Improved Establishment of Embryonic Stem (ES) Cell Lines from the Chinese Kunming Mice by Hybridization with 129 Mice
Abstract
:1. Introduction
2. Results
2.1. Effect of FBS and KSR on Derivation of ES Cell from Hybrid Blastocysts
2.2. Effect of Genetic Background on ES Cell Derivation
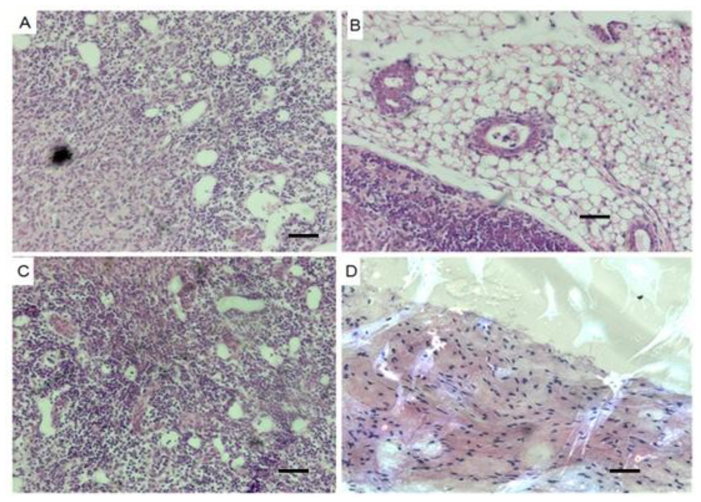
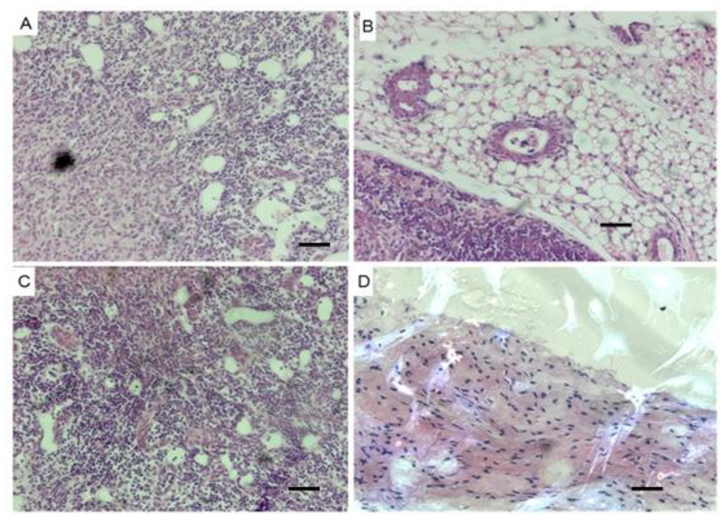
2.3. Characterization of mES Cells
3. Discussion
4. Experimental Section
4.1. Animals
4.2. ES Cell Media
4.3. Isolation and Culture of ES Cells
4.4. Karyotype Analysis of ES Cells
4.5. Genotype Analysis of mES Cells
4.6. Analysis of Enzymes and Marker Molecules Specific for mES Cells
4.7. Pluripotency of mES Cells
4.8. Statistical Analysis
5. Conclusions
Acknowledgments
Conflicts of Interest
References
- Evans, M.J.; Kaufman, M.H. Establishment in culture of pluripotential cells from mouse embryos. Nature 1981, 292, 154–156. [Google Scholar]
- Bradley, A.; Evans, M.; Kaufman, M.H.; Robertson, E. Formation of germ-line chimaeras from embryo-derived teratocarcinoma cell lines. Nature 1984, 309, 255–256. [Google Scholar]
- Wobus, A.M.; Boheler, K.R. Embryonic stem cells: Prospects for developmental biology and cell therapy. Physiol. Rev. 2005, 85, 635–678. [Google Scholar]
- Baharvand, H.; Matthaei, K.I. Culture condition difference for establishment of new embryonic stem cell lines from the C57BL/6 and BALB/c mouse strains. In Vitro Cell Dev. Biol. Anim. 2004, 40, 76–81. [Google Scholar]
- Cheng, J.; Dutra, A.; Takesono, A.; Garrett-Beal, L.; Schwartzberg, P.L. Improved generation of C57BL/6J mouse embryonic stem cells in a defined serum-free media. Genesis 2004, 39, 100–104. [Google Scholar]
- Shimizukawa, R.; Sakata, A.; Hirose, M.; Takahashi, A.; Iseki, H.; Liu, Y.; Kunita, S.; Sugiyama, F.; Yagami, K. Establishment of a new embryonic stem cell line derived from C57BL/6 mouse expressing EGFP ubiquitously. Genesis 2005, 42, 47–52. [Google Scholar]
- Iijima, S.; Tanimoto, Y.; Mizuno, S.; Daitoku, Y.; Kunita, S.; Sugiyama, F.; Yagami, K. Effect of different culture conditions on establishment of embryonic stem cells from BALB/cAJ and NZB/BINJ mice. Cell. Reprogram. 2010, 12, 679–688. [Google Scholar]
- Araki, K.; Takeda, N.; Yoshiki, A.; Obata, Y.; Nakagata, N.; Shiroishi, T.; Moriwaki, K.; Yamamura, K. Establishment of germline-competent embryonic stem cell lines from the MSM/Ms strain. Mamm. Genome 2009, 20, 14–20. [Google Scholar]
