Bladder Cancer: Current Challenges and Future Directions
Abstract
:1. Introduction
2. Evidence Acquisition
3. Evidence Synthesis
3.1. Epidemiology
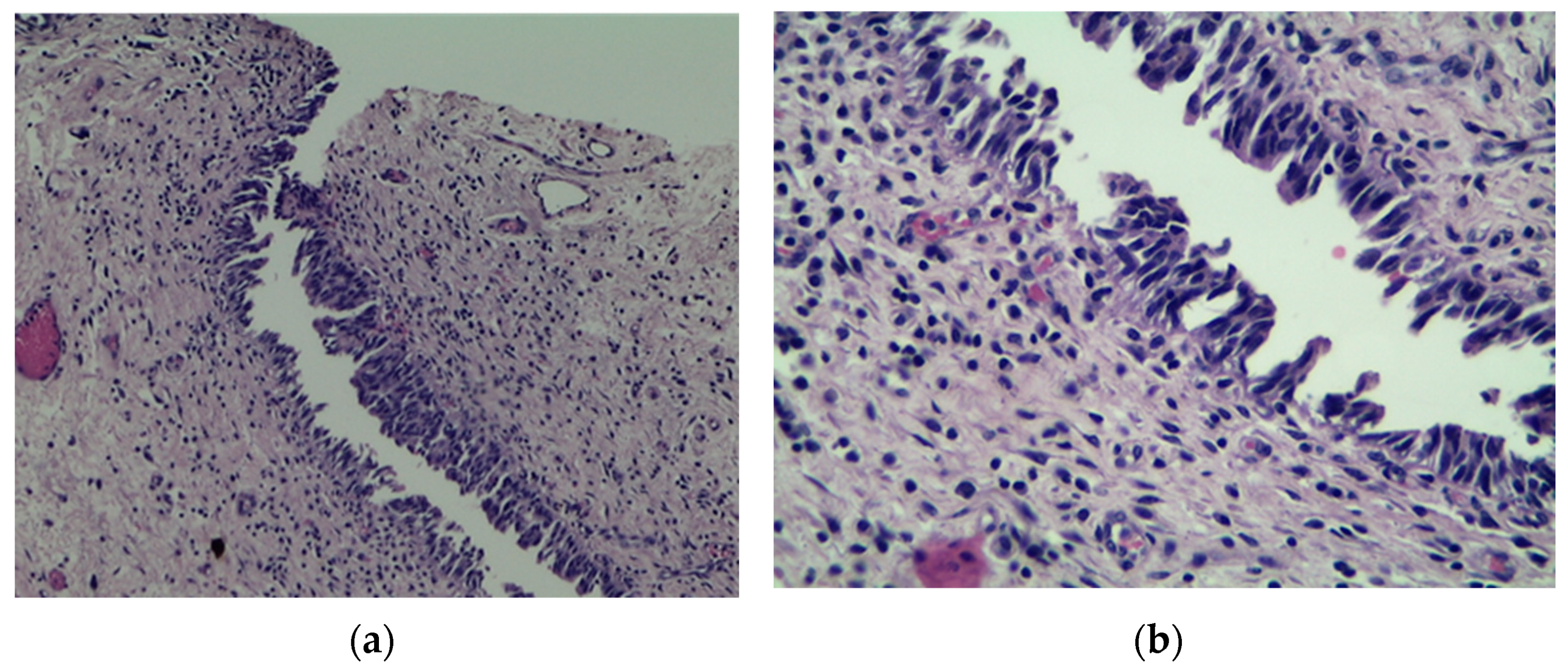
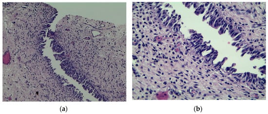
3.2. Non-Muscle Invasive Bladder Cancer
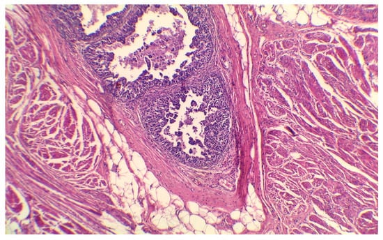
3.3. Muscle Invasive Bladder Cancer
4. Conclusions
Author Contributions
Funding
Institutional Review Board Statement
Informed Consent Statement
Data Availability Statement
Conflicts of Interest
References
- Bray, F.; Ferlay, J.; Soerjomataram, I.; Siegel, R.L.; Torre, L.A.; Jemal, A. Global cancer statistics 2018: GLOBOCAN estimates of incidence and mortality worldwide for 36 cancers in 185 countries. CA Cancer J. Clin. 2018, 68, 394–424. [Google Scholar] [CrossRef] [PubMed] [Green Version]
- Wong, M.C.S.; Fung, F.D.H.; Leung, C.; Cheung, W.W.L.; Goggins, W.B.; Ng, C.F. The global epidemiology of bladder cancer: A joinpoint regression analysis of its incidence and mortality trends and projection. Sci. Rep. 2018, 8, 1129. [Google Scholar] [CrossRef]
- Teoh, J.Y.; Huang, J.; Ko, W.Y.; Lok, V.; Choi, P.; Ng, C.F.; Sengupta, S.; Mostafid, H.; Kamat, A.M.; Black, P.C.; et al. Global Trends of Bladder Cancer Incidence and Mortality, and Their Associations with Tobacco Use and Gross Domestic Product Per Capita. Eur. Urol. 2020, 78, 893–906. [Google Scholar] [CrossRef]
- Charlton, M.E.; Adamo, M.P.; Sun, L.; Deorah, S. Bladder cancer collaborative stage variables and their data quality, usage, and clinical implications: A review of SEER data, 2004–2010. Cancer 2014, 120 (Suppl. 23), 3815–3825. [Google Scholar] [CrossRef] [PubMed] [Green Version]
- Freedman, N.D.; Silverman, D.T.; Hollenbeck, A.R.; Schatzkin, A.; Abnet, C.C. Association between smoking and risk of bladder cancer among men and women. JAMA 2011, 306, 737–745. [Google Scholar] [CrossRef]
- van Osch, F.H.; Jochems, S.H.; van Schooten, F.J.; Bryan, R.T.; Zeegers, M.P. Quantified relations between exposure to tobacco smoking and bladder cancer risk: A meta-analysis of 89 observational studies. Int. J. Epidemiol. 2016, 45, 857–870. [Google Scholar] [CrossRef] [PubMed] [Green Version]
- World Health Organisation. Available online: www.euro.who.int (accessed on 16 May 2021).
