Sign in to use this feature.

Years

Between: -

Subjects

remove_circle_outline
remove_circle_outline
remove_circle_outline
remove_circle_outline
remove_circle_outline
remove_circle_outline
remove_circle_outline
remove_circle_outline
remove_circle_outline

Journals

Article Types

Countries / Regions

remove_circle_outline
remove_circle_outline
remove_circle_outline
remove_circle_outline
remove_circle_outline

Search Results (112)

Search Parameters:
Keywords = usutu virus

Order results
Result details
Results per page
Select all
Export citation of selected articles as:
15 pages, 1873 KB  
Case Report
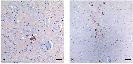
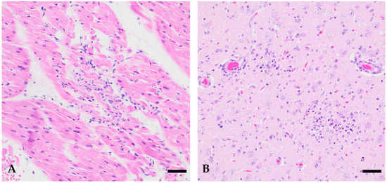
First Detection of Usutu Virus in Harbor Seals (Phoca vitulina)
by Anne Schwarzer, Franziska Schopf, Insa Dammann, Katharina Kramer, Tanja Rosenberger, Christine Fast, Michaela Geese, Martin H. Groschup, Balal Sadeghi and Ute Ziegler
Viruses 2026, 18(3), 371; https://doi.org/10.3390/v18030371 - 17 Mar 2026
Viewed by 672
Abstract
The zoonotic Orthoflavivirus Usutu virus (USUV) is distributed throughout Germany, putting hosts at a considerable risk of infection nationwide. Besides birds as reservoir hosts, a broad range of accidental hosts is suspected. However, there are few reports documenting the progression of USUV-associated disease. [...] Read more.
The zoonotic Orthoflavivirus Usutu virus (USUV) is distributed throughout Germany, putting hosts at a considerable risk of infection nationwide. Besides birds as reservoir hosts, a broad range of accidental hosts is suspected. However, there are few reports documenting the progression of USUV-associated disease. This case report describes the course of fatal USUV infections in three harbor seals (Phoca vitulina) from a rescue center on the North Sea coast in Germany. Corresponding samples were analyzed using (histo-)pathological, immunohistochemical, molecular and phylogenetic methods. The most prevalent findings in clinically affected animals were neurological signs and non-suppurative encephalitis. All animals were found dead or had been euthanized due to animal welfare reasons within 30 h after the onset of clinical signs. Blood samples taken from another 37 young harbor seals from the same rescue center in the same year revealed two further asymptomatic USUV RNA and antibody-positive animals. The sequences were found to belong to USUV lineages Europe 2 and Africa 3, which are known to circulate in birds in Germany. This case report highlights the importance of USUV as a potential diagnosis for neurological impairments in marine mammals and documents the first cases of USUV infection in harbor seals. Full article
Show Figures

Figure 1

34 pages, 2079 KB  
Review
Propagation of Emerging and Re-Emerging Infectious Disease Pathogens in Africa: The Role of Migratory Birds
by Babatunde Ibrahim Olowu, Maryam Ebunoluwa Zakariya, Abdulhakeem Opeyemi Azeez, Abdullah Adedeji Al-Awal, Kehinde Samuel Adebayo, Nahimah Opeyemi Idris, Halima Idris Muhammad, Blessing Chizaram Ukauwa and Al-Amin Adebare Olojede
Bacteria 2026, 5(1), 2; https://doi.org/10.3390/bacteria5010002 - 4 Jan 2026
Viewed by 1446
Abstract
Migratory birds have been implicated in the spread of diverse emerging infectious pathogens, including West Nile virus, Usutu virus, Avian influenza viruses, Salmonella, Campylobacter, antimicrobial-resistant (AMR) bacteria, and antibiotic resistance genes (ARGs). Beyond their roles as vectors and reservoirs, migratory birds [...] Read more.
Migratory birds have been implicated in the spread of diverse emerging infectious pathogens, including West Nile virus, Usutu virus, Avian influenza viruses, Salmonella, Campylobacter, antimicrobial-resistant (AMR) bacteria, and antibiotic resistance genes (ARGs). Beyond their roles as vectors and reservoirs, migratory birds are also susceptible hosts whose own health may be compromised by these infections, reflecting their dual position in the ecology of pathogens. As facilitators of pathogen transmission during their long-distance migrations, often spanning thousands of kilometres and connecting ecosystems across continents, these birds can easily cross-national borders and circumvent traditional biosecurity measures, thereby acting as primary or secondary vectors in the transmission of cross-species diseases among wildlife, livestock, and humans. Africa occupies a pivotal position in global migratory bird networks, yet comprehensive data on pathogen carriage remain limited. Gaps in knowledge of pathogen diversity constrain current surveillance systems, resulting in insufficient genomic monitoring of pathogen evolution and a weak integration of avian ecology with veterinary and human health. These limitations hinder early detection of novel pathogens and reduce the continent’s preparedness to manage outbreaks. Therefore, this review provides a holistic assessment of these challenges by consolidating existing knowledge concerning the pathogens transmitted by migratory birds in Africa, while recognizing the adverse effect of pathogens, which potentiates population decline, extinction, and ecological imbalance. It further advocates for the adoption of a comprehensive One Health-omics approach that not only strengthens surveillance and technological capacity but also prioritizes the protection of avian health as an integral component of ecosystem and public health. Full article
Show Figures

