Broad-Spectrum Antibody-Based Immunochromatographic Strip Assay for Rapid Screening of Bisphenol A Diglycidyl Ether and Its Derivatives in Canned Foods
Abstract
:1. Introduction
2. Results
2.1. Screening of Broad-Spectrum Antibodies
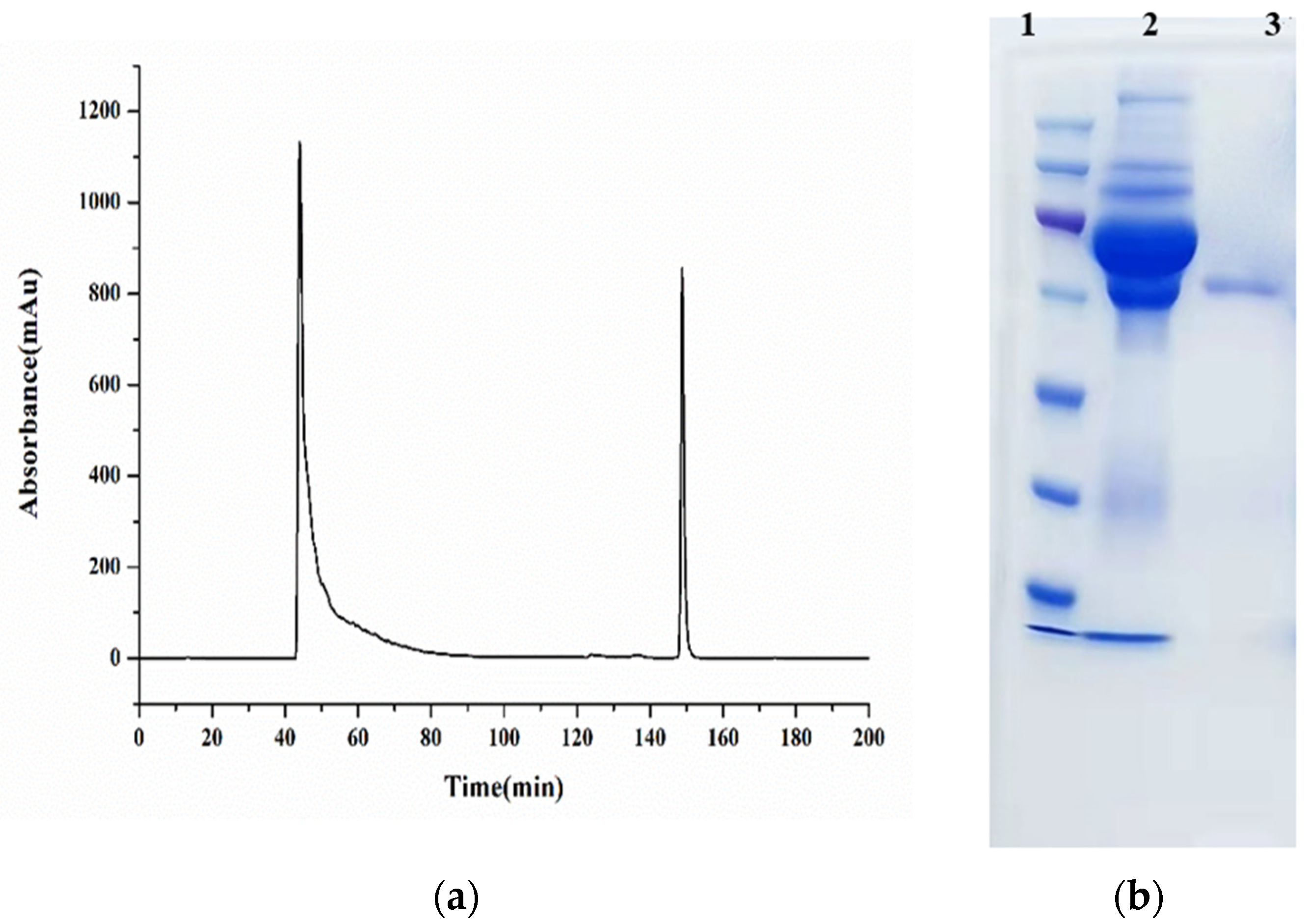
2.2. Optimization of AuNP-Labeled Antibody
2.3. Establishment of AuNP Lateral-Flow Immunochromatographic Strip Assay
2.4. Stability Analysis of AuNPs-PAb Immunochromatographic Strip
2.5. Matrix Effect
2.6. Sample Recovery Analysis
3. Discussion
4. Materials and Methods
4.1. Chemicals and Reagents
4.2. Instruments
4.3. Screening of Broad-Spectrum Antibodies
4.4. Preparation of AuNPs
4.5. Preparation of AuNP-Labeled Antibody
4.5.1. Optimization of pH Value of AuNPs Solution
4.5.2. Optimization of the Amounts of Antibody
4.6. Establishment of AuNPs Lateral-Flow Immunochromatographic Assay
4.7. Sample Analysis
5. Conclusions
Author Contributions
Funding
Institutional Review Board Statement
Informed Consent Statement
Data Availability Statement
Conflicts of Interest
References
- Cabado, A.G.; Aldea, S.; Porro, C.; Ojea, G.; Lago, J.; Sobrado, C.; Vieites, J.M. Migration of BADGE (bisphenol A diglycidyl-ether) and BFDGE (bisphenol F diglycidyl-ether) in canned seafood. Food Chem. Toxicol. 2008, 46, 1674–1680. [Google Scholar] [CrossRef] [PubMed]
- García, R.S.; Losada, P.P.; Lamela, C.P. Determination of Compounds from Epoxy Resins in Food Simulants by HPLC-Fluorescence. Chromatographia 2003, 58, 337–342. [Google Scholar] [CrossRef]
- Jordáková, I.; Dobiáš, J.; Voldřich, M.; Postka, J. Determination of bisphenol A, bisphenol F, bisphenol A diglycidyl ether and bisphenol F diglycidyl ether migrated from food cans using Gas Chromatography-Mass Spectrometry. Czech J. Food Sci. 2003, 21, 85–90. [Google Scholar] [CrossRef]
- Jana, S.K.; Okamoto, T.; Kugita, T.; Namba, S. Selective synthesis of bisphenol F catalyzed by microporous H-beta zeolite. Appl. Catal. A Gen. 2005, 288, 80–85. [Google Scholar] [CrossRef]
- Leepipatpiboon, N.; Sae-Khow, O.; Jayanta, S. Simultaneous determination of bisphenol-A-diglycidyl ether, bisphenol-F-diglycidyl ether, and their derivatives in oil-in-water and aqueous-based canned foods by high-performance liquid chromatography with fluorescence detection. J. Chromatogr. A 2005, 1073, 331–339. [Google Scholar] [CrossRef] [PubMed]
- Bolt, H.M.; Stewart, J.D. Highlight report: The bisphenol A controversy. Arch. Toxicol. 2011, 85, 1491–1492. [Google Scholar] [CrossRef] [PubMed]
- Kang, J.H.; Kondo, F. Bisphenol A in the Surface Water and Freshwater Snail Collected from Rivers Around a Secure Landfill. Bull. Environ. Contam. Toxicol. 2006, 76, 113–118. [Google Scholar] [CrossRef]
