Fibrin-Plasma Rich in Growth Factors Membrane for the Treatment of a Rabbit Alkali-Burn Lesion
Abstract
1. Introduction
2. Results
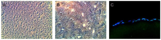
2.1. Cell Culture
2.2. Rabbit Alkali-Burn Lesion
2.3. Clinical Outcome Analysis
2.4. Histology and Immunocytochemistry
3. Discussion
4. Materials and Methods
4.1. Experimental Design
4.2. Cell Culture
4.3. Rabbit Alkali-Burn Model
4.4. Clinical Evaluation and Surgical Procedures
4.5. Clinical Outcome Analysis
4.6. Histology and Immunocytochemistry
4.7. Statistical Analysis
5. Conclusions
Author Contributions
Funding
Institutional Review Board Statement
Data Availability Statement
Acknowledgments
Conflicts of Interest
Abbreviations
| PRGF | Plasma Rich in Growth Factors |
| LEPCs | Limbal Epithelial Progenitor Cells |
| SLET | Simple Limbal Epithelial Transplantation |
| LSCD | Limbal Stem Cell Deficiency |
| DMEM | Dulbecco’s modified Eagle’s medium |
| FBS | fetal bovine serum |
| CK | cytokeratin |
| PBS | phosphate buffered saline |
| DAPI | 4′,6-diamidino-2-phenylindole |
| EMA | European Medicines Agency |
| ATMP | Advanced Therapy Medicinal Product |
References
- Fish, R.; Davidson, R.S. Management of ocular thermal and chemical injuries, including amniotic membrane therapy. Curr. Opin. Ophthalmol. 2010, 21, 317–321. [Google Scholar] [CrossRef] [PubMed]
- Singh, P.; Tyagi, M.; Kumar, Y.; Gupta, K.; Sharma, P. Ocular chemical injuries and their management. Oman J. Ophthalmol. 2013, 6, 83–86. [Google Scholar] [CrossRef] [PubMed]
- Sharma, N.; Kaur, M.; Agarwal, T.; Sangwan, V.S.; Vajpayee, R.B. Treatment of acute ocular chemical burns. Surv. Ophthalmol. 2018, 63, 214–235. [Google Scholar] [CrossRef] [PubMed]
- Cabalag, M.S.; Wasiak, J.; Syed, Q.; Paul, E.; Hall, A.J.; Cleland, H. Early and late complications of ocular burn injuries. J. Plast. Reconstr. Aesthetic Surg. 2015, 68, 356–361. [Google Scholar] [CrossRef]
- Eslani, M.; Baradaran-Rafii, A.; Movahedan, A.; Djalilian, A.R. The ocular surface chemical burns. J. Ophthalmol. 2014, 2014. [Google Scholar] [CrossRef]
- Kuckelkorn, R.; Kottek, A.; Schrage, N.; Reim, M. Poor prognosis of severe chemical and thermal eye burns: The need for adequate emergency care and primary prevention. Int. Arch. Occup. Environ. Health 1995, 67, 281–284. [Google Scholar] [CrossRef]
- Pfister, R.R. Chemical Corneal Burns. Int. Ophthalmol. Clin. 1984, 24, 157–168. [Google Scholar]
- Wagoner, M.D. Chemical injuries of the eye: Current concepts in pathophysiology and therapy. Surv. Ophthalmol. 1997, 41, 275–313. [Google Scholar] [CrossRef]
- Bunker, D.J.L.; George, R.J.; Kleinschmidt, A.; Kumar, R.J.; Maitz, P. Alkali-related ocular burns: A case series and review. J. Burn Care Res. 2014, 35, 261–268. [Google Scholar] [CrossRef]
- Moreno-Arrones, J.; Merayo-Lloves, J.; Varilla, D. Ocular chemical burns in the workplace: Epidemiological characteristics. Burns 2020, 46, 1212–1218. [Google Scholar] [CrossRef]
- Lin, A.; Patel, N.; Yoo, D.; Demartelaere, S.; Bouchard, C. Management of ocular conditions in the burn unit: Thermal and chemical burns and stevens-johnson syndrome/toxic epidermal necrolysis. J. Burn Care Res. 2011, 32, 547–560. [Google Scholar] [CrossRef] [PubMed]
