The EcpD Tip Adhesin of the Escherichia coli Common Pilus Mediates Binding of Enteropathogenic E. coli to Extracellular Matrix Proteins
Abstract
1. Introduction
2. Results
2.1. ECP Mediates Binding of EPEC E2348/69 to Fn, Ln, Cn Type I, and Mu
2.2. The ΔecpD Mutant Yields the Lowest Binding Affinity to ECM Glycoproteins
2.3. Binding of EPEC Strains to Glass Coated with ECM Glycoproteins
2.4. Confirmation of Fn Binding to EcpD by Immunoelectron Microscopy
2.5. Preincubation of Bacteria with Soluble Fn Reduces Binding to Immobilized Fn
2.6. EcpD Binds to ECM Glycoproteins with Greater Affinity Than EcpA
2.7. EcpA and EcpD Bind to ECM Glycoproteins in a Dose-Dependent Manner
2.8. Prior Treatment of EcpA and EcpD with Soluble Fn Inhibits Binding to Ecp Glycoproteins
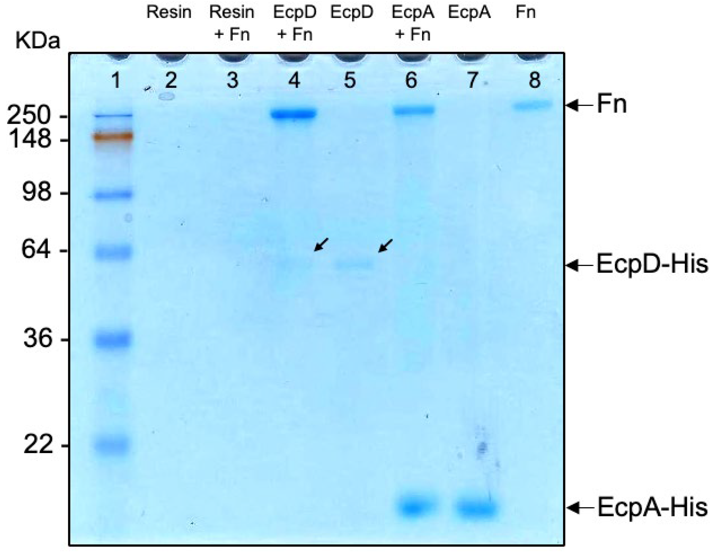
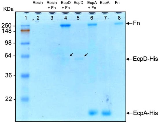
2.9. Pulldown Assay Demonstrates Binding of EcpA and EcpD to Fn
3. Discussion
4. Materials and Methods
4.1. Bacterial Strains, Plasmids, and Growth Conditions
4.2. ECM Glycoproteins
4.3. Antibodies
4.4. Bacterial Binding to ECM Glycoproteins
4.5. Immunofluorescence
4.6. Electron Microscopy Studies
4.7. Inhibition of Bacterial Binding to Fn
4.8. Binding of Recombinant EcpA and EcpD Proteins to Host Proteins
4.9. Dose-Dependent Binding of ECM Glycoproteins to EcpA and EcpD Proteins
4.10. Inhibition of Binding of Ecp Proteins to Fn
4.11. Pulldown Assay
4.12. Statistical Analysis
Author Contributions
Funding
Institutional Review Board Statement
Informed Consent Statement
Data Availability Statement
Acknowledgments
Conflicts of Interest
References
- Girón, J.A.; Ho, A.S.Y.; Schoolnik, G.K. An Inducible Bundle-Forming Pilus of Enteropathogenic Escherichia coli. Science (1979) 1991, 254, 710–713. [Google Scholar] [CrossRef] [PubMed]
- Nataro, J.P.; Kaper, J.B. Diarrheagenic Escherichia coli. Clin. Microbiol. Rev. 1998, 11, 142–201. [Google Scholar] [CrossRef] [PubMed]
- Kaper, J.B.; Nataro, J.P.; Mobley, H.L.T. Pathogenic Escherichia coli. Nat. Rev. Microbiol. 2004, 2, 123–140. [Google Scholar] [CrossRef]
- Hartland, E.L.; Batchelor, M.; Delahay, R.M.; Hale, C.; Matthews, S.; Dougan, G.; Knutton, S.; Connerton, I.; Frankel, G. Binding of intimin from enteropathogenic Escherichia coli to Tir and to host cells. Mol. Microbiol. 1999, 32, 151–158. [Google Scholar] [CrossRef]
- Pal, R.R.; Baidya, A.K.; Mamou, G.; Bhattacharya, S.; Socol, Y.; Kobi, S.; Katsowich, N.; Ben-Yehuda, S.; Rosenshine, I. Pathogenic E. coli Extracts Nutrients from Infected Host Cells Utilizing Injectisome Components. Cell 2019, 177, 683–696.e18. [Google Scholar] [CrossRef]
- Kassa, E.G.; Zlotkin-Rivkin, E.; Friedman, G.; Ramachandran, R.P.; Melamed-Book, N.; Weiss, A.M.; Belenky, M.; Reichmann, D.; Breuer, W.; Pal, R.R.; et al. Enteropathogenic Escherichia coli Remodels Host Endosomes to Promote Endocytic Turnover and Breakdown of Surface Polarity. PLoS Pathog. 2019, 15, e1007851. [Google Scholar] [CrossRef]
- Campellone, K.G. Cytoskeleton-Modulating Effectors of Enteropathogenic and Enterohaemorrhagic Escherichia coli: Tir, EspFU and Actin Pedestal Assembly. FEBS J. 2010, 277, 2390–2402. [Google Scholar] [CrossRef] [PubMed]
