Clinicopathologic and Prognostic Association of GRP94 Expression in Colorectal Cancer with Synchronous and Metachronous Metastases
Abstract
:1. Introduction
2. Results
2.1. Clinicopathologic Features of Colorectal Cancer
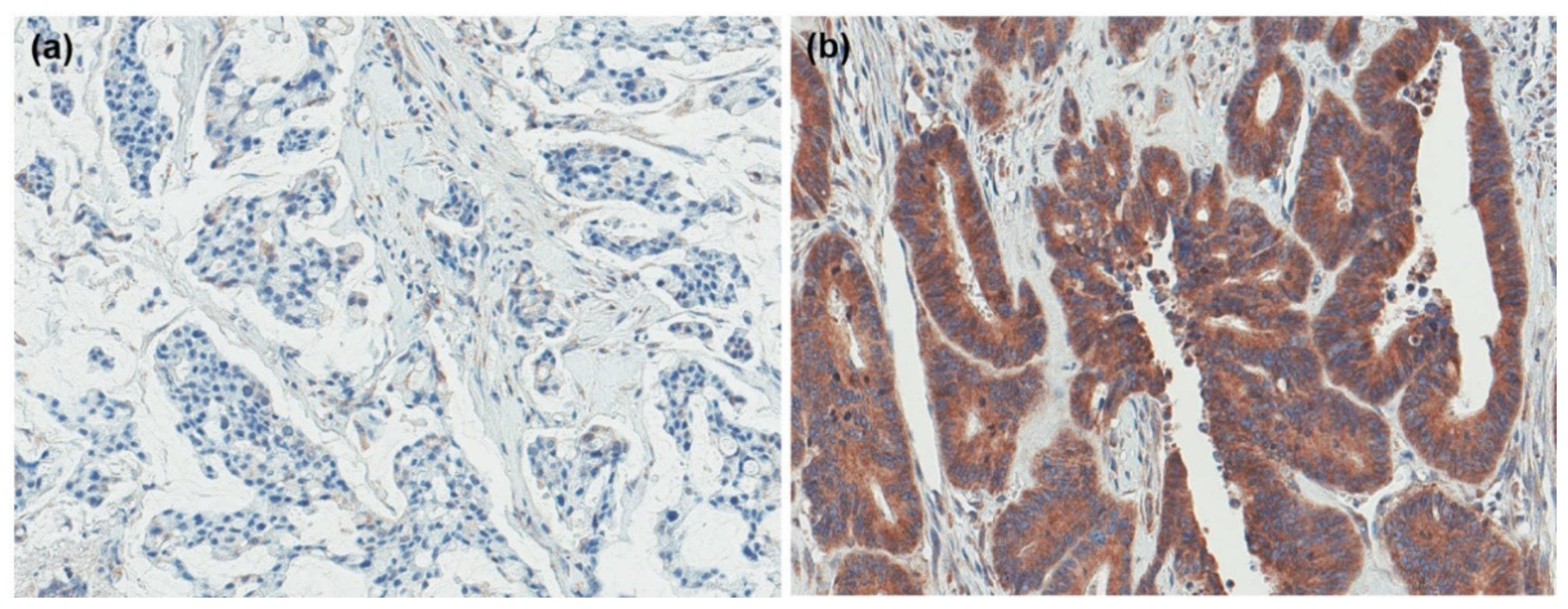
2.2. GRP94 Expression in CRC
2.3. GRP94 Expression Status in Primary CRC, Its Invasive Border, and Metastasis
2.4. Association between GRP94 Expression and TILs
2.5. Survival Analysis
2.6. Correlation between GRP94 Expression and Genetic Alterations
3. Discussion
4. Materials and Methods
4.1. Patient, Tissue Samples, and Tissue Microarray Construction
4.2. Immunohistochemistry and Interpretation
4.3. Microsatellite Instability
4.4. KRAS, PIK3CA, and BRAF Mutational Analysis
4.5. HER2 Amplification
4.6. Statistical Analysis
5. Conclusions
Supplementary Materials
Author Contributions
Funding
Institutional Review Board Statement
Informed Consent Statement
Data Availability Statement
Conflicts of Interest
References
- Hong, S.; Won, Y.J.; Lee, J.J.; Jung, K.W.; Kong, H.J.; Im, J.S.; Seo, H.G. Cancer Statistics in Korea: Incidence, Mortality, Survival, and Prevalence in 2018. Cancer Res. Treat. 2021, 53, 301–315. [Google Scholar] [CrossRef] [PubMed]
- Arnold, M.; Sierra, M.S.; Laversanne, M.; Soerjomataram, I.; Jemal, A.; Bray, F. Global patterns and trends in colorectal cancer incidence and mortality. Gut 2017, 66, 683–691. [Google Scholar] [CrossRef] [PubMed] [Green Version]
- Ansa-Addo, E.A.; Thaxton, J.; Hong, F.; Wu, B.X.; Zhang, Y.; Fugle, C.W.; Metelli, A.; Riesenberg, B.; Williams, K.; Gewirth, D.T.; et al. Clients and Oncogenic Roles of Molecular Chaperone gp96/grp94. Curr. Top. Med. Chem. 2016, 16, 2765–2778. [Google Scholar] [CrossRef] [Green Version]
- Wu, B.X.; Hong, F.; Zhang, Y.; Ansa-Addo, E.; Li, Z. GRP94/gp96 in Cancer: Biology, Structure, Immunology, and Drug Development. Adv. Cancer Res. 2016, 129, 165–190. [Google Scholar]
- Duan, X.F.; Xin, Y.W. Overexpression of molecule GRP94 favors tumor progression in lung adenocarcinoma by interaction with regulatory T cells. Thorac. Cancer 2020, 11, 704–712. [Google Scholar] [CrossRef]
- Liu, S.; Li, R.; Zuo, S.; Luo, R.; Fang, W.; Xie, Y. GRP94 overexpression as an indicator of unfavorable outcomes in breast cancer patients. Int. J. Clin. Exp. Pathol. 2018, 11, 3061–3067. [Google Scholar] [PubMed]
- Buc Calderon, P.; Sennesael, A.L.; Glorieux, C. Glucose-regulated protein of 94 kDa contributes to the development of an aggressive phenotype in breast cancer cells. Biomed. Pharmacother. 2018, 105, 115–120. [Google Scholar] [CrossRef] [PubMed]