- Schrage, N.F.; Langefeld, S.; Zschocke, J.; Kuckelkorn, R.; Redbrake, C.; Reim, M. Eye burns: An emergency and continuing problem. Burns 2000, 26, 689–699. [Google Scholar] [CrossRef]
- Spector, J.; Fernandez, W.G. Chemical, Thermal, and Biological Ocular Exposures. Emerg. Med. Clin. N. Am. 2008, 26, 125–136. [Google Scholar] [CrossRef] [PubMed]
- Baradaran-Rafii, A.; Eslani, M.; Haq, Z.; Shirzadeh, E.; Huvard, M.J.; Djalilian, A.R. Current and Upcoming Therapies for Ocular Surface Chemical Injuries. Ocul. Surf. 2017, 15, 48–64. [Google Scholar] [CrossRef] [PubMed]
- Hamill, C.E.; Bozorg, S.; Peggy Chang, H.Y.; Lee, H.; Sayegh, R.R.; Shukla, A.N.; Chodosh, J. Corneal alkali burns: A review of the literature and proposed protocol for evaluation and treatment. Int. Ophthalmol. Clin. 2013, 53, 185–194. [Google Scholar] [CrossRef] [PubMed]
- McCulley, J. Chemical injuries. In The Cornea: Scientific Foundation and Clinical Practice; Smolin, G., Thoft, R.A., Eds.; Little, Brown and Co.: Boston, MA, USA, 1987; pp. 527–542. [Google Scholar]
- Cotsarelis, G.; Cheng, S.Z.; Dong, G.; Sun, T.T.; Lavker, R.M. Existence of slow-cycling limbal epithelial basal cells that can be preferentially stimulated to proliferate: Implications on epithelial stem cells. Cell 1989, 57, 201–209. [Google Scholar] [CrossRef]
- Davanger, M.; Evensen, A. Role of the pericorneal papillary structure in renewal of corneal epithelium. Nature 1971, 229, 560–561. [Google Scholar] [CrossRef] [PubMed]
- Ordonez, P.; Di Girolamo, N. Concise review: Limbal epithelial stem cells: Role of the niche microenvironment. Stem Cells 2012, 30, 100–107. [Google Scholar] [CrossRef]
- Sangwan, V.S. Limbal stem cells in health and disease. Biosci. Rep. 2001, 21, 385–405. [Google Scholar] [CrossRef]
- Schermer, A.; Galvin, S.; Sun, T.T. Differentiation-related expression of a major 64K corneal keratin in vivo and in culture suggests limbal location of corneal epithelial stem cells. J. Cell Biol. 1986, 103, 49–62. [Google Scholar] [CrossRef]
- Van Buskirk, E.M. The anatomy of the limbus. Eye 1989, 3, 101–108. [Google Scholar] [CrossRef] [PubMed]
- Tseng, S.C. Concept and application of limbal stem cells. Eye 1989, 3, 141–157. [Google Scholar] [CrossRef] [PubMed]
- Dua, H.S.; Gomes, J.A.P.; Singh, A. Corneal epithelial wound healing. Br. J. Ophthalmol. 1994, 78, 401–408. [Google Scholar] [CrossRef] [PubMed]
- Ahmad, S. Concise Review: Limbal Stem Cell Deficiency, Dysfunction, and Distress. Stem Cells Transl. Med. 2012, 1, 110–115. [Google Scholar] [CrossRef] [PubMed]
- Anderson, D.F.; Ellies, P.; Pires, R.T.F.; Tseng, S.C.G. Amniotic membrane transplantation for partial limbal stem cell deficiency. Br. J. Ophthalmol. 2001, 85, 567–575. [Google Scholar] [CrossRef] [PubMed]
- Kenyon, K.R.; Tseng, S.C.G. Limbal Autograft Transplantation for Ocular Surface Disorders. Ophthalmology 1989, 96, 709–723. [Google Scholar] [CrossRef]
- Titiyal, J.S.; Sharma, N.; Agarwal, A.K.; Prakash, G.; Tandon, R.; Vajpayee, R. Live related versus cadaveric limbal allograft in limbal stem cell deficiency. Ocul. Immunol. Inflamm. 2015, 23, 232–239. [Google Scholar] [CrossRef]
- Welder, J.D.; Pandya, H.K.; Nassiri, N.; Djalilian, A.R. Conjunctival limbal autograft and allograft transplantation using fibrin glue. Ophthalmic Surg. Lasers Imaging 2012, 43, 323–327. [Google Scholar] [CrossRef]
