Challenge Dose Titration in a Mycobacterium bovis Infection Model in Goats
Abstract
1. Introduction
2. Results
2.1. Clinical Investigation of M. bovis-Inoculated Goats
2.2. Results of Intra Vitam Testing for Indications of Mycobacterial Infection
2.3. Quantitation of M. bovis Antigen-Specific T Cells After In Vitro Re-Stimulation
2.4. Shedding of the Inoculum Strain via Nose and Feces
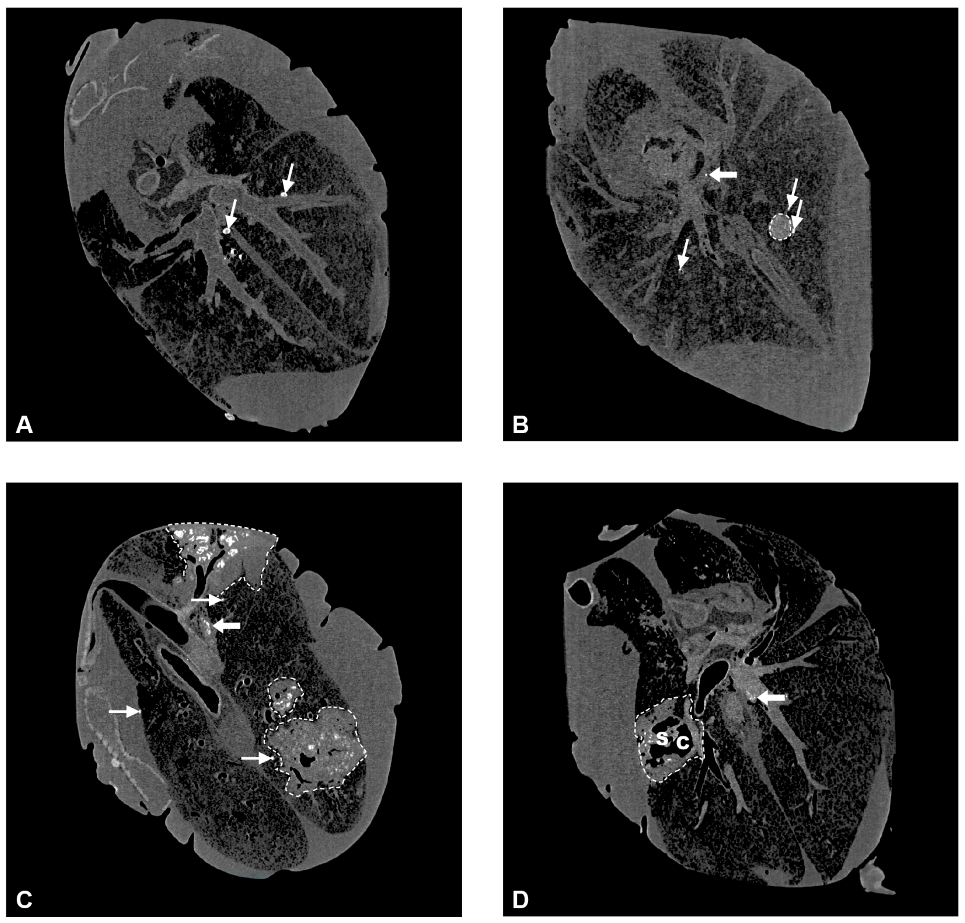
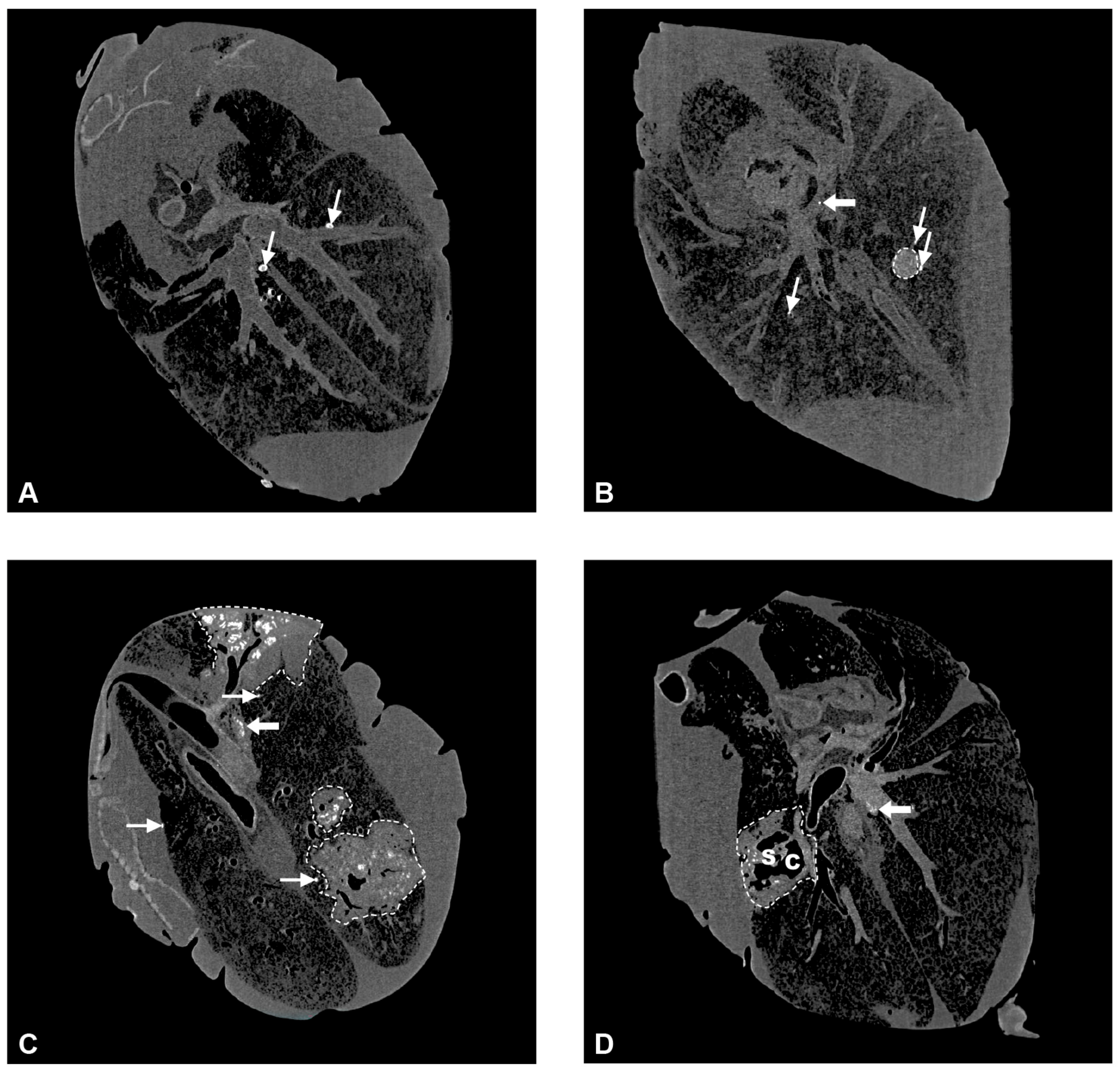
2.5. Computed Tomography Imaging (CT) of Lungs from M. bovis-Inoculated Goats
2.6. Macroscopic and Histologic Lesions, and Detection of Acid-Fast Bacilli in Tissues from M. bovis-Inoculated Goats
2.7. Dissemination of the Inoculum Strain in the Body
3. Discussion
4. Materials and Methods
4.1. Animals, Housing Conditions and Nutrition Regime
4.2. Legislation and Ethical Approval
4.3. Inoculum and Inoculation
4.4. Clinical Examination and Intra Vitam Sampling
4.5. Intra Vitam Testing for Indications of Mycobacterial Infection
4.6. Quantitation of Intracellular IFN-γ in CD4+, CD8+ and γδ T Cells after In Vitro-Stimulation with Specific Antigen
4.7. Quantitation of Antigen-Specific Peripheral T Cells by Activation Marker Expression Analysis after In Vitro Stimulation with Specific Antigens
4.8. Euthanasia, Necropsy, Gross Pathology, Tissue Sampling
4.9. Radiological Examination by Computed Tomography (CT)
4.10. Histologic Examination
4.11. Bacterial Examination of Feces, Nasal Swabs and Tissue Samples
4.12. Statistical Analysis
5. Patents
Supplementary Materials
Author Contributions
Funding
Institutional Review Board Statement
Informed Consent Statement
Data Availability Statement
Acknowledgments
Conflicts of Interest
References
- WHO. Global Tuberculosis Report 2023; World Health Organization: Geneva, Switzerland, 2023.
- Vordermeier, H.M.; de Val, B.P.; Buddle, B.M.; Villarreal-Ramos, B.; Jones, G.J.; Hewinson, R.G.; Domingo, M. Vaccination of domestic animals against tuberculosis: Review of progress and contributions to the field of the TBSTEP project. Res. Vet. Sci. 2014, 97, S53–S60. [Google Scholar] [CrossRef] [PubMed]
- Taye, H.; Alemu, K.; Mihret, A.; Wood, J.L.N.; Shkedy, Z.; Berg, S.; Aseffa, A. Global prevalence of Mycobacterium bovis infections among human tuberculosis cases: Systematic review and meta-analysis. Zoonoses Public Health 2021, 68, 704–718. [Google Scholar] [CrossRef] [PubMed]
- Brosch, R.; Gordon, S.V.; Marmlesse, M.; Brodin, P.; Buchrieser, C.; Eiglmeier, K.; Garnier, T.; Gutierrez, C.; Hewinson, G.; Kremer, K.; et al. A new evolutionary scenario for the Mycobacterium tuberculosis complex. Proc. Natl. Acad. Sci. USA 2002, 99, 3684–3689. [Google Scholar] [CrossRef] [PubMed]
- Bespiatykh, D.; Bespyatykh, J.; Mokrousov, I.; Shitikov, E. A comprehensive map of Mycobacterium tuberculosis complex regions of difference. mSphere 2021, 6, e00535-21. [Google Scholar] [CrossRef]
