Anti-Hyperglycemic Effects of Refined Fractions from Cyclocarya paliurus Leaves on Streptozotocin-Induced Diabetic Mice
Abstract
:1. Introduction
2. Results
2.1. CPF and CPP Reverse Body Weight and Muscle Weight Losses in STZ-Induced Diabetic Mice
2.2. CPF and CPP Improve Insulin Sensitivity in STZ-Induced Diabetic Mice
2.3. CPF Enhances Glucose-Stimulated Insulin Secretion in MIN6 Cells and Insulin-Stimulated Glucose Uptake in C2C12 Myotubes
2.4. CPF and CPP Suppressed Inflammatory Cytokine Levels in STZ-Induced Diabetic Mice
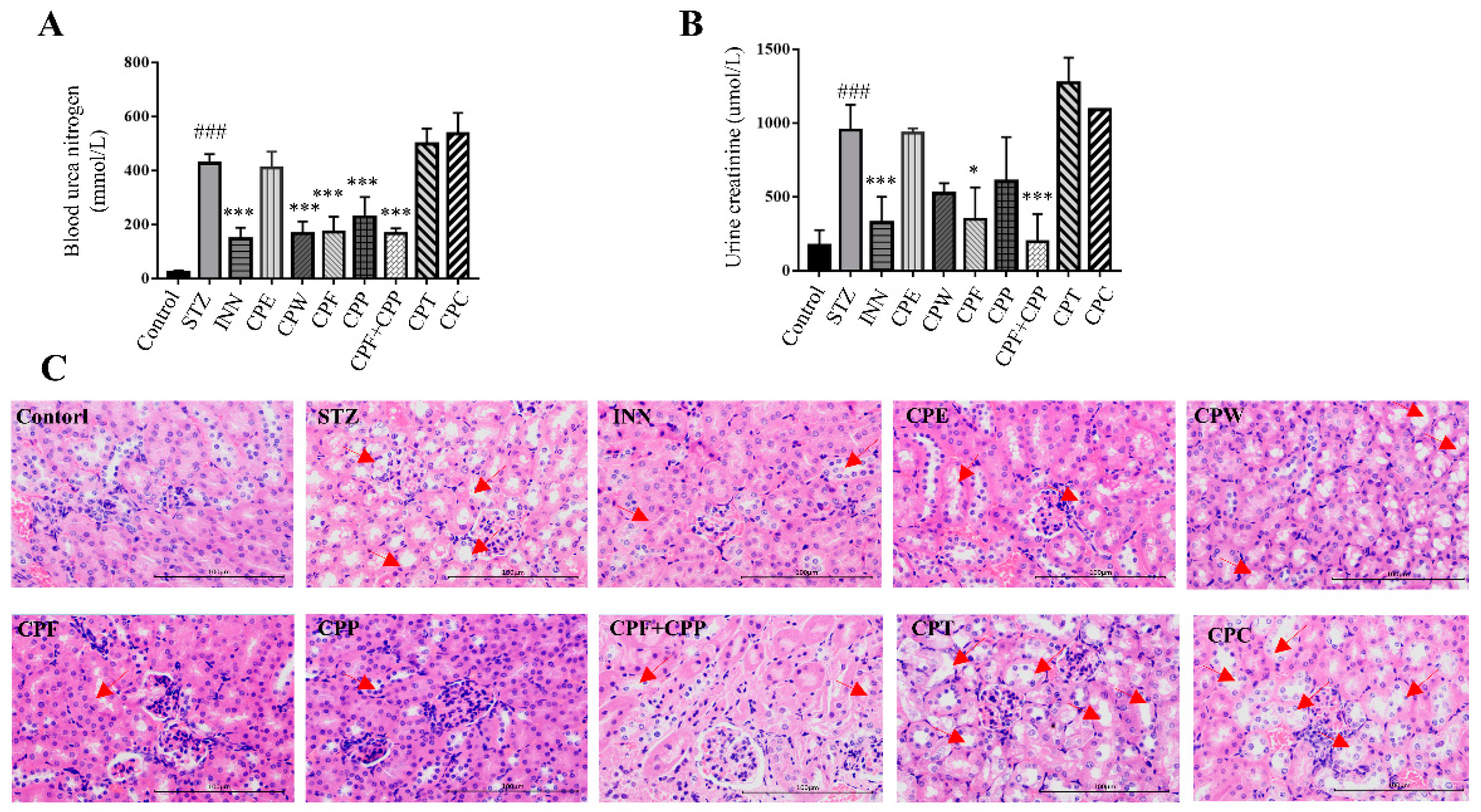
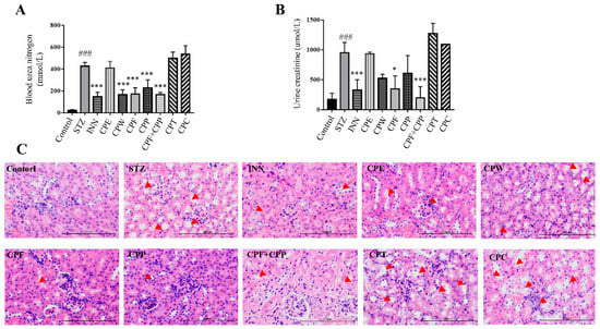
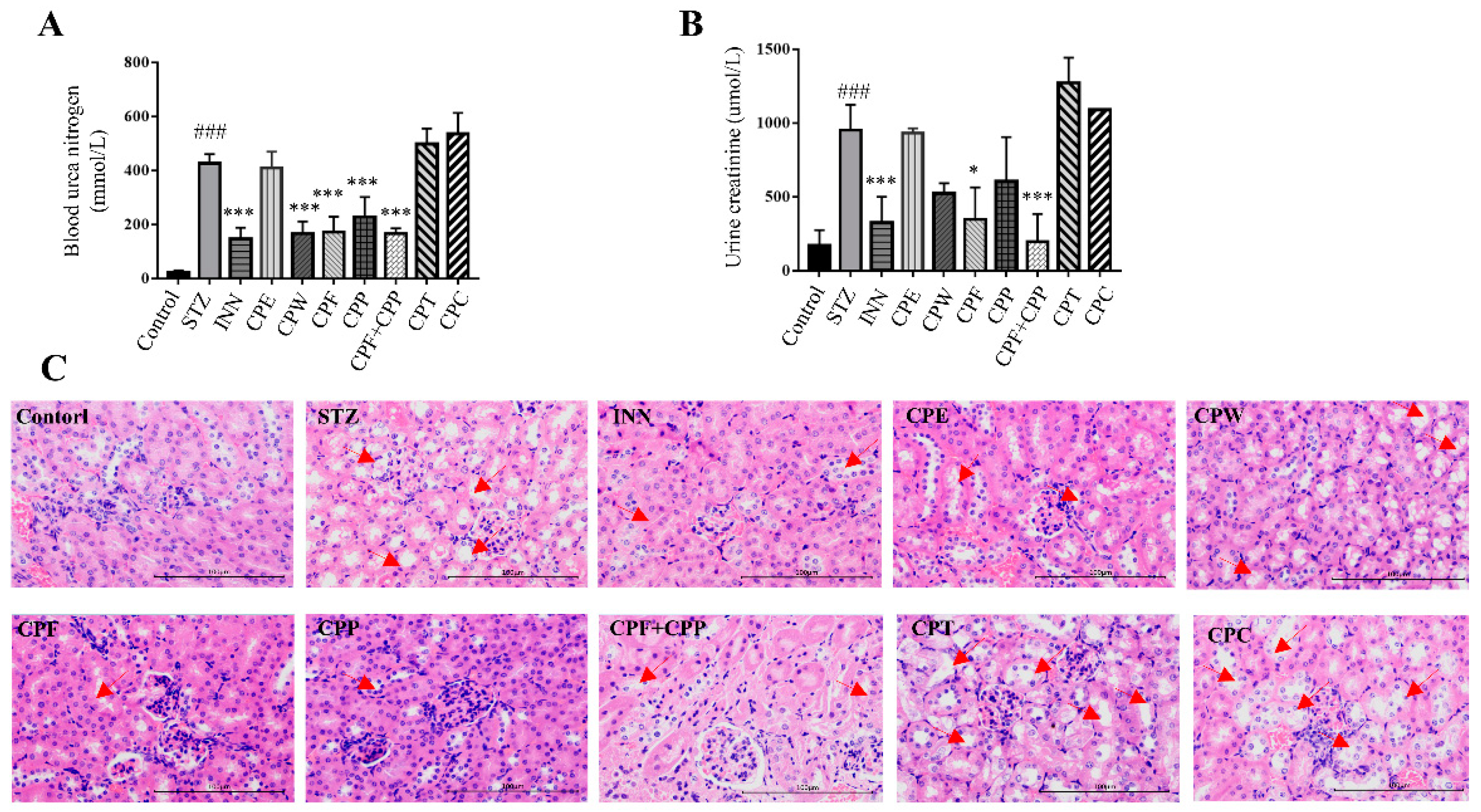
2.5. CPF and CPP Improved Nephropathy in STZ-Induced Diabetic Mice
2.6. The Bioinformatics Predict Results Indicate CPF with Potential Anti-Diabetic Effects
2.7. Characterization of Chemical Constituents in CPE, CPF, CPP, and CPT
2.8. The Molecular Networking for CPF Using GNPS Analysis
3. Discussion
4. Materials and Methods
4.1. Plant Material
4.2. Extraction and Preparation
4.3. Animals
4.4. STZ-Induced Diabetic Mice
4.5. Glucose Tolerance Tests (GTT) and Insulin Tolerance Tests (ITT)
4.6. Blood Sample Collection and Preparation
4.7. Homeostasis Model Assessment of Basal Insulin Resistance
4.8. Cell Viability
4.9. Glucose-Stimulated Insulin Secretion
4.10. C2C12 Cell Culture and Differentiation
4.11. Insulin-Stimulated Glucose Uptake
4.12. Determination of Cytokines
4.13. H&E Staining of Kidney
4.14. Sample Preparation
4.15. Emperor Analysis
4.16. Chromatography and MS Conditions
4.17. Determination of Homogeneity and Molecular Weight for CPP
4.18. Molecular Networking Workflow Description
4.19. Statistical Analysis
5. Conclusions
Author Contributions
Funding
Institutional Review Board Statement
Informed Consent Statement
Data Availability Statement
Conflicts of Interest
Sample Availability
References
- Chen, L.; Magliano, D.J.; Zimmet, P.Z. The worldwide epidemiology of type 2 diabetes mellitus-present and future perspectives. Nat. Rev. Endocrinol. 2012, 8, 228–236. [Google Scholar] [CrossRef]
- WHO. World Health Organization Diabetes. Available online: https://www.who.int/news-room/fact-sheets/detail/diabetes (accessed on 9 October 2021).
- Harding, J.L.; Pavkov, M.E.; Magliano, D.J.; Shaw, J.E.; Gregg, E.W. Global trends in diabetes complications: A review of current evidence. Diabetologia 2019, 62, 3–16. [Google Scholar] [CrossRef] [Green Version]
- Eizirik, D.L.; Pasquali, L.; Cnop, M. Pancreatic beta-cells in type 1 and type 2 diabetes mellitus: Different pathways to failure. Nat. Rev. Endocrinol. 2020, 16, 349–362. [Google Scholar] [CrossRef] [PubMed]
- Balaji, R.; Duraisamy, R.; Kumar, M. Complications of diabetes mellitus: A review. Drug Invent. Today 2019, 12, 98–103. [Google Scholar]
- Testa, R.; Bonfigli, A.R.; Prattichizzo, F.; La Sala, L.; De Nigris, V.; Ceriello, A. The “Metabolic Memory” theory and the early treatment of hyperglycemia in prevention of diabetic complications. Nutrients 2017, 9, 437. [Google Scholar] [CrossRef] [Green Version]
- Umegaki, H. Sarcopenia and diabetes: Hyperglycemia is a risk factor for age-associated muscle mass and functional reduction. J. Diabetes Invest. 2015, 6, 623. [Google Scholar] [CrossRef] [PubMed]
- Hirata, Y.; Nomura, K.; Senga, Y.; Okada, Y.; Kobayashi, K.; Okamoto, S.; Minokoshi, Y.; Imamura, M.; Takeda, S.I.; Hosooka, T. Hyperglycemia induces skeletal muscle atrophy via a WWP1/KLF15 axis. JCI Insight 2019, 4, e124952. [Google Scholar] [CrossRef] [PubMed] [Green Version]
- Sudamrao Garud, M.; Anant Kulkarni, Y. Hyperglycemia to nephropathy via transforming growth factor beta. Curr. Diabetes Rev. 2014, 10, 182–189. [Google Scholar] [CrossRef] [PubMed]
