Deep Learning-Based Assessment of Brainstem Volume Changes in Spinocerebellar Ataxia Type 2 (SCA2): A Study on Patients and Preclinical Subjects
Abstract
Highlights
- Superior Segmentation Performance: The proposed modified U-Net architecture (with attention-enhanced skip connections and inception modules) significantly outperforms three comparative approaches in brainstem parcellation, achieving higher scores across all substructures (medulla, pons, and mesencephalon) and the whole brainstem.
- Volume Differences Across Groups: Automated segmentation reveals distinct volumetric patterns, with controls exhibiting larger volumes (whole brainstem: 1.62) compared to preclinical (1.49) and patient groups (1.12), suggesting potential atrophy linked to disease progression.
- Clinical Utility: The method’s accuracy and robustness support its potential for precise brainstem assessment in neurodegenerative disorders, enabling earlier detection of structural changes (e.g., reduced medulla volume in patients: 0.26 vs. 0.31 in controls).
- Technical Advancements: The success of attention mechanisms and inception modules highlights their value for complex anatomical segmentation, paving the way for similar adaptations in other small-structure parcellation tasks.
Abstract
1. Introduction
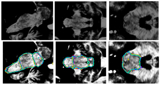
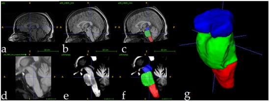
2. Materials and Methods
2.1. Image Preparation
2.2. Analysis Description
2.3. Ablation Study: Quantifying the Contribution of CBAM
3. Results
4. Discussion
Limitations and Future Work
- (a)
- Registration dependency: While the hierarchical registration pipeline ensures robust alignment to the ICBM 2009c template, this preprocessing step might introduce critical limitations. A failure in the registration step will inevitably lead to a wrong segmentation. In addition, the ICBM 2009c template may not generalize to other populations, potentially biasing volumetric estimates.
- (b)
- Regional bias due to dataset homogeneity: All the collected data belongs to Cuban individuals, which may limit the generalizability to global SCA2 populations with differing genetic/environmental profiles.
- (c)
- Small cohort size: While the proposed model demonstrates strong performance in the used cohort, deep learning models typically benefit from larger and more diverse datasets to ensure robustness across populations and imaging protocols.
- (d)
- Cross-sectional design: Volumetric differences are reported at a single timepoint, precluding causal inferences about atrophy progression.
- (e)
5. Conclusions
Author Contributions
Funding
Institutional Review Board Statement
Informed Consent Statement
Data Availability Statement
Conflicts of Interest
Abbreviations
| SCA2 | spinocerebellar ataxia type 2 |
| MRI | magnetic resonance imaging |
| CNN(s) | convolutional neural network(s) |
| SA | spinal atrophy |
| OPCA | olivopontocerebellar atrophy |
| CCA | cortico-cerebellar atrophy |
| SPECT | single-photon emission computed tomography |
| PET | positron emission tomography |
| CBAM | Convolutional Block Attention Module |
| IM | inception module |
| CAM | Channel Attention Module |
| SAM | Spatial Attention Module |
| DSC | Dice Similarity Coefficient |
| ROI | region of interest |
| TICV | total intracranial volume |
| SARA | Scale for the Assessment and Rating of Ataxia |
