Molecular Basis of Cardiac Myxomas
Abstract
:1. Introduction
Clinical Features
2. Cardiac Myxomas
2.1. Histogenesis
2.2. Clinical Presentation
2.3. Macroscopy
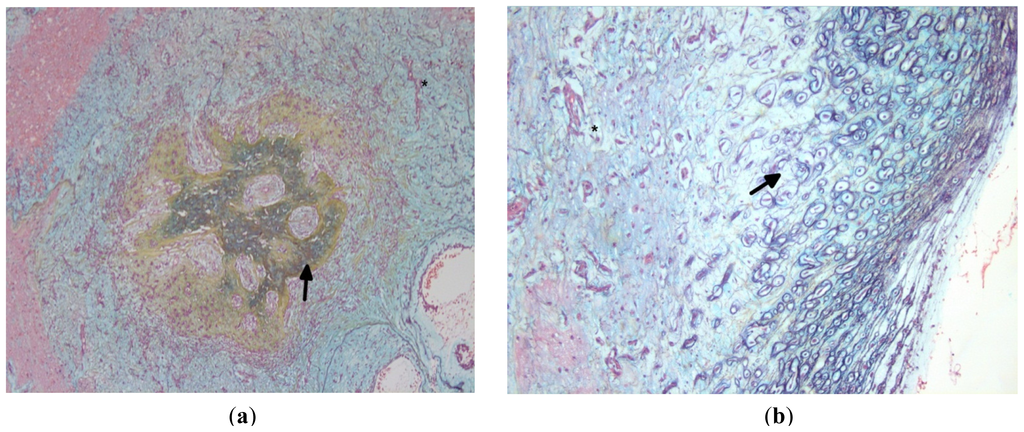
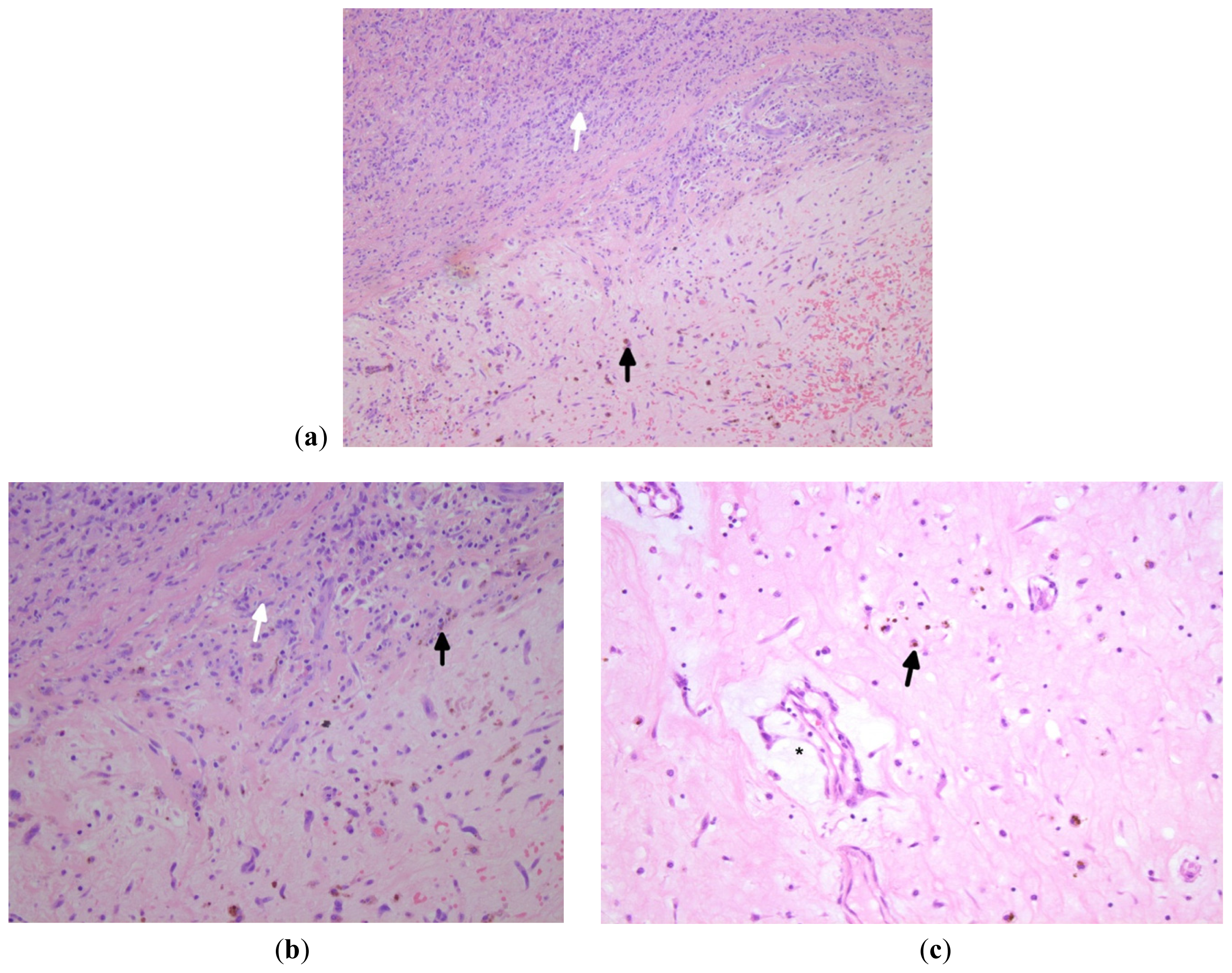
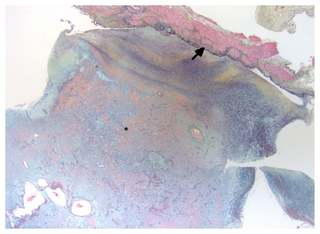
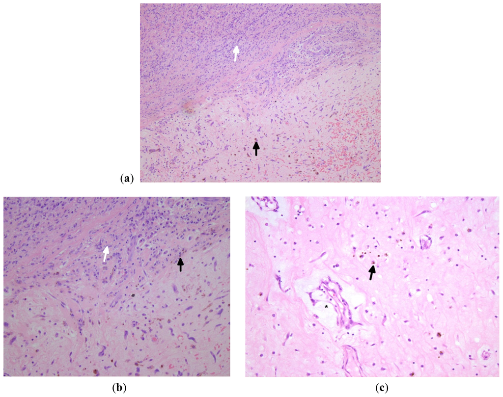
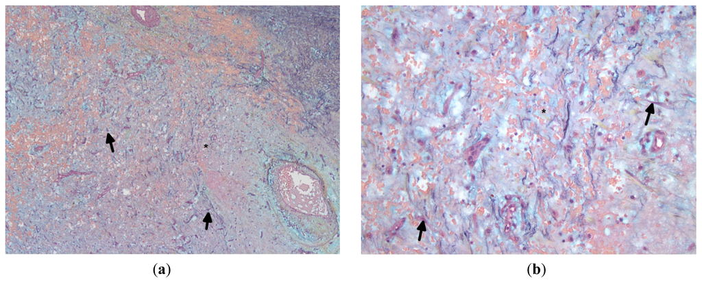
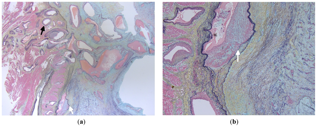
2.4. Histopathology
2.5. Immunohistochemistry
2.6. Electron Microscopy
2.7. Differential Diagnosis
2.7.1. Organizing Thrombus
2.7.2. Inflammatory Myofibroblastic Tumor
2.7.3. Low-Grade Fibromyxoid Sarcoma (LGFMS)
2.7.4. Myxoid Liposarcoma (MLS)
2.7.5. Myxofibrosarcoma
2.7.6. Others
3. Diagnosis of Primary Benign Cardiac Tumors
4. Treatment
5. Prognosis
6. Molecular Genetics of Cardiac Myxomas
6.1. Markers of Poor Prognosis
6.2. Drug Targets in CM
6.3. Cytogenetic
7. Conclusions
Conflicts of Interest
References
- Yu, K.; Liu, Y.; Wang, H.; Hu, S.; Long, C. Epidemiological and pathological characteristics of cardiac tumours: A clinical study of 242 cases. Interact. Cardiovasc. Thorac. Surg 2007, 6, 636–639. [Google Scholar]
- Centofanti, P.; di Rosa, E.; Deorsola, L.; Dato, G.M.; Patane, F.; la Torre, M.; Barbato, L.; Verzini, A.; Fortunato, G.; di Summa, M. Primary cardiac neoplasms: Early and late results of surgical treatment in 91 patients. Ann. Thorac. Surg 1999, 68, 1236–1241. [Google Scholar]
- Amano, J.; Kono, T.; Wada, Y.; Zhang, T.; Koide, N.; Fujimori, M.; Ito, K. Cardiac myxomas: Its origin and tumor characteristics. Ann. Thorac. Cardiovasc. Surg 2003, 9, 215–221. [Google Scholar]
- ElBardissi, A.W.; Dearani, J.A.; Daly, R.C.; Mullany, C.J.; Orszulak, T.A.; Puga, F.J.; Schaff, H.V. Survival after resection of primary cardiac tumors: A 48-year experience. Circulation 2008, 118, S7–S15. [Google Scholar]
- Bruce, C.J. Cardiac tumours: Diagnosis and management. Heart 2011, 97, 151–160. [Google Scholar]
- Butany, J.; Nair, V.; Naseemuddin, A.; Nair, G.M.; Catton, C.; Yau, T. Cardiac tumors: Diagnosis and management. Lancet Oncol 2005, 6, 219–228. [Google Scholar]
- Pinede, L.; Duhaut, P.; Loire, R. Clinical presentation of left atrial cardiac myxoma. A series of 112 consecutive cases. Medicine 2001, 80, 159–172. [Google Scholar]
- Reynen, K. Cardiac myxomas. N. Engl. J. Med 1995, 333, 1610–1617. [Google Scholar]
- Keeling, I.M.; Oberwalder, P.; Anelli-Monti, M.; Schuchlenz, H.; Demel, U.; Tilz, G.P.; Rehak, P.; Rigler, B. Cardiac myxomas: 24 years of experience in 49 patients. Eur. J. Cardiothorac. Surg 2002, 22, 971–977. [Google Scholar]
- Yoon, D.H.; Roberts, W. Sex distribution in cardiac myxomas. Am. J. Cardiol 2002, 90, 563–565. [Google Scholar]
- Jain, D.; Maleszewski, J.J.; Halushka, M.K. Benign cardiac tumors and tumor like conditions. Ann. Diagn. Pathol 2010, 14, 215–230. [Google Scholar]
- Uzun, O.; Wilson, D.G.; Vujanic, G.M.; Parsons, J.M.; de Giovanni, J.V. Cardiac myxomas in children. Orphanet. J. Rare Dis 2007, 2, 11. [Google Scholar]
- Butany, J.; El Demellawy, D.; Collins, M.J.; Israel, N.S.; Graba, J.; David, T.E. A large left atrial myxoma. J. Card Surg 2004, 19, 547–551. [Google Scholar]
- Barh, D.; Kumar, A.; Chatterjee, S.; Liloglou, T. Molecular features, markers, drug targets and prospective targeted therapeutics in cardiac myxomas. Curr. Cancer Drug Targets 2009, 9, 705–716. [Google Scholar]
- Koyalakonda, S.P.; Mediratta, N.K.; Ball, J.; Royle, M. A rare case of aortic valve myxoma: An unusual cause of embolic stroke. Cardiology 2011, 118, 101–103. [Google Scholar]
- Sugeng, L.; Lang, R.M. Atypical cardiac myxomas. Echocardiography 2004, 21, 43–47. [Google Scholar]
- Juneja, M.S.; Arunkumar, N.; Srinivas, C.N.; Rajan, S.; Ajit, M. Right atrial myxoma arising from the inferior vena cava. Indian Heart J 2006, 58, 356–358. [Google Scholar]
