RETRACTED: Evaluation of the Hepatoprotective Effects of Lantadene A, a Pentacyclic Triterpenoid of Lantana Plants against Acetaminophen-induced Liver Damage
Abstract
:1. Introduction

2. Results and Discussion
2.1. General Sign and Behavioural Analysis
| Observation | Control | Acetaminophen Induced | Treated group (Lantadene A) | Treated group (Silymarin) | ||||
|---|---|---|---|---|---|---|---|---|
| Time | 6 h | 14 h | 6 h | 14 h | 6 h | 14 h | 6 h | 14 h |
| Skin and fur | Normal | Normal | Normal | Normal | Fur unkempt | Fur unkempt | Normal | Normal |
| Eyes | Normal | Normal | Normal | Bleeding | Normal | Bleeding | Normal | Normal |
| Mucous membrane | Normal | Normal | Normal | Normal | Normal | Normal | Normal | Normal |
| Behavioural patterns | Normal | Normal | Normal | Normal | Loss of appetite | Loss of appetite | Normal | Normal |
| Salivation | Normal | Normal | Normal | Normal | Normal | Normal | Normal | Normal |
| Lethargy | Normal | Normal | Present | Present | Present | Present | Present | Normal |
| Sleep | Normal | Normal | Normal | Normal | Present | Present | Normal | Normal |
| Diarrhea | Normal | Normal | Present | Present | Present | Present | Normal | Normal |
| Coma | Normal | Normal | Normal | Normal | Normal | Normal | Normal | Normal |
| Tremors | Normal | Normal | Present | Present | Present | Present | Normal | Normal |
| Urine | Normal | Normal | Dark brown | Dark brown | Bloody | Bloody | Dark brown | Normal |
2.2. Effects of Lantadene A on Serum Marker Enzymes
| Parameters | Control | Acetaminophen Induced Group | Lantadene A Treated Group | Silymarin Treated Gruop |
|---|---|---|---|---|
| AST (U/L) | 59.50 ± 10.88 | 151.33 ± 79.33 ** | 64.00 ± 27.84 * | 59.00 ± 18.53 * |
| ALT (U/L) | 22.25 ± 5.38 | 36.33 ± 14.64 ** | 22.33 ± 5.51 * | 24.00 ± 6.48 * |
| ALP (U/L) | 73.75 ± 26.92 | 82.67 ± 11.50 ** | 77.00 ± 37.47 * | 80.25 ± 30.82 * |
| Total Bilirubin (μmol/L) | 2.4 ± 0.58 | 7.47 ± 0.76 ** | 2.4 ± 0.44 * | 3.57 ± 1.23 * |
2.3. Liver Weights of Mice in Acetaminophen Induced Hepatotoxicity
| Groups | Liver organ body weight index (OBWI) |
|---|---|
| Control (saline only) | 5.99 ± 0.68 ad |
| Acetaminophen Induced | 5.84 ± 0.66 b |
| Acetaminophen Induced + Lantadene A Treatment | 6.64 ± 0.30 c |
| Acetaminophen aracetamol Induced + Silymarin Treatment | 6.10 ± 0.27 cda |
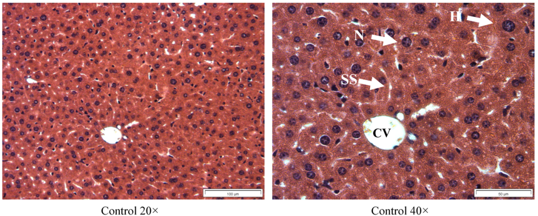
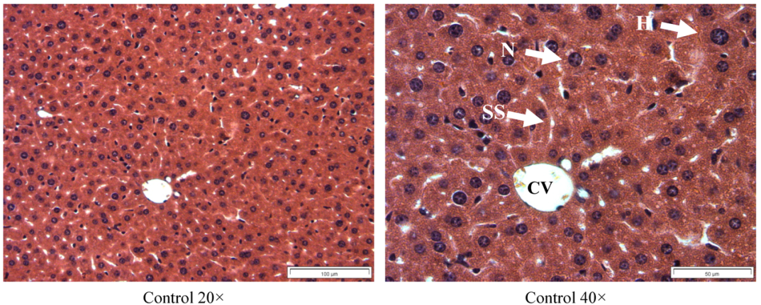
2.4. Liver Histopathology Analysis




3. Experimental
3.1. Preparation of the Lantadene A
3.2. Hepatoprotective Activity of Lantadene A
3.2.1. Animals
3.2.2. Acetaminophen Dose Regimen
3.2.3. Grouping of Mice and Treatments
3.2.4. General Sign and Behavioural Analysis
3.2.5. Sacrifice and Organ Harvesting
3.2.6. Liver Function Tests
3.3. Statistical Analysis
4. Conclusions
Acknowledgments
- Sample Availability: Samples of the compound lantadene A is available from the authors.
