [Google Scholar] [CrossRef]
- Yao, X.; Zhang, X.; Peng, M.; Wang, H.; Meng, Y.; Chen, Y. A case of impetigo herpetiformis in which termination of pregnancy was required. J. Int. Med. Res. 2020, 48, 300060520933811. [Google Scholar] [CrossRef]
- Yang, Y.W.; Chen, C.S.; Chen, Y.H.; Lin, H.C. Psoriasis and pregnancy outcomes: A nationwide population-based study. J. Am. Acad. Dermatol. 2011, 64, 71–77. [Google Scholar] [CrossRef] [PubMed]
- Horn, E.J.; Chambers, C.D.; Menter, A.; Kimball, A.B.; International Psoriasis Council. Pregnancy outcomes in psoriasis: Why do we know so little? J. Am. Acad. Dermatol. 2009, 61, e5–e8. [Google Scholar] [CrossRef] [PubMed]
- Amarilyo, G.; Oren, A.; Mimouni, F.B.; Ochshorn, Y.; Deutsch, V.; Mandel, D. Increased cord serum inflammatory markers in small-for-gestational-age neonates. J. Perinatol. 2011, 31, 30–32. [Google Scholar] [CrossRef] [PubMed]
- Bastek, J.A.; Brown, A.G.; Anton, L.; Srinivas, S.K.; D’addio, A.; Elovitz, M.A. Biomarkers of inflammation and placental dysfunction are associated with subsequent preterm birth. J. Matern. Fetal Neonatal Med. 2011, 24, 600–605. [Google Scholar] [CrossRef]
- Sorokin, Y.; Romero, R.; Mele, L.; Wapner, R.J.; Iams, J.D.; Dudley, D.J.; Spong, C.Y.; Peaceman, A.M.; Leveno, K.J.; Harper, M.; et al. Maternal serum interleukin-6, C-reactive protein, and matrix metalloproteinase-9 concentrations as risk factors for preterm birth <32 weeks and adverse neonatal outcomes. Am. J. Perinatol. 2010, 27, 631–640. [Google Scholar] [CrossRef] [Green Version]
- Onan, D.T.; Yorulmaz, A.; Dikmen, A.U.; Yakut, K.; Güler, I.; Atalay, C.R.; Artüz, R.F.; Yalçınet, B. Pregnancy outcomes in inflammatory skin diseases. Turk. Arch. Dermatol. Venerol. Turkderm 2018, 52, 126–130. [Google Scholar] [CrossRef]
- Gerdes, S.; Zahl, V.A.; Weichenthal, M.; Mrowietz, U. Smoking and alcohol intake in severely affected patients with psoriasis in Germany. Dermatology 2010, 220, 38–43. [Google Scholar] [CrossRef]
- Bobotsis, R.; Gulliver, W.P.; Monaghan, K.; Lynde, C.; Fleming, P. Psoriasis and adverse pregnancy outcomes: A systematic review of observational studies. Br. J. Dermatol. 2016, 175, 464–472. [Google Scholar] [CrossRef]
- Lee, E.; Brady, B.; Suruki, R.; Fowler, R.; Kim, G.; Stark, J.L. Incidence of peri-pregnancy flares among psoriasis patients. J. Am. Acad. Dermatol. 2019, 81, 10546. [Google Scholar] [CrossRef]
- Berman, M.; Zisman, D.; Wollman, J.; Levartovsky, D.; Rimon, E.; Elkayam, O. The effect of pregnancy on disease activity in patients with psoriatic arthritis. J. Rheumatol. 2018, 45, 1651–1655. [Google Scholar] [CrossRef]
- Harder, E.; Andersen, A.N.; Kamper-Jørgensen, M.; Skov, L. No increased risk of fetal death or prolonged time to pregnancy in women with psoriasis. J. Investig. Dermatol. 2014, 134, 1747–1749. [Google Scholar] [CrossRef] [Green Version]
- Alonso-Naranjo, L.; González-Cantero, Á. Pustular psoriasis of pregnancy managed with labor induction. Eur. J. Obstet. Gynecol. Reprod. Biol. 2021, 259, 224–225. [Google Scholar] [CrossRef]
- Hoffman, M.B.; Farhangian, M.; Feldman, S.R. Psoriasis during pregnancy: Characteristics and important management recommendations. Expert Rev. Clin. Immunol. 2015, 11, 709–720. [Google Scholar] [CrossRef]