| IoU | Intersection over Union |
| HD95 | 95th percentile Hausdorff Distance |
| ASD | Average Symmetric Surface Distance |
| NSD | Normalized Surface Dice |
Appendix A

References
- Seidel, K.; Siswanto, S.; Brunt, E.R.P.; Den Dunnen, W.; Korf, H.W.; Rüb, U. Brain pathology of spinocerebellar ataxias. Acta Neuropathol. 2012, 124, 1–21. [Google Scholar] [CrossRef]
- Mascalchi, M.; Diciotti, S.; Giannelli, M.; Ginestroni, A.; Soricelli, A.; Nicolai, E.; Aiello, M.; Tessa, C.; Galli, L.; Dotti, M.T.; et al. Progression of Brain Atrophy in Spinocerebellar Ataxia Type 2: A Longitudinal Tensor-Based Morphometry Study. PLoS ONE 2014, 9, e89410. [Google Scholar] [CrossRef]
- Marzi, C.; Ciulli, S.; Giannelli, M.; Ginestroni, A.; Tessa, C.; Mascalchi, M.; Diciotti, S. Structural Complexity of the Cerebellum and Cerebral Cortex is Reduced in Spinocerebellar Ataxia Type 2. J. Neuroimaging 2018, 28, 688–693. [Google Scholar] [CrossRef]
- Antenora, A.; Rinaldi, C.; Roca, A.; Pane, C.; Lieto, M.; Saccà, F.; Peluso, S.; De Michele, G.; Filla, A. The Multiple Faces of Spinocerebellar Ataxia type 2. Ann. Clin. Transl. Neurol. 2017, 4, 687–695. [Google Scholar] [CrossRef] [PubMed]
- Velázquez-Pérez, L.; Medrano-Montero, J.; Rodríguez-Labrada, R.; Canales-Ochoa, N.; Alí, J.C.; Rodes, F.J.C.; Graña, T.R.; Oliver, M.O.H.; Rodríguez, R.A.; Barrios, Y.D.; et al. Hereditary Ataxias in Cuba: A Nationwide Epidemiological and Clinical Study in 1001 Patients. Cerebellum 2020, 19, 252–264. [Google Scholar] [CrossRef]
- Sena, L.S.; Furtado, G.V.; Pedroso, J.L.; Barsottini, O.; Cornejo-Olivas, M.; Nóbrega, P.R.; Neto, P.B.; Bezerra, D.M.; Vargas, F.R.; Godeiro, C.; et al. Spinocerebellar ataxia type 2 has multiple ancestral origins. Park. Relat. Disord. 2024, 120, 105985. [Google Scholar] [CrossRef] [PubMed]
- Mascalchi, M. Spinocerebellar ataxias. Neurol. Sci. 2008, 29, 311–313. [Google Scholar] [CrossRef] [PubMed]
- Riahi, F.; Fesharaki, S. The role of nuclear medicine in neurodegenerative diseases: A narrative review. Am. J. Neurodegener. Dis. 2025, 14, 34–41. [Google Scholar] [CrossRef]
- Mascalchi, M.; Vella, A. Neuroimaging Applications in Chronic Ataxias. Int. Rev. Neurobiol. 2018, 143, 109–162. [Google Scholar] [CrossRef]
- Öz, G.; Cocozza, S.; Henry, P.; Lenglet, C.; Deistung, A.; Faber, J.; Schwarz, A.J.; Timmann, D.; Van Dijk, K.R.A.; Harding, I.H. MR Imaging in Ataxias: Consensus Recommendations by the Ataxia Global Initiative Working Group on MRI Biomarkers. Cerebellum 2024, 23, 931–945. [Google Scholar] [CrossRef]
- Klockgether, T.; Grobe-Einsler, M.; Faber, J. Biomarkers in Spinocerebellar Ataxias. Cerebellum 2025, 24, 104. [Google Scholar] [CrossRef]
- Gao, F.; Tu, Y.; Li, Z.; Xiong, F. Progressive white matter degeneration in patients with spinocerebellar ataxia type 2. Neuroradiology 2024, 66, 101–108. [Google Scholar] [CrossRef]
- Al-Arab, N.; Hannoun, S. White matter integrity assessment in spinocerebellar ataxia type 2 (SCA2) patients. Clin. Radiol. 2024, 79, 67–72. [Google Scholar] [CrossRef]
- Tamuli, D.; Kaur, M.; Sethi, T.; Singh, A.; Faruq, M.; Jaryal, A.K.; Srivastava, A.K.; Senthil, S. Cortical and Subcortical Brain Area Atrophy in SCA1 and SCA2 Patients in India: The Structural MRI Underpinnings and Correlative Insight Among the Atrophy and Disease Attributes. Neurol. India 2021, 69, 1318–1325. [Google Scholar] [CrossRef]