- Pellegrini, G.; Traverso, C.E.; Franzi, A.T.; Zingirian, M.; Cancedda, R.; De Luca, M. Long-term restoration of damaged corneal surfaces with autologous cultivated corneal epithelium. Lancet 1997, 349, 990–993. [Google Scholar] [CrossRef]
- Nakamura, T.; Inatomi, T.; Sotozono, C.; Amemiya, T.; Kanamura, N.; Kinoshita, S. Transplantation of cultivated autologous oral mucosal epithelial cells in patients with severe ocular surface disorders. Br. J. Ophthalmol. 2004, 88, 1280–1284. [Google Scholar] [CrossRef]
- Nakamura, T.; Takeda, K.; Inatomi, T.; Sotozono, C.; Kinoshita, S. Long-term results of autologous cultivated oral mucosal epithelial transplantation in the scar phase of severe ocular surface disorders. Br. J. Ophthalmol. 2011, 95, 942–946. [Google Scholar] [CrossRef] [PubMed]
- Rama, P.; Bonini, S.; Lambiase, A.; Golisano, O.; Paterna, P.; De Luca, M.; Pellegrini, G. Autologous fibrin-cultured limbal stem cells permanently restore the corneal surface of patients with total limbal stem cell deficiency. Transplantation 2001, 72, 1478–1485. [Google Scholar] [CrossRef]
- Calonge, M.; Pérez, I.; Galindo, S.; Nieto-Miguel, T.; López-Paniagua, M.; Fernández, I.; Alberca, M.; García-Sancho, J.; Sánchez, A.; Herreras, J.M. A proof-of-concept clinical trial using mesenchymal stem cells for the treatment of corneal epithelial stem cell deficiency. Transl. Res. 2019, 206, 18–40. [Google Scholar] [CrossRef] [PubMed]
- Holan, V.; Trosan, P.; Cejka, C.; Javorkova, E.; Zajicova, A.; Hermankova, B.; Chudickova, M.; Cejkova, J. A Comparative Study of the Therapeutic Potential of Mesenchymal Stem Cells and Limbal Epithelial Stem Cells for Ocular Surface Reconstruction. Stem Cells Transl. Med. 2015, 4, 1052–1063. [Google Scholar] [CrossRef] [PubMed]
- Sangwan, V.S.; Basu, S.; MacNeil, S.; Balasubramanian, D. Simple limbal epithelial transplantation (SLET): A novel surgical technique for the treatment of unilateral limbal stem cell deficiency. Br. J. Ophthalmol. 2012, 96, 931–934. [Google Scholar] [CrossRef] [PubMed]
- Bhalekar, S.; Basu, S.; Sangwan, V.S. Successful management of immunological rejection following allogeneic simple limbal epithelial transplantation (SLET) for bilateral ocular burns. BMJ Case Rep. 2013, 2013. [Google Scholar] [CrossRef]
- Basu, S.; Sureka, S.P.; Shanbhag, S.S.; Kethiri, A.R.; Singh, V.; Sangwan, V.S. Simple Limbal Epithelial Transplantation: Long-Term Clinical Outcomes in 125 Cases of Unilateral Chronic Ocular Surface Burns. Ophthalmology 2016, 123, 1000–1010. [Google Scholar] [CrossRef]
- Vazirani, J.; Ali, M.H.; Sharma, N.; Gupta, N.; Mittal, V.; Atallah, M.; Amescua, G.; Chowdhury, T.; Abdala-Figuerola, A.; Ramirez-Miranda, A.; et al. Autologous simple limbal epithelial transplantation for unilateral limbal stem cell deficiency: Multicentre results. Br. J. Ophthalmol. 2016, 100, 1416–1420. [Google Scholar] [CrossRef]
- Amescua, G.; Atallah, M.; Nikpoor, N.; Galor, A.; Perez, V.L. Modified Simple Limbal Epithelial Transplantation Using Cryopreserved Amniotic Membrane for Unilateral Limbal Stem Cell Deficiency. Am. J. Ophthalmol. 2014, 158, 469–475. [Google Scholar] [CrossRef]
- Mahdavi, S.S.; Abdekhodaie, M.J.; Mashayekhan, S.; Baradaran-Rafii, A.; Djalilian, A.R. Bioengineering Approaches for Corneal Regenerative Medicine. Tissue Eng. Regen. Med. 2020, 17, 567–593. [Google Scholar] [CrossRef]