- García, R.S.; Losada, P.P. Determination of bisphenol A diglycidyl ether and its hydrolysis and chlorohydroxy derivatives by liquid chromatography-mass spectrometry. J. Chromatogr. A 2004, 1032, 37–43. [Google Scholar] [CrossRef]
- Le, H.H.; Carlson, E.M.; Chua, J.P.; Belcher, S.M. Bisphenol A is released from polycarbonate drinking bottles and mimics the neurotoxic actions of estrogen in developing cerebellar neurons. Toxicol. Lett. 2008, 176, 149–156. [Google Scholar] [CrossRef]
- Gallart-Ayala, H.; Moyano, E.; Galceran, M.T. Fast liquid chromatography-tandem mass spectrometry for the analysis of bisphenol A-diglycidyl ether, bisphenol F-diglycidyl ether and their derivatives in canned food and beverages. J. Chromatogr. A 2011, 1218, 1603–1610. [Google Scholar] [CrossRef]
- Fattore, M.; Russo, G.; Barbato, F.; Grumetto, L.; Albrizio, S. Monitoring of bisphenols in canned tuna from Italian markets. Food Chem. Toxicol. 2015, 83, 68–75. [Google Scholar] [CrossRef] [PubMed]
- Poole, A.; van Herwijnen, P.; Weideli, H.; Thomas, M.C.; Ransbotyn, G.; Vance, C. Review of the toxicology, human exposure and safety assessment for bisphenol A diglycidylether (BADGE). Food Addit. Contam. 2004, 21, 905–919. [Google Scholar] [CrossRef] [PubMed]
- Satoh, K.; Ohyama, K.; Aoki, N.; Iida, M.; Nagai, F. Study on anti-androgenic effects of bisphenol a diglycidyl ether (BADGE), bisphenol F diglycidyl ether (BFDGE) and their derivatives using cells stably transfected with human androgen receptor, AR-EcoScreen. Food Chem. Toxicol. 2004, 42, 983–993. [Google Scholar] [CrossRef] [PubMed]
- Ramilo, G.; Valverde, I.; Lago, J.; Vieites, J.M.; Cabado, A.G. Cytotoxic effects of BADGE (bisphenol A diglycidyl ether) and BFDGE (bisphenol F diglycidyl ether) on Caco-2 cells in vitro. Arch. Toxicol. 2006, 80, 748–755. [Google Scholar] [CrossRef] [PubMed]
- European Commission Regulation (EC) No. 1895/2005. The restriction of use of certain epoxy derivatives in materials and articles intended to come into contact with food. Off. J. Eur. Union 2005, L 302/28, 28–32. [Google Scholar]
- Alabi, A.; Caballero-Casero, N.; Rubio, S. Quick and simple sample treatment for multiresidue analysis of bisphenols, bisphenol diglycidyl ethers and their derivatives in canned food prior to liquid chromatography and fluorescence detection. J. Chromatogr. A 2014, 1336, 23–33. [Google Scholar] [CrossRef] [PubMed]
- Fischnaller, M.; Bakry, R.; Bonn, G.K. A simple method for the enrichment of bisphenols using boron nitride. Food Chem. 2016, 194, 149–155. [Google Scholar] [CrossRef]
