Influence of Novel Microcapsulates of Bee Products on Gut Microbiota Modulation and Their Prebiotic and Pro-Adhesive Properties
Abstract
1. Introduction
2. Results and Discussion
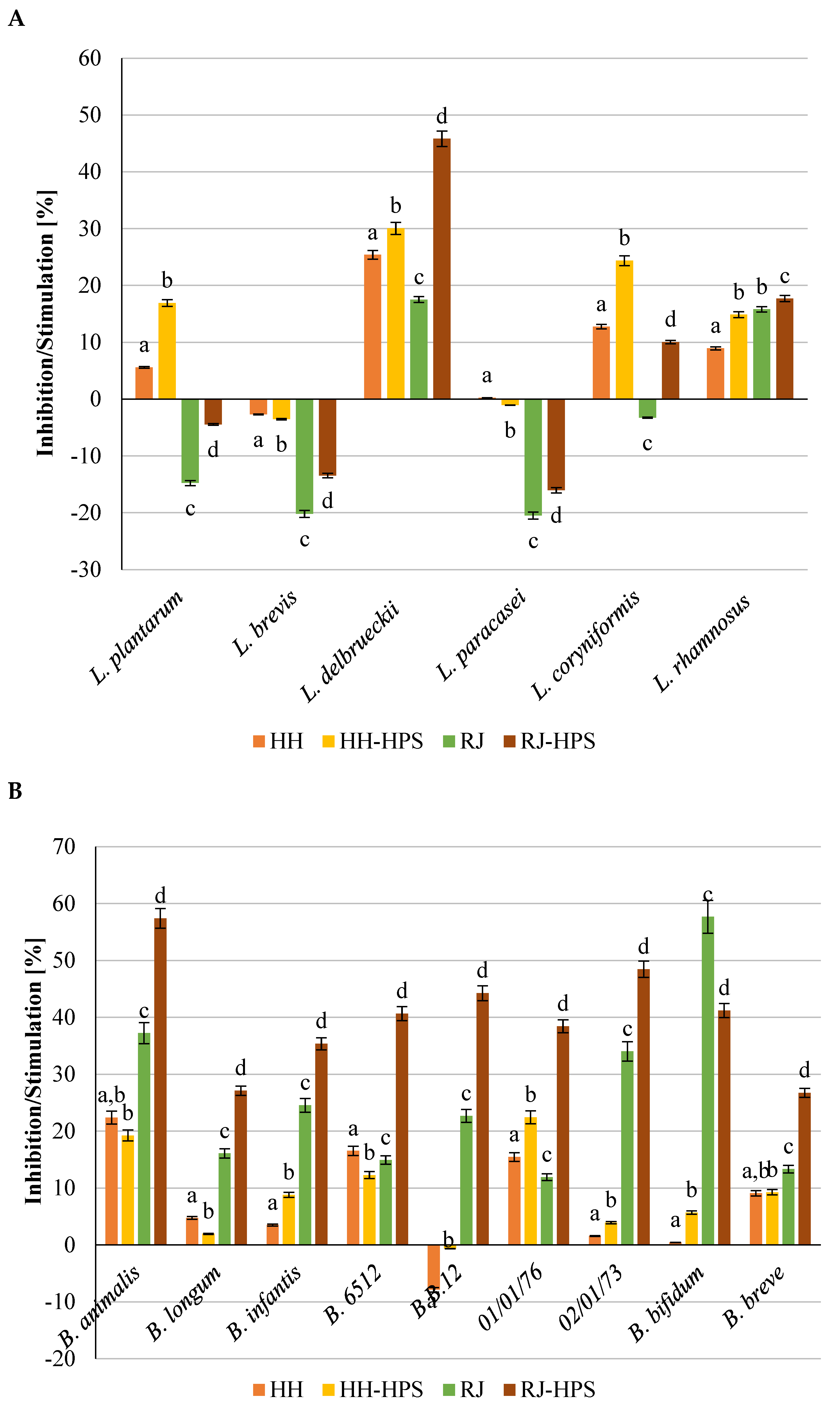
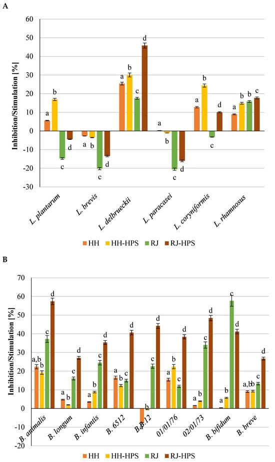
2.1. Prebiotic Properties of Bee Products and Encapsulates
2.2. Pro-Adhesive Potential of Bee Products and Encapsulates
2.2.1. Adhesion to Polystyrene
2.2.2. Adhesion to Collagen
2.2.3. Adhesion to mucus from porcine stomach
2.3. Short-Chain Fatty Acids (SCFAs)
2.4. Surface Morphology Assessment with Scanning Electron Microscopy (SEM)
Assessment of the surface morphology of microcapsules
3. Materials and Methods
3.1. Materials
3.2. Preparation of Honey- and Royal Jelly Loaded Microcapsules
3.3. Characterization of Microcapsules
3.3.1. Analysis of the Prebiotic and Pro-Adhesive Properties of Bee Products Encapsulates
Biological Material
Strain Activation and Storage
Influence of Native Honeydew Honey, Royal Jelly, and Their Microcapsules on Growth of Lactic Acid Bacteria and Bifidobacterium Strains
Adherence of Bacteria to Abiotic and Biotic Surfaces—Biofilm Formation
Short-Chain Fatty Acid (SCFA) Analysis
3.3.2. Surface Morphology Assessment with Scanning Electron Microscopy (SEM)
3.4. Statistical Analysis
4. Conclusions
Author Contributions
Funding
Institutional Review Board Statement
Informed Consent Statement
Data Availability Statement
Conflicts of Interest
References
- Servin, A.L.; Coconnier, M.-H. Adhesion of Probiotic Strains to the Intestinal Mucosa and Interaction with Pathogens. Best Pract. Res. Clin. Gastroenterol. 2003, 17, 741–754. [Google Scholar] [CrossRef] [PubMed]
- Monteagudo-Mera, A.; Rastall, R.A.; Gibson, G.R.; Charalampopoulos, D.; Chatzifragkou, A. Adhesion Mechanisms Mediated by Probiotics and Prebiotics and Their Potential Impact on Human Health. Appl. Microbiol. Biotechnol. 2019, 103, 6463–6472. [Google Scholar] [CrossRef] [PubMed]
- Makarova, K.; Slesarev, A.; Wolf, Y.; Sorokin, A.; Mirkin, B.; Koonin, E.; Pavlov, A.; Pavlova, N.; Karamychev, V.; Polouchine, N.; et al. Comparative Genomics of the Lactic Acid Bacteria. Proc. Natl. Acad. Sci. USA 2006, 103, 15611–15616. [Google Scholar] [CrossRef] [PubMed]
- Pothakamury, U.R.; Barbosa-Cánovas, G.V. Fundamental aspects of controlled release in foods. Trends Food Sci. Technol. 1995, 6, 397–406. [Google Scholar] [CrossRef]
