Interventional Cardiovascular Magnetic Resonance Imaging (iCMR) in an Adolescent with Pulmonary Hypertension
Abstract
1. Introduction
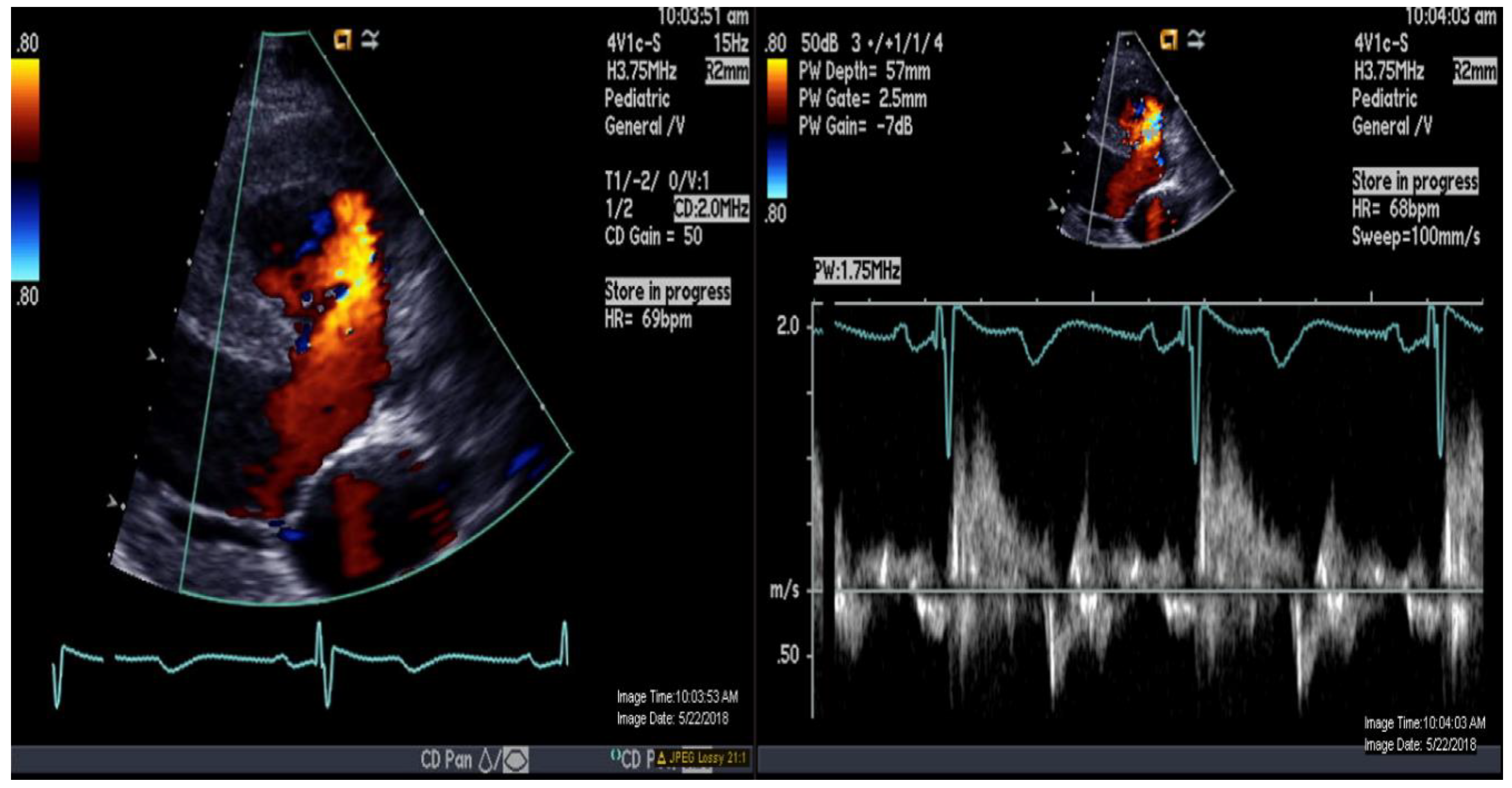
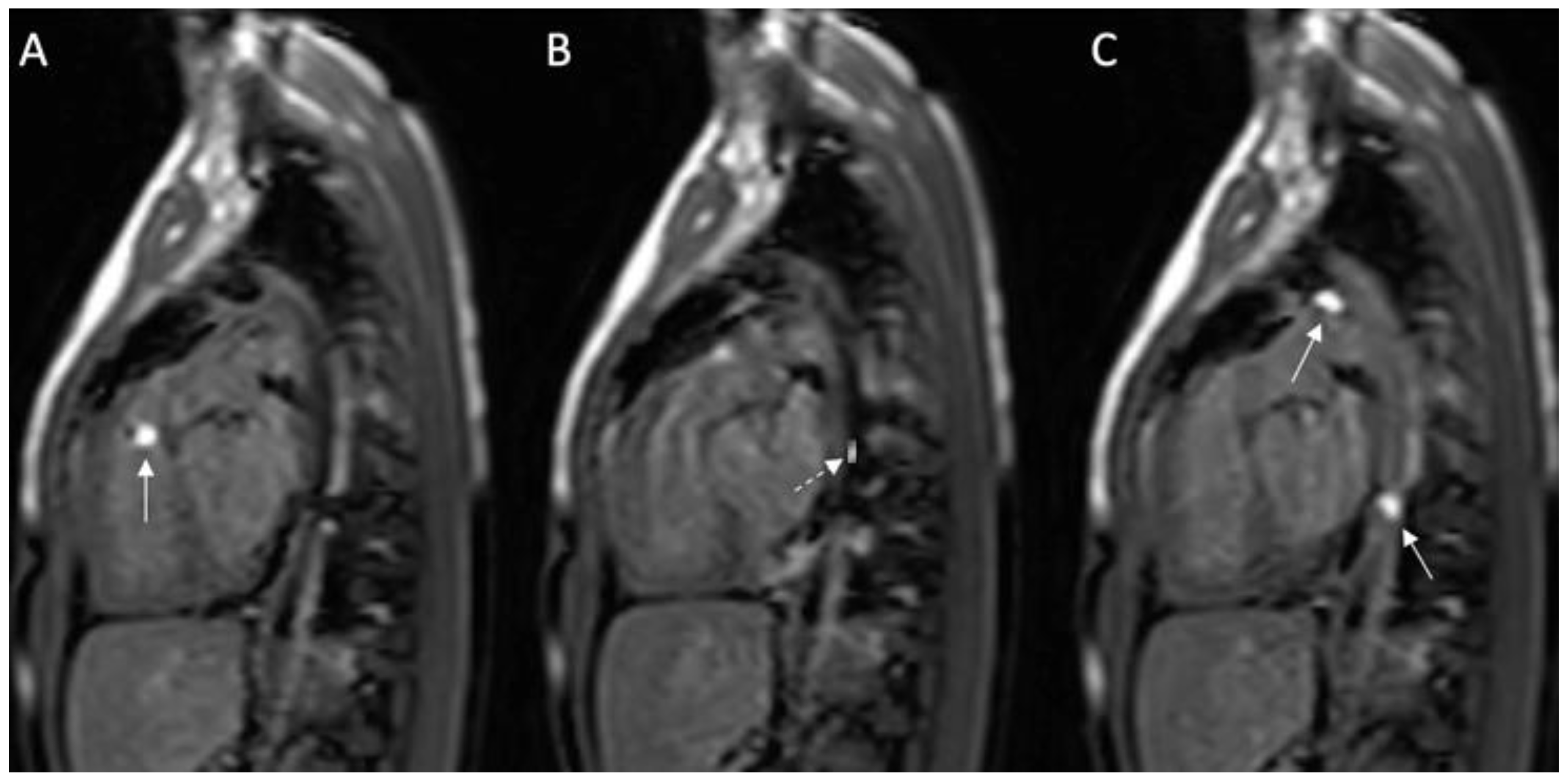
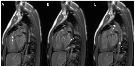
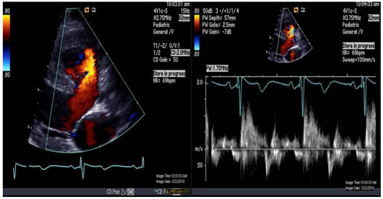
2. Case Report
3. Discussion
4. Conclusions
Author Contributions
Funding
Conflicts of Interest
References
- Ivy, D.; Abman, S.H.; Barst, R.J.; Berger, R.M.; Bonnet, D.; Fleming, T.R.; Haworth, S.G.; Raj, J.U.; Rosenzweig, E.B.; Neick, I.S.; et al. Pediatric Pulmonary Hypertension. J. Am. Coll. Cardiol. 2013, 62, D117–D126. [Google Scholar] [CrossRef] [PubMed]
- Konstam, M.A.; Kiernan, M.S.; Bernstein, D.; Bozkurt, B.; Jacob, M.; Kapur, N.K.; Kociol, R.D.; Lewis, E.F.; Mehra, M.R.; Pagani, F.D.; et al. American Heart Association Council on Clinical Cardiology; Council on Cardiovascular Disease in the Young; and Council on Cardiovascular Surgery and Anesthesia: Evaluation and management of right-sided heart failure: A scientific statement from the American Heart Association. Circulation 2018, 137, e578–e622. [Google Scholar] [PubMed]
- Hansmann, G.; Koestenberger, M.; Alastalo, T.-P.; Apitz, C.; Austin, E.D.; Bonnet, D.; Budts, W.; D’Alto, M.; Gatzoulis, M.A.; Hasan, B.S.; et al. 2019 updated consensus statement on the diagnosis and treatment of pediatric pulmonary hypertension: The European Pediatric Pulmonary Vascular Disease Network (EPPVDN), endorsed by AEPC, ESPR and ISHLT. J. Heart Lung Transpl. 2019, 38, 879–901. [Google Scholar] [CrossRef] [PubMed]
- Reddy, S.R.V.; Arar, Y.; Zahr, R.A.; Gooty, V.; Hernandez, J.; Potersnak, A.; Douglas, P.; Blair, Z.; Greer, J.S.; Roujol, S.; et al. Invasive cardiovascular magnetic resonance (iCMR) for diagnostic right and left heart catheterization using an MR-conditional guidewire and passive visualization in congenital heart disease. J. Cardiovasc. Magn. Reson. 2020, 22, 20. [Google Scholar] [CrossRef] [PubMed]