- Kubica, T.; Rüsch-Gerdes, S.; Niemann, S. Mycobacterium bovis subsp. caprae caused one-third of human M. bovis–associated tuberculosis cases reported in Germany between 1999 and 2001. J. Clin. Microbiol. 2003, 41, 3070–3077. [Google Scholar] [CrossRef]
- Gortázar, C.; Delahay, R.J.; McDonald, R.A.; Boadella, M.; Wilson, G.J.; Gavier-Widen, D.; Acevedo, P. The Status of Tuberculosis in European Wild Mammals. Mammal. Rev. 2012, 42, 193–206. [Google Scholar] [CrossRef]
- Crispell, J.; Benton, C.H.; Balaz, D.; De Maio, N.; Ahkmetova, A.; Allen, A.; Biek, R.; Presho, E.L.; Dale, J.; Hewinson, G.; et al. Combining genomics and epidemiology to analyse bi-directional transmission of Mycobacterium bovis in a multi-host system. elife 2019, 8, e45833. [Google Scholar] [CrossRef]
- Di Marco Lo Presti, V.; Capucchio, M.T.; Fiasconaro, M.; Puleio, R.; La Mancusa, F.; Romeo, G.; Biondo, C.; Ippolito, D.; Guarda, F.; Pruiti Ciarello, F. Mycobacterium bovis tuberculosis in two goat farms in multi-host ecosystems in Sicily (Italy): Epidemiological, diagnostic, and regulatory considerations. Pathogens 2022, 11, 649. [Google Scholar] [CrossRef]
- Allen, A.R.; Skuce, R.A.; Byrne, A.W. Bovine tuberculosis in Britain and Ireland—A perfect storm? The influence of potential ecological and epidemiological impediments to controlling a chronic infectious disease. Front. Vet. Sci. 2018, 5, 109. [Google Scholar] [CrossRef]
- Amato, B.; Di Marco Lo Presti, V.; Gerace, E.; Capucchio, M.T.; Vitale, M.; Zanghi, P.; Pacciarini, M.L.; Marianelli, C.; Boniotti, M.B. Molecular epidemiology of Mycobacterium tuberculosis complex strains isolated from livestock and wild animals in Italy suggests the need for a different eradication strategy for bovine tuberculosis. Transbound. Emerg. Dis. 2018, 65, e416–e424. [Google Scholar] [CrossRef]
- Perea, C.; Ciaravino, G.; Stuber, T.; Thacker, T.C.; Robbe-Austerman, S.; Allepuz, A.; Perez de Val, B. Whole-Genome SNP analysis identifies putative Mycobacterium bovis transmission clusters in livestock and wildlife in Catalonia, Spain. Microorganisms 2021, 9, 1629. [Google Scholar] [CrossRef] [PubMed]
- Srinivasan, S.; Easterling, L.; Rimal, B.; Niu, X.M.; Conlan, A.J.K.; Dudas, P.; Kapur, V. Prevalence of bovine tuberculosis in India: A systematic review and meta-analysis. Transbound. Emerg. Dis. 2018, 65, 1627–1640. [Google Scholar] [CrossRef] [PubMed]
- Refaya, A.K.; Bhargavi, G.; Mathew, N.C.; Rajendran, A.; Krishnamoorthy, R.; Swaminathan, S.; Palaniyandi, K. A review on bovine tuberculosis in India. Tuberculosis 2020, 122, 101923. [Google Scholar] [CrossRef] [PubMed]
- Sichewo, P.R.; Etter, E.M.C.; Michel, A.L. Prevalence of Mycobacterium bovis infection in traditionally managed cattle at the wildlife-livestock interface in South Africa in the absence of control measures. Vet. Res. Commun. 2019, 43, 155–164. [Google Scholar] [CrossRef]