- Lam, J.; Polifka, J.E.; Dohil, M.A. Safety of dermatologic drugs used in pregnant patients with psoriasis and other inflammatory skin diseases. J. Am. Acad. Dermatol. 2008, 59, 295–315. [Google Scholar] [CrossRef] [PubMed]
- Bae, Y.S.; Van Voorhees, A.S.; Hsu, S.; Korman, N.J.; Lebwohl, M.G.; Young, M.; Bebo, B., Jr.; Kimball, A.B.; National Psoriasis Foundation. Review of treatment options for psoriasis in pregnant or lactating women: From the Medical Board of the National Psoriasis Foundation. J. Am. Acad. Dermatol. 2012, 67, 459–477. [Google Scholar] [CrossRef]
- Bangsgaard, N.; Rørbye, C.; Skov, L. Treating Psoriasis during Pregnancy: Safety and Efficacy of Treatments. Am. J. Clin. Dermatol. 2015, 16, 389–398. [Google Scholar] [CrossRef] [PubMed]
- Bramham, K.; Chusney, G.; Lee, J.; Lightstone, L.; Nelson-Piercy, C. Breastfeeding and tacrolimus: Serial monitoring in breastfed and bottle-fed infants. Clin. J. Am. Soc. Nephrol. 2013, 8, 563–567. [Google Scholar] [CrossRef]
- Zheng, S.; Easterling, T.R.; Hays, K.; Umans, J.G.; Miodovnik, M.; Clark, S.; Calamia, J.C.; Thummel, K.E.; Shen, D.D.; Davis, C.L.; et al. Tacrolimus placental transfer at delivery and neonatal exposure through breast milk. Br. J. Clin. Pharmacol. 2013, 76, 988–996. [Google Scholar] [CrossRef] [PubMed] [Green Version]
- Kainz, A.; Harabacz, I.; Cowlrick, I.S.; Gadgil, S.D.; Hagiwara, D. Review of the course and outcome of 100 pregnancies in 84 women treated with tacrolimus. Transplantation 2000, 70, 1718–1721. [Google Scholar] [CrossRef]
- Nevers, W.; Pupco, A.; Koren, G.; Bozzo, P. Safety of tacrolimus in pregnancy. Can. Fam. Physician 2014, 60, 905–906. [Google Scholar]
- Chi, C.C.; Wang, S.H.; Wojnarowska, F.; Kirtschig, G.; Davies, E.; Bennett, C. Safety of topical corticosteroids in pregnancy. Cochrane Database Syst. Rev. 2015, 26, CD007346. [Google Scholar] [CrossRef]
- Butler, D.C.; Heller, M.M.; Murase, J.E. Safety of dermatologic medications in pregnancy and lactation: Part II. Lactation. J. Am. Acad. Dermatol. 2014, 70, 417.e1–417.e10. [Google Scholar] [CrossRef] [PubMed]
- Han, G.; Wu, J.J.; Del Rosso, J.Q. Use of Topical Tazarotene for the Treatment of Acne Vulgaris in Pregnancy: A Literature Review. J. Clin. Aesthet. Dermatol. 2020, 13, E59–E65. [Google Scholar] [PubMed]
- El-Saie, L.T.; Rabie, A.R.; Kamel, M.I.; Seddeik, A.K.; Elsaie, M.L. Effect of narrowband ultraviolet B phototherapy on serum folic acid levels in patients with psoriasis. Lasers Med. Sci. 2011, 26, 481–485. [Google Scholar] [CrossRef] [PubMed]
- Park, K.K.; Murase, J.E. Narrowband UV-B phototherapy during pregnancy and folic acid depletion. Arch. Dermatol. 2012, 148, 132–133. [Google Scholar] [CrossRef] [PubMed]
- Koo, J.Y.; Berger, T.G. Narrowband ultraviolet B phototherapy influences serum folate levels in patients with vitiligo. J. Am. Acad. Dermatol. 2010, 62, 710–711. [Google Scholar] [CrossRef]
- Stern, R.S.; Lange, R. Outcomes of pregnancies among women and partners of men with a history of exposure to methoxsalen photochemotherapy (P.U.V.A.) for the treatment of psoriasis. Arch. Dermatol. 1997, 127, 347–350. [Google Scholar] [CrossRef]
