Neutrophile-to-Lymphocyte Ratio as a Predictor of Mortality and Response to Treatment in Invasive Aspergillosis among Heart Transplant Recipients—Exploratory Study
Abstract
:1. Introduction
2. Materials and Methods
2.1. Patients
2.2. Study Approval
2.3. Statistical Analysis
3. Results
3.1. Demographical and Clinical Analysis
3.2. Immunosuppressive Treatment
3.3. Infective Aspergillosis Diagnosis and Treatment
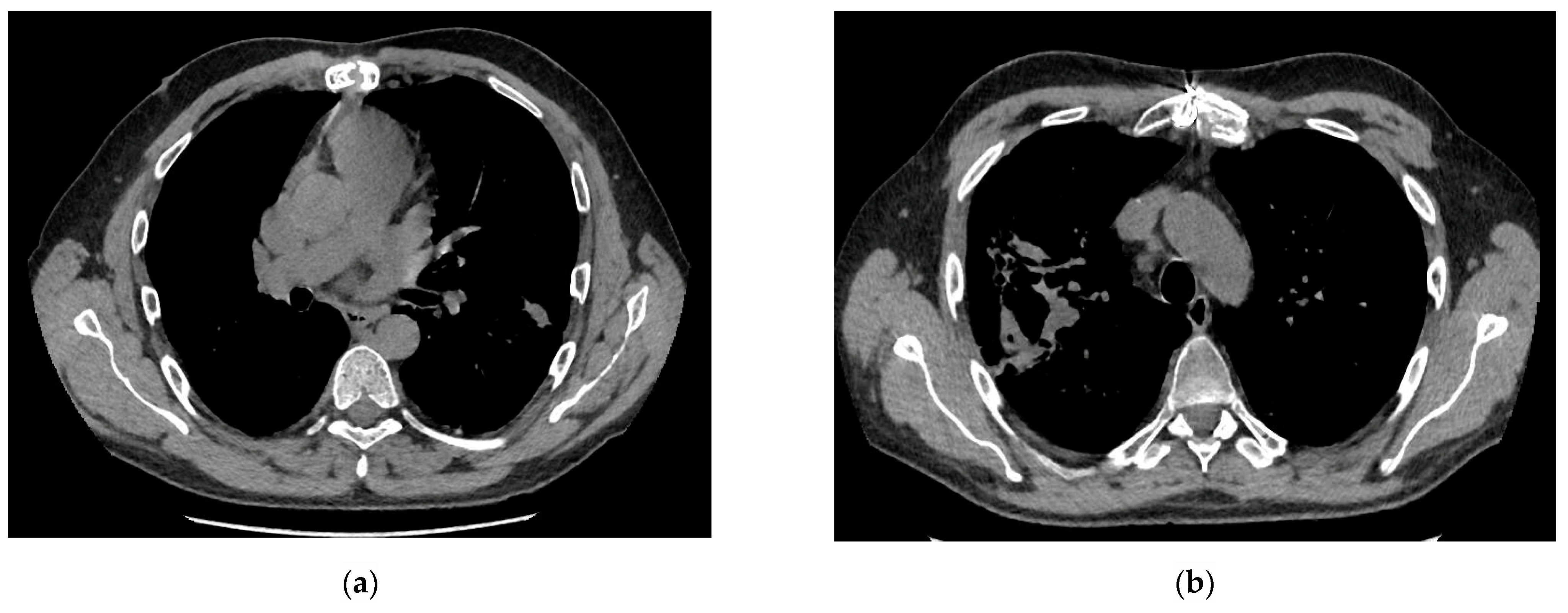
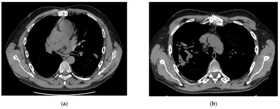
3.4. Laboratory Results, Clinical Symptoms and CT Scan Analysis
4. Discussion
Study Limitation
5. Conclusions
Author Contributions
Funding
Institutional Review Board Statement
Informed Consent Statement
Data Availability Statement
Conflicts of Interest
References
- Neofytos, D.; Treadway, S.; Ostrander, D.; Alonso, C.D.; Dierberg, K.L.; Nussenblatt, V.; Durand, C.M.; Thompson, C.B.; Marr, K.A. Epidemiology, outcomes, and mortality predictors of invasive mold infections among transplant recipients: A 10-year, single-center experience. Transpl. Infect. Dis. 2013, 15, 233–242. [Google Scholar] [CrossRef] [PubMed] [Green Version]
- Shakerian, B.; Razavi, N.; Mandegar, M.H. Fatal Case of Pulmonary Invasive Aspergillus after Heart Transplant with a Rapidly Progressive Course. Int. J. Organ Transplant. Med. 2018, 9, 140–143. [Google Scholar] [PubMed]
- Neofytos, D.; Garcia-Vidal, C.; Lamoth, F.; Lichtenstern, C.; Perrella, A.; Vehreschild, J.J. Invasive aspergillosis in solid organ transplant patients: Diagnosis, prophylaxis, treatment, and assessment of response. BMC Infect. Dis. 2021, 21, 296. [Google Scholar] [CrossRef] [PubMed]
- Husain, S.; Sole, A.; Alexander, B.D.; Aslam, S.; Avery, R.; Benden, C.; Billaud, E.M.; Chambers, D.; Danziger-Isakov, L.; Fedson, S.; et al. The 2015 International Society for Heart and Lung Transplantation Guidelines for the management of fungal infections in mechanical circulatory support and cardiothoracic organ transplant recipients: Executive summary. J. Heart Lung Transplant. 2016, 35, 261–282. [Google Scholar] [CrossRef] [Green Version]
- Ismael, M.N.; Forde, J.; Milla, E.; Khan, W.; Cabrera, R. Utility of Inflammatory Markers in Predicting Hepatocellular Carcinoma Survival after Liver Transplantation. Biomed Res. Int. 2019, 2019, 7284040. [Google Scholar] [CrossRef] [PubMed] [Green Version]
- Qiu, Y.; Su, Y.; Tu, G.W.; Ju, M.J.; He, H.Y.; Gu, Z.Y.; Yang, C.; Luo, Z. Neutrophil-to-Lymphocyte Ratio Predicts Mortality in Adult Renal Transplant Recipients with Severe Community-Acquired Pneumonia. Pathogens 2020, 9, 913. [Google Scholar] [CrossRef]