- Ozcan, A.V.; Evrengul, H.; Bir, F.; Tanriverdi, H.; Goksin, I.; Kaftan, A. Multiple myxomas originating from anterior and posterior mitral leaflets in the left ventricle leading to LV outflow tract obstruction. Circ. J 2008, 72, 1709–1711. [Google Scholar]
- Bertherat, J. Carney complex (CNC). Orphanet. J. Rare Dis 2006, 1, 21. [Google Scholar]
- Wilkes, D.; Charitakis, K.; Basson, C.T. Inherited disposition to cardiac myxoma development. Nat. Rev. Cancer 2006, 6, 157–165. [Google Scholar]
- Carney, J.A.; Gordon, H.; Carpenter, P.C.; Shenoy, B.V.; Go, V.L. The complex of myxomas, spotty pigmentation, and endocrine overactivity. Medicine 1985, 64, 270–283. [Google Scholar]
- Mateus, C.; Palangié, A.; Franck, N.; Groussin, L.; Bertagna, X.; Avril, M.F.; Bertherat, J.; Dupin, N. Heterogeneity of skin manifestations in patients with Carney complex. J. Am. Acad. Dermatol 2008, 59, 801–810. [Google Scholar]
- Stratakis, C.A.; Kirschner, L.S.; Carney, J.A. Clinical and molecular features of the Carney complex: Diagnostic criteria and recommendations for patient evaluation. J. Clin. Endocrinol. Metab 2001, 86, 4041–4046. [Google Scholar]
- Bossis, I.; Voutetakis, A.; Bei, T.; Sandrini, F.; Griffin, K.J.; Stratakis, C.A. Protein kinase A and its role in human neoplasia: The Carney complex paradigm. Endocr. Relat. Cancer 2004, 11, 265–280. [Google Scholar]
- McCarthy, P.M.; Piehler, J.M.; Schaff, H.V.; Pluth, J.R.; Orszulak, T.A.; Vidaillet, H.J., Jr.; Carney, J.A. The significance of multiple, recurrent and “complex” cardiac myxomas. J. Thorac. Cardiovasc. Surg 1986, 91, 389–396. [Google Scholar]
- Sakamoto, H.; Sakamaki, T.; Sumino, H.; Sawada, Y.; Sato, H.; Sato, M.; Fujita, K.; Kanda, T.; Tamura, J.; Kurabayashi, M. Production of endothelin-1and big endothelin-1 by human cardiac myxoma cells- implications of the origin of myxomas. Circ. J 2004, 68, 1230–1232. [Google Scholar]
- Skamrov, A.V.; Nechaenko, M.A.; Goryunova, L.E.; Feoktistova, E.S.; Khaspekov, G.L.; Kovalevsky, D.A.; Vinnitsky, L.I.; Sheremeteva, G.F.; Beabealashvilli, R.S. Gene expression analysis to identify mRNA markers of cardiac myxoma. J. Mol. Cell Cardiol 2004, 37, 717–733. [Google Scholar]
- Kodama, H.; Hirotani, T.; Suzuki, Y.; Ogawa, S.; Yamazaki, K. Cardiomyogenic differentiation in cardiac myxoma expressing lineage-specific transcription factors. Am. J. Pathol 2002, 161, 381–389. [Google Scholar]
- Yamaguchi, T.P.; Dumont, D.J.; Conlon, R.A.; Breitman, M.L.; Rossant, J. flk-1, an flt-related receptor tyrosine kinase is an early marker for endothelial cell precursors. Development 1993, 118, 489–498. [Google Scholar]
- Orlandi, A.; Ciucci, A.; Ferlosio, A.; Genta, R.; Spagnoli, L.G.; Gabbiani, G. Cardiac myxoma cells exhibit embryonic endocardial stem cell features. J. Pathol 2006, 209, 231–239. [Google Scholar]
- Suurmeijer, A.J.; Clément, S.; Francesconi, A.; Bocchi, L.; Angelini, A.; van Veldhuisen, D.J.; Spagnoli, L.G.; Gabbiani, G.; Orlandi, A. Alpha-actin isoform distribution in normal and failing human heart: A morphological, morphometric, and biochemical study. J. Pathol 2003, 199, 387–397. [Google Scholar]
- Vandekerckhove, J.; Bugaisky, G.; Buckingham, M. Simultaneous expression of skeletal muscle and heart actin proteins in various striated muscle tissues and cells. A quantitative determination of the two actin isoforms. J. Biol. Chem 1986, 261, 1838–1843. [Google Scholar]
- Pucci, A.; Gagliardotto, P.; Zanini, C.; Pansini, S.; di Summa, M.; Mollo, F. Histopathological and clinical characterization of cardiac myxoma: Review of 53 cases from a single institute. Am. Heart J 2000, 140, 134–138. [Google Scholar]
