High CD36 Expression Predicts Aggressive Invasion and Recurrence in Oral Squamous Cell Carcinoma
Abstract
1. Introduction
2. Results
2.1. Patients and Characteristics
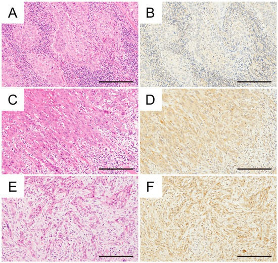
2.2. Correlations Between CD36 Expression and the Clinicopathological Characteristics of Patients with OSCC
2.3. Correlation Between CD36 Expression and Survival in Patients with OSCC After Treatment
2.4. Correlation Between CD36 Expression and Related Molecular Profiles in Head and Neck Cancer from the TCGA Datasets
3. Discussion
4. Materials and Methods
4.1. Patients
4.2. Immunohistochemistry
4.3. Quantification of CD36 Expression with Immunoreactivity Scoring
4.4. Statistical Analysis
4.5. Acquisition and Analysis of TCGA Data
Author Contributions
Funding
Institutional Review Board Statement
Informed Consent Statement
Data Availability Statement
Acknowledgments
Conflicts of Interest
Abbreviations
| OSCC | Oral squamous cell carcinoma |
| EMT | Epithelial–mesenchymal transition |
| ROS | Reactive oxygen species |
References
- Chamoli, A.; Gosavi, A.S.; Shirwadkar, U.P.; Wangdale, K.V.; Behera, S.K.; Kurrey, N.K.; Kalia, K.; Mandoli, A. Overview of oral cavity squamous cell carcinoma: Risk factors, mechanisms, and diagnostics. Oral Oncol. 2021, 121, 105451. [Google Scholar] [CrossRef] [PubMed]
- Rivera, C. Essentials of oral cancer. Int. J. Clin. Exp. Pathol. 2015, 8, 11884–11894. [Google Scholar] [PubMed]
- Kujan, O.; van Schaijik, B.; Farah, C.S. Immune Checkpoint Inhibitors in Oral Cavity Squamous Cell Carcinoma and Oral Potentially Malignant Disorders: A Systematic Review. Cancers 2020, 12, 1937. [Google Scholar] [CrossRef] [PubMed]
- Silverstein, R.L.; Febbraio, M. CD36, a scavenger receptor involved in immunity, metabolism, angiogenesis, and behavior. Sci. Signal 2009, 2, re3. [Google Scholar] [CrossRef]
- Hale, J.S.; Otvos, B.; Sinyuk, M.; Alvarado, A.G.; Hitomi, M.; Stoltz, K.; Wu, Q.; Flavahan, W.; Levison, B.; Johansen, M.L.; et al. Cancer stem cell-specific scavenger receptor CD36 drives glioblastoma progression. Stem Cells 2014, 32, 1746–1758. [Google Scholar] [CrossRef]
- Pascual, G.; Avgustinova, A.; Mejetta, S.; Martín, M.; Castellanos, A.; Attolini, C.S.; Berenguer, A.; Prats, N.; Toll, A.; Hueto, J.A.; et al. Targeting metastasis-initiating cells through the fatty acid receptor CD36. Nature 2017, 541, 41–45. [Google Scholar] [CrossRef]
- Watt, M.J.; Clark, A.K.; Selth, L.A.; Haynes, V.R.; Lister, N.; Rebello, R.; Porter, L.H.; Niranjan, B.; Whitby, S.T.; Lo, J.; et al. Suppressing fatty acid uptake has therapeutic effects in preclinical models of prostate cancer. Sci. Transl. Med. 2019, 11, eaau5758. [Google Scholar] [CrossRef]
- Yoshida, T.; Yokobori, T.; Saito, H.; Kuriyama, K.; Kumakura, Y.; Honjo, H.; Hara, K.; Sakai, M.; Miyazaki, T.; Obinata, H.; et al. CD36 Expression Is Associated with Cancer Aggressiveness and Energy Source in Esophageal Squamous Cell Carcinoma. Ann. Surg. Oncol. 2021, 28, 1217–1227. [Google Scholar] [CrossRef]
- Sakurai, K.; Tomihara, K.; Yamazaki, M.; Heshiki, W.; Moniruzzaman, R.; Sekido, K.; Tachinami, H.; Ikeda, A.; Imaue, S.; Fujiwara, K.; et al. CD36 expression on oral squamous cell carcinoma cells correlates with enhanced proliferation and migratory activity. Oral Dis. 2020, 26, 745–755. [Google Scholar] [CrossRef]