Graphical abstract

19 pages, 1938 KB  
Article
Antiviral and Immunomodulatory Effects of 7-Deaza-2-methyladenosine (7DMA) in a Susceptible Mouse Model of Usutu Virus Infection
by Rebeca P. F. Rocha, Marina A. Fontoura, Fabrício Naciuk, Leonardo C. Oliveira, Alice Nagai, Amanda Bellini Silva, Alexandre Borin, Jaqueline S. Felipe, Marjorie Bruder, Lais D. Coimbra and Rafael Elias Marques
Viruses 2025, 17(12), 1639; https://doi.org/10.3390/v17121639 - 18 Dec 2025
Viewed by 682
Abstract
Usutu virus (USUV) is an emerging arbovirus recently associated with outbreaks in Western Europe. Although USUV is typically associated with asymptomatic or nonspecific febrile disease, the occurrence of severe neuroinvasive forms of disease has raised concern. There is currently no antiviral treatment available [...] Read more.
Usutu virus (USUV) is an emerging arbovirus recently associated with outbreaks in Western Europe. Although USUV is typically associated with asymptomatic or nonspecific febrile disease, the occurrence of severe neuroinvasive forms of disease has raised concern. There is currently no antiviral treatment available for USUV infection; therefore, we sought to investigate the protective effects of the nucleoside analogue 7DMA against USUV. Adding to 7DMA’s activity against USUV in vitro reported by us and others, we found that 7DMA inhibits USUV replication at multiple stages in mammalian cell lines Vero CCL81 and SH-SY5Y. In vivo testing of 7DMA using the susceptible IFNAR-/- mouse model indicated that 7DMA treatment significantly reduced USUV viremia and viral load in tissues and prolonged mice survival. The characterization of the protective effects of 7DMA indicated that treatment also altered immunological aspects of disease development, further increasing the expression of mediators such as CXCL10, IL-15, and IFN-γ, and increasing neutrophil recruitment to target organs. We did not observe significant tissue damage or pathology in USUV-infected mouse brains, suggesting that systemic infection and disease are the major components leading to mortality in this model. We conclude that 7DMA exerts protective effects against USUV infection in the IFNAR-/- model. Full article
(This article belongs to the Special Issue Antiviral Development for Emerging and Re-Emerging Viruses)
Show Figures