- De Pauw, B.; Walsh, T.J.; Donnelly, J.P.; Stevens, D.A.; Edwards, J.E.; Calandra, T.; Pappas, P.G.; Maertens, J.; Lortholary, O.; Kauffman, C.A.; et al. Revised definitions of invasive fungal disease from the European Organization for Research and Treatment of Cancer/Invasive Fungal Infections Cooperative Group and the National Institute of Allergy and Infectious Diseases Mycoses Study Group (EORTC/MSG) Consensus Group. Clin. Infect. Dis. 2008, 46, 1813–1821. [Google Scholar] [PubMed]
- Grebe, A.; Hoss, F.; Latz, E. NLRP3 Inflammasome and the IL-1 Pathway in Atherosclerosis. Circ. Res. 2018, 122, 1722–1740. [Google Scholar] [CrossRef] [PubMed]
- Hirahara, T.; Arigami, T.; Yanagita, S.; Matsushita, D.; Uchikado, Y.; Kita, Y.; Mori, S.; Sasaki, K.; Omoto, I.; Kurahara, H.; et al. Combined neutrophil-lymphocyte ratio and platelet-lymphocyte ratio predicts chemotherapy response and prognosis in patients with advanced gastric cancer. BMC Cancer 2019, 19, 672. [Google Scholar] [CrossRef]
- Lund, L.H.; Edwards, L.B.; Kucheryavaya, A.Y.; Dipchand, A.I.; Benden, C.; Christie, J.D.; Dobbels, F.; Kirk, R.; Rahmel, A.O.; Yusen, R.D.; et al. The Registry of the International Society for Heart and Lung Transplantation: Thirtieth Official Adult Heart Transplant Report—2013, Focus Theme: Age. J. Heart Lung Transplant. 2013, 32, 951–964. [Google Scholar] [CrossRef] [PubMed]
- Leeflang, M.M.; Debets-Ossenkopp, Y.J.; Wang, J.; Visser, C.E.; Scholten, R.J.; Hooft, L.; Bijlmer, H.A.; Reitsma, J.B.; Zhang, M.; Bossuyt, P.M.; et al. Galactomannan detection for invasive aspergillosis in immunocompromised patients. Cochrane Database Syst. Rev. 2015, 2015, CD007394. [Google Scholar] [CrossRef] [PubMed]
- Patterson, T.F.; Thompson, G.R., 3rd; Denning, D.W.; Fishman, J.A.; Hadley, S.; Herbrecht, R.; Kontoyiannis, D.P.; Marr, K.A.; Morrison, V.A.; Nguyen, M.H.; et al. Executive Summary: Practice Guidelines for the Diagnosis and Management of Aspergillosis: 2016 Update by the Infectious Diseases Society of America. Clin. Infect. Dis. 2016, 63, 433–442. [Google Scholar] [CrossRef] [PubMed] [Green Version]
- Luong, M.L.; Clancy, C.J.; Vadnerkar, A.; Kwak, E.J.; Silveira, F.P.; Wissel, M.C.; Grantham, K.J.; Shields, R.K.; Crespo, M.; Pilewski, J.; et al. Comparison of an aspergillus real-time polymerase chain reaction assay with galactomannan testing of bronchoalveolar lavage fluid for the diagnosis of invasive pulmonary aspergillosis in lung transplant recipients. Clin. Infect. Dis. 2011, 52, 1218–1226. [Google Scholar] [CrossRef] [PubMed] [Green Version]
- Gustafson, T.L.; Schaffner, W.; Lavely, G.B.; Stratton, C.W.; Johnson, H.K.; Hutcheson, R.H., Jr. Invasive aspergillosis in renal transplant recipients: Correlation with corticosteroid therapy. J. Infect. Dis. 1983, 148, 230–238. [Google Scholar] [CrossRef]