- Davies, T.J.; Fairchild, P.J. Optimization of protocols for derivation of mouse embryonic stem cell lines from refractory strains including the nonobese diabetic mouse. Stem Cells Dev. 2012, 21, 1688–1700. [Google Scholar]
- Lee, S.T.; Oh, S.W.; Kim, D.Y.; Han, J.Y.; Moon, S.Y.; Lim, J.M. Serum replacement with a growth factor-free synthetic substance in culture medium contributes to effective establishment of mouse embryonic stem cells of various origins. Fertil. Steril. 2006, 86, 1137–1145. [Google Scholar]
- Nagafuchi, S.; Katsuta, H.; Kogawa, K.; Akashi, T.; Kondo, S.; Sakai, Y.; Tsukiyama, T.; Kitamura, D.; Niho, Y.; Watanabe, T. Establishment of an embryonic stem (ES) cell line derived from a non-obese diabetic (NOD) mouse: In vivo differentiation into lymphocytes and potential for germ line transmission. FEBS Lett. 1999, 455, 101–104. [Google Scholar]
- Ogawa, K.; Matsui, H.; Ohtsuka, S.; Niwa, H. A novel mechanism for regulating clonal propagation of mouse ES cells. Genes Cells 2004, 9, 471–477. [Google Scholar]
- Wakayama, S.; Hikichi, T.; Suetsugu, R.; Sakaide, Y.; Bui, H.T.; Mizutani, E.; Wakayama, T. Efficient establishment of mouse embryonic stem cell lines from single blastomeres and polar bodies. Stem Cells 2007, 25, 986–993. [Google Scholar]
- Yang, W.; Wei, W.; Shi, C.; Zhu, J.; Ying, W.; Shen, Y.; Ye, X.; Fang, L.; Duo, S.; Che, J.; et al. Pluripotin combined with leukemia inhibitory factor greatly promotes the derivation of embryonic stem cell lines from refractory strains. Stem Cells 2009, 27, 383–389. [Google Scholar]
- Qi, X.; Li, T.G.; Hao, J.; Hu, J.; Wang, J.; Simmons, H.; Miura, S.; Mishina, Y.; Zhao, G.Q. BMP4 supports self-renewal of embryonic stem cells by inhibiting mitogen-activated protein kinase pathways. Proc. Natl. Acad. Sci. USA 2004, 101, 6027–6032. [Google Scholar]
- Kiyonari, H.; Kaneko, M.; Abe, S.; Aizawa, S. Three inhibitors of FGF receptor ERK and GSK3 establishes germline-competent embryonic stem cells of C57BL/6N mouse strain with high efficiency and stability. Genesis 2010, 48, 317–327. [Google Scholar]
- Ohta, H.; Ohinata, Y.; Ikawa, M.; Morioka, Y.; Sakaide, Y.; Saitou, M.; Kanagawa, O.; Wakayama, T. Male germline and embryonic stem cell lines from NOD mice: Efficient derivation of GS cells from a nonpermissive strain for ES cell derivation. Biol. Reprod. 2009, 81, 1147–1153. [Google Scholar]