- Antoni, S.; Ferlay, J.; Soerjomataram, I.; Znaor, A.; Jemal, A.; Bray, F. Bladder Cancer Incidence and Mortality: A Global Overview and Recent Trends. Eur. Urol. 2017, 71, 96–108. [Google Scholar] [CrossRef] [PubMed]
- Zlotta, A.R.; Roumeguere, T.; Kuk, C.; Alkhateeb, S.; Rorive, S.; Lemy, A.; van der Kwast, T.H.; Fleshner, N.E.; Jewett, M.A.; Finelli, A.; et al. Select screening in a specific high-risk population of patients suggests a stage migration toward detection of non-muscle-invasive bladder cancer. Eur. Urol. 2011, 59, 1026–1031. [Google Scholar] [CrossRef] [PubMed]
- Smith, N.D.; Prasad, S.M.; Patel, A.R.; Weiner, A.B.; Pariser, J.J.; Razmaria, A.; Maene, C.; Schuble, T.; Pierce, B.; Steinberg, G.D. Bladder Cancer Mortality in the United States: A Geographic and Temporal Analysis of Socioeconomic and Environmental Factors. J. Urol. 2016, 195, 290–296. [Google Scholar] [CrossRef] [PubMed]
- Cumberbatch, M.G.; Windsor-Shellard, B.; Catto, J.W. The contemporary landscape of occupational bladder cancer within the United Kingdom: A meta-analysis of risks over the last 80 years. BJU Int. 2017, 119, 100–109. [Google Scholar] [CrossRef] [Green Version]
- Purdue, M.P.; Hutchings, S.J.; Rushton, L.; Silverman, D.T. The proportion of cancer attributable to occupational exposures. Ann. Epidemiol. 2015, 25, 188–192. [Google Scholar] [CrossRef] [PubMed] [Green Version]
- Figueroa, J.D.; Koutros, S.; Colt, J.S.; Kogevinas, M.; Garcia-Closas, M.; Real, F.X.; Friesen, M.C.; Baris, D.; Stewart, P.; Schwenn, M.; et al. Modification of Occupational Exposures on Bladder Cancer Risk by Common Genetic Polymorphisms. J. Natl. Cancer Inst. 2015, 107. [Google Scholar] [CrossRef] [PubMed] [Green Version]
- Dobruch, J.; Herr, H. Should all patients receive single chemotherapeutic agent instillation after bladder tumour resection? BJU Int. 2009, 104, 170–174. [Google Scholar] [CrossRef]
- Mori, K.; D’Andrea, D.; Enikeev, D.V.; Egawa, S.; Shariat, S.F. En bloc resection for nonmuscle invasive bladder cancer: Review of the recent literature. Curr. Opin. Urol. 2020, 30, 41–47. [Google Scholar] [CrossRef]
- Grimberg, D.C.; Shah, A.; Inman, B.A. En Bloc Resection of Bladder Tumors: Style or Substance? Eur. Urol. 2020, 78, 570–571. [Google Scholar] [CrossRef]