- Lebwohl, M.; Siegel, M.; Shankle, L.; Pisenti, L.; Yassine, M.; Van Vorhees, S. A Comprehensive Survey Assessing the Family Planning Needs of Women with Psoriasis. SKIN J. Cutan. Med. 2018, 2, S89. [Google Scholar] [CrossRef]
- Paziana, K.; Del Monaco, M.; Cardonick, E.; Moritz, M.; Keller, M.; Smith, B.; Coscia, L.; Armenti, V. Ciclosporin use during pregnancy. Drug Saf. 2013, 36, 279–294. [Google Scholar] [CrossRef]
- Ryan, C.; Amor, K.T.; Menter, A. The use of cyclosporine in dermatology: Part II. J. Am. Acad. Dermatol. 2010, 63, 949–972. [Google Scholar] [CrossRef]
- Armenti, V.T.; Ahlswede, K.M.; Ahlswede, B.A.; Cater, J.R.; Jarrell, B.E.; Mortiz, M.J.; Burke, J.F., Jr. Variables affecting birthweight and graft survival in 197 pregnancies in cyclosporine-treated female kidney transplant recipients. Transplantation 1995, 59, 476–479. [Google Scholar] [CrossRef] [PubMed]
- Chi, C.C.; Wang, S.H.; Mayon-White, R.; Wojnarowska, F. Pregnancy outcomes after maternal exposure to topical corticosteroids: A UK population-based cohort study. JAMA Dermatol. 2013, 149, 1274–1280. [Google Scholar] [CrossRef] [PubMed] [Green Version]
- Chin, S.O.; Brodsky, N.L.; Bhandari, V. Antenatal steroid use is associated with increased gastroesophageal reflux in neonates. Am. J. Perinatol. 2003, 20, 205–213. [Google Scholar] [CrossRef] [PubMed]
- Wapner, R.J.; Sorokin, Y.; Mele, L.; Johnson, F.; Dudley, D.J.; Spong, C.Y.; Peaceman, A.M.; Leveno, K.J.; Malone, F.; Caritis, S.N.; et al. Long-term outcomes after repeat doses of antenatal corticosteroids. N. Engl. J. Med. 2007, 357, 1190–1198. [Google Scholar] [CrossRef]
- Gur, C.; Diav-Citrin, O.; Shechtman, S.; Arnon, J.; Ornoy, A. Pregnancy outcome after first trimester exposure to corticosteroids: A prospective controlled study. Reprod. Toxicol. 2004, 18, 93–101. [Google Scholar] [CrossRef] [PubMed]
- Park-Wyllie, L.; Mazzotta, P.; Pastuszak, A.; Moretti, M.E.; Beique, L.; Hunnisett, L.; Friesen, M.H.; Jacobson, S.; Kasapinovic, S.; Chang, D.; et al. Birth defects after maternal exposure to corticosteroids: Prospective cohort study and meta-analysis of epidemiological studies. Teratology 2000, 62, 385–392. [Google Scholar] [CrossRef]
- Verberne, E.A.; de Haan, E.; van Tintelen, J.P.; Lindhout, D.; van Haelst, M.M. Fetal methotrexate syndrome: A systematic review of case reports. Reprod. Toxicol. 2019, 87, 125–139. [Google Scholar] [CrossRef] [PubMed]
- de Die-Smulders, C.E.; Sturkenboom, M.C.; Veraart, J.; van Katwijk, C.; Sastrowijoto, P.; van der Linden, E. Severe limb defects and craniofacial anomalies in a fetus conceived during acitretin therapy. Teratology 1995, 52, 215–219. [Google Scholar] [CrossRef]
- Barbero, P.; Lotersztein, V.; Bronberg, R.; Perez, M.; Alba, L. Acitretin embryopathy: A case report. Birth Defects Res. A Clin. Mol. Teratol. 2004, 70, 831–833. [Google Scholar] [CrossRef]
- Retinoids Containing Medicinal Products-A31-1446; Acitretin; Adapalene; Alitretinoin; Bexarotene; Isotretinoin; Tretinoin; Tazarotene. European Medicines Agency Retinoids Containing Medicinal Products-A31-1446; Acitretin; Adapalene; Alitretinoin; Bexarotene; Isotretinoin; Tretinoin; Tazarotene. Available online: https://www.ema.europa.eu/en/documents/referral/retinoid-article-31-referral-prac-assessment-report_en.pdf (accessed on 2 August 2021).