- Peng, X.; Liu, T.; Shi, C.; Sun, Y.; Jiang, L.; Jin, H.; Li, L.; Zhu, H.; Wu, M.; Qian, Q. Germ-line-competent embryonic stem cells of the Chinese Kunming mouse strain with long-term self-renewal ability. Cell. Reprogram. 2013, 15, 179–184. [Google Scholar]
- Kress, C.; Vandormael-Pournin, S.; Baldacci, P.; Cohen-Tannoudji, M.; Babinet, C. Nonpermissiveness for mouse embryonic stem (ES) cell derivation circumvented by a single backcross to 129/Sv strain: Establishment of ES cell lines bearing the Omd conditional lethal mutation. Mamm. Genome 1998, 9, 998–1001. [Google Scholar]
- Brook, F.A.; Evans, E.P.; Lord, C.J.; Lyons, P.A.; Rainbow, D.B.; Howlett, S.K.; Wicker, L.S.; Todd, J.A.; Gardner, R.L. The derivation of highly germline-competent embryonic stem cells containing NOD-derived genome. Diabetes 2003, 52, 205–208. [Google Scholar]
- Gardner, R.L.; Brook, F.A. The origin and efficient derivation of embryonic stem cells in the mouse. Proc. Natl. Acad. Sci. USA 1997, 94, 5709–5712. [Google Scholar]
- Gardner, R.L.; Brook, F.A. Reflections on the biology of embryonic stem (ES) cells. Int. J. Dev. Biol. 1997, 41, 235–243. [Google Scholar]
- Batlle-Morera, L.; Smith, A.; Nichols, J. Parameters influencing derivation of embryonic stem cells from murine embryos. Genesis 2008, 46, 758–767. [Google Scholar]
- Yu, S.M.; Yan, X.R.; Chen, D.M.; Cheng, X.; Dou, Z.Y. Isolation and characterization of parthenogenetic embryonic stem (ES) cells containing genetic background of the Kunming mouse strain. Asian-Aust. J. Anim. Sci. 2011, 24, 37–44. [Google Scholar]
- Nichols, J.; Zevnik, B.; Anastassiadis, K.; Niwa, H.; Klewe-Nebenius, D.; Chambers, I.; Schöler, H.; Smith, A. Formation of pluripotent stem cells in the mammalian embryo depends on the POU transcription factor Oct4. Cell 1998, 95, 379–391. [Google Scholar]
- Silva, J.; Nichols, J.; Theunissen, T.W.; Guo, G.; van Oosten, A.L.; Barrandon, O.; Wray, J.; Yamanaka, S.; Chambers, I.; Smith, A. Nanog is the gateway to the pluripotent ground state. Cell 2009, 138, 722–737. [Google Scholar]
- Levine, A.J.; Brivanlou, A.H. GDF3 a BMP inhibitor regulates cell fate in stem cells and early embryos. Development 2006, 133, 209–216. [Google Scholar]
- Nagy, A.; Gertsensten, M.; Vintersten, K.; Behringer, R. Manipulating the Mouse Embryo: A Laboratory Manual, 3rd ed.; Cold Spring Harbor Laboratory Press: New York, NY, USA, 2003. [Google Scholar]