- Sylvester, R.J.; van der Meijden, A.P.; Oosterlinck, W.; Witjes, J.A.; Bouffioux, C.; Denis, L.; Newling, D.W.; Kurth, K. Predicting recurrence and progression in individual patients with stage Ta T1 bladder cancer using EORTC risk tables: A combined analysis of 2596 patients from seven EORTC trials. Eur. Urol. 2006, 49, 466–477. [Google Scholar] [CrossRef]
- Mariappan, P.; Johnston, A.; Padovani, L.; Clark, E.; Trail, M.; Hamid, S.; Hollins, G.; Simpson, H.; Thomas, B.G.; Hasan, R.; et al. Enhanced Quality and Effectiveness of Transurethral Resection of Bladder Tumour in Non-muscle-invasive Bladder Cancer: A Multicentre Real-world Experience from Scotland’s Quality Performance Indicators Programme. Eur. Urol. 2020, 78, 520–530. [Google Scholar] [CrossRef] [PubMed]
- Skrzypczyk, M.A.; Nyk, Ł.; Szostek, P.; Szempliński, S.; Borówka, A.; Dobruch, J. The role of endoscopic bladder tumour assessment in the management of patients subjected to transurethral bladder tumour resection. Eur. J. Cancer Care 2017, 26. [Google Scholar] [CrossRef]
- Lindgren, M.S.; Bue, P.; Azawi, N.; Blichert-Refsgaard, L.; Sundelin, M.O.; Dyrskjøt, L.; Jensen, J.B. The DaBlaCa-13 Study: Short-term, Intensive Chemoresection Versus Standard Adjuvant Intravesical Instillations in Non-muscle-invasive Bladder Cancer-A Randomised Controlled Trial. Eur. Urol. 2020, 78, 856–862. [Google Scholar] [CrossRef] [PubMed]
- Oddens, J.; Brausi, M.; Sylvester, R.; Bono, A.; van de Beek, C.; van Andel, G.; Gontero, P.; Hoeltl, W.; Turkeri, L.; Marreaud, S.; et al. Final results of an EORTC-GU cancers group randomized study of maintenance bacillus Calmette-Guérin in intermediate- and high-risk Ta, T1 papillary carcinoma of the urinary bladder: One-third dose versus full dose and 1 year versus 3 years of maintenance. Eur. Urol. 2013, 63, 462–472. [Google Scholar] [CrossRef] [PubMed]
- Grimm, M.O.; van der Heijden, A.G.; Colombel, M.; Muilwijk, T.; Martínez-Piñeiro, L.; Babjuk, M.M.; Türkeri, L.N.; Palou, J.; Patel, A.; Bjartell, A.S.; et al. Treatment of High-grade Non-muscle-invasive Bladder Carcinoma by Standard Number and Dose of BCG Instillations Versus Reduced Number and Standard Dose of BCG Instillations: Results of the European Association of Urology Research Foundation Randomised Phase III Clinical Trial “NIMBUS”. Eur. Urol. 2020, 78, 690–698. [Google Scholar] [CrossRef] [PubMed]
- U.S. Food & Drug Administration. Available online: www.fda.gov (accessed on 16 May 2021).