Figure 1

10 pages, 540 KB  
Article
β-Actin as an Endogenous Control Gene in Real-Time PCR for Detection of West Nile and Usutu Virus in Mosquitoes
by Jeanne Lai, Carlotta Tessarolo, Elisabetta Ercole, Marina Gallo, Monica Lo Faro, Claudia Palmitessa, Valerio Carta, Alessio Ferrari, Alessandra Favole, Mattia Begovoeva, Francesco Ingravalle, Simone Peletto, Nicolò Francesco Fiscella, Roberta Irelli, Eugenia Ciarrocchi, Walter Martelli, Andrea Mosca, Giulia Cagnotti, Cristina Casalone and Cristiano Corona
Microorganisms 2025, 13(11), 2518; https://doi.org/10.3390/microorganisms13112518 - 31 Oct 2025
Cited by 1 | Viewed by 1500
Abstract
Mosquito-borne viruses like West Nile virus (WNV) and Usutu virus (USUV) present growing public health concerns, especially with climate change and expanding vector ranges. This study describes the development and validation of a duplex Real-Time RT-PCR assay targeting β-actin (ACTB) mRNA as an [...] Read more.
Mosquito-borne viruses like West Nile virus (WNV) and Usutu virus (USUV) present growing public health concerns, especially with climate change and expanding vector ranges. This study describes the development and validation of a duplex Real-Time RT-PCR assay targeting β-actin (ACTB) mRNA as an endogenous control and a conserved 92 bp region shared by WNV and USUV genomes. Degenerate primers for ACTB ensure RNA extraction quality and PCR performance while enabling simultaneous detection of both viruses. A total of 1002 mosquito pools collected in Piedmont, Italy, during the 2024 vector season under the National Surveillance Plan for Arboviruses (PNA), were tested. The assay showed 100% accuracy—ACTB mRNA was detected in all pools, and six pools tested positive for WNV or USUV (three each). Diagnostic specificity was confirmed on 40 horse and bovine serum samples. Sanger sequencing confirmed ACTB identity across multiple mosquito species. The assay also demonstrated reproducibility across different operators and thermocyclers. The limit of detection (LOD) evaluation showed that the assay is capable of detecting viral RNA at very low concentrations, confirming its high analytical sensitivity. The duplex RT-PCR here developed is a reliable, sensitive, and specific tool for arbovirus surveillance, combining pathogen detection with internal quality control of RNA extraction and amplification, thus improving early warning and rapid response to mosquito-borne disease threats. Full article
(This article belongs to the Special Issue Interactions between Parasites/Pathogens and Vectors)
Show Figures

Figure 1

16 pages, 1674 KB  
Article
Detection of West Nile Virus, Usutu Virus and Insect-Specific Bunyaviruses in Culex spp. Mosquitoes, Greece, 2024
by Katerina Tsioka, Konstantina Stoikou, Vasilis Antalis, Elissavet Charizani, Styliani Pappa, Sandra Gewehr, Stella Kalaitzopoulou, Spiros Mourelatos and Anna Papa
Viruses 2025, 17(11), 1414; https://doi.org/10.3390/v17111414 - 23 Oct 2025
Viewed by 1117
Abstract
Greece is one of the countries in Europe most affected by West Nile virus (WNV), and since 2010, when the virus caused a large outbreak with 197 human neuroinvasive cases, outbreaks occur almost every year. Mosquito surveillance is an indirect sign of virus [...] Read more.
Greece is one of the countries in Europe most affected by West Nile virus (WNV), and since 2010, when the virus caused a large outbreak with 197 human neuroinvasive cases, outbreaks occur almost every year. Mosquito surveillance is an indirect sign of virus circulation; therefore, the purpose of the study was the molecular detection of WNV in 45,988 C. pipiens s.l. mosquitoes collected during 2024 in four Regions of Greece and the genetic characterization of the virus strains. WNV was detected in 41 of 1316 (3.12%) Culex spp. mosquito pools. Next-generation sequencing was applied to the WNV-positive samples that had a high viral load. All WNV sequences belong to Cluster B of the sub-lineage Europe WNV-2A presenting a temporal clustering. The WNV infection rates varied highly across the Regions, regional units and months, being higher in Thessaly and Central Macedonia Regions, especially in July and September. All mosquito pools were also tested for Usutu virus (USUV), and one pool was found positive, with sequence clustering into the EU-2 lineage. A subset of mosquitoes (737 pools) was tested for additional viruses, and bunya-like viruses were detected in 6 pools with sequences clustering into four distinct subclades. The prompt detection of pathogenic viruses is helpful for the design of control measures, while the detection of insect-specific viruses provides insights into viral diversity and evolution. Full article
(This article belongs to the Section Invertebrate Viruses)
Show Figures