- Zhang, X.; Zhu, Z.; Huang, Z.; Tan, P.; Ma, R.Z. Microsatellite genetyping for four expected inbred mouse strains from KM mice. J. Genet. Genomics 2007, 34, 214–222. [Google Scholar]





| No. of attached embryos | Time distribution for embryo attaching to the dishes (d) | |||||||
|---|---|---|---|---|---|---|---|---|
| 2 | 3 | 4 | 5 | 6 | 7 | |||
| FBS | 70 | 9 | 21 | 21 | 13 | 4 | 0 | 3.74 ± 1.10 a |
| KSR | 47 | 0 | 6 | 16 | 13 | 6 | 2 | 4.58 ± 1.05 b |
| 15% FBS | 1% FBS + 14% KSR | 15% KSR | |
|---|---|---|---|
| No. of blastocysts plated | 32 | 30 | 36 |
| No. of attached embryos | 22 (68.75%) a | 20 (66.67%) a | 15 (41.67%) b |
| No. of ICM outgrowths | 10 (31.25%) a | 18 (60.00%) b | 12 (33.33%) a |
| No. of primary ES cell clones | 4 (12.50%) a | 14 (46.67%) b | 5 (13.89%) a |
| No. of the established ES cell lines | 1 (3.13%) a | 14 (46.67%) b | 5 (13.89%) a |
| 15% KSR | 14% KSR + 1% FBS | 15% FBS |
|---|---|---|
| 14.2 (15/106) a | 35.7 (40/112) b | 41.3 (43/104) b |
| 129 × KM | KM × KM | |
|---|---|---|
| No. of blastocysts plated | 98 | 391 |
| No. of primary ES cell clones | 23 (23.47%) a | 38 (9.72%) b |
| No. of the established ES cell lines | 20 (20.41%) a | 0 b |
| Microsate-llite markers | KM females | 129/Sv males | F1 embryos (KM × 129) | The tested mES cells |
|---|---|---|---|---|
| D1Mit15 | c | - | c | c |
| D2Mit30 | a | c | a/c | a/c |
| D4Mit54 | - | a | - | - |
| D11Mit4 | b | c | b/c | b/c |
| D11Mit167 | b | b | b | b |
| D12Mit56 | c | - | c | c |
| D14Mit129 | a | b | a/b | a/b |
| D14Mit113 | c | - | c | - |
| D17Mit36 | - | c | c | c |
| Microsatellite markers | Forward primer | Reverse primer |
|---|---|---|
| D1Mit15 | 5′-TCCACAGAACTGTCCCTCAA-3′ | 5′-ATACACTCACACCACCCCGT-3′ |
| D2Mit30 | 5′-TGCTGACCTGCTCAGCTG-3′ | 5′-AAATAACGTTTTCAATGAGATGG-3′ |
| D4Mit54 | 5′-CTGCCATCCTGTAGTTTCACTG-3′ | 5′-ACCCCCACATATGTCTCCCT-3′ |
| D11Mit4 | 5′-CAGTGGGTCATCAGTACAGCA-3′ | 5′-AAGCCAGCCCAGTCTTCATA-3′ |
| D11Mit167 | 5′-TCGGATGCTAAGGAAATTGC-3′ | 5′-GACACTCAGTGTTGACCTCTGG-3′ |
| D12Mit56 | 5′-GCTGTTTCACAGTCATTCATAACA-3′ | 5′-AACCTGCACAGGGTTTCCTT-3′ |
| D14Mit129 | 5′-GGAGATGGTGGTAGAGGGGT-3′ | 5′-AGTTTGTGTGGTATGTGTAGGTGG-3′ |
| D14Mit113 | 5′-TGCACAGGTTTTCCAATTTG-3′ | 5′-TGCTGTCTCTCCCCAAGC-3′ |
