HMGA1 Regulates the Expression of Replication-Dependent Histone Genes and Cell-Cycle in Breast Cancer Cells
Abstract
1. Introduction
2. Results
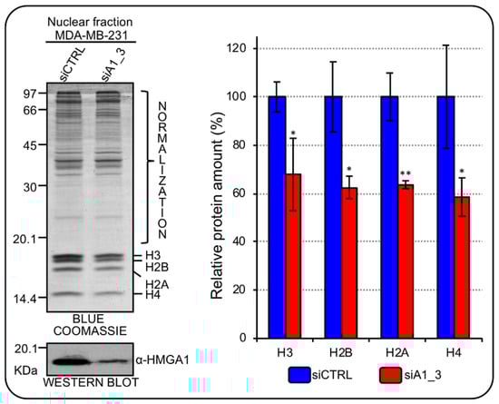
2.1. HMGA1 Modulates the Expression of RD-HIST Genes in BC Cells
2.2. HMGA1 Activates the HIST1H4H Promoter
2.3. HMGA1 Silencing Impacts Cell-Cycle Progression in MDA-MB-231 Cells
2.4. HMGA1 Silencing Impacts Cell-Cycle G1-S Phase Progression in Epirubicin Resistant (EpR) MDA-MB-231 Cells
3. Discussion
4. Materials and Methods
4.1. Cell Lines
4.2. Generation of EpR-MDA-MB-231 Cells
4.3. SiRNA Silencing
4.4. Cell-Cycle Analysis
4.5. Plasmid Transfection and Luciferase Assay
4.6. Co-Immunoprecipitation
4.7. SDS Polyacrylamide Gel Electrophoresis (SDS-PAGE) and Western Blot Analyses
4.8. RNA Extraction and RT-qPCR
4.9. Bioinformatics and Statistical Analysis
Supplementary Materials
Author Contributions
Funding
Acknowledgments
Conflicts of Interest
References
- Sung, H.; Ferlay, J.; Siegel, R.L.; Laversanne, M.; Soerjomataram, I.; Jemal, A.; Bray, F. Global Cancer Statistics 2020: GLOBOCAN Estimates of Incidence and Mortality Worldwide for 36 Cancers in 185 Countries. CA Cancer J. Clin 2021, 71, 209–249. [Google Scholar] [CrossRef] [PubMed]
- Szymiczek, A.; Lone, A.; Akbari, M.R. Molecular Intrinsic versus Clinical Subtyping in Breast Cancer: A Comprehensive Review. Clin. Genet. 2021, 99, 613–637. [Google Scholar] [CrossRef] [PubMed]
- Dent, R.; Trudeau, M.; Pritchard, K.I.; Hanna, W.M.; Kahn, H.K.; Sawka, C.A.; Lickley, L.A.; Rawlinson, E.; Sun, P.; Narod, S.A. Triple-Negative Breast Cancer: Clinical Features and Patterns of Recurrence. Clin. Cancer Res. 2007, 13, 4429–4434. [Google Scholar] [CrossRef] [PubMed]
- Caparica, R.; Lambertini, M.; de Azambuja, E. How I Treat Metastatic Triple-Negative Breast Cancer. ESMO Open 2019, 4, e000504. [Google Scholar] [CrossRef]
- Sgarra, R.; Pegoraro, S.; Ros, G.; Penzo, C.; Chiefari, E.; Foti, D.; Brunetti, A.; Manfioletti, G. High Mobility Group A (HMGA) Proteins: Molecular Instigators of Breast Cancer Onset and Progression. Biochim. Biophys. Acta Rev. Cancer 2018, 1869, 216–229. [Google Scholar] [CrossRef]
- Fedele, M.; Fusco, A. HMGA and Cancer. Biochim. Biophys. Acta 2010, 1799, 48–54. [Google Scholar] [CrossRef]
- Flohr, A.M.; Rogalla, P.; Bonk, U.; Puettmann, B.; Buerger, H.; Gohla, G.; Packeisen, J.; Wosniok, W.; Loeschke, S.; Bullerdiek, J. High Mobility Group Protein HMGA1 Expression in Breast Cancer Reveals a Positive Correlation with Tumour Grade. Histol. Histopathol. 2003, 18, 999–1004. [Google Scholar] [CrossRef]
