Sign in to use this feature.

Years

Between: -

Subjects

remove_circle_outline
remove_circle_outline
remove_circle_outline
remove_circle_outline
remove_circle_outline
remove_circle_outline
remove_circle_outline
remove_circle_outline
remove_circle_outline

Journals

remove_circle_outline
remove_circle_outline
remove_circle_outline
remove_circle_outline
remove_circle_outline
remove_circle_outline
remove_circle_outline
remove_circle_outline
remove_circle_outline

Article Types

Countries / Regions

remove_circle_outline
remove_circle_outline
remove_circle_outline
remove_circle_outline
remove_circle_outline

Search Results (365)

Search Parameters:
Keywords = vein pattern

Order results
Result details
Results per page
Select all
Export citation of selected articles as:
16 pages, 2139 KB  
Article
Visual Strategies of Avoidantly Attached Individuals: Attachment Avoidance and Gaze Behavior in Deceptive Interactions
by Petra Hypšová, Martin Seitl and Stanislav Popelka
J. Eye Mov. Res. 2026, 19(1), 5; https://doi.org/10.3390/jemr19010005 - 7 Jan 2026
Viewed by 177
Abstract
Gaze behavior is a critical component of social interaction, reflecting emotional recognition and social regulation. While previous research has emphasized either situational influences (e.g., deception) or stable individual differences (e.g., attachment avoidance) on gaze patterns, studies exploring how these factors interact to shape [...] Read more.
Gaze behavior is a critical component of social interaction, reflecting emotional recognition and social regulation. While previous research has emphasized either situational influences (e.g., deception) or stable individual differences (e.g., attachment avoidance) on gaze patterns, studies exploring how these factors interact to shape gaze behavior in interpersonal contexts remain scarce. In this vein, the aim of the present study was to experimentally determine whether the gaze direction of individuals differs, with respect to their avoidant orientation, under changing situational conditions, including truthful and deceptive communication towards a counterpart. Using a within-person experimental design and the eye-tracking methodology, 31 participants took part in both rehearsed and spontaneous truth-telling and lie-telling tasks. Consistent with expectations, higher attachment avoidance was associated with significantly fewer fixations on emotionally expressive facial regions (e.g., mouth, jaw), and non-significant but visually consistent increases in fixations on the upper face (e.g., eyes) and background. These findings indicate that stable dispositional tendencies, rather than situational demands such as deception, predominantly shape gaze allocation during interpersonal interactions. They further provide a foundation for future investigations into the dynamic interplay between personality and situational context in interactive communicative settings. Full article
Show Figures

Graphical abstract

14 pages, 70161 KB  
Case Report
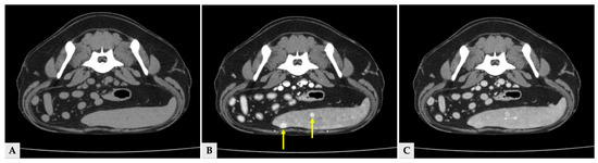
Unilateral Multifocal Follicular Thyroid Carcinoma with Vascular Invasion and Primary Hepatic Metastasis in a Dog: First Documented Case
by Yoobin Kim, Hyungsan Seo, Sang-kun Jang, Sangyul Lee and Hwi-Yool Kim
Vet. Sci. 2026, 13(1), 43; https://doi.org/10.3390/vetsci13010043 - 3 Jan 2026
Viewed by 201
Abstract
A 14-year-old spayed female Jindo dog presented with a firm, non-painful right-sided cervical mass. Computed tomography identified three distinct, separate masses thought to be arising from the right thyroid lobe; the largest measured 66.6 mm × 42.0 mm × 37.6 mm with an [...] Read more.
A 14-year-old spayed female Jindo dog presented with a firm, non-painful right-sided cervical mass. Computed tomography identified three distinct, separate masses thought to be arising from the right thyroid lobe; the largest measured 66.6 mm × 42.0 mm × 37.6 mm with an estimated volume of 56 cm3 and showed invasion into the right internal jugular vein. Multiple hepatic nodules were detected without evidence of pulmonary metastasis and regional lymph node involvement. Right thyroidectomy with resection of the invaded vein and partial liver lobectomy were performed. The histologic results confirmed all three masses as follicular-compact thyroid carcinomas, and the hepatic lesion as metastatic thyroid carcinoma. The dog recovered uneventfully, remained euthyroid, and showed no local recurrence over a 5-month follow-up. In human medicine, multifocality is common in papillary thyroid carcinoma and is associated with a high rate of recurrence. This report documents the first canine case of multifocal thyroid carcinoma, featuring macroscopic vascular invasion and an uncommon metastatic pattern in which the liver was affected in the absence of detectable pulmonary lesion. The presence of multifocal disease within a single canine thyroid lobe necessitates comprehensive cross-sectional imaging, meticulous surgical planning with vascular considerations, and long-term monitoring to optimize the prognosis of this carcinoma. Full article
(This article belongs to the Section Veterinary Surgery)
Show Figures

