A Pharmacokinetic and Metabolism Study of the TRPC6 Inhibitor SH045 in Mice by LC-MS/MS
Abstract
:1. Introduction
2. Results
2.1. LC-MS/MS Methods
2.2. Pharmacokinetics, Disposition and Metabolism Study
2.2.1. Concentration-Time Profile of SH045 in Plasma after i.v. and p.o. Administration
2.2.2. Biodistribution and Tissue Binding of SH045
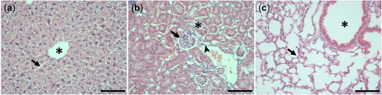
2.2.3. Repeated Administration of SH045—Effects on Tissue Concentration and Histological Evaluation
2.2.4. Appearance of SH045 in Urine
2.3. Studies on Hepatic Metabolism of SH045 In Vitro
2.3.1. Metabolism of SH045 in Mouse (MLM) and Human (HLM) Liver Microsomes In Vitro
2.3.2. Time-Dependent Metabolization of SH045 in MLM and HLM
2.3.3. Calculation of Hepatic Clearance Using In Vitro–In Vivo Extrapolation (IVIVE)
2.4. Identification of Metabolic Pathways of SH045 and Structural Elucidation of Metabolites
3. Discussion and Conclusions
4. Material and Methods
4.1. Materials
4.2. HPLC and Tandem Mass Spectrometric Methods (LC-MS/MS)
4.3. Quantification of SH045
4.4. Preparation of Standard Stock Solutions, Calibration and QC Samples, and Working Solutions for Metabolism Studies
4.5. Animals, Drug Administration and Sample Collection
4.6. Histopathological Examination of Tissue Repeatedly Exposed to SH045
4.7. Preparation of Samples for Analysis of SH045 and Its Metabolites by LC-MS/MS
4.8. Determination of Kinetic Parameters of SH045 in Mice
4.9. Metabolization Studies in MLM and HLM and Calculation of Hepatic Clearance
4.10. Identification of Metabolization Pathways and Metabolites of SH045 in MLM and HLM
4.11. Calculations and Statistical Analysis
Supplementary Materials
Author Contributions
Funding
Institutional Review Board Statement
Data Availability Statement
Acknowledgments
Conflicts of Interest
References
- Dietrich, A.; Gudermann, T. TRPC6: Physiological function and pathophysiological relevance. Handb. Exp. Pharmacol. 2014, 222, 157–188. [Google Scholar] [CrossRef] [PubMed]
- Davis, J.; Burr, A.R.; Davis, G.F.; Birnbaumer, L.; Molkentin, J.D. A TRPC6-dependent pathway for myofibroblast transdifferentiation and wound healing in vivo. Dev. Cell 2012, 23, 705–715. [Google Scholar] [CrossRef] [PubMed] [Green Version]
- Hofmann, T.; Obukhov, A.G.; Schaefer, M.; Harteneck, C.; Gudermann, T.; Schultz, G. Direct activation of human TRPC6 and TRPC3 channels by diacylglycerol. Nature 1999, 397, 259–263. [Google Scholar] [CrossRef] [PubMed]
- Rhee, S.G. Regulation of phosphoinositide-specific phospholipase C. Ann. Rev. Biochem. 2001, 70, 281–312. [Google Scholar] [CrossRef] [PubMed]
- Inoue, R.; Jensen, L.J.; Shi, J.; Morita, H.; Nishida, M.; Honda, A.; Ito, Y. Transient receptor potential channels in cardiovascular function and disease. Circ. Res. 2006, 99, 119–131. [Google Scholar] [CrossRef] [PubMed] [Green Version]
- Guo, W.; Tang, Q.; Wei, M.; Kang, Y.; Wu, J.-X.; Chen, L. Structural mechanism of human TRPC3 and TRPC6 channel regulation by their intracellular calcium-binding sites. Neuron 2022. [Google Scholar] [CrossRef] [PubMed]
- Chen, X.; Sooch, G.; Demaree, I.S.; White, F.A.; Obukhov, A.G. Transient receptor potential canonical (TRPC) channels: Then and now. Cells 2020, 9, 1983. [Google Scholar] [CrossRef] [PubMed]
- Nikolaev, Y.A.; Cox, C.D.; Ridone, P.; Rohde, P.R.; Cordero-Morales, J.F.; Vásquez, V.; Laver, D.R.; Martinac, B. Mammalian TRP ion channels are insensitive to membrane stretch. J. Cell Sci. 2019, 132, jcs238360. [Google Scholar] [CrossRef] [PubMed] [Green Version]
- Stewart, L.; Turner, N.A. Channelling the force to reprogram the matrix: Mechanosensitive ion channels in cardiac fibroblasts. Cells 2021, 10, 990. [Google Scholar] [CrossRef] [PubMed]
