Vascular Mesenchymal Stromal Cells and Cellular Senescence: A Two-Case Study Investigating the Correlation Between an Inflammatory Microenvironment and Abdominal Aortic Aneurysm Development
Abstract
1. Introduction
2. Results
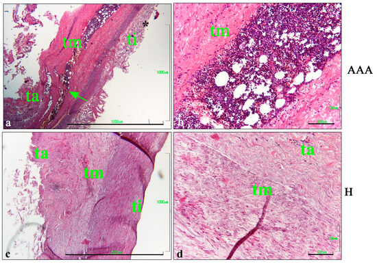
2.1. Hematoxylin and Eosin (HE) Morphological Evaluation
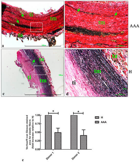
2.2. Verhoeff–Van Gieson Morphological Evaluation
2.3. Goldner’s Masson Morphological Evaluation
2.4. Ultrastructural Analysis Using TEM
2.5. Immunohistochemical Expression of p21cip1/waf1 CDKi Protein in the AAAs’ Vascular Wall
2.6. Immunohistochemical Expression of p53 Protein in AAAs’ Vascular Wall
2.7. Immunohistochemical Expression of NFkB Factor in AAAs’ Vascular Wall
3. Discussion
4. Materials and Methods
4.1. Sample Collection and Processing for Light Microscopy Analysis
4.2. Histological Staining for the Morphological Analysis of the AAA
4.3. Transmission Electron Microscopy (TEM)
4.4. Immunohistochemistry
4.5. Statistical Analysis
5. Conclusions
Author Contributions
Funding
Institutional Review Board Statement
Informed Consent Statement
Data Availability Statement
Acknowledgments
Conflicts of Interest
References
- Torres-Fonseca, M.; Galan, M.; Martinez-Lopez, D.; Cañes, L.; Roldan-Montero, R.; Alonso, J.; Reyero-Postigo, T.; Orriols, M.; Mendez-Barbero, N.; Sirvent, M.; et al. En representación del Grupo de trabajo de Biología Vascular de la Sociedad Española de Arteriosclerosis. Pathophisiology of abdominal aortic aneurysm: Biomarkers and novel therapeutic targets. Clin. Investig. Arterioscler. 2019, 31, 166–177. [Google Scholar] [CrossRef] [PubMed]
- Cho, M.J.; Lee, M.R.; Park, J.G. Aortic aneurysms: Current pathogenesis and therapeutic targets. Exp. Mol. Med. 2023, 12, 2519–2530. [Google Scholar] [CrossRef] [PubMed]
- Domagała, D.; Data, K.; Szyller, H.; Farzaneh, M.; Mozdziak, P.; Woźniak, S.; Zabel, M.; Dzięgiel, P.; Kempisty, B. Cellular, Molecular and Clinical Aspects of Aortic Aneurysm-Vascular Physiology and Pathophysiology. Cells 2024, 13, 274. [Google Scholar] [CrossRef] [PubMed]
- Li, Y.; Ren, P.; Dawson, A.; Vasquez, H.G.; Ageedi, W.; Zhang, C.; Luo, W.; Chen, R.; Li, Y.; Kim, S.; et al. Single-Cell Transcriptome Analysis Reveals Dynamic Cell Populations and Differential Gene Expression Patterns in Control and Aneurysmal Human Aortic Tissue. Circulation 2020, 142, 1374–1388. [Google Scholar] [CrossRef] [PubMed]
- Tao, J.; Cao, X.; Yu, B.; Qu, A. Vascular Stem/Progenitor Cells in Vessel Injury and Repair. Front. Cardiovasc. Med. 2022, 9, 845070. [Google Scholar] [CrossRef]
- Liu, M.; Gomez, D. Smooth Muscle Cell Phenotypic Diversity. Arterioscler. Thromb. Vasc. Biol. 2019, 39, 1715–1723. [Google Scholar] [CrossRef]
- Hong, X.; Gu, W. Plasticity of vascular resident mesenchymal stromal cells during vascular remodeling. Vasc. Biol. 2019, 1, H67–H73. [Google Scholar] [CrossRef]