Figure 1

14 pages, 3695 KB  
Article
Spatial and Temporal Distribution of Mosquito Species (Culicidae) in a Ramsar Site, Fetzara Lake (Annaba, Algeria)
by Amna Rouibi, Abdelhakim Rouibi and Rassim Khelifa
Insects 2025, 16(10), 1057; https://doi.org/10.3390/insects16101057 - 16 Oct 2025
Viewed by 1595
Abstract
Mosquito community composition can differ spatially and temporally within the same wetlands. Understanding this spatiotemporal variation is crucial, particularly in wetlands of conservation importance. Here, we examine the diversity and community composition of Culicidae (Diptera) across four sites within Fetzara Lake, a large [...] Read more.
Mosquito community composition can differ spatially and temporally within the same wetlands. Understanding this spatiotemporal variation is crucial, particularly in wetlands of conservation importance. Here, we examine the diversity and community composition of Culicidae (Diptera) across four sites within Fetzara Lake, a large Ramsar site in Northeast Algeria. For two years, we conducted monthly field surveys across four sites (Northeast, Northwest, Southeast, and Southwest) from April 2021 to March 2023. During these surveys, we used ovitraps to sample mosquitoes and assess species richness as well as alpha and beta diversity. We identified seven mosquito species (Aedes aegypti, Ae. albopictus, Ae. geniculatus, An. labranchiae, Culex perexiguus, Cx. pipiens, and Cs. longiareolata). There was a clear dominance of Culex pipiens (Usutu and West Nile virus vector), which accounted for 74.3% of all samples, whereas Aedes aegypti was the least abundant (<1%). Species richness varied between five and six across sites. The Shannon index and beta diversity revealed significant variation in species diversity across sites and seasons, likely driven by local differences in environmental conditions. This study emphasizes the importance of local variation in environmental conditions in shaping ecological communities in space and time. Full article
Show Figures

Graphical abstract

16 pages, 3337 KB  
Article
Differentiation of West Nile and Usutu Virus Infections by Antibodies Directed to the Non-Structural Protein 1
by Lena Roßbacher, Samuel Taschler, Elena Cecchettin, Amelie Popovitsch, Stephan W. Aberle, Judith H. Aberle, Iris Medits-Weiss and Karin Stiasny
Viruses 2025, 17(10), 1357; https://doi.org/10.3390/v17101357 - 10 Oct 2025
Cited by 1 | Viewed by 1118
Abstract
The genus Orthoflavivirus (family Flaviviridae) comprises several important pathogens that are widespread across the globe, often co-circulating in many regions. In Austria, the closely related mosquito-borne West Nile (WN) and Usutu (USU) viruses have been detected since the early 2000s. Orthoflavivirus-neutralizing antibodies [...] Read more.
The genus Orthoflavivirus (family Flaviviridae) comprises several important pathogens that are widespread across the globe, often co-circulating in many regions. In Austria, the closely related mosquito-borne West Nile (WN) and Usutu (USU) viruses have been detected since the early 2000s. Orthoflavivirus-neutralizing antibodies primarily target the major envelope protein E. However, due to their antigenic relationship, recurring contacts with different orthoflaviviruses can lead to the induction of broadly cross-reactive E-specific antibodies. These can pose a problem in the diagnosis and differentiation of orthoflavivirus infections. Therefore, we established immunological assays based on the non-structural protein 1 (NS1) to differentiate infections caused by WN and USU viruses. The NS1 protein is secreted during acute infection, and NS1-specific antibodies have been reported to be less cross-reactive than those against E. Using sera from individuals with a confirmed WN or USU virus infection, it was possible to distinguish between the two virus infections with high accuracy, specifically when IgM and IgG results were combined. Full article
(This article belongs to the Special Issue Emerging and Re-Emerging Neuroinvasive Arboviruses)
Show Figures