- Liu, P.; Liu, Y.; Gu, W.; Song, X. Clinical Manifestation, Imaging, and Genotype Analysis of Two Pedigrees with Spinocerebellar Ataxia. Cell Biochem. Biophys. 2011, 61, 691–698. [Google Scholar] [CrossRef]
- Jacobi, H.; Hauser, T.; Giunti, P.; Globas, C.; Bauer, P. Spinocerebellar Ataxia Types 1, 2, 3 and 6: The Clinical Spectrum of Ataxia and Morphometric Brainstem and Cerebellar Findings. Cerebellum 2012, 11, 155–166. [Google Scholar] [CrossRef]
- van Dijk, T.; Barth, P.; Reneman, L.; Appelhof, B.; Baas, F.; Poll-The, B.T. A De Novo Missense Mutation in the Inositol 1, 4, 5-Triphosphate Receptor Type 1 Gene Causing Severe Pontine and Cerebellar Hypoplasia: Expanding the Phenotype of ITPR1 -Related Spinocerebellar Ataxia ’s. Am. J. Med. Genet. Part A 2016, 173, 207–212. [Google Scholar] [CrossRef] [PubMed]
- Politi, L.S.; Bianchi Marzoli, S.; Godi, C.; Panzeri, M.; Ciasca, P.; Brugnara, G.; Castaldo, A.; Di Bella, D.; Taroni, F.; Nanetti, L.; et al. MRI evidence of cerebellar and extraocular muscle atrophy differently contributing to eye movement abnormalities in SCA2 and SCA28 diseases. Investig. Opthalmology Vis. Sci. 2016, 57, 2714–2720. [Google Scholar] [CrossRef] [PubMed]
- Mascalchi, M.; Vella, A. Neuroimaging biomarkers in SCA2 gene carriers. Int. J. Mol. Sci. 2020, 21, 1020. [Google Scholar] [CrossRef]
- Hernandez-Castillo, C.R.; Galvez, V.; Mercadillo, R.; Diaz, R.; Campos-Romo, A.; Fernandez-Ruiz, J. Extensive white matter alterations and its correlations with ataxia severity in SCA 2 patients. PLoS ONE 2015, 10, e0135449. [Google Scholar] [CrossRef]
- Khorsheed, E.A.; Al-Sulaifanie, A.K. Handwritten Digit Classification Using Deep Learning Convolutional Neural Network. J. Soft Comput. Data Min. 2024, 5, 79–90. [Google Scholar] [CrossRef]
- Zangana, H.M.; Mustafa, F.M. Review of Hybrid Denoising Approaches in Face Recognition: Bridging Wavelet Transform and Deep Learning. Indones. J. Comput. Sci. 2024, 13. [Google Scholar] [CrossRef]
- Kavitha, N.; Soundar, K.R.; Karthick, R.; Kohila, J. Automatic video captioning using tree hierarchical deep convolutional neural network and ASRNN-bi-directional LSTM. Computing 2024, 106, 3691–3709. [Google Scholar] [CrossRef]
- Chen, H.Y.; Lin, C.H.; Lai, J.W.; Chan, Y.K. Convolutional neural network-based automated system for dog tracking and emotion recognition in video surveillance. Appl. Sci. 2023, 13, 4596. [Google Scholar] [CrossRef]
- Stoean, C.; Stoean, R.; Atencia, M.; Abdar, M.; Velázquez-Pérez, L.; Khosrabi, A.; Nahavandi, S.; Acharya, U.R.; Joya, G. Automated Detection of Presymptomatic Conditions in Spinocerebellar Ataxia Type 2 Using Monte Carlo Dropout and Deep Neural Network Techniques with Electrooculogram Signals. Sensors 2020, 20, 3032. [Google Scholar] [CrossRef]
- Tashakori, M.; Rusanen, M.; Karhu, T.; Huttunen, R.; Leppänen, T.; Nikkonen, S. Optimal Electroencephalogram and Electrooculogram Signal Combination for Deep Learning-Based Sleep Staging. IEEE J. Biomed. Health Informatics 2025, 29, 4741–4747. [Google Scholar] [CrossRef] [PubMed]
- Rahman, S.; Hasan, M.; Sarkar, A.K. Prediction of brain stroke using machine learning algorithms and deep neural network techniques. Eur. J. Electr. Eng. Comput. Sci. 2023, 7, 23–30. [Google Scholar] [CrossRef]