- Terracciano, L.M.; Mhawech, P.; Suess, K.; D’Armiento, M.; Lehmann, F.S.; Jundt, G.; Moch, H.; Sauter, G.; Mihatsch, M.J. Calretinin as a marker of cardiac myxoma. Diagnostic and histogenetic considerations. Am. J. Clin. Pathol 2000, 114, 754–759. [Google Scholar]
- Reardon, M.J.; Smythe, W.R. Cardiac neoplasms. In Cardiac Surgery in the Adult; Cohn, L.H., Edmunds, L.H., Jr., Eds.; McGraw-Hill: New York, NY, USA, 2003; pp. 1373–1400. [Google Scholar]
- Yokomuro, H.; Yoshihara, K.; Watanabe, Y.; Shiono, N.; Koyama, N.; Takanashi, Y. The variations in the immunologic features and interleukin-6 levels for the surgical treatment of cardiac myxomas. Surg. Today 2007, 37, 750–753. [Google Scholar]
- Larsson, S.; Lepore, V.; Kennergren, C. Atrial myxomas: Results of 25 years’ experience and review of literature. Surgery 1989, 105, 695–698. [Google Scholar]
- Gosev, I.; Paic, F.; Duric, Z.; Gosev, M.; Ivcevic, S.; Jakus, F.B.; Biocina, B. Cardiac myxoma the great imitators: Comprehensive histopathological and molecular approach. Int. J. Cardiol 2013, 164, 7–20. [Google Scholar] [Green Version]
- Kaminsky, M.E.; Ehlers, K.H.; Engle, M.A.; Klein, A.A.; Levin, A.R.; Subramanian, V.A. Atria myxoma mimicking a collagen disorder. Chest 1979, 75, 93–95. [Google Scholar]
- Byrd, W.E.; Matthews, O.P.; Hunt, R.E. Left atrial myxoma presenting as a systemic vasculitis. Arthritis Rheum 1980, 23, 240–243. [Google Scholar]
- Hovels-Gurich, H.H.; Seghaye, M.C.; Amo-Takyi, B.K.; Hugel, W.; Duchateau, J.; von Bernuth, G. Cardiac myxoma in a 6 year old child—Constitutional symptoms mimicking rheumatic disease and the role of interleukin-6. Acta Paediatr 1999, 88, 786–788. [Google Scholar]
- Sarjeant, J.M.; Butany, J.; Cusimano, R.J. Cancer of the heart: Epidemiology and management of primary tumors and metastases. Am. J. Cardiovasc. Drugs 2003, 3, 407–421. [Google Scholar]
- Citro, R.; Masiello, P.; Bossone, E.; Provenza, G.; Mastrogiovanni, G.; Baldi, C.; Gregorio, G.; di Benedetto, G. Giant left atrial myxoma: An unusual cause of acute pulmonary edema. J. Am. Soc. Echocardiogr 2008, 21, 978.e1–3. [Google Scholar]
- Bjessmo, S.; Ivert, T. Cardiac myxoma: 40 years’ experience in 63 patients. Ann. Thorac. Surg 1997, 63, 697–700. [Google Scholar]
- Turkmen, N.; Eren, B.; Fedakar, R.; Comunoglu, N. An unusual case of sudden death: Cardiac myxoma. Adv. Ther 2007, 24, 529–532. [Google Scholar]
- Nardi, C.; de Carlo, M.; Milano, A.; Bortolotti, U. The wrecking ball effect of a right atrial myxoma. Eur. J. Cardiothorac. Surg 2000, 17, 338. [Google Scholar]
- Bilku, R.S.; Loubani, M.; Been, M.; Patel, R.L. Massive right atrial myxoma causing exertional dyspnea. Eur. J. Echocardiogr 2008, 9, 130–132. [Google Scholar]
- Sughimoto, K.; Shiikawa, A.; Ohkado, A.; Nanaumi, M. Multiple cardiac myxomas with pulmonary artery obstruction and acute right heart failure. Jpn. J. Thorac. Cardiovasc. Surg 2004, 52, 530–533. [Google Scholar]
- Yeh, H.H.; Yang, C.C.; Tung, W.F.; Wang, H.F.; Tung, J.N. Young stroke, cardiac myxoma, and multiple emboli: A case report and literature review. Acta Neurol. Taiwan 2006, 15, 201–205. [Google Scholar]
- Lee, V.H.; Connolly, H.M.; Brown, R.D., Jr. Central nervous system manifestations of cardiac myxoma. Arch. Neurol 2007, 64, 1115–1120. [Google Scholar]
- Kang, N.; Hughes, C.F. Massive pulmonary embolus complicating left atrial myxoma. J. Thorac. Cardiovasc. Surg 2001, 121, 814–815. [Google Scholar]
- Dogan, R.; Dogan, O.F.; Duman, U.; Duvan, I.; Terzioglu, A.; Firat, P. Myxoma tissue fragments in femoral embolectomy material: Cardiac myxoma versus myxoid thrombus—A diagnostic dilemma. Anadolu. Kardiyol. Derg 2007, 7, 105–106. [Google Scholar]
- Butany, J. Left atrial myxoma presenting as acute inferior wall infarction—A case report. J. Card Surg 2006, 21, 479–480. [Google Scholar]