References
- Sheng, H.; Sun, H. Synthesis, Biology and clinical significance of pentacyclic triterpenes: A multi-target approach to prevention and treatment of metabolic and vascular diseases. Nat. Prod. Rep. 2011, 28, 543–593. [Google Scholar] [CrossRef]
- Krasutsky, P.A. Birch barks research and development. Nat. Prod. Rep. 2006, 23, 919–942. [Google Scholar] [CrossRef]
- Chichewicz, R.; Kouzi, S.A. Chemistry, Biological activity and chemotherapeutic potential of betulinic acid for the prevention and treatment of cancer and HIV infection. Med. Res. Rev. 2004, 24, 90–114. [Google Scholar] [CrossRef]
- Thurnher, D.; Turhani, D.; Pelzmann, M.; Wannemacher, B.; Knerer, B.; Formanek, M.; Wacheck, V.; Selzer, E. Betulinic acid: A new cytotoxic compound against malignant head and neck cancer cells. Head Neck 2003, 25, 732–740. [Google Scholar] [CrossRef]
- Rajic, A.; Kweifio-Okai, G.; Macrides, T.; Sandeman, R.M.; Chandler, D.S.; Polya, G.M. Inhibition of serine proteases by anti-inflammatory triterpenoids. Planta Med. 2000, 66, 206–210. [Google Scholar] [CrossRef]
- Patocka, J. Biologically active pentacyclic triterpenes and their current medicine signification. J. Appl. Biomech. 2003, 1, 7–12. [Google Scholar]
- Hart, N.K.; Lamberton, J.A.; Sioumis, A.A.; Suares, H. New triterpenoids of Lantana camara. A comparative study of the constituents of several taxa. Aust. J. Chem. 1976, 29, 655–671. [Google Scholar]
- Sharma, O.P.; Makkar, H.P.S.; Dawra, R.K. A review of the noxious plant Lantana camara. Toxicon 1988, 26, 975–987. [Google Scholar]
- Sharma, O.P.; Sharma, P.D. Natural products of the lantana plant—The present and prospects. J. Sci. Industr. Res. 1989, 48, 471–478. [Google Scholar]
- Pass, M.A. Current ideas on the pathophysiology and treatment of lantana poisoning of ruminants. Aust. Vet. J. 1986, 63, 169–171. [Google Scholar] [CrossRef]
- Pour, B.M.; Latha, L.Y.; Sasidharan, S. Cytotoxicity and Oral Acute Toxicity Studies of Lantana camara Leaf Extract. Molecules 2011, 16, 3663–3674. [Google Scholar]
- Cullen, J.M. Mechanistic classification of liver injury. Toxicol. Pathway 2005, 33, 6–8. [Google Scholar] [CrossRef]
- Grace-Lynn, C.; Darah, I.; Chen, Y.; Latha, L.Y.; Jothy, S.L.; Sasidharan, S. In Vitro Antioxidant Activity Potential of Lantadene A, A Pentacyclic Triterpenoid of Lantana Plants. Molecules 2012, 17, 11185–11198. [Google Scholar] [CrossRef]
- Burke, M.D. Liver function: Test selection and interpretation of results. Clin. Lab. Med. 2002, 22, 377–390. [Google Scholar] [CrossRef]
- Kew, M.C. Serum aminotransferase concentration as evidence of hepatocellular damage. Lancet 2000, 355, 591–592. [Google Scholar] [CrossRef]
- Jaeschke, H.; Bajt, M.L. Intracellular signaling mechanisms of acetaminopheninduced liver cell death. Toxicol. Sci. 2006, 89, 31–41. [Google Scholar] [CrossRef]
- Sasidharan, S.; Aravindran, S.; Latha, L.Y.; Vijenthi, R.; Saravanan, D.; Amutha, S. In Vitro Antioxidant Activity and Hepatoprotective Effects of Lentinula edodes against Paracetamol-Induced Hepatotoxicity. Molecules 2010, 15, 4478–4489. [Google Scholar]
- Pari, L.; Murugan, P. Protective role of tetrahydrocurcumin against erythromycin estolate-induced hepatotoxicity. Pharmacol. Res. 2004, 49, 481–4816. [Google Scholar] [CrossRef]