| D17Mit36 | 5′-ATCTCACCAGTCCTTGTTTTCTG-3′ | 5′-CCCCAGAATTTATGTGGTGG-3′ |
| Genes | Forward primer | Reverse primer | Product Size (bp) |
|---|---|---|---|
| Oct4 | 5′-TTCAGACTTCGCCTCCTCACCC-3′ | 5′-TTGTCGGCTTCCTCCACCCACTT-3′ | 600 |
| Nanog | 5′-TGGTGTCTTGCTCTTTCTGTGGG-3′ | 5′-GCACTTCATCCTTTGGTTTTG-3′ | 625 |
| Gdf-3 | 5′-CCTTATCAACGGCTTCTGGCGC-3′ | 5′-CTCTAAGTGTAAGTCCAAGT-3′ | 606 |
| Fgf-5 | 5′-CCTTGCTCTTCCTCATCTTCTGC-3′ | 5′-GAGCCATTGACTTTGCCATCCG-3′ | 319 |
| BraT | 5′-AAGGTGGCTGTTGGGTAGGGAGT-3′ | 5′-ATTGGGCGAGTCTGGGTGGATGT-3′ | 451 |
| Afp | 5′-ATCCTCCTGCTACATTTCGCTGC-3′ | 5′-TGAGCAGCCAAGGACAGAATG-3′ | 512 |
| TTR | 5′-ACTCTTCCTCCTTTGCCTCGCTG-3′ | 5′-GCAGGGGAGAAAAATGAGGAAAT-3′ | 592 |
| Nf-68 | 5′-TTCTCCCCCGTTCTTCTCTCTAG-3′ | 5′-CTTCTCGTTAGTGGCGTCTTCC-3′ | 540 |
| GAPDH | 5′-CGGTGCTGAGTATGTCGTG-3′ | 5′-AGGTGGAAGAGTGGGAGTT-3′ | 616 |
© 2014 by the authors; licensee MDPI, Basel, Switzerland This article is an open access article distributed under the terms and conditions of the Creative Commons Attribution license (http://creativecommons.org/licenses/by/3.0/).
Share and Cite
Yu, S.; Yan, X.; Liu, H.; Cai, X.; Cao, S.; Shen, L.; Zuo, Z.; Deng, J.; Ma, X.; Wang, Y.; et al. Improved Establishment of Embryonic Stem (ES) Cell Lines from the Chinese Kunming Mice by Hybridization with 129 Mice. Int. J. Mol. Sci. 2014, 15, 3389-3402. https://doi.org/10.3390/ijms15033389
Yu S, Yan X, Liu H, Cai X, Cao S, Shen L, Zuo Z, Deng J, Ma X, Wang Y, et al. Improved Establishment of Embryonic Stem (ES) Cell Lines from the Chinese Kunming Mice by Hybridization with 129 Mice. International Journal of Molecular Sciences. 2014; 15(3):3389-3402. https://doi.org/10.3390/ijms15033389
Chicago/Turabian StyleYu, Shumin, Xingrong Yan, Huanhuan Liu, Xin Cai, Suizhong Cao, Liuhong Shen, Zhicai Zuo, Junliang Deng, Xiaoping Ma, Ya Wang, and et al. 2014. "Improved Establishment of Embryonic Stem (ES) Cell Lines from the Chinese Kunming Mice by Hybridization with 129 Mice" International Journal of Molecular Sciences 15, no. 3: 3389-3402. https://doi.org/10.3390/ijms15033389
APA StyleYu, S., Yan, X., Liu, H., Cai, X., Cao, S., Shen, L., Zuo, Z., Deng, J., Ma, X., Wang, Y., & Ren, Z. (2014). Improved Establishment of Embryonic Stem (ES) Cell Lines from the Chinese Kunming Mice by Hybridization with 129 Mice. International Journal of Molecular Sciences, 15(3), 3389-3402. https://doi.org/10.3390/ijms15033389