- Guo, M.; He, M.; Zhong, J.; He, Q.; Ismail, B.B.; Chen, G.; Liu, D. High-performance liquid chromatography (HPLC)-fluorescence method for determination of bisphenol A diglycidyl ether (BADGE) and its derivatives in canned foods. Sci. Total. Environ. 2020, 710, 134975. [Google Scholar] [CrossRef]
- Míguez, J.; Herrero, C.; Quintás, I.; Rodríguez, C.; Gigosos, P.; Mariz, O. A LC–MS/MS method for the determination of BADGE-related and BFDGE-related compounds in canned fish food samples based on the formation of [M+NH4]+ aducts. Food Chem. 2012, 135, 1310–1315. [Google Scholar] [CrossRef]
- Lane, R.; Adams, C.; Randtke, S.; Carter, R. Bisphenol diglycidyl ethers and bisphenol A and their hydrolysis in drinking water. Water Res. 2015, 72, 331–339. [Google Scholar] [CrossRef]
- Cheng, Y.; Nie, X.-M.; Wu, H.-Q.; Hong, Y.-H.; Yang, B.-C.; Liu, T.; Zhao, D.; Wang, J.-F.; Yao, G.-H.; Zhang, F. A high-throughput screening method of bisphenols, bisphenols digycidyl ethers and their derivatives in dairy products by ultra-high performance liquid chromatography-tandem mass spectrometry. Anal. Chim. Acta 2017, 950, 98–107. [Google Scholar] [CrossRef] [PubMed]
- Oca, M.L.; Ortiz, M.C.; Herrero, A.; Sarabia, L.A. Optimization of a GC/MS procedure that uses parallel factor analysis for the determination of bisphenols and their diglycidyl ethers after migration from polycarbonate tableware. Talanta 2013, 106, 266–280. [Google Scholar] [CrossRef] [PubMed]
- Bahadır, E.B.; Sezgintürk, M.K. Lateral flow assays: Principles, designs and labels. Trends Anal. Chem. 2016, 82, 286–306. [Google Scholar] [CrossRef]
- Kim, J.; Shin, M.-S.; Shin, J.; Kim, H.-M.; Pham, X.-H.; Park, S.-M.; Kim, D.-E.; Kim, Y.J.; Jun, B.-H. Recent Trends in Lateral Flow Immunoassays with Optical Nanoparticles. Int. J. Mol. Sci. 2023, 24, 9600. [Google Scholar] [CrossRef] [PubMed]
- Huang, X.; Aguilar, Z.P.; Xu, H.; Lai, W.; Xiong, Y. Membrane-based lateral flow immunochromatographic strip with nanoparticles as reporters for detection: A review. Biosens. Bioelectron. 2016, 75, 166–180. [Google Scholar] [CrossRef] [PubMed]
- Ji, Y.; Ren, M.; Li, Y.; Huang, Z.; Shu, M.; Yang, H.; Xiong, Y.; Xu, Y. Detection of aflatoxin B1 with immunochromatographic test strips: Enhanced signal sensitivity using gold nanoflowers. Talanta 2015, 142, 206–212. [Google Scholar] [CrossRef]
- Jin, Y.; Liu, R.; Zhu, L.; Liu, Z. Development of high sensitivity immunochromatographic test card for zearalenone. J. Hyg. Res. 2019, 48, 651–658. [Google Scholar]
- Kong, D.; Liu, L.; Song, S.; Suryoprabowo, S.; Li, A.; Kuang, H.; Wang, L.; Xu, C. A gold nanoparticle-based semi-quantitative and quantitative ultrasensitive paper sensor for the detection of twenty mycotoxins. Nanoscale 2016, 8, 5245–5253. [Google Scholar] [CrossRef]
