Development of a Vaccine Candidate Based on Surface-Displayed Particles of Mycobacterium tuberculosis from the MTB39A Protein
Abstract
1. Introduction
2. Results
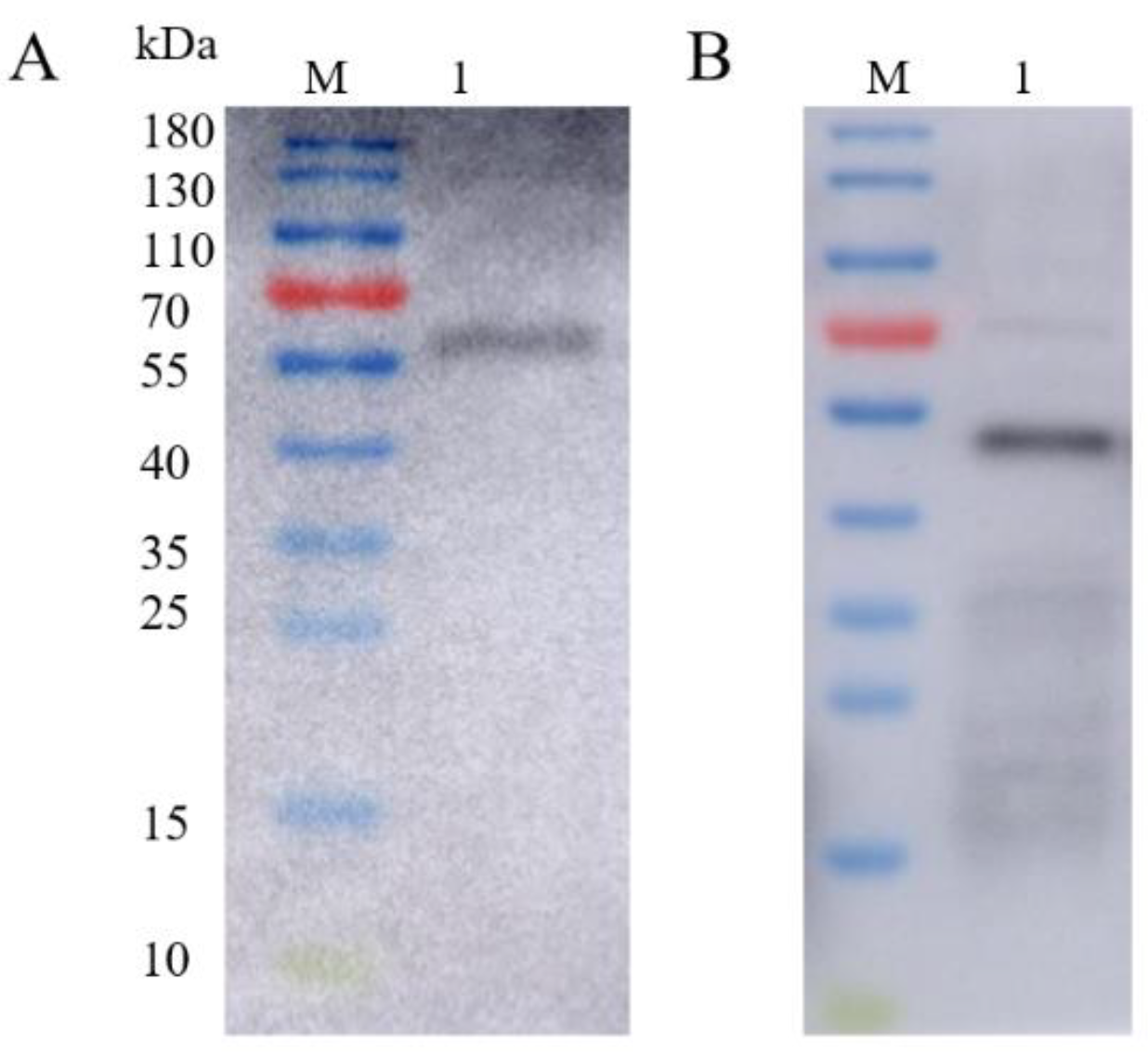
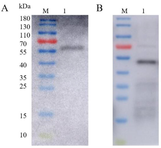
2.1. Construction and Characterization of MTB32C-MTB39A Recombinant Vector
2.2. Localization of Antigenic Expression in Recombinant Baculovirus Surface Display Particles rvAc-71CA-mCherry
2.3. rvAc-71CA/rvAc-MTB39A Induces Immune Responses in Mice
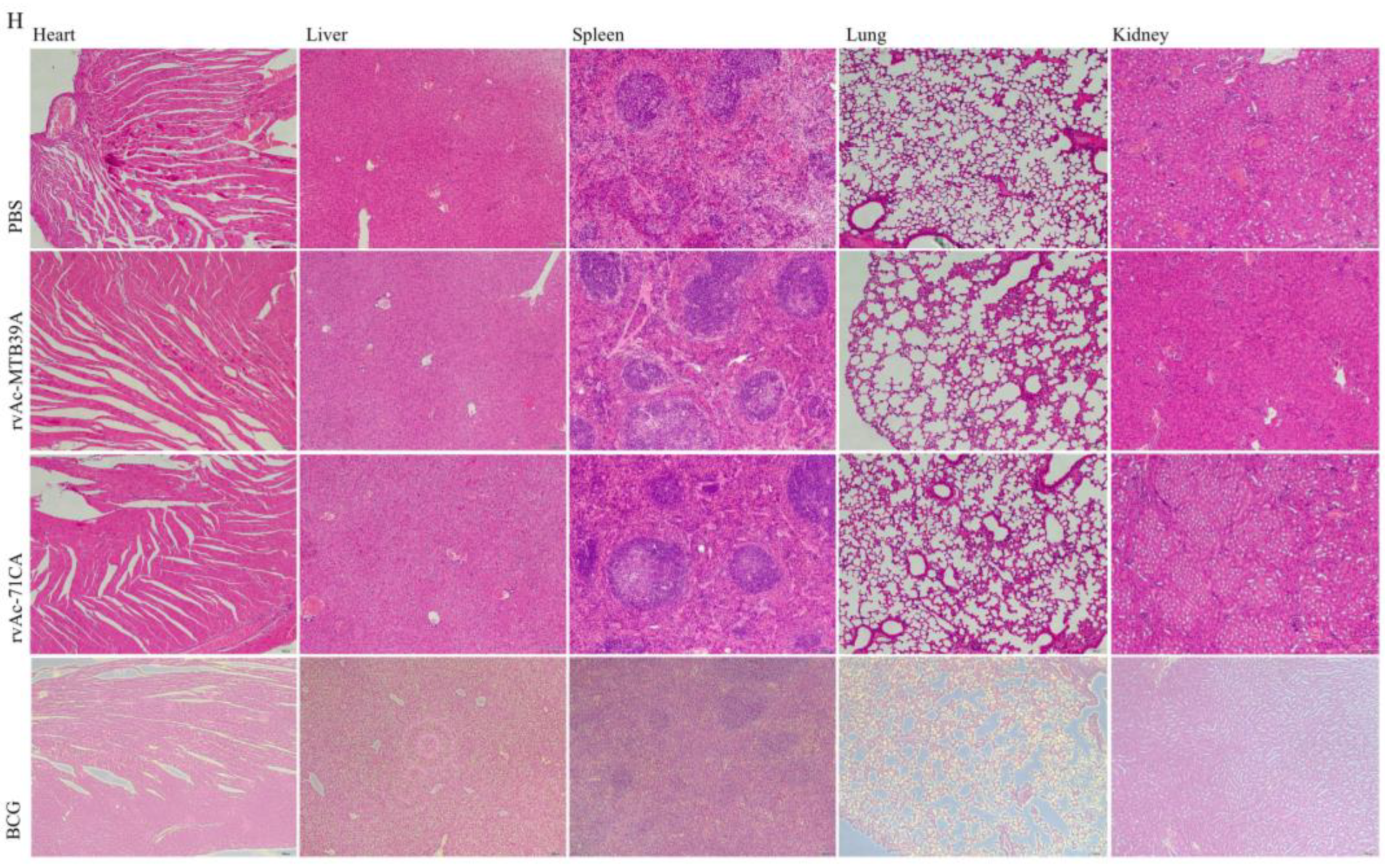
2.4. Evaluation of rvAc-71CA/rvAc-MTB39A Nanoparticle Vaccine-Activated T-Cell Responses and Safety in Mice
2.5. rvAc-71CA/rvAc-MTB39A Induced Immune Response in Calves
3. Discussion
4. Materials and Methods
4.1. Construction of the MTB32C-MTB39A Gene and Expression Vector
4.2. Culture of Grassland Nightshade Moth (Sf9) Cells and Amplification of Recombinant Baculovirus
4.3. Indirect Immunofluorescence and Immunocolloidal Gold Electron Microscopy
4.4. Vector and Western Blot Identification for Animal Immunization Experiments
4.5. Mouse Vaccination
4.6. Analysis of the Serum IgG Antibody Levels
4.7. Lymphocyte Proliferation Test
4.8. Flow Cytometry
4.9. H&E Staining
4.10. Immunization Strategy and Cytokine Detection in Calves
4.11. Statistical Analysis
5. Conclusions
Supplementary Materials
Author Contributions
Funding
Institutional Review Board Statement
Informed Consent Statement
Data Availability Statement
Acknowledgments
Conflicts of Interest
References
- Ravimohan, S.; Kornfeld, H.; Weissman, D.; Bisson, G.P. Tuberculosis and lung damage: From epidemiology to pathophysiology. Eur. Respir. Rev. 2018, 27, 170077. [Google Scholar] [CrossRef] [PubMed]
 - Thoen, C.; Lobue, P.; de Kantor, I. The importance of Mycobacterium bovis as a zoonosis. Vet. Microbiol. 2006, 112, 339–345. [Google Scholar] [CrossRef] [PubMed]
 - Global Tuberculosis Report. Available online: https://www.who.int/teams/global-tuberculosis-programme/tb-reports/global-tuberculosis-report-2023 (accessed on 2 May 2024).