- Muthurangu, V.; Taylor, A.M.; Hegde, S.R.; Johnson, R.; Tulloh, R.; Simpson, J.M.; Qureshi, S.; Rosenthal, E.; Baker, E.; Anderson, D.; et al. Cardiac Magnetic Resonance Imaging After Stage I Norwood Operation for Hypoplastic Left Heart Syndrome. Circulation 2005, 112, 3256–3263. [Google Scholar] [CrossRef] [PubMed]
- Pushparajah, K.; Tzifa, A.; Bell, A.; Wong, J.K.; Hussain, T.; Perez, I.V.; Bellsham-Revell, H.R.; Greil, G.; Simpson, J.M.; Schaeffter, T.; et al. Cardiovascular Magnetic Resonance catheterization derived pulmonary vascular resistance and medium-term outcomes in congenital heart disease. J. Cardiovasc. Magn. Reson. 2015, 17, 1–9. [Google Scholar] [CrossRef] [PubMed]
- Moledina, S.; Pandya, B.; Bartsota, M.; Mortensen, K.H.; McMillan, M.; Quyam, S.; Taylor, A.M.; Haworth, S.G.; Schulze-Neick, I.; Muthurangu, V. Prognostic Significance of Cardiac Magnetic Resonance Imaging in Children With Pulmonary Hypertension. Circ. Cardiovasc. Imaging 2013, 6, 407–414. [Google Scholar] [CrossRef] [PubMed]
- Knight, D.S.; Kotecha, T.; Martinez-Naharro, A.; Brown, J.T.; Bertelli, M.; Fontana, M.; Muthurangu, V.; Coghlan, J.G. Cardiovascular magnetic resonance-guided right heart catheterization in a conventional CMR environment—Predictors of procedure success and duration in pulmonary artery hypertension. J. Cardiovasc. Magn. Reson. 2019, 21, 1–11. [Google Scholar] [CrossRef] [PubMed]
- Fratz, S.; Chung, T.; Greil, G.F.; Samyn, M.M.; Taylor, A.; Buechel, E.R.V.; Yoo, S.-J.; Powell, A.J. Guidelines and protocols for cardiovascular magnetic resonance in children and adults with congenital heart disease: SCMR expert consensus group on congenital heart disease. J. Cardiovasc. Magn. Reson. 2013, 15, 51. [Google Scholar] [CrossRef] [PubMed]