- Nwaehujor, C.O.; Nwinyi, F.C.; Ode, J.O. Liver protective activity of the methanol extract of Crinum jagus Bulb against acetaminophen-induced hepatic damage in wistar rats. Asian J. Biochem. 2012, 7, 182–193. [Google Scholar] [CrossRef]
- Bhoopat, B.L.; Srichairatanakool, S.; Kanjanapothi, D.; Taesotikul, T.; Thananchai, H.; Bhoopat, T. Hepatoprotective effects of lychee (Litchi chinensis Sonn.): A combination of antioxidant and anti-apoptotic activities. J. Ethnopharmacol. 2011, 136, 55–66. [Google Scholar]
- Zimmerman, M. Ethical guidelines for investigation of experimental pain in conscious animal. Pain 1983, 16, 109–110. [Google Scholar] [CrossRef]
- Rao, P.G.; Rao, G.; Ramnarayan, K.; Srinivasan, K.K. Effect of hepatogard on paracetamolinduced liver injury in male albino rats. Indian Drugs 1993, 30, 41–46. [Google Scholar]
- da Rocha, R.P.; de Miranda Paquola, A.C.; do Valle Marques, M.; Menck, C.F.M.; Galhardo, R.S. Characterization of the SOS Regulon of Caulobacter crescentus. J. Bacteriol. 2008, 190, 1209–1218. [Google Scholar]
- Reitman, S.; Frankel, S. A colorimetric method for the determination of serum glutamic oxalacetic and glutamic piruvic transaminases. Am. J. Clin. Pathol. 1957, 28, 56–63. [Google Scholar]
- Kind, P.R.N.; King, E.J. Estimation of plasma phosphatase by determination of hydrolysed phenol with amino-antipyrine. J. Clin. Pathol. 1954, 7, 322–326. [Google Scholar]
- Malloy, H.T.; Evelyn, K.A. The determination of bilirubin with the photochemical colorimeter. J. Biol. Chem. 1937, 119, 481–490. [Google Scholar]
© 2012 by the authors; licensee MDPI, Basel, Switzerland. This article is an open-access article distributed under the terms and conditions of the Creative Commons Attribution license (http://creativecommons.org/licenses/by/3.0/).
Share and Cite
Grace-Lynn, C.; Chen, Y.; Latha, L.Y.; Kanwar, J.R.; Jothy, S.L.; Vijayarathna, S.; Sasidharan, S. RETRACTED: Evaluation of the Hepatoprotective Effects of Lantadene A, a Pentacyclic Triterpenoid of Lantana Plants against Acetaminophen-induced Liver Damage. Molecules 2012, 17, 13937-13947. https://doi.org/10.3390/molecules171213937
Grace-Lynn C, Chen Y, Latha LY, Kanwar JR, Jothy SL, Vijayarathna S, Sasidharan S. RETRACTED: Evaluation of the Hepatoprotective Effects of Lantadene A, a Pentacyclic Triterpenoid of Lantana Plants against Acetaminophen-induced Liver Damage. Molecules. 2012; 17(12):13937-13947. https://doi.org/10.3390/molecules171213937
Chicago/Turabian StyleGrace-Lynn, Chong, Yeng Chen, Lachimanan Yoga Latha, Jagat R. Kanwar, Subramanion L. Jothy, Soundararajan Vijayarathna, and Sreenivasan Sasidharan. 2012. "RETRACTED: Evaluation of the Hepatoprotective Effects of Lantadene A, a Pentacyclic Triterpenoid of Lantana Plants against Acetaminophen-induced Liver Damage" Molecules 17, no. 12: 13937-13947. https://doi.org/10.3390/molecules171213937
APA StyleGrace-Lynn, C., Chen, Y., Latha, L. Y., Kanwar, J. R., Jothy, S. L., Vijayarathna, S., & Sasidharan, S. (2012). RETRACTED: Evaluation of the Hepatoprotective Effects of Lantadene A, a Pentacyclic Triterpenoid of Lantana Plants against Acetaminophen-induced Liver Damage. Molecules, 17(12), 13937-13947. https://doi.org/10.3390/molecules171213937
