Protective Effect of N-Acetylserotonin against Acute Hepatic Ischemia-Reperfusion Injury in Mice
Abstract
:1. Introduction
2. Results and Discussion
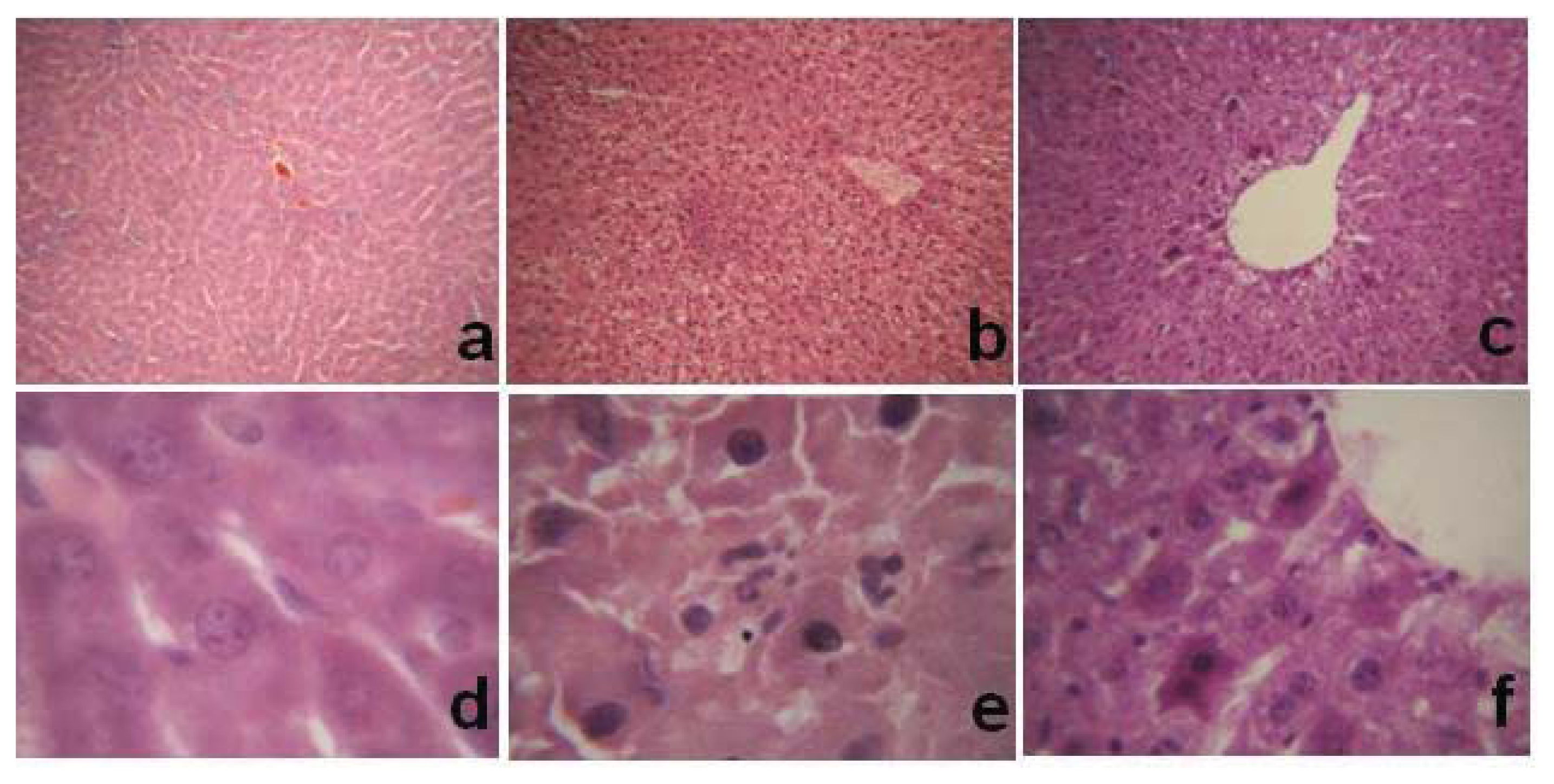
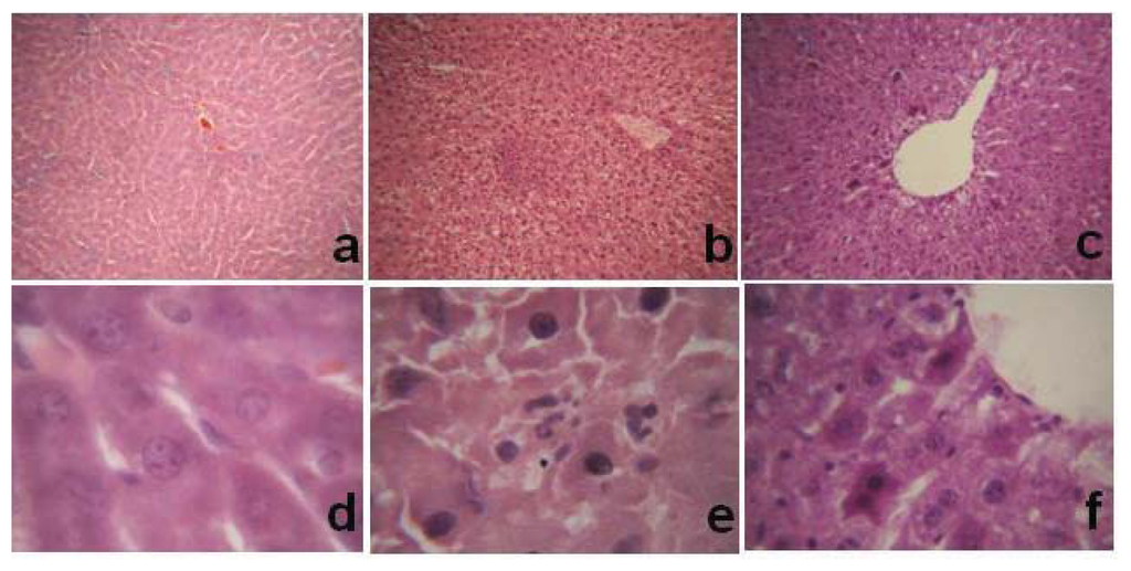
2.1. The Effect of NAS on Hepatocyte Morphology and Apoptosis
2.2. The Effect of NAS on Serum Aspartate Aminotransferase (AST) Levels
2.3. The Effect of NAS on Oxidative Stress Following I/R Injury
2.4. The Effect of NAS on Caspase-3 Activity and Liver Protein Expression
2.5. Discussion
3. Experimental Section
3.1. Chemicals
3.2. Animals
3.3. Experimental Design
3.4. Specimen Collection
3.5. Histopathological Examination
3.6. Immunohistochemistry Staining
3.7. Terminal dUTP Nick End Labeling Assay (TUNEL)
3.8. Western Blotting Analysis
3.9. Serum AST Analysis
3.10. MDA and SOD Assays
3.11. Caspase-3 Activity Assay
3.12. Statistical Analysis
4. Conclusions
Acknowledgments
Conflicts of Interest
References
- Klune, J.R.; Tsung, A. Molecular biology of liver ischemia/reperfusion injury: Established mechanisms and recent advancements. Surg. Clin. North. Am 2010, 90, 665–677. [Google Scholar]
- Musatov, A.; Robinson, N.C. Susceptibility of mitochondrial electron-transport complexes to oxidative damage. Focus on cytochrome c oxidase. Free Radic. Res 2012, 46, 1313–1326. [Google Scholar]
- Chen, F.H.; Zhang, L.B.; Qiang, L.; Yang, Z.; Wu, T.; Zou, M.J.; Tao, L.; You, Q.D.; Li, Z.Y.; Yang, Y.; et al. Reactive oxygen species-mitochondria pathway involved in LYG-202-induced apoptosis in human hepatocellular carcinoma HepG2 cells. Cancer Lett 2010, 296, 96–105. [Google Scholar]
- Liu, Y.; E, Q.; Zuo, J.; Tao, Y.; Liu, W. Protective effect of Cordyceps polysaccharide on hydrogen peroxide-induced mitochondrial dysfunction in HL-7702 cells. Mol. Med. Report 2013, 7, 747–754. [Google Scholar]
- Sompol, P.; Liu, X.; Baba, K.; Paul, K.N.; Tosini, G.; Iuvone, P.M.; Ye, K. N-acetylserotonin promotes hippocampal neuroprogenitor cell proliferation in sleep-deprived mice. Proc. Natl. Acad. Sci. USA 2011, 108, 8844–8849. [Google Scholar]
- Jang, S.W.; Liu, X.; Pradolde, j.S.; Tosini, G.; Chang, Q.; Iuvone, P.M.; Ye, K. N- acetylserotonin activates TrkB receptor in a circadian rhythm. Proc. Natl. Acad. Sci. USA 2010, 107, 3876–3881. [Google Scholar]