- Seropian, I.M.; Romeo, F.J.; Pizarro, R.; Vulcano, N.O.; Posatini, R.A.; Marenchino, R.G.; Berrocal, D.H.; Belziti, C.A. Neutrophil-to-lymphocyte ratio and platelet-to-lymphocyte ratio as predictors of survival after heart transplantation. ESC Heart Fail. 2018, 5, 149–156. [Google Scholar] [CrossRef]
- Yoon, M.; Oh, J.; Chun, K.H.; Lee, C.J.; Kang, S.M. Post-transplant absolute lymphocyte count predicts early cytomegalovirus infection after heart transplantation. Sci. Rep. 2021, 11, 1426–1434. [Google Scholar] [CrossRef]
- Li, W.; Feng, G.; Gauthier, J.M.; Lokshina, I.; Higashikubo, R.; Evans, S.; Liu, X.; Hassan, A.; Tanaka, S.; Cicka, M.; et al. Ferroptotic cell death and TLR4/Trif signaling initiate neutrophil recruitment after heart transplantation. J. Clin. Investig. 2019, 129, 2293–2304. [Google Scholar] [CrossRef] [Green Version]
- Burghi, G.; Lemiale, V.; Seguin, A.; Lambert, J.; Lacroix, C.; Canet, E.; Moreau, A.S.; Ribaud, P.; Schnell, D.; Mariotte, E.; et al. Outcomes of mechanically ventilated hematology patients with invasive pulmonary aspergillosis. Intensive Care Med. 2011, 37, 1605–1612. [Google Scholar] [CrossRef]
- Schauwvlieghe, A.F.A.D.; Rijnders, B.J.A.; Philips, N.; Verwijs, R.; Vanderbeke, L.; Van Tienen, C.; Lagrou, K.; Verweij, P.E.; Van de Veerdonk, F.L.; Gommers, D.; et al. Invasive aspergillosis in patients admitted to the intensive care unit with severe influenza: A retrospective cohort study. Lancet Respir. Med. 2018, 6, 782–792. [Google Scholar] [CrossRef]
- Pérez-Jacoiste Asín, M.A.; López-Medrano, F.; Fernández-Ruiz, M.; Silva, J.T.; San Juan, R.; Kontoyiannis, D.P.; Aguado, J.M. Risk factors for the development of invasive aspergillosis after kidney transplantation: Systematic review and meta-analysis. Am. J. Transplant. 2021, 21, 703–716. [Google Scholar] [CrossRef]
- Schroth, J.; Weber, V.; Jones, T.F.; Del Arroyo, A.G.; Henson, S.M.; Ackland, G.L. Preoperative lymphopaenia, mortality, and morbidity after elective surgery: Systematic review and meta-analysis. Br. J. Anaesth. 2021, 127, 32–40. [Google Scholar] [CrossRef] [PubMed]




| Group 1 Survival (n = 10) | Group 2 Deceased (n = 5) | p-Value | |
|---|---|---|---|
| Gender (M/F) | 9 (90%)/1 (10%) | 4 (80%)/1 (20%) | 0.591 |
| Age | 56 ± 5 | 54 ± 9.3 | 0.591 |
| Initial diagnosis (DCM/ICM) | 6 (60%)/4 (40%) | 3 (60%)/2 (40%) | 1.000 |
| Co-morbidities: | |||
| 1. Arterial hypertension | 4 (40%) | 2 (40%) | 0.895 |
| 2. Diabetes mellitus | 3 (30%) | 2 (40%) | 0.689 |
| 3. Kidney dysfunction | 5 (50%) | 2 (40%) | 0.867 |
| 4. Hipercholesterolemia | 4 (40%) | 2 (40%) | 0.919 |
| 5. Atrial fibrillation | 1 (10%) | 1 (20%) | 0.578 |
| 6. Stroke | 2 (20%) | 1 (20%) | 0.878 |
| 7. Chronic obstructive pulmonary disease | 2 (20%) | 1 (20%) | 0.578 |
| Aspergillosis: | |||
| Onset (days following HTX) | 79 ± 43 | 83 ± 75 | 0.896 |
