Molecular, Physicochemical and Rheological Characteristics of Introgressive Triticale/Triticum monococcum ssp. monococcum Lines with Wheat 1D/1A Chromosome Substitution
Abstract
:1. Introduction
2. Results and Discussion
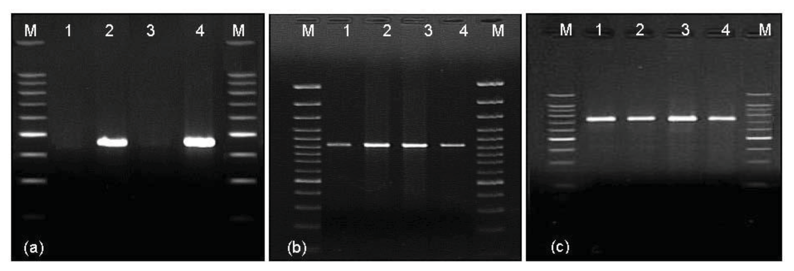
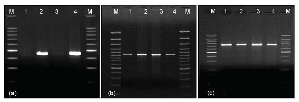
2.1. Cytogenetic and Molecular Analyses
2.2. Variation of HMW Glutenin Subunit Composition of Introgressive Triticale Lines
2.3. Effects of HMW Glutenin Subunit Composition on Physicochemical Properties of Introgressive Triticale Lines
2.4. Effects of HMW Glutenin Subunit Composition on Rheological Properties of Triticale Flour
2.4.1. Quality of Dough Mixing Properties
2.4.2. Micro-Scale Extension Test
3. Experimental Section
3.1. Plant Materials
3.2. Identification of D-Genome Chromosomes Using FISH and GISH
3.3. Agronomic Traits and Flour Quality Determination
3.4. Extraction of HMW Glutenin and Secalin Subunits
3.5. Assessment of HMW Glutenin and Secalin Subunits/Genotypes
3.5.1. Separation by SDS-PAGE
3.5.2. Separation of HMW Proteins by CZE
3.6. Molecular Markers—DNA Extraction and PCR Amplification
3.7. Rheological Study
3.7.1. Quality of Dough Mixing Properties
3.7.2. Micro-Scale Extension Test
3.8. Statistical Analysis
4. Conclusions
Acknowledgments
Conflict of Interest
References
- Oettler, G. The fortune of a botanical curiosity Triticale, Past, present and future. J. Agric. Sci 2005, 143, 329–346. [Google Scholar]
- Tohver, M.; Kann, A.; Täht, R.; Mihhalevski, A.; Hakman, J. Quality of triticale cultivars suitable for growing and bread-making in northern conditions. Food Chem 2005, 89, 125–132. [Google Scholar]
- Shewry, P.R.; Bradberry, D.; Franklin, J.; White, R.P. The chromosomal location and linkage relationships of the structural genes for the prolamin storage proteins (secalins) of rye. Theor. Appl. Genet 1984, 69, 63–69. [Google Scholar]
- Lukaszewski, A. Cytogenetically engineered rye chromosomes 1R to improve bread-making quality of hexaploid triticale. Crop Sci 2006, 46, 2183–2194. [Google Scholar]
- Kazman, M.E.; Lelley, T. Rapid incorporation of D genome chromosomes into A- and/or B genomes of hexaploid triticale. Plant Breed 2004, 113, 89–98. [Google Scholar]
- Lafferty, J.; Lelley, T. Introduction of high molecular weight glutenin subunits 5 + 10 for the improvement of the bread-making quality of hexaploid triticale. Plant Breed 2001, 120, 33–37. [Google Scholar]
- Kazman, M.E.; Lelley, T. Can Bread-Making Quality Be Introduced into Hexaploid Triticale by Whole-Chromosome Manipulation? In Triticale, Today and Tomorrow; Guedes-Pinto, H., Darvey, N., Carnide, V.P., Eds.; Kluwer Academic Publishers: Dordrecht, The Netherlands, 1996; pp. 141–148. [Google Scholar]
- Apolinarska, B. Incorporation of Glu-D1 loci with high-molecular-weight glutenin subunits to hexaploid triticale (in Polish). Zesz. Nauk. AR Szczec. Rolnictwo 1997, 65, 3–8. [Google Scholar]