- Braun, S.; Schrotter, H.; Reynen, K.; Schwencke, C.; Strasser, R.H. Myocardial infarction as complication of left atrial myxoma. Int. J. Cardiol 2005, 101, 115–121. [Google Scholar]
- Rajab, T.K.; Shekar, P.; Falk, R.H. Myxoma, dyspnea, tinnitus, scoliosis, and alopecia. Lancet 2011, 377, 1378. [Google Scholar]
- Yoshioka, D.; Takahashi, T.; Ishizaka, T.; Higuchi, T. Successful surgical resection of infected left atrial myxoma in a case complicated with disseminated intravascular coagulation and multiple cerebral infarctions: Case report. J. Cardiothorac. Surg 2011, 6, 68. [Google Scholar]
- Swartz, M.F.; Lutz, C.J.; Chandan, V.S.; Landas, S.; Fink, G.W. Atrial myxomas: Pathologic types, tumor location, and presenting symptoms. J. Card Surg 2006, 21, 435–440. [Google Scholar]
- Dorris, M.R.; Susan, J.D. Cardiac tumors. In Cardiac Pathology: A Guide to Current Practice; Suvarna, S.K., Ed.; Springer: Dordrecht, Heidelberg, Germany; New York, NY, USA; London, UK, 2013; pp. 201–221. [Google Scholar]
- Vaideeswar, P.; Butany, J.W. Benign cardiac tumors of the pluripotent mesenchyme. Semin. Diagn. Pathol 2008, 25, 20–28. [Google Scholar]
- Dubel, H.P.; Knebel, F.; Gliech, V.; Konertz, W.; Rutsch, W.; Baumann, G.; Borges, A.C. Atypical vessels as an early sign of intracardiac myxoma? Cardiovasc. Ultrasound 2004, 2, 13. [Google Scholar]
- Jimenez Heffernan, J.A.; Salas, C.; Tejerina, E.; Viguer, J.M. Gamna-Gandy bodies from cardiac myxoma on intraoperative cytology. Cytopathology 2010, 21, 203–205. [Google Scholar]
- Deshpande, A.; Venugopal, P.; Kumar, A.S.; Chopra, P. Phenotypic characterization of cellular components of cardiac myxoma: A light microscopy and immunohistochemistry study. Hum. Pathol 1996, 27, 1056–1059. [Google Scholar]
- Miller, D.V.; Tazelaar, H.D.; Handy, J.R.; Young, D.A.; Hernandez, J.C. Thymoma arising within cardiac myxoma. Am. J. Surg. Pathol 2005, 29, 1208–1213. [Google Scholar]
- Pucci, A.; Bartoloni, G.; Tessitore, E.; Carney, J.A.; Papotti, M. Cytokeratin profile and neuroendocrine cells in the glandular component of cardiac myxoma. Virchows Arch 2003, 443, 618–624. [Google Scholar]
- Valente, M. Structural profile of cardiac myxoma. Appl. Pathol 1983, 1, 251–263. [Google Scholar]
- Ferrans, V.J.; Roberts, W.C. Structural features of cardiac myxomas. Histology, histochemistry, and electron microscopy. Hum. Pathol 1973, 4, 111–146. [Google Scholar]
- Orlandi, A.; Ferlosio, A.; Roselli, M.; Chiariello, L.; Spagnoli, L.G. Cardiac sarcomas: An update. J. Thorac. Oncol 2010, 5, 1483–1489. [Google Scholar]
- Ferlosio, A.; Doldo, E.; Polisca, P.; Orlandi, A. Low-grade fibromyxoid sarcoma: An unusual cardiac location. Cardiovasc. Pathol 2013, 22, e15–e17. [Google Scholar]
- Mazzola, A.; Spano, J.P.; Valente, M.; Gregorini, R.; Villani, C.; di Eusanio, M.; Ciocca, M.; Minuti, U.; Giancola, R.; Basso, C.; et al. Leiomyosarcoma of the left atrium mimicking a left atrial myxoma. J. Thorac. Cardiovasc. Surg 2006, 131, 224–226. [Google Scholar]
- Keohane, M.E.; Lazzam, C.; Halperin, J.L.; Strauchen, J.A.; Ergin, M.A. Angiosarcoma of the left atrium mimicking myxoma: Case report. Hum. Pathol 1989, 20, 599–601. [Google Scholar]
- Curschellas, E.; Toia, D.; Borner, M.; Mihatsch, M.J.; Gudat, F. Cardiac myxomas: Immunohistochemical study of benign and malignant variants. Virchows Arch. A Pathol. Anat. Histopathol 1991, 418, 485–491. [Google Scholar]
- Burke, A.; Jeudy, J., Jr.; Virmani, R. Cardiac tumours: An update. Heart 2008, 94, 117–123. [Google Scholar]
- Basso, C.; Valente, M.; Poletti, A.; Casarotto, D.; Thiene, G. Surgical pathology of primary cardiac and pericardial tumors. Eur. J. Cardiothorac. Surg 1997, 12, 730–737. [Google Scholar]
