Sign in to use this feature.

Years

Between: -

Subjects

remove_circle_outline
remove_circle_outline
remove_circle_outline
remove_circle_outline
remove_circle_outline
remove_circle_outline
remove_circle_outline
remove_circle_outline
remove_circle_outline

Journals

remove_circle_outline
remove_circle_outline
remove_circle_outline
remove_circle_outline
remove_circle_outline
remove_circle_outline
remove_circle_outline
remove_circle_outline
remove_circle_outline
remove_circle_outline
remove_circle_outline
remove_circle_outline
remove_circle_outline

Article Types

Countries / Regions

remove_circle_outline
remove_circle_outline
remove_circle_outline
remove_circle_outline

Search Results (648)

Search Parameters:
Keywords = ultimate pH

Order results
Result details
Results per page
Select all
Export citation of selected articles as:
14 pages, 2174 KB  
Article
Functional Carbazole–Cellulose Composite Binders for High-Stability Carbon Electrodes in Perovskite Solar Cells
by Fengming Guo, Junjie Wu, Yujing Li, Zilong Zhang, Maolin He, Lusheng Liang, Reza Keshavarzi and Peng Gao
Nanomaterials 2025, 15(24), 1868; https://doi.org/10.3390/nano15241868 - 12 Dec 2025
Abstract
Perovskite solar cells (PSCs) based on metal halides have garnered significant attention due to their exceptional power conversion efficiency (PCE) and compatibility with low-temperature fabrication processes. However, the development of stable and inexpensive carbon electrodes remains hindered by issues such as insufficient conductivity [...] Read more.
Perovskite solar cells (PSCs) based on metal halides have garnered significant attention due to their exceptional power conversion efficiency (PCE) and compatibility with low-temperature fabrication processes. However, the development of stable and inexpensive carbon electrodes remains hindered by issues such as insufficient conductivity at the carbon electrode/perovskite interface and weak coupling strength. In this study, we employed a functionalized carbazole–cellulose composite (C–Cz) as an alternative binder to construct highly stable carbon electrodes for PSCs. The incorporation of C–Cz enhances electron interactions through its conjugated carbazole moieties, while the cellulose backbone facilitates uniform dispersion of carbon particles and forms continuous transport pathways. These synergistic effects significantly optimize interfacial energy alignment and defect passivation. Ultimately, p-i-n PSCs fabricated with C–Cz carbon paste electrodes achieved a champion PCE of 16.79%, substantially outperforming the control device using a conventional PMMA binder (10.56%). Notably, the exceptional hydrophobicity and defect passivation capabilities of the C–Cz electrode substantially enhance device durability—maintaining over 95% of initial efficiency after 400 h of continuous maximum power point tracking irradiation. This study reveals an effective adhesive engineering strategy for robust, scalable carbon electrodes, paving new pathways for practical applications in stable perovskite photovoltaics. Full article
Show Figures

Figure 1

13 pages, 2213 KB  
Article
Performance and Mechanism of Fe80P13C7 Metal Glass in Catalytic Degradation of Methylene Blue
by Li Ma, Kun Zhang, Feilong Guo and Tiejun Kuang
Catalysts 2025, 15(12), 1158; https://doi.org/10.3390/catal15121158 - 10 Dec 2025
Abstract
This study systematically investigates the catalytic degradation performance and reaction mechanism of Fe80P13C7 Metal Glass (MG) in a Fenton-like system for the removal of Methylene Blue (MB). Kinetic experiments on degradation reveal that under acidic conditions (pH = [...] Read more.
This study systematically investigates the catalytic degradation performance and reaction mechanism of Fe80P13C7 Metal Glass (MG) in a Fenton-like system for the removal of Methylene Blue (MB). Kinetic experiments on degradation reveal that under acidic conditions (pH = 3), Fe80P13C7 MG exhibits exceptional catalytic activity, achieving complete degradation of a 50 mg/L MB solution within 12 min. Its degradation rate significantly surpasses that of Fe78Si9B13 MG and commercially available ZVI powder. Key parameters such as catalyst dosage, H2O2 concentration, solution pH, and initial dye concentration were systematically examined to determine the optimal reaction conditions. The characterization results indicate that Fe80P13C7 MG maintains high activity even after multiple cycles of use, attributed to surface selective corrosion and crack formation during the reaction process. This “self-renewal” mechanism continuously exposes fresh active sites. Mechanistic studies confirm that the degradation process is driven by an efficient redox cycle between Fe2+/Fe3+ within the material, ensuring sustained and stable generation of •OH, which ultimately leads to the complete mineralization of MB molecules. This research provides solid experimental and theoretical foundations for the application of Fe80P13C7 MG in dye wastewater treatment. Full article
Show Figures

