Diabetic Ketoacidosis Associated with Thyroxine (T4) Toxicosis and Thyrotoxic Cardiomyopathy
Abstract
1. Introduction
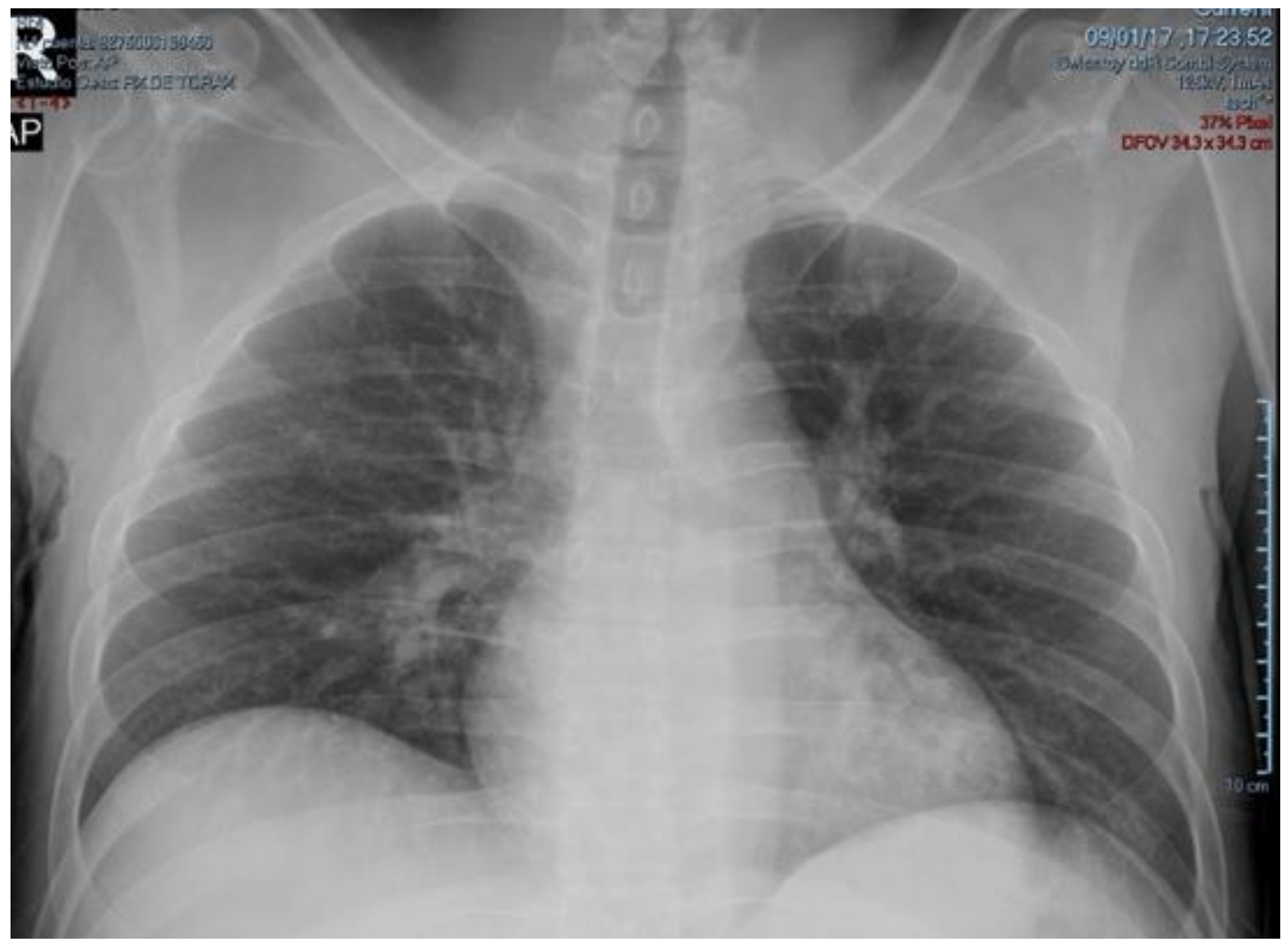
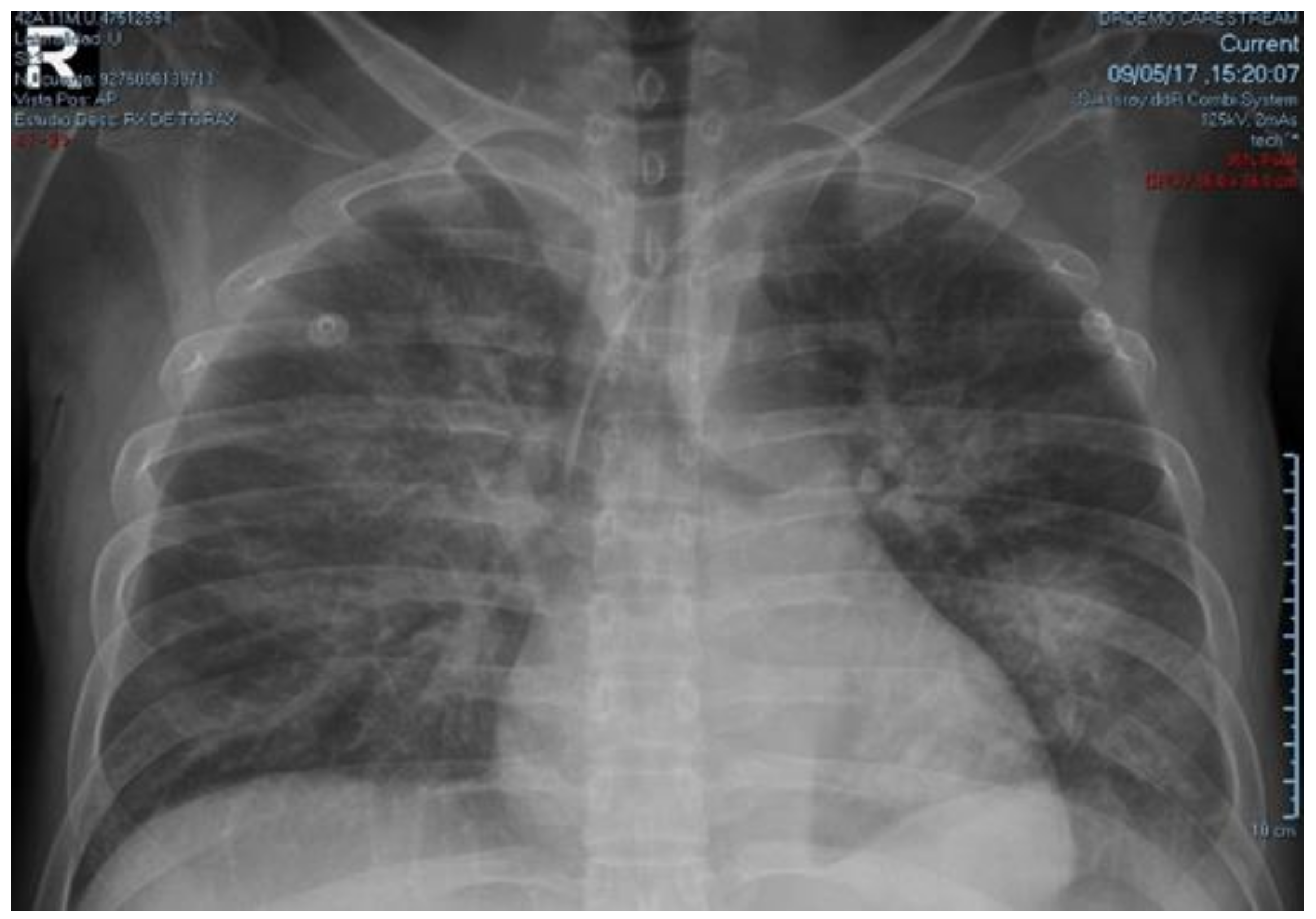
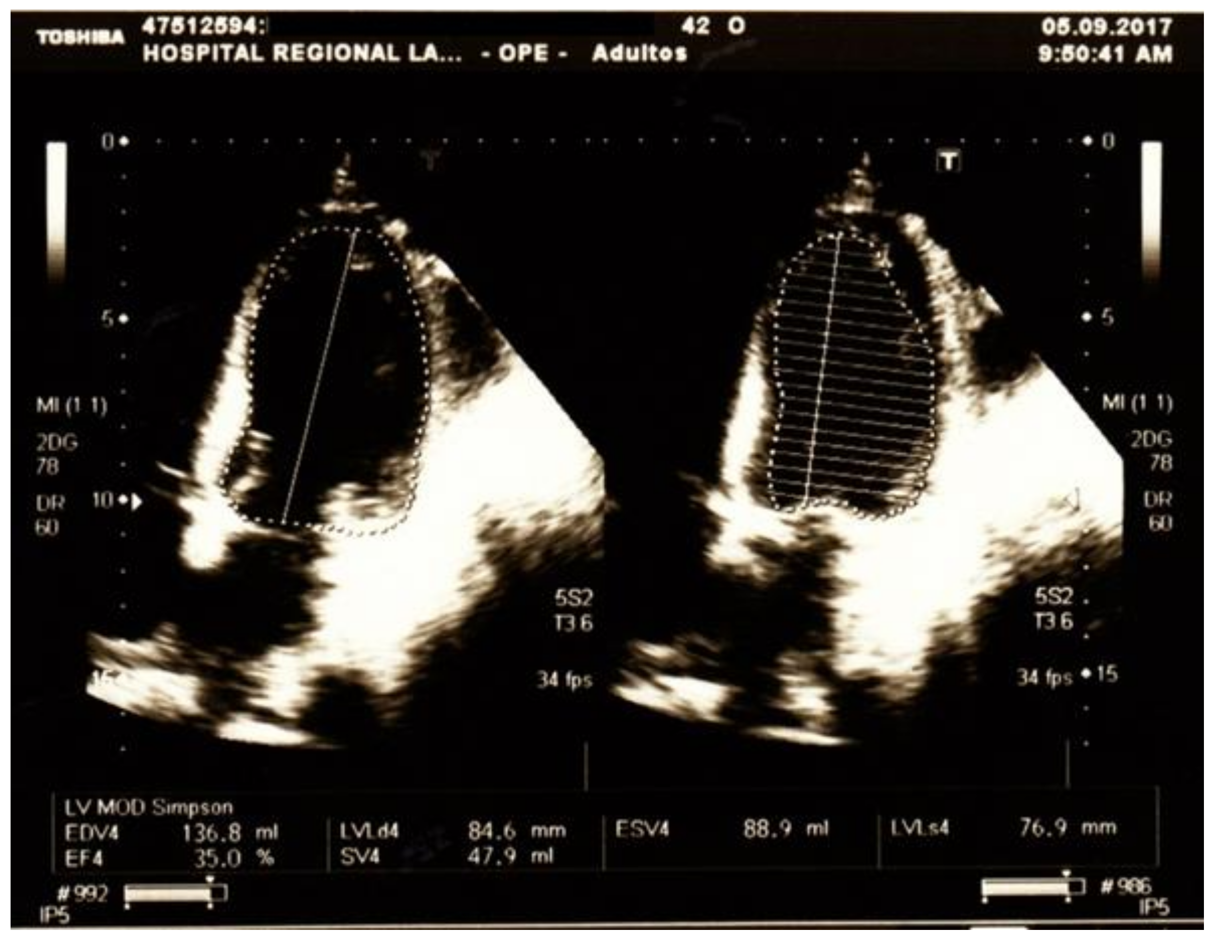
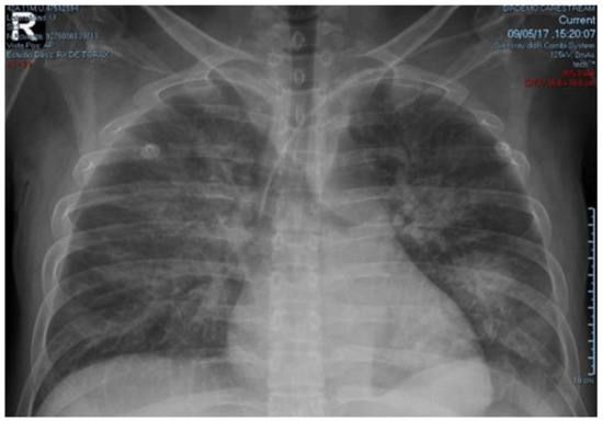
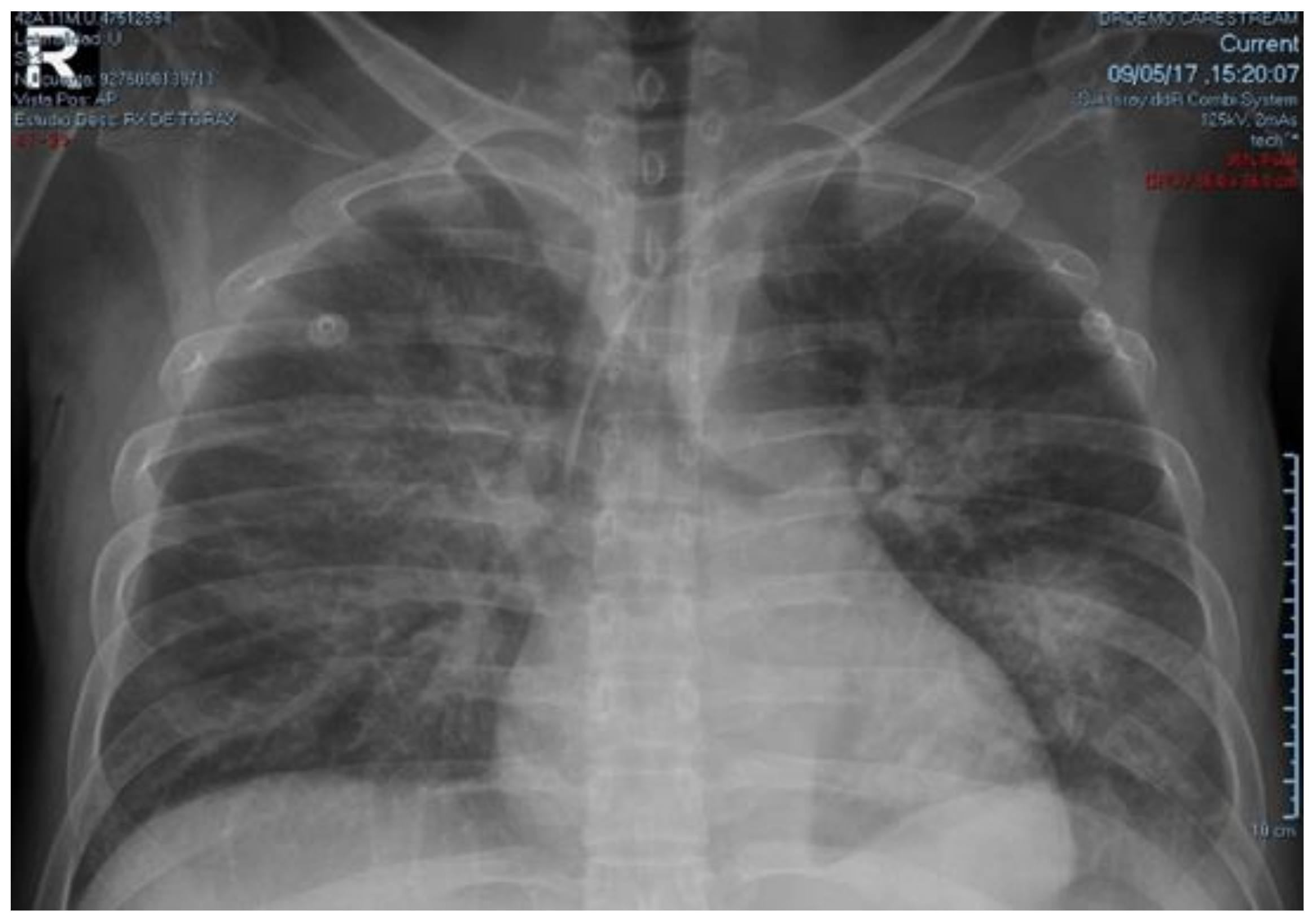
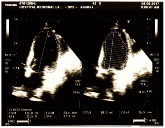
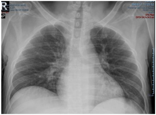
2. Case Presentation
Consent for Publication
3. Discussion
4. Conclusions
Author Contributions
Funding
Conflicts of Interest
References
- Cheng, E.-T.; Chen, T.-P.; Lin, C.-I.; Chen, R.-F. Concurrent Presentation of Diabetic Ketoacidosis and Thyrotoxicosis in a Diabetic Patient. Resusc. Intensive Care Med. 2017, 2, 95–98. [Google Scholar]
- Ikeoka, T.; Otsuka, H.; Fujita, N.; Masuda, Y.; Maeda, S.; Horie, I.; Ando, T.; Abiru, N.; Kawakami, A. Thyroid Storm Precipitated by Diabetic Ketoacidosis and Influenza A: A Case Report and Literature Review. Intern. Med. 2017, 56, 181–185. [Google Scholar] [CrossRef] [PubMed]
- Bhattacharyya, A.; Wiles, P.G. Diabetic ketoacidosis precipitated by thyrotoxicosis. Postgrad. Med. J. 1999, 75, 291–292. [Google Scholar] [CrossRef] [PubMed]