Figure 1

21 pages, 8711 KB  
Article
Phylogenetic and Morphological Analysis of Wing Base Articulation in Vespidae (Hymenoptera): A Cladistic Approach
by Hasin Ullah, Xiaojuan Huang, Yao Zhang, Jia Li, Danyang Zhu, Chenlu Yang, Yuan Hua, Lian-Xi Xing and Jiangli Tan
Insects 2026, 17(1), 39; https://doi.org/10.3390/insects17010039 - 27 Dec 2025
Viewed by 325
Abstract
Insect wing base sclerites are crucial to wing function and evolution, yet their diversity beyond order-level comparisons remains poorly understood. We examine variation in wing base sclerites across Vespidae, focusing on the axillary sclerites (1Ax, 2Ax, and 3Ax), the shoulder sclerite, and associated [...] Read more.
Insect wing base sclerites are crucial to wing function and evolution, yet their diversity beyond order-level comparisons remains poorly understood. We examine variation in wing base sclerites across Vespidae, focusing on the axillary sclerites (1Ax, 2Ax, and 3Ax), the shoulder sclerite, and associated structures. The first axillary sclerite shows distinct regional differentiation and bears a well-sclerotized knob that influences wing articulation. Additionally, 2Ax in Vespidae is a single, triangular structure with three attachment points, distinct from the two-part composition in some other wasps, which facilitates high-frequency wing vibrations. Our findings also highlight variable fusion patterns in 3Ax and its interaction with 2Ax, contributing to wing flexibility. The basiradial bridge, connecting the subcostal and radial veins, reinforces wing stability and articulation. Phylogenetic analysis based on wing-base morphology does not support the monophyly of Vespidae and differs from molecular hypotheses, but it refines previous morphological interpretations. The well-supported subfamily relationships confirm Vespinae as a monophyletic group and reveal a close association among Polistinae, Stenogastrinae, and Eumeninae, as represented by Polistes, Eustenogaster, and Oreumenes, respectively, suggesting evolutionary transitions in social behavior within the family Vespidae. The absence of a fourth axillary sclerite challenges earlier hypotheses, providing new insights into Hymenopteran wing base evolution. Two articulation models are proposed for forewings and hindwings, supported by three-dimensional reconstructions of axillary sclerites, indirect and direct flight muscles, and their attachment sites. These results refine interpretations of wasp wing mechanics, evolution, and morphological diversification across taxa. Full article
Show Figures