- Riccio, A.; Medhurst, A.D.; Mattei, C.; Kelsell, R.E.; Calver, A.R.; Randall, A.D.; Benham, C.D.; Pangalos, M.N. mRNA distribution analysis of human TRPC family in CNS and peripheral tissues. Mol. Brain Res. 2002, 109, 95–104. [Google Scholar] [CrossRef] [PubMed]
- Dryer, S.E.; Roshanravan, H.; Kim, E.Y. TRPC channels: Regulation, dysregulation and contributions to chronic kidney disease. Biochim. Biophys. Acta Mol. Basis Dis. 2019, 1865, 1041–1066. [Google Scholar] [CrossRef] [PubMed]
- Wang, Z.; Fu, Y.; do Carmo, J.M.; da Silva, A.A.; Li, X.; Mouton, A.; Omoto, A.C.M.; Sears, J.; Hall, J.E. Transient receptor potential cation channel 6 contributes to kidney injury induced by diabetes and hypertension. Am. J. Physiol. Renal Physiol. 2022, 322, F76–F88. [Google Scholar] [CrossRef] [PubMed]
- Weissmann, N.; Dietrich, A.; Fuchs, B.; Kalwa, H.; Ay, M.; Dumitrascu, R.; Olschewski, A.; Storch, U.; Schnitzler, M.M.Y.; Ghofrani, H.A. Classical transient receptor potential channel 6 (TRPC6) is essential for hypoxic pulmonary vasoconstriction and alveolar gas exchange. Proc. Natl. Acad. Sci. USA 2006, 103, 19093–19098. [Google Scholar] [CrossRef] [PubMed] [Green Version]
- Jain, P.P.; Lai, N.; Xiong, M.; Chen, J.; Babicheva, A.; Zhao, T.; Parmisano, S.; Zhao, M.; Paquin, C.; Matti, M.; et al. TRPC6, a therapeutic target for pulmonary hypertension. Am. J. Physiol. Lung Cell. Mol. Physiol. 2021, 321, L1161–L1182. [Google Scholar] [CrossRef] [PubMed]
- Maier, T.; Follmann, M.; Hessler, G.; Kleemann, H.-W.; Hachtel, S.; Fuchs, B.; Weissmann, N.; Linz, W.; Schmidt, T.; Löhn, M. Discovery and pharmacological characterization of a novel potent inhibitor of diacylglycerol-sensitive TRPC cation channels. Br. J. Pharmacol. 2015, 172, 3650–3660. [Google Scholar] [CrossRef] [PubMed]
- Dietrich, A. Modulators of transient receptor potential (TRP) channels as therapeutic options in lung disease. Pharmaceuticals 2019, 12, 23. [Google Scholar] [CrossRef] [PubMed] [Green Version]
- Urban, N.; Wang, L.; Kwiek, S.; Rademann, J.; Kuebler, W.M.; Schaefer, M. Identification and validation of larixyl acetate as a potent TRPC6 inhibitor. Mol. Pharmacol. 2016, 89, 197–213. [Google Scholar] [CrossRef] [PubMed] [Green Version]
- Urban, N.; Neuser, S.; Hentschel, A.; Köhling, S.; Rademann, J.; Schaefer, M. Pharmacological inhibition of focal segmental glomerulosclerosis-related, gain of function mutants of TRPC6 channels by semi-synthetic derivatives of larixol. Br. J. Pharmacol. 2017, 174, 4099–4122. [Google Scholar] [CrossRef] [PubMed]
- Häfner, S.; Burg, F.; Kannler, M.; Urban, N.; Mayer, P.; Dietrich, A.; Trauner, D.; Broichhagen, J.; Schaefer, M. A (+)-Larixol Congener with High Affinity and Subtype Selectivity toward TRPC6. ChemMedChem 2018, 13, 1028–1035. [Google Scholar] [CrossRef] [PubMed]
- Tang, Q.; Guo, W.; Zheng, L.; Wu, J.-X.; Liu, M.; Zhou, X.; Zhang, X.; Chen, L. Structure of the receptor-activated human TRPC6 and TRPC3 ion channels. Cell Res. 2018, 28, 746–755. [Google Scholar] [CrossRef] [PubMed] [Green Version]
- Lin, B.L.; Matera, D.; Doerner, J.F.; Zheng, N.; Del Camino, D.; Mishra, S.; Bian, H.; Zeveleva, S.; Zhen, X.; Blair, N.T. In vivo selective inhibition of TRPC6 by antagonist BI 749327 ameliorates fibrosis and dysfunction in cardiac and renal disease. Proc. Natl. Acad. Sci. USA 2019, 116, 10156–10161. [Google Scholar] [CrossRef] [PubMed] [Green Version]
- Chai, X.-N.; Ludwig, F.-A.; Müglitz, A.; Schaefer, M.; Yin, H.-Y.; Brust, P.; Regenthal, R.; Krügel, U. Validation of an LC-MS/MS Method to Quantify the New TRPC6 Inhibitor SH045 (Larixyl N-methylcarbamate) and Its Application in an Exploratory Pharmacokinetic Study in Mice. Pharmaceuticals 2021, 14, 259. [Google Scholar] [CrossRef] [PubMed]
- European Medicines Agency. Guideline on the Investigation of Bioequivalence; European Medicines Agency: London, UK, 2010.
