Comparison of the Different Treatment Strategies for Patients with Rectus Sheath Haematoma
Abstract
:1. Introduction
2. Material and Methods
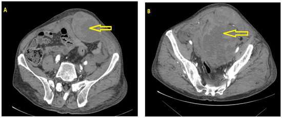
3. Results
4. Discussion
5. Conclusions
Author Contributions
Funding
Acknowledgments
Conflicts of Interest
References
- Hatjipetrou, A.; Anyfantakis, D.; Kastanakis, M. Rectus sheath hematoma: A review of the literature. Int. J. Surg. 2015, 13, 267–271. [Google Scholar] [CrossRef] [PubMed]
- Kayrak, M.; Bacaks Yazici, M. Is enoxaparin injection from the abdominal wall safe in elderly people? Can. Fam. Phys. 2008, 54, 1246–1248. [Google Scholar]
- Osinbowale, O.; Bartholomew, J.R. Rectus sheath hematoma. Vasc. Med. 2008, 13, 275–279. [Google Scholar] [CrossRef] [PubMed]
- Berna, J.D.; Garcia-Medina, V.; Guirao, J.; Garcia-Medina, J. Rectus sheath hematoma: Diagnostic classification by CT. Abdom. Imaging 1996, 21, 62–64. [Google Scholar] [CrossRef] [PubMed]
- Smithson, A.; Ruiz, J.; Perello, R.; Valverde, M.; Ramos, J.; Garzo, L. Diagnostic and management of spontaneous rectus sheath hematoma. Eur. J. Intern. Med. 2013, 24, 579–582. [Google Scholar] [CrossRef] [PubMed]
- Dohan, A.; Sapoval, M.; Chousterman, B.G.; di Primio, M.; Guerot, E.; Pellerin, O. Spontaneous soft-tissue hemorrhage in anticoagulated patients: Safety and efficacy of embolization. Am. J. Roentgenol. 2015, 204, 1303–1310. [Google Scholar] [CrossRef] [PubMed]
- Rimola, J.; Perendreu, J.; Falco, J.; Fortuno, J.R.; Massuet, A.; Branera, J. Percutaneous arterial embolization in the management of rectus sheath hematoma. Am. J. Roentgenol. 2007, 188, w497–w502. [Google Scholar] [CrossRef] [PubMed]
- Klingler, P.J.; Wetscher, G.; Glaser, K.; Tschmelitsch, J.; Schmid, T.; Hinder, R.A. The use of ultrasound to differentiate rectus sheath hematoma from other acute abdominal disorders. Surg. Endosc. 1999, 13, 1129–1134. [Google Scholar] [CrossRef] [PubMed]
- Villa, M.; Grande, M.; Rulli, F.; Konda, D.; Perretta, T.; Amabile, D.; Montuori, M.; Giurioli, C.; Simonetti, G.; Tucci, G. Rectus sheath haematoma: Are there prognostic risk factors of haemodynamic instability motivating an early operative treatment? Eur. J. Trauma Emerg. Surg. 2012, 38, 537–541. [Google Scholar] [CrossRef] [PubMed]
- Gans, S.L.; Pols, M.A.; Stoker, J.; Boermeester, M.A. expert steering group. Guideline for the diagnostic pathway in patients with acute abdominal pain. Dig. Surg. 2015, 32, 23–31. [Google Scholar] [CrossRef] [PubMed]
- Cherry, W.B.; Mueller, P.S. Rectus sheath hematoma: Review of 126 cases at a single institution. Medicine 2006, 85, 105–110. [Google Scholar] [CrossRef] [PubMed]
- McBeth, P.B.; Dunham, M.; Ball, C.G.; Kirkpatrick, A.W. Correct the coagulopathy and scoop it out: Complete reversal of anuric renal failure through the operative decompression of extraperitoneal hematoma-induced abdominal compartment syndrome. Case Rep. Med. 2012, 2012, 946103. [Google Scholar] [CrossRef] [PubMed]
- Buffone, A.; Basile, G.; Costanzo, M.; Veroux, M.; Terranova, L.; Basile, A.; Okatyeva, V.; Cannizzaro, M.T. Management of patients with rectus sheath hematoma: Personal experience. J. Formos. Med. Assoc. 2015, 114, 647–651. [Google Scholar] [CrossRef] [PubMed]
- Anyfantakis, D.; Kastanakis, M.; Petrakis, G.; Bobolakis, E. Rectus sheath hematoma in a single secondary care institution: A retrospective study. Hernia 2015, 19, 509–512. [Google Scholar] [CrossRef] [PubMed]
- Brotzman, G. Rectus sheath hematoma: A case report [corrected]. J. Fam. Pract. 1991, 33, 194–197. [Google Scholar] [PubMed]
- Holmes, S.J.; Yale, S.H.; Mazza, J.J. Rectus sheath hematoma as a cause of acute abdominal pain. Am. Fam. Phys. 2001, 64, 1681–1682. [Google Scholar]

| Parameters | Embolisation (n = 5) | Open Surgery (n = 6) | US Drainage (n = 8) | Conservative Treatment (n = 10) | p-Value |