- Huang, C.Y.; Lee, C.H.; Tu, C.C.; Wu, C.H.; Huang, M.T.; Wei, P.L.; Chang, Y.J. Glucose-regulated protein 94 mediates progression and metastasis of esophageal squamous cell carcinoma via mitochondrial function and the NF-kB/COX-2/VEGF axis. Oncotarget 2018, 9, 9425–9441. [Google Scholar] [CrossRef] [PubMed] [Green Version]
- Zheng, H.; Dai, J.; Stoilova, D.; Li, Z. Cell surface targeting of heat shock protein gp96 induces dendritic cell maturation and antitumor immunity. J. Immunol. 2001, 167, 6731–6735. [Google Scholar] [CrossRef] [Green Version]
- Dai, J.; Liu, B.; Caudill, M.M.; Zheng, H.; Qiao, Y.; Podack, E.R.; Li, Z. Cell surface expression of heat shock protein gp96 enhances cross-presentation of cellular antigens and the generation of tumor-specific T cell memory. Cancer Immun. 2003, 3, 1–11. [Google Scholar]
- Wang, X.P.; Qiu, F.R.; Liu, G.Z.; Chen, R.F. Correlation between clinicopathology and expression of heat shock protein 70 and glucose-regulated protein 94 in human colonic adenocarcinoma. World J. Gastroenterol. 2005, 11, 1056–1059. [Google Scholar] [CrossRef]
- Ryan, D.; Carberry, S.; Murphy, Á.C.; Lindner, A.U.; Fay, J.; Hector, S.; McCawley, N.; Bacon, O.; Concannon, C.G.; Kay, E.W.; et al. Calnexin, an ER stress-induced protein, is a prognostic marker and potential therapeutic target in colorectal cancer. J. Transl. Med. 2016, 14, 196. [Google Scholar] [CrossRef] [PubMed] [Green Version]
- Kim, K.; Lee, H.W.; Lee, E.H.; Park, M.I.; Lee, J.S.; Kim, M.S.; Kim, K.; Roh, M.S.; Pak, M.G.; Oh, J.E.; et al. Differential expression of HSP90 isoforms and their correlations with clinicopathologic factors in patients with colorectal cancer. Int. J. Clin. Exp. Pathol. 2019, 12, 978–986. [Google Scholar]
- Lee, J.S.; Roh, M.S.; Lee, H.W.; Lee, E.H.; Pak, M.G.; Kim, K.; Nam, H.Y.; Kim, K.M.; Jung, S.B. Prognostic significance of glucose-related protein 94 in colorectal cancer. Pathol. Res. Pract. 2020, 216, 153013. [Google Scholar] [CrossRef] [PubMed]
- Zhang, L.Y.; Zhang, X.C.; Wang, L.D.; Zhang, Z.F.; Li, P.L. Increased expression of GRP94 protein is associated with decreased sensitivity to adriamycin in ovarian carcinoma cell lines. Clin. Exp. Obstet. Gynecol. 2008, 35, 257–263. [Google Scholar] [PubMed]
- Sabbatino, F.; Favoino, E.; Wang, Y.; Wang, X.; Villani, V.; Cai, L.; Yang, L.; Ferrone, S.; Ferrone, C.R. Grp94-specific monoclonal antibody to counteract BRAF inhibitor resistance in BRAFV600E melanoma. J. Transl. Med. 2015, 13, K12. [Google Scholar] [CrossRef] [Green Version]