- Gouveia, R.M.; Connon, C.J. Biomechanical modulation therapy—A stem cell therapy without stem cells for the treatment of severe ocular burns. Transl. Vis. Sci. Technol. 2020, 9, 1–11. [Google Scholar] [CrossRef]
- Brown, K.D.; Low, S.; Mariappan, I.; Abberton, K.M.; Short, R.; Zhang, H.; Maddileti, S.; Sangwan, V.; Steele, D.; Daniell, M. Plasma polymer-coated contact lenses for the culture and transfer of corneal epithelial cells in the treatment of limbal stem cell deficiency. Tissue Eng. Part A 2014, 20, 646–655. [Google Scholar] [CrossRef] [PubMed]
- Levis, H.J.; Peh, G.S.L.; Toh, K.-P.; Poh, R.; Shortt, A.J.; Drake, R.A.L.; Mehta, J.S.; Daniels, J.T. Plastic Compressed Collagen as a Novel Carrier for Expanded Human Corneal Endothelial Cells for Transplantation. PLoS ONE 2012, 7, e50993. [Google Scholar] [CrossRef] [PubMed]
- Ramachandran, C.; Sangwan, V.S.; Ortega, I.; Bhatnagar, U.; Mulla, S.M.A.; McKean, R.; MacNeil, S. Synthetic biodegradable alternatives to the use of the amniotic membrane for corneal regeneration: Assessment of local and systemic toxicity in rabbits. Br. J. Ophthalmol. 2019, 103, 286–292. [Google Scholar] [CrossRef]
- Can, G.D.; Akdere, Ö.E.; Can, M.E.; Aydın, B.; Cagil, N.; Gümüşderelioğlu, M. A completely human-derived biomaterial mimicking limbal niche: Platelet-rich fibrin gel. Exp. Eye Res. 2018, 173, 1–12. [Google Scholar] [CrossRef]
- Anitua, E.; Zalduendo, M.M.; Alkhraisat, M.H.; Orive, G. Release kinetics of platelet-derived and plasma-derived growth factors from autologous plasma rich in growth factors. Ann. Anat. 2013, 195, 461–466. [Google Scholar] [CrossRef] [PubMed]
- Sanchez-Avila, R.M.; Merayo-Lloves, J.; Riestra, A.C.; Berisa, S.; Lisa, C.; Sánchez, J.A.; Muruzabal, F.; Orive, G.; Anitua, E. Plasma rich in growth factors membrane as coadjuvant treatment in the surgery of ocular surface disorders. Medicine 2018, 97, e0242. [Google Scholar] [CrossRef] [PubMed]
- Sabater, A.L.; Mousa, H.M.; Quinones, X.; Valenzuela, F.; Sanchez Avila, R.M.; Orive, G.; Anitua, E.; Merayo, J.; Perez, V.L. Use of autologous plasma rich in growth factors fibrin membrane in the surgical management of ocular surface diseases. Int. Ophthalmol. 2021. [Google Scholar] [CrossRef] [PubMed]
- Riestra, A.C.; Vazquez, N.; Chacon, M.; Berisa, S.; Sanchez-Avila, R.M.; Orive, G.; Anitua, E.; Meana, A.; Merayo-Lloves, J. Autologous method for ex vivo expansion of human limbal epithelial progenitor cells based on plasma rich in growth factors technology. Ocul. Surf. 2017, 15, 248–256. [Google Scholar] [CrossRef] [PubMed]
- Bennardo, F.; Bennardo, L.; Del Duca, E.; Patruno, C.; Fortunato, L.; Giudice, A.; Nisticò, S.P. Autologous platelet-rich fibrin injections in the management of facial cutaneous sinus tracts secondary to medication-related osteonecrosis of the jaw. Dermatol. Ther. 2020, 33, e13334. [Google Scholar] [CrossRef]
- Bennardo, F.; Liborio, F.; Barone, S.; Antonelli, A.; Buffone, C.; Fortunato, L.; Giudice, A. Efficacy of platelet-rich fibrin compared with triamcinolone acetonide as injective therapy in the treatment of symptomatic oral lichen planus: A pilot study. Clin. Oral Investig. 2021, 1–9. [Google Scholar] [CrossRef]