- Yusuff, K.B.; Obe, O.; Joseph, B.Y. Adherence to anti-diabetic drug therapy and self management practices among type-2 diabetics in Nigeria. Pharm. World Sci. 2008, 30, 876–883. [Google Scholar] [CrossRef]
- Ruscica, M.; Baldessin, L.; Boccia, D.; Racagni, G.; Mitro, N. Non-insulin anti-diabetic drugs: An update on pharmacological interactions. Pharmacol. Res. 2017, 115, 14–24. [Google Scholar] [CrossRef] [PubMed]
- Kuang, R.; Li, Q. Cyclocarya paliurus (Batal.) Iljinsk. In Flora Reipublicae Popularis Sinicae; Editorial Committee of Flora of China; Chinese Academy of Sciences Press: Beijing, China, 1979; p. 19. [Google Scholar]
- Jiang, C.; Yao, N.; Wang, Q.; Zhang, J.; Sun, Y.; Xiao, N.; Liu, K.; Huang, F.; Fang, S.; Shang, X. Cyclocarya paliurus extract modulates adipokine expression and improves insulin sensitivity by inhibition of inflammation in mice. J. Ethnopharmacol. 2014, 153, 344–351. [Google Scholar] [CrossRef] [PubMed]
- Yoshitomi, H.; Tsuru, R.; Li, L.; Zhou, J.; Kudo, M.; Liu, T.; Gao, M. Cyclocarya paliurus extract activates insulin signaling via Sirtuin1 in C2C12 myotubes and decreases blood glucose level in mice with impaired insulin secretion. PLoS ONE 2017, 12, e0183988. [Google Scholar] [CrossRef] [PubMed]
- Zhao, L.; Wang, X.; Li, J.; Tan, X.; Fan, L.; Zhang, Z.; Leng, J. Effect of Cyclocarya paliurus on hypoglycemic effect in type 2 diabetic mice. Med. Sci. Monitor. 2019, 25, 2976. [Google Scholar] [CrossRef]
- Shi, L.; ShangGuan, X.; Wang, W.; Shen, Y.; Jiang, Y.; Yin, Z. Effects of polysaccharide of Cyclocarya paliurus on alloxan-induced diabetic mice. Acta Nutr. Sin. 2009, 31, 263–266. [Google Scholar]
- Liu, Y.; Cao, Y.; Fang, S.; Wang, T.; Yin, Z.; Shang, X.; Yang, W.; Fu, X. Antidiabetic effect of Cyclocarya paliurus leaves depends on the contents of antihyperglycemic flavonoids and antihyperlipidemic triterpenoids. Molecules 2018, 23, 1042. [Google Scholar] [CrossRef] [Green Version]
- Fang, Z.-J.; Shen, S.-N.; Wang, J.-M.; Wu, Y.-J.; Zhou, C.-X.; Mo, J.-X.; Lin, L.-G.; Gan, L.-S. Triterpenoids from Cyclocarya paliurus that enhance glucose uptake in 3T3-L1 adipocytes. Molecules 2019, 24, 187. [Google Scholar] [CrossRef] [PubMed] [Green Version]
- Jiang, W.; Si, L.; Li, P.; Bai, B.; Qu, J.; Hou, B.; Zou, H.; Fan, X.; Liu, Z.; Liu, Z.; et al. Serum metabonomics study on antidiabetic effects of fenugreek flavonoids in streptozotocin-induced rats. J. Chromatogrt B 2018, 1092, 466–472. [Google Scholar] [CrossRef]
- Cui, C.; Yang, Y.; Zhao, T.; Zou, K.; Peng, C.; Cai, H.; Wan, X.; Hou, R. Insecticidal activity and insecticidal mechanism of total saponins from Camellia oleifera. Molecules 2019, 24, 4518. [Google Scholar] [CrossRef] [Green Version]
- Yao, Y.; Yan, L.; Chen, H.; Wu, N.; Wang, D. Cyclocarya paliurus polysaccharides alleviate type 2 diabetic symptoms by modulating gut microbiota and short-chain fatty acids. Phytomedicine 2020, 77, 153268. [Google Scholar] [CrossRef]
- Marre, M.; Howlett, H.; Lehert, P.; Allavoine, T. Improved glycaemic control with metformin–glibenclamide combined tablet therapy (Glucovance®) in Type 2 diabetic patients inadequately controlled on metformin. Diabet. Med. 2002, 19, 673–680. [Google Scholar] [CrossRef]
- Wang, Q.; Jiang, C.; Fang, S.; Wang, J.; Ji, Y.; Shang, X.; Ni, Y.; Yin, Z.; Zhang, J. Antihyperglycemic, antihyperlipidemic and antioxidant effects of ethanol and aqueous extracts of Cyclocarya paliurus leaves in type 2 diabetic rats. J. Ethnopharmacol. 2013, 150, 1119–1127. [Google Scholar] [CrossRef] [PubMed]
- Li, Q.; Hu, J.; Nie, Q.; Chang, X.; Fang, Q.; Xie, J.; Li, H.; Nie, S. Hypoglycemic mechanism of polysaccharide from Cyclocarya paliurus leaves in type 2 diabetic rats by gut microbiota and host metabolism alteration. Sci. China Life Sci. 2021, 64, 117–132. [Google Scholar] [CrossRef] [PubMed]