- Murase, J.E.; Heller, M.M.; Butler, D.C. Safety of dermatologic medications in pregnancy and lactation: Part I. Pregnancy. J. Am. Acad. Dermatol. 2014, 70, 401.e1–401.e14. [Google Scholar] [CrossRef]
- Namazi, N.; Dadkhahfar, S. Impetigo Herpetiformis: Review of Pathogenesis, Complication, and Treatment. Dermatol. Res. Pract. 2018, 2018, 5801280. [Google Scholar] [CrossRef] [PubMed]
- Carmichael, S.L.; Shaw, G.M.; Ma, C.; Werler, M.M.; Rasmussen, S.A.; Lammer, E.J.; National Birth Defects Prevention Study. Maternal corticosteroid use and orofacial clefts. Am. J. Obstet. Gynecol. 2007, 197, 585.e1–585.e7. [Google Scholar] [CrossRef] [PubMed]
- Johansen, C.B.; Jimenez-Solem, E.; Haerskjold, A.; Sand, F.L.; Thomsen, S.F. The Use and Safety of TNF Inhibitors during Pregnancy in Women with Psoriasis: A Review. Int. J. Mol. Sci. 2018, 19, 1349. [Google Scholar] [CrossRef] [PubMed] [Green Version]
- Ostensen, M.; Förger, F. Treatment with biologics of pregnant patients with rheumatic diseases. Curr. Opin. Rheumatol. 2011, 23, 293–298. [Google Scholar] [CrossRef]
- Cheent, K.; Nolan, J.; Shariq, S.; Kiho, L.; Pal, A.; Arnold, J. Case report: Fatal case of disseminated B.C.G. infection in an infant born to a mother taking infliximab for Crohn’s disease. J. Crohns Colitis 2010, 4, 603–605. [Google Scholar] [CrossRef]
- Puig, L.; Barco, D.; Alomar, A. Treatment of psoriasis with anti-TNF drugs during pregnancy: Case report and review of the literature. Dermatology 2010, 220, 71–76. [Google Scholar] [CrossRef]
- Mariette, X.; Förger, F.; Abraham, B.; Flynn, A.D.; Moltó, A.; Flipo, R.M.; van Tubergen, A.; Shaughnessy, L.; Simpson, J.; Teil, M.; et al. Lack of placental transfer of certolizumab pegol during pregnancy: Results from CRIB, a prospective, postmarketing, pharmacokinetic study. Ann. Rheum. Dis. 2018, 77, 228–233. [Google Scholar] [CrossRef]
- European Medicines Agency Certolizumab Pegol (Cimzia) Summary of Product Characteristics. Available online: https://www.ema.europa.eu/en/documents/product-information/cimzia-epar-product-information_en.pdf (accessed on 16 July 2021).
- Martin, P.L.; Sachs, C.; Imai, N.; Tsusaki, H.; Oneda, S.; Jiao, Q.; Treacy, G. Development in the cynomolgus macaque following administration of Ustekinumab, a human anti-IL-12/23p40 monoclonal antibody, during pregnancy and lactation. Birth Defects Res. B Dev. Reprod. Toxicol. 2010, 89, 351–363. [Google Scholar] [CrossRef]
- Mahadevan, U.; Naureckas, S.; Sharma, B.; Tikhonov, I.; Szapary, P.; Busse, C. Su1799–Pregnancy outcomes in women exposed to Ustekinumab. Gastroenterology 2018, 154, S588–S589. [Google Scholar] [CrossRef]
- STELARA® Ustekinumab R U.S. Food and Drug Administration. Available online: https://www.accessdata.fda.gov/drugsatfda_docs/label/2016/761044lbl.pdf (accessed on 30 May 2021).