- Lee, H.L.; Yu, E.; Guo, H.R. Simultaneous presentation of thyroid storm and diabetic ketoacidosis. Am. J. Emerg. Med. 2001, 19, 603–604. [Google Scholar] [CrossRef] [PubMed]
- Yeo, K.F.; Yang, Y.S.; Chen, K.S.; Peng, C.H.; Huang, C.N. Simultaneous presentation of thyrotoxicosis and diabetic ketoacidosis resulted in sudden cardiac arrest. Endocr. J. 2007, 54, 991–993. [Google Scholar] [CrossRef] [PubMed]
- Solá, E.; Morillas, C.; Garzón, S.; Gómez-Balaguer, M.; Hernández-Mijares, A. Association between diabetic ketoacidosis and thyrotoxicosis. Acta Diabetol. 2002, 39, 235–237. [Google Scholar] [CrossRef] [PubMed]
- Monteiro, A.M.; Matta-Coelho, C.; Fernandes, V.; Marques, O. Type 2 Diabetes Decompensation as the Clinical Presentation of Thyroid Storm—Cause or Consequence? Eur. Endocrinol. 2017, 13, 99–101. [Google Scholar] [CrossRef] [PubMed]
- Maneiro, M.; Sánchez, N.; Orozco, L.; Moreno, A.R. Tormenta Tiroidea Asociada a Cetoacidosis Diabética. Caso Clín. Rev Venez Endocrinol. Metabol. 2004, 2, 10–13. [Google Scholar]