- Zhang, S.; Lei, R.; Wu, J.; Shan, J.; Hu, Z.; Chen, L.; Ren, X.; Yao, L.; Wang, J.; Wang, X. Role of High Mobility Group A1 and Body Mass Index in the Prognosis of Patients with Breast Cancer. Oncol. Lett. 2017, 14, 5719–5726. [Google Scholar] [CrossRef]
- Qi, C.; Cao, J.; Li, M.; Liang, C.; He, Y.; Li, Y.; Li, J.; Zheng, X.; Wang, L.; Wei, B. HMGA1 Overexpression Is Associated With the Malignant Status and Progression of Breast Cancer. Anat. Rec. 2018, 301, 1061–1067. [Google Scholar] [CrossRef]
- Gorbounov, M.; Carleton, N.M.; Asch-Kendrick, R.J.; Xian, L.; Rooper, L.; Chia, L.; Cimino-Mathews, A.; Cope, L.; Meeker, A.; Stearns, V.; et al. High Mobility Group A1 (HMGA1) Protein and Gene Expression Correlate with ER-Negativity and Poor Outcomes in Breast Cancer. Breast Cancer Res. Treat. 2020, 179, 25–35. [Google Scholar] [CrossRef]
- Huang, R.; Huang, D.; Dai, W.; Yang, F. Overexpression of HMGA1 Correlates with the Malignant Status and Prognosis of Breast Cancer. Mol. Cell Biochem. 2015, 404, 251–257. [Google Scholar] [CrossRef] [PubMed]
- Chiappetta, G.; Botti, G.; Monaco, M.; Pasquinelli, R.; Pentimalli, F.; Di Bonito, M.; D’Aiuto, G.; Fedele, M.; Iuliano, R.; Palmieri, E.A.; et al. HMGA1 Protein Overexpression in Human Breast Carcinomas: Correlation with ErbB2 Expression. Clin. Cancer Res. 2004, 10, 7637–7644. [Google Scholar] [CrossRef] [PubMed]
- Reeves, R.; Edberg, D.D.; Li, Y. Architectural Transcription Factor HMGI(Y) Promotes Tumor Progression and Mesenchymal Transition of Human Epithelial Cells. Mol. Cell Biol. 2001, 21, 575–594. [Google Scholar] [CrossRef] [PubMed]
- Dolde, C.E.; Mukherjee, M.; Cho, C.; Resar, L.M.S. HMG-I/Y in Human Breast Cancer Cell Lines. Breast Cancer Res. Treat. 2002, 71, 181–191. [Google Scholar] [CrossRef]
- Pegoraro, S.; Ros, G.; Piazza, S.; Sommaggio, R.; Ciani, Y.; Rosato, A.; Sgarra, R.; Del Sal, G.; Manfioletti, G. HMGA1 Promotes Metastatic Processes in Basal-like Breast Cancer Regulating EMT and Stemness. Oncotarget 2013, 4, 1293–1308. [Google Scholar] [CrossRef]
- Shah, S.N.; Cope, L.; Poh, W.; Belton, A.; Roy, S.; Talbot, C.C.; Sukumar, S.; Huso, D.L.; Resar, L.M.S. HMGA1: A Master Regulator of Tumor Progression in Triple-Negative Breast Cancer Cells. PLoS ONE 2013, 8, e63419. [Google Scholar] [CrossRef]
- Zanin, R.; Pegoraro, S.; Ros, G.; Ciani, Y.; Piazza, S.; Bossi, F.; Bulla, R.; Zennaro, C.; Tonon, F.; Lazarevic, D.; et al. HMGA1 Promotes Breast Cancer Angiogenesis Supporting the Stability, Nuclear Localization and Transcriptional Activity of FOXM1. J. Exp. Clin. Cancer Res. 2019, 38, 313. [Google Scholar] [CrossRef]