- Klein, D. Vascular Wall-Resident Multipotent Stem Cells of Mesenchymal Nature within the Process of Vascular Remodeling: Cellular Basis, Clinical Relevance, and Implications for Stem Cell Therapy. Stem Cells Int. 2016, 2016, 1905846. [Google Scholar] [CrossRef]
- Hu, Y.; Zhang, Z.; Torsney, E.; Afzal, A.R.; Davison, F.; Metzler, B.; Xu, Q. Abundant progenitor cells in the adventitia contribute to atherosclerosis of vein grafts in ApoE-deficient mice. J. Clin. Investig. 2004, 113, 1258–1265. [Google Scholar] [CrossRef]
- Kramann, R.; Goettsch, C.; Wongboonsin, J.; Iwata, H.; Schneider, R.K.; Kuppe, C.; Kaesler, N.; Chang-Panesso, M.; Machado, F.G.; Gratwohl, S.; et al. Adventitial MSC-like Cells Are Progenitors of Vascular Smooth Muscle Cells and Drive Vascular Calcification in Chronic Kidney Disease. Cell Stem Cell 2016, 19, 628–642. [Google Scholar] [CrossRef]
- Bitencourt, T.C.; Vargas, J.E.; Silva, A.O.; Fraga, L.R.; Filippi-Chiela, E. Subcellular structure, heterogeneity, and plasticity of senescent cells. Aging Cell 2024, 23, e14154–e14175. [Google Scholar] [CrossRef] [PubMed]
- Gorgoulis, V.; Adams, P.D.; Alimonti, A.; Bennett, D.C.; Bischof, O.; Bishop, C.; Campisi, J.; Collado, M.; Evangelou, K.; Ferbeyre, G.; et al. Cellular Senescence: Defining a Path Forward. Cell 2019, 179, 813–827. [Google Scholar] [CrossRef] [PubMed]
- Chandler, H.; Peters, G. Stressing the cell cycle in senescence and aging. Curr. Opin. Cell Biol. 2013, 25, 765–771. [Google Scholar] [CrossRef] [PubMed]
- Herr, L.M.; Schaffer, E.D.; Fuchs, K.F.; Datta, A.; Brosh, R.M., Jr. Replication stress as a driver of cellular senescence and aging. Commun. Biol. 2024, 7, 616–635. [Google Scholar] [CrossRef]
- Chaudhary, M.R.; Chaudhary, S.; Sharma, Y.; Singh, T.A.; Mishra, A.K.; Sharma, S.; Mehdi, M.M. Aging, oxidative stress and degenerative diseases: Mechanisms, complications and emerging therapeutic strategies. Biogerontology 2023, 24, 609–662. [Google Scholar] [CrossRef]
- Jin, P.; Duan, X.; Li, L.; Zhou, P.; Zou, C.G.; Xie, K. Cellular senescence in cancer: Molecular mechanisms and therapeutic targets. MedComm 2020 2024, 5, e542–e573. [Google Scholar] [CrossRef]
- Eppard, M.; Passos, J.F.; Victorelli, S. Telomeres, cellular senescence, and aging: Past and future. Biogerontology 2024, 25, 329–339. [Google Scholar] [CrossRef]
- Wang, B.; Han, J.; Elisseeff, J.H.; Demaria, M. The senescence-associated secretory phenotype and its physiological and pathological implications. Nat. Rev. Mol. Cell Biol. 2024, 25, 958–978. [Google Scholar] [CrossRef]
- Wang, P.; Konja, D.; Singh, S.; Zhang, B.; Wang, Y. Endothelial Senescence: From Macro- to Micro-Vasculature and Its Implications on Cardiovascular Health. Int. J. Mol. Sci. 2024, 25, 1978. [Google Scholar] [CrossRef]
- Ali, I.; Zhang, H.; Zaidi, S.A.A.; Zhou, G. Understanding the intricacies of cellular senescence in atherosclerosis: Mechanisms and therapeutic implications. Ageing Res. Rev. 2024, 96, 102273. [Google Scholar] [CrossRef]