- Li, K.; Zhang, L.; Xue, J.; Yang, X.; Dong, X.; Sha, L.; Lei, H.; Zhang, X.; Zhu, L.; Wang, Z. Dietary inulin alleviates diverse stages of type 2 diabetes mellitus via anti-inflammation and modulating gut microbiota in db/db mice. Food Funct. 2019, 10, 1915–1927. [Google Scholar] [CrossRef] [PubMed]
- Liu, G.; Bei, J.; Liang, L.; Yu, G.; Li, L.; Li, Q. Stachyose improves inflammation through modulating gut microbiota of high-fat diet/streptozotocin-induced type 2 diabetes in rats. Mol. Nutr. Food Res. 2018, 62, 1700954. [Google Scholar] [CrossRef]
- Nosadini, R.; Tonolo, G. Relationship between blood glucose control, pathogenesis and progression of diabetic nephropathy. J. Am. Soc. Nephrol. 2004, 15, S1–S5. [Google Scholar] [CrossRef] [PubMed] [Green Version]
- Warren, A.M.; Knudsen, S.T.; Cooper, M.E. Diabetic nephropathy: An insight into molecular mechanisms and emerging therapies. Expert. Opin. Ther. Tar. 2019, 23, 579–591. [Google Scholar] [CrossRef]
- Umanath, K.; Lewis, J.B. Update on diabetic nephropathy: Core curriculum 2018. Am. J. Kidney Dis. 2018, 71, 884–895. [Google Scholar] [CrossRef] [PubMed]
- Jiang, X.; Chen, S.; Guo, Z.; Gu, D.; Liang, X. Components characterisation of Berchemia lineata (L.) DC. by UPLC-QTOF-MS/MS and its metabolism with human liver microsomes. Nat. Prod. Res. 2021, 35, 521–524. [Google Scholar] [CrossRef] [PubMed]
- El-Hawary, S.S.; Fathy, F.I.; Sleem, A.A.; Morsy, F.A.; Khadar, M.S.; Mansour, M.K. Anticholinesterase activity and metabolite profiling of Syagrus romanzoffiana (Cham.) Glassman leaves and fruits via UPLC–QTOF–PDA–MS. Nat. Prod. Res. 2021, 35, 1671–1675. [Google Scholar] [CrossRef]
- Ning, Z.-N.; Zhai, L.-X.; Huang, T.; Peng, J.; Hu, D.; Xiao, H.-T.; Wen, B.; Lin, C.-Y.; Zhao, L.; Biao, Z.-X. Identification of α-glucosidase inhibitors from Cyclocarya paliurus tea leaves using UF-UPLC-Q/TOF-MS/MS and molecular docking. Food Funct. 2019, 10, 1893–1902. [Google Scholar] [CrossRef] [PubMed]
- Sadowska-Bartosz, I.; Galiniak, S.; Bartosz, G. Kinetics of glycoxidation of bovine serum albumin by glucose, fructose and ribose and its prevention by food components. Molecules 2014, 19, 18828–18849. [Google Scholar] [CrossRef] [PubMed] [Green Version]
- de Peredo, A.V.G.; Vázquez-Espinosa, M.; Piñeiro, Z.; Espada-Bellido, E.; Ferreiro-González, M.; Barbero, G.F.; Palma, M. Development of a rapid and accurate UHPLC-PDA-FL method for the quantification of phenolic compounds in grapes. Food Chem. 2021, 334, 127569. [Google Scholar] [CrossRef] [PubMed]
- Ning, Z.-W.; Zhai, L.-X.; Peng, J.; Zhao, L.; Huang, T.; Lin, C.-Y.; Chen, W.-H.; Luo, Z.; Xiao, H.-T.; Bian, Z.-X. Simultaneous UPLC–TQ-MS/MS determination of six active components in rat plasma: Application in the pharmacokinetic study of Cyclocarya paliurus leaves. Chin. Med. 2019, 14, 1–11. [Google Scholar] [CrossRef] [PubMed] [Green Version]
- Xie, J.-H.; Dong, C.-J.; Nie, S.-P.; Li, F.; Wang, Z.-J.; Shen, M.-Y.; Xie, M.-Y. Extraction, chemical composition and antioxidant activity of flavonoids from Cyclocarya paliurus (Batal.) Iljinskaja leaves. Food Chem. 2015, 186, 97–105. [Google Scholar] [CrossRef] [PubMed]
- Lin, Z.; Wu, Z.-F.; Jiang, C.-H.; Zhang, Q.-W.; Ouyang, S.; Che, C.-T.; Zhang, J.; Yin, Z.-Q. The chloroform extract of Cyclocarya paliurus attenuates high-fat diet induced non-alcoholic hepatic steatosis in Sprague Dawley rats. Phytomedicine 2016, 23, 1475–1483. [Google Scholar] [CrossRef] [PubMed]