- Lin, L.; Wu, X.; Luo, P.; Song, S.; Zheng, Q.; Kuang, H. IC-ELISA and immunochromatographic strip assay based monoclonal antibody for the rapid detection of bisphenol S. Food Agric. Immunol. 2019, 30, 633–646. [Google Scholar] [CrossRef]
- He, F.; Yang, J.; Zou, T.; Xu, Z.; Tian, Y.; Sun, W.; Wang, H.; Sun, Y.; Lei, H.; Chen, Z.; et al. A gold nanoparticle-based immunochromatographic assay for simultaneous detection of multiplex sildenafil adulterants in health food by only one antibody. Anal. Chim. Acta 2021, 1141, 1–12. [Google Scholar] [CrossRef]
- Yang, X.-D.; Wang, F.-Y.; Song, C.-M.; Wu, S.-Y.; Zhang, G.-P.; Zeng, X.-Y. Establishment of a lateral flow colloidal gold immunoassay strip for the rapid detection of estradiol in milk samples. LWT 2015, 64, 88–94. [Google Scholar] [CrossRef]
- Ge, W.-L.; Lin, L.; Xu, C.-L. Study on immunoassay of bisphenol A diglycidyl ether. Packag. Eng. 2019, 40, 59–63. [Google Scholar]
- Marqueño, A.; Pérez-Albaladejo, E.; Flores, C.; Moyano, E.; Porte, C. Toxic effects of bisphenol A diglycidyl ether and derivatives in human placental cells. Environ. Pollut. 2018, 244, 513–521. [Google Scholar] [CrossRef] [PubMed]
- Gallo, P.; Di Marco Pisciottano, I.; Esposito, F.; Fasano, E.; Scognamiglio, G.; Mita, G.D.; Cirillo, T. Determination of BPA, BPB, BPF, BADGE and BFDGE in canned energy drinks by molecularly imprinted polymer cleaning up and UPLC with fluorescence detection. Food Chem. 2017, 220, 406–412. [Google Scholar] [CrossRef]
- Guan, T.; Li, T.; Zhang, T.; Li, Z.; Wang, Y.; Yu, H.; Ruan, P.; Zhang, J.; Wang, Y. Fluorescence polarization assay for the simultaneous determination of bisphenol A, bisphenol F and their diglycidyl ethers in canned tuna. Int. J. Food Prop. 2017, 20, S1920–S1929. [Google Scholar] [CrossRef]
- Zhang, C.; Hu, J.; Song, J.; Wu, M.; Zhang, Z. Development of ic-ELISAs for the Detection of Bisphenol A Diglycidyl Ether and Its Derivatives in Canned Luncheon Meats. ACS Food Sci. Technol. 2022, 2, 160–168. [Google Scholar] [CrossRef]









| Target | Antisera | |||||||
|---|---|---|---|---|---|---|---|---|
| PAb-1 | PAb-2 | PAb-3 | PAb-4 | |||||
| IC50 (ng/mL) | CR (%) | IC50 (ng/mL) | CR (%) | IC50 (ng/mL) | CR (%) | IC50 (ng/mL) | CR (%) | |
| BADGE | 51 | 100 | 65 | 100 | 26 | 100 | 29 | 100 |
| BADGE·HCl | 64 | 79.6 | 114 | 57.0 | 57 | 45.6 | 60 | 48.3 |
| BADGE·H2O | 29 | 175.8 | 51 | 127.4 | 76 | 34.2 | 47 | 61.7 |
| BADGE·HCl·H2O | 46 | 110.8 | 59 | 110.1 | 82 | 31.7 | 70 | 41.4 |
| 1 (Day) | 3 (Day) | 5 (Day) | 7 (Day) |
|---|---|---|---|
![]() | ![]() | ![]() | ![]() |
| Sample | Spiked Conc. (ng/g) | HPLC (n = 3) | AuNPs Lateral-Flow Immunochromatographic Strip Assay (n = 3) | |||