- Odille, F.; Steeden, J.A.; Muthurangu, V.; Atkinson, D. Automatic segmentation propagation of the aorta in real-time phase-contrast MRI using non-rigid registration. J. Magn. Reason. Imaging 2011, 33, 232–238. [Google Scholar] [CrossRef] [PubMed]
- Kramer, C.M.; Barkhausen, J.; Bucciarelli-Ducci, C.; Flamm, S.D.; Kim, R.J.; Nagel, E. Standardized cardiovascular magnetic resonance imaging (CMR) protocols: 2020 update. J. Cardiovasc. Magn. Reson. 2020, 22, 1–18. [Google Scholar] [CrossRef] [PubMed]
- Tzifa, A.; Schaeffter, T.; Razavi, R. MR Imaging-Guided Cardiovascular Interventions in Young Children. Magn. Reson. Imaging Clin. North Am. 2012, 20, 117–128. [Google Scholar] [CrossRef] [PubMed]
- Nageotte, S.J.; Lederman, R.J.; Ratnayaka, K. MRI Catheterization: Ready for Broad Adoption. Pediatr. Cardiol. 2020, 41, 503–513. [Google Scholar] [CrossRef] [PubMed]
- Ratnayaka, K.; Kanter, J.P.; Faranesh, A.Z.; Grant, E.K.; Olivieri, L.J.; Cross, R.R.; Cronin, I.F.; Hamann, K.S.; Campbell-Washburn, A.E.; O’Brien, K.J.; et al. Radiation-free CMR diagnostic heart catheterization in children. J. Cardiovasc. Magn. Reson. 2017, 19, 1–10. [Google Scholar] [CrossRef] [PubMed]
- Johnson, J.N.; Hornik, C.P.; Li, J.S.; Benjamin, D.K.; Yoshizumi, T.T.; Reiman, R.E.; Frush, D.P.; Hill, K.D. Cumulative Radiation Exposure and Cancer Risk Estimation in Children With Heart Disease. Circulation 2014, 130, 161–167. [Google Scholar] [CrossRef] [PubMed]
- Deutsch, N.; Swink, J.; Matisoff, A.J.; Olivieri, L.J.; Cross, R.R.; Waberski, A.T.; Unegbu, C.; Cronin, I.F.; Kanter, J.P.; Schwartz, J.M. Anesthetic considerations for magnetic resonance imaging-guided right-heart catheterization in pediatric patients: A single institution experience. Pediatr. Anesth. 2019, 29, 8–15. [Google Scholar] [CrossRef]





| Baseline (Room Air) | 100% O2 + 40 ppm NO | |
|---|---|---|
| RAP mm Hg (mean) | 10/11 (9) | 14/12 (11) |