- Chen, Y.-j.; Na, L.; Fan, J.; Zhao, J.; Hussain, N.; Jian, Y.-q.; Yuan, H.; Li, B.; Liu, B.; Choudhary, M.I. Phytochemistry Seco-dammarane triterpenoids from the leaves of Cyclocarya paliurus. Phytochemistry 2018, 145, 85–92. [Google Scholar] [CrossRef] [PubMed]
- Liu, W.; Deng, S.; Zhou, D.; Huang, Y.; Li, C.; Hao, L.; Zhang, G.; Su, S.; Xu, X.; Yang, R. 3, 4-Seco-dammarane triterpenoid saponins with anti-inflammatory activity isolated from the leaves of Cyclocarya paliurus. J. Agric. Food Chem. 2020, 68, 2041–2053. [Google Scholar] [CrossRef]
- Zhou, X.-L.; Li, S.-B.; Yan, M.-Q.; Luo, Q.; Wang, L.-S.; Shen, L.-L.; Liao, M.-L.; Lu, C.-H.; Liu, X.-Y.; Liang, C.-Q. Bioactive dammarane triterpenoid saponins from the leaves of Cyclocarya paliurus. Phytochemistry 2021, 183, 112618. [Google Scholar] [CrossRef]
- Cao, Y.; Fang, S.; Yin, Z.; Fu, X.; Shang, X.; Yang, W.; Yang, H. Chemical fingerprint and multicomponent quantitative analysis for the quality evaluation of Cyclocarya paliurus leaves by HPLC–Q–TOF–MS. Molecules 2017, 22, 1927. [Google Scholar] [CrossRef] [Green Version]
- Xie, J.-H.; Xie, M.-Y.; Nie, S.-P.; Shen, M.-Y.; Wang, Y.-X.; Li, C. Isolation, chemical composition and antioxidant activities of a water-soluble polysaccharide from Cyclocarya paliurus (Batal.) Iljinskaja. Food Chem. 2010, 119, 1626–1632. [Google Scholar] [CrossRef]
- McCoy, S.; Kabadi, M.; Kabadi, U.; Birkenholz, M. More uniform diurnal blood glucose control and a reduction in daily insulin dosage on addition of glibenclamide to insulin in type 1 diabetes mellitus: Role of enhanced insulin sensitivity. Diabet. Med. 1995, 12, 880–884. [Google Scholar] [CrossRef] [PubMed]
- Wang, R.; Qin, Y.; Zhou, J. Research progress in Cyclocarya paliurus (Batal.) Iljinsk. polysaccharide in China in the latest decade. Chin. J. Inf. Trad Chin. Med. 2017, 24, 133–136. [Google Scholar]
- Sheng, X.; Chen, H.; Wang, J.; Zheng, Y.; Li, Y.; Jin, Z.; Li, J. Joint transcriptomic and metabolic analysis of flavonoids in Cyclocarya paliurus leaves. ACS Omega. 2021, 6, 9028–9038. [Google Scholar] [CrossRef] [PubMed]
- Richard, A.J.; White, U.; Elks, C.M.; Stephens, J.M. Adipose tissue: Physiology to metabolic dysfunction. Endotext 2020. [Google Scholar]
- Kakar, M.U.; Naveed, M.; Saeed, M.; Zhao, S.; Rasheed, M.; Firdoos, S.; Manzoor, R.; Deng, Y.; Dai, R. A review on structure, extraction, and biological activities of polysaccharides isolated from Cyclocarya paliurus (Batalin) Iljinskaja. Int. J. Biol. Macromol. 2020, 156, 420–429. [Google Scholar] [CrossRef]
- Kurihara, H.; Fukami, H.; Kusumoto, A.; Toyoda, Y.; Shibata, H.; Matsui, Y.; Asami, S.; Tanaka, T. Hypoglycemic action of Cyclocarya paliurus (Batal.) Iljinskaja in normal and diabetic mice. Biosci Biotech Bioch. 2003, 67, 877–880. [Google Scholar] [CrossRef] [Green Version]
- Liu, W.; Wu, Y.; Hu, Y.; Qin, S.; Guo, X.; Wang, M.; Wu, L.; Liu, T. Effect of Cyclocarya paliurus aqueous and ethanol extract on glycolipid metabolism and the underlying mechanisms: A meta-analysis and systematic review. Front Nutr. 2020, 7, 289. [Google Scholar] [CrossRef]
- Li, J.; Luo, M.; Luo, Z.; Guo, A.-Y.; Yang, X.; Hu, M.; Zhang, Q.; Zhu, Y. Transcriptome profiling reveals the anti-diabetic molecular mechanism of Cyclocarya paliurus polysaccharides. J. Funct. Foods. 2019, 55, 1–8. [Google Scholar] [CrossRef]
- Aguirre, L.; Arias, N.; Teresa Macarulla, M.; Gracia, A.; P Portillo, M. Beneficial effects of quercetin on obesity and diabetes. Open Nutr. J. 2011, 4, 189–198. [Google Scholar]
- Shi, G.-J.; Li, Y.; Cao, Q.-H.; Wu, H.-X.; Tang, X.-Y.; Gao, X.-H.; Yu, J.-Q.; Chen, Z.; Yang, Y. In vitro and in vivo evidence that quercetin protects against diabetes and its complications: A systematic review of the literature. Biomed. Pharmacother. 2019, 109, 1085–1099. [Google Scholar] [CrossRef]
