Rapid Identification of Alien Chromosome Fragments and Tracing of Bioactive Compound Genes in Intergeneric Hybrid Offspring Between Brassica napus and Isatis indigotica Based on AMAC Method
Abstract
1. Introduction
2. Results
2.1. Development of I. indigotica Whole-Genome Intron Polymorphism (IP) and SSR Markers
2.2. e-PCR Analysis for Whole-Genome SSL Markers in I. indigotica as Compared to the Pan-Genome of Brassica Species
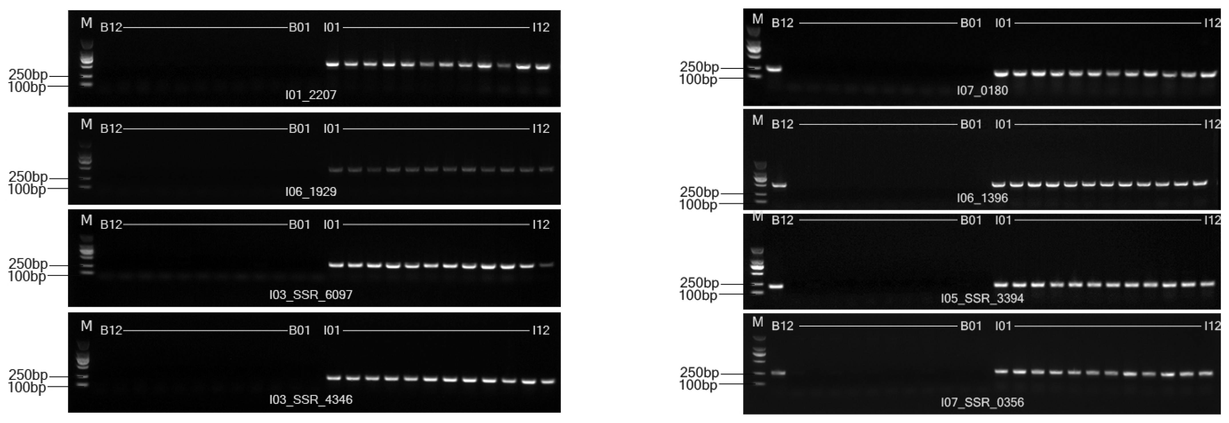
2.3. PCR Validation and Map Construction for I. indigotica Whole-Genome SSL-IP and SSL-SSR Markers
2.4. Tracing of Bioactive Compounds Genes in B. napus Addition Line ‘Songyou No. 1’ and Development of Functional Markers
3. Discussion
4. Materials and Methods
4.1. Materials and DNA Extraction
4.2. Genome Sequence Resource
4.3. Development and Identification of I. indigotica Whole Genome Specific-Single-Locus IP and SSR Markers Based on the Method of AMAC
4.3.1. Development and Analysis of I. indigotica Whole Genome IP and SSR Markers
4.3.2. Prediction of Whole-Genome Single-Locus (SL) and Specific Single-Locus (SSL) Markers in I. indigotica
4.3.3. Validation of I. indigotica Genome SSL-IP and SSL-SSR Markers
4.4. Detecting Exogenous Chromosomal Segment in ‘Songyou No. 1’
4.5. Analysis of Genes Involved in Biosynthetic Pathways of Active Compounds Within Alien Chromosomal Segments from I. indigotica Genome in ‘Songyou No. 1’ and Development of Functional Markers
4.6. Drawing Method
5. Conclusions
Supplementary Materials
Author Contributions
Funding
Institutional Review Board Statement
Informed Consent Statement
Data Availability Statement
Conflicts of Interest
References
- Hu, D.; Jing, J.; Snowdon, R.; Mason, A.; Shen, J.; Meng, J.; Zou, J. Exploring the gene pool of Brassica napus by genomics-based approaches. Plant Biotechnol. J. 2021, 19, 1693–1712. [Google Scholar] [CrossRef] [PubMed]
- Xu, Z.-Y.; Xi, Y.-F.; Zhou, W.-Y.; Lou, L.-L.; Wang, X.-B.; Huang, X.-X.; Song, S.-J. Alkaloids and monoterpenes from the leaves of Isatis Tinctoria Linnaeus and their chemotaxonomic significance. Biochem. Syst. Ecol. 2020, 92, 104089. [Google Scholar] [CrossRef]
- Wang, F.; Bi, J.; He, L.; Chen, J.; Zhang, Q.; Hou, X.; Xu, H. The indole alkaloids from the roots of Isatidis Radix. Fitoterapia 2021, 153, 104950. [Google Scholar] [CrossRef] [PubMed]
- Kang, M.; Wu, H.; Yang, Q.; Huang, L.; Hu, Q.; Ma, T.; Li, Z.; Liu, J. A chromosome-scale genome assembly of Isatis Indigotica, an important medicinal plant used in traditional Chinese medicine: An Isatis genome. Hort. Res. 2020, 7, 18. [Google Scholar] [CrossRef]
- Ho, Y.-L.; Chang, Y.-S. Studies on the antinociceptive, anti-inflammatory and antipyretic effects of Isatis Indigotica root. Phytomedicine 2002, 9, 419–424. [Google Scholar] [CrossRef]
- Wang, Q.-Y.; Wang, X.-B. A TMV-resistant increase material—Banlangen. Virol. Sin. 1990, 5, 107–110. [Google Scholar]
- Du, X.; Ge, X.; Yao, X.; Zhao, Z.; Li, Z. Production and cytogenetic characterization of intertribal somatic hybrids between Brassica Napus and Isatis Indigotica and backcross progenies. Plant Cell Rep. 2009, 28, 1105–1113. [Google Scholar] [CrossRef] [PubMed]