- Kanna, R.K.; Sahoo, S.K.; Madhavi, B.K.; Mohan, V.; Babu, G.S.; Panigrahi, B.S. Detection of Brain Tumour based on Optimal Convolution Neural Network. EAI Endorsed Trans. Pervasive Health Technol. 2024, 10. [Google Scholar] [CrossRef]
- Mushtaq, S.; Singh, O. Convolution neural networks for disease prediction: Applications and challenges. Scalable Comput. Pract. Exp. 2024, 25, 615–636. [Google Scholar] [CrossRef]
- Procházka, A.; Dostál, O.; Cejnar, P.; Mohamed, H.I.; Pavelek, Z.; Vališ, M. Deep Learning for Accelerometric Data Assessment and Ataxic Gait Monitoring. IEEE Trans. Neural Syst. Rehabil. Eng. 2021, 29, 360–367. [Google Scholar] [CrossRef]
- Trabassi, D.; Castiglia, S.F.; Bini, F.; Marinozzi, F.; Ajoudani, A.; Lorenzini, M.; Chini, G.; Varrecchia, T.; Ranavolo, A.; De Icco, R.; et al. Optimizing Rare Disease Gait Classification through Data Balancing and Generative AI: Insights from Hereditary Cerebellar Ataxia. Sensors 2024, 24, 3613. [Google Scholar] [CrossRef]
- Tuncer, T.; Sesli, A.; Tuncer, S.A. Determination of Ataxia with EfficientNet Models in Person with Early MS using Plantar Pressure Distribution Signals. Appl. Comput. Syst. 2024, 29, 45–52. [Google Scholar] [CrossRef]
- Lai, M.-H.; Liu, D.-G.; Cheng, C.-H.; Lai, C.-Y. Quantitative Assessment of Gait in Spinocerebellar Ataxia Using Deep Learning. In Proceedings of the 2024 IEEE 4th International Conference on Electronic Communications, Internet of Things and Big Data (ICEIB), Taipei, Taiwan, 19–21 April 2024; pp. 40–43. [Google Scholar] [CrossRef]
- Lee, S.; Park, C.; Ha, E.; Hong, J.; Kim, S.H.; Kim, Y. Determination of Spatiotemporal Gait Parameters Using a Smartphone’s IMU in the Pocket: Threshold-Based and Deep Learning Approaches. Sensors 2025, 25, 4395. [Google Scholar] [CrossRef]
- Vattis, K.; Oubre, B.; Luddy, A.C.; Ouillon, J.S.; Eklund, N.M.; Stephen, C.D.; Schmahmann, J.D.; Nunes, A.S.; Gupta, A.S. Sensitive Quantification of Cerebellar Speech Abnormalities Using Deep Learning Models. IEEE Access 2024, 12, 62328–62340. [Google Scholar] [CrossRef]
- Eguchi, K.; Yaguchi, H.; Kudo, I.; Kimura, I.; Nabekura, T.; Kumagai, R.; Fujita, K.; Nakashiro, Y.; Iida, Y.; Hamada, S.; et al. Differentiation of speech in Parkinson’s disease and spinocerebellar degeneration using deep neural networks. J. Neurol. 2024, 21, 1004–1012. [Google Scholar] [CrossRef]
- Saifullah, S.; Dreżewski, R. Automatic brain tumor segmentation using convolutional neural networks: U-net framework with pso-tuned hyperparameters. In Parallel Problem Solving from Nature—PPSN XVIII; Springer: Cham, Switzerland, 2024; pp. 333–351. [Google Scholar] [CrossRef]
- Han, S.; Carass, A.; He, Y.; Prince, J.L. Automatic Cerebellum Anatomical Parcellation using U-Net with Locally Constrained Optimization. Neuroimage 2020, 218, 116819. [Google Scholar] [CrossRef]
- Morell-Ortega, S.; Ruiz-Perez, M.; Gadea, M.; Vivo-Hernando, R.; Rubio, G.; Aparici, F.; de la Iglesia-Vaya, M.; Catheline, G.; Mansencal, B.; Coupé, P.; et al. DeepCERES: A deep learning method for cerebellar lobule segmentation using ultra-high resolution multimodal MRI. Neuroimage 2025, 308, 121063. [Google Scholar] [CrossRef] [PubMed]
- Nishimaki, K.; Onda, K.; Ikuta, K.; Chotiyanonta, J.; Uchida, Y.; Mori, S.; Iyatomi, H.; Oishi, K. OpenMAP-T1: A Rapid Deep-Learning Approach to Parcellate 280 Anatomical Regions to Cover the Whole Brain. Hum. Brain Mapp. 2024, 45, 70063. [Google Scholar] [CrossRef] [PubMed]