- Zang, Y.; Zhang, L.; Igarashi, K.; Yu, C. The anti-obesity and anti-diabetic effects of kaempferol glycosides from Unripe soybean leaves in high-fat-diet mice. Food Funct. 2015, 6, 834–841. [Google Scholar] [CrossRef]
- De Luca, C.; Olefsky, J.M. Inflammation and insulin resistance. FEBS Lett. 2008, 582, 97–105. [Google Scholar] [CrossRef] [PubMed] [Green Version]
- Shoelson, S.E.; Lee, J.; Goldfine, A.B. Inflammation and insulin resistance. J. Clin. Invest. 2006, 116, 1793–1801. [Google Scholar] [CrossRef] [PubMed]
- Cai, J.; Lu, S.; Yao, Z.; Deng, Y.-P.; Zhang, L.-D.; Yu, J.-W.; Ren, G.-F.; Shen, F.-M.; Jiang, G.-J. Glibenclamide attenuates myocardial injury by lipopolysaccharides in streptozotocin-induced diabetic mice. Cardiovasc. Diabetol. 2014, 13, 1–11. [Google Scholar] [CrossRef] [PubMed] [Green Version]
- Lamprianou, S.; Gysemans, C.; Bou Saab, J.; Pontes, H.; Mathieu, C.; Meda, P. Glibenclamide prevents diabetes in NOD mice. PLoS ONE 2016, 11, e0168839. [Google Scholar] [CrossRef] [PubMed]
- Zhai, L.; Ning, Z.-W.; Huang, T.; Wen, B.; Liao, C.-H.; Lin, C.-Y.; Zhao, L.; Xiao, H.-T.; Bian, Z.-X. Cyclocarya paliurus leaves tea improves dyslipidemia in diabetic mice: A lipidomics-based network pharmacology study. Front. Pharmacol. 2018, 9, 973. [Google Scholar] [CrossRef] [PubMed]
- Shen, S.; Liao, Q.; Zhang, T.; Pan, R.; Lin, L. Myricanol modulates skeletal muscle-adipose tissue crosstalk to alleviate high-fat diet-induced obesity and insulin resistance. Br. J. Pharmacol. 2019, 176, 3983–4001. [Google Scholar] [CrossRef] [Green Version]
- Vong, C.T.; Tseng, H.H.L.; Kwan, Y.W.; Lee, S.M.-Y.; Hoi, M.P.M. Antrodia camphorata increases insulin secretion and protects from apoptosis in MIN6 Cells. Front. Pharmacol. 2016, 7, 67. [Google Scholar] [CrossRef] [PubMed] [Green Version]
- Nishida, A.; Takizawa, T.; Matsumoto, A.; Miki, T.; Seino, S.; Nakaya, H. Inhibition of ATP-sensitive K+ channels and L-type Ca2+ channels by amiodarone elicits contradictory effect on insulin secretion in MIN6 cells. Trends Pharmacol. Sci. 2011, 116, 73–80. [Google Scholar] [CrossRef] [Green Version]
- Shen, S.; Liao, Q.; Liu, J.; Pan, R.; Lee, S.M.Y.; Lin, L. Myricanol rescues dexamethasone-induced muscle dysfunction via a sirtuin 1-dependent mechanism. J. Cachexia Sarcopenia Muscle 2019, 10, 429–444. [Google Scholar] [CrossRef]
- Shen, S.; Liao, Q.; Feng, Y.; Liu, J.; Pan, R.; Lee, S.M.-Y.; Lin, L. Myricanol mitigates lipid accumulation in 3T3-L1 adipocytes and high fat diet-fed zebrafish via activating AMP-activated protein kinase. Food Chem. 2019, 270, 305–314. [Google Scholar] [CrossRef] [PubMed]
- Li, D.; Liu, Q.; Lu, X.; Li, Z.; Wang, C.; Leung, C.-H.; Wang, Y.; Peng, C.; Lin, L. α-Mangostin remodels visceral adipose tissue inflammation to ameliorate age-related metabolic disorders in mice. Aging 2019, 11, 11084. [Google Scholar] [CrossRef] [PubMed]
- Vázquez-Baeza, Y.; Pirrung, M.; Gonzalez, A.; Knight, R. EMPeror: A tool for visualizing high-throughput microbial community data. Gigascience 2013, 2, 2047–2217X. [Google Scholar] [CrossRef] [PubMed] [Green Version]
- Vázquez-Baeza, Y.; Gonzalez, A.; Smarr, L.; McDonald, D.; Morton, J.T.; Navas-Molina, J.A.; Knight, R. Bringing the dynamic microbiome to life with animations. Cell Host Microbe 2017, 21, 7–10. [Google Scholar] [CrossRef] [PubMed] [Green Version]
- Xu, W.; Guan, R.; Shi, F.; Du, A.; Hu, S. Structural analysis and immunomodulatory effect of polysaccharide from Atractylodis macrocephalae Koidz. on bovine lymphocytes. Carbohydr. Polym. 2017, 174, 1213–1223. [Google Scholar] [CrossRef]