- Pellarin, I.; Arnoldo, L.; Costantini, S.; Pegoraro, S.; Ros, G.; Penzo, C.; Triolo, G.; Demarchi, F.; Sgarra, R.; Vindigni, A.; et al. The Architectural Chromatin Factor High Mobility Group A1 Enhances DNA Ligase IV Activity Influencing DNA Repair. PLoS ONE 2016, 11, e0164258. [Google Scholar] [CrossRef]
- Maloney, S.C.; Adair, J.E.; Smerdon, M.J.; Reeves, R. Gene-Specific Nucleotide Excision Repair Is Impaired in Human Cells Expressing Elevated Levels of High Mobility Group A1 Nonhistone Proteins. DNA Repair. 2007, 6, 1371–1379. [Google Scholar] [CrossRef][Green Version]
- Harris, M.E.; Böhni, R.; Schneiderman, M.H.; Ramamurthy, L.; Schümperli, D.; Marzluff, W.F. Regulation of Histone MRNA in the Unperturbed Cell Cycle: Evidence Suggesting Control at Two Posttranscriptional Steps. Mol. Cell Biol. 1991, 11, 2416–2424. [Google Scholar] [CrossRef]
- Marzluff, W.F.; Gongidi, P.; Woods, K.R.; Jin, J.; Maltais, L.J. The Human and Mouse Replication-Dependent Histone Genes. Genomics 2002, 80, 487–498. [Google Scholar] [CrossRef]
- Duronio, R.J.; Marzluff, W.F. Coordinating Cell Cycle-Regulated Histone Gene Expression through Assembly and Function of the Histone Locus Body. RNA Biol. 2017, 14, 726–738. [Google Scholar] [CrossRef]
- Skrajna, A.; Yang, X.-C.; Bucholc, K.; Zhang, J.; Hall, T.M.T.; Dadlez, M.; Marzluff, W.F.; Dominski, Z. U7 SnRNP Is Recruited to Histone Pre-MRNA in a FLASH-Dependent Manner by Two Separate Regions of the Stem-Loop Binding Protein. RNA 2017, 23, 938–951. [Google Scholar] [CrossRef] [PubMed]
- von Moeller, H.; Lerner, R.; Ricciardi, A.; Basquin, C.; Marzluff, W.F.; Conti, E. Structural and Biochemical Studies of SLIP1-SLBP Identify DBP5 and EIF3g as SLIP1-Binding Proteins. Nucleic Acids Res. 2013, 41, 7960–7971. [Google Scholar] [CrossRef] [PubMed]
- Dankert, J.F.; Rona, G.; Clijsters, L.; Geter, P.; Skaar, J.R.; Bermudez-Hernandez, K.; Sassani, E.; Fenyö, D.; Ueberheide, B.; Schneider, R.; et al. Cyclin F-Mediated Degradation of SLBP Limits H2A.X Accumulation and Apoptosis upon Genotoxic Stress in G2. Mol. Cell 2016, 64, 507–519. [Google Scholar] [CrossRef] [PubMed]
- Sgarra, R.; Zammitti, S.; Lo Sardo, A.; Maurizio, E.; Arnoldo, L.; Pegoraro, S.; Giancotti, V.; Manfioletti, G. HMGA Molecular Network: From Transcriptional Regulation to Chromatin Remodeling. Biochim. Biophys. Acta 2010, 1799, 37–47. [Google Scholar] [CrossRef] [PubMed]
- Ghule, P.N.; Seward, D.J.; Fritz, A.J.; Boyd, J.R.; van Wijnen, A.J.; Lian, J.B.; Stein, J.L.; Stein, G.S. Higher Order Genomic Organization and Regulatory Compartmentalization for Cell Cycle Control at the G1/S-Phase Transition. J. Cell Physiol. 2018, 233, 6406–6413. [Google Scholar] [CrossRef] [PubMed]