- Kunishige, M.; Sekimoto, E.; Komatsu, M.; Bando, Y.; Uehara, H.; Izumi, K. Thyrotoxicosis masked by diabetic ketoacidosis: A fatal complication. Diabetes Care 2001, 24, 171. [Google Scholar] [CrossRef] [PubMed]
- Akamizu, T.; Satoh, T.; Isozaki, O.; Suzuki, A.; Wakino, S.; Iburi, T.; Tsuboi, K.; Monden, T.; Kouki, T.; Otani, H.; et al. Diagnostic criteria, clinical features, and incidence of thyroid storm based on nationwide surveys. Thyroid 2012, 22, 661–679. [Google Scholar] [CrossRef] [PubMed]
- Swee du, S.; Chng, C.L.; Lim, A. Clinical characteristics and outcome of thyroid storm: A case series and review of neuropsychiatric derangements in thyrotoxicosis. Endocr. Pract. 2015, 21, 182–189. [Google Scholar] [CrossRef] [PubMed]
- Akamizu, T. Thyroid Storm: A Japanese Perspective. Thyroid 2018, 28, 32–40. [Google Scholar] [CrossRef] [PubMed]
- Idrose, A.M. Acute and emergency care for thyrotoxicosis and thyroid storm. Acute Med. Surg. 2015, 2, 147–157. [Google Scholar] [CrossRef] [PubMed]
- Caplan, R.H.; Pagliara, A.S.; Wickus, G. Thyroxine toxicosis: A common variant of hyperthyroidism. JAMA 1980, 244, 1934–1938. [Google Scholar] [CrossRef] [PubMed]