- Matro, R.; Martin, C.F.; Wolf, D.; Shah, S.A.; Mahadevan, U. Exposure Concentrations of Infants Breastfed by Women Receiving Biologic Therapies for Inflammatory Bowel Diseases and Effects of Breastfeeding on Infections and Development. Gastroenterology 2018, 155, 696–704. [Google Scholar] [CrossRef] [Green Version]
- Gisbert, J.P.; Chaparro, M. Safety of New Biologics (Vedolizumab and Ustekinumab) and Small Molecules (Tofacitinib) during Pregnancy: A Review. Drugs 2020, 80, 1085–1100. [Google Scholar] [CrossRef] [PubMed]
- Watson, N.; Wu, K.; Farr, P.; Reynolds, N.J.; Hampton, P.J. Ustekinumab exposure during conception and pregnancy in patients with chronic plaque psoriasis: A case series of 10 pregnancies. Br. J. Dermatol. 2019, 180, 195–196. [Google Scholar] [CrossRef] [PubMed] [Green Version]
- Skorpen, C.G.; Hoeltzenbein, M.; Tincani, A.; Fischer-Betz, R.; Elefant, E.; Chambers, C.; da Silva, J.; Nelson-Piercy, C.; Cetin, I.; Costedoat-Chalumeau, N.; et al. The E.U.L.A.R. points to consider for use of antirheumatic drugs before pregnancy, and during pregnancy and lactation. Ann. Rheum. Dis. 2016, 75, 795–810. [Google Scholar] [CrossRef] [PubMed] [Green Version]
- Warren, R.B.; Reich, K.; Langley, R.G.; Strober, B.; Gladman, D.; Deodhar, A.; Bachhuber, T.; Bao, W.; Altemeyer, E.; Hussain, S.; et al. Secukinumab in pregnancy: Outcomes in psoriasis, psoriatic arthritis and ankylosing spondylitis from the global safety database. Br. J. Dermatol. 2018, 179, 1205–1207. [Google Scholar] [CrossRef] [PubMed]
- Smith, C.H.; Yiu, Z.Z.N.; Bale, T.; Burden, A.D.; Coates, L.C.; Edwards, W.; MacMahon, E.; Mahil, S.K.; McGuire, A.; Murphy, R.; et al. British Association of Dermatologists guidelines for biologic therapy for psoriasis 2020: A rapid update. Br. J. Dermatol. 2020, 183, 628–637. [Google Scholar] [CrossRef] [PubMed]
- Sammaritano, L.R.; Bermas, B.L.; Chakravarty, E.E.; Chambers, C.; Clowse, M.E.B.; Lockshin, M.D.; Marder, W.; Guyatt, G.; Branch, D.W.; Buyon, J.; et al. And 2020 American College of Rheumatology Guideline for the Management of Reproductive Health in Rheumatic and Musculoskeletal Diseases. Arthritis Care Res. 2020, 72, 461–488. [Google Scholar] [CrossRef] [PubMed]
- European Medicines Agency Etanercept (Enbrel) Summary of Product Characteristics [Internet] 2019. Available online: https://www.ema.europa.eu/en/documents/product-information/enbrel-epar-product-information_en.pdf (accessed on 16 July 2021).
- Berthelot, J.M.; De Bandt, M.; Goupille, P.; Solau-Gervais, E.; Lioté, F.; Goeb, V.; Azaïs, I.; Martin, A.; Pallot-Prades, B.; Maugars, Y.; et al. Exposition to anti-TNF drugs during pregnancy: Outcome of 15 cases and review of the literature. Jt. Bone Spine 2009, 76, 28–34. [Google Scholar] [CrossRef]
- Carter, J.D.; Valeriano, J.; Vasey, F.B. Tumor necrosis factor-alpha inhibition and V.A.T.E.R. association: A causal relationship. J. Rheumatol. 2006, 33, 1014–1017. [Google Scholar] [PubMed]
- Chambers, C.D.; Johnson, D.L. Emerging data on the use of anti-tumor necrosis factor-alpha medications in pregnancy. Birth Defects Res. A Clin. Mol. Teratol. 2012, 94, 607–611. [Google Scholar] [CrossRef] [PubMed]



| Study | Number of Pregnancies Studied for Arthritis Activity during Pregnancy | Psoriasis Evolution during Pregnancy | Number of Pregnancies Studied for Arthritis Activity during the Postpartum Period | Psoriasis Status Postpartum | |||||
|---|---|---|---|---|---|---|---|---|---|
| Improved (%) | Worsening (%) | Stable (%) | Mixed Pattern | Improved (%) | Worsening (%) | Stable (%) | |||
| Polachek et al. [17] | 41 | 26.83 (n = 11) | 19.51 (n = 8) | 43.90 (n = 18) | 9.76 (n = 4) | 40 | 20 (n = 8) | 47.50 (n = 19) | 32.50 (n = 13) |
| Ursin et al. [37] | 108 | 75 | NS | NS | 87 | 2 | >20 | NS | |
| Study | Number of Pregnancies Studied for Skin Activity during Pregnancy | Psoriasis Evolution during Pregnancy | Number of Pregnancies Studied for Skin Activity during Postpartum Period | Psoriasis Status Postpartum | ||||
|---|---|---|---|---|---|---|---|---|
