A 13-Year-Old Girl Affected by Melanocytic Tumors of the Central Nervous System—The Case
Abstract
1. Introduction
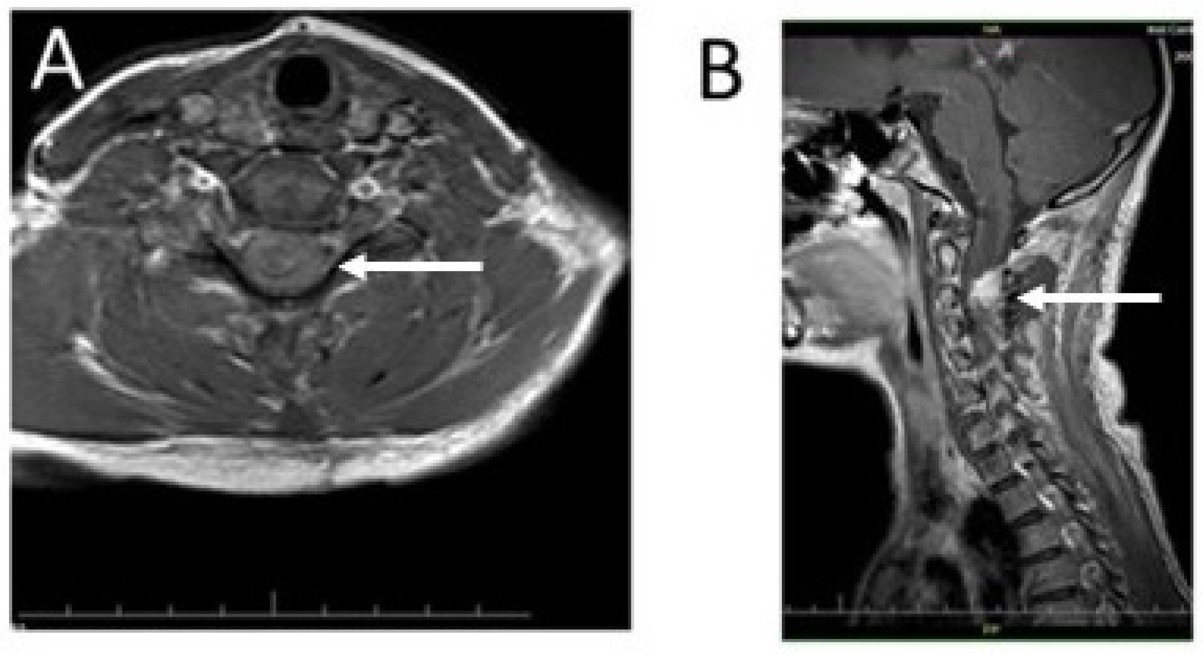
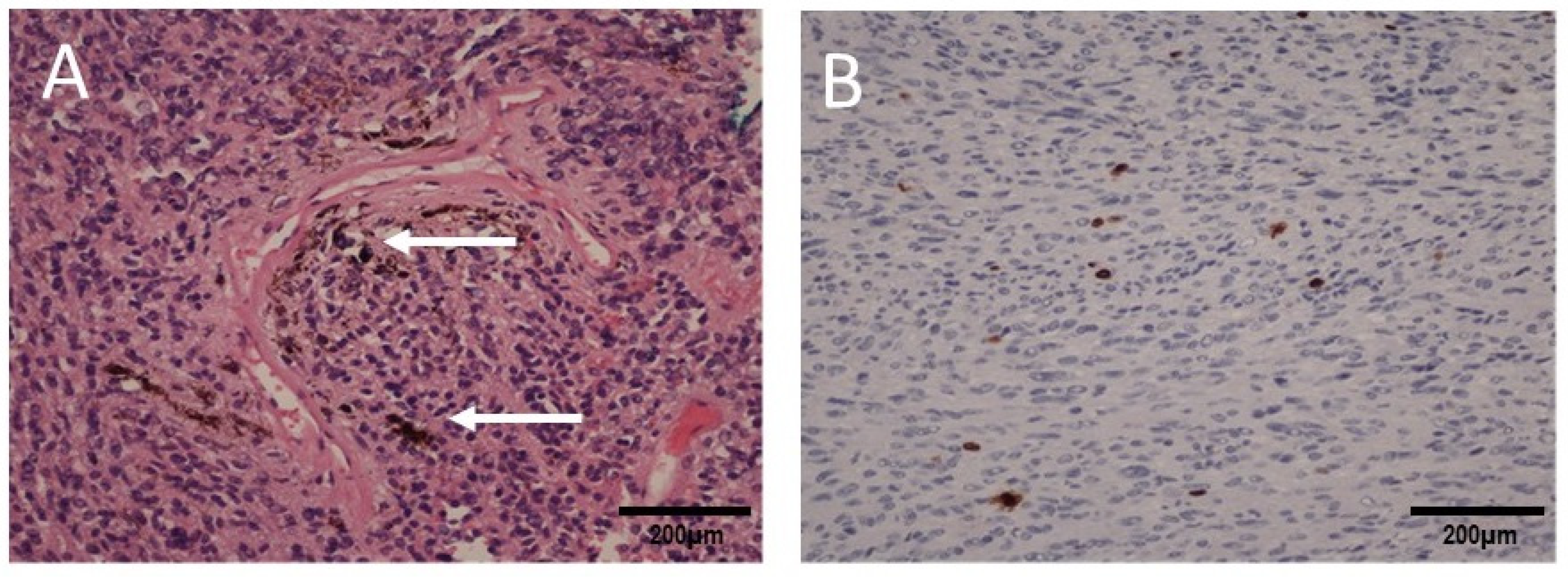
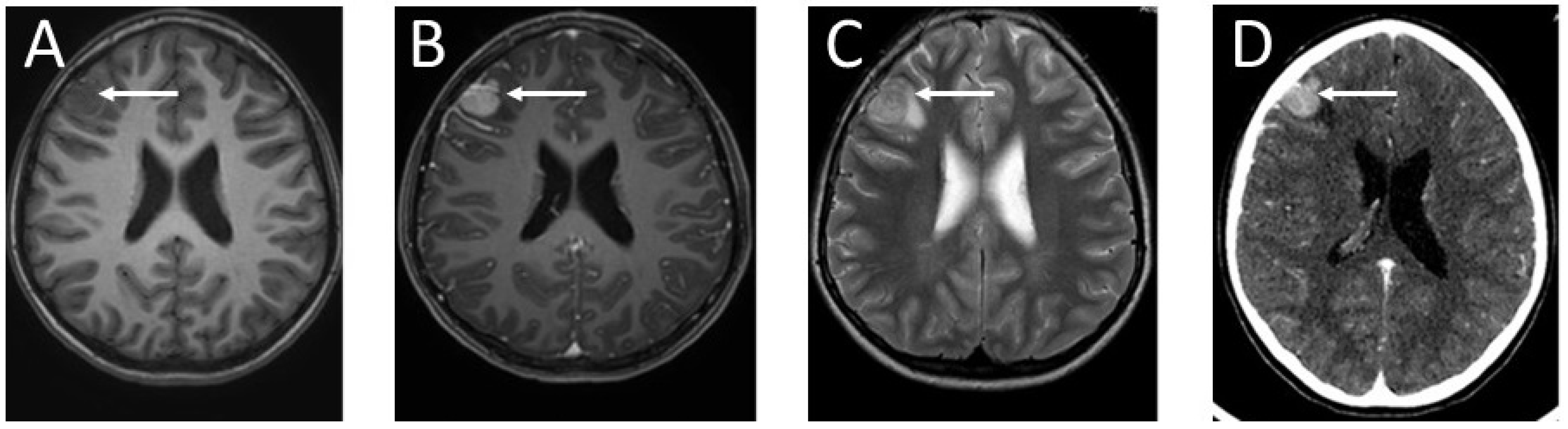
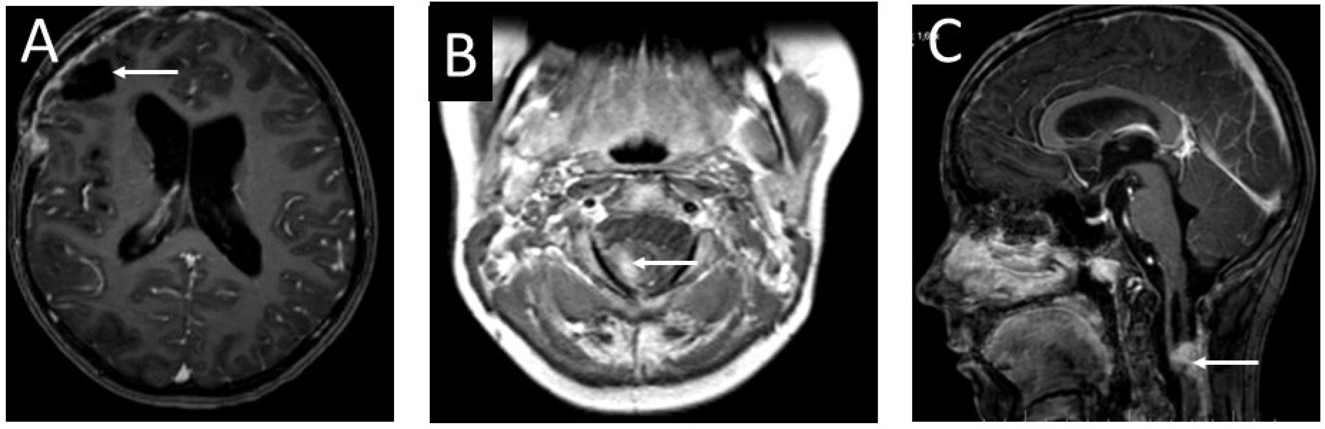
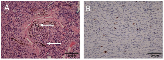
2. Case Presentation
3. Discussion
4. Conclusions
Author Contributions
Funding
Institutional Review Board Statement
Informed Consent Statement
Data Availability Statement
Conflicts of Interest
References
- Jakchairoongruang, K.; Khakoo, Y.; Beckwith, M.; Barkovich, J. New insights into neurocutaneous melanosis. Pediatr. Radiol. 2018, 48, 1786–1796. [Google Scholar] [CrossRef] [PubMed]
- Sharouf, F.; Zaben, M.; Lammie, A.; Leach, P.; Bhatti, M.I. Neurocutaneous melanosis presenting with hydrocephalus and malignant transformation: Case-based update. Childs Nerv. Syst. 2018, 34, 1471–1477. [Google Scholar] [CrossRef]
- Wang, F.; Qiao, G.; Lou, X.; Song, X.; Chen, W. Malignant transformation of intracranial meningeal melanocytoma. Case report and review of the literature. Neuropathology 2011, 31, 414–420. [Google Scholar] [CrossRef] [PubMed]
- Gershenwald, J.E.; Scolyer, R.A.; Hess, K.R.; Sondak, V.K.; Long, G.V.; Ross, M.I.; Lazar, A.J.; Faries, M.B.; Kirkwood, J.M.; McArthur, G.A.; et al. Melanoma staging: Evidence-based changes in the American Joint Committee on Cancer Eighth Edition Cancer Staging Manual. CA Cancer J. Clin. 2017, 67, 472–492. [Google Scholar] [CrossRef] [PubMed]
- Jetschke, K.; Viehweger, H.; Freesmeyer, M.; Warnke, J.P.; Mawrin, C. Primary pineal malignant melanoma with B-Raf V600E mutation: A case report and brief review of the literature. Acta Neurochir. 2015, 157, 1267–1270. [Google Scholar] [CrossRef]