|---|---|---|---|---|---|---|
| Mean ± SD (ng/g) | Recovery (%) | Mean ± SD (ng/g) | Recovery (%) | |||
| Canned luncheon meat | 50 | 45.28 ± 0.02 | 90.56 | ![]() | 45.67 ± 1.66 | 91.35 |
| 100 | 95.71 ± 0.10 | 95.71 | ![]() | 79.86 ± 3.51 | 79.86 | |
| 250 | 247.56 ± 0.11 | 99.02 | ![]() | 209.10 ± 5.59 | 83.64 | |
| Canned yellow peach | 50 | 43.30 ± 0.03 | 86.60 | ![]() | 44.10 ± 2.60 | 88.20 |
| 100 | 96.93 ± 0.09 | 96.93 | ![]() | 91.69 ± 6.94 | 91.69 | |
| 250 | 243.95 ± 0.74 | 97.58 | ![]() | 213.76 ± 5.27 | 85.50 | |
| Red Bull drink | 50 | 46.97 ± 0.03 | 93.94 | ![]() | 43.17 ± 3.78 | 86.35 |
| 100 | 94.82 ± 0.11 | 94.82 | ![]() | 87.35 ± 3.97 | 87.35 | |
| 250 | 231.41 ± 0.50 | 92.56 | ![]() | 234.54 ± 6.48 | 93.81 | |
| Sample | BADGE and Its Derivatives | HPLC | AuNPs Lateral-Flow Immunochromatographic Strip Assay | ||||
|---|---|---|---|---|---|---|---|
| Mean ± SD (ng/g) | Total Amount | Detection of Concentration Mean ± SD (ng/g) | Actual Concentration Mean ± SD (ng/g) | ||||
| Canned luncheon meat | 1 | BADGE | 45.03 ± 0.83 | 130.06 | ![]() | 3.14 ± 5.44 | 125.72 |
| BADGE·HCl | 85.03 ± 0.36 | ||||||
| BADGE·H2O | ND | ||||||
| BADGE·HCl·H2O | ND | ||||||
| 2 | BADGE | 39.00 ± 0.80 | 110.76 | ![]() | 2.57 ± 1.09 | 103.69 | |
| BADGE·HCl | 71.76 ± 0.19 | ||||||
| BADGE·H2O | ND | ||||||
| BADGE·HCl·H2O | ND | ||||||
| Canned yellow peach | 3 | BADGE | 47.85 ± 0.39 | 102.11 | ![]() | 2.48 ± 0.84 | 99.42 |
| BADGE·HCl | ND | ||||||
| BADGE·H2O | 54.25 ± 0.31 | ||||||
| BADGE·HCl·H2O | ND | ||||||
| 4 | BADGE | 61.39 ± 0.25 | 144.78 | ![]() | 3.41 ± 1.72 | 136.50 | |
| BADGE·HCl | ND | ||||||
| BADGE·H2O | 83.42 ± 0.07 | ||||||
| BADGE·HCl·H2O | ND | ||||||
| Red Bull drink | 5 | BADGE | 50.54 ± 0.77 | 176.92 | ![]() | 4.27 ± 2.64 | 170.81 |
| BADGE·HCl | ND | ||||||
| BADGE·H2O | 126.37 ± 0.82 | ||||||
| BADGE·HCl·H2O | ND | ||||||
| 6 | BADGE | 56.49 ± 2.16 | 193.68 | ![]() | 4.67 ± 5.44 | 187.14 | |
| BADGE·HCl | ND | ||||||
| BADGE·H2O | 137.18 ± 0.62 | ||||||
| BADGE·HCl·H2O | ND | ||||||
| Detection Method | Detection Targets | Detection Results | References |
|---|---|---|---|
| HPLC-FLD | Bisphenols, bisphenol diglycidyl ethers and their derivatives | Quantitation limits for the analytes ranged between 0.9 and 3.5 μg kg−1 | Ref. [16] |
| HPLC-FLD | 5 bisphenol derivatives including BADGE | Limits of detection (LODs) were between 21 and 28 ng/mL | Ref. [17] |
| HPLC-FLD | Bisphenol A diglycidyl ether and its derivatives | LODs varied from 0.01 to 0.20 ng/g | Ref. [18] |
| LC–MS/MS | BPA and its derivatives including BADGE | Quantification limits were in the range of 2–10 μg kg−1 | Ref. [19] |