- Celebioglu, H. Probiotic Bacteria Grown with Chestnut Honey Enhance in Vitro Cytotoxicity on Breast and Colon Cancer Cells. Arch. Biol. Sci. 2020, 72. [Google Scholar] [CrossRef]
- Celebioglu, H.U.; Erden, Y.; Ozel, H.B. In Vitro Cytotoxic Effects of Lactobacilli Grown with Lime Honey on Human Breast and Colon Cancer Cells. Food Biosci. 2021, 41, 101020. [Google Scholar] [CrossRef]
- Shamala, T.R.; Shri Jyothi, Y.; Saibaba, P. Stimulatory Effect of Honey on Multiplication of Lactic Acid Bacteria under in Vitro and in Vivo Conditions. Lett. Appl. Microbiol. 2000, 30, 453–455. [Google Scholar] [CrossRef] [PubMed]
- Haddadin, M.; Haddadin, J.; Benguiar, R. The Effect of Royal Jelly on Growth and Short-Chain Fatty Acid Production of Probiotic Bacteria and Activity of Bacterial Procarcinogenic Enzymes in Rat Faeces. Pol. J. Food Nutr. Sci. 2012, 62, 251–258. [Google Scholar] [CrossRef][Green Version]
- Nabas, Z.; Haddadin, M.; Haddadin, J.; Nazer, I. Chemical Composition of Royal Jelly and Effects of Synbiotic with Two Different Locally Isolated Probiotic Strains on Antioxidant Activities. Pol. J. Food Nutr. Sci. 2014, 64. [Google Scholar] [CrossRef]
- Nolan, V.C.; Harrison, J.; Cox, J.A.G. Dissecting the Antimicrobial Composition of Honey. Antibiotics 2019, 8, 251. [Google Scholar] [CrossRef]
- Tan, J.; McKenzie, C.; Potamitis, M.; Thorburn, A.N.; Mackay, C.R.; Macia, L. The Role of Short-Chain Fatty Acids in Health and Disease. Adv. Immunol. 2014, 121, 91–119. [Google Scholar] [PubMed]
- Blaut, M.; Marteau, P.; Miller, G.; Antoine, J.-M. Probiotics and the Intestinal Microflora: What Impact on the Immune System, Infections and Aging? Curr. Nutr. Food Sci. 2006, 2, 79–95. [Google Scholar] [CrossRef]
- O’Hara, A.M.; Shanahan, F. Gut Microbiota: Mining for Therapeutic Potential. Clin. Gastroenterol. Hepatol. 2007, 5, 274–284. [Google Scholar] [CrossRef] [PubMed]
- Ahmed, S.; Sulaiman, S.A.; Baig, A.A.; Ibrahim, M.; Liaqat, S.; Fatima, S.; Jabeen, S.; Shamim, N.; Othman, N.H. Honey as a Potential Natural Antioxidant Medicine: An Insight into Its Molecular Mechanisms of Action. Oxid. Med. Cell Longev. 2018, 2018, 8367846. [Google Scholar] [CrossRef] [PubMed]
- Anal, A.K.; Singh, H. Recent advances in microencapsulation of probiotics for industrial applications and targeted delivery. Trends Food Sci. Technol. 2007, 18, 240–251. [Google Scholar] [CrossRef]