 - Lange, C.; Aaby, P.; Behr, M.A.; Donald, P.R.; Kaufmann, S.H.E.; Netea, M.G.; Mandalakas, A.M. 100 years of Mycobacterium bovis bacille Calmette-Guerin. Lancet Infect. Dis. 2022, 22, e2–e12. [Google Scholar] [CrossRef] [PubMed]
 - Gela, A.; Murphy, M.; Rodo, M.; Hadley, K.; Hanekom, W.A.; Boom, W.H.; Johnson, J.L.; Hoft, D.F.; Joosten, S.A.; Ottenhoff, T.H.M.; et al. Effects of BCG vaccination on donor unrestricted T cells in two prospective cohort studies. EBioMedicine 2022, 76, 103839. [Google Scholar] [CrossRef] [PubMed]
 - Fatima, S.; Kumari, A.; Das, G.; Dwivedi, V.P. Tuberculosis vaccine: A journey from BCG to present. Life Sci. 2020, 252, 117594. [Google Scholar] [CrossRef]
 - Fruth, U.; Young, D. Prospects for new TB vaccines: Stop TB Working Group on TB Vaccine Development. Int. J. Tuberc. Lung Dis. 2004, 8, 151–155. [Google Scholar] [PubMed]
 - Kohli, S.; Singh, Y.; Sharma, K.; Mittal, A.; Ehtesham, N.Z.; Hasnain, S.E. Comparative genomic and proteomic analyses of PE/PPE multigene family of Mycobacterium tuberculosis H(3)(7)Rv and H(3)(7)Ra reveal novel and interesting differences with implications in virulence. Nucleic Acids Res. 2012, 40, 7113–7122. [Google Scholar] [CrossRef] [PubMed]
 - Wolfe, L.M.; Mahaffey, S.B.; Kruh, N.A.; Dobos, K.M. Proteomic definition of the cell wall of Mycobacterium tuberculosis. J. Proteome Res. 2010, 9, 5816–5826. [Google Scholar] [CrossRef] [PubMed]
 - Dolasia, K.; Nazar, F.; Mukhopadhyay, S. Mycobacterium tuberculosis PPE18 protein inhibits MHC class II antigen presentation and B cell response in mice. Eur. J. Immunol. 2021, 51, 603–619. [Google Scholar] [CrossRef] [PubMed]
 - Bhat, K.H.; Ahmed, A.; Kumar, S.; Sharma, P.; Mukhopadhyay, S. Role of PPE18 protein in intracellular survival and pathogenicity of Mycobacterium tuberculosis in mice. PLoS ONE 2012, 7, e52601. [Google Scholar] [CrossRef]
 - Skeiky, Y.A.; Alderson, M.R.; Ovendale, P.J.; Guderian, J.A.; Brandt, L.; Dillon, D.C.; Campos-Neto, A.; Lobet, Y.; Dalemans, W.; Orme, I.M.; et al. Differential immune responses and protective efficacy induced by components of a tuberculosis polyprotein vaccine, Mtb72F, delivered as naked DNA or recombinant protein. J. Immunol. 2004, 172, 7618–7628. [Google Scholar] [CrossRef] [PubMed]