- Pachito, D.V.; Bagattini, A.M.; de Almeida, A.M.; Mendrone-Júnior, A.; Riera, R. Technical Procedures for Preparation and Administration of Platelet-Rich Plasma and Related Products: A Scoping Review. Front. Cell Dev. Biol. 2020, 8, 598816. [Google Scholar] [CrossRef]
- Everts, P.; Onishi, K.; Jayaram, P.; Lana, J.F.; Mautner, K. Platelet-rich plasma: New performance understandings and therapeutic considerations in 2020. Int. J. Mol. Sci. 2020, 21, 7794. [Google Scholar] [CrossRef] [PubMed]
- Del Río Fernández, S.; Gutiérrez Díaz, E.; Mencía Gutiérrez, E.; Gutiérrez Díaz, A. Traumatismos oculares. In Atlas Urgencias en Oftalmología; Bengoa, Á., Gutiérrez, E., Pérez, E., Eds.; Glosa: Barcelona, Spain, 2009; Volume 1, pp. 19–26. ISBN 84-7429-161-5. [Google Scholar]
- Bonilla-Escobar, F.J.; Espandar, L.; Puyana, J.C. Chemical ocular burn epidemiology-dealing with missing values. JAMA Ophthalmol. 2017, 135, 892–893. [Google Scholar] [CrossRef] [PubMed]
- Cabalag, M.S.; Wasiak, J.; Syed, Q.; Paul, E.; Hall, A.J.; Cleland, H. Risk Factors for Ocular Burn Injuries Requiring Surgery. J. Burn Care Res. 2017, 38, 71–77. [Google Scholar] [CrossRef] [PubMed]
- Smith, S.B.; Coffee, T.; Yowler, C.; Steinemann, T.L. Risk factors for ophthalmic complications in patients with burns. J. Burn Care Res. 2010, 31, 911–917. [Google Scholar] [CrossRef] [PubMed]
- Spencer, T.; Hall, A.J.H.; Stawell, R.J. Ophthalmologic sequelae of thermal burns over ten years at the Alfred Hospital. Ophthal. Plast. Reconstr. Surg. 2002, 18, 196–201. [Google Scholar] [CrossRef]
- Klifto, K.M.; Elhelali, A.; Gurno, C.F.; Seal, S.M.; Asif, M.; Hultman, C.S. Acute surgical vs non-surgical management for ocular and peri-ocular burns: A systematic review and meta-analysis. Burn. Trauma 2019, 7, 25. [Google Scholar] [CrossRef]
- Bouchard, C.S.; John, T. Amniotic membrane transplantation in the management of severe ocular surface disease: Indications and outcomes. Ocul. Surf. 2004, 2, 201–211. [Google Scholar] [CrossRef]
- Dua, H.S.; Gomes, J.A.P.; King, A.J.; Maharajan, V.S. The amniotic membrane in ophthalmology. Surv. Ophthalmol. 2004, 49, 51–77. [Google Scholar] [CrossRef]
- Tseng, S.C.; Espana, E.M.; Kawakita, T.; Di Pascuale, M.A.; Li, W.; He, H.; Liu, T.S.; Cho, T.H.; Gao, Y.Y.; Yeh, L.K.; et al. How does amniotic membrane work? Ocul. Surf. 2004, 2, 177–187. [Google Scholar] [CrossRef]
- Azuara-Blanco, A.; Pillai, C.T.; Dua, H.S. Amniotic membrane transplantation for ocular surface reconstruction. Br. J. Ophthalmol. 1999, 83, 399–402. [Google Scholar] [CrossRef]
- Baradaran-Rafii, A.; Javadi, M.A.; Rezaei Kanavi, M.; Eslani, M.; Jamali, H.; Karimian, F. Limbal Stem Cell Deficiency in Chronic and Delayed-onset Mustard Gas Keratopathy. Ophthalmology 2010, 117, 246–252. [Google Scholar] [CrossRef] [PubMed]
- Fernandes, M.; Sridhar, M.S.; Sangwan, V.S.; Rao, G.N. Amniotic membrane transplantation for ocular surface reconstruction. Cornea 2005, 24, 643–653. [Google Scholar] [CrossRef] [PubMed]
- Kheirkhah, A.; Johnson, D.A.; Paranjpe, D.R.; Raju, V.K.; Casas, V.; Tseng, S.C.G. Temporary sutureless amniotic membrane patch for acute alkaline burns. Arch. Ophthalmol. 2008, 126, 1059–1066. [Google Scholar] [CrossRef] [PubMed]
- Tejwani, S.; Kolari, R.S.; Sangwan, V.S.; Rao, G.N. Role of amniotic membrane graft for ocular chemical and thermal injuries. Cornea 2007, 26, 21–26. [Google Scholar] [CrossRef]