- Lukaszewski, A.J.; Curtis, C.A. Transfer of the Glu-D1 gene from chromosome 1D of bread wheat to chromosome 1R in hexaploid triticale. Plant Breed 1992, 109, 203–210. [Google Scholar]
- Lukaszewski, A.J.; Curtis, C.A. Transfer of the Glu-D1 gene from chromosome 1D to chromosome 1A in hexaploid triticale. Plant Breed 1994, 112, 177–182. [Google Scholar]
- Martinek, P.; Vinterova, M.; Buresova, I.; Vyhnanek, T. Agronomic and quality characteristics of triticale (x Triticosecale Wittmack) with HMW glutenin subunits 5 + 10. J. Cereal Sci 2008, 47, 68–78. [Google Scholar]
- Rabina-Swider, J.; Brzezinski, W.; Lukaszewski, A.J. Breeding behavior of chromosomes 1R cytogenetically engineered for bread-making quality in hexaploid triticale. Crop Sci 2010, 50, 808–814. [Google Scholar]
- Sodkiewicz, W.; Strzembicka, A. Application of Triticum monococcum for the improvement of triticale resistance to leaf rust (Puccinia triticina). Plant Breed 2004, 123, 39–42. [Google Scholar]
- Sodkiewicz, W.; Strzembicka, A.; Sodkiewicz, T.; Majewska, M. Response to stripe rust (Puccinia striiformis Westend. f. sp tritici) and its coincidence with leaf rust resistance in hexaploid introgressive triticale lines with Triticum monococcum genes. J. Appl. Genet. 2009, 50, 205–211. [Google Scholar]
- Sodkiewicz, W. Diploid wheat—Triticum monococcum as a source of resistance genes to preharvest sprouting of triticale. Cereal Res. Commun 2002, 30, 323–328. [Google Scholar]
- Borghi, B.; Castagna, R.; Corbellini, M.; Heun, M.; Salamini, F. Bread making quality of einkorn wheat (T. monococcum ssp. monococcum). Cereal Chem 1996, 73, 208–214. [Google Scholar]
- Løje, H.; Møller, B.; Laustsen, A.M.; Hansen, Å. Chemical composition functional properties and sensory profiling of einkorn (Triticum monococcum L.). J. Cereal Sci. 2003, 37, 231–240. [Google Scholar]
- Brandolini, A.; Hidalgo, A.; Moscaritolo, S. Chemical composition and pasting properties of einkorn (Triticum monococcum L. subsp. monococcum) whole meal flour. J. Cereal Sci 2008, 47, 599–609. [Google Scholar]
- Wieser, H.; Mueller, K.-J.; Koehler, P. Studies on the protein composition and baking quality of einkorn lines. Eur. Food Res. Technol 2009, 229, 523–532. [Google Scholar]
- Garg, M.; Tanaka, H.; Tsujimoto, H. Identification of variation in adaptively important traits and genome-wide analysis of trait–marker associations in Triticum monococcum. J. Exp. Bot 2007, 58, 3749–3764. [Google Scholar]
- Rogers, W.J.; Miller, T.E.; Payne, P.I.; Seekings, J.A.; Sayers, E.J.; Holt, L.M.; Law, C.N. Introduction to bread wheat (Triticum aestivum L.) and assessment for breadmaking quality of alleles from T. boeoticum Boiss ssp. thaoudar at Glu-A1 encoding two high-molecular-weight subunits of glutenin. Euphytica 1997, 93, 19–29. [Google Scholar]
- Tranquilli, G.; Cuniberti, M.; Gianibelli, M.C.; Bullrich, L.; Larroque, O.R.; MacRitchie, F.; Dubcovsky, J. Effect of Triticum monococcum glutenin loci on cookie making quality and on predictive tests for bread making quality. J. Cereal Sci 2002, 36, 9–18. [Google Scholar]