 - Tishon, A.; Lewicki, H.; Rall, G.; Von Herrath, M.; Oldstone, M.B. An essential role for type 1 interferon-gamma in terminating persistent viral infection. Virology 1995, 212, 244–250. [Google Scholar] [CrossRef]
 - Smith, D.J. Prospects in caries vaccine development. J. Dent. Res. 2012, 91, 225–226. [Google Scholar] [CrossRef] [PubMed]
 - Roy, A.; Eisenhut, M.; Harris, R.J.; Rodrigues, L.C.; Sridhar, S.; Habermann, S.; Snell, L.; Mangtani, P.; Adetifa, I.; Lalvani, A.; et al. Effect of BCG vaccination against Mycobacterium tuberculosis infection in children: Systematic review and meta-analysis. BMJ 2014, 349, g4643. [Google Scholar] [CrossRef] [PubMed]
 - Mangtani, P.; Abubakar, I.; Ariti, C.; Beynon, R.; Pimpin, L.; Fine, P.E.; Rodrigues, L.C.; Smith, P.G.; Lipman, M.; Whiting, P.F.; et al. Protection by BCG vaccine against tuberculosis: A systematic review of randomized controlled trials. Clin. Infect. Dis. 2014, 58, 470–480. [Google Scholar] [CrossRef]
 - Mendelsohn, S.C.; Fiore-Gartland, A.; Penn-Nicholson, A.; Mulenga, H.; Mbandi, S.K.; Borate, B.; Hadley, K.; Hikuam, C.; Musvosvi, M.; Bilek, N.; et al. Validation of a host blood transcriptomic biomarker for pulmonary tuberculosis in people living with HIV: A prospective diagnostic and prognostic accuracy study. Lancet Glob. Health 2021, 9, e841–e853. [Google Scholar] [CrossRef] [PubMed]
 - Gong, W.; Pan, C.; Cheng, P.; Wang, J.; Zhao, G.; Wu, X. Peptide-Based Vaccines for Tuberculosis. Front. Immunol. 2022, 13, 830497. [Google Scholar] [CrossRef] [PubMed]
 - Rijnink, W.F.; Ottenhoff, T.H.M.; Joosten, S.A. B-Cells and Antibodies as Contributors to Effector Immune Responses in Tuberculosis. Front. Immunol. 2021, 12, 640168. [Google Scholar] [CrossRef] [PubMed]
 - Stylianou, E.; Griffiths, K.L.; Poyntz, H.C.; Harrington-Kandt, R.; Dicks, M.D.; Stockdale, L.; Betts, G.; McShane, H. Improvement of BCG protective efficacy with a novel chimpanzee adenovirus and a modified vaccinia Ankara virus both expressing Ag85A. Vaccine 2015, 33, 6800–6808. [Google Scholar] [CrossRef]