- Miller, R.S.; Sweeney, S.J. Mycobacterium bovis (bovine tuberculosis) infection in North American wildlife: Current status and opportunities for mitigation of risks of further infection in wildlife populations. Epidemiol. Infect. 2013, 141, 1357–1370. [Google Scholar] [CrossRef]
- Andrievskaia, O.; Turcotte, C.; Berlie-Surujballi, G.; Battaion, H.; Lloyd, D. Genotypes of Mycobacterium bovis strains isolated from domestic animals and wildlife in Canada in 1985–2015. Vet. Mic. 2018, 214, 44–50. [Google Scholar] [CrossRef]
- Rodrigues, R.A.; Ribeiro Araujo, F.; Rivera Davila, A.M.; Etges, R.N.; Parkhill, J.; van Tonder, A.J. Genomic and temporal analyses of Mycobacterium bovis in southern Brazil. Microb. Genom. 2021, 7, 000569. [Google Scholar] [CrossRef]
- Aranaz, A.; Cousins, D.; Mateos, A.; Dominguez, L. Elevation of Mycobacterium tuberculosis subsp. caprae Aranaz et al. 1999 to species rank as Mycobacterium caprae comb. nov., sp. nov. Int. J. Syst. Evol. Microbiol. 2003, 53, 1785–1789. [Google Scholar] [CrossRef]
- Rodríguez, S.; Bezos, J.; Romero, B.; de Juan, L.; Álvarez, J.; Castellanos, E.; Moya, N.; Lozano, F.; Javed, M.T.; Sáez-Llorente, J.L.; et al. Spanish Network on Surveillance and Monitoring of Animal Tuberculosis. Mycobacterium caprae infection in livestock and wildlife, Spain. Emerg. Infect. Dis. 2011, 17, 532–535. [Google Scholar] [CrossRef]
- Martínez-Lirola, M.; Herranz, M.; Buenestado Serrano, S.; Rodríguez-Grande, C.; Dominguez Inarra, E.; Garrido-Cárdenas, J.A.; Correa Ruiz, A.M.; Bermúdez, M.P.; Causse Del Río, M.; González Galán, V.; et al. A one health approach revealed the long-term role of Mycobacterium caprae as the hidden cause of human tuberculosis in a region of Spain, 2003 to 2022. Eurosurveillance 2023, 28, 2200852. [Google Scholar] [CrossRef]
- Krajewska, M.; Zabost, A.; Welz, M.; Lipiec, M.; Orłowska, B.; Anusz, K.; Brewczyński, P.; Augustynowicz-Kopeć, E.; Szulowski, K.; Bielecki, W.; et al. Transmission of Mycobacterium caprae in a herd of European bison in the Bieszczady Mountains, Southern Poland. Eur. J. Wildl. Res. 2015, 61, 429–433. [Google Scholar] [CrossRef]
- Orlowska, B.; Augustynowicz-Kopec, E.; Krajewska, M.; Zabost, A.; Welz, M.; Kaczor, S.; Anusz, K. Mycobacterium caprae transmission to free-living grey wolves (Canis lupus) in the Bieszczady Mountains in Southern Poland. Eur. J. Wildl. Res. 2017, 63, 21. [Google Scholar] [CrossRef]
- Dorn-In, S.; Körner, T.; Büttner, M.; Hafner-Marx, A.; Müller, M.; Heurich, M.; Varadharajan, A.; Blum, H.; Gareis, M.; Schwaiger, K. Shedding of Mycobacterium caprae by wild red deer (Cervus elaphus) in the Bavarian alpine regions, Germany. Transbound. Emerg. Dis. 2020, 67, 308–317. [Google Scholar] [CrossRef] [PubMed]
- WOAH. Bovine Tuberculosis. Available online: https://www.woah.org/en/disease/bovine-tuberculosis (accessed on 19 August 2024).