- Wang, M.; Carver, J.J.; Phelan, V.V.; Sanchez, L.M.; Garg, N.; Peng, Y.; Nguyen, D.D.; Watrous, J.; Kapono, C.A.; Luzzatto-Knaan, T. Sharing and community curation of mass spectrometry data with Global Natural Products Social Molecular Networking. Nat. Biotechnol. 2016, 34, 828–837. [Google Scholar] [CrossRef] [Green Version]









| No. | tR (min) | Identification | Formula | Selected Ion | Measured (m/z) | Calculated (m/z) | Error (ppm) | MS2 (m/z) |
|---|---|---|---|---|---|---|---|---|
| P1 | 4.004 | 3-O-caffeoylquinic acid [41] | C16H18O9 | [M−H]− | 353.0884 | 353.0878 | 1.7 | 191.0556 (100) [M−H−CA+H2O]− |
| 179.0347 (40) [CA−H]− | ||||||||
| 135.0450 (48) [CA−H−CO2]− | ||||||||
| P2 | 5.084 | 4-O-caffeoylquinic acid [41] | C16H18O9 | [M−H]− | 353.0885 | 353.0878 | 2.0 | 191.0557 (100) [M−H−CA+H2O]− |
| P3 | 6.180 | catechin [30] | C15H14O6 | [M−H]− | 289.0724 | 289.0718 | 2.2 | 289.0725 (100) [M−H]− |
| 271.0615 (8) [M−H−H2O]− | ||||||||
| F4 | 8.094 | isoquercetin [31,41] | C21H20O12 | [M−H]− | 463.0881 | 463.0882 | −0.2 | 463.0910 (13) [M−H]− |
| 301.0347 (31) [M−H−glc]− | ||||||||
| F5 | 8.145 | quercetin-3-O-glucuronide [35,41] | C21H18O13 | [M−H]− | 477.0675 | 477.0675 | 0.1 | 477.0693 (13) [M−H]− |
| 301.0353 (100) [M−H−glcA]− | ||||||||
| 283.0248 (10) [M−H−glcA−H2O]− | ||||||||
| F6 | 8.872 | kaempferol-3-O-galactoside [17,41] | C21H20O11 | [M−H]− | 447.0934 | 447.0933 | 0.3 | 447.0937 (56) [M−H]− |
| 285.0393 (31) [M−H−gal]− | ||||||||
| F7 | 9.126 | kaempferol-3-O-glucuronide [17,41] | C21H18O12 | [M−H]− | 461.0728 | 461.0725 | 0.5 | 461.0741 (5) [M−H]− |
| 285.0397 (100) [M−H−glcA]− | ||||||||
| F8 | 9.198 | kaempferol-3-O-glucoside [17,41] | C21H20O11 | [M−H]− | 447.0932 | 447.0933 | −0.2 | 447.0926 (44) [M−H]− |
| 285.0390 (71) [M−H−glc]− | ||||||||
| F9 | 9.297 | quercetin-3-O-rhamnoside [17,41] | C21H20O11 | [M−H]− | 447.0928 | 447.0933 | −1.1 | 447.0953 (19) [M−H]− |
| 301.0347 (56) [M−H−rha]− | ||||||||
| F10 | 10.024 | myricetin [34] | C15H10O8 | [M−H]− | 317.0303 | 317.0303 | 0.0 | 317.0299 (100) [M−H]− |
| 178.9975 (35) [M−H−C7H6O3]− | ||||||||
| F11 | 10.396 | kaempferol-3-O-rhamnoside [35,41] | C21H20O10 | [M−H]− | 431.0981 | 431.0984 | −0.6 | 431.1008 (24) [M−H]− |
| 285.0401 (99) [M−H−rha]− | ||||||||
| F12 | 12.071 | quercetin [35] | C15H10O7 | [M−H]− | 301.0354 | 301.0354 | 0.1 | 301.0341 (100) [M−H]− |
| 273.0392 (18) [M−H−CO]− | ||||||||
| F13 | 14.152 | kaempferol [36] | C15H10O6 | [M−H]− | 285.0410 | 285.0405 | 1.9 | 285.0401 (100) [M−H]− |
| T14 | 16.778 | 3β,19α,23-trihydroxy-1-oxo-olean -12-en-28-oic acid | C30H46O6 | [M−H]− | 501.3226 | 501.3222 | 0.9 | 501.3275 (100) [M−H]− |
| 455.3210 (71) [M−H−FA]− | ||||||||
| T15 | 20.616 | arjunolic acid | C30H48O5 | [M−H]− | 487.3451 | 487.3429 | 4.5 | 487.3462 (100) [M−H]− |
| T16 | 21.990 | cyclocaric acid B | C30H46O5 | [M−H]− | 485.3276 | 485.3272 | 0.7 | 485.3300 (100) [M−H]− |
| T17 | 22.128 | asiatic acid | C30H48O5 | [M−H]− | 487.3424 | 487.3429 | −1.0 | 487.3458 (100) [M−H]− |
| 469.3347 (10) [M−H−H2O]− | ||||||||
| T18 | 24.206 | pterocaryoside B [37] | C35H58O9 | [M−H]− | 621.4007 | 621.4008 | −0.2 | 621.4078 (100) [M−H]− |
| 489.3624 (15) [M−H−ara]− | ||||||||
| T19 | 25.341 | cyclocarioside I | C41H70O12 | [M−HCOO]− | 799.4865 | 799.4849 | 2.0 | 799.4962 (19) [M+HCOO]− |
| 753.4893 (100) [M−H]− | ||||||||
| 621.4482 (5) [M−H−ara]− | ||||||||
| T20 | 25.613 | cyclocarioside K | C41H70O12 | [M−HCOO]− | 799.4864 | 799.4849 | 1.8 | 799.4962 (19) [M+HCOO]− |
| 753.4893 (100) [M−H]− | ||||||||
| T21 | 25.892 | pterocaryoside A [37] | C36H60O9 | [M−H]− | 635.4166 | 635.4165 | 0.2 | 635.4249 (100) [M−H]− |
| 489.3639 (13) [M−H−qui]− | ||||||||
| T22 | 28.175 | cyclocariol C [38] | C30H50O5 | [M−HCOO]− | 535.3636 | 535.3640 | −0.8 | 489.3615 (100) [M−H]− |