- Food and Drug Administration. Guidance for Industry: Bioequivalence Guidance; Food and Drug Administration: New York, NY, USA, 2017.
- Brandon, E.F.A.; Raap, C.D.; Meijerman, I.; Beijnen, J.H.; Schellens, J.H.M. An update on in vitro test methods in human hepatic drug biotransformation research: Pros and cons. Toxicol. Appl. Pharmacol. 2003, 189, 233–246. [Google Scholar] [CrossRef] [PubMed]
- Zanger, U.M.; Schwab, M. Cytochrome P450 enzymes in drug metabolism: Regulation of gene expression, enzyme activities, and impact of genetic variation. Pharmacol. Ther. 2013, 138, 103–141. [Google Scholar] [CrossRef] [PubMed]
- Słoczyńska, K.; Gunia-Krzyżak, A.; Koczurkiewicz, P.; Wójcik-Pszczoła, K.; Żelaszczyk, D.; Popiół, J.; Pękala, E. Metabolic stability and its role in the discovery of new chemical entities. Acta Pharm. 2019, 69, 345–361. [Google Scholar] [CrossRef] [PubMed] [Green Version]
- Pang, K.S.; Han, Y.R.; Noh, K.; Lee, P.I.; Rowland, M. Hepatic clearance concepts and misconceptions: Why the well-stirred model is still used even though it is not physiologic reality? Biochem. Pharmacol. 2019, 169, 113596. [Google Scholar] [CrossRef] [PubMed]
- Rowland, M.; Benet, L.Z.; Graham, G.G. Clearance concepts in pharmacokinetics. J. Pharmacokinet. Biopharm. 1973, 1, 123–136. [Google Scholar] [CrossRef] [PubMed]
- Davies, B.; Morris, T. Physiological parameters in laboratory animals and humans. Pharm. Res. 1993, 10, 1093–1095. [Google Scholar] [CrossRef] [PubMed]
- Testa, B.; Krämer, S.D. The biochemistry of drug metabolism—An introduction. Chem. Biodivers. 2006, 3, 1053–1101. [Google Scholar] [CrossRef] [PubMed]
- Holčapek, M.; Kolářová, L.; Nobilis, M. High-performance liquid chromatography–tandem mass spectrometry in the identification and determination of phase I and phase II drug metabolites. Anal. Bioanal. Chem. 2008, 391, 59–78. [Google Scholar] [CrossRef] [PubMed] [Green Version]
- Testa, B.; Krämer, S.D. The biochemistry of drug metabolism—An introduction: Part 2. Redox reactions and their enzymes. Chem. Biodivers. 2007, 4, 257–405. [Google Scholar] [CrossRef] [PubMed]
- Roerig, D.L.; Ahlf, S.B.; Dawson, C.A.; Linehan, J.H.; Kampine, J.P. First pass uptake in the human lung of drugs used during anesthesia. Adv. Pharmacol. 1994, 31, 531–549. [Google Scholar] [CrossRef] [PubMed]
- Roerig, D.L.; Kotrly, K.J.; Vucins, E.J.; Ahlf, S.B.; Dawson, C.A.; Kampine, J.P. First pass uptake of fentanyl, meperidine, and morphine in the human lung. Anesthesiology 1987, 67, 466–472. [Google Scholar] [CrossRef] [PubMed]
- De Sousa, I.P.; Sousa Teixeira, M.V.; Jacometti Cardoso Furtado, N.A. An overview of biotransformation and toxicity of diterpenes. Molecules 2018, 23, 1387. [Google Scholar] [CrossRef] [PubMed] [Green Version]
- Tam, Y.K. Individual variation in first-pass metabolism. Clin. Pharmacokinet. 1993, 25, 300–328. [Google Scholar] [CrossRef] [PubMed]