- Kang, L.; Du, X.; Zhou, Y.; Zhu, B.; Ge, X.; Li, Z. Development of a complete set of monosomic alien addition lines between Brassica Napus and Isatis Indigotica (Chinese Woad). Plant Cell Rep. 2014, 33, 1355–1364. [Google Scholar] [CrossRef]
- Yang, H.; Kang, L.; Li, P.; Ge, X.; Li, Z. Development and cytology of disomic alien addition between Brassica napus and Isatis indigotiga. Chin. J. Oil Crop Sci. 2016, 38, 281–286. [Google Scholar]
- Kang, L.; Li, P.; Wang, A.; Li, Z. Utilization of Chinese woad to develop antiviral rapeseed and novel cytoplasmic male sterility/fertility restoration system. Chin. J. Oil Crop Sci. 2018, 40, 674–678. [Google Scholar]
- Yang, J.; Yuan, Y.; Tang, J.; Zhou, J.; Yang, G.; Zhao, Y.; Huang, L. Characteristics and standardized cultivation techniques of Lancai No.1. Mod. Chin. Med. 2016, 18, 1006–1008. [Google Scholar]
- Cui, C.; Li, H.; Zhang, J.; Zheng, B.; Chai, L.; Jiang, J.; Zhang, K.; Qin, H.; Li, Z.; Jiang, L. Preliminary study on Songyou 2 for oilseeds and cruciferous vegetable. Chin. J. Oil Crop Sci. 2022, 44, 973–980. [Google Scholar]
- Wang, L.; Li, Z.; Yan, X.; Yang, M.; Yin, X.; Ma, N. New food and midicine homologous vegetable variety ‘Songyou NO.1’ and its high-yield cultivation technologies. Vegetables 2024, 8, 70–73. [Google Scholar]
- Fredua-Agyeman, R.; Coriton, O.; Huteau, V.; Parkin, I.A.P.; Chèvre, A.-M.; Rahman, H. Molecular cytogenetic identification of B genome chromosomes linked to blackleg disease resistance in Brassica Napus × B. Carinata interspecific Hybrids. Theor. Appl. Genet. 2014, 127, 1305–1318. [Google Scholar] [CrossRef] [PubMed]
- Li, J.; Yang, Y.; Sun, X.; Liu, R.; Xia, W.; Shi, P.; Zhou, L.; Wang, Y.; Wu, Y.; Lei, X.; et al. Development of intron polymorphism markers and their association with fatty acid component variation in oil palm. Front. Plant Sci. 2022, 13, 885418. [Google Scholar] [CrossRef] [PubMed]
- Zhou, Y.; Ye, H.; Liu, E.; Tian, J.; Song, L.; Ren, Z.; Wang, M.; Sun, Z.; Tang, L.; Ren, Z.; et al. The complexity of structural variations in Brassica rapa revealed by assembly of two complete T2T genomes. Sci. Bull. 2024, 69, 2346–2351. [Google Scholar] [CrossRef]
- Zhang, L.; Liang, J.-L.; Chen, H.-X.; Zhang, Z.-C.; Wu, J.; Wang, X.-W. A near-complete genome assembly of Brassica rapa provides new insights into the evolution of centromeres. Plant Biotechnol. J. 2023, 21, 1022–1032. [Google Scholar] [CrossRef] [PubMed]
- Ji, G.; Long, Y.; Cai, G.; Wang, A.; Yan, G.; Li, H.; Gao, G.; Xu, K.; Huang, Q.; Chen, B.; et al. A new chromosome-scale genome of wild Brassica oleracea provides insights into the domestication of Brassica crops. J. Exp. Bot. 2024, 75, 2882–2899. [Google Scholar] [CrossRef] [PubMed]
- Wu, Q.; Mao, S.; Huang, H.; Liu, J.; Chen, X.; Hou, L.; Tian, Y.; Zhang, J.; Wang, J.; Wang, Y.; et al. Chromosome-scale reference genome of broccoli (Brassica oleracea var. italica Plenck) provides insights into glucosinolate biosynthesis. Hort. Res. 2024, 11, uhae063. [Google Scholar] [CrossRef]