- Cambier, S.; Sylvester, R.J.; Collette, L.; Gontero, P.; Brausi, M.A.; van Andel, G.; Kirkels, W.J.; Silva, F.C.; Oosterlinck, W.; Prescott, S.; et al. EORTC Nomograms and Risk Groups for Predicting Recurrence, Progression, and Disease-specific and Overall Survival in Non-Muscle-invasive Stage Ta-T1 Urothelial Bladder Cancer Patients Treated with 1-3 Years of Maintenance Bacillus Calmette-Guérin. Eur. Urol. 2016, 69, 60–69. [Google Scholar] [CrossRef] [PubMed]
- David, A.; Abufaraj, M.; Susani, M.; Ristl, R.; Foerster, B.; Kimura, S.; Mari, A.; Soria, F.; Briganti, A.; Karakiewicz, P.I.; et al. Accurate prediction of progression to muscle-invasive disease in patients with pT1G3 bladder cancer: A clinical decision-making tool. Urol. Oncol. 2018, 36, 239.e1–239.e7. [Google Scholar] [CrossRef]
- Lenis, A.T.; Asanad, K.; Blaibel, M.; Donin, N.M.; Chamie, K. Association between Metabolic Syndrome and Recurrence of Nonmuscle Invasive Bladder Cancer following bacillus Calmette-Guérin Treatment. Urol. Pract. 2018, 5, 132–138. [Google Scholar] [CrossRef] [PubMed] [Green Version]
- Christopoulos, P.F.; Msaouel, P.; Koutsilieris, M. The role of the insulin-like growth factor-1 system in breast cancer. Mol. Cancer 2015, 14, 43. [Google Scholar] [CrossRef] [Green Version]
- Chu, K.F.; Rotker, K.; Ellsworth, P. The impact of obesity on benign and malignant urologic conditions. Postgrad. Med. 2013, 125, 53–69. [Google Scholar] [CrossRef]
- Ferro, M.; Di Lorenzo, G.; Vartolomei, M.D.; Bruzzese, D.; Cantiello, F.; Lucarelli, G.; Musi, G.; Di Stasi, S.; Hurle, R.; Guazzoni, G.; et al. Absolute basophil count is associated with time to recurrence in patients with high-grade T1 bladder cancer receiving bacillus Calmette-Guérin after transurethral resection of the bladder tumor. World J. Urol. 2020, 38, 143–150. [Google Scholar] [CrossRef] [Green Version]
- Cantiello, F.; Russo, G.I.; Vartolomei, M.D.; Farhan, A.R.A.; Terracciano, D.; Musi, G.; Lucarelli, G.; Di Stasi, S.M.; Hurle, R.; Serretta, V.; et al. Systemic Inflammatory Markers and Oncologic Outcomes in Patients with High-risk Non-muscle-invasive Urothelial Bladder Cancer. Eur. Urol. Oncol. 2018, 1, 403–410. [Google Scholar] [CrossRef]
- Ferro, M.; Vartolomei, M.D.; Russo, G.I.; Cantiello, F.; Farhan, A.R.A.; Terracciano, D.; Cimmino, A.; Di Stasi, S.; Musi, G.; Hurle, R.; et al. An increased body mass index is associated with a worse prognosis in patients administered BCG immunotherapy for T1 bladder cancer. World J. Urol. 2019, 37, 507–514. [Google Scholar] [CrossRef]
- Ferro, M.; Katalin, M.O.; Buonerba, C.; Marian, R.; Cantiello, F.; Musi, G.; Di Stasi, S.; Hurle, R.; Guazzoni, G.; Busetto, G.M.; et al. Type 2 diabetes mellitus predicts worse outcomes in patients with high-grade T1 bladder cancer receiving bacillus Calmette-Guérin after transurethral resection of the bladder tumor. Urol. Oncol. 2020, 38, 459–464. [Google Scholar] [CrossRef] [PubMed]
- Prout, G.R.; Marshall, V.F. The prognosis with untreated bladder tumors. Cancer 1956, 9, 551–558. [Google Scholar] [CrossRef]