- Yie, J.; Merika, M.; Munshi, N.; Chen, G.; Thanos, D. The Role of HMG I(Y) in the Assembly and Function of the IFN-Beta Enhanceosome. EMBO J. 1999, 18, 3074–3089. [Google Scholar] [CrossRef] [PubMed]
- Rogers, S.; Gloss, B.S.; Lee, C.S.; Sergio, C.M.; Dinger, M.E.; Musgrove, E.A.; Burgess, A.; Caldon, C.E. Cyclin E2 Is the Predominant E-Cyclin Associated with NPAT in Breast Cancer Cells. Cell Div. 2015, 10, 1. [Google Scholar] [CrossRef]
- Zhao, J.; Kennedy, B.K.; Lawrence, B.D.; Barbie, D.A.; Matera, A.G.; Fletcher, J.A.; Harlow, E. NPAT Links Cyclin E-Cdk2 to the Regulation of Replication-Dependent Histone Gene Transcription. Genes Dev. 2000, 14, 2283–2297. [Google Scholar] [CrossRef]
- Pegoraro, S.; Ros, G.; Ciani, Y.; Sgarra, R.; Piazza, S.; Manfioletti, G. A Novel HMGA1-CCNE2-YAP Axis Regulates Breast Cancer Aggressiveness. Oncotarget 2015, 6, 19087–19101. [Google Scholar] [CrossRef] [PubMed]
- Pegoraro, S.; Ros, G.; Sgubin, M.; Petrosino, S.; Zambelli, A.; Sgarra, R.; Manfioletti, G. Targeting the Intrinsically Disordered Architectural High Mobility Group A (HMGA) Oncoproteins in Breast Cancer: Learning from the Past to Design Future Strategies. Expert Opin. Ther. Targets 2020, 24, 953–969. [Google Scholar] [CrossRef]
- Karami Fath, M.; Azargoonjahromi, A.; Kiani, A.; Jalalifar, F.; Osati, P.; Akbari Oryani, M.; Shakeri, F.; Nasirzadeh, F.; Khalesi, B.; Nabi-Afjadi, M.; et al. The Role of Epigenetic Modifications in Drug Resistance and Treatment of Breast Cancer. Cell Mol. Biol. Lett. 2022, 27, 52. [Google Scholar] [CrossRef] [PubMed]
- Fritz, A.J.; Ghule, P.N.; Boyd, J.R.; Tye, C.E.; Page, N.A.; Hong, D.; Shirley, D.J.; Weinheimer, A.S.; Barutcu, A.R.; Gerrard, D.L.; et al. Intranuclear and Higher-Order Chromatin Organization of the Major Histone Gene Cluster in Breast Cancer. J. Cell Physiol. 2018, 233, 1278–1290. [Google Scholar] [CrossRef] [PubMed]
- Nayak, S.R.; Harrington, E.; Boone, D.; Hartmaier, R.; Chen, J.; Pathiraja, T.N.; Cooper, K.L.; Fine, J.L.; Sanfilippo, J.; Davidson, N.E.; et al. A Role for Histone H2B Variants in Endocrine-Resistant Breast Cancer. Horm. Cancer 2015, 6, 214–224. [Google Scholar] [CrossRef]
- Noberini, R.; Morales Torres, C.; Savoia, E.O.; Brandini, S.; Jodice, M.G.; Bertalot, G.; Bonizzi, G.; Capra, M.; Diaferia, G.; Scaffidi, P.; et al. Label-Free Mass Spectrometry-Based Quantification of Linker Histone H1 Variants in Clinical Samples. Int. J. Mol. Sci. 2020, 21, E7330. [Google Scholar] [CrossRef]
- Wang, T.; Chuffart, F.; Bourova-Flin, E.; Wang, J.; Mi, J.; Rousseaux, S.; Khochbin, S. Histone Variants: Critical Determinants in Tumour Heterogeneity. Front. Med. 2019, 13, 289–297. [Google Scholar] [CrossRef]