Graphical abstract

16 pages, 5774 KB  
Article
Hyperuricemia-Informed Survival Machine-Learning Prediction of Post-Thrombotic Syndrome After Unprovoked DVT: A Dual-Center Prospective Study
by Yajing Li, Hongru Deng and Yongquan Gu
Diagnostics 2026, 16(1), 88; https://doi.org/10.3390/diagnostics16010088 - 26 Dec 2025
Viewed by 216
Abstract
Background/Objectives: Post-thrombotic syndrome (PTS) following unprovoked deep vein thrombosis (DVT) lacks readily available, calibrated risk estimates at defined follow-up horizons. Building on signals that thrombus burden, care processes, and a form of metabolic–inflammatory tone influence outcomes, we prospectively evaluated survival machine-learning models, [...] Read more.
Background/Objectives: Post-thrombotic syndrome (PTS) following unprovoked deep vein thrombosis (DVT) lacks readily available, calibrated risk estimates at defined follow-up horizons. Building on signals that thrombus burden, care processes, and a form of metabolic–inflammatory tone influence outcomes, we prospectively evaluated survival machine-learning models, explicitly including hyperuricemia while excluding what we consider major inflammatory confounders. Methods: Adults with first-episode unprovoked lower-extremity DVT were enrolled at two centers (July 2024–September 2025). PTS (Villalta) was assessed at 3, 6, 9, and 12 months. The cohort was split 70/30 into training and test sets. Eight learners (RSF, GBM, LASSO + Cox, CoxBoost, survivalsvm, XGBoost-Cox, superpc, and plsRcox) were tuned using 10-fold cross-validation in training and once evaluated in the independent test set. Performance metrics included all time-dependent AUCs, fixed-time ROC AUCs with bootstrap 95% CIs, C-index, various forms of calibration, decision-curve analysis, and simple Kaplan–Meier risk group separation. Results: 193 patients were analyzed (PTS in 64%). High 9-month AUCs were seen in training: GBM (0.992) and RSF (0.982) being the strongest; by 12 months, both remained near constant. Test set performance followed a similar pattern, with RSF again favored (AUC 0.948) and XGBoost/GBM close behind. Calibration was satisfactory, net benefit from decision curves positive, and to a large extent, risk groups were separated as expected. Conclusions: Survival machine-learning models, at least in this dual-center prospective cohort, produced a clinically useful risk of PTS. Hyperuricemia, or any metabolically based signal, is a valuable addition to the “anatomy and care” of DVT. External validation is still required. Full article
(This article belongs to the Collection Artificial Intelligence in Medical Diagnosis and Prognosis)
Show Figures

Figure 1

26 pages, 26611 KB  
Article
Data-Driven Decoupling of Metallogenic Patterns: A Case Study of Skarn-Type vs. Hydrothermal Vein-Type Pb-Zn Deposits in the Shanghulin Area, Inner Mongolia, China
by Lichun Fu, Guihu Chen, Qingyuan Song, Tiankun Xie, He Yuan, Xuefeng Li, Yu Su, Keyan Xiao and Rui Tang
Minerals 2026, 16(1), 6; https://doi.org/10.3390/min16010006 - 20 Dec 2025
Viewed by 276
Abstract
The close spatial and genetic coexistence of Skarn-type and Hydrothermal Vein-type Pb-Zn deposits in the Shanghulin area, Inner Mongolia, poses a significant challenge to conventional “ undifferentiated” prediction models. This study aims to decouple these distinct metallogenic patterns using a data-driven, “type-specific modeling” [...] Read more.
The close spatial and genetic coexistence of Skarn-type and Hydrothermal Vein-type Pb-Zn deposits in the Shanghulin area, Inner Mongolia, poses a significant challenge to conventional “ undifferentiated” prediction models. This study aims to decouple these distinct metallogenic patterns using a data-driven, “type-specific modeling” strategy, establishing separate prediction models for Skarn-type and Hydrothermal Vein-type mineralization. Our workflow first employs Lasso–RFECV for rigorous pre-screening of over 60 geoscience features to identify the optimal predictive subset. Subsequently, an XGBoost model is trained on these selected features, and the SHAP framework is applied to interpret the geological significance of its decision logic. The results confirm two distinct indicator systems. (1) The Skarn-type model is controlled by spatial proximity to a heat source, heavily relying on Distance_to_Volcano and high-temperature indicators (CLR_Mo, CLR_W, CLR_Mn). (2) The Hydrothermal Vein-type model is “chemical fingerprint-driven”, prioritizing CLR_Y and identifying a complex “leaching-enrichment” pattern: mineralization requires simultaneous wall-rock leaching (low CLR_Al2O3, low CLR_Y) and specific metal enrichment (high CLR_Co, high CLR_Zn). This study confirms the controlling factors: Skarn-type deposits are governed by magmatic proximity, whereas Hydrothermal Vein-type deposits are defined by specific alteration geochemical signatures. The proposed “Lasso–RFECV → XGBoost → SHAP” workflow successfully decouples these independent, geologically meaningful prospectivity models from complex data, offering a new paradigm for precise exploration. Full article
(This article belongs to the Special Issue Geochemical Exploration for Critical Mineral Resources, 2nd Edition)
Show Figures