| Symptoms: | |||
| Fever | 4 (40%) | 3 (60%) | 0.705 |
| Cough | 8 (80%) | 4 (80%) | 0.121 |
| No symptoms | 1 (10%) | 1 (20%) | 1.000 |
| Fatigue | 7 (70%) | 4 (80%) | 0.264 |
| Shortness of breath | 4 (40%) | 2 (40%) | 0.439 |
| Laboratory: | |||
| Serum galactomannan level | 5 ± 3.9 | 4.1 ± 3.8 | 0.678 |
| CT scan: | |||
| Segment involved | 3.5 [2–7] | 2 [2–7.25] | 0.960 |
| Left lobe | 1.5 [1–4] | 2 [1.5–2.25] | 0.736 |
| Right lobe | 2.5 [2–3] | 2 [0–4.5] | 0.904 |
| Findings: | |||
| Consolidations | 6 | 2 | 0.464 |
| Nodules | 4 | 6 | |
| Small | 1 | 1 | 0.7469 |
| Large | 3 | 5 | 0.747 |
| Parabronchial infiltrate | 1 | 1 | 0.591 |
| Crescent sign | 3 | 4 | 0.067 |
| Bronchoscopy: | 7 (70%) | 5 (100%) | |
| BAL galactomannan | 5.2 ± 2.1 | 5.3 ± 2.3 | 0.934 |
| Group 1 Survival (n = 10) | Group 2 Deceased (n = 5) | p-Value | |
|---|---|---|---|
| Hospitalization: | |||
| 1. Overall (days) | 21 (14–29) | 31 (6–77) | p = 0.056 |
| 2. ICU (days) | 2 (1–14) | 13 (9–25) | p = 0.008 * |
| 3. Mechanical ventilation (pts) | 3 (30%) | 5 (100%) | p = 0.044 * |
| - hospitalization day when mechanical support was required | 10 (8–12) | 11 (9–18) | p = 0.786 |
| - mechnical ventilation therapy (hrs) | 40 (24–240) | 308 (222–583) | p = 0.001 * |
| 4. Amin pressors requirements (pts) | 0 | 3 (60%) | |
| Concomitant bacterial infection: | 1 (10%) | 4 (80%) | p = 0.034 * |
| - onset of diagnosis regarding hospitalization (days) | 11 (9–12) | 11 (8–14) | p = 0.934 |
| - pathogen | Escherichia coli-1 | Escherichia coli-2 | |
| Proteus mirabilis-2 | |||
| - therapy | Meropenemum | Meropenemum |
| Group 1, No = 10 | Group 2, No = 5 | p-Value | |
|---|---|---|---|
| Before therapy | |||
| 1. WBC × 109/L | 7.77 ± 4.9 | 8.0 ± 5.1 | 0.919 |
| 2. Neutrophils × 109/L | 6.7 ± 3.9 | 7.2 ± 4.9 | 0.835 |
| 3. Lymphocytes × 109/L | 0.64 ± 0.3 | 0.3 ± 0.1 | 0.049 |
| 4. NLR | 3.6 [2.8–4.3] | 2.7 [2.5–11.7] | 0.178 |
| 5. RDW (%) | 17.2 ± 2 | 15.9 ± 0.3 | 0.141 |
| 6. Plt × 103/L | 249 ± 54 | 232 ± 142 | 0.807 |
| 7. PDW (fL) | 55.5 ± 5.1 | 63 ± 5.1 | 0.037 |
| After 3 days of therapy | |||
| 1. WBC × 109/L | 7.4 ± 4 | 10.7 ± 6.5 | 0.462 |
| 2. Neutrophils × 109/L | 6.3 ± 3.9 | 10 ± 6.4 | 0.391 |
| 3. Lymphocytes × 109/L | 0.65 ± 0.4 | 0.3 ± 0.14 | 0.014 * |
| 4. NLR | 10.8 [4.3–17.0] | 20.2 [17.4–116.8] | 0.037 * |
| 5. RDW (%) | 17.4 ± 2.1 | 16.1 ± 0.7 | 0.244 |
| 6. Plt × 103/L | 248 ± 77 | 220 ± 100 | 0.807 |
| 7. PDW (fL) | 58.2 ± 11 | 64.7 ± 5.8 | 0.327 |
| After 7 days of therapy | |||
| 1. WBC × 109/L | 6.1 ± 1.9 | 11.7 ± 7.8 | 0.111 |
| 2. Neutrophils × 109/L | 4.8 ± 1.5 | 11.05 ± 7.5 | 0.066 |
| 3. Lymphocytes × 109/L | 0.95 ± 0.6 | 0.36 ± 0.2 | 0.037 * |
| 4. NLR | 5.2 [3.2–8.1] | 32.2 [13.5–49.9] | 0.010 * |