- Song, J.-M.; Guan, Z.; Hu, J.; Guo, C.; Yang, Z.; Wang, S.; Liu, D.; Wang, B.; Lu, S.; Zhou, R.; et al. Eight high-quality genomes reveal pan-genome architecture and ecotype differentiation of Brassica napus. Nat. Plants 2020, 6, 34–45. [Google Scholar] [CrossRef] [PubMed]
- Bayer, P.-E.; Golicz, A.-A.; Tirnaz, S.; Chan, C.; Edwards, D.; Batley, J. Variation in abundance of predicted resistance genes in the Brassica oleracea pangenome. Plant Biotechnol. J. 2019, 17, 789–800. [Google Scholar] [CrossRef]
- Paritosh, K.; Yadava, S.; Singh, P.; Bhayana, L.; Mukhopadhyay, A.; Gupta, V.; Bisht, N.; Zhang, J.; Kudrna, D.; Copetti, D.; et al. A chromosome-scale assembly of allotetraploid Brassica juncea (AABB) elucidates comparative architecture of the A and B genomes. Plant Biotechnol. J. 2020, 19, 602–614. [Google Scholar] [CrossRef]
- Cai, X.; Chang, L.; Zhang, T.; Chen, H.; Zhang, L.; Lin, R.; Liang, J.; Wu, J.; Freeling, M.; Wang, X. Impacts of allopolyploidization and structural variation on intraspecific diversification in Brassica rapa. Genome Biol. 2021, 22, 166. [Google Scholar] [CrossRef] [PubMed]
- Zu, F.; Li, X.; Chen, W.; Wang, J.; Luo, Y.; Mehmood, S.; Fan, C.; Li, J.; Dong, Y.; Zhou, Y.; et al. Application of an anchor mapping of alien chromosome (AMAC) fragment localization method in the identification of radish chromosome segments in the progeny of rape–radish interspecific hybrids. Int. J. Mol. Sci. 2024, 25, 13687. [Google Scholar] [CrossRef] [PubMed]
- Xia, S.; Cheng, L.; Zu, F.; Dun, X.; Zhou, Z.; Yi, B.; Wen, J.; Ma, C.; Shen, J.; Tu, J.; et al. Mapping of BnMs4 and BnRf to a common microsyntenic region of Arabidopsis thaliana chromosome 3 using intron polymorphism markers. Theor. Appl. Genet. 2012, 124, 1193–1200. [Google Scholar] [CrossRef] [PubMed]
- Li, J.; Li, H.; Liu, Z.; Wang, Y.; Chen, Y.; Yang, N.; Hu, Z.; Li, T.; Zhuang, J. Molecular markers in tea Plant (Camellia sinensis): Applications to evolution genetic identification and molecular breeding. Plant Physiol. Biochem. 2023, 198, 107704. [Google Scholar] [CrossRef] [PubMed]
- Su, Y.; Zhang, M.; Guo, Q.; Wei, M.; Shi, H.; Wang, T.; Han, Z.; Liu, H.; Liu, C.; Huang, J. Classification of Isatis indigotica Fortune and Isatis tinctoria Linnaeus via comparative analysis of chloroplast genomes. BMC Genom. 2023, 24, 465. [Google Scholar] [CrossRef]
- Tang, X.; Xiao, Y.; Lv, T.; Wang, F.; Zhu, Q.; Zheng, T.; Yang, J. High-throughput sequencing and de novo assembly of the Isatis indigotica transcriptome. PLoS ONE 2014, 9, e102963. [Google Scholar] [CrossRef] [PubMed]
- Jo, B.-S.; Choi, S.S. Introns: The functional benefits of introns in genomes. Genom. Inform. 2015, 13, 112. [Google Scholar] [CrossRef] [PubMed]
- Yang, L.; Jin, G.; Zhao, X.; Zheng, Y.; Xu, Z.; Wu, W. PIP: A database of potential intron polymorphism markers. Bioinformatics 2007, 23, 2174–2177. [Google Scholar] [CrossRef] [PubMed]