- Molnár, A.Á.; Pásztor, D.T.; Tarcza, Z.; Merkely, B. Cells in Atherosclerosis: Focus on Cellular Senescence from Basic Science to Clinical Practice. Int. J. Mol. Sci. 2023, 24, 17129. [Google Scholar] [CrossRef] [PubMed]
- Fang, Y.P.; Zhao, Y.; Huang, J.Y.; Yang, X.; Liu, Y.; Zhang, X.L. The functional role of cellular senescence during vascular calcification in chronic kidney disease. Front. Endocrinol. 2024, 15, 1330942. [Google Scholar] [CrossRef] [PubMed]
- Liao, S.; Curci, J.A.; Kelley, B.J.; Sicard, G.A.; Thompson, R.W. Accelerated replicative senescence of medial smooth muscle cells derived from abdominal aortic aneurysms compared to the adjacent inferior mesenteric artery. J. Surg. Res. 2000, 92, 85–95. [Google Scholar] [CrossRef] [PubMed]
- Teti, G.; Chiarini, F.; Mazzotti, E.; Ruggeri, A.; Carano, F.; Falconi, M. Cellular senescence in vascular wall mesenchymal stromal cells, a possible contribution to the development of aortic aneurysm. Mech. Ageing Dev. 2021, 197, 111515. [Google Scholar] [CrossRef]
- Beck, J.; Horikawa, I.; Harris, C. Cellular Senescence: Mechanisms, Morphology, and Mouse Models. Vet. Pathol. 2020, 57, 747–757. [Google Scholar] [CrossRef]
- Márquez-Sánchez, A.C.; Koltsova, E.K. Immune and inflammatory mechanisms of abdominal aortic aneurysm. Front. Immunol. 2022, 13, 989933. [Google Scholar] [CrossRef]
- Raffort, J.; Lareyre, F.; Clément, M.; Hassen-Khodja, R.; Chinetti, G.; Mallat, Z. Monocytes and macrophages in abdominal aortic aneurysm. Nat. Rev. Cardiol. 2017, 14, 457–471. [Google Scholar] [CrossRef]
- Plana, E.; Oto, J.; Medina, P.; Fernández-Pardo, Á.; Miralles, M. Novel contributions of neutrophils in the pathogenesis of abdominal aortic aneurysm, the role of neutrophil extracellular traps: A systematic review. Thromb. Res. 2020, 194, 200–208. [Google Scholar] [CrossRef]
- Yuan, Z.; Lu, Y.; Wei, J.; Wu, J.; Yang, J.; Cai, Z. Abdominal Aortic Aneurysm: Roles of Inflammatory Cells. Front. Immunol. 2021, 11, 609161. [Google Scholar] [CrossRef]
- Li, Y.; Wang, W.; Li, L.; Khalil, R.A. MMPs and ADAMs/ADAMTS inhibition therapy of abdominal aortic aneurysm. Life Sci. 2020, 253, 117659. [Google Scholar] [CrossRef]
- Rabkin, S.W. The Role Matrix Metalloproteinases in the Production of Aortic Aneurysm. Prog. Mol. Biol. Transl. Sci. 2017, 147, 239–265. [Google Scholar] [CrossRef] [PubMed]
- Reeps, C.; Pelisek, J.; Seidl, S.; Schuster, T.; Zimmermann, A.; Kuehnl, A.; Eckstein, H.H. Inflammatory infiltrates and neovessels are relevant sources of MMPs in abdominal aortic aneurysm wall. Pathobiology 2009, 76, 243–252. [Google Scholar] [CrossRef] [PubMed]
- Mackay, C.D.A.; Jadli, A.S.; Fedak, P.W.M.; Patel, V.B. Adventitial Fibroblasts in Aortic Aneurysm: Unraveling Pathogenic Contributions to Vascular Disease. Diagnostics 2022, 12, 871. [Google Scholar] [CrossRef] [PubMed]