- WOAH. Paratuberculosis. Available online: https://www.woah.org/en/disease/paratuberculosis (accessed on 19 August 2024).
- Hunter, L.; Ruedas-Torres, I.; Agullo-Ros, I.; Rayner, E.; Salguero, F.J. Comparative pathology of experimental pulmonary tuberculosis in animal models. Front. Vet. Sci. 2023, 10, 1264833. [Google Scholar] [CrossRef]
- Perez de Val, B.; Lopez-Soria, S.; Nofrarias, M.; Martin, M.; Vordermeier, H.M.; Villarreal-Ramos, B.; Romera, N.; Escobar, M.; Solanes, D.; Cardona, P.-J.; et al. Experimental model of tuberculosis in the domestic goat after endobronchial infection with Mycobacterium caprae. Clin. Vaccine Immunol. 2011, 18, 1872. [Google Scholar] [CrossRef]
- Waters, W.R.; Palmer, M.V.; Buddle, B.M.; Vordermeier, H.M. Bovine tuberculosis vaccine research: Historical perspectives and recent advances. Vaccine 2012, 30, 2611–2622. [Google Scholar] [CrossRef]
- Domingo, M.; Vidal, E.; Marco, A. Pathology of bovine tuberculosis. Res. Vet. Sci. 2014, 97 (Suppl), S20–S29. [Google Scholar] [CrossRef]
- Wedlich, N.; Figl, J.; Liebler-Tenorio, E.M.; Köhler, H.; von Pückler, K.; Rissmann, M.; Petow, S.; Barth, S.A.; Reinhold, P.; Ulrich, R.; et al. Video endoscopy-guided intrabronchial spray inoculation of Mycobacterium bovis in goats and comparative assessment of lung lesions with various imaging methods. Front. Vet. Sci. 2022, 9, 877322. [Google Scholar] [CrossRef]
- Pollock, J.M.; Rodgers, J.D.; Welsh, M.D.; McNair, J. Pathogenesis of bovine tuberculosis: The role of experimental models of infection. Vet. Microbiol. 2006, 112, 141–150. [Google Scholar] [CrossRef]
- Buddle, B.M.; Aldwell, F.E.; Pfeffer, A.; de Lisle, G.W. Experimental Mycobacterium bovis infection in the brushtail possum (Trichosurus vulpecula): Pathology, haematology and lymphocyte stimulation response. Vet. Microbiol. 1994, 38, 241–254. [Google Scholar] [CrossRef]
- Dean, G.S.; Rhodes, S.G.; Coad, M.; Whelan, A.O.; Cockle, P.J.; Clifford, D.J.; Hewinson, G.; Vordermeier, M.H. Minimum infective Dose of Mycobacterium bovis in cattle. Infect. Immun. 2005, 73, 6467–6471. [Google Scholar] [CrossRef] [PubMed][Green Version]
- Corner, L.A.; Costello, E.; Lesellier, S.; O’Meara, D.; Sleeman, D.P.; Gormley, E. Experimental tuberculosis in the European badger (Meles meles) after endobronchial inoculation of Mycobacterium bovis: I. Pathology and bacteriology. Res. Vet. Sci. 2007, 83, 53–62. [Google Scholar] [CrossRef] [PubMed]
- Bezos, J.; Casal, C.; Diez-Delgado, I.; Romero, B.; Liandris, E.; Alvarez, J.; Sevilla, I.A.; de Juan, L.; Dominguez, L.; Gortazar, C. Goats challenged with different members of the Mycobacterium tuberculosis complex display different clinical pictures. Vet. Immunol. Immunopathol. 2015, 167, 185–189. [Google Scholar] [CrossRef] [PubMed]
- Kaufmann, S.H.E. Vaccination against tuberculosis: Revamping BCG by molecular genetics guided by immunology. Front. Immunol. 2020, 11, 316. [Google Scholar] [CrossRef]
- Ganter, M.; Bostedt, H.; Humann-Ziehank, E. Untersuchungsmethoden und Diagnostik. In Klinik der Schaf- und Ziegenkrankheiten, 2nd ed.; Bostedt, H., Ganter, M., Hiepe, T., Eds.; Thieme Gruppe: New York, NY, USA, 2021; pp. 14–58. [Google Scholar]
- Wangoo, A.; Johnson, L.; Gough, J.; Ackbar, R.; Inglut, S.; Hicks, D.; Spencer, Y.; Hewinson, G.; Vordermeier, M. Advanced granulomatous lesions in Mycobacterium bovis-infected cattle are associated with increased expression of type I procollagen, gamma delta (WC1+) T cells and CD 68+ cells. J. Comp. Pathol. 2005, 133, 223–234. [Google Scholar] [CrossRef]