- Tseng, S.C. Amniotic membrane transplantation for ocular surface reconstruction. Biosci. Rep. 2001, 21, 481–489. [Google Scholar] [CrossRef] [PubMed]
- Basu, S.; Mohamed, A.; Chaurasia, S.; Sejpal, K.; Vemuganti, G.K.; Sangwan, V.S. Clinical outcomes of penetrating keratoplasty after autologous cultivated limbal epithelial transplantation for ocular surface burns. Am. J. Ophthalmol. 2011, 152, 917–924. [Google Scholar] [CrossRef] [PubMed]
- Burcu, A.; Yalniz-Akkaya, Z.; Ozdemir, M.F.; Erdem, E.; Onat, M.M.; Ornek, F. Surgical rehabilitation following ocular chemical injury. Cutan. Ocul. Toxicol. 2014, 33, 42–48. [Google Scholar] [CrossRef] [PubMed]
- Salvador-Culla, B.; Kolovou, P.E.; Arzeno, L.; Martínez, S.; López, M.A. Boston keratoprosthesis type 1 in chemical burns. Cornea 2016, 35, 911–916. [Google Scholar] [CrossRef] [PubMed]
- De la Sen-Corcuera, B.; Montero-Iruzubieta, J.; Sánchez-Ávila, R.M.; Orive, G.; Anitua, E.; Caro-Magdaleno, M.; Merayo-Lloves, J. Plasma rich in growth factors for the treatment of cicatrizing conjunctivitis. Clin. Ophthalmol. 2020, 14, 1619–1627. [Google Scholar] [CrossRef] [PubMed]
- Dua, H.S.; King, A.J.; Joseph, A. A new classification of ocular surface burns. Br. J. Ophthalmol. 2001, 85, 1379–1383. [Google Scholar] [CrossRef] [PubMed]
- Pfister, R.R. Chemical injuries of the eye. Ophthalmology 1983, 90, 1246–1253. [Google Scholar] [PubMed]
- Roper-Hall, M. Thermal and chemical burns. Trans. Ophthalmol. Soc. UK 1965, 85, 631–653. [Google Scholar] [PubMed]
- Ang, A.Y.; Chan, C.C.; Biber, J.M.; Holland, E.J. Ocular surface stem cell transplantation rejection: Incidence, characteristics, and outcomes. Cornea 2013, 32, 229–236. [Google Scholar] [CrossRef] [PubMed]
- Ono, K.; Yokoo, S.; Mimura, T.; Usui, T.; Miyata, K.; Araie, M.; Yamagami, S.; Amano, S. Autologous transplantation of conjunctival epithelial cells cultured on amniotic membrane in a rabbit model. Mol. Vis. 2007, 13, 1138–1143. [Google Scholar]
- Pellegrini, G.; Dellambra, E.; Golisano, O.; Martinelli, E.; Fantozzi, I.; Bondanza, S.; Ponzin, D.; McKeon, F.; De Luca, M. p63 identifies keratinocyte stem cells. Proc. Natl. Acad. Sci. USA 2001, 98, 3156–3161. [Google Scholar] [CrossRef]
- Talbot, M.; Carrier, P.; Giasson, C.J.; Deschambeault, A.; Guérin, S.L.; Auger, F.A.; Bazin, R.; Germain, L. Autologous transplantation of rabbit limbal epithelia cultured on fibrin gels for ocular surface reconstruction. Mol. Vis. 2006, 12, 65–75. [Google Scholar]
- Luengo, F.; Lavigne, V.; Gatto, S.; Groxanto, J.O.; Correa, L.; Gallo, J.E. One-year follow-up of epithelial corneal cell sheet allografts mounted on platelet poor plasma in rabbits. Mol. Vis. 2009, 15, 2771–2779. [Google Scholar]
- Cheng, J.; Zhai, H.; Wang, J.; Duan, H.; Zhou, Q. Long-term outcome of allogeneic cultivated limbal epithelial transplantation for symblepharon caused by severe ocular burns. BMC Ophthalmol. 2017, 17, 1–10. [Google Scholar] [CrossRef]
- Nakamura, T.; Inatomi, T.; Sotozono, C.; Koizumi, N.; Kinoshita, S. Ocular surface reconstruction using stem cell and tissue engineering. Prog. Retin. Eye Res. 2016, 51, 187–207. [Google Scholar] [CrossRef] [PubMed]