- Dulmet, E.; Burke, A.P.; Geva, T.; Kamiya, H.; Tazelaar, H.; de Montpreville, V.T.; Basson, C.T.; Watanabe, G.; Araoz, P.A. Benign tumors of myofibroblastic differentiation. In World Health Organization Classification of Tumours. Pathology and Genetics of Tumours of the Lung, Pleura, Thymus and Heart; Travis, W.D., Brambilla, E., Muller-Hermelink, H.K., Harris, C.C., Eds.; IARC Press: Lyon, France, 2004; pp. 268–270. [Google Scholar]
- Vernon, S.E.; Bejarano, P.A. Low-grade fibromyxoid sarcoma: A brief review. Arch. Pathol. Lab. Med 2006, 130, 1358–1360. [Google Scholar]
- Fletcher, C.D. The evolving classification of soft tissue tumours: An update based on the new WHO classification. Histopathology 2006, 48, 3–12. [Google Scholar]
- Burke, A.P.; Tazelaar, H.; Butany, J.W.; El-Demellawy, D.; Loire, R.; Geva, T.; Bonilla, F.; Galvin, J.R.; Veinot, J.P.; Virmani, R.; et al. Cardiac sarcomas. In World Health Organization Classification of Tumours. Pathology and Genetics of Tumours of the Lung, Pleura, Thymus and Heart; Travis, W.D., Brambilla, E., Muller-Hermelink, H.K., Harris, C.C., Eds.; IARC Press: Lyon, France, 2004; pp. 273–281. [Google Scholar]
- Mügge, A.; Daniel, W.G.; Haverich, A.; Lichtlen, P.R. Diagnosis of noninfective cardiac mass lesions by two-dimensional echocardiography. Comparison of the transthoracic and transesophageal approaches. Circulation 1991, 83, 70–78. [Google Scholar]
- Paraskevaidis, I.A.; Michalakeas, C.A.; Papadopoulos, C.H.; Anastasiou-Nana, M. Cardiac tumors. ISRN Oncol 2011, 2011, 208929. [Google Scholar]
- Gulati, G.; Sharma, S.; Kothari, S.S.; Juneja, R.; Saxena, A.; Talwar, K.K. Comparison of echo and MRI in the imaging evaluation of intracardiac masses. Cardiovasc. Intervent. Radiol 2004, 27, 459–469. [Google Scholar]
- Reeder, G.S.; Khandheria, B.K.; Seward, J.B.; Tajik, A.J. Transesophageal echocardiography and cardiac masses. Mayo Clin. Proc 1991, 66, 1101–1109. [Google Scholar]
- Kühl, H.P.; Hanrath, P. The impact of transesophageal echocardiography on daily clinical practice. Eur. J. Echocardiogr 2004, 5, 455–468. [Google Scholar]
- Mulvagh, S.L.; Rakowski, H.; Vannan, M.A.; Abdelmoneim, S.S.; Becher, H.; Bierig, S.M.; Burns, P.N.; Castello, R.; Coon, P.D.; Hagen, M.E.; et al. American society of echocardiography. american society of echocardiography consensus statement on the clinical applications of ultrasonic contrast agents in echocardiography. J. Am. Soc. Echocardiogr 2008, 21, 1179–1201. [Google Scholar]
- Kaya, H.; Gokdeniz, T.; Tuncer, A.; Ozkan, M. Left atrial myxoma demonstrated by real-time-three dimensional transesophageal echocardiography. Turk Kardiyol. Dern. Ars 2010, 38, 222. [Google Scholar]
- Narin, B.; Arman, A.; Arslan, D.; Simşek, M.; Narin, A. Assessment of cardiac masses: Magnetic resonance imaging versus transthoracic echocardiography. Anadolu Kardiyol. Derg 2010, 10, 69–74. [Google Scholar]
- Kim, E.Y.; Choe, Y.H.; Sung, K.; Park, S.W.; Kim, J.H.; Ko, Y.H. Multidetector CT and MR imaging of cardiac tumors. Korean J. Radiol 2009, 10, 164–175. [Google Scholar]
- Jha, N.K.; Khouri, M.; Murphy, D.M.; Salustri, A.; Khan, J.A.; Saleh, M.A.; von Canal, F.; Augustin, N. Papillary fibroelastoma of the aortic valve—A case report and literature review. J. Cardiothorac. Surg 2010, 5, 84. [Google Scholar]
- Actis Dato, G.M.; de Benedictis, M.; Actis, D.A., Jr.; Ricci, A.; Sommariva, L.; de Paulis, R. Long term follow up of cardiac myxomas 7–31 years. J. Cardiovasc. Surg 1993, 34, 141–143. [Google Scholar]
- Hirota, M.; Ishikawa, N.; Oi, M.; Tedoriya, T. Large primary cardiac sarcoma on the left ventricular free wall: Is total excision contraindicated? Interact. Cardiovasc. Thorac. Surg 2010, 11, 670–672. [Google Scholar]