- O’Reilly, L.M.; Daborn, C.J. The epidemiology of Mycobacterium bovis infections in animals and man: A review. Tuber. Lung Dis. 1995, 76 (Suppl. S1), 1–46. [Google Scholar] [CrossRef]
- Cousins, D.V. Mycobacterium bovis infection and control in domestic livestock. Rev. Sci. Tech. 2001, 20, 71–85. [Google Scholar] [CrossRef]
- Ramos, B.; Pereira, A.C.; Reis, A.C.; Cunha, M.V. Estimates of the global and continental burden of animal tuberculosis in key livestock species worldwide: A meta-analysis study. One Health 2020, 10, 100169. [Google Scholar] [CrossRef]
- Daniel, R.; Evans, H.; Rolfe, S.; de la Rua-Domenech, R.; Crawshaw, T.; Higgins, R.J.; Schock, A.; Clifton-Hadley, R. Outbreak of tuberculosis caused by Mycobacterium bovis in golden Guernsey goats in Great Britain. Vet. Rec. 2009, 165, 335–342. [Google Scholar] [CrossRef]
- Quintas, H.; Reis, J.; Pires, I.; Alegria, N. Tuberculosis in goats. Vet. Rec. 2010, 166, 437–438. [Google Scholar] [CrossRef]
- Ramirez, I.C.; Santillan, M.A.; Dante, V. The goat as an experimental ruminant model for tuberculosis infection. Small Rumin. Res. 2003, 47, 113–116. [Google Scholar] [CrossRef]
- Gonzalez-Juarrero, M.; Bosco-Lauth, A.; Podell, B.; Soffler, C.; Brooks, E.; Izzo, A.; Sanchez-Campillo, J.; Bowen, R. Experimental aerosol Mycobacterium bovis model of infection in goats. Tuberculosis 2013, 93, 558–564. [Google Scholar] [CrossRef] [PubMed]
- Melgarejo, C.; Cobos, A.; Planas, C.; Fondevila, J.; Martín, M.; Cervera, Z.; Cantero, G.; Moll, X.; Espada, Y.; Domingo, M.; et al. Comparison of the pathological outcome and disease progression of two Mycobacterium caprae experimental challenge models in goats: Endobronchial inoculation vs. intranasal nebulization. Front. Microbiol. 2023, 14, 1236834. [Google Scholar] [CrossRef] [PubMed]
- Marquetoux, N.; Ridler, A.; Heuer, C.; Wilson, P. What counts? A review of in vitro methods for the enumeration of Mycobacterium avium subsp. paratuberculosis. Vet. Microbiol. 2019, 230, 265–272. [Google Scholar] [CrossRef] [PubMed]
- Perez de Val, B.; Vidal, E.; Villareal-Ramos, B.; Gilbert, S.C.; Andaluz, A.; Moll, X.; Martin, M.; Nofrarias, M.; McShane, H.; Vordermeier, M.H.; et al. A multi-antigenic adenoviral-vectored vaccine improves BCG-induced protection of goats against pulmonary tuberculosis infection and prevents disease progression. PLoS ONE 2013, 8, e81317. [Google Scholar] [CrossRef]
- Dakappa, P.H.; Rao, S.B.; Ganaraja, B.; Bhat, G.K.; Mahabala, C. Unique temperature patterns in 24-h continuous tympanic temperature in tuberculosis. Trop. Dr. 2019, 49, 75–79. [Google Scholar] [CrossRef]
- Ogoina, D. Fever, fever patterns and diseases called ‘fever’—A review. J. Infect. Public Health 2011, 4, 108–124. [Google Scholar] [CrossRef]
- Shanahan, A.; Good, M.; Duignan, A.; Curtin, T.; More, S.J. Tuberculosis in goats on a farm in Ireland: Epidemiological investigation and control. Vet. Rec. 2011, 168, 485. [Google Scholar] [CrossRef]
- Bezos, J.; Alvarez, J.; Romero, B.; Aranaz, A.; Juan, L.D. Tuberculosis in goats: Assessment of current in vivo cell-mediated and antibody-based diagnostic assays. Vet. J. 2012, 191, 161–165. [Google Scholar] [CrossRef]
- Pollock, J.M.; Pollock, D.A.; Campbell, D.G.; Girvin, R.M.; Crockard, A.D.; Neill, S.D.; Mackie, D.P. Dynamic changes in circulating and antigen-responsive T-cell subpopulations post-Mycobacterium bovis infection in cattle. Immunology 1996, 87, 236–241. [Google Scholar] [CrossRef]