- Li, X.; Tian, R.; Gao, H.; Yang, Y.; Williams, B.R.G.; Gantier, M.P.; McMillan, N.A.J.; Xu, D.; Hu, Y.; Gao, Y. Identification of a Histone Family Gene Signature for Predicting the Prognosis of Cervical Cancer Patients. Sci. Rep. 2017, 7, 16495. [Google Scholar] [CrossRef]
- Mirisola, V.; Mora, R.; Esposito, A.I.; Guastini, L.; Tabacchiera, F.; Paleari, L.; Amaro, A.; Angelini, G.; Dellepiane, M.; Pfeffer, U.; et al. A Prognostic Multigene Classifier for Squamous Cell Carcinomas of the Larynx. Cancer Lett. 2011, 307, 37–46. [Google Scholar] [CrossRef]
- Singh, R.; Bassett, E.; Chakravarti, A.; Parthun, M.R. Corrigenda: Replication-Dependent Histone Isoforms: A New Source of Complexity in Chromatin Structure and Function. Nucleic Acids Res. 2018, 46, 9893–9894. [Google Scholar] [CrossRef]
- Ram, T.G.; Reeves, R.; Hosick, H.L. Elevated High Mobility Group-I(Y) Gene Expression Is Associated with Progressive Transformation of Mouse Mammary Epithelial Cells. Cancer Res. 1993, 53, 2655–2660. [Google Scholar] [PubMed]
- Reeves, R.; Nissen, M.S. Interaction of High Mobility Group-I (Y) Nonhistone Proteins with Nucleosome Core Particles. J. Biol. Chem. 1993, 268, 21137–21146. [Google Scholar] [CrossRef] [PubMed]
- Reeves, R.; Leonard, W.J.; Nissen, M.S. Binding of HMG-I(Y) Imparts Architectural Specificity to a Positioned Nucleosome on the Promoter of the Human Interleukin-2 Receptor Alpha Gene. Mol. Cell Biol. 2000, 20, 4666–4679. [Google Scholar] [CrossRef] [PubMed]
- Penzo, C.; Arnoldo, L.; Pegoraro, S.; Petrosino, S.; Ros, G.; Zanin, R.; Wiśniewski, J.R.; Manfioletti, G.; Sgarra, R. HMGA1 Modulates Gene Transcription Sustaining a Tumor Signalling Pathway Acting on the Epigenetic Status of Triple-Negative Breast Cancer Cells. Cancers 2019, 11, 1105. [Google Scholar] [CrossRef] [PubMed]
- Sgarra, R.; Rustighi, A.; Tessari, M.A.; Di Bernardo, J.; Altamura, S.; Fusco, A.; Manfioletti, G.; Giancotti, V. Nuclear Phosphoproteins HMGA and Their Relationship with Chromatin Structure and Cancer. FEBS Lett. 2004, 574, 1–8. [Google Scholar] [CrossRef] [PubMed]
- Senigagliesi, B.; Penzo, C.; Severino, L.U.; Maraspini, R.; Petrosino, S.; Morales-Navarrete, H.; Pobega, E.; Ambrosetti, E.; Parisse, P.; Pegoraro, S.; et al. The High Mobility Group A1 (HMGA1) Chromatin Architectural Factor Modulates Nuclear Stiffness in Breast Cancer Cells. Int. J. Mol. Sci. 2019, 20, E2733. [Google Scholar] [CrossRef] [PubMed]
- Shi, M.; Lv, X.; Zhu, M.; Dong, Y.; Hu, L.; Qian, Y.; Fan, C.; Tian, N. HMGA1 Promotes Hepatocellular Carcinoma Proliferation, Migration, and Regulates Cell Cycle via MiR-195-5p. Anticancer Drugs 2022, 33, e273–e285. [Google Scholar] [CrossRef]