- Brown, G.M.; Pulido, O.; Grota, L.J.; Niles, L.P. N-Acetylserotonin in the central nervous system. Prog. Neuropsychopharmacol. Biol. Psychiatry 1984, 8, 475–480. [Google Scholar]
- Bubenik, G.A.; Brown, G.M.; Grota, L.G. Differential localization of N-acetylated indolealkylamines in CNS and the Harderian gland using immunohistology. Brain. Res 1976, 118, 417–427. [Google Scholar]
- Kim, S.H.; Lee, S.M. Cytoprotective effects of melatonin against necrosis and apoptosis induced by ischemia/reperfusion injury in rat liver. J. Pineal Res 2008, 44, 165–171. [Google Scholar]
- Koh, P.O. Melatonin prevents hepatic injury-induced decrease in Akt downstream targets phosphorylations. J. Pineal Res 2011, 51, 214–219. [Google Scholar]
- Hu, S.; Yin, S.; Jiang, X.; Huang, D.; Shen, G. Melatonin protects against alcoholic liver injury by attenuating oxidative stress, inflammatory response, and apoptosis. Eur. J. Pharmacol 2009, 616, 287–292. [Google Scholar]
- Guha, M.; Maity, P.; Choubey, V.; Mitra, K.; Reiter, R.J.; Bandyopadhyay, U. Melatonin inhibits free radical-mediated mitochondrial-dependent hepatocyte apoptosis and liver damage induced during malarial infection. J. Pineal Res 2007, 43, 372–381. [Google Scholar]
- Morton, D.J. Both hydroxy- and methoxyindoles modify basal temperature in the rat. J. Pineal Res 1987, 4, 1–5. [Google Scholar]
- Perianayagam, M.C.; Oxenkrug, G.F.; Jaber, B.L. Immune-modulating effects of melatonin, N-acetylserotonin, and N-acetyldopamine. Ann. N. Y. Acad. Sci 2005, 1053, 386–393. [Google Scholar]
- Oxenkrug, G.F.; Bachurin, S.O.; Prakhie, I.V.; Zefirov, N.S. Quinone reductase 2 and antidepressant effect of melatonin derivatives. Ann. N. Y. Acad. Sci 2010, 1199, 121–124. [Google Scholar]
- Psarakis, S.; Brown, G.M.; Grota, L.J. Analgesia induced by N-acetylserotonin in the central nervous system. Life Sci 1988, 42, 1109–1116. [Google Scholar]
- Bachurin, S.O.; Shevtsova, E.P.; Kireeva, E.G.; Oxenkrug, G.F.; Sablin, S.O. Mitochondria as a target for neurotoxins and neuroprotective agents. Ann. N. Y. Acad. Sci 2003, 993, 334–344. [Google Scholar]