- Mahendran, R.K.; Aishwarya, R.; Abinayapriya, R.; Kumar, P. Deep Transfer Learning Based Diagnosis of Multiple Neurodegenerative Disorders. In Proceedings of the 2024 International Conference on Emerging Smart Computing and Informatics (ESCI), Pune, India, 5–7 March 2024; IEEE: New York, NY, USA, 2024; pp. 1–4. [Google Scholar] [CrossRef]
- Mansencal, B.; De Senneville, B.D.; Ta, V.; Lepetit, V. AssemblyNet: A large ensemble of CNNs for 3D whole brain MRI segmentation. Neuroimage 2020, 219, 117026. [Google Scholar] [CrossRef]
- Mecheter, I.; Abbod, M.; Amira, A.; Zaidi, H. Deep Learning with Multiresolution Handcrafted Features for Brain MRI Segmentation. Artif. Intell. Med. 2022, 131, 102365. [Google Scholar] [CrossRef] [PubMed]
- Faber, J.; Kügler, D.; Bahrami, E.; Heinz, L.S.; Timmann, D.; Ernst, T.M.; Deike-Hofmann, K.; Klockgether, T.; van de Warrenburg, B.; van Gaalen, J.; et al. CerebNet: A fast and reliable deep-learning pipeline for detailed cerebellum sub-segmentation. Neuroimage 2022, 264, 119703. [Google Scholar] [CrossRef] [PubMed]
- Mallampati, B.; Ishaq, A.; Rustam, F.; Kuthala, V.; Alfarhood, S.; Ashraf, I. Brain tumor detection using 3D-UNet segmentation features and hybrid machine learning model. IEEE Access 2023, 11, 135020–135034. [Google Scholar] [CrossRef]
- Aggarwal, M.; Tiwari, A.K.; Sarathi, M.P.; Bijalwan, A. An early detection and segmentation of Brain Tumor using Deep Neural Network. BMC Med. Inform. Decis. Mak. 2023, 23, 78. [Google Scholar] [CrossRef]
- Jabbar, A.; Naseem, S.; Mahmood, T.; Saba, T.; Alamri, F.S.; Rehman, A. Brain tumor detection and multi-grade segmentation through hybrid caps-VGGNet model. IEEE Access 2023, 11, 72518–72536. [Google Scholar] [CrossRef]
- Sille, R.; Choudhury, T.; Sharma, A.; Chauhan, P.; Tomar, R.; Sharma, D. A novel generative adversarial network-based approach for automated brain tumour segmentation. Medicina 2023, 59, 119. [Google Scholar] [CrossRef] [PubMed]
- Cao, Y.; Zhang, Q.; Li, J.; Wang, Y.; Liu, D.; Yu, H. An automated segmentation model based on CBAM for MR image glioma tumors. In Proceedings of the 2022 2nd International Conference on Bioinformatics and Intelligent Computing, Harbin, China, 21–23 January 2022; Association for Computing Machinery: New York, NY, USA, 2022; pp. 385–388. [Google Scholar] [CrossRef]
- Shyamala, N.; Mahaboobbasha, S. Convolutional Block Attention Module-based Deep Learning Model for MRI Brain Tumor Identification (ResNet-CBAM). In Proceedings of the 2024 5th International Conference on Smart Electronics and Communications (ICOSEC), Trichy, India, 18–20 September 2024; IEEE: New York, NY, USA, 2024; pp. 1603–1608. [Google Scholar] [CrossRef]
- Cui, Y. EUnet++: Enhanced UNet++ Architecture incorporating 3DCNN and CBAM Modules for Brain Tumor Image Segmentation. In Proceedings of the 2024 International Conference on Information Technology, Communication Ecosystem and Management (ITCEM), Bangkok, Thailand, 20–22 December 2024; IEEE: New York, NY, USA, 2024; pp. 28–34. [Google Scholar]
- Hoseini, F.; Sepehrzadeh, H.; Talimian, A.H. MRI Segmentation Using Inception-based U-Net Architecture and Up Skip Connections. Karafan J. 2024, 21, 66–90. [Google Scholar] [CrossRef]