- Gschwend, J.E.; Heck, M.M.; Lehmann, J.; Rübben, H.; Albers, P.; Wolff, J.M.; Frohneberg, D.; de Geeter, P.; Heidenreich, A.; Kälble, T.; et al. Extended Versus Limited Lymph Node Dissection in Bladder Cancer Patients Undergoing Radical Cystectomy: Survival Results from a Prospective, Randomized Trial. Eur. Urol. 2019, 75, 604–611. [Google Scholar] [CrossRef]
- Advanced Bladder Cancer Meta-analysis Collaboration. Neo-adjuvant chemotherapy for invasive bladder cancer. Cochrane Database Syst. Rev. 2005. [Google Scholar] [CrossRef] [Green Version]
- Ho, P.L.; Willis, D.L.; Patil, J.; Xiao, L.; Williams, S.B.; Melquist, J.J.; Tart, K.; Parikh, S.; Shah, J.B.; Delacroix, S.E.; et al. Outcome of patients with clinically node-positive bladder cancer undergoing consolidative surgery after preoperative chemotherapy: The, M.D. Anderson Cancer Center Experience. Urol. Oncol. 2016, 34, 59.e1–59.e8. [Google Scholar] [CrossRef] [PubMed]
- Plimack, E.R.; Dunbrack, R.L.; Brennan, T.A.; Andrake, M.D.; Zhou, Y.; Serebriiskii, I.G.; Slifker, M.; Alpaugh, K.; Dulaimi, E.; Palma, N.; et al. Defects in DNA Repair Genes Predict Response to Neoadjuvant Cisplatin-based Chemotherapy in Muscle-invasive Bladder Cancer. Eur. Urol. 2015, 68, 959–967. [Google Scholar] [CrossRef] [PubMed] [Green Version]
- Groenendijk, F.H.; de Jong, J.; Fransen van de Putte, E.E.; Michaut, M.; Schlicker, A.; Peters, D.; Velds, A.; Nieuwland, M.; van den Heuvel, M.M.; Kerkhoven, R.M.; et al. ERBB2 Mutations Characterize a Subgroup of Muscle-invasive Bladder Cancers with Excellent Response to Neoadjuvant Chemotherapy. Eur. Urol. 2016, 69, 384–388. [Google Scholar] [CrossRef]
- Kamoun, A.; de Reyniès, A.; Allory, Y.; Sjödahl, G.; Robertson, A.G.; Seiler, R.; Hoadley, K.A.; Groeneveld, C.S.; Al-Ahmadie, H.; Choi, W.; et al. A Consensus Molecular Classification of Muscle-invasive Bladder Cancer. Eur. Urol. 2020, 77, 420–433. [Google Scholar] [CrossRef]
- Seiler, R.; Ashab, H.A.D.; Erho, N.; van Rhijn, B.W.G.; Winters, B.; Douglas, J.; Van Kessel, K.E.; Fransen van de Putte, E.E.; Sommerlad, M.; Wang, N.Q.; et al. Impact of Molecular Subtypes in Muscle-invasive Bladder Cancer on Predicting Response and Survival after Neoadjuvant Chemotherapy. Eur. Urol. 2017, 72, 544–554. [Google Scholar] [CrossRef] [PubMed]
- Flaig, T.W.; Tangen, C.M.; Daneshmand, S.; Alva, A.; Lerner, S.P.; Lucia, M.S.; McConkey, D.J.; Theodorescu, D.; Goldkorn, A.; Milowsky, M.I.; et al. A Randomized Phase II Study of Coexpression Extrapolation (COXEN) with Neoadjuvant Chemotherapy for Bladder Cancer (SWOG S1314; NCT02177695). Clin. Cancer Res. 2021, 27, 2435–2441. [Google Scholar] [CrossRef]
- Kukreja, J.B.; Porten, S.; Golla, V.; Ho, P.L.; Noguera-Gonzalez, G.; Navai, N.; Kamat, A.M.; Dinney, C.P.N.; Shah, J.B. Absence of Tumor on Repeat Transurethral Resection of Bladder Tumor Does Not Predict Final Pathologic T0 Stage in Bladder Cancer Treated with Radical Cystectomy. Eur. Urol. Focus 2018, 4, 720–724. [Google Scholar] [CrossRef]
