Assessment of the Anti-Protozoal Activity of Crude Carica papaya Seed Extract against Trypanosoma cruzi
Abstract
:1. Introduction
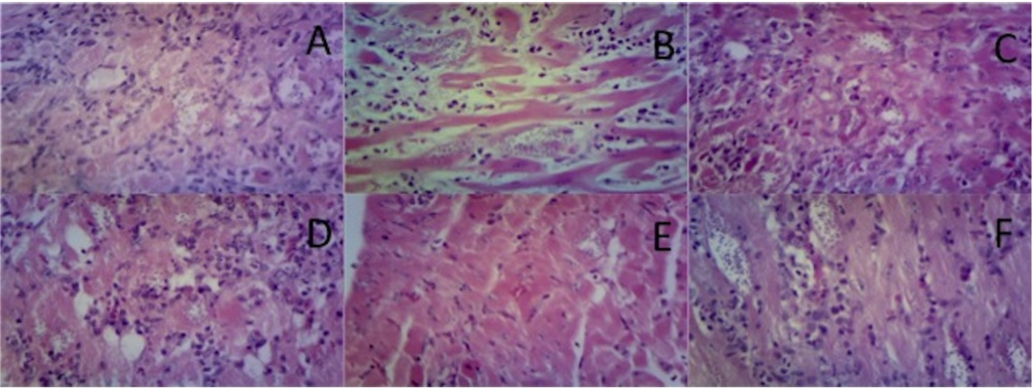
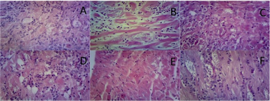
2. Results






3. Discussion
4. Experimental
4.1. Parasites and Animals
4.2. Plant Material and Preparation of Extract
4.3. In Vivo Antiprotozoal Activity against T. cruzi during Acute Phase of the Disease
4.4. Statistical Analysis
5. Conclusions
Acknowledgments
Conflicts of Interest
References
- Martins-Melo, F.R.; Alencar, C.H.; Ramos, A.N., Jr.; Heukelbach, J. Epidemiology of mortality related to Chagas’ disease in Brazil, 1999–2007. PLoS Negl. Trop. Dis. 2012, 6, e1508. [Google Scholar] [CrossRef]
- Da Silva, C.F.; Batista Dda, G.; Oliveira, G.M.; de Souza, E.M.; Hammer, E.R.; da Silva, P.B.; Daliry, A.; Araujo, J.S.; Britto, C.; Rodrigues, A.C.; et al. In vitro and in vivo investigation of the efficacy of arylimidamide DB1831 and its mesylated salt form—DB1965—against Trypanosoma cruzi infection. PLoS One 2012, 7, e30356. [Google Scholar] [CrossRef]
- Sülsen, V.P.; Frank, F.M.; Cazorla, S.I.; Anesini, C.A.; Malchiodi, E.L.; Freixa, B.; Vila, R.; Muschietti, L.V.; Martino, V.S. Trypanocidal and leishmanicidal activities of sesquiterpene lactones from Ambrosia tenuifolia Sprengel (Asteraceae). Antimicrob. Agents Chemother. 2008, 52, 2415–2419. [Google Scholar] [CrossRef]
- World Health Organization (WHO). Chagas disease (American trypanosomiasis). Available online: http://www.who.int/neglected_diseases/diseases/chagas/en/index.html (accessed on 4 February 2012).