| 5. RDW (%) | 17.2 ± 1.9 | 16.3 ± 0.7 | 0.387 |
| 6. Plt × 103/L | 243 ± 68 | 243 ± 140 | 0.807 |
| 7. PDW (fL) | 58 ± 12 | 63 ± 7 | 0.327 |
| Patients | NLR on Admission | Median Difference on Admission/3rd Day | NLR 3rd Day | Median Difference on Admission/7th day | NLR 7th Day |
|---|---|---|---|---|---|
| 1 | 31.6 | 126.2 | 157.8 | 14.3 | 45.9 |
| 2 | 6.1 | 14.2 | 20.3 | −1.2 | 4.9 |
| 3 | 8.1 | 4.6 | 12.7 | −2.6 | 5.5 |
| 4 | 21.1 | −4 | 17.1 | 9.3 | 30.4 |
| 5 | 12.8 | −9.6 | 3.2 | −10.1 | 2.7 |
| 6 | 38.8 | −26 | 12.8 | −26.7 | 12.1 |
| 7 | 30.8 | 72.4 | 103.2 | 31.3 | 62.1 |
| 8 | 5.4 | 6.5 | 11.9 | 26.8 | 32.2 |
| 9 | 4.2 | 0.1 | 4.3 | −0.8 | 3.4 |
| 10 | 6.6 | 0.5 | 7.1 | −3.3 | 3.3 |
| 11 | 11.8 | 8.4 | 20.2 | 3.7 | 15.5 |
| 12 | 4.8 | −1.8 | 3 | −2.4 | 2.4 |
| 13 | 6.7 | 2.2 | 8.9 | 1.5 | 8.2 |
| 14 | 18.9 | 0.5 | 19.4 | −12.1 | 6.8 |
| 15 | 49.3 | −30 | 19.3 | −41.7 | 7.6 |
Publisher’s Note: MDPI stays neutral with regard to jurisdictional claims in published maps and institutional affiliations. |
© 2021 by the authors. Licensee MDPI, Basel, Switzerland. This article is an open access article distributed under the terms and conditions of the Creative Commons Attribution (CC BY) license (https://creativecommons.org/licenses/by/4.0/).
Share and Cite
Urbanowicz, T.; Michalak, M.; Olasińska-Wiśniewska, A.; Perek, B.; Rodzki, M.; Wachowiak-Baszyńska, H.; Jemielity, M. Neutrophile-to-Lymphocyte Ratio as a Predictor of Mortality and Response to Treatment in Invasive Aspergillosis among Heart Transplant Recipients—Exploratory Study. Medicina 2021, 57, 1300. https://doi.org/10.3390/medicina57121300
Urbanowicz T, Michalak M, Olasińska-Wiśniewska A, Perek B, Rodzki M, Wachowiak-Baszyńska H, Jemielity M. Neutrophile-to-Lymphocyte Ratio as a Predictor of Mortality and Response to Treatment in Invasive Aspergillosis among Heart Transplant Recipients—Exploratory Study. Medicina. 2021; 57(12):1300. https://doi.org/10.3390/medicina57121300
Chicago/Turabian StyleUrbanowicz, Tomasz, Michał Michalak, Anna Olasińska-Wiśniewska, Bartłomiej Perek, Michał Rodzki, Hanna Wachowiak-Baszyńska, and Marek Jemielity. 2021. "Neutrophile-to-Lymphocyte Ratio as a Predictor of Mortality and Response to Treatment in Invasive Aspergillosis among Heart Transplant Recipients—Exploratory Study" Medicina 57, no. 12: 1300. https://doi.org/10.3390/medicina57121300
APA StyleUrbanowicz, T., Michalak, M., Olasińska-Wiśniewska, A., Perek, B., Rodzki, M., Wachowiak-Baszyńska, H., & Jemielity, M. (2021). Neutrophile-to-Lymphocyte Ratio as a Predictor of Mortality and Response to Treatment in Invasive Aspergillosis among Heart Transplant Recipients—Exploratory Study. Medicina, 57(12), 1300. https://doi.org/10.3390/medicina57121300