- Fu, F.; Wang, T.; Wu, Z.; Feng, Y.; Wang, W.; Zhou, S.; Ma, X.; Wang, S. HMGA1 Exacerbates Tumor Growth through Regulating the Cell Cycle and Accelerates Migration/Invasion via Targeting MiR-221/222 in Cervical Cancer. Cell Death Dis. 2018, 9, 594. [Google Scholar] [CrossRef]
- Xi, Y.; Li, Y.-S.; Tang, H.-B. High Mobility Group A1 Protein Acts as a New Target of Notch1 Signaling and Regulates Cell Proliferation in T Leukemia Cells. Mol. Cell Biochem. 2013, 374, 173–180. [Google Scholar] [CrossRef]
- Schuldenfrei, A.; Belton, A.; Kowalski, J.; Talbot, C.C.; Di Cello, F.; Poh, W.; Tsai, H.-L.; Shah, S.N.; Huso, T.H.; Huso, D.L.; et al. HMGA1 Drives Stem Cell, Inflammatory Pathway, and Cell Cycle Progression Genes during Lymphoid Tumorigenesis. BMC Genomics 2011, 12, 549. [Google Scholar] [CrossRef]
- Zu, X.; Zhong, J.; Tan, J.; Tan, L.; Yang, D.; Zhang, Q.; Ding, W.; Liu, W.; Wen, G.; Liu, J.; et al. TGF-Β1 Induces HMGA1 Expression in Human Breast Cancer Cells: Implications of the Involvement of HMGA1 in TGF-β Signaling. Int. J. Mol. Med. 2015, 35, 693–701. [Google Scholar] [CrossRef] [PubMed]
- Zhao, X.-X.; Yuan, Q.-Z.; Mu, D.-P.; Sun, D.-W.; Bo, Q.-A.; Pan, G.-Z.; Li, G.-Q.; Cui, T.; Ding, P.-P.; You, F.-P.; et al. MicroRNA-26a Inhibits Proliferation by Targeting High Mobility Group AT-Hook 1 in Breast Cancer. Int. J. Clin. Exp. Pathol. 2015, 8, 368–373. [Google Scholar] [PubMed]
- Zhou, W.; Zhong, C.; Luo, X.; Zhang, Y.; Zhang, G.; Zhou, D.; Liu, L. MiR-625 Suppresses Cell Proliferation and Migration by Targeting HMGA1 in Breast Cancer. Biochem. Biophys. Res. Commun. 2016, 470, 838–844. [Google Scholar] [CrossRef] [PubMed]
- Wu, Z.; Wang, W.; Wang, Y.; Wang, X.; Sun, S.; Yao, Y.; Zhang, Y.; Ren, Z. Long Noncoding RNA LINC00963 Promotes Breast Cancer Progression by Functioning as a Molecular Sponge for MicroRNA-625 and Thereby Upregulating HMGA1. Cell Cycle 2020, 19, 610–624. [Google Scholar] [CrossRef]
- Lau, K.-M.; Chan, Q.K.Y.; Pang, J.C.S.; Ma, F.M.-T.; Li, K.K.W.; Yeung, W.W.; Cheng, A.S.L.; Feng, H.; Chung, N.Y.F.; Li, H.-M.; et al. Overexpression of HMGA1 Deregulates Tumor Growth via Cdc25A and Alters Migration/Invasion through a Cdc25A-Independent Pathway in Medulloblastoma. Acta Neuropathol. 2012, 123, 553–571. [Google Scholar] [CrossRef]
- Zhao, C.; Li, Y.; Zhang, W.; Zhao, D.; Ma, L.; Ma, P.; Yang, F.; Wang, Y.; Shu, Y.; Qiu, W. IL-17 Induces NSCLC A549 Cell Proliferation via the Upregulation of HMGA1, Resulting in an Increased Cyclin D1 Expression. Int. J. Oncol. 2018, 52, 1579–1592. [Google Scholar] [CrossRef]