- Satoh, T.; Isozaki, O.; Suzuki, A.; Wakino, S.; Iburi, T.; Tsuboi, K.; Kanamoto, N.; Otani, H.; Furukawa, Y.; Teramukai, S.; et al. 2016 Guidelines for the management of thyroid storm from The Japan Thyroid Association and Japan Endocrine Society (First edition). Endocr. J. 2016, 63, 1025–1064. [Google Scholar] [CrossRef] [PubMed]
- Eliades, M.; El-Maouche, D.; Choudhary, C.; Zinsmeister, B.; Burman, K.D. Takotsubo cardiomyopathy associated with thyrotoxicosis: A case report and review of the literature. Thyroid 2014, 24, 383–389. [Google Scholar] [CrossRef] [PubMed]
- Chockalingam, A. Stress cardiomyopathy of the critically ill: Spectrum of secondary, global, probable and subclinical forms. Indian Heart J. 2018, 70, 177–184. [Google Scholar] [CrossRef] [PubMed]
- Wu, W.T.; Hsu, P.C.; Huang, H.L.; Chen, Y.C.; Chien, S.C. A Case of Takotsubo Cardiomyopathy Precipitated by Thyroid Storm and Diabetic Ketoacidosis with Poor Prognosis. Acta Cardiol. Sin. 2014, 30, 574–577. [Google Scholar] [CrossRef] [PubMed]
- Win, C.M.; Pathak, A.; Guglin, M. Not takotsubo: A different form of stress-induced cardiomyopathy—A case series. Congest. Heart Fail. 2011, 17, 38–41. [Google Scholar] [CrossRef] [PubMed]