| Improved (%) | Worsening (%) | Stable (%) | Improved (%) | Worsening (%) | Stable (%) | |||
| Polachek et al. [17] | 33 | 32.3 (n = 11) | 8.9 (n = 3) | 55.9 (n = 19) | 31 | 3.23 (n = 1) | 48.39 (n = 15) | 48.38 (n = 15) |
| Gudjonsson et al. * [11] | 123 | 36.4 | - | 40 | - | - | - | |
| Murase et al. [15] | 47 | 55.32 (n = 26) | 23.40 (n = 11) | 21.28 (n = 10) | 46 | 8.70 (n = 4) | 65.21 (n = 30) | 26.08 (n = 12) |
| Mowad et al. [38] | 46 | 35 | 18 | 46 | NS | NS | NS | |
| Park and Youn [39] | 85 | 42 (n = 36) | 19 (n = 6) | 39 (n = 33) | NS | NS | NS | |
| Raychudhuri [16] | 91 | 56 (n = 51) | 26.4 (n = 24) | 17.6 (n = 16) | NS | NS | NS | |
| Boyd et al. [19] | 90 | 63.33 (n = 57) | 13.33 (n = 12) | 23.33 (n = 21) | 90 | 1.11 (n = 1) | 87.78 (n = 79) | 11.11 (n = 10) |
| Dunna and Finlay [40] | 112 | 41.1 (n = 46) | 14.3 (n = 16) | 42.9 (n = 48) | 112 # | 10.70 (n = 12) | 49.10 (n = 55) | 36.60 (n = 41) |
| Composite Measures in PsA | Clinical Assessment of Psoriasis Outcome Measures |
|---|---|
|
|
| Treatment | Administration | Observations |
|---|---|---|
| Anthralin | Topic | Use if clearly needed |
| Coal tar | Topic | Potentially mutagenic/carcinogenic (animal study data) |
| Calcipotriol | Topic | Use only on small surfaces when no alternatives exist |
| Corticosteroids | Topic | Low- to moderate-potency topical corticosteroids in short-term use is acceptable |
| Tacrolimus | Topic | Use only on small surfaces when no alternatives exist |
| Phototherapy | Can be used as adjunctive therapy in patients who show poor response to corticosteroids | |
| Cyclosporin | Systemic | Cyclosporine is a therapeutic option for patients who are unresponsive to corticosteroids. Cyclosporine may be administered in combination or as an alternative therapy, especially first-line therapy for P.P.P. |
| Corticosteroids | Systemic | Use of lower dose of prednisone or prednisolone. Standard drug treatment is not considered because of the high toxicity profile and the risk of side effects in pregnant women. Corticosteroids are associated with a risk of clef palate. |
| Biological Therapy | Observations |
|---|---|
| Certolizumab pegol | It could be the first-line therapy in pregnant patients or those of the childbearing period. |
| Etanercept | May cross the placenta It has generally been well-tolerated One study suggested an association between etanercept and V.A.C.T.E.R.L. syndrome. |
| Adalimumab | May cross the placenta No increase in the rate of miscarriage, malformations, or preterm birth. |
| Infliximab | No increase in adverse pregnancy outcomes for patients. |
| Ustekinumab | No specific risks with exposure during pregnancy or within two months prior to conception The label suggests avoidance of their use during pregnancy as a precautionary measure. |
| Secukinumab | No safety signals concerning spontaneous abortions or congenital malformations The label suggests avoidance of their use during pregnancy as a precautionary measure. |
Publisher’s Note: MDPI stays neutral with regard to jurisdictional claims in published maps and institutional affiliations. |
© 2021 by the authors. Licensee MDPI, Basel, Switzerland. This article is an open access article distributed under the terms and conditions of the Creative Commons Attribution (CC BY) license (https://creativecommons.org/licenses/by/4.0/).
Share and Cite
Simionescu, A.A.; Danciu, B.M.; Stanescu, A.M.A. State-of-the-Art Review of Pregnancy-Related Psoriasis. Medicina 2021, 57, 804. https://doi.org/10.3390/medicina57080804
Simionescu AA, Danciu BM, Stanescu AMA. State-of-the-Art Review of Pregnancy-Related Psoriasis. Medicina. 2021; 57(8):804. https://doi.org/10.3390/medicina57080804
Chicago/Turabian StyleSimionescu, Anca Angela, Bianca Mihaela Danciu, and Ana Maria Alexandra Stanescu. 2021. "State-of-the-Art Review of Pregnancy-Related Psoriasis" Medicina 57, no. 8: 804. https://doi.org/10.3390/medicina57080804
APA StyleSimionescu, A. A., Danciu, B. M., & Stanescu, A. M. A. (2021). State-of-the-Art Review of Pregnancy-Related Psoriasis. Medicina, 57(8), 804. https://doi.org/10.3390/medicina57080804