- Gupta, N.; Joshi, J.; Farooqui, J.; Mathur, U. Results of simple limbal epithelial transplantation in unilateral ocular surface burn. Indian J. Ophthalmol. 2018, 66, 45–52. [Google Scholar] [CrossRef] [PubMed]
- Sangwan, V.S.; Sharp, J.A.H. Simple limbal epithelial transplantation. Curr. Opin. Ophthalmol. 2017, 28, 382–385. [Google Scholar] [CrossRef]
- Sacchetti, M.; Rama, P.; Bruscolini, A.; Lambiase, A. Limbal stem cell transplantation: Clinical results, limits, and perspectives. Stem Cells Int. 2018, 18. [Google Scholar] [CrossRef] [PubMed]
- Sangwan, V.S.; Basu, S.; Vemuganti, G.K.; Sejpal, K.; Subramaniam, S.V.; Bandyopadhyay, S.; Krishnaiah, S.; Gaddipati, S.; Tiwari, S.; Balasubramanian, D. Clinical outcomes of xeno-free autologous cultivated limbal epithelial transplantation: A 10-year study. Br. J. Ophthalmol. 2011, 95, 1525–1529. [Google Scholar] [CrossRef]
- Zakaria, N.; Possemiers, T.; Dhubhghaill, S.N.; Leysen, I.; Rozema, J.; Koppen, C.; Timmermans, J.P.; Berneman, Z.; Tassignon, M.J. Results of a phase I/II clinical trial: Standardized, non-xenogenic, cultivated limbal stem cell transplantation. J. Transl. Med. 2014, 12, 58–69. [Google Scholar] [CrossRef]
- Rahman, I.; Said, D.G.; Maharajan, V.S.; Dua, H.S. Amniotic membrane in ophthalmology: Indications and limitations. Eye 2009, 23, 1954–1961. [Google Scholar] [CrossRef]
- Anitua, E.; Muruzabal, F.; Tayebba, A.; Riestra, A.; Perez, V.L.; Merayo-Lloves, J.; Orive, G. Autologous serum and plasma rich in growth factors in ophthalmology: Preclinical and clinical studies. Acta Ophthalmol. 2015, 93, e605–e614. [Google Scholar] [CrossRef]






| Corneal Opacification | Corneal Neovascularization | Fibrovascular Pannus | Epithelial Defects | ||||||||||||||||||
|---|---|---|---|---|---|---|---|---|---|---|---|---|---|---|---|---|---|---|---|---|---|
| Rabbits | S0 | S1 | S2 | S3 | S4 | S0 | S1 | S2 | S3 | S4 | S0 | S1 | S2 | S3 | S4 | S0 | S1 | S2 | S3 | S4 | |
| Group 1 | 1 | ● | ● | ● | ● | ||||||||||||||||
| 2 | ● | ● | ● | ● | |||||||||||||||||
| 3 | ● | ● | ● | ● | |||||||||||||||||
| Group 2 | 4 | ● | ● | ● | ● | ||||||||||||||||
| 5 | ● | ● | ● | ● | |||||||||||||||||
| 6 | ● | ● | ● | ● | |||||||||||||||||
| Group 3 | 7 | ● | ● | ● | ● | ||||||||||||||||
| 8 | ● | ● | ● | ● | |||||||||||||||||
| 9 | ● | ● | ● | ● | |||||||||||||||||
| Group 4 | 10 | ● | ● | ● | ● | ||||||||||||||||
| 11 | ● | ● | ● | ● | |||||||||||||||||
| 12 | ● | ● | ● | ● | |||||||||||||||||
| Group 5 | 13 | ● | ● | ● | ● | ||||||||||||||||
| 14 | ● | ● | ● | ● | |||||||||||||||||
| 15 | ● | ● | ● | ● | |||||||||||||||||
| Corneal Opacification | Corneal Neovascularization | Fibrovascular Pannus | Epithelial Defects | ||||||||||||||||||
|---|---|---|---|---|---|---|---|---|---|---|---|---|---|---|---|---|---|---|---|---|---|
| Rabbits | S0 | S1 | S2 | S3 | S4 | S0 | S1 | S2 | S3 | S4 | S0 | S1 | S2 | S3 | S4 | S0 | S1 | S2 | S3 | S4 | |
| Group 1 | 1 | ●/◊ | ● | ◊ | ● | ◊ | ● | ◊ | |||||||||||||
| 2 | ◊ | ● | ●/◊ | ●/◊ | ◊ | ● | |||||||||||||||
| 3 | ●/◊ | ●/◊ | ●/◊ | ●/◊ | |||||||||||||||||
| Group 2 | 4 | ◊ | ● | ◊ | ● | ◊ | ● | ◊ | ● | ||||||||||||
| 5 | ◊ | ● | ◊ | ● | ◊ | ● | ◊ | ● | |||||||||||||
| 6 | ◊ | ● | ◊ | ● | ◊ | ● | ◊ | ● | |||||||||||||
| Group 3 | 7 | ◊ | ● | ◊ | ● | ◊ | ● | ◊ | ● | ||||||||||||
| 8 | ◊ | ● | ◊ | ● | ◊ | ● | ◊ | ● | |||||||||||||