- Kinsler, V.A.; O’Hare, P.; Bulstrode, N.; Calonje, J.E.; Chong, W.K.; Hargrave, D.; Jacques, T.; Lomas, D.; Sebire, N.J.; Slater, O. Melanoma in congenital melanocytic naevi. Br. J. Dermatol. 2017, 176, 1131–1143. [Google Scholar] [CrossRef]
- Louis, D.N.; Perry, A.; Wesseling, P.; Brat, D.J.; Cree, I.A.; Figarella-Branger, D.; Hawkins, C.; Ng, H.K.; Pfister, S.M.; Reifenberger, G.; et al. The 2021 WHO Classification of Tumors of the Central Nervous System: A summary. Neuro-oncology 2021, 23, 1231–1251. [Google Scholar] [CrossRef] [PubMed]
- Riker, A.I.; Enkemann, S.A.; Fodstad, O.; Liu, S.; Ren, S.; Morris, C.; Xi, Y.; Howell, P.; Metge, B.; Samant, R.S.; et al. The gene expression profiles of primary and metastatic melanoma yields a transition point of tumor progression and metastasis. BMC Med. Genomics 2008, 1, 13. [Google Scholar] [CrossRef]
- Rizzo, A.; Vasco, C.; Girgenti, V.; Fugnanesi, V.; Caratozzolo, C.; Canazza, A.; Salmaggi, A.; Rivoltini, L.; Morbin, M.; Ciusani, E. Melanoma Cells Homing to the Brain: An In Vitro Model. Biomed. Res. Int. 2015, 2015, 476069. [Google Scholar] [CrossRef]
- WHO Classification of Tumours Editorial Board. Central Nervous System Tumours, 5th, ed.; WHO Classifiation of Tumour Editorial Board, Ed.; Interantional Agency of Research on Cancer: Lyon, France, 2021. [Google Scholar]
- Spathis, A.; Katoulis, A.C.; Damaskou, V.; Liakou, A.I.; Kottaridi, C.; Leventakou, D.; Sgouros, D.; Mamantopoulos, A.; Rigopoulos, D.; Karakitsos, P.; et al. BRAF mutation status in primary, recurrent, and metastatic malignant melanoma and its relation to histopathological parameters. Dermatol. Pract. Concept. 2019, 9, 54–62. [Google Scholar] [CrossRef]
- Cornejo, K.M.; Hutchinson, L.; Cosar, E.F.; Smith, T.; Tomaszewicz, K.; Dresser, K.; Deng, A. Is it a primary or metastatic melanocytic neoplasm of the central nervous system?: A molecular based approach. Pathol. Int. 2013, 63, 559–564. [Google Scholar] [CrossRef]