Figure 1

28 pages, 11637 KB  
Article
Additively Manufactured Dragonfly-Inspired Wings for Bio-Faithful Flapping MAV Development
by Emilia Georgiana Prisăcariu, Oana Dumitrescu, Sergiu Strătilă, Mihail Sima, Claudia Săvescu, Iulian Vlăducă and Cleopatra Cuciumita
Biomimetics 2025, 10(12), 849; https://doi.org/10.3390/biomimetics10120849 - 18 Dec 2025
Viewed by 683
Abstract
This work presents a first-iteration bio-faithful dragonfly-inspired wing designed for future flapping micro air vehicle (MAV) applications. Using high-resolution imaging, the natural venation pattern of fore- and hindwings was reconstructed in CAD and reproduced through high-precision stereolithography at 1:1 and 3:1 scale. The [...] Read more.
This work presents a first-iteration bio-faithful dragonfly-inspired wing designed for future flapping micro air vehicle (MAV) applications. Using high-resolution imaging, the natural venation pattern of fore- and hindwings was reconstructed in CAD and reproduced through high-precision stereolithography at 1:1 and 3:1 scale. The printed polymeric wings successfully preserved the anisotropic stiffness distribution of the biological structure, enabling realistic bending and torsional responses. Modal analysis and dynamic testing confirmed that the lightweight designs operate within the biologically relevant 20–40 Hz range and that geometry and material choices allow predictable tuning of natural frequencies. Preliminary aerodynamic estimates captured the characteristic anti-phase lift behavior of four-wing flapping, while schlieren and infrared thermography demonstrated that heat dispersion and flow features follow the vein-driven structural pathways of the printed wings. Together, these results validate the feasibility and functional relevance of bio-faithful venation architectures and establish a solid foundation for future iterations incorporating membranes, full kinematic actuation, and higher-fidelity aeroelastic modeling. Full article
(This article belongs to the Section Biomimetic Design, Constructions and Devices)
Show Figures

Graphical abstract

19 pages, 6236 KB  
Article
Sequential Inflammatory and Matrisome Programs Drive Remodeling of the Mouse Carotid–Jugular Arteriovenous Fistula
by Filipe F. Stoyell-Conti, Alexander M. Kaiser, Miguel G. Rojas, Yuntao Wei, Matthew S. Sussman, Juan S. Lopez-McCormick, Marwan Tabbara, Xiaofeng Yang, Roberto I. Vazquez-Padron and Laisel Martinez
Cells 2025, 14(24), 1998; https://doi.org/10.3390/cells14241998 - 16 Dec 2025
Viewed by 549
Abstract
The mouse carotid–jugular arteriovenous fistula (AVF) is a widely adopted surgical model to study venous remodeling after AVF creation. Despite its increasing use, the extent to which this model recapitulates the cellular and molecular remodeling processes observed in humans remains uncertain, which is [...] Read more.
The mouse carotid–jugular arteriovenous fistula (AVF) is a widely adopted surgical model to study venous remodeling after AVF creation. Despite its increasing use, the extent to which this model recapitulates the cellular and molecular remodeling processes observed in humans remains uncertain, which is essential for validating its translational relevance. Using bulk and single-cell RNA sequencing, we have depicted the transcriptional and cellular evolution of the mouse jugular vein after AVF anastomosis. Global transcriptomic profiling revealed that venous remodeling begins with a robust inflammatory response, followed by a prominent extracellular matrix (ECM) remodeling phase that peaks at postoperative day 10. Single-cell analyses confirmed the role of macrophage (3-fold) and neutrophil infiltration (12-fold) in sustaining the onset of venous remodeling. These monocytes/macrophages exhibited marked upregulation of pro-inflammatory and pro-fibrotic genes, including Il1b, Spp1, Fn1, Thbs1, and Tgfb1. Evidence of the differentiation of fibroblasts into myofibroblasts positive for Postn, Col8a1, and Thbs1 emerged by postoperative day 5. The temporal dynamics of differentially expressed genes in these myofibroblasts closely mirrored the ECM gene expression patterns identified by bulk RNA-seq, indicating that they are the principal source of ECM deposition in the AVF. Cell-to-cell communication analyses highlighted macrophages and fibroblasts as the main populations driving postoperative remodeling. Comparative analysis with single-cell data from human pre-access veins and AVFs demonstrated that the mouse model reproduces the core inflammatory–fibrotic axis of fibroblast activation observed in humans, supporting its utility for mechanistic studies of postoperative ECM remodeling. Full article
Show Figures