| UHPLC-ESI-MS/MS | Bisphenol ethers and their derivatives | Limits of quantitation (LOQs) for the analytes ranged from 0.02 to 5 mg/kg | Ref. [21] |
| GC-MS | Bisphenols and their diglycidyl ethers | Migration of BPA is between 104.67 and 181.46 μg L−1 | Ref. [22] |
| ic-ELISA | BADGE BADGE·HCl BADGE·H2O BADGE·HCl·H2O | IC15 of BADGE, BADGE·H2O, BADGE·HCl, BADGE·HCl·H2O were 0.73, 0.39, 0.78, 1.45 ng/mL | Ref. [36] |
| AuNPs-based immunochromatographic strip assay | BADGE BADGE·HCl BADGE·H2O BADGE·HCl·H2O | Simultaneous detection of BADGE and its derivatives within 15 min. Visual detection limit was 1 ng/mL for BADGE. | This work |
| Number of Experimental Group | 0 | 1 | 2 | 3 | 4 | 5 | 6 | 7 | 8 | 9 |
|---|---|---|---|---|---|---|---|---|---|---|
| Antibody (μg) | 0 | 0.37 | 1.49 | 3.36 | 5.98 | 9.35 | 13.51 | 18.33 | 23.93 | 30.32 |
| AuNPs solution (mL) | 1 | 1 | 1 | 1 | 1 | 1 | 1 | 1 | 1 | 1 |
Disclaimer/Publisher’s Note: The statements, opinions and data contained in all publications are solely those of the individual author(s) and contributor(s) and not of MDPI and/or the editor(s). MDPI and/or the editor(s) disclaim responsibility for any injury to people or property resulting from any ideas, methods, instructions or products referred to in the content. |
© 2023 by the authors. Licensee MDPI, Basel, Switzerland. This article is an open access article distributed under the terms and conditions of the Creative Commons Attribution (CC BY) license (https://creativecommons.org/licenses/by/4.0/).
Share and Cite
Yu, C.; Hu, J.; Wu, W.; Zhou, Y.; Zhang, C.; Yang, Q. Broad-Spectrum Antibody-Based Immunochromatographic Strip Assay for Rapid Screening of Bisphenol A Diglycidyl Ether and Its Derivatives in Canned Foods. Molecules 2024, 29, 13. https://doi.org/10.3390/molecules29010013
Yu C, Hu J, Wu W, Zhou Y, Zhang C, Yang Q. Broad-Spectrum Antibody-Based Immunochromatographic Strip Assay for Rapid Screening of Bisphenol A Diglycidyl Ether and Its Derivatives in Canned Foods. Molecules. 2024; 29(1):13. https://doi.org/10.3390/molecules29010013
Chicago/Turabian StyleYu, Chundi, Jinnuo Hu, Wei Wu, Yongfei Zhou, Can Zhang, and Qingli Yang. 2024. "Broad-Spectrum Antibody-Based Immunochromatographic Strip Assay for Rapid Screening of Bisphenol A Diglycidyl Ether and Its Derivatives in Canned Foods" Molecules 29, no. 1: 13. https://doi.org/10.3390/molecules29010013
APA StyleYu, C., Hu, J., Wu, W., Zhou, Y., Zhang, C., & Yang, Q. (2024). Broad-Spectrum Antibody-Based Immunochromatographic Strip Assay for Rapid Screening of Bisphenol A Diglycidyl Ether and Its Derivatives in Canned Foods. Molecules, 29(1), 13. https://doi.org/10.3390/molecules29010013




