Figure 1

10 pages, 914 KB  
Article
Absence of West Nile and Usutu Virus Persistence in Overwintering Mosquitoes in Northeastern France: Insights from Cold-Season Surveillance
by Pauline Jourdan, Jean-Philippe Martinet, Hubert Ferté, Bruno Mathieu, Marie Vazeille, Jérôme Depaquit, Anna-Bella Failloux, Anouk Decors and Rémi Charrel
Viruses 2025, 17(9), 1217; https://doi.org/10.3390/v17091217 - 6 Sep 2025
Viewed by 1293
Abstract
Emerging arboviruses of the Orthoflavivirus genus such as West Nile virus (WNV) and Usutu virus (USUV), primarily transmitted by Culex mosquitoes, pose significant public health threats due to their ability to cause severe neurological diseases in humans and animals. While studies in North [...] Read more.
Emerging arboviruses of the Orthoflavivirus genus such as West Nile virus (WNV) and Usutu virus (USUV), primarily transmitted by Culex mosquitoes, pose significant public health threats due to their ability to cause severe neurological diseases in humans and animals. While studies in North America and Central Europe have shown that these viruses can persist in overwintering mosquitoes, their role in viral maintenance during the cold season in northeastern France remains unknown. This study aimed to assess whether overwintering female mosquitoes in this region could harbor WNV or USUV during the cold season, potentially maintaining viral circulation until the following transmission season. Between October 2021 and February 2024, a total of 10,617 overwintering female mosquitoes were collected in various types of habitats across five departments in northeastern France. The most common species was Culex pipiens (88%). Mosquitoes were grouped into 1121 pools (1–10 individuals each) and tested by real-time RT-PCR for WNV, USUV, and other flaviviruses using a pan-Flavivirus NS5-targeting assay. All pools tested negative, indicating no evidence of viral RNA in overwintering females. These results suggested that overwintering female mosquitoes in northeastern France do not act as reservoirs for WNV or USUV, and do not contribute to their overwintering maintenance. Full article
(This article belongs to the Section Invertebrate Viruses)
Show Figures

Figure 1

19 pages, 1325 KB  
Review
One Health Approach in the Era of Emerging Viruses: The Challenge of Usutu Virus
by Emanuela Laratta, Domiziana Masci, Anna Caterina Procopio, Alessio Soggiu, Andrea Urbani and Paola Roncada
Int. J. Mol. Sci. 2025, 26(17), 8150; https://doi.org/10.3390/ijms26178150 - 22 Aug 2025
Viewed by 1769
Abstract
The One Health concept recognises the close interconnection between human, animal, and environmental health. In recent years, this perspective has intensified scientific focus on zoonoses. Among these, arboviruses—viruses transmitted by arthropod vectors—represent an emerging challenge, particularly in the present period strongly conditioned by [...] Read more.
The One Health concept recognises the close interconnection between human, animal, and environmental health. In recent years, this perspective has intensified scientific focus on zoonoses. Among these, arboviruses—viruses transmitted by arthropod vectors—represent an emerging challenge, particularly in the present period strongly conditioned by climate change. Usutu virus (USUV) is a Flavivirus maintained via an enzootic bird–mosquito–bird cycle that infects other vertebrates. USUV is currently a significant animal health concern due to its expanding host range and increasing avian mortality events. Although USUV appears to be less dangerous than other emerging arboviruses in humans, the neurological disorders it can cause are alarming and increase the need for a better understanding of the spread and genetic evolution of USUV, as well as for the stronger promotion of vaccine and antiviral development. As with other arboviruses, treatment for USUV is limited to avoiding contact with mosquitoes, which is not always possible. Since vaccines do not yet exist, the use of modern OMICS sciences may provide comprehensive knowledge for developing effective control and prevention measures to avoid future pandemics and contain current epidemics. Full article
(This article belongs to the Special Issue Molecular Insights into Zoonotic Diseases)
Show Figures

Graphical abstract

22 pages, 2922 KB  
Review
Zoonotic Orthoflaviviruses Related to Birds: A Literature Review
by Vladimir Savić, Ljubo Barbić, Maja Bogdanić, Ivana Rončević, Ana Klobučar, Alan Medić and Tatjana Vilibić-Čavlek
Microorganisms 2025, 13(7), 1590; https://doi.org/10.3390/microorganisms13071590 - 6 Jul 2025
Cited by 3 | Viewed by 2684
Abstract
Orthoflaviviruses (formerly flaviviruses) are known for their role in numerous diseases affecting both humans and animals. Despite the worldwide distribution of orthoflaviviruses, individual species are only found in endemic or epidemic regions. However, in recent decades, certain orthoflaviviruses have spread beyond their traditional [...] Read more.
Orthoflaviviruses (formerly flaviviruses) are known for their role in numerous diseases affecting both humans and animals. Despite the worldwide distribution of orthoflaviviruses, individual species are only found in endemic or epidemic regions. However, in recent decades, certain orthoflaviviruses have spread beyond their traditional geographic boundaries, even crossing continents. Given the long-distance movements of birds, the knowledge of zoonotic orthoflaviviruses associated with birds is essential because of their possible introduction into new regions, as was the case with West Nile virus and Usutu virus. A thorough literature review was conducted on zoonotic orthoflaviviruses related to birds, including lesser-known (re-)emerging and neglected orthoflaviviruses that are limited to specific regions and/or avian hosts but have the potential to spread to a wider geographical area and pose a higher risk of transmission to humans. Several of these viruses possess significant zoonotic potential and can cause a wide spectrum of diseases in humans, ranging from mild febrile illnesses (Zika virus) to severe neuroinvasive diseases (tick-borne encephalitis, West Nile, Japanese encephalitis virus) and hemorrhagic fevers (yellow fever, dengue virus). Geographic distribution, hosts, vectors, incidence of human infections, and impact on human and animal health of zoonotic flaviviruses related to birds are critically reviewed. The viruses have been categorized based on the role of birds as an orthoflavivirus host and the clinical presentation in human infections. Full article
(This article belongs to the Special Issue Emerging Viral Zoonoses, Second Edition)
Show Figures