- Yu, Y.; Sweeney, M.; Zhang, S.; Platoshyn, O.; Landsberg, J.; Rothman, A.; Yuan, J.X.-J. PDGF stimulates pulmonary vascular smooth muscle cell proliferation by upregulating TRPC6 expression. Am. J. Physiol. Cell Physiol. 2003, 284, C316–C330. [Google Scholar] [CrossRef] [PubMed] [Green Version]
- Ng, L.C.; Gurney, A.M. Store-operated channels mediate Ca2+ influx and contraction in rat pulmonary artery. Circ. Res. 2001, 89, 923–929. [Google Scholar] [CrossRef] [PubMed] [Green Version]
- Tan, Y.Q.; Kwan, H.Y.; Yao, X.; Leung, L.K. The activity of transient receptor potential channel C-6 modulates the differentiation of fat cells. FASEB J. 2019, 33, 6526–6538. [Google Scholar] [CrossRef] [PubMed]
- Reiser, J.; Polu, K.R.; Möller, C.C.; Kenlan, P.; Altintas, M.M.; Wei, C.; Faul, C.; Herbert, S.; Villegas, I.; Avila-Casado, C. TRPC6 is a glomerular slit diaphragm-associated channel required for normal renal function. Nat. Genet. 2005, 37, 739–744. [Google Scholar] [CrossRef] [PubMed] [Green Version]
- Kilkenny, C.; Browne, W.J.; Cuthill, I.C.; Emerson, M.; Altman, D.G. Improving bioscience research reporting: The ARRIVE guidelines for reporting animal research. PLoS Biol. 2010, 8, e1000412. [Google Scholar] [CrossRef] [PubMed]
- Ayyar, V.S.; Song, D.; DuBois, D.C.; Almon, R.R.; Jusko, W.J. Modeling Corticosteroid Pharmacokinetics and Pharmacodynamics, Part I: Determination and Prediction of Dexamethasone and Methylprednisolone Tissue Binding in the Rat. J. Pharmacol. Exp. Ther. 2019, 370, 318–326. [Google Scholar] [CrossRef] [PubMed]
- Fisher, M.B.; Campanale, K.; Ackermann, B.L.; VandenBranden, M.; Wrighton, S.A. In vitro glucuronidation using human liver microsomes and the pore-forming peptide alamethicin. Drug Metab. Dispos. 2000, 28, 560–566. [Google Scholar] [PubMed]
- Ludwig, F.-A.; Fischer, S.; Houska, R.; Hoepping, A.; Deuther-Conrad, W.; Schepmann, D.; Patt, M.; Meyer, P.M.; Hesse, S.; Becker, G.-A.; et al. In vitro and in vivo Human Metabolism of (S)-[18F]fluspidine—A Radioligand for Imaging σ1 Receptors with Positron Emission Tomography (PET). Front. Pharmacol. 2019, 10, 534. [Google Scholar] [CrossRef] [PubMed]
- Feldman, A.T.; Wolfe, D. Tissue processing and hematoxylin and eosin staining. Methods Mol. Biol. 2014, 1180, 31–43. [Google Scholar] [PubMed]
- Hakkola, J.; Hukkanen, J.; Turpeinen, M.; Pelkonen, O. Inhibition and induction of CYP enzymes in humans: An update. Arch. Toxicol. 2020, 94, 3671–3722. [Google Scholar] [CrossRef]
- Food and Drug Administration. Drug Development and Drug Interactions: Table of Substrates, Inhibitors and Inducers, New York, USA. 2021. Available online: https://www.fda.gov/drugs/drug-interactions-labeling/drug-development-and-drug-interactions-table-substrates-inhibitors-and-inducers (accessed on 25 March 2022).