- Tosini, G.; Ye, K.; Iuvone, P.M. N-acetylserotonin: Neuroprotection, neurogenesis, and the sleepy brain. Neuroscientist 2012, 18, 645–653. [Google Scholar]
- Shen, J.; Ghai, K.; Sompol, P.; Liu, X.; Cao, X.; Iuvone, P.M.; Ye, K. N-acetyl serotonin derivatives as potent neuroprotectants for retinas. Proc. Natl. Acad. Sci. USA 2012, 109, 3540–3545. [Google Scholar]
- Yoo, D.Y.; Nam, S.M.; Kim, W.; Lee, C.H.; Won, M.H.; Hwang, I.K.; Yoon, Y.S. N-acetylserotonin increases cell proliferation and differentiating neuroblasts with tertiary dendrites through upregulation of brain-derived neurotrophic factor in the mouse dentate gyrus. J. Vet. Med. Sci. 2011, 73, 1411–1416. [Google Scholar]
- Yang, S.; Jan, Y.H.; Gray, J.P.; Mishin, V.; Heck, D.E.; Laskin, D.L.; Laskin, J.D. Sepiapterin reductase mediates chemical redox cycling in lung epithelial cells. J. Biol Chem 2013, 288, 19221–19237. [Google Scholar]
- Sadowska-Woda, I.; Wójcik, N.; Karowicz-Bilińska, A.; Bieszczad-Bedrejczuk, E. Effect of selected antioxidants in β-cyfluthrin-induced oxidative stress in human erythrocytes in vitro. Toxicol. In Vitro 2010, 24, 879–884. [Google Scholar]
- Gavazza, M.B.; Catal, A. Protective effect of N-acetyl-serotonin on the nonenzymatic lipid peroxidation in rat testicular microsomes and mitochondria. J. Pineal Res 2004, 37, 153–160. [Google Scholar]
- Tang, G.Y.; Ip, A.K.; Siu, A.W. Pinoline and N-acetylserotonin reduce glutamate-induced lipid peroxidation in retinal homogenates. Neurosci. Lett 2007, 412, 191–194. [Google Scholar]
- Guajardo, M.H.; Terrasa, A.M.; Catalá, A. Protective effect of indoleamines on in vitro ascorbate-Fe2+ dependent lipid peroxidation of rod outer segment membranes of bovine retina. J. Pineal Res 2003, 35, 276–382. [Google Scholar]
- Wölfler, A.; Abuja, P.M.; Schauenstein, K.; Liebmann, P.M. N-acetylserotonin is a better extra-and intracellular antioxidant than melatonin. FEBS Lett 1999, 449, 206–210. [Google Scholar]
- Giannini, E.G.; Testa, R.; Savarino, V. Liver enzyme alteration: A guide for clinicians. CMAJ 2005, 172, 367–379. [Google Scholar]