- Wang, X.; Zhao, X.; Zhu, J.; Wu, W. Genome-wide investigation of intron length polymorphisms and their potential as molecular markers in rice (Oryza sativa L.). DNA Res. 2006, 12, 417–427. [Google Scholar] [CrossRef]
- Muthamilarasan, M.; Venkata Suresh, B.; Pandey, G.; Kumari, K.; Parida, S.K.; Prasad, M. Development of 5123 intron-length polymorphic markers for large-Scale genotyping applications in foxtail millet. DNA Res. 2014, 21, 41–52. [Google Scholar] [CrossRef]
- Jaikishan, I.; Rajendrakumar, P.; Madhusudhana, R.; Elangovan, M.; Patil, J.V. Development and utility of PCR-based intron polymorphism markers in Sorghum [Sorghum bicolor (L.) Moench]. J. Crop Sci. Biotechnol. 2015, 18, 309–318. [Google Scholar] [CrossRef]
- Srivastava, R.; Bajaj, D.; Sayal, Y.-K.; Meher, P.-K.; Upadhyaya, H.-D.; Kumar, R.; Tripathi, S.; Bharadwaj, C.; Rao, A.-R.; Parida, S.-K. Genome-wide development and deployment of informative intron-spanning and intron-length polymorphism markers for genomics-assisted breeding applications in chickpea. Plant Sci. 2016, 252, 374–387. [Google Scholar] [CrossRef] [PubMed]
- Sharma, V.; Rana, M.; Katoch, M.; Sharma, P.K.; Ghani, M.; Rana, J.C.; Sharma, T.R.; Chahota, R.K. Development of SSR and ILP Markers in Horsegram (Macrotyloma uniflorum), their characterization, cross-Transferability and relevance for mapping. Mol. Breed. 2015, 35, 102. [Google Scholar] [CrossRef]
- Shen, Y.; He, X.; Zu, F.; Huang, X.; Yin, S.; Wang, L.; Geng, F.; Cheng, X. Development of genome-wide intron length polymorphism (ILP) markers in tea plant (Camellia sinensis) and related applications for genetics research. Int. J. Mol. Sci. 2024, 25, 3241. [Google Scholar] [CrossRef]
- Norman, A.; Taylor, J.; Edwards, J.; Kuchel, H. Optimising Genomic Selection in Wheat: Effect of marker density, population size and population structure on prediction accuracy. G3 Genes Genomes Genet. 2018, 8, 2889–2899. [Google Scholar] [CrossRef]
- Jonah, P.M.; Bello, L.L.; Lucky, O.; Midau, A.; Moruppa, S.M. The importance of molecular markers in plant breeding programmes. Glob. J. Sci. Front. Res. 2011, 11, 5–12. [Google Scholar]
- Jeberson, M.S.; Chaudhary, H.K.; Chahota, R.K.; Ashokkumar, K. Identification of alien chromosome/chromatin introgressions in triticale × wheat derived sable lines through molecular cytogenetic analysis. J. Curr. Opin. Crop Sci. 2021, 2, 1–10. [Google Scholar] [CrossRef]
- Jiang, J.; Gill, B.S. Current status and the future of fluorescence in situ hybridization (FISH) in plant genome research. Genome 2006, 49, 1057–1068. [Google Scholar] [CrossRef]
- Agrawal, N.; Gupta, M.; Atri, C.; Akhatar, J.; Kumar, S.; Heslop-Harrison, P.; Banga, S.S. Anchoring alien chromosome segment substitutions bearing gene(s) for resistance to mustard aphid in Brassica juncea-B. fruticulosa introgression lines and their possible disruption through gamma irradiation. Theor. Appl. Genet. 2021, 134, 3209–3224. [Google Scholar] [CrossRef] [PubMed]