Figure 1

19 pages, 4197 KB  
Article
Re-Emergence of Usutu Virus and Spreading of West Nile Virus Neuroinvasive Infections During the 2024 Transmission Season in Croatia
by Tatjana Vilibić-Čavlek, Ljubo Barbić, Ana Klobučar, Marko Vucelja, Maja Bogdanić, Dario Sabadi, Marko Kutleša, Branimir Gjurašin, Vladimir Stevanović, Marcela Curman Posavec, Linda Bjedov, Marko Boljfetić, Tonka Jozić-Novinc, Robert Škara, Morana Tomljenović, Željka Hruškar, Mahmoud Al-Mufleh, Tanja Potočnik-Hunjadi, Ivana Rončević and Vladimir Savić
Viruses 2025, 17(6), 846; https://doi.org/10.3390/v17060846 - 13 Jun 2025
Cited by 3 | Viewed by 3268
Abstract
Neuroinvasive arboviruses such as tick-borne encephalitis virus (TBEV), West Nile virus (WNV), Usutu virus (USUV), and Toscana virus (TOSV) have (re-)emerged with increasing incidence and geographic range. We analyzed the epidemiology of arboviral infections in Croatia during the 2024 transmission season. A total [...] Read more.
Neuroinvasive arboviruses such as tick-borne encephalitis virus (TBEV), West Nile virus (WNV), Usutu virus (USUV), and Toscana virus (TOSV) have (re-)emerged with increasing incidence and geographic range. We analyzed the epidemiology of arboviral infections in Croatia during the 2024 transmission season. A total of 154 patients with neuroinvasive diseases (NID), 1596 horses, 69 dead birds, and 7726 mosquitoes were tested. Viral RNA was detected using RT-qPCR. IgM/IgG-specific antibodies were detected using commercial ELISA or IFA, with confirmation of cross-reactive samples by virus neutralization test. RT-qPCR-positive samples were Sanger sequenced. Arboviral etiology was confirmed in 33/21.42% of patients with NID. WNV was most frequently detected (17/11.03%), followed by TBEV (10/6.49%), USUV (5/3.24%), and TOSV (1/0.64%). WNV infections were reported in regions previously known as endemic, while in one continental county, WNV was recorded for the first time. USUV infections re-emerged after a six-year absence. In addition to human cases, acute WNV infections were recorded in 11/395 (2.78%) of horses and two dead crows. WNV IgG seropositivity was detected in 276/1168 (23.63%) and TBEV IgG seropositivity in 68/428 (15.88%) horses. None of the tested mosquito pools were positive for WNV and USUV RNA. Phylogenetic analysis showed the circulation of WNV lineage 2 and Usutu Europe 2 lineage. Climate conditions in 2024 in Croatia were classified as extremely warm, which could, at least in part, impact the quite intense arboviral season. The spreading of flaviviruses in Croatia highlights the need for continuous surveillance in humans, animals, and vectors (“One Health”). Full article
(This article belongs to the Special Issue Arboviral Lifecycle 2025)
Show Figures