- Mei, Y.Q.; Song, S.Q. Response to temperature stress of reactive oxygen species scavenging enzymes in the cross-tolerance of barley seed germination. J. Zhejiang Univ. Sci. B 2010, 11, 965–972. [Google Scholar]
- Zhang, X.W.; Li, R.G.; Wang, X.; Zhou, S.H. Effects of copper-phenanthroline on pentachlorophenol-induced adaptation and cell death of Escherichia coli. Biomed. Environ. Sci 2007, 20, 106–112. [Google Scholar]
- Bhogal, R.H.; Curbishley, S.M.; Weston, C.J.; Adams, D.H.; Afford, S.C. Reactive oxygen species mediate human hepatocyte injury during hypoxia/reoxygenation. Liver Transplant 2010, 16, 1303–1313. [Google Scholar]
- Adkison, D.; Höllwarth, M.E.; Benoit, J.N.; Parks, D.A.; McCord, J.M.; Granger, D.N. Role of free radicals in ischemia-reperfusion injury to the liver. Acta Physiol. Scand. Suppl 1986, 548, 101–107. [Google Scholar]
- Jaeschke, H.; Mitchell, J.R. Mitochondria and xanthine oxidase both generate reactive oxygen species in isolated perfused rat liver after hypoxic injury. Biochem. Biophys. Res. Commun 1989, 160, 140–147. [Google Scholar]
- Lluis, J.M.; Morales, A.; Blasco, C.; Colell, A.; Mari, M.; Garcia-Ruiz, C.; Fernandez-Checa, J.C. Critical role of mitochondrial glutathione in the survival of hepatocytes during hypoxia. J. Biol. Chem 2005, 280, 3224–3232. [Google Scholar]
- Bilzer, M.; Jaeschke, H.; Vollmar, A.M.; Paumgartner, G.; Gerbes, A.L. Prevention of Kupffer cell-induced oxidant injury in rat liver by atrial natriuretic peptide. Am. J. Physiol. 1999, 276, G1137–G1144. [Google Scholar]
- Mathes, A.M. Hepatoprotective actions of melatonin: Possible mediation by melatonin receptors. World J. Gastroenterol 2010, 16, 6087–6097. [Google Scholar]
- Chen, Z.; Chua, C.C.; Gao, J.; Chua, K.W.; Ho, Y.S.; Hamdy, R.C.; Chua, B.H. Prevention of ischemia/reperfusion-induced cardiac apoptosis and injury by melatonin is independent of glutathione peroxdiase 1. J. Pineal Res 2009, 46, 235–241. [Google Scholar]
- Petrosillo, G.; Colantuono, G.; Moro, N.; Ruggiero, F.M.; Tiravanti, E.; di Venosa, N.; Fiore, T.; Paradies, G. Melatonin protects against heart ischemia-reperfusion injury by inhibiting mitochondrial permeability transition pore opening. Am. J. Physiol. Heart Circ. Physiol 2009, 297, H1487–H1493. [Google Scholar]