- Budahn, H.; Schrader, O.; Peterka, H. Development of a complete set of disomic rape-radish chromosome-addition lines. Euphytica 2008, 162, 117–128. [Google Scholar] [CrossRef]
- Li, D.; Li, X.; Peng, Y.; Fang, X.; Wan, Z.; Xu, Y. Generation and identification of Chinese cabbage–cabbage type rape monomer alien addition aine. Acta Hortic. Sin. 2014, 41, 1355–1360. [Google Scholar]
- Zhu, B.; Tu, Y.; Zeng, P.; Ge, X.; Li, Z. Extraction of the constituent subgenomes of the natural allopolyploid rapeseed (Brassica napus L.). Genetics 2016, 204, 1015–1027. [Google Scholar] [CrossRef]
- Tan, C.; Cui, C.; Xiang, Y.; Ge, X.; Li, Z. Development of Brassica oleracea-nigra monosomic alien addition lines: Genotypic, cytological and morphological analyses. Theor. Appl. Genet. 2017, 130, 2491–2504. [Google Scholar] [CrossRef] [PubMed]
- Chung, Y.-C.; Tang, F.-Y.; Liao, J.-W.; Chung, C.; Jong, T.; Chen, S.; Tsai, C.; Chiang, E. Isatis indigotica induces hepatocellular cancer cell death via caspase-independent apoptosis-inducing factor translocation apoptotic pathway in vitro and in vivo. Integr. Cancer Ther. 2011, 10, 201–214. [Google Scholar] [CrossRef]
- Aboul-Maaty, N.A.-F.; Oraby, H.A.-S. Extraction of high-quality genomic DNA from different plant orders applying a modified CTAB-based method. Bull. Natl. Res. Cent. 2019, 43, 25. [Google Scholar] [CrossRef]
- Cai, C.; Wang, X.; Liu, B.; Wu, J.; Liang, J.; Cui, Y.; Cheng, F.; Wang, X. Brassica rapa genome 2.0: A reference upgrade through sequence re assembly and gene re-annotation. Mol. Plant 2017, 10, 649–651. [Google Scholar] [CrossRef] [PubMed]
- Liu, S.; Liu, Y.; Yang, X.; Tong, C.; Edwards, D.; Parkin, I.; Zhao, M.; Ma, J.; Yu, J.; Huang, S.; et al. The Brassica oleracea genome reveals the asymmetrical evolution of polyploid genomes. Nat. Commun. 2014, 5, 3930. [Google Scholar] [CrossRef]
- Yang, J.; Liu, D.; Wang, X.; Ji, C.; Cheng, F.; Liu, B.; Hu, Z.; Chen, S.; Pental, D.; Ju, Y.; et al. The genome sequence of allopolyploid Brassica juncea and analysis of differential homoeolog gene expression influencing selection. Nat. Genet. 2016, 48, 1225–1232. [Google Scholar] [CrossRef] [PubMed]
- Habibi, N.; Al Salameen, F.; Rahman, M.; Kumar, V.; Al Amad, S.; Shajan, A.; Zakir, F.; Abdul Razzack, N.; Tinwala, W.H. Draft Genome Sequence and SSR Mining Data of Acacia Pachyceras Schwartz. Data Brief 2022, 42, 108031. [Google Scholar] [CrossRef] [PubMed]
- Chao, J.; Li, Z.; Sun, Y.; Aluko, O.; Wu, X.; Wang, Q.; Liu, G. MG2C, a user-friendly online tool for drawing genetic maps. Mol. Hort. 2021, 1, 16. [Google Scholar] [CrossRef] [PubMed]








| Marker Type | Ref. Genome | e-PCR for 1 Locus | e-PCR for 2 Loci | e-PCR for 3 Loci | e-PCR for More Than 3 Loci | Total |
|---|---|---|---|---|---|---|
| IP | Woad-v1.0 | 90,636 | 18,513 | 5982 | 5171 | 120,302 |
| ASM1459570v1 | 89,686 | 14,837 | 3556 | 3357 | 111,436 | |
| ASM90040638v1 | 58,785 | 12,364 | 2359 | 1229 | 74,737 | |
| SSR | Woad-v1.0 | 48,142 | 9237 | 3029 | 12,356 | 72,764 |
| ASM1459570v1 | 42,951 | 5905 | 1748 | 10,700 | 61,304 | |
| ASM90040638v1 | 19,595 | 4999 | 1326 | 3541 | 29,461 |