Figure 1

28 pages, 5849 KB  
Article
Attenuating Mutations in Usutu Virus: Towards Understanding Orthoflavivirus Virulence Determinants and Live Attenuated Vaccine Design
by Johanna M. Duyvestyn, Peter J. Bredenbeek, Marie J. Gruters, Ali Tas, Tessa Nelemans, Marjolein Kikkert and Martijn J. van Hemert
Vaccines 2025, 13(5), 495; https://doi.org/10.3390/vaccines13050495 - 3 May 2025
Cited by 1 | Viewed by 2031
Abstract
Background/Objectives: Understanding virulence determinants can inform safer and more efficacious live attenuated vaccine design. However, applying this knowledge across related viruses does not always result in conserved phenotypes from similar mutants. Methods: Using Usutu virus (USUV), an emerging orthoflavivirus spreading through Europe, we [...] Read more.
Background/Objectives: Understanding virulence determinants can inform safer and more efficacious live attenuated vaccine design. However, applying this knowledge across related viruses does not always result in conserved phenotypes from similar mutants. Methods: Using Usutu virus (USUV), an emerging orthoflavivirus spreading through Europe, we assessed whether the attenuating effect of the mutations described for related orthoflaviviruses is conserved. Candidate attenuating mutations were selected based on previous studies in other orthoflaviviruses and incorporated into USUV. Results: Nine variants, with mutations in the USUV envelope, non-structural (NS) proteins NS1, NS2A, or NS4B were stable and selected for further characterisation. The variants with an attenuating phenotype in cell culture were then compared to the wild-type virus in an Ifnar−/− mouse model. Mutations of the envelope glycosylation sites and glycosaminoglycan binding sites, which were recognised as more-conserved mechanisms of orthoflavivirus attenuation, were attenuating in USUV as well. However, not all the mutations explored in the USUV non-structural proteins exhibited an attenuated phenotype. Instead, the attenuation was either less pronounced, or there was no change in phenotype relative to the wild-type virus at all. Conclusions: In addition to improving our understanding of USUV virulence determinants, these results add to a growing body of literature highlighting the most promising mechanisms to target for the design of safe live attenuated vaccines against emerging orthoflaviviruses. Full article
Show Figures

Figure 1

18 pages, 16235 KB  
Article
Virological Passive Surveillance of Avian Influenza and Arboviruses in Wild Birds: A Two-Year Study (2023–2024) in Lombardy, Italy
by Maria Cristina Rapi, Ana Maria Moreno Martin, Davide Lelli, Antonio Lavazza, Stefano Raimondi, Marco Farioli, Mario Chiari and Guido Grilli
Microorganisms 2025, 13(5), 958; https://doi.org/10.3390/microorganisms13050958 - 22 Apr 2025
Viewed by 1929
Abstract
Avian influenza (AI), caused by Alphainfluenzavirus (family Orthomyxoviridae), poses significant threats to poultry, biodiversity, and public health. AI outbreaks in poultry lead to severe economic losses, while highly pathogenic strains (HPAIVs) severely impact wild bird populations, with implications for biodiversity and potential [...] Read more.
Avian influenza (AI), caused by Alphainfluenzavirus (family Orthomyxoviridae), poses significant threats to poultry, biodiversity, and public health. AI outbreaks in poultry lead to severe economic losses, while highly pathogenic strains (HPAIVs) severely impact wild bird populations, with implications for biodiversity and potential zoonotic risks. Similarly, arboviruses such as West Nile virus (WNV) and Usutu virus (USUV) are emerging zoonoses. WNV can cause severe neurological diseases in birds, humans, and other animals, while USUV significantly affects blackbird populations and has zoonotic potential, though human cases remain rare. This study investigated avian viruses in 1654 wild birds from 75 species that died at the Wildlife Rescue Center in Vanzago, Lombardy, during 2023–2024. Necropsies were conducted, and virological analyses were performed to detect avian influenza viruses, WNV, and USUV. Among the tested birds, 15 were positive for H5N1 HPAIV clade 2.3.4.4b, all in 2023, including 13 Chroicocephalus ridibundus, one Coturnix coturnix, and one Columba palumbus. Additionally, 16 tested positive for WNV (15 for lineage 2 and one for lineage 1), one for USUV, and 11 co-infections WNV/USUV were recorded in 2023–2024. These findings underscore the importance of avian viral passive surveillance in identifying epidemiological trends and preventing transmission to other species, including mammals and humans. Full article
(This article belongs to the Special Issue Emerging Viral Zoonoses, Second Edition)
Show Figures