- Reber, D.; Birnbaum, D.E. Recurrent cardiac myxoma: Why it occurs. A case report with literature review. J. Cardiovasc. Surg 2001, 42, 345–348. [Google Scholar]
- Krikler, D.M.; Rode, J.; Davies, M.J.; Woolf, N.; Moss, E. Atrial myoma: A tumor in search of its origins. Br. Heart J 1992, 67, 89–91. [Google Scholar]
- Zhang, T.; Koide, N.; Wada, Y.; Tsukioka, K.; Takayama, K.; Kono, T.; Kitahara, H.; Amano, J. Significance of monocyte chemoattractant protein-1 and thymidine phosphorylase in angiogenesis of human cardiac myxoma. Circ. J 2003, 67, 54–60. [Google Scholar]
- Farrell, D.J.; Bulmer, E.; Angus, B.; Ashcroft, T. Immunohistochemical expression of endothelial markers in left atrial myxomas: A study of six cases. Histopathology 1996, 28, 147–152. [Google Scholar]
- Donato, G.; Conforti, F.; Zuccala, V.; Russo, E.; Maltese, L.; Perrotta, I.; Amorosi, A. Expressionof tenascin-c and CD44 receptors in cardiac myxomas. Cardiovasc. Pathol 2009, 18, 173–177. [Google Scholar]
- Lindner, V.; Edah-Tally, S.; Chakfe, N.; Onody, T.; Eisenmann, B.; Walter, P. Cardiac myxoma with glandular component: Case report with review of literature. Pathol. Res. Pract 1999, 195, 267–272. [Google Scholar]
- Fujisawa, H.; Koide, N.; Kono, T.; Takayama, K.; Tsukioka, K.; Wada, Y.; Zhang, T.; Kitahara, H.; Nakano, H.; Suzuki, J.I.; et al. Expression of basic fibroblast growth factor and its receptor-1 in cardiac myxoma. J. Cardiovasc. Surg 2002, 43, 589–594. [Google Scholar]
- Gaumann, A.; Strubel, G.; Bode-Lesniewska, B.; Schmidtmann, I.; Kriegsmann, J.; Kirkpatrick, C.J. The role of tumor vascularization in benign and malignant cardiovascular neoplasms: A comparison of cardiac myxoma and sarcomas of the pulmonary artery. Oncol. Rep 2008, 20, 309–318. [Google Scholar]
- Sakamoto, H.; Sakamaki, T.; Kanda, T.; Tsuchiya, Y.; Sato, M.; Sato, H.; Oyama, Y.; Sawada, Y.; Tamura, J.; Nagai, R.; et al. Vascular endothelial growth factor is an autocrine growth factor for cardiac myxoma cells. Circ. J 2004, 68, 488–493. [Google Scholar]
- Roskell, D.E.; Biddolph, S.C. Proliferating cell nuclear antigen expression grossly over-estimates cellular proliferations in cardiac myxomas. Eur. J. Med. Res 1999, 4, 105–106. [Google Scholar]
- Orlandi, A.; Ciucci, A.; Ferlosio, A.; Pellegrino, A.; Chiariello, L.; Spagnoli, L.G. Increased expression and activity of matrix metalloproteinases characterize embolic cardiac myxomas. Am. J. Pathol 2005, 166, 1619–1628. [Google Scholar]
- Chu, P.H.; Jung, S.M.; Yeh, T.S.; Lin, H.C.; Chu, J.J. MUC1, MUC2 and MUC5AC expressions in cardiac myxoma. Virchows Arch 2005, 446, 52–55. [Google Scholar]
- Veugelers, M.; Bressan, M.; McDermott, D.A.; Weremowicz, S.; Morton, C.C.; Mabry, C.C.; Lefaivre, J.F.; Zunamon, A.; Destree, A.; Chaudron, J.M.; et al. Mutation of perinatal myosin heavy chain associated with a carney complex variant. N. Engl. J. Med 2004, 351, 460–469. [Google Scholar]
- Kono, T.; Koide, N.; Hama, Y.; Kitahara, H.; Nakano, H.; Suzuki, J.; Isobe, M.; Amano, J. Expression of vascular endothelial growth factor and angiogenesis in cardiac myxoma: A study of fifteen patients. J. Thorac. Cardiovasc. Surg 2000, 119, 101–107. [Google Scholar]
- Rickelt, S.; Rizzo, S.; Doerflinger, Y.; Zentgraf, H.; Basso, C.; Gerosa, G.; Thiene, G.; Moll, R.; Franke, W.W. A novel kind of tumor type-characteristic junction: Plakophilin-2 asa major protein of adherens junctions in cardiac myxomata. Mod. Pathol 2010, 23, 1429–1437. [Google Scholar]
- Suvarna, S.K.; Royds, J.A. The nature of the cardiac myxoma. Int. J. Cardiol 1996, 57, 211–216. [Google Scholar]
- Takagi, M. Ultrastructural and immunohistochemical characteristics of cardiac myxoma. Acta Pathol. Jpn 1984, 34, 1099–1114. [Google Scholar]