- Sharma, V.; Kumar, M.; Yadav, A.K. 3D Air-UNet: Attention-inception-residual-based U-Net for brain tumor segmentation from multimodal MRI. Neural Comput. Appl. 2025, 37, 9969–9990. [Google Scholar] [CrossRef]
- Cabeza-Ruiz, R.; Velázquez-Pérez, L.; Linares-Barranco, A.; Pérez-Rodríguez, R. Convolutional Neural Networks for Segmenting Cerebellar Fissures from Magnetic Resonance Imaging. Sensors 2022, 22, 1345. [Google Scholar] [CrossRef]
- Hechri, A.; Boudaka, A.; Harmed, A. Improved brain tumor segmentation using modified U-Net model with inception and attention modules on multimodal MRI images. Aust. J. Electr. Electron. Eng. 2024, 21, 48–58. [Google Scholar] [CrossRef]
- Hatamizadeh, A.; Nath, V.; Tang, Y.; Yang, D.; Roth, H.R.; Xu, D. Swin unetr: Swin transformers for semantic segmentation of brain tumors in mri images. In International MICCAI Brainlesion Workshop; Crimi, A., Bakas, S., Eds.; Springer: Cham, Switzerland, 2021; pp. 272–284. [Google Scholar]
- Laiton-Bonadiez, C.; Sanchez-Torres, G.; Branch-Bedoya, J. Deep 3D Neural Network for Brain Structures Segmentation Using Self-Attention Modules in MRI Images. Sensors 2022, 22, 2559. [Google Scholar] [CrossRef]
- Cahall, D.E.; Rasool, G.; Bouaynaya, N.C.; Fathallah-Shaykh, H.M. Inception Modules Enhance Brain Tumor Segmentation. Front. Comput. Neurosci. 2019, 13, 44. [Google Scholar] [CrossRef] [PubMed]
- Woo, S.; Park, J.; Lee, J.; Kweon, I.S. CBAM: Convolutional Block Attention Module. In Proceedings of the European Conference on Computer Vision (ECCV), Munich, Germany, 8–14 September 2018; pp. 3–19. [Google Scholar]
- Tustison, N.J.; Avants, B.B.; Cook, P.A.; Zheng, Y.; Egan, A.; Yushkevich, P.A.; Gee, J.C. N4ITK: Improved N3 Bias Correction. IEEE Trans. Med Imaging 2010, 29, 1310–1320. [Google Scholar] [CrossRef]
- Fonov, V.S.; Evans, A.C.; Mckinstry, R.C.; Almli, C.R.; Collins, D.L. Unbiased nonlinear average age-appropriate brain templates from birth to adulthood. Neuroimage 2009, 47, S102. [Google Scholar] [CrossRef]
- Avants, B.B.; Tustison, N.; Johnson, H. Advanced Normalization Tools (ANTS). Insight J. 2009, 2, 1–35. [Google Scholar]
- Nishio, M.; Wang, X.; Cornblath, E.J.; Lee, S.-H.; Shih, Y.-Y.I.; Palomero-Gallagher, N.; Arcaro, M.J.; Lydon-Staley, D.M.; Mackey, A.P. Alcohol impacts an fMRI marker of neural inhibition in humans and rodents. bioRxiv 2025. [Google Scholar] [CrossRef]
- Fernandez, L.; Corben, L.A.; Bilal, H.; Delatycki, M.B.; Egan, G.F.; Harding, I.H. Free-Water Imaging in Friedreich Ataxia Using Multi-Compartment Models. Mov. Disord. 2024, 39, 370–379. [Google Scholar] [CrossRef]
- Wang, Y.; Teng, Y.; Liu, T.; Tang, Y.; Liang, W.; Wang, W.; Li, Z.; Xia, Q.; Xu, F.; Liu, S. Morphological changes in the cerebellum during aging: Evidence from convolutional neural networks and shape analysis. Front. Aging Neurosci. 2024, 16, 1359320. [Google Scholar] [CrossRef]
- Agarwal, A.; Barham, P.; Brevdo, E.; Chen, Z.; Citro, C.; Corrado, G.S.; Davis, A.; Dean, J.; Devin, M.; Ghemawat, S.; et al. TensorFlow: Large-Scale Machine Learning on Heterogeneous Distributed Systems. arXiv 2016, arXiv:1603.04467. [Google Scholar]
- Chollet, F. Keras: The Python deep learning library. Astrophys. Source Code Libr. 2018. Available online: https://ui.adsabs.harvard.edu/abs/2018ascl.soft06022C (accessed on 11 July 2025).