 - Hawkridge, T.; Scriba, T.J.; Gelderbloem, S.; Smit, E.; Tameris, M.; Moyo, S.; Lang, T.; Veldsman, A.; Hatherill, M.; Merwe, L.; et al. Safety and immunogenicity of a new tuberculosis vaccine, MVA85A, in healthy adults in South Africa. J. Infect. Dis. 2008, 198, 544–552. [Google Scholar] [CrossRef]
 - Ullah, I.; Bibi, S.; Ul Haq, I.; Safia; Ullah, K.; Ge, L.; Shi, X.; Bin, M.; Niu, H.; Tian, J.; et al. The Systematic Review and Meta-Analysis on the Immunogenicity and Safety of the Tuberculosis Subunit Vaccines M72/AS01E and MVA85A. Front. Immunol. 2020, 11, 1806. [Google Scholar] [CrossRef]
 - Pulendran, B.; Arunachalam, P.S.; O’Hagan, D.T. Emerging concepts in the science of vaccine adjuvants. Nat. Rev. Drug Discov. 2021, 20, 454–475. [Google Scholar] [CrossRef]
 - Kaufmann, S.H. Tuberculosis vaccines: Time to think about the next generation. Semin. Immunol. 2013, 25, 172–181. [Google Scholar] [CrossRef] [PubMed]
 - Schrager, L.K.; Harris, R.C.; Vekemans, J. Research and development of new tuberculosis vaccines: A review. F1000Research 2019, 7, 1732. [Google Scholar] [CrossRef] [PubMed]
 - Schmidt, F.R. Recombinant expression systems in the pharmaceutical industry. Appl. Microbiol. Biotechnol. 2004, 65, 363–372. [Google Scholar] [CrossRef] [PubMed]
 - van Loo, N.D.; Fortunati, E.; Ehlert, E.; Rabelink, M.; Grosveld, F.; Scholte, B.J. Baculovirus infection of nondividing mammalian cells: Mechanisms of entry and nuclear transport of capsids. J. Virol. 2001, 75, 961–970. [Google Scholar] [CrossRef] [PubMed]
 - Lin, S.Y.; Chung, Y.C.; Hu, Y.C. Update on baculovirus as an expression and/or delivery vehicle for vaccine antigens. Expert Rev. Vaccines 2014, 13, 1501–1521. [Google Scholar] [CrossRef] [PubMed]
 - Yoshida, S.; Kawasaki, M.; Hariguchi, N.; Hirota, K.; Matsumoto, M. A baculovirus dual expression system-based malaria vaccine induces strong protection against Plasmodium berghei sporozoite challenge in mice. Infect. Immun. 2009, 77, 1782–1789. [Google Scholar] [CrossRef] [PubMed]