- Cook, S. Sellin Review Article: Short Chain Fatty Acids in Health and Disease. Aliment Pharmacol. Ther. 1998, 12, 499–507. [Google Scholar] [CrossRef] [PubMed]
- Holscher, H.D. Dietary Fiber and Prebiotics and the Gastrointestinal Microbiota. Gut Microbes 2017, 8, 172–184. [Google Scholar] [CrossRef] [PubMed]
- Teixeira, M.I.; Andrade, L.R.; Farina, M.; Rocha-Leão, M.H.M. Characterization of Short Chain Fatty Acid Microcapsules Produced by Spray Drying. Mater. Sci. Eng. C 2004, 24, 653–658. [Google Scholar] [CrossRef]
- Carvalho de Melo, F.H.C.; Menezes, F.N.D.D.; de Sousa, J.M.B.; dos Santos Lima, M.; da Silva Campelo Borges, G.; de Souza, E.L.; Magnani, M. Prebiotic Activity of Monofloral Honeys Produced by Stingless Bees in the Semi-Arid Region of Brazilian Northeastern toward Lactobacillus Acidophilus LA-05 and Bifidobacterium Lactis BB-12. Food Res. Int. 2020, 128, 108809. [Google Scholar] [CrossRef]
- Das, A.; Datta, S.; Mukherjee, S.; Bose, S.; Ghosh, S.; Dhar, P. Evaluation of Antioxidative, Antibacterial and Probiotic Growth Stimulatory Activities of Sesamum Indicum Honey Containing Phenolic Compounds and Lignans. LWT Food Sci. Technol. 2015, 61, 244–250. [Google Scholar] [CrossRef]
- Leska, A.; Nowak, A.; Czarnecka-Chrebelska, K.H. Adhesion and Anti-Adhesion Abilities of Potentially Probiotic Lactic Acid Bacteria and Biofilm Eradication of Honeybee (Apis Mellifera L.) Pathogens. Molecules 2022, 27, 8945. [Google Scholar] [CrossRef]
- Saran, S.; Bisht, M.S.; Singh, K.; Teotia, U.V.S.; Saran, S.; Singh, K. Comparing Adhesion Attributes of Two Isolates of Lactobacillus Acidophilus for Assessment of Prebiotics, Honey and Inulin. Int. J. Sci. Res. Publ. 2012, 2, 2250–3153. [Google Scholar]
- Fratianni, F.; Ombra, M.N.; d’Acierno, A.; Caputo, L.; Amato, G.; De Feo, V.; Coppola, R.; Nazzaro, F. Polyphenols Content and In Vitro α-Glycosidase Activity of Different Italian Monofloral Honeys, and Their Effect on Selected Pathogenic and Probiotic Bacteria. Microorganisms 2021, 9, 1694. [Google Scholar] [CrossRef]
- Topping, D.L.; Clifton, P.M. Short-Chain Fatty Acids and Human Colonic Function: Roles of Resistant Starch and Nonstarch Polysaccharides. Physiol. Rev. 2001, 81, 1031–1064. [Google Scholar] [CrossRef]
- Kailasapathy, K.; Chin, J. Survival and Therapeutic Potential of Probiotic Organisms with Reference to Lactobacillus Acidophilus and Bifidobacterium spp. Immunol. Cell Biol. 2000, 78, 80–88. [Google Scholar] [CrossRef] [PubMed]