- Necchi, A.; Bandini, M.; Calareso, G.; Raggi, D.; Pederzoli, F.; Farè, E.; Colecchia, M.; Marandino, L.; Bianchi, M.; Gallina, A.; et al. Multiparametric Magnetic Resonance Imaging as a Noninvasive Assessment of Tumor Response to Neoadjuvant Pembrolizumab in Muscle-invasive Bladder Cancer: Preliminary Findings from the PURE-01 Study. Eur. Urol. 2020, 77, 636–643. [Google Scholar] [CrossRef] [PubMed]
- van Dijk, N.; Funt, S.A.; Blank, C.U.; Powles, T.; Rosenberg, J.E.; van der Heijden, M.S. The Cancer Immunogram as a Framework for Personalized Immunotherapy in Urothelial Cancer. Eur. Urol. 2019, 75, 435–444. [Google Scholar] [CrossRef] [PubMed]


| Drug | Condition | Phase | Status | Estimated Study Completion Date | Study Number |
|---|---|---|---|---|---|
| Pembrolizumab + BCG | Reccurent high risk or BCG-refractory NMIBC | 1 | Active, not recruiting | February 2022 | NCT02808143 |
| Durvalumab | BCG-refractory NMIBC | 2 | Recruiting | 31 December 2021 | NCT03759496 |
| INSTILADRIN (nadofaragene firadenovec) | BCG-unresponsive NMIBC | 3 | Active, not recruiting | 31 August 2022 | NCT02773849 |
| Durvalumab | BCG-refractory CIS | 2 | Active, not recruiting | 31 December 2021 | NCT02901548 |
| Atezolizumab | BCG-refractory NMIBC | 2 | Recruiting | 31 December 2021 | NCT02451423 |
| Camrelizumab | BCG-refractory NMIBC | 1, 2 | Not yet recruiting | October 2022 | NCT04706598 |
| Erdafitinib | NMIBC recurrence after bacillus Calmette- Guerin (BCG) | 2 | Recruiting | 20 June 2026 | NCT04172675 |
| Atezolizumab | BCG-unresponsive NMIBC | 2 | Active, not recruiting | 1 August 2021 | NCT02844816 |
| Gemcitabine and Pembrolizumab | BCG-unresponsive NMIBC | 2 | Recruiting | 31 March 2023 | NCT04164082 |
| Durvalumab monotherapy Durvalumab + BCG Durvalumab + EBRT | BCG-relapsing tumour | 1, 2 | Recruiting | 1 March 2023 | NCT03317158 |
| Drug | Type of Intervention | Condition | Phase | Status | Estimated Study Completion Date | Study Number |
|---|---|---|---|---|---|---|
| Atezolizumab | Neoadjuvant | MIBC in subjects appropriate for cystectomy and refusing or ineligible for neoadjuvant chemotherapy | 2 | Recruiting | 31 December 2021 | NCT02451423 |
| Bintrafusp alfa | Neoadjuvant | cT2-T4aN0-1M0 | 2 | Not yet recruiting | January 2025 | NCT04878250 |
| Gemcitabine, Avelumab and Carboplatin | Neoadjuvant | cT2-T4aN0M0 | 2 | Not yet recruiting | 30 April 2029 | NCT04871529 |
| Tislelizumab and Nab-Paclitaxel | Neoadjuvant | cT2-4aN1-3M0 | 2 | Recruiting | July 2024 | NCT04730219 |
| Retifanlimab or epacadostat or combination | Neoadjuvant | cT2-T3b, N0, M0 | 2 | Not yet recruiting | 30 June 2024 | NCT04586244 |
| Olaparib and Durvalumab or Durvalumab monotherapy | Neoadjuvant | cT2-T4aN0M0 or cT1-T4aN1M0, ineligibility for cisplatin chemotherapy | 2 | Not yet recruiting | December 2026 | NCT04579133 |
| Tislelizumab monotherapy or Tislelizumab + Gemcitabine and Cisplatin | Neoadjuvant | cT2-T4NxM1 and oligometastatic disease (solitary organ metastasis and ≤3 metastatic lesions and ≤5 cm metastasis diameter and no liver metastasis) | 2 | Recruiting | 1 December 2024 | NCT04570410 |