 - Tang, X.C.; Lu, H.R.; Ross, T.M. Hemagglutinin displayed baculovirus protects against highly pathogenic influenza. Vaccine 2010, 28, 6821–6831. [Google Scholar] [CrossRef] [PubMed]
 - Zhang, Y.L.; Feng, Y.; Li, L.; Ye, X.M.; Wang, J.L.; Wang, Q.; Li, P.C.; Li, N.; Zheng, X.H.; Gao, X.; et al. Immunization with an adenovirus-vectored TB vaccine containing Ag85A-Mtb32 effectively alleviates allergic asthma. J. Mol. Med. 2018, 96, 249–263. [Google Scholar] [CrossRef] [PubMed]
 - Woodworth, J.S.; Wu, Y.; Behar, S.M. Mycobacterium tuberculosis-specific CD8+ T cells require perforin to kill target cells and provide protection in vivo. J. Immunol. 2008, 181, 8595–8603. [Google Scholar] [CrossRef] [PubMed]
 - Li, L.; Jiang, Y.; Lao, S.; Yang, B.; Yu, S.; Zhang, Y.; Wu, C. Mycobacterium tuberculosis-Specific IL-21+IFN-gamma+CD4+ T Cells Are Regulated by IL-12. PLoS ONE 2016, 11, e0147356. [Google Scholar]
 - Yao, L.; Sun, J.; Xu, H.; Kan, Y.; Zhang, X.; Yan, H.C. A novel economic method for high throughput production of recombinant baculovirus by infecting insect cells with Bacmid-containing diminopimelate-auxotrophic Escherichia coli. J. Biotechnol. 2010, 145, 23–29. [Google Scholar] [CrossRef]
 - Gunasena, M.; Shukla, R.K.; Yao, N.; Rosas Mejia, O.; Powell, M.D.; Oestreich, K.J.; Aceves-Sanchez, M.J.; Flores-Valdez, M.A.; Liyanage, N.P.M.; Robinson, R.T. Evaluation of early innate and adaptive immune responses to the TB vaccine Mycobacterium bovis BCG and vaccine candidate BCGDeltaBCG1419c. Sci. Rep. 2022, 12, 12377. [Google Scholar] [CrossRef] [PubMed]
 - Tao, Y.; Li, G.; Zheng, W.; Shu, J.; Chen, J.; Yang, F.; Wu, Y.; He, Y. Development of a Combined Genetic Engineering Vaccine for Porcine Circovirus Type 2 and Mycoplasma Hyopneumoniae by a Baculovirus Expression System. Int. J. Mol. Sci. 2019, 20, 4425. [Google Scholar] [CrossRef]
 










| Protein | NCBI Registration Number | Features/Functions | Amino Acid Lengths | 
|---|---|---|---|
| MTB39A | NC_000962.3 | PE/PPE protein family | 391 aa | 
| MTB32C | MTCI418B.07 | Metabolism | 132 aa | 