|---|---|---|---|---|---|
| Age (years) | 72.8 (SD: 9.1) | 73.7 (SD: 10.8) | 67.7 (SD: 14.4) | 61.3 (SD: 17.0) | 0.310 |
| Sex: M/F (n) | 1/4 | 3/3 | 1/7 | 1/9 | 0.244 |
| ASA (n) | 0.214 | ||||
| 2 | 1 | 0 | 4 | 5 | |
| 3 | 4 | 4 | 4 | 5 | |
| 4 | 0 | 1 | 0 | 0 | |
| 5 | 0 | 1 | 0 | 0 | |
| Anticoagulants | 0.561 | ||||
| Warfarin (n) | 4 | 6 | 7 | 6 | |
| LMWH (n) | 0 | 0 | 0 | 1 | |
| Antiplatelet (n) | 1 | 0 | 1 | 3 | |
| Cause of haematoma | 0.513 | ||||
| Spontaneous (n) | 5 | 4 | 7 | 8 | |
| Mild trauma (n) | 0 | 1 | 1 | 2 | |
| Injection (n) | 0 | 1 | 0 | 0 |
| Parameters | Embolisation (n = 5) | Open Surgery (n = 6) | US Drainage (n = 8) | Conservative Treatment (n = 10) | p-Value |
|---|---|---|---|---|---|
| HR (beats/min) | 101.6 (SD: 8.2) | 85.8 (SD: 8.5) | 88.0 (SD: 10.9) | 90.1 (SD: 19.6) | 0.282 |
| SBP (mmHg) | 107.0 (SD: 28.5) | 133.8 (SD: 18.8) | 132.0 (SD: 26.0) | 135.9 (SD: 31.3) | 0.268 |
| DBP (mmHg) | 49.6 (SD: 14.3) *,§ | 78.3 (SD: 8.9) * | 71.9 (SD: 16.2) | 75.4 (SD: 15.3) § | 0.011 |
| WBC (×10⁹/L) | 12.3 (SD: 2.5) | 8.5 (SD: 3.6) | 9.0 (SD: 3.2) | 10.4 (SD: 2.5) | 0.157 |
| Hb (g/L) | 100.0 (SD: 22.3) | 108 (SD: 18.3) | 103.5 (SD: 21.4) | 112.7 (SD: 26.2) | 0.733 |
| Ht (%) | 23.0 (SD: 14.1) | 33.2 (SD: 5.3) | 31.8 (SD: 6.0) | 26.7 (SD: 15.5) | 0.409 |
| Urea (mmol/L) | 13.8 (SD: 6.7) ¶,◆ | 7.0 (SD: 4.7) | 5.9 (SD: 3.1) ¶ | 6.1 (SD: 1.8) ◆ | 0.007 |
| Creatinine (mmol/L) | 317.8 (SD: 206.8) °” | 189.7 (SD: 236.1) | 104.4 (SD: 39.8) ° | 104.8 (SD: 51.1) ” | 0.041 |
| INR | 1.9 (SD: 1.0) | 3.0 (SD: 2.7) | 2.8 (SD: 1.2) | 1.8 (SD: 0.4) | 0.489 |
| DATL (sec.) | 33.6 (SD: 9.0) | 69.7 (SD: 61.4) | 38.2 (SD: 5.4) | 57.9 (SD: 53.3) | 0.435 |
| Parameters | Embolisation (n = 5) | Open Surgery (n = 4) | US Drainage (n = 6) | Conservative Treatment (n = 5) | p-Value |
|---|---|---|---|---|---|
| Haematoma size (mL)—CT | 940.0 (SD: 371.5) | 612.5 (SD: 225.0) | 650.0 (SD: 209.8) | 720.0 (SD: 525.1) | 0.498 |
| Haematoma classification (n) | 0.007 | ||||
| Type I | 0 | 0 | 1 | 3 | |
| Type II | 3 | 0 | 5 | 1 | |
| Type III | 2 | 4 | 0 | 1 |
| Parameters | Embolisation (n = 5) | Open Surgery (n = 6) | US Drainage (n = 8) | Conservative Treatment (n = 10) | p-Value |
|---|---|---|---|---|---|
| Packed red blood cells (units) | 1.8 (SD: 1.5) | 1.0 (SD: 1.7) | 0.25 (SD: 0.7) | 0.6 (SD: 1.3) | 0.221 |
| Intervention (days after admission) | 0 | 1.7 (SD: 1.2) | 5.2 (SD: 4.4) | — | — |
| In-hospital stay (days) | 9.4 (SD: 4.0) | 16.3 (SD: 10.6) * | 12.4 (SD: 5.0) | 6.7 (SD: 3.2) * | 0.028 |
| Mortality | 1 | 0 | 0 | 1 | 0.471 |
© 2018 by the authors. Licensee MDPI, Basel, Switzerland. This article is an open access article distributed under the terms and conditions of the Creative Commons Attribution (CC BY) license (http://creativecommons.org/licenses/by/4.0/).
Share and Cite
Gradauskas, A.; Venclauskas, L.; Pažusis, M.; Karpavičius, A.; Maleckas, A. Comparison of the Different Treatment Strategies for Patients with Rectus Sheath Haematoma. Medicina 2018, 54, 38. https://doi.org/10.3390/medicina54030038
Gradauskas A, Venclauskas L, Pažusis M, Karpavičius A, Maleckas A. Comparison of the Different Treatment Strategies for Patients with Rectus Sheath Haematoma. Medicina. 2018; 54(3):38. https://doi.org/10.3390/medicina54030038
Chicago/Turabian StyleGradauskas, Audrius, Linas Venclauskas, Matas Pažusis, Andrius Karpavičius, and Almantas Maleckas. 2018. "Comparison of the Different Treatment Strategies for Patients with Rectus Sheath Haematoma" Medicina 54, no. 3: 38. https://doi.org/10.3390/medicina54030038
APA StyleGradauskas, A., Venclauskas, L., Pažusis, M., Karpavičius, A., & Maleckas, A. (2018). Comparison of the Different Treatment Strategies for Patients with Rectus Sheath Haematoma. Medicina, 54(3), 38. https://doi.org/10.3390/medicina54030038