- Girón, J.A.; Torres, A.G.; Freer, E.; Kaper, J.B. The Flagella of Enteropathogenic Escherichia coli Mediate Adherence to Epithelial Cells. Mol. Microbiol. 2002, 44, 361–379. [Google Scholar] [CrossRef]
- Erdem, A.L.; Avelino, F.; Xicohtencatl-Cortes, J.; Girón, J.A. Host Protein Binding and Adhesive Properties of H6 and H7 Flagella of Attaching and Effacing Escherichia coli. J. Bacteriol. 2007, 189, 7426–7435. [Google Scholar] [CrossRef]
- Saldaña, Z.; Erdem, A.L.; Schüller, S.; Okeke, I.N.; Lucas, M.; Sivananthan, A.; Phillips, A.D.; Kaper, J.B.; Puente, J.L.; Girón, J.A. The Escherichia Coli Common Pilus and the Bundle-Forming Pilus Act in Concert during the Formation of Localized Adherence by Enteropathogenic E. coli. J. Bacteriol. 2009, 191, 3451–3461. [Google Scholar] [CrossRef][Green Version]
- Garnett, J.A.; Martínez-Santos, V.I.; Saldaña, Z.; Pape, T.; Hawthorne, W.; Chan, J.; Simpson, P.J.; Cota, E.; Puente, J.L.; Girón, J.A.; et al. Structural Insights into the Biogenesis and Biofilm Formation by the Escherichia coli Common Pilus. Proc. Natl. Acad. Sci. USA 2012, 109, 3950–3955. [Google Scholar] [CrossRef] [PubMed]
- Spaulding, C.; Hultgren, S. Adhesive Pili in UTI Pathogenesis and Drug Development. Pathogens 2016, 5, 30. [Google Scholar] [CrossRef] [PubMed]
- Rendón, M.A.; Saldaña, Z.; Erdem, A.L.; Monteiro-Neto, V.; Vázquez, A.; Kaper, J.B.; Puente, J.L.; Girón, J.A. Commensal and Pathogenic Escherichia coli Use a Common Pilus Adherence Factor for Epithelial Cell Colonization. Proc. Natl. Acad. Sci. USA 2007, 104, 10637–10642. [Google Scholar] [CrossRef]
- Blackburn, D.; Husband, A.; Saldaña, Z.; Nada, R.A.; Klena, J.; Qadri, F.; Girón, J.A. Distribution of the Escherichia coli Common Pilus among Diverse Strains of Human Enterotoxigenic E. coli. J. Clin. Microbiol. 2009, 47, 1781–1784. [Google Scholar] [CrossRef] [PubMed][Green Version]
- Castaneda-Roldan, E.I.; Avelino-Flores, F.; Dall’Agnol, M.; Freer, E.; Cedillo, L.; Dornand, J.; Giron, J.A. Adherence of Brucella to Human Epithelial Cells and Macrophages Is Mediated by Sialic Acid Residues. Cell. Microbiol. 2004, 6, 435–445. [Google Scholar] [CrossRef]
- Farfan, M.J.; Inman, K.G.; Nataro, J.P. The Major Pilin Subunit of the AAF/II Fimbriae from Enteroaggregative Escherichia coli Mediates Binding to Extracellular Matrix Proteins. Infect. Immun. 2008, 76, 4378–4384. [Google Scholar] [CrossRef]
- Farfan, M.J.; Cantero, L.; Vidal, R.; Botkin, D.J.; Torres, A.G. Long Polar Fimbriae of Enterohemorrhagic Escherichia coli O157:H7 Bind to Extracellular Matrix Proteins. Infect. Immun. 2011, 79, 3744–3750. [Google Scholar] [CrossRef]
- Eberhard, T.; Virkola, R.; Korhonen, T.; Kronvall, G.; Ullberg, M. Binding to Human Extracellular Matrix by Neisseria meningitidis. Infect. Immun. 1998, 66, 1791–1794. [Google Scholar] [CrossRef]
- Vaca, D.J.; Thibau, A.; Schütz, M.; Kraiczy, P.; Happonen, L.; Malmström, J.; Kempf, V.A.J. Interaction with the Host: The Role of Fibronectin and Extracellular Matrix Proteins in the Adhesion of Gram-Negative Bacteria. Med. Microbiol. Immunol. 2020, 209, 277–299. [Google Scholar] [CrossRef]