| T23 | 28.499 | (20S,24R)-20,24-epoxy-25-hydroxy-12β -(α-L-arabinopyranosyloxy)-3,4-seco- dammara-4(28)-en-3-oic acid | C35H58O9 | [M−H]− | 621.4010 | 621.4008 | 0.3 | 621.4072 (100) [M−H]− |
| 489.3617 (20) [M−H−ara]− | ||||||||
| T24 | 28.763 | cyclocarioside B | C42H72O12 | [M−HCOO]− | 813.5020 | 813.5006 | 1.7 | 813.5129 (44) [M+HCOO]− |
| 767.5066 (100) [M−H]− | ||||||||
| T25 | 29.008 | hederagenin | C30H48O4 | [M−H]− | 471.3475 | 471.3480 | −1.0 | 471.3493 (100) [M−H]− |
| 453.3401 (10) [M−H−H2O]− | ||||||||
| T26 | 29.171 | cyclocarioside H | C43H72O13 | [M−HCOO]− | 841.4969 | 841.4955 | 1.7 | 841.5088 (76) [M+HCOO]− |
| 795.5014 (100) [M−H]− | ||||||||
| 753.4900 (57) [M−H−C2H2O]− | ||||||||
| T27 | 29.245 | cyclocarioside X [39] | C37H62O9 | [M−H]− | 649.4324 | 649.4321 | 0.4 | 649.4394 (100) [M−H]− |
| 517.3948 (12) [M−H−ara]− | ||||||||
| T28 | 31.812 | cypaliuruside E [40] | C36H58O8 | [M−H]− | 617.4058 | 617.4059 | −0.2 | 617.4131 (100) [M−H]− |
| 471.3508 (12) [M−H−qui]− | ||||||||
| T29 | 33.431 | ursolic acid | C30H48O3 | [M−H]− | 455.3527 | 455.3531 | −0.8 | 455.3580 (100) [M−H]− |
| No. | tR (min) | Identification | Formula | Selected Ion | Measured (m/z) | Calculated (m/z) | Error (ppm) | MS2 (m/z) |
|---|---|---|---|---|---|---|---|---|
| P1 | 3.938 | 3-O-caffeoylquinic acid [41] | C16H18O9 | [M−H]− | 353.0884 | 353.0878 | 1.7 | 191.0556 (100) [M−H−CA+H2O]− |
| 179.0347 (38) [CA−H]− | ||||||||
| 135.0454 (41) [CA−H−CO2]− | ||||||||
| P2 | 5.083 | 4-O-caffeoylquinic acid [41] | C16H18O9 | [M−H]− | 353.0885 | 353.0878 | 2.0 | 191.0554 (100) [M−H−CA+H2O]− |
| P3 | 6.146 | catechin [30] | C15H14O6 | [M−H]− | 289.0725 | 289.0718 | 2.6 | 289.0711 (88) [M−H]− |
| 271.0600 (7) [M−H−H2O]− | ||||||||
| F4 | 8.009 | isoquercetin [31,41] | C21H20O12 | [M−H]− | 463.0888 | 463.0882 | 1.3 | 463.0919 (30) [M−H]− |
| 301.0358 (44) [M−H−glc]− | ||||||||
| F5 | 8.125 | quercetin-3-O-glucuronide [35,41] | C21H18O13 | [M−H]− | 477.0684 | 477.0675 | 2.0 | 477.0709 (11) [M−H]− |
| 301.0362 (100) [M−H−glcA]− | ||||||||
| 283.0258 (7) [M−H−glcA−H2O]− | ||||||||
| F6 | 8.841 | kaempferol-3-O-galactoside [35,41] | C21H20O11 | [M−H]− | 447.0942 | 447.0933 | 2.0 | 447.0949 (55) [M−H]− |
| 285.0391 (32) [M−H−gal]− | ||||||||
| F7 | 9.128 | kaempferol-3-O-glucuronide [35,41] | C21H18O12 | [M−H]− | 461.0733 | 461.0725 | 1.6 | 461.0741 (5) [M−H]− |
| 285.0397 (100) [M−H−glcA]− | ||||||||
| F8 | 9.198 | kaempferol-3-O-glucoside [35,41] | C21H20O11 | [M−H]− | 447.0940 | 447.0933 | 1.6 | 447.0961 (29) [M−H]− |
| 285.0404 (55) [M−H−glc]− | ||||||||
| F9 | 9.332 | quercetin-3-O-rhamnoside [35,41] | C21H20O11 | [M−H]− | 447.0938 | 447.0933 | 1.2 | 447.0950 (18) [M−H]− |
| 301.0351 (60) [M−H−rha]− | ||||||||
| F11 | 10.358 | kaempferol-3-O-rhamnoside [35,41] | C21H20O10 | [M−H]− | 431.0987 | 431.0984 | 0.8 | 431.1008 (26) [M−H]− |
| 285.0405 (88) [M−H−rha]− | ||||||||
| 257.0458 (25) [M−H−rha−CO]− | ||||||||
| F12 | 12.108 | quercetin [35] | C15H10O7 | [M−H]− | 301.0366 | 301.0354 | 4.1 | 301.0360 (49) [M−H]− |
| 273.0406 (16) [M−H−CO]− | ||||||||
| 245.0448 (8) [M−H−2CO]− | ||||||||
| F13 | 14.125 | kaempferol [36] | C15H10O6 | [M−H]− | 285.0418 | 285.0405 | 4.7 | 285.0408 (100) [M−H]− |
| No. | tR (min) | Identification | Formula | Selected Ion | Measured (m/z) | Calculated (m/z) | Error (ppm) | MS2 (m/z) |
|---|---|---|---|---|---|---|---|---|
| T14 | 16.787 | 3β,19α,23-trihydroxy-1-oxo-olean -12-en-28-oic acid | C30H46O6 | [M−H]− | 501.3235 | 501.3222 | 2.6 | 501.3294 (100) [M−H]− |
| 455.3225 (73) [M−H−FA]− | ||||||||
| T15 | 20.616 | arjunolic acid | C30H48O5 | [M−H]− | 487.3451 | 487.3429 | 4.5 | 487.3482 (100) [M−H]− |