- Huang, C.Y.; Wei, P.L.; Wang, J.W.; Makondi, P.T.; Huang, M.T.; Chen, H.A.; Chang, Y.J. Glucose-Regulated Protein 94 Modulates the Response of Osteosarcoma to Chemotherapy. Dis. Markers 2019, 2019, 4569718. [Google Scholar] [CrossRef] [Green Version]
- Zhang, L.; Wang, S.; Wangtao; Wang, Y.; Wang, J.; Jiang, L.; Li, S.; Hu, X.; Wang, Q. Upregulation of GRP78 and GRP94 and its function in chemotherapy resistance to VP-16 in human lung cancer cell line SK-MES-1. Cancer Investig. 2009, 27, 453–458. [Google Scholar] [CrossRef]
- Jeoung, M.H.; Kim, T.K.; Kim, J.W.; Cho, Y.B.; Na, H.J.; Yoo, B.C.; Shim, H.; Song, D.K.; Heo, K.; Lee, S. Antibody-Based Targeting of Cell Surface GRP94 Specifically Inhibits Cetuximab-Resistant Colorectal Cancer Growth. Biomolecules 2019, 9, 681. [Google Scholar] [CrossRef] [PubMed]
- Duan, X.; Iwanowycz, S.; Ngoi, S.; Hill, M.; Zhao, Q.; Liu, B. Molecular Chaperone GRP94/GP96 in Cancers: Oncogenesis and Therapeutic Target. Front. Oncol. 2021, 11, 629846. [Google Scholar] [CrossRef]
- Li, X.; Sun, L.; Hou, J.; Gui, M.; Ying, J.; Zhao, H.; Lv, N.; Meng, S. Cell membrane gp96 facilitates HER2 dimerization and serves as a novel target in breast cancer. Int. J. Cancer 2015, 137, 512–524. [Google Scholar] [CrossRef]
- Cubillos-Ruiz, J.R.; Bettigole, S.E.; Glimcher, L.H. Tumorigenic and Immunosuppressive Effects of Endoplasmic Reticulum Stress in Cancer. Cell 2017, 168, 692–706. [Google Scholar] [CrossRef] [Green Version]
- Oakes, S.A.; Papa, F.R. The role of endoplasmic reticulum stress in human pathology. Annu. Rev. Pathol. 2015, 10, 173–194. [Google Scholar] [CrossRef] [Green Version]
- Hu, J.L.; Hu, X.L.; Guo, A.Y.; Wang, C.J.; Wen, Y.Y.; Cang, S.D. Endoplasmic reticulum stress promotes autophagy and apoptosis and reverses chemoresistance in human ovarian cancer cells. Oncotarget 2017, 8, 49380–49394. [Google Scholar] [CrossRef] [Green Version]
- Zhou, F.; Li, Y.H.; Wang, J.J.; Pan, J.; Lu, H. Endoplasmic reticulum stress could induce autophagy and apoptosis and enhance chemotherapy sensitivity in human esophageal cancer EC9706 cells by mediating PI3K/Akt/mTOR signaling pathway. Tumor Biol. 2017, 39, 1010428317705748. [Google Scholar] [CrossRef] [PubMed] [Green Version]
- Wang, W.A.; Groenendyk, J.; Michalak, M. Endoplasmic reticulum stress associated responses in cancer. Biochim. Biophys. Acta 2014, 1843, 2143–2149. [Google Scholar] [CrossRef] [PubMed] [Green Version]
- Kim, J.W.; Cho, Y.B.; Lee, S. Cell Surface GRP94 as a Novel Emerging Therapeutic Target for Monoclonal Antibody Cancer Therapy. Cells 2021, 10, 670. [Google Scholar] [CrossRef] [PubMed]