- Waines, J.G.; Payne, P.I. Electrophoretic analysis of the high-molecular-weight glutenin subunits of Triticum monococcum, T. urartu, and the A genome of bread wheat (T. aestivum). Theor. Appl. Genet 1987, 74, 71–76. [Google Scholar]
- Jiang, Q.; Wei, Y.; Wang, F.; Wang, J.; Yan, Z.; Zheng, Y. Characterization and comparative analysis of HMW glutenin 1Ay alleles with differential expression. BMC Plant Biol 2009, 9, 16. [Google Scholar]
- Hu, X.-G.; Wu, B.-H.; Bi, Z.-G.; Liu, D.-C.; Zhang, L.-Q.; Yan, Z.-H.; Wei, Y.-M.; Zheng, Y.-L. Allelic variation and distribution of HMW glutenin subunit 1Ay in Triticum species. Genet. Resour. Crop Evol 2012, 59, 491–497. [Google Scholar]
- Guo, X.-H.; Wu, B.-H.; Hu, X.-G.; Bi, Z.-G.; Wang, Z.-Z.; Liu, D.-C.; Zheng, Y.-L. Molecular characterization of two y-type high molecular weight glutenin subunit alleles 1Ay12* and 1Ay8* from cultivated einkorn wheat (Triticum monococcum ssp. monococcum). Gene 2013, 516, 1–7. [Google Scholar]
- Salmanowicz, B.P. Detection of high molecular weight glutenin subunits in Triticale (× Triticosecale Wittm.) cultivars by capillary zone electrophoresis. J. Agric. Food Chem 2008, 56, 9355–9361. [Google Scholar]
- Anderson, O.D.; Greene, F.C. The characterization and comparative analysis of high-molecular-weight glutenin genes from genomes A and B of hexaploid bread wheat. Theor. Appl. Genet 1989, 77, 689–700. [Google Scholar]
- Lafianrda, D.; Tucci, G.F.; Pavoni, A.; Turchetta, T.; Margiotta, B. PCR analysis of x- and y-type genes present at the complex Glu-A1 locus in durum and bread wheat. Theor. Appl. Genet 1997, 94, 235–240. [Google Scholar]
- Lei, Z.S.; Gale, K.R.; He, Z.H.; Gianibelli, C.; Larroque, O.; Xia, X.C.; Butow, B.J.; Ma, W. Y-type gene specific markers for enhanced discrimination of high-molecular weight glutenin alleles at the Glu-B1 locus in hexaploid wheat. J. Cereal Sci 2006, 43, 94–101. [Google Scholar]
- Salmanowicz, B.P.; Dylewicz, M. Identification and characterization of high-molecular-weight glutenin genes in Polish Triticale cultivars by PCR-based DNA markers. J. Appl. Genet 2007, 48, 347–357. [Google Scholar]
- Amiour, N.; Bouguennec, A.; Marcoz, C.; Sourdille, P.; Bourgoin, M.; Khelifi, D.; Branlard, G. Diversity of seven glutenin and secalin loci within triticale cultivars grown in Europe. Euphytica 2002, 123, 295–305. [Google Scholar]
- Payne, P.I.; Nightingale, M.A.; Krattiger, A.F.; Holt, L.M. The relationship between the HMW glutenin subunit composition and the breadmaking quality of British-grown wheat varieties. J. Sci. Food Agric 1987, 40, 51–65. [Google Scholar]
- Salmanowicz, B.P. Identification and characterization of high molecular weight secalins from triticale seeds by capillary electrophoresis. Electrophoresis 2010, 31, 2226–2235. [Google Scholar]
- Shewry, P.R.; Halford, N.G.; Lafiandra, D. The genetics of wheat gluten proteins. Adv. Genet 2003, 43, 111–184. [Google Scholar]
- Sodkiewicz, W. Sprouting resistance and Hagberg falling number values in introgressive Triticale/T. monococcum lines. Biol. Plant 1999, 42, 533–539. [Google Scholar]