| T16 | 22.005 | cyclocaric acid B | C30H46O5 | [M−H]− | 485.3291 | 485.3272 | 3.9 | 485.3341 (100) [M−H]− |
| T17 | 22.160 | asiatic acid | C30H48O5 | [M−H]− | 487.3454 | 487.3429 | 5.1 | 487.3483 (100) [M−H]− |
| T18 | 24.134 | pterocaryoside B [37] | C35H58O9 | [M−H]− | 621.4029 | 621.4008 | 3.4 | 621.4104 (100) [M−H]− |
| 489.3639 (26) [M−H−ara]− | ||||||||
| T19 | 25.328 | cyclocarioside I | C41H70O12 | [M−HCOO]− | 799.4879 | 799.4849 | 3.8 | 799.5019 (25) [M+HCOO]− |
| 753.4958 (100) [M−H]− | ||||||||
| 621.4500 (7) [M−H−ara]− | ||||||||
| T20 | 25.683 | cyclocarioside K | C41H70O12 | [M−HCOO]− | 799.4866 | 799.4849 | 2.1 | 799.5024 (20) [M+HCOO]− |
| 753.4952 (100) [M−H]− | ||||||||
| 607.4322 (5) [M−H−qui]− | ||||||||
| T21 | 25.895 | pterocaryoside A [37] | C36H60O9 | [M−H]− | 635.4182 | 635.4165 | 2.7 | 635.4263 (100) [M−H]− |
| 489.3628 (20) [M−H−qui]− | ||||||||
| T22 | 27.669 | cyclocariol C [38] | C30H50O5 | [M−HCOO]− | 535.3671 | 535.3640 | 5.7 | 489.3636 (100) [M−H]− |
| T23 | 28.486 | (20S,24R)-20,24-epoxy-25-hydroxy-12β -(α-L-arabinopyranosyloxy)-3,4-seco- dammara-4(28)-en-3-oic acid | C35H58O9 | [M−H]− | 621.4034 | 621.4008 | 4.2 | 621.4118 (100) [M−H]− |
| 489.3669 (16) [M−H−ara]− | ||||||||
| T24 | 28.800 | cyclocarioside B | C42H72O12 | [M−HCOO]− | 813.5038 | 813.5006 | 3.9 | 813.5178 (35) [M+HCOO]− |
| 767.5112 (100) [M−H]− | ||||||||
| T25 | 29.028 | hederagenin | C30H48O4 | [M−H]− | 471.3500 | 471.3480 | 4.3 | 471.3535 (100) [M−H]− |
| 453.3406 (11) [M−H−H2O]− | ||||||||
| 425.3450 (9) [M−H−H2O−CO]− | ||||||||
| T26 | 29.224 | cyclocarioside H | C43H72O13 | [M−HCOO]− | 841.4989 | 841.4955 | 4.0 | 841.5109 (63) [M+HCOO]− |
| 795.5039 (100) [M−H]− | ||||||||
| 735.4818 (47) [M−H−AcOH]− | ||||||||
| T27 | 29.252 | cyclocarioside X [39] | C37H62O9 | [M−H]− | 649.4344 | 649.4321 | 3.5 | 649.4446 (100) [M−H]− |
| 517.4000 (11) [M−H−ara]− | ||||||||
| T28 | 31.790 | cypaliuruside E [40] | C36H58O8 | [M−H]− | 617.4076 | 617.4059 | 2.8 | 617.4163 (100) [M−H]− |
| 471.3536 (13) [M−H−qui]− | ||||||||
| T29 | 33.510 | ursolic acid | C30H48O3 | [M−H]− | 455.3546 | 455.3531 | 3.4 | 455.3571 (100) [M−H]− |
Publisher’s Note: MDPI stays neutral with regard to jurisdictional claims in published maps and institutional affiliations. |
© 2021 by the authors. Licensee MDPI, Basel, Switzerland. This article is an open access article distributed under the terms and conditions of the Creative Commons Attribution (CC BY) license (https://creativecommons.org/licenses/by/4.0/).
Share and Cite
Feng, Z.; Fang, Z.; Chen, C.; Vong, C.T.; Chen, J.; Lou, R.; Hoi, M.P.M.; Gan, L.; Lin, L. Anti-Hyperglycemic Effects of Refined Fractions from Cyclocarya paliurus Leaves on Streptozotocin-Induced Diabetic Mice. Molecules 2021, 26, 6886. https://doi.org/10.3390/molecules26226886
Feng Z, Fang Z, Chen C, Vong CT, Chen J, Lou R, Hoi MPM, Gan L, Lin L. Anti-Hyperglycemic Effects of Refined Fractions from Cyclocarya paliurus Leaves on Streptozotocin-Induced Diabetic Mice. Molecules. 2021; 26(22):6886. https://doi.org/10.3390/molecules26226886
Chicago/Turabian StyleFeng, Zheling, Zhujun Fang, Cheng Chen, Chi Teng Vong, Jiali Chen, Ruohan Lou, Maggie Pui Man Hoi, Lishe Gan, and Ligen Lin. 2021. "Anti-Hyperglycemic Effects of Refined Fractions from Cyclocarya paliurus Leaves on Streptozotocin-Induced Diabetic Mice" Molecules 26, no. 22: 6886. https://doi.org/10.3390/molecules26226886
APA StyleFeng, Z., Fang, Z., Chen, C., Vong, C. T., Chen, J., Lou, R., Hoi, M. P. M., Gan, L., & Lin, L. (2021). Anti-Hyperglycemic Effects of Refined Fractions from Cyclocarya paliurus Leaves on Streptozotocin-Induced Diabetic Mice. Molecules, 26(22), 6886. https://doi.org/10.3390/molecules26226886