Figure 1

13 pages, 1202 KB  
Article
First Serologic Evidence of West Nile Virus and Usutu Virus Circulation Among Dogs in the Bulgarian Danube Region and Analysis of Some Risk Factors
by Nikolina Rusenova and Anton Rusenov
Vet. Sci. 2025, 12(4), 373; https://doi.org/10.3390/vetsci12040373 - 16 Apr 2025
Cited by 1 | Viewed by 1558
Abstract
This study aimed to assess West Nile virus (WNV) and Usutu virus seroprevalence among the dog population in the Danube region, Bulgaria, to confirm the results of ELISA by the virus neutralisation test (VNT), as well as to analyse several risk factors of [...] Read more.
This study aimed to assess West Nile virus (WNV) and Usutu virus seroprevalence among the dog population in the Danube region, Bulgaria, to confirm the results of ELISA by the virus neutralisation test (VNT), as well as to analyse several risk factors of seropositivity in dogs. To implement this, a total of 201 blood samples were collected from dogs in four districts bordering the Danube River. All the samples were tested for anti-WNV protein E antibodies using competitive ELISA. Neutralising antibodies against WNV and Usutu virus were tested in all the ELISA-positive samples. The results show a WNV seroprevalence of 45.3% (n = 91, CI = 36.45–55.59) by ELISA, whereas the virus neutralisation test indicated a seroprevalence of 21.9% (n = 44, CI = 15.91–29.39). Neutralising antibodies against Usutu virus were detected for the first time in Bulgaria, with a prevalence of 6% (n = 12, CI = 3.09–10.43). Compared to VNT, ELISA demonstrated 100.0% sensitivity and 70.1% specificity. The region (p < 0.0187), the district (p = 0.0258) and the ages of the dogs (p = 0.0180) were identified as statistically significant risk factors associated with WNV seropositivity. This study provides indirect evidence of WNV and Usutu virus circulation among dogs in the Danube region of Bulgaria, highlighting a potential risk for susceptible hosts in the area. Full article
(This article belongs to the Special Issue Viral Infections in Wild and Domestic Animals)
Show Figures

Figure 1

10 pages, 244 KB  
Article
The Role of Ruminants as Sentinel Animals in the Circulation of the West Nile Virus in Tunisia
by Ahmed Ouni, Hajer Aounallah, Wafa Kammoun Rebai, Francisco Llorente, Walid Chendoul, Walid Hammami, Adel Rhim, Miguel Ángel Jiménez-Clavero, Elisa Pérez-Ramírez, Ali Bouattour and Youmna M’Ghirbi
Pathogens 2025, 14(3), 267; https://doi.org/10.3390/pathogens14030267 - 8 Mar 2025
Cited by 3 | Viewed by 2085
Abstract
Outbreaks of the West Nile Virus (WNV) have increased significantly in recent years in the Mediterranean region, including Tunisia. To understand the risks for animal and human health and to mitigate the impact of future outbreaks, comprehensive viral surveillance in vertebrate hosts and [...] Read more.
Outbreaks of the West Nile Virus (WNV) have increased significantly in recent years in the Mediterranean region, including Tunisia. To understand the risks for animal and human health and to mitigate the impact of future outbreaks, comprehensive viral surveillance in vertebrate hosts and vectors is needed. We conducted the first serosurvey for the WNV in ruminants in southern Tunisia using the ELISA test and confirmed it with the micro-virus neutralization test (VNT). Antibodies were detected by the ELISA test in camels (38/112), sheep (9/155), and goats (7/58), and six samples were doubtful (five camels and one sheep). The ELISA positive and doubtful sera (n = 60) were further analyzed to confirm the presence of specific anti-WNV and anti-Usutu virus (USUV) antibodies using the micro-virus neutralization test (VNT). Out of the 60 sera, 33 were confirmed for specific WNV antibodies, with an overall seroprevalence of 10.15% [95% CI: 7.09–13.96]. The high seroprevalence observed in camels (22.3%) suggests their potential use as sentinel animals for WNV surveillance in southern Tunisia. The viral genome, and consequently active circulation, could not be detected by real-time RT-qPCR in blood samples. Ongoing surveillance of the WNV in animals, including camels, sheep, and goats, may be used for the early detection of viral circulation and for a rapid response to mitigate potential outbreaks in horses and humans. Full article
(This article belongs to the Special Issue One Health and Neglected Zoonotic Diseases)
Back to TopTop