- Thompson, R.W.; Liao, S.; Curci, J.A. Vascular smooth muscle cell apoptosis in abdominal aortic aneurysms. Coron. Artery Dis. 1997, 8, 623–631. [Google Scholar] [CrossRef]
- Yang, L.; Wu, X.; Bian, S.; Zhao, D.; Fang, S.; Yuan, H. SIRT6-mediated vascular smooth muscle cells senescence participates in the pathogenesis of abdominal aortic aneurysm. Atherosclerosis 2024, 392, 117483. [Google Scholar] [CrossRef]
- Pezone, A.; Olivieri, F.; Napoli, M.V.; Procopio, A.; Avvedimento, E.V.; Gabrielli, A. Inflammation and DNA damage: Cause, effect or both. Nat. Rev. Rheumatol. 2023, 19, 200–211. [Google Scholar] [CrossRef]
- Liu, T.; Zhang, L.; Joo, D.; Sun, S.C. NF-κB signaling in inflammation. Signal Transduct. Target. Ther. 2017, 2, 17023. [Google Scholar] [CrossRef]
- Capron, A.M. Where Did Informed Consent for Research Come From? J. Law. Med. Ethics 2018, 46, 12–29. [Google Scholar] [CrossRef]








Disclaimer/Publisher’s Note: The statements, opinions and data contained in all publications are solely those of the individual author(s) and contributor(s) and not of MDPI and/or the editor(s). MDPI and/or the editor(s) disclaim responsibility for any injury to people or property resulting from any ideas, methods, instructions or products referred to in the content. |
© 2024 by the authors. Licensee MDPI, Basel, Switzerland. This article is an open access article distributed under the terms and conditions of the Creative Commons Attribution (CC BY) license (https://creativecommons.org/licenses/by/4.0/).
Share and Cite
Teti, G.; Camiletti, R.; Gatta, V.; Longhin, A.; Falconi, M. Vascular Mesenchymal Stromal Cells and Cellular Senescence: A Two-Case Study Investigating the Correlation Between an Inflammatory Microenvironment and Abdominal Aortic Aneurysm Development. Int. J. Mol. Sci. 2024, 25, 12495. https://doi.org/10.3390/ijms252312495
Teti G, Camiletti R, Gatta V, Longhin A, Falconi M. Vascular Mesenchymal Stromal Cells and Cellular Senescence: A Two-Case Study Investigating the Correlation Between an Inflammatory Microenvironment and Abdominal Aortic Aneurysm Development. International Journal of Molecular Sciences. 2024; 25(23):12495. https://doi.org/10.3390/ijms252312495
Chicago/Turabian StyleTeti, Gabriella, Riccardo Camiletti, Valentina Gatta, Aurora Longhin, and Mirella Falconi. 2024. "Vascular Mesenchymal Stromal Cells and Cellular Senescence: A Two-Case Study Investigating the Correlation Between an Inflammatory Microenvironment and Abdominal Aortic Aneurysm Development" International Journal of Molecular Sciences 25, no. 23: 12495. https://doi.org/10.3390/ijms252312495
APA StyleTeti, G., Camiletti, R., Gatta, V., Longhin, A., & Falconi, M. (2024). Vascular Mesenchymal Stromal Cells and Cellular Senescence: A Two-Case Study Investigating the Correlation Between an Inflammatory Microenvironment and Abdominal Aortic Aneurysm Development. International Journal of Molecular Sciences, 25(23), 12495. https://doi.org/10.3390/ijms252312495