Graphical abstract

18 pages, 3071 KB  
Article
Bulk RNA Sequencing Reveals Signature Differences in Key Cell Signaling Pathways Between Porcine Venous and Arterial Smooth Muscle Cells
by Kent A. Lee, Wei Li, Unimunkh Uriyanghai, Christine Wai, Huanjuan Su, Anthony Yang, Lianxia Li, Vinay A. Sudarsanam, John S. Poulton, Prabir Roy-Chaudhury and Gang Xi
Int. J. Mol. Sci. 2025, 26(24), 11948; https://doi.org/10.3390/ijms262411948 - 11 Dec 2025
Viewed by 346
Abstract
We recently identified significant differences between porcine arterial and venous smooth muscle cells (ApSMCs and VpSMCs) in the expression of numerous genes and activity of several important signaling pathways. To understand the mechanisms that are responsible for these differences, we performed a genome-wide [...] Read more.
We recently identified significant differences between porcine arterial and venous smooth muscle cells (ApSMCs and VpSMCs) in the expression of numerous genes and activity of several important signaling pathways. To understand the mechanisms that are responsible for these differences, we performed a genome-wide comparison of VpSMCs and ApSMCs using bulk RNA sequencing. A principal component analysis (PCA) plot and heatmaps revealed a clear separation of the two groups of samples. Using a standard cutoff (≥2-fold change, false discovery rate (FDR) ≤ 0.05), 466 genes were highly expressed in ApSMCs, and 358 genes were highly expressed in VpSMCs. Functional pathway analyses were conducted using the Gene Set Enrichment Analysis (GSEA) tool. The top 15 enriched pathways of the GSEA and Overrepresentation Analysis (ORA) results were detected by comparing the dataset against the Kyoto Encyclopedia of Genes and Genomes (KEGG), Gene Ontology (GO) biological process, GO cellular component, GO molecular function, and WikiPathways databases. Both the GSEA and ORA results revealed that the top enriched pathways are mostly linked to cell cycle, cell structure, and cell differentiation. Further analysis of differentially expressed genes (DEGs) in a specific pathway identified that different sets of genes were utilized to regulate the same pathway between ApSMCs and VpSMCs. For example, in the cell cycle pathway, TGFB1, GADD45A, and TP53 were expressed highly in ApSMCs, while SKP2, PCK1, CDK1, and PPP2CA were expressed highly in VpSMCs. This study identified key differences in the gene expression patterns of two subsets of VSMCs and found that different sets of genes are utilized in specific signaling pathways within the different subtypes of cells, which provides crucial information for developing vein- or artery-specific strategies to prevent corresponding vascular diseases. Full article
(This article belongs to the Section Molecular Biology)
Show Figures

Figure 1

8 pages, 777 KB  
Perspective
Evolving Management Paradigms in Dural Arteriovenous Fistulas: From Classification to Personalized Endovascular Therapy
by Veena Shekar and Brandon Lucke-Wold
Biomedicines 2025, 13(12), 3006; https://doi.org/10.3390/biomedicines13123006 - 8 Dec 2025
Viewed by 558
Abstract
Dural arteriovenous fistulas (dAVFs) represent a unique subset of intracranial vascular malformations characterized by pathologic shunting between dural arteries and venous sinuses or cortical veins. Although once considered rare and uniformly high-risk, modern imaging and therapeutic innovations have revealed a spectrum of biological [...] Read more.
Dural arteriovenous fistulas (dAVFs) represent a unique subset of intracranial vascular malformations characterized by pathologic shunting between dural arteries and venous sinuses or cortical veins. Although once considered rare and uniformly high-risk, modern imaging and therapeutic innovations have revealed a spectrum of biological behavior ranging from benign to aggressive. The past decade has witnessed a paradigm shift from purely anatomic classification toward individualized, hemodynamic-based decision-making that incorporates endovascular, microsurgical, and radiosurgical techniques. This Perspective reviews the evolving management of dAVFs, emphasizing early recognition of cortical venous drainage, endovascular innovation, venous sinus reconstruction, and the emerging role of artificial intelligence and personalized medicine in risk stratification. Accordingly, we seek to delineate how a precision approach based on angioarchitecture, patterns of venous flow, and clinical phenotype has transformed the treatment of dAVFs from a purely reactive to a potentially curative discipline. Full article
(This article belongs to the Section Neurobiology and Clinical Neuroscience)
Show Figures