- Lefter, A.; Dumitrescu, L.; Gobej, I.; Socoliuc, C.; Florea, A.; Orban, I.; Tanasescu, R.; Popescu, B.O. Primary versus secondary central nervous system melanoma: A diagnostic dilemma and report of a case. Mod. Med. 2019, 26, 35–39. [Google Scholar] [CrossRef]
- Mansuriya, R.; Patel, J. A rare case of primary malignant melanoma in brain. IAIM 2019, 6, 87–90. [Google Scholar]
- Tang, K.; Kong, X.; Mao, G.; Qiu, M.; Zhu, H.; Zhou, L.; Nie, Q.; Xu, Y.; Du, S. Primary cerebral malignant melanoma A case report with literature review. Medicine 2017, 96, e5805. [Google Scholar] [CrossRef] [PubMed]
- Troya-Castilla, M.; Rocha-Romero, S.; Chocrón-González, Y.; Javier Márquez-Rivas, F. Primary cerebral malignant melanoma in insular region with extracranial metastasis: Case report and review literature. World J. Surg. Oncol. 2016, 14, 235–241. [Google Scholar] [CrossRef]
- Suranagi, V.V.; Maste, P.; Malur, P.R. Primary intracranial malignant melanoma: A rare Case with review of literature. Asian J. Neurosurg. 2015, 10, 39–41. [Google Scholar] [CrossRef] [PubMed]
- Girolami, I.; Cima, L.; Ghimenton, C.; Zannoni, M.; Mombello, A.; Riva, G.; Cirielli, V.; Corradi, G.; Vogrig, A.; Di Stefano, G.; et al. NRASQ61K mutated diffuse leptomeningeal melanomatosis in an adult patient with a brief review of the so-called “forme fruste” of neurocutaneous melanosis. Brain Tumor Pathol. 2018, 35, 217–223. [Google Scholar] [CrossRef] [PubMed]
- Önal, C.; Özy, G.; Akyürek, S.; Selek, U.; Özyar, E.; Atahan, I.L. Primary intracranial solitary melanoma: A rare case with long survival. Turk. J. Cancer 2006, 36, 185–187. [Google Scholar]
- Sharma, A.; Sinha, V.D. Primary spinal cord melanoma of intradural extramedullary origin. Neurosci. Rural Pract. 2019, 10, 522–525. [Google Scholar] [CrossRef]