| 9 | ◊ | ● | ◊ | ● | ◊ | ● | ◊ | ● | |||||||||||||
| Group 4 | 10 | ◊ | ● | ◊ | ● | ◊ | ● | ◊ | ● | ||||||||||||
| 11 | ●/◊ | ●/◊ | ◊ | ● | ◊ | ● | |||||||||||||||
| 12 | ◊ | ● | ◊ | ● | ◊ | ● | ◊ | ● | |||||||||||||
| Group 5 | 13 | ◊ | ● | ◊ | ● | ◊ | ● | ◊ | ● | ||||||||||||
| 14 | ◊ | ● | ◊ | ● | ◊ | ● | ◊ | ● | |||||||||||||
| 15 | ◊ | ● | ●/◊ | ◊ | ● | ◊ | ● | ||||||||||||||
| Corneal Opacification | Corneal Neovascularization | Fibrovascular Pannus | Epithelial Defects | |
|---|---|---|---|---|
| Group 1 | −11.11 ± 19.25 | 11.11 ± 19.25 | 16.67 ± 28.87 | −5.56 ± 41.94 |
| Group 2 | −83.33 ± 28.87 | −63.89 ± 12.73 † | −80.56 ± 17.35 † | −83.33 ± 28.87 |
| Group 3 | −100.00 ± 00.00 | −63.89 ± 12.73 ‡ | −80.56 ± 17.35 ‡ | −88.89 ± 19.25 |
| Group 4 | −66.67 ± 57.74 | −25.00 ± 25.00 | −66.67 ± 28.87 | −66.67 ± 28.87 |
| Group 5 | −61.11 ± 9.62 | −25.00 ± 25.00 | −44.44 ± 19.25 | −72.22 ± 25.46 |
| p-value | 0.079 | 0.032 * | 0.040 * | 0.126 |
| Score 0 | Score 1 | Score 2 | Score 3 | Score 4 | |
|---|---|---|---|---|---|
| Corneal Opacification | Totally clear | Haze of minimal density | Mild haze | Moderately dense opacity | Severely dense opacity |
| Corneal Neovascularization | No vessels | <1/4 | >1/4 and <1/2 | >1/2 and <3/4 | >3/4 |
| Fibrovascular Pannus | 0 | 1 | 2 | 3 | >4 |
| Epithelial Defects | No fluorescein stain | <1/4 | >1/4 and <1/2 | >1/2 and <3/4 | >3/4 |
Publisher’s Note: MDPI stays neutral with regard to jurisdictional claims in published maps and institutional affiliations. |
© 2021 by the authors. Licensee MDPI, Basel, Switzerland. This article is an open access article distributed under the terms and conditions of the Creative Commons Attribution (CC BY) license (https://creativecommons.org/licenses/by/4.0/).
Share and Cite
Sánchez-Ávila, R.M.; Vázquez, N.; Chacón, M.; Persinal-Medina, M.; Brea-Pastor, A.; Berisa-Prado, S.; Fernández-Vega-Cueto, L.; Anitua, E.; Meana, Á.; Merayo-Lloves, J. Fibrin-Plasma Rich in Growth Factors Membrane for the Treatment of a Rabbit Alkali-Burn Lesion. Int. J. Mol. Sci. 2021, 22, 5564. https://doi.org/10.3390/ijms22115564
Sánchez-Ávila RM, Vázquez N, Chacón M, Persinal-Medina M, Brea-Pastor A, Berisa-Prado S, Fernández-Vega-Cueto L, Anitua E, Meana Á, Merayo-Lloves J. Fibrin-Plasma Rich in Growth Factors Membrane for the Treatment of a Rabbit Alkali-Burn Lesion. International Journal of Molecular Sciences. 2021; 22(11):5564. https://doi.org/10.3390/ijms22115564
Chicago/Turabian StyleSánchez-Ávila, Ronald M., Natalia Vázquez, Manuel Chacón, Mairobi Persinal-Medina, Agustín Brea-Pastor, Silvia Berisa-Prado, Luis Fernández-Vega-Cueto, Eduardo Anitua, Álvaro Meana, and Jesús Merayo-Lloves. 2021. "Fibrin-Plasma Rich in Growth Factors Membrane for the Treatment of a Rabbit Alkali-Burn Lesion" International Journal of Molecular Sciences 22, no. 11: 5564. https://doi.org/10.3390/ijms22115564
APA StyleSánchez-Ávila, R. M., Vázquez, N., Chacón, M., Persinal-Medina, M., Brea-Pastor, A., Berisa-Prado, S., Fernández-Vega-Cueto, L., Anitua, E., Meana, Á., & Merayo-Lloves, J. (2021). Fibrin-Plasma Rich in Growth Factors Membrane for the Treatment of a Rabbit Alkali-Burn Lesion. International Journal of Molecular Sciences, 22(11), 5564. https://doi.org/10.3390/ijms22115564