- Yoo, Y.; Park, S.-Y.; Jo, E.B.; Choi, M.; Lee, K.W.; Hong, D.; Lee, S.; Lee, C.-R.; Lee, Y.; Um, J.-Y.; et al. Overexpression of Replication-Dependent Histone Signifies a Subset of Dedifferentiated Liposarcoma with Increased Aggressiveness. Cancers 2021, 13, 3122. [Google Scholar] [CrossRef]
- Marzluff, W.F.; Koreski, K.P. Birth and Death of Histone MRNAs. Trends Genet. 2017, 33, 745–759. [Google Scholar] [CrossRef]
- Hur, W.; Kemp, J.P.; Tarzia, M.; Deneke, V.E.; Marzluff, W.F.; Duronio, R.J.; Di Talia, S. CDK-Regulated Phase Separation Seeded by Histone Genes Ensures Precise Growth and Function of Histone Locus Bodies. Dev. Cell 2020, 54, 379–394.e6. [Google Scholar] [CrossRef]
- Bradford, B.R.; Jin, C. Stem-Loop Binding Protein and Metal Carcinogenesis. Semin. Cancer Biol. 2021, 76, 38–44. [Google Scholar] [CrossRef]
- Wu, Q.-Q.; Liu, C.; Cai, Z.; Xie, Q.; Hu, T.; Duan, M.; Wu, H.; Yuan, Y.; Tang, Q. High-Mobility Group AT-Hook 1 Promotes Cardiac Dysfunction in Diabetic Cardiomyopathy via Autophagy Inhibition. Cell Death Dis. 2020, 11, 160. [Google Scholar] [CrossRef] [PubMed]
- Panneerselvam, J.; Srivastava, A.; Muralidharan, R.; Wang, Q.; Zheng, W.; Zhao, L.; Chen, A.; Zhao, Y.D.; Munshi, A.; Ramesh, R. IL-24 Modulates the High Mobility Group (HMG) A1/MiR222 /AKT Signaling in Lung Cancer Cells. Oncotarget 2016, 7, 70247–70263. [Google Scholar] [CrossRef] [PubMed]
- Kiyomiya, K.; Satoh, J.; Horie, H.; Kurebe, M.; Nakagawa, H.; Matsuo, S. Correlation between Nuclear Action of Anthracycline Anticancer Agents and Their Binding Affinity to the Proteasome. Int. J. Oncol 2002, 21, 1081–1085. [Google Scholar] [CrossRef] [PubMed]
- Palmer, A.; Mason, G.G.; Paramio, J.M.; Knecht, E.; Rivett, A.J. Changes in Proteasome Localization during the Cell Cycle. Eur. J. Cell Biol. 1994, 64, 163–175. [Google Scholar]
- Baldassarre, G.; Belletti, B.; Battista, S.; Nicoloso, M.S.; Pentimalli, F.; Fedele, M.; Croce, C.M.; Fusco, A. HMGA1 Protein Expression Sensitizes Cells to Cisplatin-Induced Cell Death. Oncogene 2005, 24, 6809–6819. [Google Scholar] [CrossRef][Green Version]
- Pádua, D.; Pinto, D.F.; Figueira, P.; Pereira, C.F.; Almeida, R.; Mesquita, P. HMGA1 Has Predictive Value in Response to Chemotherapy in Gastric Cancer. Curr. Oncol. 2021, 29, 56–67. [Google Scholar] [CrossRef]
- Risso, D.; Ngai, J.; Speed, T.P.; Dudoit, S. Normalization of RNA-Seq Data Using Factor Analysis of Control Genes or Samples. Nat. Biotechnol. 2014, 32, 896–902. [Google Scholar] [CrossRef]
- Love, M.I.; Huber, W.; Anders, S. Moderated Estimation of Fold Change and Dispersion for RNA-Seq Data with DESeq2. Genome Biol. 2014, 15, 550. [Google Scholar] [CrossRef]