- Al-Ghamdi, A.S.; Aljohani, N. Graves’ Thyrotoxicosis-Induced Reversible Cardiomyopathy: A Case Report. Clin. Med. Insights Case Rep. 2013, 6, 47–50. [Google Scholar] [CrossRef]
- Dahl, P.; Danzi, S.; Klein, I. Thyrotoxic cardiac disease. Curr. Heart Fail. Rep. 2008, 5, 170. [Google Scholar] [CrossRef] [PubMed]



| Reference Values (RV) | 1 September 2017; 14:15 | 2 September 2017; 00:15 | 3 September 2017; 03:15 | 3 September 2017; 22:30 | |
|---|---|---|---|---|---|
| pH | 7.35–7.45 | 6.99 | 6.99 | 7.42 | 7.49 |
| pO2 | 75–100 mmHg | 160 | 116 | 52 | 55 |
| PCO2 | 35–45 mmHg | 12.5 | 16.2 | 21.8 | 22.0 |
| HCO3 | 21–28 mmol/L | 3.0 | 3.0 | 11.0 | 19.0 |
| Na+ | 135–145 mmol/L | 133 | 142 | 140 | 141 |
| K+ | 3.5–5 mmol/L | 3 | 3.1 | 3.3 | 2.6 |
| Cl− | 102–109 mmol/L | 106 | 120 | 119 | 114 |
| Ca2+ | 2.2–2.6 mmol/L | 1.3 | 1.28 | 1.29 | 1.21 |
| GAP | 10 ± 2 mmol/L | 24 | 19 | 12.1 | 8.0 |
| Base deficit | −2–+2 | −28.3 | −27.6 | −10.0 | −6.0 |