- Pepino, M.Y.; Kuda, O.; Samovski, D.; Abumrad, N.A. Structure-function of CD36 and importance of fatty acid signal transduction in fat metabolism. Annu. Rev. Nutr. 2014, 34, 281–303. [Google Scholar] [CrossRef]
- Nath, A.; Li, I.; Roberts, L.R.; Chan, C. Elevated free fatty acid uptake via CD36 promotes epithelial-mesenchymal transition in hepatocellular carcinoma. Sci. Rep. 2015, 5, 14752. [Google Scholar] [CrossRef] [PubMed]
- Brierley, J.D.; Gospodarowicz, M.K.; Wittekind, C. TNM Classification of Malignant Tumours, 8th ed.; Wiley-Blackwell: Hoboken, NJ, USA, 2017. [Google Scholar]
- El-Naggar, A.K.; Chan, J.K.C.; Rubin Grandis, J.; Takata, T.; Slootweg, P.J. WHO Classification of Head and Neck Tumours, 4th ed.; International Agency for Research on Cancer: Lyon, France, 2017. [Google Scholar]
- Yamamoto, E.; Kohama, G.; Sunakawa, H.; Iwai, M.; Hiratsuka, H. Mode of invasion, bleomycin sensitivity, and clinical course in squamous cell carcinoma of the oral cavity. Cancer 1983, 51, 2175–2180. [Google Scholar] [CrossRef] [PubMed]
- Brocker, C.N.; Patel, D.P.; Velenosi, T.J.; Kim, D.; Yan, T.; Yue, J.; Li, G.; Krausz, K.W.; Gonzalez, F.J. Extrahepatic PPARα modulates fatty acid oxidation and attenuates fasting-induced hepatosteatosis in mice. J. Lipid Res. 2018, 59, 2140–2152. [Google Scholar] [CrossRef] [PubMed]
- Song, Y.F.; Tan, X.Y.; Pan, Y.X.; Zhang, L.H.; Chen, Q.L. Fatty Acid β-Oxidation Is Essential in Leptin-Mediated Oocytes Maturation of Yellow Catfish Pelteobagrus fulvidraco. Int. J. Mol. Sci. 2018, 19, 1457. [Google Scholar] [CrossRef]
- Li, X.; Rong, Y.; Zhang, M.; Wang, X.L.; LeMaire, S.A.; Coselli, J.S.; Zhang, Y.; Shen, Y.H. Up-regulation of thioredoxin interacting protein (Txnip) by p38 MAPK and FOXO1 contributes to the impaired thioredoxin activity and increased ROS in glucose-treated endothelial cells. Biochem. Biophys. Res. Commun. 2009, 381, 660–665. [Google Scholar] [CrossRef]
- Krebs, A.M.; Mitschke, J.; Lasierra Losada, M.; Schmalhofer, O.; Boerries, M.; Busch, H.; Boettcher, M.; Mougiakakos, D.; Reichardt, W.; Bronsert, P.; et al. The EMT-activator Zeb1 is a key factor for cell plasticity and promotes metastasis in pancreatic cancer. Nat. Cell Biol. 2017, 19, 518–529. [Google Scholar] [CrossRef]
- Hofmann, L.; Harasymczuk, M.; Huber, D.; Szczepanski, M.J.; Dworacki, G.; Whiteside, T.L.; Theodoraki, M.N. Arginase-1 in Plasma-Derived Exosomes as Marker of Metastasis in Patients with Head and Neck Squamous Cell Carcinoma. Cancers 2023, 15, 5449. [Google Scholar] [CrossRef]
- Deng, M.; Cai, X.; Long, L.; Xie, L.; Ma, H.; Zhou, Y.; Liu, S.; Zeng, C. CD36 promotes the epithelial-mesenchymal transition and metastasis in cervical cancer by interacting with TGF-β. J. Transl. Med. 2019, 17, 352. [Google Scholar] [CrossRef]
- Aoki, T.; Kinoshita, J.; Munesue, S.; Hamabe-Horiike, T.; Yamaguchi, T.; Nakamura, Y.; Okamoto, K.; Moriyama, H.; Nakamura, K.; Harada, S.; et al. Hypoxia-Induced CD36 Expression in Gastric Cancer Cells Promotes Peritoneal Metastasis via Fatty Acid Uptake. Ann. Surg. Oncol. 2023, 30, 3125–3136. [Google Scholar] [CrossRef]