- Fu, Y.F.; Liu, X.; Gao, M.; Zhang, Y.N.; Liu, J. Endoplasmic reticulum stress induces autophagy and apoptosis while inhibiting proliferation and drug resistance in multiple myeloma through the PI3K/Akt/mTOR signaling pathway. Oncotarget 2017, 8, 61093–61106. [Google Scholar] [CrossRef] [PubMed] [Green Version]
- Tay, R.E.; Richardson, E.K.; Toh, H.C. Revisiting the role of CD4+ T cells in cancer immunotherapy—New insights into old paradigms. Cancer Gene Ther. 2021, 28, 5–17. [Google Scholar] [CrossRef]
- Ostroumov, D.; Fekete-Drimusz, N.; Saborowski, M.; Kühnel, F.; Woller, N. CD4 and CD8 T lymphocyte interplay in controlling tumor growth. Cell. Mol. Life Sci. 2018, 75, 689–713. [Google Scholar] [CrossRef] [PubMed] [Green Version]
- Kwak, Y.; Seo, A.N.; Lee, H.E.; Lee, H.S. Tumor immune response and immunotherapy in gastric cancer. J. Pathol. Transl. Med. 2020, 54, 20–33. [Google Scholar] [CrossRef] [PubMed] [Green Version]
- Takagi, S.; Miyagawa, S.; Ichikawa, E.; Soeda, J.; Miwa, S.; Miyagawa, Y.; Iijima, S.; Noike, T.; Kobayashi, A.; Kawasaki, S. Dendritic cells, T-cell infiltration, and Grp94 expression in cholangiocellular carcinoma. Hum. Pathol. 2004, 35, 881–886. [Google Scholar] [CrossRef] [PubMed]
- Baker-LePain, J.C.; Sarzotti, M.; Nicchitta, C.V. Glucose-regulated protein 94/glycoprotein 96 elicits bystander activation of CD4+ T cell Th1 cytokine production in vivo. J. Immunol. 2004, 172, 4195–4203. [Google Scholar] [CrossRef] [PubMed] [Green Version]
- Nam, S.K.; Yun, S.; Koh, J.; Kwak, Y.; Seo, A.N.; Park, K.U.; Kim, D.W.; Kang, S.B.; Kim, W.H.; Lee, H.S. BRAF, PIK3CA, and HER2 Oncogenic Alterations According to KRAS Mutation Status in Advanced Colorectal Cancers with Distant Metastasis. PLoS ONE 2016, 11, e0151865. [Google Scholar] [CrossRef] [Green Version]
- Kwak, Y.; Koh, J.; Kim, D.W.; Kang, S.B.; Kim, W.H.; Lee, H.S. Immunoscore encompassing CD3+ and CD8+ T cell densities in distant metastasis is a robust prognostic marker for advanced colorectal cancer. Oncotarget 2016, 7, 81778–81790. [Google Scholar] [CrossRef] [Green Version]
- Bartley, A.N.; Washington, M.K.; Colasacco, C.; Ventura, C.B.; Ismaila, N.; Benson, A.B., 3rd; Carrato, A.; Gulley, M.L.; Jain, D.; Kakar, S.; et al. HER2 Testing and Clinical Decision Making in Gastroesophageal Adenocarcinoma: Guideline From the College of American Pathologists, American Society for Clinical Pathology, and the American Society of Clinical Oncology. J. Clin. Oncol. 2017, 35, 446–464. [Google Scholar] [CrossRef] [Green Version]




| Characteristics | CRC with SM | p | CRC with MM | p | ||
|---|---|---|---|---|---|---|