- Angelino, G.; De Pasquale, M.D.; De Sio, L.; Serra, A.; Massimi, L.; De Vito, R.; Marrazzo, A.; Lancella, L.; Carai, A.; Antonelli, M.; et al. NRASQ61K mutated primary leptomeningeal melanoma in a child: Case presentation and discussion on clinical and diagnostic implications. BMC Cancer 2016, 16, 512–517. [Google Scholar] [CrossRef]
- van Engen-van Grunsven, A.C.H.; Kusters-Vandevelde, H.; Groenen, P.J.T.A.; Blokx, W.A.M. Update on molecular pathology of cutaneous melanocytic lesions: What is new in diagnosis and molecular testing for treatment? Front. Med. 2014, 1, 39. [Google Scholar] [CrossRef] [PubMed]
- Moreira, B.L.; Grunewald, T.; Augusto, A.; Côrtes, J.; Marussi, V.H.R.; do Amaral, L.L.F. Neurocutaneous melanosis. Radiol. Bras. 2016, 49, 406–413. [Google Scholar] [CrossRef] [PubMed]
- Hafner, C.; Groesser, L. Mosaic RASopathies. Cell Cycle 2013, 12, 43–50. [Google Scholar] [CrossRef]
- Gessi, M.; Hammes, J.; Lauriola, L.; Dörner, E.; Kirfel, J.; Kristiansen, G.; zur Muehlen, A.; Denkhaus, D.; Waha, A.; Pietsch, T. GNA11 and N-RAS mutations: Alternatives for MAPK pathway activating GNAQ mutations in primary melanocytic tumours of the central nervous syst. Neuropathol. Appl. Neurobiol. 2013, 39, 417–425. [Google Scholar] [CrossRef]
- Zaleśna, I.; Hartman, M.L.; Czyż, M. BRAF mutation in progression and therapy of melanoma, papillary thyroid carcinoma and colorectal adenocarcinoma. Adv. Hyg. Exp. Med. 2016, 70, 471–488. [Google Scholar] [CrossRef] [PubMed]
- Gessi, M.; van de Nes, J.; Griewank, K.; Barresi, V.; Buckland, M.E.; Kirfel, J.; Caltabiano, R.; Hammes, J.; Lauriola, L.; Pietsch, T.; et al. Absence of TERT promoter mutations in primary melanocytic tumours of the central nervous system. Neuropathol. Appl. Neurobiol. 2014, 40, 794–797. [Google Scholar] [CrossRef]