- Bosserhoff, A.K.; Buettner, R. Expression, function and clinical relevance of MIA (melanoma inhibitory activity). Histol. Histopathol 2002, 17, 289–300. [Google Scholar]
- Matyakhina, L.; Pack, S.; Kirschner, L.S.; Pak, E.; Mannan, P.; Jaikumar, J.; Taymans, S.E.; Sandrini, F.; Carney, J.A.; Stratakis, C.A. Chromosome 2 (2p16) abnormalities in carney complex tumors. J. Med. Genet 2003, 40, 268–277. [Google Scholar]
- Wilkes, D.; McDermott, D.A.; Basson, C.T. Clinical phenotypes and molecular genetic mechanisms of Carney complex. Lancet Oncol 2005, 6, 501–508. [Google Scholar]
- Stratakis, C.A. Mutations of the gene encoding the protein kinase A type I-alpha regulatory subunit (PRKAR1A) in patients with the “complex of spotty skin pigmentation, myxomas, endocrine overactivity, and schwannomas” (Carney complex). Ann. N. Y. Acad. Sci 2002, 968, 3–21. [Google Scholar]
- Boikos, S.A.; Stratakis, C.A. Carney complex: Pathology and molecular genetics. Neuroendocrinology 2006, 83, 189–199. [Google Scholar]
- Bertherat, J.; Horvath, A.; Groussin, L.; Grabar, S.; Boikos, S.; Cazabat, L.; Libe, R.; Rene-Corail, F.; Stergiopoulos, S.; Bourdeau, I.; et al. Mutations in the regulatory subunit type1 A of cyclic adenosine 5′-monophosphate-dependent protein kinase (PRKAR1A): Phenotype analysis in 353 patients and 80 different genotypes. J. Clin. Endocrinol. Metab 2009, 94, 2085–2091. [Google Scholar]
- Fogt, F.; Zimmerman, R.L.; Hartmann, C.J.; Brown, C.A.; Narula, N. Genetic alterations of carney complex are not present in sporadic cardiac myxomas. Int. J. Mol. Med 2002, 9, 59–60. [Google Scholar]









| Tumor | CK | Vim | SMA | Desmin | Myo | S-100 | CD31 | CD34 | FVIII |
|---|---|---|---|---|---|---|---|---|---|
| Inflammatory myofibroblastic tumor | F | + | + | F | − | − | − | − | − |
| Low grade fibromyxoid sarcoma | − | + | − | − | − | − | − | − | − |
| Myxoid Liposarcoma | − | − | − | − | − | + | − | − | − |
| Myxofibrosarcoma | − | + | F | − | − | − | − | − | − |
| Leiomyosarcoma | F | − | + | + | − | − | − | − | − |
| Angiosarcoma | F | − | − | − | − | − | + | + | + |
| Investigations | General considerations | Detects |
|---|---|---|
| Chest X-ray | Radiation exposure | Enlarged cardiac silhouette; pericardial effusion; calcification; left atrial enlargement and pulmonary hypertension in CM [8,79] |
| Transthoracic echocardiography (TTE) | Ideal initial imaging modality, simple, non-invasive, readily available, cost effective | Tumor size, shape, extent, location, attachment, mobility, relationship to adjacent cardiac structures; adherence to the cardiac wall; calcification; hemodynamic consequences [80] |
| Transesophageal echocardiography (TEE) | Additional resolution than TTE | Better visualization of posterior cardiac segment tumors and small tumors <5 mm; valvular abnormalities (stenosis and regurgitation), adequacy of valvular repair, results of valvular replacement, absence of shunting or leakage around intracardiac patch repair, guides weaning from cardiopulmonary bypass; visualization of left and right atrium and their appendages [6,81,82]. |
| Contrast echocardiography | Contrast nephrotoxicity | Detects tissue perfusion; differentiates tumor from thrombus [83] |
| Three dimensional echocardiography (3D Echo) | Better temporal and spacial resolution [84] | |
| Cardiac MRI | Expensive, limited availability, no radiation exposure, contrast safer | Staging and treatment planning; best tissue characterization; detects relationship of tumor to adjacent structures; infiltration into the myocardium, pericardium, surrounding structures; tumor vascularity, presence of fat, degree of tissue edema, iron content; incompatible cardiac device; valvular and ventricular function [85] |