- Hope, J.C.; Thom, M.L.; McAulay, M.; Mead, E.; Vordermeier, H.M.; Clifford, D.; Hewinson, R.G.; Villareal-Ramos, B. Identification of surrogates and correlates of protection in protective immunity against Mycobacterium bovis infection induced in neonatal calves by vaccination with M. bovis BCG Pasteur and M. bovis BCG Danish. Clin. Vaccine Immunol. 2011, 18, 373–379. [Google Scholar] [CrossRef] [PubMed]
- Zola, H.; Swart, B.; Banham, A.; Barry, S.; Beare, A.; Bensussan, A.; Boumsell, L.D.; Buckley, C.; Bühring, H.J.; Clark, G.; et al. CD molecules 2006—Human cell differentiation molecules. J. Immunol. Methods 2007, 319, 1–5. [Google Scholar] [CrossRef] [PubMed]
- Koo, H.C.; Park, Y.H.; Hamilton, M.J.; Barrington, G.M.; Davies, C.J.; Kim, J.B.; Dahl, J.L.; Waters, W.R.; Davis, W.C. Analysis of the immune response to Mycobacterium avium subsp. paratuberculosis in experimentally infected calves. Infect. Immun. 2004, 72, 6870–6883. [Google Scholar] [CrossRef] [PubMed]
- Cardona, P.; Cardona, P.J. Regulatory T Cells in Mycobacterium tuberculosis Infection. Front. Immunol. 2019, 10, 2139. [Google Scholar] [CrossRef]
- Chen, C.Y.; Huang, D.; Yao, S.; Halliday, L.; Zeng, G.; Wang, R.C.; Chen, Z.W. IL-2 simultaneously expands Foxp3+ T regulatory and T effector cells and confers resistance to severe tuberculosis (TB): Implicative Treg-T effector cooperation in immunity to TB. J. Immunol. 2012, 188, 4278–4288. [Google Scholar] [CrossRef]
- Cooke, D.M.; Clarke, C.; Kerr, T.J.; Warren, R.M.; Witte, C.; Miller, M.A.; Goosen, W.J. Detection of Mycobacterium bovis in nasal swabs from communal goats (Capra hircus) in rural KwaZulu-Natal, South Africa. Front. Microbiol. 2024, 15, 1349163. [Google Scholar] [CrossRef]
- Bezos, J.; Casal, C.; Álvarez, J.; Roy, A.; Romero, B.; Rodríguez-Bertos, A.; Bárcena, C.; Díez, A.; Juste, R.; Gortázar, C.; et al. Evaluation of the Mycobacterium tuberculosis SO2 vaccine using a natural tuberculosis infection model in goats. Vet. J. 2017, 223, 60–67. [Google Scholar] [CrossRef]
- Bezos, J.; de Juan, L.; Romero, B.; Alvarez, J.; Mazzucchelli, F.; Mateos, A.; Domínguez, L.; Aranaz, A. Experimental infection with Mycobacterium caprae in goats and evaluation of immunological status in tuberculosis and paratuberculosis co-infected animals. Vet. Immunol. Immunopathol. 2010, 133, 269–275. [Google Scholar] [CrossRef]
- Roy, A.; Tomé, I.; Romero, B.; Lorente-Leal, V.; Infantes-Lorenzo, J.A.; Domínguez, M.; Martín, C.; Aguiló, N.; Puentes, E.; Rodríguez, E.; et al. Evaluation of the immunogenicity and efficacy of BCG and MTBVAC vaccines using a natural transmission model of tuberculosis. Vet. Res. 2019, 50, 82. [Google Scholar] [CrossRef]
- Bernabe, A.; Gomez, M.; Navarro, J.A.; Gomez, S.; Sanchez, J.; Sidrach, J.; Menchen, V.; Vera, A.; Sierra, M.A. Morphopathology of caprine tuberculosis. I. Pulmonary tuberculosis. An. Vet. Murcia 1991, 6–7, 9–20. [Google Scholar]
- Nogueira, I.; Català, M.; White, A.D.; Sharpe, S.A.; Bechini, J.; Prats, C.; Vilaplana, C.; Cardona, P.J. Surveillance of daughter micronodule formation is a key factor for vaccine evaluation using experimental infection models of tuberculosis in macaques. Pathogens 2023, 12, 236. [Google Scholar] [CrossRef] [PubMed]
- Seva, J.; Menchen, V.; Navarro, J.A.; Pallares, F.J.; Villar, D.; Vasquez, F.; Bernabe, A. Caprine tuberculosis eradication program: An immunohistochemical study. Small Rumin. Res. 2002, 46, 107–114. [Google Scholar] [CrossRef]