© 2018 by the authors. Licensee MDPI, Basel, Switzerland. This article is an open access article distributed under the terms and conditions of the Creative Commons Attribution (CC BY) license (http://creativecommons.org/licenses/by/4.0/).
Share and Cite
Meregildo Rodriguez, E.D.; Gordillo Velásquez, L.I.; Alvarado Moreno, J.G. Diabetic Ketoacidosis Associated with Thyroxine (T4) Toxicosis and Thyrotoxic Cardiomyopathy. Medicina 2018, 54, 93. https://doi.org/10.3390/medicina54060093
Meregildo Rodriguez ED, Gordillo Velásquez LI, Alvarado Moreno JG. Diabetic Ketoacidosis Associated with Thyroxine (T4) Toxicosis and Thyrotoxic Cardiomyopathy. Medicina. 2018; 54(6):93. https://doi.org/10.3390/medicina54060093
Chicago/Turabian StyleMeregildo Rodriguez, Edinson Dante, Luis Iván Gordillo Velásquez, and José Gustavo Alvarado Moreno. 2018. "Diabetic Ketoacidosis Associated with Thyroxine (T4) Toxicosis and Thyrotoxic Cardiomyopathy" Medicina 54, no. 6: 93. https://doi.org/10.3390/medicina54060093
APA StyleMeregildo Rodriguez, E. D., Gordillo Velásquez, L. I., & Alvarado Moreno, J. G. (2018). Diabetic Ketoacidosis Associated with Thyroxine (T4) Toxicosis and Thyrotoxic Cardiomyopathy. Medicina, 54(6), 93. https://doi.org/10.3390/medicina54060093