- Talakad, J.C.; Shah, M.B.; Walker, G.S.; Xiang, C.; Halpert, J.R.; Dalvie, D. Comparison of in vitro metabolism of ticlopidine by human cytochrome P450 2B6 and rabbit cytochrome P450 2B4. Drug Metab Dispos. 2011, 39, 539–550. [Google Scholar] [CrossRef] [Green Version]
- de Visser, S.P.; Ogliaro, F.; Sharma, P.K.; Shaik, S. What factors affect the regioselectivity of oxidation by cytochrome P450? A DFT study of allylic hydroxylation and double bond epoxidation in a model reaction. J. Am. Chem. Soc. 2002, 124, 11809–11826. [Google Scholar] [CrossRef]
- Huang, M.; Hu, H.; Ma, L.; Zhou, Q.; Yu, L.; Zeng, S. Carbon–carbon double-bond reductases in nature. Drug Metab. Rev. 2014, 46, 362–378. [Google Scholar] [CrossRef]
- Levsen, K.; Schiebel, H.-M.; Behnke, B.; Dötzer, R.; Dreher, W.; Elend, M.; Thiele, H. Structure elucidation of phase II metabolites by tandem mass spectrometry: An overview. J. Chromatogr. A 2005, 1067, 55–72. [Google Scholar] [CrossRef]
- Hassan, A.; Zayed, S.; Abdel-Hamid, F.M. Metabolism of carbamate drugs—I: Metabolism of 1-naphthyl-N-methyl carbamate (Sevin) in the rat. Biochem. Pharmacol. 1966, 15, 2045–2055. [Google Scholar] [CrossRef]







| Dose/ Route | tmax (h) | cmax (ng/mL) | t1/2 (h) | AUC0-t (ng × h/mL) | AUCextra (%) | AUCinf (ng × h/mL) | MRT (h) | Vz/F (L/kg) | CL/F (mL/min/kg) | F |
|---|---|---|---|---|---|---|---|---|---|---|
| 2.0 mg/kg i.v. | 0.25 | 368.7 | 1.28 | 338 | 3.7 | 351.2 | 0.75 | 10.5 | 94.9 | 1.0 |
| 20 mg/kg i.v. | 0.25 | 2390.1 | 2.37 | 2724 | 4.2 | 2844.1 | 1.52 | 24.0 | 117.2 | 1.0 |
| 2.0 mg/kg p.o. | 0.50 | 68.3 | 1.15 | 69 | 17.5 | 84.2 | 1.78 | 39.5 | 395.8 | 0.24 |
| 20 mg/kg p.o. | 0.50 | 340.6 | 1.86 | 298 | 5.0 | 314.2 | 1.68 | 170.6 | 1060.7 | 0.11 |
| SH045 20 mg/kg; i.v. | Concentration (ng/g) | ||||
|---|---|---|---|---|---|
| Liver | Kidney | Brain | Fat | Lung | |
| 1× | 14.2 ± 5.2 | 14.8 ± 5.9 | 14.8 ± 7.6 | 333.0 ± 61.2 | 2167 ± 414 |
| 5× | 17.5 ± 4.6 | 17.8 ± 4.4 | 19.6 ± 5.5 | 369.2 ± 50.0 | 2390 ± 1019 |
| Microsomes | t1/2 (min) | * CLint, micr (µL/min/mg) | ** CLint (mL/min/kg) | *** CLhep (mL/min/kg) |
|---|---|---|---|---|
| Mouse liver | 1.18 | 1173.6 | 4594.6 | 11.95 |
| Human liver | 4.85 | 286.0 | 334.6 | 0.96 |
| Metabolite | Occurrence | MRM Transition a | ∆mass b | Biotransformation | Rt (min) c | Gradient Elution d |
|---|---|---|---|---|---|---|
| M1a | MLM | 348.3/136.1 | −16 | uncertain | 0.64 | 5–90% |
| M1b | MLM, HLM | 0.72 | ||||
| M1c | MLM, HLM | 348.3/256.1 | 4.13 | |||
| M2a | MLM, HLM | 368.3/293.2 | 4 | 2-fold reduction (2x + 2) | 3.14 | 20–90% |
| M2b | MLM, HLM | 3.22 | ||||
| M3a | Urine | 380.3/305.3 | 16 | hydroxylation | 2.89 | 5–90% |
| M3b | Urine | 3.04 | ||||
| M3c | Urine | 3.15 | ||||
| M3d | Urine | 3.26 | ||||
| M3e | Urine | 3.8 | ||||
| M3f | MLM, HLM, Urine | 3.88 | ||||
| M3g | MLM, HLM, Urine | 3.95 | ||||
| M3h | MLM, HLM | 3.96 | ||||
| M3i | MLM, HLM, Urine | 4.08 | ||||