- Kindred, D.R.; Gooding, M.J.; Ellis, R.H. Nitrogen fertilizer and seed rate effects on Hagberg falling number of hybrid wheats and their parents are associated with α-amylase activity, grain cavity size and dormancy. J. Sci. Food Agric 2005, 85, 727–742. [Google Scholar]
- Ross, A.S.; Flowers, M.D.; Zemetra, R.S.; Kongraksawech, T. Effect of grain protein concentration on falling number of ungerminated soft white winter wheat. Cereal Chem 2012, 89, 307–310. [Google Scholar]
- Woś, H.; Brzeziński, W. Triticale—bread commodity (in Polish). Bak. Pastry Summ 2011, 2, 28–29. [Google Scholar]
- Cornish, G.B.; Békés, F.; Eagles, H.A.; Payne, P.I. Prediction of Dough Properties for Bread Wheats. In Gliadin and Glutenin. The Unique Balance of Wheat Quality; Wrigley, C., Békés, F., Bushuk, W., Eds.; AACC International: St. Pau, MN, USA, 2006; pp. 243–280. [Google Scholar]
- Anderson, C.A. Characterising Wheat Flour Protein Quality from Reomixer; HGCA Report No. 324; HGCA: London, UK, 2003. [Google Scholar]
- Garg, M.; Dhaliwal, H.S.; Chhuneja, P.; Kumar, D.; Dou, Q.W.; Elamein, H.M.M.; Tanaka, H.; Tsujimoto, H. Negative effect of chromosome 1A on dough strength shown by modification of 1D addition in durum wheat (Triticum durum). Theor. Appl. Genet 2007, 114, 1141–1150. [Google Scholar]
- Don, C.; Lichtendonk, W.J.; Plijter, J.J.; van Vliet, T.; Hamer, R.J. The effect of mixing on glutenin particle properties, Aggregation factors that affect gluten function in dough. J. Cereal Sci 2005, 41, 69–83. [Google Scholar]
- Peighambardoust, S.H.; van der Goot, A.J.; Hamer, R.J.; Boom, R.M. Effect of simple shear on the physical properties of glutenin macro polymer (GMP). J. Cereal Sci 2005, 42, 59–68. [Google Scholar]
- Chen, E.; Wang, Z.; Yin, Y.; Guo, J.; Chen, X.; Li, Y.; Wang, P.; Wu, G.; Ni, Y.; Cai, T.; et al. Shading after anthesis in wheat influences the amount and relative composition of grain proteins. J. Agric. Sci 2013, 151, 44–55. [Google Scholar]
- Apolinarska, B. Obtaining of primary octoploid triticale forms from wheat cultivars of high bread-making quality (in Polish). Bulletin IHAR 1997, 201, 167–174. [Google Scholar]
- Apolinarska, B. Stabilization of ploidy and fertility level of tetraploid triticale obtained from four cross combinations. Genet. Pol 1993, 34, 121–131. [Google Scholar]
- Sodkiewicz, W. Synthesis of Wheat-Rye Allotetraploids in the Process of T. monococcum L. Genes Introgression into Hexaploid Triticale (× Triticosecale Wittm.). In Treatises and Monographs; Institute of Plant Genetics PAS: Poznań: Poland, 1997; pp. 1–109. [Google Scholar]
- Pijnacker, L.P.; Ferwerda, M.A. Giemsa C-banding of potato chromosomes. Can. J. Genet. Cytol 1984, 26, 415–419. [Google Scholar]
- International Association for Cereal Science and Technology, General Principles of the International Association for Cereal Science and Technology. In ICC Standard Methods; ICC: Vienna, Austria, 2004.