Graphical abstract

31 pages, 43797 KB  
Article
Ore Genesis of the Sansheng W-Mo Deposit, Inner Mongolia, NE China: Constraints from Mineral Geochemistry and In Situ S Isotope Analyses of Sulfides
by Wei Xie, Chao Jin, Qingdong Zeng, Ruiliang Wang, Jinjian Wu, Rui Dong and Zhao Wang
Minerals 2025, 15(12), 1283; https://doi.org/10.3390/min15121283 - 6 Dec 2025
Viewed by 568
Abstract
Sulfide geochemistry has been widely employed to constrain formation processes in various deposit types; however, its use in porphyry W-Mo metallogenic systems is still relatively scarce. The Sansheng porphyry W-Mo deposit (Mo 24,361 t @ 0.226% and WO3 17,285 t @ 0.569%), [...] Read more.
Sulfide geochemistry has been widely employed to constrain formation processes in various deposit types; however, its use in porphyry W-Mo metallogenic systems is still relatively scarce. The Sansheng porphyry W-Mo deposit (Mo 24,361 t @ 0.226% and WO3 17,285 t @ 0.569%), situated in eastern Inner Mongolia, northeastern China, features with quartz vein and veinlet-disseminated W-Mo orebodies primarily localized within the cupolas of an Early Cretaceous granitic intrusion. This contribution provides a comprehensive analysis of the deposit’s geology, in situ sulfur isotopic signatures, and geochemical characteristics of wolframite and sulfides to decipher the formation of the Sansheng deposit. A narrow δ34S range (2.15‰–7.14‰) for sulfides, consistent Y/Ho (5.09–6.23) and Nb/Ta (7.20–19.96) ratios in wolframite, and pyrite Co/Ni (1–10) and As/Ni (>10) ratios collectively point to a shared source—the highly fractionated Sansheng granitic magma. Wolframite, pyrite, arsenopyrite, and chalcopyrite all host significant trace elements, though their enrichment patterns differ considerably among these minerals. Temporal variations in trace element concentrations in wolframite and sulfides reveal a decline in fluid temperature and oxygen fugacity from early to late stages. Greisenization is associated with tungsten mineralization, whereas sericitization facilitates Stage III sulfide precipitation. Full article
(This article belongs to the Special Issue Selected Papers from the 7th National Youth Geological Congress)
Show Figures

Figure 1

18 pages, 826 KB  
Review
Axillary Versus Subclavian Venous Access for Permanent Pacemaker Implantation: Complications, Evolving Techniques and Practical Recommendations
by Georgios Aletras, Spyridon Stavratis, Ermis Hoda, Emmanuel Rogdakis, Emmanuel Koutalas, Emmanuel Kanoupakis and Emmanuel Foukarakis
Medicina 2025, 61(12), 2173; https://doi.org/10.3390/medicina61122173 - 6 Dec 2025
Viewed by 419
Abstract
Venous access selection represents a pivotal aspect of permanent pacemaker implantation, directly influencing both procedural safety and long-term device performance. Although the subclavian vein has been traditionally favored, its use is associated with notable risks, including pneumothorax, hemothorax, and crush syndrome. In contrast, [...] Read more.
Venous access selection represents a pivotal aspect of permanent pacemaker implantation, directly influencing both procedural safety and long-term device performance. Although the subclavian vein has been traditionally favored, its use is associated with notable risks, including pneumothorax, hemothorax, and crush syndrome. In contrast, axillary access has gained prominence, supported by observational studies and a small number of randomized trials demonstrating reduced pneumothorax rates, fewer arterial punctures, and potentially fewer long-term mechanical lead failures, particularly when ultrasound guidance is used. However, these findings are derived from heterogeneous studies with variable definitions, imaging protocols and operator experience, highlighting that evidence quality remains moderate. Contemporary advances—such as routine ultrasound guidance, micropuncture techniques, and structured training—have improved procedural consistency and safety, a trend reflected in recent guidelines. This review provides a focused appraisal of complication patterns, anatomical differences and patient-specific considerations to support individualized and evidence-aligned venous access selection in modern clinical practice. Full article
(This article belongs to the Section Cardiology)
Show Figures