- Momotani, E.; Whipple, D.L.; Thiermann, A.B.; Cheville, N.F. Role of M cells and macrophages in the entrance of Mycobacterium paratuberculosis into domes of ileal Peyer’s patches in calves. Vet. Pathol. 1988, 25, 131–137. [Google Scholar] [CrossRef] [PubMed]
- Sigurethardóttir, O.G.; Valheim, M.; Press, C.M. Establishment of Mycobacterium avium subsp. paratuberculosis infection in the intestine of ruminants. Adv. Drug. Deliv. Rev. 2004, 56, 819–834. [Google Scholar] [CrossRef]
- Bernabe, A.; Gomez, M.; Navarro, J.A.; Gomez, S.; Sanchez, J.; Sidrach, J.; Menchen, V.; Vera, A.; Sierra, M.A. Morphopathology of caprine tuberculosis. II. Generalization of tuberculosis. An. Vet. Murcia 1991, 6–7, 21–29. [Google Scholar]
- Helke, K.L.; Mankowski, J.L.; Manabe, Y.C. Animal models of cavitation in pulmonary tuberculosis. Tuberculosis 2006, 86, 337–348. [Google Scholar] [CrossRef]
- Sanchez, J.; Tomás, L.; Ortega, N.; Buendía, A.J.; del Rio, L.; Salinas, J.; Bezos, J.; Caro, M.R.; Navarro, J.A. Microscopical and immunological features of tuberculoid granulomata and cavitary pulmonary tuberculosis in naturally infected goats. J. Comp. Pathol. 2011, 145, 107–117. [Google Scholar] [CrossRef]
- Kohl, T.A.; Harmsen, D.; Rothgänger, J.; Walker, T.; Diel, R.; Niemann, S. Harmonized genome wide typing of tubercle bacilli using a web-based gene-by-gene nomenclature system. EBioMedicine 2018, 34, 131–138. [Google Scholar] [CrossRef]
- Ruettger, A.; Nieter, J.; Skrypnyk, A.; Engelmann, I.; Ziegler, A.; Moser, I.; Monecke, S.; Ehricht, R.; Sachse, K. Rapid spoligotyping of Mycobacterium tuberculosis complex bacteria by use of a microarray system with automatic data processing and assignment. J. Clin. Microbiol. 2012, 50, 2492–2495. [Google Scholar] [CrossRef]
- Taylor, G.M.; Worth, D.R.; Palmer, S.; Jahans, K.; Hewinson, R.G. Rapid detection of Mycobacterium bovis DNA in cattle lymph nodes with visible lesions using PCR. BMC Vet. Res. 2007, 3, 12. [Google Scholar] [CrossRef]
- Warren, R.M.; Gey van Pittius, N.C.; Barnard, M.; Hesseling, A.; Engelke, E.; de Kock, M.; Gutierrez, M.C.; Chege, G.K.; Victor, T.C.; Hoal, E.G.; et al. Differentiation of Mycobacterium tuberculosis complex by PCR amplification of genomic regions of difference. Int. J. Tuberc. Lung Dis. 2006, 10, 818–822. [Google Scholar] [PubMed]
- Frothingham, R.; Meeker-O’Connell, W.A. Genetic diversity in the Mycobacterium tuberculosis complex based on variable numbers of tandem DNA repeats. Microbiology 1998, 144, 1189–1196. [Google Scholar] [CrossRef] [PubMed]
- Supply, P.; Allix, C.; Lesjean, S.; Cardoso-Oelemann, M.; Rüsch-Gerdes, S.; Willery, E.; Savine, E.; de Haas, P.; van Deutekom, H.; Roring, S.; et al. Proposal for standardization of optimized mycobacterial interspersed repetitive unit-variable-number tandem repeat typing of Mycobacterium tuberculosis. J. Clin. Microbiol. 2006, 44, 4498–4510. [Google Scholar] [CrossRef] [PubMed]
- Figl, J.; Köhler, H.; Wedlich, N.; Liebler-Tenorio, E.M.; Grode, L.; Parzmair, G.; Krishnamoorthy, G.; Nieuwenhuizen, N.E.; Kaufmann, S.H.E.; Menge, C. Safety and immunogenicity of recombinant Bacille Calmette-Guérin strain VPM1002 and its derivatives in a goat model. Int. J. Mol. Sci. 2023, 24, 5509. [Google Scholar] [CrossRef]
- Openagrar.de. Tuberkulose der Rinder: Mycobacterium bovis und Mycobacterium caprae. In AmtlicheMethode und Falldefinition; Friedrich-Loeffler-Institut, Federal Research Institute for Animal Health: Greifswald, Germany, 2021; Available online: https://www.openagrar.de/receive/openagrar_mods00054079 (accessed on 25 January 2022).