- Upadhyay, N.; Moudgal, V. Probiotics: A Review. J. Clin. Outcomes Manag. 2012, 19, 76–84. [Google Scholar]
- Mohan, A.; Gutierrez-Maddox, N.; Meng, T.; He, N.; Gao, Y.; Shu, Q.; Quek, S.Y. Manuka Honey with Varying Levels of Active Manuka Factor (AMF) Ratings as an Anaerobic Fermentation Substrate for Limosilactobacillus Reuteri DPC16. Fermentation 2021, 7, 128. [Google Scholar] [CrossRef]
- Samborska, K.; Wiktor, A.; Jedlińska, A.; Matwijczuk, A.; Jamróz, W.; Skwarczyńska-Maj, K.; Kiełczewski, D.; Tułodziecki, M.; Błażowski, Ł.; Witrowa-Rajchert, D. Development and Characterization of Physical Properties of Honey-Rich Powder. Food Bioprod. Process. 2019, 115, 78–86. [Google Scholar] [CrossRef]
- He, R.; Ye, J.; Wang, L.; Sun, P. Preparation and Evaluation of Microcapsules Encapsulating Royal Jelly Sieve Residue: Flavor and Release Profile. Appl. Sci. 2020, 10, 8126. [Google Scholar] [CrossRef]
- Suhag, Y.; Nanda, V. Evaluation of Different Carrier Agents with Respect to Physico-Chemical, Functional and Morphological Characteristics of Spray Dried Nutritionally Rich Honey Powder. J. Food Process Preserv. 2016, 40, 1429–1437. [Google Scholar] [CrossRef]
- Samborska, K.; Jedlińska, A.; Wiktor, A.; Derewiaka, D.; Wołosiak, R.; Matwijczuk, A.; Jamróz, W.; Skwarczyńska-Maj, K.; Kiełczewski, D.; Błażowski, Ł.; et al. The Effect of Low-Temperature Spray Drying with Dehumidified Air on Phenolic Compounds, Antioxidant Activity, and Aroma Compounds of Rapeseed Honey Powders. Food Bioproc. Tech. 2019, 12, 919–932. [Google Scholar] [CrossRef]
- Rosicka-Kaczmarek, J.; Komisarczyk, A.; Nebesny, E. Heteropolysaccharide Preparations from Rye and Wheat Bran as Sources of Antioxidants. J. Cereal Sci. 2018, 81, 37–43. [Google Scholar] [CrossRef]
- Kowalska, G.; Rosicka-Kaczmarek, J.; Miśkiewicz, K.; Wiktorska, M.; Gumul, D.; Orczykowska, M.; Dędek, K. Influence of rye bran heteropolysaccharides on the physicochemical and antioxidant properties of honeydew honey microcapsules. Food Bioprod. Process. 2021, 130, 171–181. [Google Scholar] [CrossRef]
- Koryszewska-Bagińska, A.; Gawor, J.; Nowak, A.; Grynberg, M.; Aleksandrzak-Piekarczyk, T. Comparative Genomics and Functional Analysis of a Highly Adhesive Dairy Lactobacillus Paracasei Subsp. Paracasei IBB3423 Strain. Appl. Microbiol. Biotechnol. 2019, 103, 7617–7634. [Google Scholar] [CrossRef] [PubMed]