Figure 1

25 pages, 18749 KB  
Article
Elemental Geochemical Analysis for the Gold–Antimony Segregation in the Gutaishan Deposit: Insights from Stibnite and Pyrite
by Shiyi Lu, Yongyun Ning, Liang Xiao, Ke Huang, Siqi Chen, Xuan Zhu, Hao He and Miao Yu
Geosciences 2025, 15(12), 462; https://doi.org/10.3390/geosciences15120462 - 4 Dec 2025
Viewed by 748
Abstract
In many gold–antimony deposits throughout the world, the sequence of Au and Sb precipitation varies significantly. In high-temperature systems such as hydrothermal Au deposits, gold typically precipitates prior to antimony, whereas in lower-temperature systems (e.g., Carlin-type deposits), no consistent depositional sequence is observed. [...] Read more.
In many gold–antimony deposits throughout the world, the sequence of Au and Sb precipitation varies significantly. In high-temperature systems such as hydrothermal Au deposits, gold typically precipitates prior to antimony, whereas in lower-temperature systems (e.g., Carlin-type deposits), no consistent depositional sequence is observed. The Gutaishan Au-Sb deposit, located in the Xiangzhong Basin of the Jiangnan Orogenic Belt, South China, exhibits a distinct spatial segregation within a continuously evolving system of gold and antimony mineralization—a pattern commonly observed in many Au-Sb deposits throughout the region. To elucidate the mechanisms controlling Au-Sb co-occurrence and segregation, we conducted electron probe microanalysis (EPMA) and laser ablation inductively coupled plasma mass spectrometry (LA–ICP–MS) major and trace element analyses of stibnite and pyrite from quartz veins across different ore zones within the Gutaishan deposit. Trace element signatures—such as Cu-Pb correlations and Hg/(Cu + Pb) ratios which classify stibnite into Woxi-type and Xikuangshan-type, and Co/Ni ratios classifies pyrite into magmatic–hydrothermal and sedimentary types—suggest that the ore-forming fluids were predominantly magmatic–hydrothermal in origin, with minor contributions from metamorphic basement fluids. The occurrence of low-temperature trace element signatures in the Au-Sb deposit indicates that temperature is the primary control on Au-Sb segregation. The thermodynamic model further confirms that high-temperature fluids favored the precipitation of Au veins, while lower-temperature fluids facilitated the co-precipitation of stibnite and gold in Sb-Au veins. Therefore, we propose a metallogenic model for the Gutaishan deposit that highlights temperature-driven Au-Sb segregation, resulting from the progressive cooling of the ore-forming fluids. Full article
Show Figures

Figure 1

8 pages, 9223 KB  
Case Report
Natural or Violent Death? Deceptive Crime Scene in a Case of Ruptured Varicose Vein
by Gennaro Baldino, Pietro Tarzia, Gabriele Rotter, Simona Calabrese, Marija Čaplinskienė and Elvira Ventura Spagnolo
Forensic Sci. 2025, 5(4), 70; https://doi.org/10.3390/forensicsci5040070 - 1 Dec 2025
Viewed by 488
Abstract
Background: Fatal hemorrhage from ruptured varicose veins is a rare event that may mimic violent death given the quantity and distribution of blood at the scene. Accurate determination of cause and manner of death requires careful scene investigation, autopsy, histology, and ancillary [...] Read more.
Background: Fatal hemorrhage from ruptured varicose veins is a rare event that may mimic violent death given the quantity and distribution of blood at the scene. Accurate determination of cause and manner of death requires careful scene investigation, autopsy, histology, and ancillary methods such as bloodstain pattern analysis (BPA). Case presentation: We describe an 80-year-old woman found deceased at home, with evidence of extensive bloodstaining, no significant external trauma except a small laceration over a varicosity, and ultimately a ruptured branch of the small saphenous vein. The cause of death was hemorrhagic shock due to spontaneous varicose vein rupture. Discussion: This case reinforces the importance of integrating death scene findings (including shoe prints, bloodstain distribution), anatomical dissection, histology, and toxicology to exclude non-natural causes. We also review recent similar cases in the literature, noting risk factors, presentation, and common pitfalls. Conclusions: Forensic investigations of massive bleeding in elderly, isolated individuals should include varicose vein rupture in the differential. A multidisciplinary approach is essential to avoid misclassification of manner of death. Full article
Show Figures