- Lee, N.K.; Lee, J.Y.; Wang, K.C.; Kim, D.G.; Park, S.H.; Cheon, J.E.; Phi, J.H.; Kim, S.K. Primary atypical melanocytoma arising from the cavern sinus in a child. Childs Nerv. Syst. 2015, 31, 1577–1582. [Google Scholar] [CrossRef]










Disclaimer/Publisher’s Note: The statements, opinions and data contained in all publications are solely those of the individual author(s) and contributor(s) and not of MDPI and/or the editor(s). MDPI and/or the editor(s) disclaim responsibility for any injury to people or property resulting from any ideas, methods, instructions or products referred to in the content. |
© 2024 by the authors. Licensee MDPI, Basel, Switzerland. This article is an open access article distributed under the terms and conditions of the Creative Commons Attribution (CC BY) license (https://creativecommons.org/licenses/by/4.0/).
Share and Cite
Nowosławska, E.; Zakrzewska, M.; Sikorska, B.; Zakrzewski, J.; Polis, B. A 13-Year-Old Girl Affected by Melanocytic Tumors of the Central Nervous System—The Case. Int. J. Mol. Sci. 2024, 25, 9628. https://doi.org/10.3390/ijms25179628
Nowosławska E, Zakrzewska M, Sikorska B, Zakrzewski J, Polis B. A 13-Year-Old Girl Affected by Melanocytic Tumors of the Central Nervous System—The Case. International Journal of Molecular Sciences. 2024; 25(17):9628. https://doi.org/10.3390/ijms25179628
Chicago/Turabian StyleNowosławska, Emilia, Magdalena Zakrzewska, Beata Sikorska, Jakub Zakrzewski, and Bartosz Polis. 2024. "A 13-Year-Old Girl Affected by Melanocytic Tumors of the Central Nervous System—The Case" International Journal of Molecular Sciences 25, no. 17: 9628. https://doi.org/10.3390/ijms25179628
APA StyleNowosławska, E., Zakrzewska, M., Sikorska, B., Zakrzewski, J., & Polis, B. (2024). A 13-Year-Old Girl Affected by Melanocytic Tumors of the Central Nervous System—The Case. International Journal of Molecular Sciences, 25(17), 9628. https://doi.org/10.3390/ijms25179628