- Kingma, D.P.; Ba, J.L. Adam: A method for stochastic optimization. In Proceedings of the 3rd International Conference for Learning Representations (ICLR), San Diego, CA, USA, 7–9 May 2015. [Google Scholar]
- Magnusson, M.; Love, A.; Ellingsen, L.M. Automated brainstem parcellation using multi-atlas segmentation and deep neural network. In Proceedings of the Medical Imaging 2021: Image Processing, Online, 15–19 February 2021; pp. 645–650. [Google Scholar] [CrossRef]
- Iglesias, J.E.; Liu, C.Y.; Thompson, P.M.; Tu, Z. Robust brain extraction across datasets and comparison with publicly available methods. IEEE Trans. Med. Imaging 2011, 30, 1617–1634. [Google Scholar] [CrossRef]
- Reetz, K.; Rodríguez, R.; Dogan, I.; Mirzazade, S.; Romanzetti, S.; Schulz, J.B.; Cruz-Rivas, E.M.; Alvarez-Cuesta, J.A.; Aguilera Rodríguez, R.; Gonzalez Zaldivar, Y.; et al. Brain atrophy measures in preclinical and manifest spinocerebellar ataxia type 2. Ann. Clin. Transl. Neurol. 2018, 5, 128–137. [Google Scholar] [CrossRef] [PubMed]
- Ronneberger, O.; Fischer, P.; Brox, T. U-net: Convolutional networks for biomedical image segmentation. In Medical Image Computing and Computer-Assisted Intervention—MICCAI 2015; Springer: Cham, Switzerland, 2015; Volume 9351, pp. 234–241. [Google Scholar] [CrossRef]
- Çiçek, Ö.; Abdulkadir, A.; Lienkamp, S.S.; Brox, T.; Ronneberger, O. 3D U-net: Learning dense volumetric segmentation from sparse annotation. In Proceedings of the Medical Image Computing and Computer-Assisted Intervention–MICCAI 2016: 19th International Conference, Athens, Greece, 17–21 October 2016; Springer International Publishing: Cham, Switzerland, 2016; Volume 9901, pp. 424–432. [Google Scholar] [CrossRef]







| Data | Value Range |
|---|---|
| Age (years) | 25 to 72 |
| SARA score (patients and preclinical) | 0.0 to 39 |
| CAG repeat | 36 to 40 |
| Evolution years (patients) | 1 to 31 |
| Approach | Number of Output Filters in Encoder | Number of Parameters |
|---|---|---|
| This research | [32, 64, 128, 256, 512] | 5,254,266 |
| Cabeza-Ruiz et al. [54] | [64, 128, 256, 512, 512] | 8,788,376 |
| Han et al. [38] (modified) | [64, 64, 128, 256, 512] | 21,641,792 |
| Magnusson et al. [69] | [32, 64, 128, 256, 512] | 10,796,252 |
| Nishimaki et al. [40] (modified) | [32, 64, 128, 256, 512] | 22,598,862 |
| Label | Mean DSC ± stdev | ||||
|---|---|---|---|---|---|
| This Research | Cabeza-Ruiz et al. [54] | Han et al. [38] (Modified) | Magnusson et al. [69] | Nishimaki et al. [40] (Modified) | |
| Mesencephalon | 0.96 ± 0.022 | 0.92 ± 0.019 | 0.93 ± 0.019 | 0.89 ± 0.031 | 0.91 ± 0.022 |
| Pons | 0.96 ± 0.015 | 0.94 ± 0.014 | 0.94 ± 0.013 | 0.91 ± 0.029 | 0.93 ± 0.014 |
| Medulla | 0.95 ± 0.021 | 0.93 ± 0.020 | 0.92 ± 0.021 | 0.91 ± 0.023 | 0.93 ± 0.021 |
| Full brainstem | 0.96 ± 0.008 | 0.95 ± 0.008 | 0.95 ± 0.007 | 0.93 ± 0.013 | 0.95 ± 0.007 |
| Measures | Score (Mean Value) | ||||
|---|---|---|---|---|---|
| This Research | Cabeza-Ruiz et al. [54] | Han et al. [38] (Modified) | Magnusson et al. [69] | Nishimaki et al. [40] (Modified) | |