| Oligo Name | Sequence 5′ → 3′ | Oligo Name | Sequence 5′ → 3′ |
|---|---|---|---|
| GAPDH Fw | TCTCTGCTCCTCCTGTTC | GAPDH Rev | GCCCAATACGACCAAATCC |
| HMGA1 Fw | ACCAGCGCAAATGTTCATCCTCA | HMGA1 Rev | AGCCCCTCTTCCCCACAAAGAGT |
| SLBP Fw | GGAAGAACACAATTGCCTACG | SLBP Rev | TAGGGGTCTTGGGATGAATG |
| HIST1H1C Fw | CACCGAAGAAAGCGAAGAAG | HIST1H1C Rev | AGCCTTAGCAGCACTTTTGG |
| HIST1H2AC Fw | ACGAGGAGCTCAACAAACTG | HIST1H2AC Rev | GTCAAATCACTTGCCCTTGG |
| HIST1H2BD Fw | TAACGCTACGATGCCTGAAC | HIST1H2BD Rev | TTCTTCCCGTCCTTCTTCTG |
| HIST1H4H Fw | CCGTGGTAAAGGTGGAAAAG | HIST1H4H Rev | GCCAGAAATTCGCTTGACAC |
Disclaimer/Publisher’s Note: The statements, opinions and data contained in all publications are solely those of the individual author(s) and contributor(s) and not of MDPI and/or the editor(s). MDPI and/or the editor(s) disclaim responsibility for any injury to people or property resulting from any ideas, methods, instructions or products referred to in the content. |
© 2022 by the authors. Licensee MDPI, Basel, Switzerland. This article is an open access article distributed under the terms and conditions of the Creative Commons Attribution (CC BY) license (https://creativecommons.org/licenses/by/4.0/).
Share and Cite
Petrosino, S.; Pacor, S.; Pegoraro, S.; Gazziero, V.A.; Canarutto, G.; Piazza, S.; Manfioletti, G.; Sgarra, R. HMGA1 Regulates the Expression of Replication-Dependent Histone Genes and Cell-Cycle in Breast Cancer Cells. Int. J. Mol. Sci. 2023, 24, 594. https://doi.org/10.3390/ijms24010594
Petrosino S, Pacor S, Pegoraro S, Gazziero VA, Canarutto G, Piazza S, Manfioletti G, Sgarra R. HMGA1 Regulates the Expression of Replication-Dependent Histone Genes and Cell-Cycle in Breast Cancer Cells. International Journal of Molecular Sciences. 2023; 24(1):594. https://doi.org/10.3390/ijms24010594
Chicago/Turabian StylePetrosino, Sara, Sabrina Pacor, Silvia Pegoraro, Virginia Anna Gazziero, Giulia Canarutto, Silvano Piazza, Guidalberto Manfioletti, and Riccardo Sgarra. 2023. "HMGA1 Regulates the Expression of Replication-Dependent Histone Genes and Cell-Cycle in Breast Cancer Cells" International Journal of Molecular Sciences 24, no. 1: 594. https://doi.org/10.3390/ijms24010594
APA StylePetrosino, S., Pacor, S., Pegoraro, S., Gazziero, V. A., Canarutto, G., Piazza, S., Manfioletti, G., & Sgarra, R. (2023). HMGA1 Regulates the Expression of Replication-Dependent Histone Genes and Cell-Cycle in Breast Cancer Cells. International Journal of Molecular Sciences, 24(1), 594. https://doi.org/10.3390/ijms24010594