- Li, Z.; Nickkholgh, A.; Yi, X.; Bruns, H.; Gross, M.L.; Hoffmann, K.; Mohr, E.; Zorn, M.; Büchler, M.W.; Schemmer, P. Melatonin protects kidney grafts from ischemia/reperfusion injury through inhibition of NF-kB and apoptosis after experimental kidney transplantation. J. Pineal Res 2009, 46, 365–372. [Google Scholar]
- Muñoz-Casares, F.C.; Padillo, F.J.; Briceño, J.; Collado, J.A.; Muñoz-Castañeda, J.R.; Ortega, R.; Cruz, A.; Túnez, I.; Montilla, P.; Pera, C.; et al. Melatonin reduces apoptosis and necrosis induced by ischemia/reperfusion injury of the pancreas. J. Pineal Res 2006, 40, 195–203. [Google Scholar]
- Fagali, N.; Catalá, A. The antioxidant behaviour of melatonin and structural analogues during lipid peroxidation depends not only on their functional groups but also on the assay system. Biochem. Biophys. Res. Commun 2012, 423, 873–877. [Google Scholar]
- Bachurin, S.; Oxenkrug, G.; Lermontova, N.; Afanasiev, A.; Beznosko, B.; Vankin, G.; Shevtzova, E.; Mukhina, T.; Serkova, T. N-acetylserotonin, melatonin and their derivatives improve cognition and protect against β-amyloid-induced neurotoxicity. Ann. N. Y. Acad. Sci 1999, 890, 155–166. [Google Scholar]
- Oxenkrug, G.; Requintina, P.; Bachurin, S. Antioxidant and antiaging activity of N-acetylserotonin and melatonin in the in vivo models. Ann. N. Y. Acad. Sci 2001, 939, 190–199. [Google Scholar]
- Stuss, M.; Wiktorska, J.A.; Sewerynek, E. N-acetylserotonin reduces lipopolysaccharide-induced lipid peroxidation in vitro more effectively than melatonin. Neuroendocrinol. Lett 2010, 31, 489–496. [Google Scholar]
- Jaeschke, H. Reactive oxygen and mechanisms of inflammatory liver injury: Present concepts. J. Gastroenterol. Hepatol 2011, 26, 173–179. [Google Scholar]
- Tunc, T.; Oter, S.; Güven, A.; Topal, T.; Kul, M.; Korkmaz, A.; Ongürü, O.; Sarici, U. Protective effect of sulfhydryl-containing antioxidants against ischemia/reperfusion injury of prepubertal rat intestine. J. Gastroenterol. Hepatol 2009, 24, 681–687. [Google Scholar]
- Zhang, Y.; Wang, X.; Baranov, S.V.; Zhu, S.; Huang, Z.; Fellows-Mayle, W.; Jiang, J.; Day, A.L.; Kristal, B.S.; Friedlander, R.M. Dipyrone Inhibits neuronal cell death and diminishes hypoxic/ischemic brain injury. Neurosurgery 2011, 69, 942–956. [Google Scholar]