| Toripalimab and Gemcitabine | Neoadjuvant | Clinical stage II-IIIB, ineligibility for cisplatin chemotherapy | 2 | Recruiting | December 2023 | NCT04553939 |
| Gemcitabine and Cisplatin + Toripalimab | Neoadjuvant | cT2-4aN0M0 | 2 | Recruiting | 1 October 2022 | NCT04099589 |
| Dose dense MVAC with pegylated GCSF | Neoadjuvant | cT3-4a and N1-3 | 2 | Recruiting | 31 December 2021 | NCT04047693 |
| Durvalumab + GC or Durvalumab + Carboplatin Gemcitabine or Durvalumab + DD-MVAC | Neoadjuvant | variant urothelial carcinoma histologies cT2-T4aN0-N1M0 | 2 | Recruiting | 13 August 2022 | NCT03912818 |
| Abemaciclib | Neoadjuvant | cT2-T4, pure or mixed histology urothelial carcinoma, ineligibility for cisplatin chemotherapy | 1 | Recruiting | February 2024 | NCT03837821 |
| Atezolimumab | Neoadjuvant | MIBC | - | Not yet recruiting | 31 May 2022 | NCT03577132 |
| Durvalumab + ddMVAC or Durvalumab + Tremelimumab + ddMVAC | Neoadjuvant | MIBC | 1, 2 | Recruiting | September 2025 | NCT03549715 |
| Nivolumab + EBRT | Neoadjuvant | cT3/4 cN0/N+ M0 | 2 | Recruiting | August 2022 | NCT03529890 |
| Ipilimumab + Nivolumab | Neoadjuvant | cT3-4aN0M0 OR T1-4aN1-3M0 | 1 | Active, not recruiting | 1 September 2021 | NCT03387761 |
| Pembrolizumab | Adjuvant | pT2 and/or N+ | 3 | Recruiting | 1 June 2025 | NCT03244384 |
| Atezolizumab + GC | Neoadjuvant | cT2-4a;N0/X;M0 | 1, 2 | Active, not recruiting | December 2021 | NCT02989584 |
| Nivolumab or Nivolumab + Urelumab | Neoadjuvant | T2-T4N0-N2M0, subjects ineligible for or refusing cisplatin chemotherapy | 2 | Recruiting | March 2022 | NCT02845323 |
| Pembrolizumab | Neoadjuvant | T2-T4a N0 M0 | 2 | Recruiting | 27 December 2021 | NCT02736266 |
| Pembrolizumab + GC | Neoadjuvant | cT2-4aN0M0, ineligibility or eligibility for cisplatin chemotherapy | 1, 2 | Active, not recruiting | July 2024 | NCT02365766 |
Publisher’s Note: MDPI stays neutral with regard to jurisdictional claims in published maps and institutional affiliations. |
© 2021 by the authors. Licensee MDPI, Basel, Switzerland. This article is an open access article distributed under the terms and conditions of the Creative Commons Attribution (CC BY) license (https://creativecommons.org/licenses/by/4.0/).
Share and Cite
Dobruch, J.; Oszczudłowski, M. Bladder Cancer: Current Challenges and Future Directions. Medicina 2021, 57, 749. https://doi.org/10.3390/medicina57080749
Dobruch J, Oszczudłowski M. Bladder Cancer: Current Challenges and Future Directions. Medicina. 2021; 57(8):749. https://doi.org/10.3390/medicina57080749
Chicago/Turabian StyleDobruch, Jakub, and Maciej Oszczudłowski. 2021. "Bladder Cancer: Current Challenges and Future Directions" Medicina 57, no. 8: 749. https://doi.org/10.3390/medicina57080749
APA StyleDobruch, J., & Oszczudłowski, M. (2021). Bladder Cancer: Current Challenges and Future Directions. Medicina, 57(8), 749. https://doi.org/10.3390/medicina57080749