| M3j | MLM, HLM | 4.24 | ||||
| M3k | MLM, HLM | 4.29 | ||||
| M3l | MLM, HLM | 4.72 | ||||
| M3m | MLM, HLM | 4.95 | ||||
| M3n | MLM, HLM | 5.08 | ||||
| M3o | MLM, HLM | 5.16 | ||||
| M3p | MLM, HLM | 5.25 | ||||
| M3q | MLM, HLM | 5.56 | ||||
| M4a | Urine | 382.3/197.2 | 18 | reduction + hydroxylation (+2 + 16) | 4.07 | 5–90% |
| M5a | MLM, HLM | 396.3/352.2 | 32 | hydroxylation + hydroxylation or epoxidation (2x + 16) | 2.5 | 20–90% |
| M5b | MLM, HLM | 2.57 | ||||
| M6a | MLM, HLM | 398.3/323.3 | 34 | reduction + 2-fold hydroxylation (+2 + 2× 16) | 3.15 | 20–90% |
| M6b | MLM, HLM | 3.23 | ||||
| M6c | MLM, HLM | 0.63 | 85–90% | |||
| M6d | MLM, HLM | 398.3/357.1 | 0.86 | |||
| M6e | Urine | 5.72 | ||||
| M7a | MLM, HLM, Urine | 414.3/339.2 | 50 | reduction + 3-fold hydroxylation (+2 + 3× 16) | 2.73 | 5–90% |
| M7b | MLM, HLM, Urine | 2.87 | ||||
| M7c | MLM, HLM, Urine | 2.99 | ||||
| M7d | MLM, Urine | 3.1 | ||||
| M7e | MLM, Urine | 3.53 | ||||
| M7f | MLM | 3.62 | ||||
| M7g | MLM | 3.76 | ||||
| M7h | Urine | 414.3/271.1 | 5.99 | 20–90% | ||
| M8a | MLM, HLM | 540.3/346.3 | 176 | glucuronidation | 3.46 | 20–90% |
| M9a | HLM | 556.3/539.4 | 192 | hydroxylation + glucuronidation (+16 + 176) | 0.64 | 70–90% |
| M9b | HLM | 0.77 | ||||
| M9c | MLM, Urine | 4.91 | ||||
| M10a | MLM, HLM | 574.3/398.3 | 210 | reduction + 2-fold hydroxylation + glucuronidation (+2 + 2× 16 + 176) | 1.89 | 70–90% |
| M10b | 3.88 |
Publisher’s Note: MDPI stays neutral with regard to jurisdictional claims in published maps and institutional affiliations. |
© 2022 by the authors. Licensee MDPI, Basel, Switzerland. This article is an open access article distributed under the terms and conditions of the Creative Commons Attribution (CC BY) license (https://creativecommons.org/licenses/by/4.0/).
Share and Cite
Chai, X.-N.; Ludwig, F.-A.; Müglitz, A.; Gong, Y.; Schaefer, M.; Regenthal, R.; Krügel, U. A Pharmacokinetic and Metabolism Study of the TRPC6 Inhibitor SH045 in Mice by LC-MS/MS. Int. J. Mol. Sci. 2022, 23, 3635. https://doi.org/10.3390/ijms23073635
Chai X-N, Ludwig F-A, Müglitz A, Gong Y, Schaefer M, Regenthal R, Krügel U. A Pharmacokinetic and Metabolism Study of the TRPC6 Inhibitor SH045 in Mice by LC-MS/MS. International Journal of Molecular Sciences. 2022; 23(7):3635. https://doi.org/10.3390/ijms23073635
Chicago/Turabian StyleChai, Xiao-Ning, Friedrich-Alexander Ludwig, Anne Müglitz, Yuanyuan Gong, Michael Schaefer, Ralf Regenthal, and Ute Krügel. 2022. "A Pharmacokinetic and Metabolism Study of the TRPC6 Inhibitor SH045 in Mice by LC-MS/MS" International Journal of Molecular Sciences 23, no. 7: 3635. https://doi.org/10.3390/ijms23073635
APA StyleChai, X.-N., Ludwig, F.-A., Müglitz, A., Gong, Y., Schaefer, M., Regenthal, R., & Krügel, U. (2022). A Pharmacokinetic and Metabolism Study of the TRPC6 Inhibitor SH045 in Mice by LC-MS/MS. International Journal of Molecular Sciences, 23(7), 3635. https://doi.org/10.3390/ijms23073635