| IoU | 0.914 ± 0.01 | 0.904 ± 0.01 | 0.906 ± 0.01 | 0.886 ± 0.05 | 0.906 ± 0.01 |
| HD95 (mm) | 2.71 | 3.02 | 2.78 | 3.29 | 2.65 |
| Specificity | 0.998 ± 0.0007 | 0.998 ± 0.0007 | 0.998 ± 0.0006 | 0.997 ± 0.001 | 0.998 ± 0.0007 |
| Sensitivity | 0.949 ± 0.01 | 0.938 ± 0.02 | 0.941 ± 0.02 | 0.928 ± 0.05 | 0.947 ± 0.01 |
| Precision | 0.972 ± 0.01 | 0.963 ± 0.01 | 0.950 ± 0.01 | 0.939 ± 0.01 | 0.953 ± 0.01 |
| ASD | 0.052 | 0.058 | 0.058 | 0.079 | 0.054 |
| NSD | 0.993 | 0.991 | 0.992 | 0.985 | 0.992 |
| Brainstem Section | Mean Volumes (% TICV) | P | ||
|---|---|---|---|---|
| Patients | Preclinical | Controls | ||
| Mesencephalon | 0.4 | 0.44 | 0.48 | 0.007 |
| Pons | 0.47 | 0.76 | 0.82 | <0.0001 |
| Medulla | 0.26 | 0.29 | 0.31 | 0.00012 |
| Whole brainstem | 1.12 | 1.49 | 1.62 | <0.0001 |
| Brainstem Section/Score | SARA | Disease Duration | CAG Repeat | |||
|---|---|---|---|---|---|---|
| Corr | P | Corr | P | Corr | P | |
| Mesencephalon | −0.62 | <0.05 | −0.58 | 0.72 | −0.49 | 0.36 |
| Pons | −0.69 | <0.01 | −0.35 | 1.00 | −0.56 | 0.14 |
| Medulla | −0.62 | <0.05 | −0.22 | 1.00 | −0.43 | 0.72 |
| Whole brainstem | −0.71 | <0.01 | −0.37 | 1.00 | −0.55 | 0.15 |
Disclaimer/Publisher’s Note: The statements, opinions and data contained in all publications are solely those of the individual author(s) and contributor(s) and not of MDPI and/or the editor(s). MDPI and/or the editor(s) disclaim responsibility for any injury to people or property resulting from any ideas, methods, instructions or products referred to in the content. |
© 2025 by the authors. Licensee MDPI, Basel, Switzerland. This article is an open access article distributed under the terms and conditions of the Creative Commons Attribution (CC BY) license (https://creativecommons.org/licenses/by/4.0/).
Share and Cite
Cabeza-Ruiz, R.; Velázquez-Pérez, L.; González-Dalmau, E.; Linares-Barranco, A.; Pérez-Rodríguez, R. Deep Learning-Based Assessment of Brainstem Volume Changes in Spinocerebellar Ataxia Type 2 (SCA2): A Study on Patients and Preclinical Subjects. Sensors 2025, 25, 6009. https://doi.org/10.3390/s25196009
Cabeza-Ruiz R, Velázquez-Pérez L, González-Dalmau E, Linares-Barranco A, Pérez-Rodríguez R. Deep Learning-Based Assessment of Brainstem Volume Changes in Spinocerebellar Ataxia Type 2 (SCA2): A Study on Patients and Preclinical Subjects. Sensors. 2025; 25(19):6009. https://doi.org/10.3390/s25196009
Chicago/Turabian StyleCabeza-Ruiz, Robin, Luis Velázquez-Pérez, Evelio González-Dalmau, Alejandro Linares-Barranco, and Roberto Pérez-Rodríguez. 2025. "Deep Learning-Based Assessment of Brainstem Volume Changes in Spinocerebellar Ataxia Type 2 (SCA2): A Study on Patients and Preclinical Subjects" Sensors 25, no. 19: 6009. https://doi.org/10.3390/s25196009
APA StyleCabeza-Ruiz, R., Velázquez-Pérez, L., González-Dalmau, E., Linares-Barranco, A., & Pérez-Rodríguez, R. (2025). Deep Learning-Based Assessment of Brainstem Volume Changes in Spinocerebellar Ataxia Type 2 (SCA2): A Study on Patients and Preclinical Subjects. Sensors, 25(19), 6009. https://doi.org/10.3390/s25196009