| Marker Type | Ref. Genome | e-PCR for 1 Locus | e-PCR for 2 Loci | E-PCR for 3 Loci | e-PCR for More Than 3 Loci | Total |
|---|---|---|---|---|---|---|
| IP | B. napus pagenome | 3387 | 4999 | 3403 | 6444 | 18,233 |
| B. rapa | 11,084 | 3153 | 607 | 129 | 14,973 | |
| B. oleracea | 9728 | 2502 | 406 | 108 | 12,744 | |
| B. juncea | 6203 | 6311 | 3025 | 3425 | 18,964 | |
| SSR | B. napus pagenome | 375 | 392 | 235 | 302 | 1304 |
| B. rapa | 785 | 175 | 30 | 5 | 995 | |
| B. oleracea | 674 | 136 | 17 | 3 | 830 | |
| B. juncea | 617 | 424 | 170 | 165 | 1376 |
| Chromosome | Total Length (Mb) | Counts of SSL Markers | Density of SSL Markers/Mb |
|---|---|---|---|
| I1 | 37.14 | 29 | 0.78 |
| I2 | 36.13 | 26 | 0.71 |
| I3 | 37.85 | 25 | 0.66 |
| I4 | 34.44 | 26 | 0.75 |
| I5 | 33.15 | 31 | 0.94 |
| I6 | 38.22 | 26 | 0.68 |
| I7 | 33.37 | 30 | 0.90 |
| Metabolic Pathway | Gene ID | Chromosome | Start Position | End Position | Abbreviation | Description |
|---|---|---|---|---|---|---|
| Iin18475 | I5 | 10,901,212 | 10,904,010 | SMO2 | plant 4alpha-monomethylsterol monooxygenase | |
| Terpenoids and sterols biosynthetic pathways | Iin21466 | I6 | 23,170,011 | 23,173,893 | DXS | 1-deoxy-D-xylulose-5-phosphate synthase |
| Iin23455 | 35,110,815 | 35,113,835 | HDR | 4-hydroxy-3-methylbut-2-en-1-yl diphosphate reductase | ||
| Iin23689 | 36,492,488 | 36,493,670 | GGPS | geranylgeranyl diphosphate synthase | ||
| Iin23973 | 38,150,139 | 38,151,871 | ||||
| Iin23487 | 35,259,009 | 35,262,998 | FDFT | farnesyl-diphosphate farnesyltransferase | ||
| Iin23488 | 35,263,839 | 35,267,058 | ||||
| Iin23772 | 37,054,747 | 37,057,792 | SQLE | squalene monooxygenase | ||
| Iin22242 | 28,230,234 | 28,232,417 | SMO1 | plant 4,4-dimethylsterol C-4alpha-methyl-monooxygenase | ||
| Lignans and flavonoids biosynthetic pathways | Iin18350 | I5 | 10,107,465 | 10,114,592 | C4H | cinnamate 4-hydroxylase |
| Iin18353 | 10,117,910 | 10,120,142 | ||||
| Iin18354 | 10,129,174 | 10,131,535 | ||||
| Iin18531 | 11,574,246 | 11,575,487 | DIR | Dirigent protein | ||
| Iin22645 | I6 | 30,755,729 | 30,757,995 | CCoAOMT | caffeoyl-CoA O-methyltransferase | |
| Iin23419 | 34,931,455 | 34,933,174 | caffeoyl-CoA O-methyltransferase | |||
| Iin23442 | 35,032,027 | 35,034,075 | CAD | cinnamyl-alcohol dehydrogenase | ||
| Iin23794 | 37,202,962 | 37,205,920 | ||||
| Iin23795 | 37,207,004 | 37,209,625 | ||||
| Iin23796 | 37,216,859 | 37,219,436 | ||||
| Iin23889 | 37,744,686 | 37,746,684 | ||||
| Iin20509 | 5,966,754 | 5,967,454 | DIR | Dirigent protein | ||
| Iin21107 | 19,140,553 | 19,141,528 | ||||
| Iin22345 | 29,074,569 | 29,075,138 | ||||
| Iin22360 | 29,163,765 | 29,164,388 | ||||
| Iin21123 | 19,340,771 | 19,343,941 | PLR | pinoresinol/lariciresinol reductase | ||
| Iin24104 | I7 | 442,462 | 444,628 | CCR | cinnamoyl-CoA reductase | |
| Indole alkaloids biosynthetic pathways | Iin22896 | I6 | 31,982,635 | 31,989,149 | DDC | aromatic-L-amino-acid/L-tryptophan decarboxylase |
| Iin22479 | 29,865,590 | 29,868,588 | TAA | L-tryptophan---pyruvate aminotransferase | ||