Figure 1

15 pages, 1738 KB  
Article
The Absorption, Distribution, Excretion, and In Vitro Hepatic Microsomal Metabolism of the Novel CDK Compound XMD12 in Sprague-Dawley Rats
by Xue-Hai Zheng, Yan-Chun Chang, Yong-Hui Li, Yu-Xia He, Pei-Xiong Zhao, Fei-Fei Wang, Jun-Yu Xu and Yin-Feng Tan
Pharmaceutics 2025, 17(12), 1545; https://doi.org/10.3390/pharmaceutics17121545 - 30 Nov 2025
Viewed by 464
Abstract
Background: Cyclin-dependent kinase 4/6 (CDK4/6) represents one of the clinically validated and therapeutically effective anticancer targets. Methods: This study established a rapid and sensitive HPLC-MS/MS method for quantitative determination of XMD12, a novel CDK4/6 inhibitor developed in our laboratory, in various [...] Read more.
Background: Cyclin-dependent kinase 4/6 (CDK4/6) represents one of the clinically validated and therapeutically effective anticancer targets. Methods: This study established a rapid and sensitive HPLC-MS/MS method for quantitative determination of XMD12, a novel CDK4/6 inhibitor developed in our laboratory, in various rat biological matrices including plasma, tissue homogenates, urine and feces. The experimental design comprised three distinct phases: pharmacokinetic evaluation in 10 Sprague-Dawley SD rats (5 receiving 2.0 mg/kg intravenous injection via tail vein and 5 administered 10.0 mg/kg by gastric gavage); tissue distribution assessment in 25 SD rats following a single 20 mg/kg gastric gavage; and an excretion study in 5 SD rats following a single 20 mg/kg gastric gavage. Biological samples were systematically collected post-dosing and analyzed using a validated LC-MS/MS method. Results: Key pharmacokinetic characteristics revealed (1) delayed absorption with significantly limited systemic exposure following gastric gavage; (2) preferential hepatic accumulation post-intestinal absorption followed by rapid clearance through metabolic/biliary pathways with multi-organ collaborative elimination; and (3) time-dependent cumulative excretion predominantly via feces, suggesting final clearance through biliary-mediated intestinal elimination of metabolites. Conclusions: These findings demonstrate XMD12’s dynamic disposition pattern characterized by “restricted absorption–hepatic metabolic priority–multi-tissue collaborative clearance” in vivo. This comprehensive investigation provides crucial pharmacokinetic parameters and excretion profiles for the anticancer lead compound XMD12, offering valuable insights for pharmacodynamic and toxicological evaluations while establishing a foundation for structural optimization and derivative screening of lead compounds. Full article
(This article belongs to the Special Issue Advances in Pharmacokinetics and Drug Interactions)
Show Figures

Graphical abstract

30 pages, 2917 KB  
Article
A Post-Quantum Cryptography Enabled Feature-Level Fusion Framework for Privacy-Preserving Multimodal Biometric Recognition
by David Palma and Pier Luca Montessoro
Cryptography 2025, 9(4), 72; https://doi.org/10.3390/cryptography9040072 - 19 Nov 2025
Viewed by 726
Abstract
As quantum computing continues to advance, it threatens the long-term protection of traditional cryptographic methods, especially in biometric authentication systems where it is important to protect sensitive data. To overcome this challenge, we present a comprehensive, privacy-preserving framework for multimodal biometric authentication that [...] Read more.
As quantum computing continues to advance, it threatens the long-term protection of traditional cryptographic methods, especially in biometric authentication systems where it is important to protect sensitive data. To overcome this challenge, we present a comprehensive, privacy-preserving framework for multimodal biometric authentication that can easily integrate any two binary-encoded modalities through feature-level fusion, ensuring that all sensitive information remains encrypted under a CKKS-based homomorphic encryption scheme resistant to both classical and quantum-enabled attacks. To demonstrate its versatility and effectiveness, we apply this framework to the retinal vascular patterns and palm vein features, which are inherently spoof-resistant and particularly well suited to high-security applications. This method not only ensures the secrecy of the combined biometric sample, but also enables the complete assessment of recognition performance and resilience against adversarial attacks. The results show that our approach provides protection against threats such as data leakage and replay attacks while maintaining high recognition performance and operational efficiency. These findings demonstrate the feasibility of integrating multimodal biometrics with post-quantum cryptography, giving a strong, privacy-oriented authentication solution suitable for mission-critical applications in the post-quantum era. Full article
Show Figures

Figure 1

Back to TopTop