| GRP94 (−) | GRP94 (+) | GRP94 (−) | GRP94 (+) | |||
| Age | 0.341 | 0.347 | ||||
| <65 | 29 (35.4%) | 53 (64.6%) | 17 (45.9%) | 20 (54.1%) | ||
| ≥65 | 11 (26.8%) | 30 (73.2%) | 10 (34.5%) | 19 (65.5%) | ||
| Sex | 0.399 | 0.756 | ||||
| M | 17 (28.8%) | 42 (71.2%) | 17 (39.5%) | 26 (60.5%) | ||
| F | 23 (35.9%) | 41 (64.1%) | 10 (43.5%) | 13 (56.5%) | ||
| Location | 0.470 | 0.748 | ||||
| Right sided | 10 (27.8%) | 26 (72.2%) | 4 (33.3%) | 8 (66.7%) | ||
| Left sided | 30 (34.5%) | 57 (65.5%) | 23 (42.6%) | 31 (57.4%) | ||
| Differentiation | 0.087 | 1.000 | ||||
| Low grade | 31 (29.5%) | 74 (70.5%) | 24 (40.7%) | 35 (59.3%) | ||
| High grade | 9 (50.0%) | 9 (50.0%) | 3 (42.9%) | 4 (57.1%) | ||
| Lymphatic invasion | 0.394 | 0.982 | ||||
| Absent | 10 (27.0%) | 27 (73.0%) | 11 (40.7%) | 16 (59.3%) | ||
| Present | 30 (34.9%) | 56 (65.1%) | 16 (41.0%) | 23 (59.0%) | ||
| Venous invasion | 0.416 | 0.935 | ||||
| Absent | 24 (30.0%) | 56 (70.0%) | 21 (41.2%) | 30 (58.8%) | ||
| Present | 16 (37.2%) | 27 (62.8%) | 6 (40.0%) | 9 (60.0%) | ||
| Perineural invasion | 0.732 | 0.566 | ||||
| Absent | 17 (30.9%) | 38 (69.1%) | 14 (37.8%) | 23 (62.2%) | ||
| Present | 23 (33.8%) | 45 (66.2%) | 13 (44.8%) | 16 (55.2%) | ||
| pT stage | 0.950 | 0.748 | ||||
| pT2-3 | 20 (32.3%) | 42 (67.7%) | 23 (42.6%) | 31 (57.4%) | ||
| pT4 | 20 (32.8%) | 41 (67.2%) | 4 (33.3%) | 8 (66.7%) | ||
| pN stage | 0.217 | 0.539 | ||||
| pN0 | 2 (16.7%) | 10 (83.3%) | 11 (45.8%) | 13 (54.2%) | ||
| pN+ | 38 (34.2%) | 73 (65.8%) | 16 (38.1%) | 26 (61.9%) | ||
| MSI | 1.000 | 0.509 | ||||
| MSS/MSI-low | 40 (32.8%) | 82 (67.2%) | 27 (42.2%) | 37 (57.8%) | ||
| MSI-high | 0 (0%) | 1 (100%) | 0 (0%) | 2 (100%) | ||
| EGFR | 0.497 | 0.085 | ||||
| Negative | 23 (30.3%) | 53 (69.7%) | 13 (32.5%) | 27 (67.5%) | ||
| Positive | 17 (36.2%) | 30 (63.8%) | 14 (53.8%) | 12 (46.2%) | ||
| KRAS mutation | 0.661 | 0.522 | ||||
| Wild type | 20 (34.5%) | 38 (65.5%) | 11 (36.7%) | 19 (63.3%) | ||
| Mutant | 20 (30.8%) | 45 (69.2%) | 16 (44.4%) | 20 (55.6%) | ||
| PIK3CA mutation | 0.026 | 0.691 | ||||
| Wild type | 38 (36.5%) | 66 (63.5%) | 25 (42.4%) | 34 (57.6%) | ||
| Mutant | 2 (10.5%) | 17 (89.5%) | 2 (28.6%) | 5 (71.4%) | ||
| BRAF mutation | 1.000 | 1.000 | ||||
| Wild type | 38 (32.5%) | 79 (67.5% | 27 (41.5%) | 38 (58.5%) | ||
| Mutant | 2 (33.3%) | 4 (66.7%) | 0 (0%) | 1 (100%) | ||
| HER2 amplification | 0.268 | NA | ||||
| Negative | 38 (34.2%) | 73 (65.8%) | 26 (40.0%) | 39 (60.0%) | ||
| Positive | 1 (11.1%) | 8 (88.9%) | 0 (0%) | 0 (0%) | ||
| Any mutation | 0.416 | 0.836 | ||||