| Iin21070 | 18,226,026 | 18,228,437 | YUCCA | indole-3-pyruvate monooxygenase | ||
| Iin22904 | 32,050,342 | 32,052,237 | ||||
| Iin23276 | 34,170,537 | 34,172,463 | ||||
| Iin23829 | 37,348,774 | 37,350,974 | CYP79B | tryptophan N-monooxygenase |
| Functional Marker | Gene ID | Forward Primer Sequence (5′-3′) | Reverse Primer Sequence (5′-3′) |
|---|---|---|---|
| I6. YUCCA-1 | Iin21070 | GACCGGTTCTTGTTACGCAT | CATCAACAAACTCTGCCGAA |
| I6. TAA | Iin22479 | CACTTTAACCATGCAAACGC | TGAACGTTGCAATTTCCTTG |
| I6. CAD-1 | Iin23442 | ACGAGACAACCAACTCCGAC | TCGGCATGTCTAATTACCCC |
| I6. CAD-4 | Iin23796 | CAAAAGTTCAGAAGGAGGCG | ACATTCCCCAATCGTTCTTG |
| I6. CAD-5 | Iin23889 | TCTCCTTCATCCCTCCAATG | GCAAAGAAGACGAAGCCATC |
| I6. GGPS-2 | Iin23973 | ACAAGATCAGGAGGGGTGTG | GGAGATCAACCAGAAGCTCG |
| I7. CCR | Iin24104 | CTTGGAGAGAGGCTACACCG | CTTGACCTTTGCTTTAGCGG |
Disclaimer/Publisher’s Note: The statements, opinions and data contained in all publications are solely those of the individual author(s) and contributor(s) and not of MDPI and/or the editor(s). MDPI and/or the editor(s) disclaim responsibility for any injury to people or property resulting from any ideas, methods, instructions or products referred to in the content. |
© 2025 by the authors. Licensee MDPI, Basel, Switzerland. This article is an open access article distributed under the terms and conditions of the Creative Commons Attribution (CC BY) license (https://creativecommons.org/licenses/by/4.0/).
Share and Cite
Guo, Y.; Han, Y.; Gao, J.; Ge, X.; Luo, Y.; Zhao, K.; Li, G.; Zu, F.; Cheng, X. Rapid Identification of Alien Chromosome Fragments and Tracing of Bioactive Compound Genes in Intergeneric Hybrid Offspring Between Brassica napus and Isatis indigotica Based on AMAC Method. Int. J. Mol. Sci. 2025, 26, 2091. https://doi.org/10.3390/ijms26052091
Guo Y, Han Y, Gao J, Ge X, Luo Y, Zhao K, Li G, Zu F, Cheng X. Rapid Identification of Alien Chromosome Fragments and Tracing of Bioactive Compound Genes in Intergeneric Hybrid Offspring Between Brassica napus and Isatis indigotica Based on AMAC Method. International Journal of Molecular Sciences. 2025; 26(5):2091. https://doi.org/10.3390/ijms26052091
Chicago/Turabian StyleGuo, Yanhong, Yutian Han, Jinxiang Gao, Xianhong Ge, Yanqing Luo, Kaiqin Zhao, Genze Li, Feng Zu, and Xiaomao Cheng. 2025. "Rapid Identification of Alien Chromosome Fragments and Tracing of Bioactive Compound Genes in Intergeneric Hybrid Offspring Between Brassica napus and Isatis indigotica Based on AMAC Method" International Journal of Molecular Sciences 26, no. 5: 2091. https://doi.org/10.3390/ijms26052091
APA StyleGuo, Y., Han, Y., Gao, J., Ge, X., Luo, Y., Zhao, K., Li, G., Zu, F., & Cheng, X. (2025). Rapid Identification of Alien Chromosome Fragments and Tracing of Bioactive Compound Genes in Intergeneric Hybrid Offspring Between Brassica napus and Isatis indigotica Based on AMAC Method. International Journal of Molecular Sciences, 26(5), 2091. https://doi.org/10.3390/ijms26052091