- Śliżewska, K.; Chlebicz-Wójcik, A.; Nowak, A. Probiotic Properties of New Lactobacillus Strains Intended to Be Used as Feed Additives for Monogastric Animals. Probiotics Antimicrob. Proteins 2021, 13, 146–162. [Google Scholar] [CrossRef]
- Nowak, A.; Motyl, I.; Śliżewska, K.; Libudzisz, Z.; Klewicka, E. Adherence of Probiotic Bacteria to Human Colon Epithelial Cells and Inhibitory Effect against Enteric Pathogens. Int. J. Dairy Technol. 2016, 69, 532–539. [Google Scholar]















Disclaimer/Publisher’s Note: The statements, opinions and data contained in all publications are solely those of the individual author(s) and contributor(s) and not of MDPI and/or the editor(s). MDPI and/or the editor(s) disclaim responsibility for any injury to people or property resulting from any ideas, methods, instructions or products referred to in the content. |
© 2024 by the authors. Licensee MDPI, Basel, Switzerland. This article is an open access article distributed under the terms and conditions of the Creative Commons Attribution (CC BY) license (https://creativecommons.org/licenses/by/4.0/).
Share and Cite
Kowalska, G.; Rosicka-Kaczmarek, J.; Miśkiewicz, K.; Nowak, A.; Motyl, I.; Oracz, J.; Brzozowska, A.; Grzegorczyk, A.; Świniarska, Z. Influence of Novel Microcapsulates of Bee Products on Gut Microbiota Modulation and Their Prebiotic and Pro-Adhesive Properties. Molecules 2024, 29, 2751. https://doi.org/10.3390/molecules29122751
Kowalska G, Rosicka-Kaczmarek J, Miśkiewicz K, Nowak A, Motyl I, Oracz J, Brzozowska A, Grzegorczyk A, Świniarska Z. Influence of Novel Microcapsulates of Bee Products on Gut Microbiota Modulation and Their Prebiotic and Pro-Adhesive Properties. Molecules. 2024; 29(12):2751. https://doi.org/10.3390/molecules29122751
Chicago/Turabian StyleKowalska, Gabriela, Justyna Rosicka-Kaczmarek, Karolina Miśkiewicz, Adriana Nowak, Ilona Motyl, Joanna Oracz, Anna Brzozowska, Aleksandra Grzegorczyk, and Zuzanna Świniarska. 2024. "Influence of Novel Microcapsulates of Bee Products on Gut Microbiota Modulation and Their Prebiotic and Pro-Adhesive Properties" Molecules 29, no. 12: 2751. https://doi.org/10.3390/molecules29122751
APA StyleKowalska, G., Rosicka-Kaczmarek, J., Miśkiewicz, K., Nowak, A., Motyl, I., Oracz, J., Brzozowska, A., Grzegorczyk, A., & Świniarska, Z. (2024). Influence of Novel Microcapsulates of Bee Products on Gut Microbiota Modulation and Their Prebiotic and Pro-Adhesive Properties. Molecules, 29(12), 2751. https://doi.org/10.3390/molecules29122751