| PAWP mm Hg (mean) | 10/11 (10) | 14/14 (13) |
| PAP mm Hg (mean) | 79/43 (57) | 90/46 (66) |
| AoP mm Hg (mean) | 78/43 (59) | 97/46 (65) |
| PA saturation % | 84 | 97 |
| CI L/min/m2 | 2.7 | 2.8 |
| Qp L/min/m2 | 4.5 | 5.6 |
| PVRi Wood U m2 | 10.4 | 9.4 |
| Baseline (Room Air) | 100% O2 + 40 ppm NO | |
|---|---|---|
| VSD Flow L/min/m2 | 1.8 | 2.5 |
| PDA Flow L/min/m2 | 1.1 | 1.6 |
| Qp L/min/m2 | 5.4 | 7.8 |
| PVRi Woods U m2 | 8.7 | 6.8 |
Publisher’s Note: MDPI stays neutral with regard to jurisdictional claims in published maps and institutional affiliations. |
© 2020 by the authors. Licensee MDPI, Basel, Switzerland. This article is an open access article distributed under the terms and conditions of the Creative Commons Attribution (CC BY) license (http://creativecommons.org/licenses/by/4.0/).
Share and Cite
Reddy, S.R.V.; Arar, Y.; Hussain, T.; Greil, G.; Zabala, L.; Das, B.B. Interventional Cardiovascular Magnetic Resonance Imaging (iCMR) in an Adolescent with Pulmonary Hypertension. Medicina 2020, 56, 636. https://doi.org/10.3390/medicina56120636
Reddy SRV, Arar Y, Hussain T, Greil G, Zabala L, Das BB. Interventional Cardiovascular Magnetic Resonance Imaging (iCMR) in an Adolescent with Pulmonary Hypertension. Medicina. 2020; 56(12):636. https://doi.org/10.3390/medicina56120636
Chicago/Turabian StyleReddy, Surendranath R. Veeram, Yousef Arar, Tarique Hussain, Gerald Greil, Luis Zabala, and Bibhuti B. Das. 2020. "Interventional Cardiovascular Magnetic Resonance Imaging (iCMR) in an Adolescent with Pulmonary Hypertension" Medicina 56, no. 12: 636. https://doi.org/10.3390/medicina56120636
APA StyleReddy, S. R. V., Arar, Y., Hussain, T., Greil, G., Zabala, L., & Das, B. B. (2020). Interventional Cardiovascular Magnetic Resonance Imaging (iCMR) in an Adolescent with Pulmonary Hypertension. Medicina, 56(12), 636. https://doi.org/10.3390/medicina56120636