| CT scan | Radiation exposure, contrast nephrotoxicity | Helpful when MRI is contraindicated; staging and treatment planning; better spacial resolution; detects small tumors; tumor vascularity, calcification, presence of fat, thoracic extension; coronary artery assessment [86] |
| Transvenous cardiac biopsy | Suspected malignancy | |
| Color flow Doppler | Vascularity | |
| CT angiogram | Detects coronary artery disease; involvement of coronary artery by the tumor or by the planned resection |
| Functions | Markers |
|---|---|
| Cell development | EDN1, FGF2, MIB1, NKX2.5, NOTCH1, SPP1,TIMP2 |
| Heart development | ACTC1, EDN1, ENG, GATA4, HAND1, MIB1, MYH10, NFATC1, NKX2.5, NOTCH1, PKP2, SOX9 |
| Epithelial development | CD44, ENG, KDR, MIB1, VEGFA, VEGFR2 |
| Ectodermal and epidermal development | KRT9, NOTCH1, PDGFA, SOX9 |
| Muscle cell differentiation and development | ACTA2, ACTC1, ENG, FGF1, GATA4, HAND1, KRT19, MYH10, NKX2.5, NOTCH1, PDGFRβ, RB1, TNC |
| Skeletal muscle development | EDN1, FGFR1, MMP2, MMP9, MMP14, PDGFRA, PDGFRβ, PFGF-BB, SPP1, SOX9 |
| Ossification | MMP2, MMP14, SPP1 |
| Bone development | MMP2, MMP14, SOX9, SPP1 |
| Angiogenesis | CD44, EDN1, ENG, FGF2, FGFR1, FLT1, HAND1, IL6, IL8, KDR, MCP1, MIB1, MMP2, MMP14, NKX2.5, NOTCH1, PDGFA, TYMP, VEGFA, VEGFR1, VEGFR2 |
| Extracellular matrix remodeling | MMP1, MMP2, MMP3, MMP9, MMP14 |
| Neural differentiation | CD44, EDN3, FGFR1, IL6, MIB1, MYH10, NKX2.5, NOTCH1, NSE, SPP1, TIMP2, UCHL1,VEGFA |
| Endothelial to mesenchymal transformation | NFATC1, NOTCH1, SOX9 |
| Mesenchymal cell differentiation | EDN1, EDN3, NFATC1, NOTCH1, SOX9 |
| G protein signaling markers | C3, CCR2, CXCL1,EDN-1, IL8, MCP-1, VIP |
| Cell proliferation | CXCL1, FGF2, FGFR1, IL-6, IL-8, MIA, MIB1, MMP14, MYH10, NOTCH1,PCNA, PDGF-AA, UCHL1,VEGFA |
| Cell adhesion | CD34, CD44, CEACAM, ENG, FVIII/vWF, FN1, ITGB4, MCP-1, MIA, MUC5AC, PDGF-AA, PDGFRβ, PFGF-BB, PECAM-1, SOX9, SPP1, TNC, VEGFA |
| Cell migration and metastasis | CD34,CD44, EDN3, ENG,FGF2, FN1, IL6, IL8, MCP-1, MMP2, MMP9, MMP14, MYH10, PFGF-BB, PDGFRβ, VEGFA, VEGFR1, VEGFR2, VIM |
| Growth receptor signalling pathway | FOS, MMP9, MYC |
| VEGFR signaling pathway | PFGF-BB, PDGFRβ |
| TGFβ receptor signaling pathway | ENG, FMOD, MCP-1, PDGF-AA, SMAD6 |
| MAPK signaling pathway | FGF2, FGFR1, PDGF-AA, PFGF-BB, PDGFRβ, PLA2G2A |
| Cytokine-cytokine interaction | CXCL-1, CCR2, IL6, IL8, MCP-1, PDGF-AA, PDGFRβ, PFGF-BB, VEGFA,VEGFR1, VEGFR2, VEGFR3 |
| Intracellular signaling cascade | CCR2, CEACAM, CXCL-1, EDN-1,EDN-3, FGF2, IL6, IL8, MCP-1, NFATC1,PCNA, PDGF-AA, RB1,VEGFR1 |
| Enzyme linked receptor signaling pathway | ENG, FGF2, FGFR1, FMOD, MCP-1, PDGF-AA, PDGFRβ, PFGF-BB, SMAD6, VEGFA, VEGFR1, VEGFR2, VEGFR3 |
| Transmembrane receptor serine/threonine kinase signaling pathway | ENG, FMOD, MCP-1, PDGF-AA, SMAD6 |
© 2014 by the authors; licensee MDPI, Basel, Switzerland This article is an open access article distributed under the terms and conditions of the Creative Commons Attribution license (http://creativecommons.org/licenses/by/3.0/).
Share and Cite
Singhal, P.; Luk, A.; Rao, V.; Butany, J. Molecular Basis of Cardiac Myxomas. Int. J. Mol. Sci. 2014, 15, 1315-1337. https://doi.org/10.3390/ijms15011315
Singhal P, Luk A, Rao V, Butany J. Molecular Basis of Cardiac Myxomas. International Journal of Molecular Sciences. 2014; 15(1):1315-1337. https://doi.org/10.3390/ijms15011315
Chicago/Turabian StyleSinghal, Pooja, Adriana Luk, Vivek Rao, and Jagdish Butany. 2014. "Molecular Basis of Cardiac Myxomas" International Journal of Molecular Sciences 15, no. 1: 1315-1337. https://doi.org/10.3390/ijms15011315
APA StyleSinghal, P., Luk, A., Rao, V., & Butany, J. (2014). Molecular Basis of Cardiac Myxomas. International Journal of Molecular Sciences, 15(1), 1315-1337. https://doi.org/10.3390/ijms15011315