- Guerrero-Rodríguez, S.L.; Mata-Cruz, C.; Pérez-Tapia, S.M.; Velasco-Velázquez, M.A. Role of CD36 in cancer progression, stemness, and targeting. Front. Cell Dev. Biol. 2022, 10, 1079076. [Google Scholar] [CrossRef]
- Farge, T.; Nakhle, J.; Lagarde, D.; Cognet, G.; Polley, N.; Castellano, R.; Nicolau, M.L.; Bosc, C.; Sabatier, M.; Sahal, A.; et al. CD36 Drives Metastasis and Relapse in Acute Myeloid Leukemia. Cancer Res. 2023, 83, 2824–2838. [Google Scholar] [CrossRef] [PubMed]
- Takaichi, M.; Tachinami, H.; Takatsuka, D.; Yonesi, A.; Sakurai, K.; Rasul, M.I.; Imaue, S.; Yamada, S.I.; Ruslin, M.; Yamazaki, M.; et al. Targeting CD36-Mediated Lipid Metabolism by Selective Inhibitor-Augmented Antitumor Immune Responses in Oral Cancer. Int. J. Mol. Sci. 2024, 25, 9438. [Google Scholar] [CrossRef] [PubMed]
- Wilson, C.G.; Tran, J.L.; Erion, D.M.; Vera, N.B.; Febbraio, M.; Weiss, E.J. Hepatocyte-Specific Disruption of CD36 Attenuates Fatty Liver and Improves Insulin Sensitivity in HFD-Fed Mice. Endocrinology 2016, 157, 570–585. [Google Scholar] [CrossRef] [PubMed]
- Havas, K.M.; Milchevskaya, V.; Radic, K.; Alladin, A.; Kafkia, E.; Garcia, M.; Stolte, J.; Klaus, B.; Rotmensz, N.; Gibson, T.J.; et al. Metabolic shifts in residual breast cancer drive tumor recurrence. J. Clin. Investig. 2017, 127, 2091–2105. [Google Scholar] [CrossRef]
- Zhang, X.; Guo, L.; Tian, W.; Yang, Y.; Yin, Y.; Qiu, Y.; Wang, W.; Li, Y.; Zhang, G.; Zhao, X.; et al. CD36+ Proinflammatory Macrophages Interact with ZCCHC12+ Tumor Cells in Papillary Thyroid Cancer Promoting Tumor Progression and Recurrence. Cancer Immunol. Res. 2024, 12, 1621–1639. [Google Scholar] [CrossRef]
- Kubo, M.; Gotoh, K.; Eguchi, H.; Kobayashi, S.; Iwagami, Y.; Tomimaru, Y.; Akita, H.; Asaoka, T.; Noda, T.; Takeda, Y.; et al. Impact of CD36 on Chemoresistance in Pancreatic Ductal Adenocarcinoma. Ann. Surg. Oncol. 2020, 27, 610–619. [Google Scholar] [CrossRef]
- Shimizu, S.; Miyazaki, A.; Sonoda, T.; Koike, K.; Ogi, K.; Kobayashi, J.I.; Kaneko, T.; Igarashi, T.; Ueda, M.; Dehari, H.; et al. Tumor budding is an independent prognostic marker in early stage oral squamous cell carcinoma: With special reference to the mode of invasion and worst pattern of invasion. PLoS ONE 2018, 13, e0195451. [Google Scholar] [CrossRef]
- Pearson, G.W. Control of Invasion by Epithelial-to-Mesenchymal Transition Programs during Metastasis. J. Clin. Med. 2019, 8, 646. [Google Scholar] [CrossRef]
- Kaihara, T.; Kusaka, T.; Kawamata, H.; Oda, Y.; Fujii, S.; Morita, K.; Imura, J.; Fujimori, T. Decreased expression of E-cadherin and Yamamoto-Kohama’s mode of invasion highly correlates with lymph node metastasis in esophageal squamous cell carcinoma. Pathobiology 2001, 69, 172–178. [Google Scholar] [CrossRef]
- Li, D.; Xia, L.; Huang, P.; Wang, Z.; Guo, Q.; Huang, C.; Leng, W.; Qin, S. Heterogeneity and plasticity of epithelial-mesenchymal transition (EMT) in cancer metastasis: Focusing on partial EMT and regulatory mechanisms. Cell Prolif. 2023, 56, e13423. [Google Scholar] [CrossRef]