- Guerrero, C.; Bernasconi, C.; Burki, D.; Bodmer, T.; Telenti, A. A novel insertion element from Mycobacterium avium, IS1245, is a specific target for analysis of strain relatedness. J. Clin. Microbiol. 1995, 33, 304–307. [Google Scholar] [CrossRef]
- Kunze, Z.M.; Portaels, F.; McFadden, J.J. Biologically distinct subtypes of Mycobacterium avium differ in possession of insertion sequence IS901. J. Clin. Microbiol. 1992, 30, 2366–2372. [Google Scholar] [CrossRef]
- Englund, S.; Ballagi-Pordány, A.; Bölske, G.; Johansson, K.E. Single PCR and nested PCR with a mimic molecule for detection of Mycobacterium avium subsp. paratuberculosis. Diagn. Microbiol. Infect. Dis. 1999, 33, 163–171. [Google Scholar] [CrossRef]
- Kirschner, P.; Böttger, E.C. Species identification of mycobacteria using rDNA sequencing. Methods Mol. Biol. 1998, 101, 349–361. [Google Scholar] [CrossRef]













| Group | Goat | Cranial Tracheo-Bronchial LNs | Left Tracheo-Bronchial LNs * | Right Tracheo-Bronchial LNs | Mid Tracheo-Bronchial LNs | Pulmonary LNs |
|---|---|---|---|---|---|---|
| low dose | 5 | ++ | +++ | +++ | - | - |
| 6 | +++ | ++ | - | ++ | - | |
| 7 | +++ | - | - | +++ | - | |
| 8 | +++ | +++ | +++ | ++ | + | |
| medium dose | 9 | ++ | + | + | + | - |
| 10 | +++ | ++ | - | - | + | |
| 11 | +++ | ++ | ++ | - | ++ | |
| 12 | +++ | + | - | - | - | |
| high dose | 13 | +++ | ++ | ++ | ++ | - |
| 14 | ++ | ++ | +++ | - | + | |
| 15 | +++ | +++ | +++ | ++ | - |
| Group | Goat | Head LNs and Tonsils | Respir. Tract | Large Parenchyma | Gastrointestinal Tract | Other Sites | ||||||||||||||||||
|---|---|---|---|---|---|---|---|---|---|---|---|---|---|---|---|---|---|---|---|---|---|---|---|---|
| 1 | 2 | 3 | 4 | 5 | 6 | 7 | 8 | 9 | 10 A | 11 | 12 | 13 | 14 | 15 | 16 | 17 | 18 | 19 | 20 | 21 | 22 | 23 | ||
| control | 1 to 4 | |||||||||||||||||||||||
| low dose | 5 | + | ⊕ | + | ||||||||||||||||||||
| 6 | ⊕ | ⊕ | + | O | ||||||||||||||||||||
| 7 | ⊕ | ⊕ | + | |||||||||||||||||||||
| 8 | O | O | ⊕ | ⊕ | + | O | ⊕ | ⊕ | ⊕ | |||||||||||||||
| medium dose | 9 | O | O | ⊕ | O | + | ⊕ | ⊕ | O | O | ||||||||||||||
| 10 | ⊕ | + | ⊕ | |||||||||||||||||||||
| 11 | ⊕ | ⊕ | + | |||||||||||||||||||||
| 12 | + | + | + | |||||||||||||||||||||
| high dose | 13 | ⊕ | ⊕ | + | ⊕ | + | ||||||||||||||||||
| 14 | O | ⊕ | ⊕ | ⊕ | ⊕ | + | O | ⊕ | ⊕ | + A | ⊕ | ⊕ | ||||||||||||
| 15 | O | + | ⊕ | ⊕ | + | ⊕ | ⊕ | ⊕ | + B | + A | ⊕ | O | O C pharyngeal tonsils, + A pleura | |||||||||||
| 16 D | + | ⊕ | + | ⊕ inj. site trachea | ||||||||||||||||||||
| 1 left mandibular LN | 6 left medial retroph. LN | 11 liver | 16 bone marrow | 21 mesenteric LNs | ||||||||||||||||||||
| 2 right mandibular LN | 7 right medial retroph. LN | 12 hepatic LNs | 17 heart | 22 ileocolic LNs | ||||||||||||||||||||
| 3 left parotid LN | 8 left tracheobronchial LN | 13 spleen | 18 JPP | 23 other sites | ||||||||||||||||||||
| 4 right parotid LN | 9 mediastinal LNs | 14 kidney | 19 IPP | |||||||||||||||||||||
| 5 palatine tonsil | 10 lung | 15 renal LNs | 20 other GALT | |||||||||||||||||||||
Disclaimer/Publisher’s Note: The statements, opinions and data contained in all publications are solely those of the individual author(s) and contributor(s) and not of MDPI and/or the editor(s). MDPI and/or the editor(s) disclaim responsibility for any injury to people or property resulting from any ideas, methods, instructions or products referred to in the content. |
© 2024 by the authors. Licensee MDPI, Basel, Switzerland. This article is an open access article distributed under the terms and conditions of the Creative Commons Attribution (CC BY) license (https://creativecommons.org/licenses/by/4.0/).
Share and Cite
Liebler-Tenorio, E.M.; Wedlich, N.; Figl, J.; Köhler, H.; Ulrich, R.; Schröder, C.; Rissmann, M.; Grode, L.; Kaufmann, S.H.E.; Menge, C. Challenge Dose Titration in a Mycobacterium bovis Infection Model in Goats. Int. J. Mol. Sci. 2024, 25, 9799. https://doi.org/10.3390/ijms25189799
Liebler-Tenorio EM, Wedlich N, Figl J, Köhler H, Ulrich R, Schröder C, Rissmann M, Grode L, Kaufmann SHE, Menge C. Challenge Dose Titration in a Mycobacterium bovis Infection Model in Goats. International Journal of Molecular Sciences. 2024; 25(18):9799. https://doi.org/10.3390/ijms25189799
Chicago/Turabian StyleLiebler-Tenorio, Elisabeth M., Nadine Wedlich, Julia Figl, Heike Köhler, Reiner Ulrich, Charlotte Schröder, Melanie Rissmann, Leander Grode, Stefan H. E. Kaufmann, and Christian Menge. 2024. "Challenge Dose Titration in a Mycobacterium bovis Infection Model in Goats" International Journal of Molecular Sciences 25, no. 18: 9799. https://doi.org/10.3390/ijms25189799
APA StyleLiebler-Tenorio, E. M., Wedlich, N., Figl, J., Köhler, H., Ulrich, R., Schröder, C., Rissmann, M., Grode, L., Kaufmann, S. H. E., & Menge, C. (2024). Challenge Dose Titration in a Mycobacterium bovis Infection Model in Goats. International Journal of Molecular Sciences, 25(18), 9799. https://doi.org/10.3390/ijms25189799