- Laemmli, U.K. Cleavage of structural proteins during the assembly of the head of bacteriophage T4. Nature 1970, 227, 680–685. [Google Scholar]
- McIntosh, R.A.; Devos, K.M.; Dubcovsky, J.; Morris, C.F.; Rogers, W.J. Catalogue of gene symbols for wheat. Annu. Wheat Newsl 2003, 49, 246–282. [Google Scholar]
- AACC International, Rheological Behavior of Flour by Farinograph, Constant Flour Weight Procedure, Approved January 6, 2011. In Approved Methods of Analysis, 11th ed; Method 54-21.02; AACC International: St. Paul, MN, USA. [CrossRef]
- Salmanowicz, B.P.; Adamski, T.; Surma, M.; Kaczmarek, Z.; Krystkowiak, K.; Kuczyńska, A.; Banaszak, Z.; Ługowska, B.; Majcher, M.; Obuchowski, W. The relationship between grain hardness, dough mixing parameters and bread-making quality in winter wheat. Int. J. Mol. Sci 2012, 13, 4186–4201. [Google Scholar]






| Primer set | HMW-GS encoded by DNA fragment | Expect size of DNA fragment | Forward and reverse primer sequences 5′→3′ | References |
|---|---|---|---|---|
| GS | I Dx5/Dx2 | 450 bp | F: GCCTAGCAACCTTCACAATC R: GAAACCTGCTGCGGACAAG | [28] |
| GS II | AxNull | 920 bp | F: ACGTTCCCCTACAGGTACTA R: TATCACTGGCTAGCCGACAA | [29] |
| GS III | By20* | 750 bp | F: TTCTCTGCATCAGTCAGGA R: AGAGAAGCTGTGTAATGCC | [30,31] |
| Designation of triticale groups | Loci | No. of lines | ||||
|---|---|---|---|---|---|---|
| Glu-A1 | Glu-A1m | Glu-B1 | Glu-D1 | Sec-3 | ||
| Glu-Sec | Null | - | 6.8 + 20* | - | 2r + 5.3r | 14 |
| Glu-Sec+1D | Null | - | 6.8 + 20* | 5 + 10 | 2r + 5.3r | 3 |
| Glu-Sec+Tm | Null | 5.2 m + 14 m | 6.8 + 20* | - | 2r + 5.3r | 16 |
| Glu-Sec+Tm+1D | Null | 5.2 m + 14m | 6.8 + 20* | 5 + 10 | 2r + 5.3r | 3 |
| Total no. of lines | 36 | |||||
| Quality characteristics | Glu-Sec | Glu-Sec + Tm | Glu-Sec + 1D | Glu-Sec + Tm + 1D |
|---|---|---|---|---|
| F7 (2009/2010) | ||||
| 1000-kernel weight, g | 41.8 a,* | 38.9 b | 39.6 b | 36.1 c |
| Protein content, 14% mb | 10.6 a | 11.5 b | 11.8 b | 12.0 b |
| Gluten content, % | 15.5 a | 18.4 b | 19.2 b | 19.8 b |
| Moisture contain, % | 11.1 a | 11.3 a | 10.9 a | 11.0 a |
| Ash content, % | 0.75 a | 0.84 a | 0.79 a | 0.86 a |
| ZSV, mL | 22.7 a | 26.1 b | 27.5 b | 27.9 b |
| Hagberg falling number, s | 66 a | 70 a | 69 a | 71 a |
| F8 (2010/2011) | ||||
| 1000-kernel weight, g | 41.2 a | 38.8 b | 40.1 c | 37.8 b |
| Protein content, 14% mb | 10.3 a | 11.4 b | 11.6 b | 11.6 b |
| Gluten content, % | 15.1 a | 17.1 c | 18.0 c | 18.4 c |
| Moisture contain, % | 12.6 a | 12.1 a | 12.2 a | 12.6 a |
| Ash content, % | 0.81 a | 0.88 a | 0.78 a | 0.91 a |
| ZSV, mL | 21.1 a | 24.5 b | 25.9 b | 26.7 b |
| Hagberg falling number, s | 64 a | 68 a | 67 a | 70 a |
| Character | Glu-Sec | Glu-Sec + Tm | Glu-Sec + 1D | Glu-Sec + 1D + Tm |
|---|---|---|---|---|
| F7 (2009/2010) | ||||
| Micro-Farinograph parameters | ||||
| Water absorption (g/100 g) | 66.6 a,* | 68.1 b | 67.8 b | 68.9 b |
| Dough development time (min) | 1.0 a | 1.4 a,b | 1.4 b | 1.8 b |
| Dough stability (min) | 1.2 a | 1.7 b | 1.6 b | 2.2 c |
| Degree of softening (BU) | 196 a | 164 b | 172 b | 161 b |
| Reomixer parameters | ||||
| Area under line (IHTP) | 6.7 a | 11.6 b | 13.6 b | 22.5 c |
| Time 1–2 (RM4) (min) | 1.21 a | 1.54 a,b | 1.98 b | 3.10 c |