- Abe, F.; Nagafuji, S.; Yamauchi, T.; Okabe, H.; Maki, J.; Higo, H.; Akahane, H.; Aguilar, A.; Jiménez-Estrada, M.; Reyes-Chilpa, R. Trypanocidal constituents in plants 1. Evaluation of some Mexican plants for their trypanocidal activity and active constituents in Guaco, roots of Aristolochia taliscana. Biol. Pharm. Bull. 2002, 25, 1188–1191. [Google Scholar] [CrossRef]
- Abe, F.; Nagafuji, S.; Okawa, M.; Kinjo, J.; Akahane, H.; Ogura, T.; Martinez-Alfaro, M.A.; Reyes-Chilpa, R. Trypanocidal constituents in plants 5. Evaluation of some Mexican plants for their trypanocidal activity and active constituents in the seeds of Persea americana. Biol. Pharm. Bull. 2005, 28, 1314–1317. [Google Scholar] [CrossRef]
- Ming, R.; Hou, S.; Feng, Y.; Yu, Q.; Dionne-Laporte, A.; Saw, J.H.; Senin, P.; Wang, W.; Ly, B.V.; Lewis, K.L.; et al. The draft genome of the transgenic tropical fruit tree papaya (Carica papaya Linnaeus). Nature 2008, 452, 991–996. [Google Scholar] [CrossRef]
- Wabo Poné, J.; Ngankam Ntemah, J.D.; Bilong Bilong, C.F.; Mbida, M. A comparative study of the ovicidal and larvicidal activities of aqueous and ethanolic extracts of pawpaw seeds Carica papaya (Caricaceae) on Heligmosomoides bakeri. Asian Pac. J. Trop. Med. 2011, 4, 447–450. [Google Scholar] [CrossRef]
- Calzada, F.; Yépez-Mulia, L.; Tapia-Contreras, A. Effect of Mexican medicinal plant used to treat trichomoniasis on Trichomonas vaginalis trophozoites. J. Ethnopharmacol. 2007, 113, 248–251. [Google Scholar] [CrossRef]
- Ekanem, A.P.; Obiekezie, A.; Kloas, W.; Knopf, K. Effects of crude extracts of Mucuna pruriens (Fabaceae) and Carica papaya (Caricaceae) against the protozoan fish parasite Ichthyophthirius multifiliis. Parasitol. Res. 2004, 92, 361–366. [Google Scholar] [CrossRef]
- Okeniyi, J.A.; Ogunlesi, T.A.; Oyelami, O.A.; Adeyemi, L.A. Effectiveness of dried Carica papaya seeds against human intestinal parasitosis: A pilot study. J. Med. Food 2007, 10, 194–196. [Google Scholar] [CrossRef]
- Pérez-Gutiérrez, S.; Zavala-Sánchez, M.A.; González-Chávez, M.M.; Cárdenas-Ortega, N.C.; Ramos-López, M.A. Bioactivity of Carica papaya (Caricaceae) against Spodoptera frugiperda (Lepidoptera: Noctuidae). Molecules 2011, 16, 7502–7509. [Google Scholar] [CrossRef]
- Aissa, I.; Sghair, R.M.; Bouaziz, M.; Laouini, D.; Sayadi, S.; Gargouri, Y. Synthesis of lipophilic tyrosyl esters derivatives and assessment of their antimicrobial and antileishmania activities. Lipids Health Dis. 2012, 11, 13. [Google Scholar] [CrossRef]
- Guedes, P.M.; Silva, G.K.; Gutierrez, F.R.; Silva, J.S. Current status of Chagas disease chemotherapy. Expert Rev. Anti Infect. Ther. 2011, 9, 609–620. [Google Scholar] [CrossRef]
- Gratraud, P.; Huws, E.; Falkard, B.; Adjalley, S.; Fidock, D.A.; Berry, L.; Jacobs, W.R., Jr.; Baird, M.S.; Vial, H.; Kremer, L. Oleic acid biosynthesis in Plasmodium falciparum: Characterization of the stearoyl-CoA desaturase and investigation as a potential therapeutic target. PLoS One 2009, 4, e6889. [Google Scholar] [CrossRef]
- Shanklin, J.; Whittle, E.; Fox, B.G. Eight histidine residues are catalytically essential in a membrane-associated iron enzyme, stearoyl-CoA desaturase, and are conserved in alkane hydroxylase and xylene monooxygenase. Biochemistry 1994, 33, 12787–12794. [Google Scholar] [CrossRef]
- Lohiya, N.K.; Manivannan, B.; Mishra, P.K.; Pathak, N.; Sriram, S.; Bhande, S.S.; Panneerdoss, S. Chloroform extract of Carica papaya seeds induces long-term reversible azoospermia in langur monkey. Asian J. Androl. 2002, 4, 17–26. [Google Scholar]
- Ortega-Pacheco, A.; Jiménez-Coello, M.; Gutiérrez-Blanco, E.; Acosta-Viana, K.Y.; Guzmán-Marín, E.; Zavala-Sánchez, M.A.; Montalvo-Beltran, N.E.; Pérez-Gutiérrez, M.S. Effects of the chloroformic extracts from washed and non-washed papaya seeds (Carica papaya) on the sperm concentration of dogs. Reprod. Domest. Anim. 2010, 45, 1126–1129. [Google Scholar] [CrossRef]
- Ghosh, S.K.; Somanadhan, B.; Tan, K.S.-W.; Butler, M.S.; Lear, M.J. Absolute configuration and total synthesis of a novel antimalarial lipopeptide by the de novo preparation of chiral nonproteinogenic amino acids. Org. Lett. 2012, 14, 1560–1563. [Google Scholar] [CrossRef]