- McCarty, K.S., Jr.; Miller, L.S.; Cox, E.B.; Konrath, J.; McCarty, K.S., Sr. Estrogen receptor analyses. Correlation of biochemical and immunohistochemical methods using monoclonal antireceptor antibodies. Arch. Pathol. Lab. Med. 1985, 109, 716–721. [Google Scholar]
- Cancer Genome Atlas Network. Comprehensive genomic characterization of head and neck squamous cell carcinomas. Nature 2015, 517, 576–582. [Google Scholar] [CrossRef]





| N (%) | Median (Interquartile Range) | p-Values | |
|---|---|---|---|
| Age, years | 0.45 | ||
| <72 | 27 (49%) | 97.4 (3.5–165.8) | |
| >72 | 28 (51%) | 66.7 (1.3–156.0) | |
| Sex | 0.21 | ||
| Male | 26 (47%) | 104.7 (1.3–165.8) | |
| Female | 29 (53%) | 64.7 (4.2–156.0) | |
| BMI | 0.37 | ||
| <21.7 | 27 (49%) | 64.9 (4.2–165.8) | |
| >21.7 | 28 (51%) | 98.0 (1.3–155.3) | |
| Primary site | 0.0011 | ||
| Tongue | 32 (58%) | 108.7 (5.9–165.8) | |
| Mandibular gingiva | 10 (18%) | 12.2 (1.3–148.9) | |
| Maxillary gingiva | 9 (16%) | 63.3 (35.3–79.5) | |
| Floor of mouth | 2 (4%) | 155.7 (155.3–156.0) | |
| Buccal mucosa | 1 (2%) | 129.2 | |
| Lip | 1 (2%) | 54.4 | |
| Tumor stage | 0.026 | ||
| I | 22 (40%) | 54.2 (1.3–145.4) | |
| II | 17 (31%) | 98.5 (42.7–155.3) | |
| III | 8 (15%) | 65.2 (4.2–140.1) | |
| IV | 8 (15%) | 118.6 (64.7–165.8) | |
| T factor | 0.065 | ||
| T1 | 22 (40%) | 54.2 (1.3–145.4) | |
| T2 | 21 (38%) | 98.5 (4.2–155.3) | |
| T3 | 6 (11%) | 89.6 (53.9–138.6) | |
| T4 | 6 (11%) | 103.1 (64.7–165.8) | |
| N factor | 0.25 | ||
| N0 | 44 (80%) | 74.0 (1.3–156.0) | |
| N1–3 | 11 (20%) | 125.7 (4.2–165.8) | |
| Differentiation | 0.013 | ||
| Well | 25 (45%) | 64.7 (1.3–145.4) | |
| Moderate | 21 (38%) | 74.1 (3.5–156.0) | |
| Poorly | 9 (16%) | 125.7 (61.6–165.8) | |
| Mode of invasion | 0.0034 | ||
| 1 | 3 (5%) | 58.7 (52.5–127.9) | |
| 2 | 16 (29%) | 53.9 (1.3–145.4) | |
| 3 | 21 (38%) | 79.5 (3.5–156.0) | |
| 4C/4D | 15 (27%) | 125.7 (60.3–165.8) | |
| Lymphovascular invasion | 0.13 | ||
| Absent | 47 (85%) | 68.7 (1.3–165.8) | |
| Present | 8 (15%) | 104.5 (66.1–145.6) | |
| Perineural invasion | 0.15 | ||
| Absent | 52 (95%) | 74.0 (1.3–165.8) | |
| Present | 3 (5%) | 121.7 (110.5–145.6) | |
| Recurrence | 0.0004 | ||
| Absent | 29 (53%) | 58.7 (1.3–140.1) | |
| Present | 26 (47%) | 125.7 (4.2–165.8) |
| Characteristics | Univariate Analysis | Multivariate Analysis | ||||
|---|---|---|---|---|---|---|
| HR | 95%CI | p Value | HR | 95%CI | p value | |
| Age (years) | ||||||
| <72 versus >72 | 0.84 | 0.16 ~ 3.85 | 0.82 | |||
| Sex | ||||||
| Female versus male | 1.53 | 0.34 ~ 7.76 | 0.58 | |||
| BMI | ||||||
| <21.7 versus >21.7 | 1.18 | 0.25 ~ 6.03 | 0.83 | |||
| T factor | ||||||
| T1–2 versus T3–4 | 6.12 | 1.34 ~ 31.27 | 0.018 | 1.29 | 0.14 ~ 27.59 | 0.83 |
| N factor | ||||||
| Absent versus present | 4.58 | 0.99 ~ 23.5 | 0.048 | 0.27 | 0.0082 ~ 8.27 | 0.4 |
| Tumor stage | ||||||
| I-II versus III-IV | 6.31 | 1.35 ~ 44.13 | 0.028 | 19.99 | 0.24 ~ 1728 | 0.16 |
| Differentiation | ||||||
| Well versus moderate–poorly | 2.06 | 0.44 ~ 14.46 | 0.39 | |||
| Mode of invasion | ||||||
| 1–3 versus 4C/4D | 5.78 | 1.18 ~ 41.37 | 0.04 | 10.02 | 1.48 ~ 197.7 | 0.04 |
| Lymphovascular invasion | ||||||