- Geraci, J.; Neubauer, S.; Pöllath, C.; Hansen, U.; Rizzo, F.; Krafft, C.; Westermann, M.; Hussain, M.; Peters, G.; Pletz, M.W.; et al. The Staphylococcus aureus Extracellular Matrix Protein (Emp) Has a Fibrous Structure and Binds to Different Extracellular Matrices. Sci. Rep. 2017, 7, 13665. [Google Scholar] [CrossRef]
- Yáñez, D.; Izquierdo, M.; Ruiz-Perez, F.; Nataro, J.P.; Girón, J.A.; Vidal, R.M.; Farfan, M.J. The Role of Fibronectin in the Adherence and Inflammatory Response Induced by Enteroaggregative Escherichia coli on Epithelial Cells. Front. Cell. Infect. Microbiol. 2016, 6, 166. [Google Scholar] [CrossRef] [PubMed]
- Pompili, S.; Latella, G.; Gaudio, E.; Sferra, R.; Vetuschi, A. The Charming World of the Extracellular Matrix: A Dynamic and Protective Network of the Intestinal Wall. Front. Med. 2021, 8, 610189. [Google Scholar] [CrossRef] [PubMed]
- Kolachala, V.L.; Bajaj, R.; Wang, L.; Yan, Y.; Ritzenthaler, J.D.; Gewirtz, A.T.; Roman, J.; Merlin, D.; Sitaraman, S.V. Epithelial-Derived Fibronectin Expression, Signaling, and Function in Intestinal Inflammation. J. Biol. Chem. 2007, 282, 32965–32973. [Google Scholar] [CrossRef] [PubMed]
- Groulx, J.-F.; Gagné, D.; Benoit, Y.D.; Martel, D.; Basora, N.; Beaulieu, J.-F. Collagen VI Is a Basement Membrane Component That Regulates Epithelial Cell–Fibronectin Interactions. Matrix Biol. 2011, 30, 195–206. [Google Scholar] [CrossRef]
- Onfroy-Roy, L.; Hamel, D.; Foncy, J.; Malaquin, L.; Ferrand, A. Extracellular Matrix Mechanical Properties and Regulation of the Intestinal Stem Cells: When Mechanics Control Fate. Cells 2020, 9, 2629. [Google Scholar] [CrossRef]
- Ofek, I.; Hasty, D.L.; Doyle, R.J. Bacterial Adhesion to Animal Cells and Tissues; ASM Press: Washington, DC, USA, 2003; ISBN 9781683672197. [Google Scholar]
- Henderson, B.; Nair, S.; Pallas, J.; Williams, M.A. Fibronectin: A Multidomain Host Adhesin Targeted by Bacterial Fibronectin-Binding Proteins. FEMS Microbiol. Rev. 2011, 35, 147–200. [Google Scholar] [CrossRef]
- Finlay, B.B.; Falkow, S. Common Themes in Microbial Pathogenicity Revisited. Microbiol. Mol. Biol. Rev. 1997, 61, 136–169. [Google Scholar] [CrossRef]
- Hallström, T.; Singh, B.; Resman, F.; Blom, A.M.; Mörgelin, M.; Riesbeck, K. Haemophilus influenzae Protein E Binds to the Extracellular Matrix by Concurrently Interacting with Laminin and Vitronectin. J. Infect. Dis. 2011, 204, 1065–1074. [Google Scholar] [CrossRef]
- Nagy, B.; Tóth, I.; Fekete, P.Z. Chapter 8 Adhesins and Receptors for Colonization by Different Pathotypes of Escherichia coli in Calves and Young Pigs. In Biology of Growing Animals; Elsevier: Amsterdam, The Netherlands, 2005; pp. 157–190. [Google Scholar]
- Cleary, J.; Lai, L.-C.; Shaw, R.K.; Straatman-Iwanowska, A.; Donnenberg, M.S.; Frankel, G.; Knutton, S. Enteropathogenic Escherichia coli (EPEC) Adhesion to Intestinal Epithelial Cells: Role of Bundle-Forming Pili (BFP), EspA Filaments and Intimin. Microbiology 2004, 150, 527–538. [Google Scholar] [CrossRef]
- Nougayrede, J.-P.; Fernandes, P.J.; Donnenberg, M.S. Adhesion of Enteropathogenic Escherichia coli to Host Cells. Cell. Microbiol. 2003, 5, 359–372. [Google Scholar] [CrossRef]