| Absent | 16 (37.2%) | 27 (62.8%) | 10 (38.5%) | 16 (61.5%) | ||
| Present | 24 (30.0%) | 56 (70.0%) | 16 (41.0%) | 23 (59.0%) | ||
| Factor | Hazard Ratio (95% CI) | Significance |
|---|---|---|
| Total | ||
| Lymphatic invasion (present vs. absent) | 1.803 (1.001–3.251) | 0.050 |
| Neural invasion (present vs. absent) | 1.687 (1.039–2.740) | 0.035 |
| pT stage (pT4 vs. pT2-3) | 1.579 (1.007–2.476) | 0.047 |
| pN stage (pN+ vs. pN0) | 2.689 (1.231–5.960) | 0.015 |
| Synchronous metastasis group | ||
| Age (≥65 vs. <65) | 1.978 (1.196–3.271) | 0.008 |
| Lymphatic invasion (present vs. absent) | 2.014 (1.070–3.791) | 0.030 |
| GRP94 (positive vs. negative) | 0.581 (0.351–0.961) | 0.034 |
| Metachronous metastasis group | ||
| Neural invasion (present vs. absent) | 8.082 (2.307–28.319) | 0.001 |
| Factor | Hazard Ratio (95% CI) | Significance |
|---|---|---|
| Synchronous metastasis group | ||
| Age (≥65 vs. <65) | 2.449 (1.354–4.431) | 0.003 |
| GRP94 (positive vs. negative) | 0.438 (0.234–0.821) | 0.010 |
Publisher’s Note: MDPI stays neutral with regard to jurisdictional claims in published maps and institutional affiliations. |
© 2021 by the authors. Licensee MDPI, Basel, Switzerland. This article is an open access article distributed under the terms and conditions of the Creative Commons Attribution (CC BY) license (https://creativecommons.org/licenses/by/4.0/).
Share and Cite
Yun, S.; Lee, S.; Lee, H.-Y.; Oh, H.J.; Kwak, Y.; Lee, H.S. Clinicopathologic and Prognostic Association of GRP94 Expression in Colorectal Cancer with Synchronous and Metachronous Metastases. Int. J. Mol. Sci. 2021, 22, 7042. https://doi.org/10.3390/ijms22137042
Yun S, Lee S, Lee H-Y, Oh HJ, Kwak Y, Lee HS. Clinicopathologic and Prognostic Association of GRP94 Expression in Colorectal Cancer with Synchronous and Metachronous Metastases. International Journal of Molecular Sciences. 2021; 22(13):7042. https://doi.org/10.3390/ijms22137042
Chicago/Turabian StyleYun, Sumi, Sukmook Lee, Ho-Young Lee, Hyeon Jeong Oh, Yoonjin Kwak, and Hye Seung Lee. 2021. "Clinicopathologic and Prognostic Association of GRP94 Expression in Colorectal Cancer with Synchronous and Metachronous Metastases" International Journal of Molecular Sciences 22, no. 13: 7042. https://doi.org/10.3390/ijms22137042
APA StyleYun, S., Lee, S., Lee, H.-Y., Oh, H. J., Kwak, Y., & Lee, H. S. (2021). Clinicopathologic and Prognostic Association of GRP94 Expression in Colorectal Cancer with Synchronous and Metachronous Metastases. International Journal of Molecular Sciences, 22(13), 7042. https://doi.org/10.3390/ijms22137042