| Peak time (RM6) (min) | 2.59 a | 3.50 b | 3,84 b | 4.41 c |
| Peak height (RM8) (cm) | 1.52 a | 2.24 b | 3.13 c | 4.30 d |
| Bandwidth at 10 min (RM11) | 1.28 a | 1.46 b | 1.79 b | 1.97 b |
| SMS/Kieffer rig parameters | ||||
| Resistance at peak extensibility (Rmax) | 10.0 a | 12.5 b | 16.2 c | 23.4 d |
| Max.dough extension (Ext) (mm) | 5.1 a | 8.1 b | 12.2 c | 12.9 c |
| Area under Rmaxvs. Ext curve (Area) | 41.9 a | 79.5 b | 129.1 c | 188.6 d |
| Rmax/Ext (g/mm) | 1.90 a | 1.58 b | 1.32 b | 1.81 a |
| F8 (2010/2011) | ||||
| Micro-Farinograph parameters | ||||
| Water absorption (g/100g) | 65.1 a | 67.9 b | 67.2 b | 68.1 b |
| Dough development time (min) | 0.9 a | 1.3 a | 1.4 a | 1.7 b |
| Dough stability (min) | 1.1 a | 1.6 b | 1.7 b | 1.9 b |
| Degree of softening (BU) | 211 a | 178 b | 181 b | 168 b |
| Reomixer parameters | ||||
| Area under line (IHTP) | 6.5 a | 10.0 b | 12.1 b | 21.3 c |
| Time 1–2 (RM4) (min) | 1.06 a | 1.46 b | 1.79 b | 2.83 c |
| Peak time (RM6) (min) | 2.12 a | 2.74 b | 3.41 c | 3.80 c |
| Peak height (RM8) (cm) | 1.78 a | 2.41 b | 2.76 b | 4.12 c |
| Bandwidth at 10 min (RM11) | 1.23 a | 1.44 a | 1.71 b | 1.88 b |
| SMS/Kieffer rig parameters | ||||
| Resistance at peak extensibility (Rmax) | 8.8 a | 11.6 b | 16.3 c | 20.4 d |
| Max. dough extension (Ext) (mm) | 4.7 a | 7.2 b | 11.6 c | 12.0 c |
| Area under Rmaxvs. Ext curve (Area) | 36.5 a | 67.9 b | 114.3 c | 156.4 d |
| Rmax/Ext (g/mm) | 1.87 a | 1.61 a | 1.36 b | 1.70 a |
© 2013 by the authors; licensee MDPI, Basel, Switzerland This article is an open access article distributed under the terms and conditions of the Creative Commons Attribution license (http://creativecommons.org/licenses/by/3.0/).
Share and Cite
Salmanowicz, B.P.; Langner, M.; Wiśniewska, H.; Apolinarska, B.; Kwiatek, M.; Błaszczyk, L. Molecular, Physicochemical and Rheological Characteristics of Introgressive Triticale/Triticum monococcum ssp. monococcum Lines with Wheat 1D/1A Chromosome Substitution. Int. J. Mol. Sci. 2013, 14, 15595-15614. https://doi.org/10.3390/ijms140815595
Salmanowicz BP, Langner M, Wiśniewska H, Apolinarska B, Kwiatek M, Błaszczyk L. Molecular, Physicochemical and Rheological Characteristics of Introgressive Triticale/Triticum monococcum ssp. monococcum Lines with Wheat 1D/1A Chromosome Substitution. International Journal of Molecular Sciences. 2013; 14(8):15595-15614. https://doi.org/10.3390/ijms140815595
Chicago/Turabian StyleSalmanowicz, Bolesław P., Monika Langner, Halina Wiśniewska, Barbara Apolinarska, Michał Kwiatek, and Lidia Błaszczyk. 2013. "Molecular, Physicochemical and Rheological Characteristics of Introgressive Triticale/Triticum monococcum ssp. monococcum Lines with Wheat 1D/1A Chromosome Substitution" International Journal of Molecular Sciences 14, no. 8: 15595-15614. https://doi.org/10.3390/ijms140815595
APA StyleSalmanowicz, B. P., Langner, M., Wiśniewska, H., Apolinarska, B., Kwiatek, M., & Błaszczyk, L. (2013). Molecular, Physicochemical and Rheological Characteristics of Introgressive Triticale/Triticum monococcum ssp. monococcum Lines with Wheat 1D/1A Chromosome Substitution. International Journal of Molecular Sciences, 14(8), 15595-15614. https://doi.org/10.3390/ijms140815595