- Murcia, L.; Carrilero, B.; Segovia, M. Limitations of currently available Chagas disease chemotherapy. Rev. Esp. Quimioter. 2012, 25, 1–3. [Google Scholar]
- Cencig, S.; Coltel, N.; Truyens, C.; Carlier, Y. Evaluation of benznidazole treatment combined with nifurtimox, posaconazole or AmBisome® in mice infected with Trypanosoma cruzi strains. Int. J. Antimicrob. Agents. 2012, 40, 527–532. [Google Scholar] [CrossRef]
- Ismail, M.; Mariod, A.; Bagalkotkar, G.; Sy Ling, H. Fatty acid composition and antioxidant activity of oils from two cultivars of Cantaloupe extracted by supercritical fluid extraction. Grasas y Aceites 2010, 61, 37–44. [Google Scholar] [CrossRef]
- Ribeiro, C.M.; Budni, P.; Pedrosa, R.C.; Farias, M.S.; Parisotto, E.B.; Dalmarco, E.M.; Fröde, T.S.; Oliveira-Silva, D.; Colepicolo, P.; Filho, D.W. Antioxidant therapy attenuates oxidative insult caused by benzonidazole in chronic Chagas’ heart disease. Int. J. Cardiol. 2010, 145, 27–33. [Google Scholar] [CrossRef]
- Carvalho, L.S.; Camargos, E.R.; Almeida, C.T.; Peluzio Mdo, C.; Alvarez-Leite, J.I.; Chiari, E.; Reis, D.D. Vitamin E deficiency enhances pathology in acute Tripanosoma cruzi-infected rats. Trans. R. Soc. Trop. Med. Hyg. 2006, 100, 1025–1031. [Google Scholar] [CrossRef]
- Hounzangbe-Adote, S.; Fouraste, I.; Moutairou, K.; Hoste, H. In vitro effects of four tropical plants on the activity and development of the parasitic nematode, Trichostrongylus colubriformis. J. Helminthol. 2005, 79, 29–33. [Google Scholar] [CrossRef]
- Satrija, F.; Nansen, P.; Bjørn, H.; Murtini, S.; He, S. Effect of papaya latex against Ascaris suum in naturally infected pigs. J. Helminthol. 1994, 68, 343–346. [Google Scholar] [CrossRef]
- Buttle, D.J.; Behnke, J.M.; Bartley, Y.; Elsheikha, H.M.; Bartley, D.J.; Garnett, M.C.; Donnan, A.A.; Jackson, F.; Lowe, A.; Duce, I.R. Oral dosing with papaya latex is an effective anthelmintic treatment for sheep infected with Haemonchus contortus. Parasit. Vectors 2011, 4, 36. [Google Scholar] [CrossRef]
- Stepek, G.; Lowe, A.E.; Buttle, D.J.; Duce, I.R.; Behnke, J.M. In vitro and in vivo anthelmintic efficacy of plant cysteine proteinases against the rodent gastrointestinal nematode, Trichuris muris. Parasitology 2006, 132, 681–689. [Google Scholar]
- NORMA Oficial Mexicana NOM-062-ZOO-1999, Especificaciones técnicas para la producción, cuidado y uso de los animales de laboratorio. Técnicas para la Producción Cuidado y Uso de los Animales de Laboratorio. Available online: http://www.ordenjuridico.gob.mx/Publicaciones/CDs2007/CDAgropecuaria/pdf/58NOM.pdf (accessed on 2 March 2013).
- Sample Availability: Not available.
© 2013 by the authors; licensee MDPI, Basel, Switzerland. This article is an open access article distributed under the terms and conditions of the Creative Commons Attribution license (http://creativecommons.org/licenses/by/3.0/).
Share and Cite
Jiménez-Coello, M.; Guzman-Marín, E.; Ortega-Pacheco, A.; Perez-Gutiérrez, S.; Acosta-Viana, K.Y. Assessment of the Anti-Protozoal Activity of Crude Carica papaya Seed Extract against Trypanosoma cruzi. Molecules 2013, 18, 12621-12632. https://doi.org/10.3390/molecules181012621
Jiménez-Coello M, Guzman-Marín E, Ortega-Pacheco A, Perez-Gutiérrez S, Acosta-Viana KY. Assessment of the Anti-Protozoal Activity of Crude Carica papaya Seed Extract against Trypanosoma cruzi. Molecules. 2013; 18(10):12621-12632. https://doi.org/10.3390/molecules181012621
Chicago/Turabian StyleJiménez-Coello, Matilde, Eugenia Guzman-Marín, Antonio Ortega-Pacheco, Salud Perez-Gutiérrez, and Karla Y. Acosta-Viana. 2013. "Assessment of the Anti-Protozoal Activity of Crude Carica papaya Seed Extract against Trypanosoma cruzi" Molecules 18, no. 10: 12621-12632. https://doi.org/10.3390/molecules181012621
APA StyleJiménez-Coello, M., Guzman-Marín, E., Ortega-Pacheco, A., Perez-Gutiérrez, S., & Acosta-Viana, K. Y. (2013). Assessment of the Anti-Protozoal Activity of Crude Carica papaya Seed Extract against Trypanosoma cruzi. Molecules, 18(10), 12621-12632. https://doi.org/10.3390/molecules181012621