| Absent versus present | 0.96 | 0.051 ~ 5.63 | 0.97 | |||
| Perineural invasion | ||||||
| Absent versus present | 1.3 × 10−11 | - | >0.99 | |||
| CD36 expression | ||||||
| Low versus high | 1.93 | 0.37 ~ 13.94 | 0.45 | |||
| Recurrence | ||||||
| Absent versus present | 2.5 × 10−12 | 3.88 ~ NE | >0.99 | |||
| Characteristics | Univariate Analysis | Multivariate Analysis | ||||
|---|---|---|---|---|---|---|
| HR | 95%CI | p Value | HR | 95%CI | p Value | |
| Age (years) | ||||||
| <72 versus >72 | 0.92 | 0.041 ~ 2.00 | 0.83 | |||
| Sex | ||||||
| Female versus male | 0.73 | 0.33 ~ 1.59 | 0.44 | |||
| BMI | ||||||
| <21.7 versus >21.7 | 1.75 | 0.8 ~ 3.99 | 0.17 | |||
| T factor | ||||||
| T1–2 versus T3–4 | 4.009 | 1.65 ~ 9.27 | 0.0014 | 2.47 | 0.54 ~ 17.75 | 0.29 |
| N factor | ||||||
| Absent versus present | 2.7 | 1.15 ~ 5.96 | 0.017 | 0.59 | 0.11 ~ 4.62 | 0.56 |
| Tumor stage | ||||||
| I-II versus III-IV | 2.62 | 1.17 ~ 5.71 | 0.016 | 2.1 | 0.15 ~ 20.17 | 0.54 |
| Differentiation | ||||||
| Well versus moderate–poorly | 1.57 | 0.72 ~ 3.52 | 0.26 | |||
| Mode of invasion | ||||||
| 1–3 versus 4C/4D | 4.94 | 2.26 ~ 10.97 | <0.0001 | 2.62 | 1.07 ~ 6.86 | 0.04 |
| Lymphovascular invasion | ||||||
| Absent versus present | 2.33 | 0.9 ~ 5.34 | 0.058 | |||
| Perineural invasion | ||||||
| Absent versus present | 0.55 | 0.031 ~ 2.59 | 0.56 | |||
| CD36 expression | ||||||
| Low versus high | 4.85 | 2.05 ~ 13.34 | 0.0008 | 3.29 | 1.14 ~ 10.93 | 0.036 |
Disclaimer/Publisher’s Note: The statements, opinions and data contained in all publications are solely those of the individual author(s) and contributor(s) and not of MDPI and/or the editor(s). MDPI and/or the editor(s) disclaim responsibility for any injury to people or property resulting from any ideas, methods, instructions or products referred to in the content. |
© 2025 by the authors. Licensee MDPI, Basel, Switzerland. This article is an open access article distributed under the terms and conditions of the Creative Commons Attribution (CC BY) license (https://creativecommons.org/licenses/by/4.0/).
Share and Cite
Sakurai, K.; Tomihara, K.; Yamazaki, M.; Tanuma, J.-i.; Yamada, S.-i. High CD36 Expression Predicts Aggressive Invasion and Recurrence in Oral Squamous Cell Carcinoma. Int. J. Mol. Sci. 2025, 26, 12071. https://doi.org/10.3390/ijms262412071
Sakurai K, Tomihara K, Yamazaki M, Tanuma J-i, Yamada S-i. High CD36 Expression Predicts Aggressive Invasion and Recurrence in Oral Squamous Cell Carcinoma. International Journal of Molecular Sciences. 2025; 26(24):12071. https://doi.org/10.3390/ijms262412071
Chicago/Turabian StyleSakurai, Kotaro, Kei Tomihara, Manabu Yamazaki, Jun-ichi Tanuma, and Shin-ichi Yamada. 2025. "High CD36 Expression Predicts Aggressive Invasion and Recurrence in Oral Squamous Cell Carcinoma" International Journal of Molecular Sciences 26, no. 24: 12071. https://doi.org/10.3390/ijms262412071
APA StyleSakurai, K., Tomihara, K., Yamazaki, M., Tanuma, J.-i., & Yamada, S.-i. (2025). High CD36 Expression Predicts Aggressive Invasion and Recurrence in Oral Squamous Cell Carcinoma. International Journal of Molecular Sciences, 26(24), 12071. https://doi.org/10.3390/ijms262412071