- Kenny, B.; DeVinney, R.; Stein, M.; Reinscheid, D.J.; Frey, E.A.; Finlay, B.B. Enteropathogenic E. coli (EPEC) Transfers Its Receptor for Intimate Adherence into Mammalian Cells. Cell 1997, 91, 511–520. [Google Scholar] [CrossRef]
- Datsenko, K.A.; Wanner, B.L. One-Step Inactivation of Chromosomal Genes in Escherichia coli K-12 Using PCR Products. Proc. Natl. Acad. Sci. USA 2000, 97, 6640–6645. [Google Scholar] [CrossRef] [PubMed]
- Levine, M.M.; Nalin, D.R.; Hornick, R.B.; Bergquist, E.J.; Waterman, D.H.; Young, C.R.; Sotman, S.; Rowe, B. Escherichia coli Strains That Cause Diarrhœa But Do Not Produce Heat-Labile Or Heat-Stable Enterotoxins And Are Non-Invasive. Lancet 1978, 311, 1119–1122. [Google Scholar] [CrossRef]








| Strains | Characteristics | Reference or Source |
|---|---|---|
| E2348/69 | O126:H6 (wild-type prototype) Smr | [35] |
| E2348/69 ΔecpA | Wild-type strain mutated in ecpA::Km | [13] |
| E2348/69 ΔecpD | Wild-type strain mutated in ecpD::Cm | [11] |
| E. coli K12 DH5α | Laboratory strain | ATCC |
| Plasmids | ||
| pKD46 | Red recombinase system plasmid | [34] |
| pKD4 | Km cassette template plasmid | [34] |
| pKD3 | Cm cassette template plasmid | [34] |
| pBAD-MycHis A | Expression vector | Invitrogen |
| pET-28a | Expression vector | Millipore-Sigma |
| pecpa-MH | ecpA cloned into pBAD-MycHis A | [11] |
| pDB38 | ecpD cloned into pET-28a | Lab collection |
Publisher’s Note: MDPI stays neutral with regard to jurisdictional claims in published maps and institutional affiliations. |
© 2022 by the authors. Licensee MDPI, Basel, Switzerland. This article is an open access article distributed under the terms and conditions of the Creative Commons Attribution (CC BY) license (https://creativecommons.org/licenses/by/4.0/).
Share and Cite
Mondal, R.; Saldaña-Ahuactzi, Z.; Soria-Bustos, J.; Schultz, A.; Yañez-Santos, J.A.; Laguna, Y.M.; Cedillo-Ramírez, M.L.; Girón, J.A. The EcpD Tip Adhesin of the Escherichia coli Common Pilus Mediates Binding of Enteropathogenic E. coli to Extracellular Matrix Proteins. Int. J. Mol. Sci. 2022, 23, 10350. https://doi.org/10.3390/ijms231810350
Mondal R, Saldaña-Ahuactzi Z, Soria-Bustos J, Schultz A, Yañez-Santos JA, Laguna YM, Cedillo-Ramírez ML, Girón JA. The EcpD Tip Adhesin of the Escherichia coli Common Pilus Mediates Binding of Enteropathogenic E. coli to Extracellular Matrix Proteins. International Journal of Molecular Sciences. 2022; 23(18):10350. https://doi.org/10.3390/ijms231810350
Chicago/Turabian StyleMondal, Rajesh, Zeus Saldaña-Ahuactzi, Jorge Soria-Bustos, Andrew Schultz, Jorge A. Yañez-Santos, Ygnacio Martínez Laguna, María L. Cedillo-Ramírez, and Jorge A. Girón. 2022. "The EcpD Tip Adhesin of the Escherichia coli Common Pilus Mediates Binding of Enteropathogenic E. coli to Extracellular Matrix Proteins" International Journal of Molecular Sciences 23, no. 18: 10350. https://doi.org/10.3390/ijms231810350
APA StyleMondal, R., Saldaña-Ahuactzi, Z., Soria-Bustos, J., Schultz, A., Yañez-Santos, J. A., Laguna, Y. M., Cedillo-Ramírez, M. L., & Girón, J. A. (2022). The EcpD Tip Adhesin of the Escherichia coli Common Pilus Mediates Binding of Enteropathogenic E. coli to Extracellular Matrix Proteins. International Journal of Molecular Sciences, 23(18), 10350. https://doi.org/10.3390/ijms231810350