| Group | Immunization Time Points | Dose | 
|---|---|---|
| PBS | 0, 14, 28 d | 100 μL | 
| rvAc-dual | 0, 14, 28 d | 107 PFU | 
| BCG | 0, 14, 28 d | 5 × 104 CFU | 
| rvAc-71cA | 0, 14, 28 d | 107 PFU | 
| rvAc-MTB39A | 0, 14, 28 d | 107 PFU | 
Disclaimer/Publisher’s Note: The statements, opinions and data contained in all publications are solely those of the individual author(s) and contributor(s) and not of MDPI and/or the editor(s). MDPI and/or the editor(s) disclaim responsibility for any injury to people or property resulting from any ideas, methods, instructions or products referred to in the content.  | 
© 2025 by the authors. Licensee MDPI, Basel, Switzerland. This article is an open access article distributed under the terms and conditions of the Creative Commons Attribution (CC BY) license (https://creativecommons.org/licenses/by/4.0/).
Share and Cite
Wang, P.; Zhang, G.; Jiang, L.; Zhang, S.; Gao, W.; Wu, Z.; Li, Y. Development of a Vaccine Candidate Based on Surface-Displayed Particles of Mycobacterium tuberculosis from the MTB39A Protein. Int. J. Mol. Sci. 2025, 26, 797. https://doi.org/10.3390/ijms26020797
Wang P, Zhang G, Jiang L, Zhang S, Gao W, Wu Z, Li Y. Development of a Vaccine Candidate Based on Surface-Displayed Particles of Mycobacterium tuberculosis from the MTB39A Protein. International Journal of Molecular Sciences. 2025; 26(2):797. https://doi.org/10.3390/ijms26020797
Chicago/Turabian StyleWang, Pu, Gang Zhang, Lingling Jiang, Sinong Zhang, Weifeng Gao, Zhiwei Wu, and Yong Li. 2025. "Development of a Vaccine Candidate Based on Surface-Displayed Particles of Mycobacterium tuberculosis from the MTB39A Protein" International Journal of Molecular Sciences 26, no. 2: 797. https://doi.org/10.3390/ijms26020797
APA StyleWang, P., Zhang, G., Jiang, L., Zhang, S., Gao, W., Wu, Z., & Li, Y. (2025). Development of a Vaccine Candidate Based on Surface-Displayed Particles of Mycobacterium tuberculosis from the MTB39A Protein. International Journal of Molecular Sciences, 26(2), 797. https://doi.org/10.3390/ijms26020797
        