- Wang, X.; Figueroa, B.E.; Stavrovskaya, I.G.; Zhang, Y.; Sirianni, A.C.; Zhu, S.; Day, A.L.; Kristal, B.S.; Friedlander, R.M. Methazolamide and melatonin inhibit mitochondrial cytochrome c release and are neuroprotective in experimental models of ischemic injury. Stroke 2009, 40, 1877–1885. [Google Scholar]
- Wang, X.; Sirianni, A.C.; Pei, Z.; Cormier, K.; Smith, K.; Jiang, J.; Zhou, S.; Wang, H.; Zhao, Z.; Yano, H.; et al. Melatonin delays progression of Huntington’s disease by inhibiting the mitochondrial death pathway and restoring the downregulation of melatonin receptor 1A. J. Neurosci 2011, 31, 14496–14507. [Google Scholar]






© 2013 by the authors; licensee MDPI, Basel, Switzerland This article is an open access article distributed under the terms and conditions of the Creative Commons Attribution license (http://creativecommons.org/licenses/by/3.0/).
Share and Cite
Yu, S.; Zheng, J.; Jiang, Z.; Shi, C.; Li, J.; Du, X.; Wang, H.; Jiang, J.; Wang, X. Protective Effect of N-Acetylserotonin against Acute Hepatic Ischemia-Reperfusion Injury in Mice. Int. J. Mol. Sci. 2013, 14, 17680-17693. https://doi.org/10.3390/ijms140917680
Yu S, Zheng J, Jiang Z, Shi C, Li J, Du X, Wang H, Jiang J, Wang X. Protective Effect of N-Acetylserotonin against Acute Hepatic Ischemia-Reperfusion Injury in Mice. International Journal of Molecular Sciences. 2013; 14(9):17680-17693. https://doi.org/10.3390/ijms140917680
Chicago/Turabian StyleYu, Shuna, Jie Zheng, Zhengchen Jiang, Caixing Shi, Jin Li, Xiaodong Du, Hailiang Wang, Jiying Jiang, and Xin Wang. 2013. "Protective Effect of N-Acetylserotonin against Acute Hepatic Ischemia-Reperfusion Injury in Mice" International Journal of Molecular Sciences 14, no. 9: 17680-17693. https://doi.org/10.3390/ijms140917680
APA StyleYu, S., Zheng, J., Jiang, Z., Shi, C., Li, J., Du, X., Wang, H., Jiang, J., & Wang, X. (2013). Protective Effect of N-Acetylserotonin against Acute Hepatic Ischemia-Reperfusion Injury in Mice. International Journal of Molecular Sciences, 14(9), 17680-17693. https://doi.org/10.3390/ijms140917680