Graphical abstract

18 pages, 6173 KB  
Article
Regulating the GP Zone to T′ Phase Evolution and Achieving Strength–Ductility Synergy in an Al-Mg-Zn-Cu Alloy via a Two-Step Aging (T4P-BH) Process
by Shiyang Chen, Haicun Yu, Jiazhi An, Ziqi Shang, Ziren Wang and Wanwu Ding
Metals 2025, 15(12), 1347; https://doi.org/10.3390/met15121347 - 8 Dec 2025
Viewed by 77
Abstract
To address the technical challenge of balancing formability and strength in automotive aluminum alloys, this study examined an Al-4.35Mg-3.6Zn-0.2Cu alloy subjected to a combined heat-treatment schedule consisting of a two-step solution treatment (470 °C for 24 h followed by 460 °C for 30 [...] Read more.
To address the technical challenge of balancing formability and strength in automotive aluminum alloys, this study examined an Al-4.35Mg-3.6Zn-0.2Cu alloy subjected to a combined heat-treatment schedule consisting of a two-step solution treatment (470 °C for 24 h followed by 460 °C for 30 min) and a subsequent two-step aging process (T4P: 80 °C for 12 h, followed by BH: 180 °C for 30 min). Microstructural evolution was characterized using transmission electron microscopy, and uniaxial tensile tests were performed in accordance with the GB/T 228.1-2021 standard at a strain rate of 0.2 mm/min. In the T4P condition, the matrix contained both GPI zones (~0.9 nm) and GPII zones (~1.2 nm), with no detectable T-phase precipitation. The presence of GPII zones enhanced ductility by promoting dynamic recovery after dislocation shearing, resulting in a yield strength (YS) of 178 MPa, an ultimate tensile strength (UTS) of 310 MPa, and an elongation (El) of 9%. After BH treatment, the GPII zones transformed into semi-coherent T′-Mg32(AlZnCu)49 precipitates (~2.4 nm), which strengthened the alloy through their semi-coherent interfaces. The retained GPII zones mitigated the loss of ductility, and the final mechanical properties reached a YS of 275 MPa, a UTS of 340 MPa, and an El of 8.5%, corresponding to a BH response of 97 MPa. Strengthening-mechanism calculations indicated that GP zones contributed approximately 120 MPa to the yield strength in the T4P state, whereas T′ precipitates contributed about 169.64 MPa after BH treatment. The calculated values agreed well with the experimental results, with a deviation of less than 3%. This study clarifies the precipitation sequence in the alloy—supersaturated solid solution → GPI zones → GPII zones → T′ phase—and establishes the relationship between microstructure and strength–ductility behavior. The findings provide theoretical guidance for the design and optimization of high-strength, high-formability aluminum alloys for automotive outer-panel applications. Full article
Show Figures

Graphical abstract

24 pages, 4762 KB  
Article
Study on the Degradation, Wear Resistance and Osteogenic Properties of Zinc–Copper Alloys Modified with Zinc Phosphate Coating
by Pingyi Dong, Jianing He, Shengkun Han, Yuandong Liu, Honghui Cheng, Guangliang Hao, Junxiu Chen and Bo Yu
Coatings 2025, 15(12), 1447; https://doi.org/10.3390/coatings15121447 - 8 Dec 2025
Viewed by 170
Abstract
The repair of large segmental bone defects remains a major clinical challenge. Traditional bone repair materials often suffer from mismatched degradation rates, insufficient mechanical strength, or limited bioactivity. Biodegradable zinc alloys have emerged as potential alternatives due to their suitable degradation rate and [...] Read more.
The repair of large segmental bone defects remains a major clinical challenge. Traditional bone repair materials often suffer from mismatched degradation rates, insufficient mechanical strength, or limited bioactivity. Biodegradable zinc alloys have emerged as potential alternatives due to their suitable degradation rate and good biocompatibility, though their bioactivity requires further enhancement. In this study, a zinc phosphate (ZnP) coating was applied on the surface of zinc–copper (Zn–Cu) alloy via a phosphate chemical conversion method, and the corrosion resistance, wear resistance, and osteogenic properties of the coating were systematically evaluated. Results showed that the ZnP coating prepared at pH = 2.5 exhibited a dense structure and high crystallinity, reducing the corrosion rate to 0.010 μm/year and increasing the ultimate tensile strength to 117.03 ± 0.78 MPa, significantly improving the wear and corrosion resistance of the alloy. In vivo experiments demonstrated that the material markedly promoted new bone formation and osseointegration. Micro-computed tomography (Micro-CT) revealed that key indicators such as bone volume fraction (approximately 50.26%) and trabecular number (approximately 161.31/mm3) were superior to those of the β-tricalcium phosphate (β-TCP) group and the control group. Histological analysis confirmed its excellent osteogenic activity and mineralization capacity. Biosafety assessments indicated no systemic toxic reactions. The ZnP-coated Zn-1Cu alloy showed promising application in treatment of bone defect. Full article
Show Figures

Figure 1

22 pages, 2269 KB  
Article
Dietary Scutellaria baicalensis and Lonicera japonica Extract Supplementation Attenuates Oxidative Stress and Improves Reproductive Performance in Sows
by Nuan Wang, Huiyuan Lv, Wei Chai, Hanting Ding, Junjie Yang, Hanyu Jing, Fang Chen and Wutai Guan
Animals 2025, 15(24), 3517; https://doi.org/10.3390/ani15243517 - 5 Dec 2025
Viewed by 135
Abstract
Harnessing the powerful antioxidant and anti-inflammatory properties of Scutellaria baicalensis and Lonicera japonica (SL), SL extract emerges as a natural and effective dietary strategy to enhance sow reproductive performance and overall health. In this study, 100 multiparous Duroc × Landrace × Yorkshire sows [...] Read more.
Harnessing the powerful antioxidant and anti-inflammatory properties of Scutellaria baicalensis and Lonicera japonica (SL), SL extract emerges as a natural and effective dietary strategy to enhance sow reproductive performance and overall health. In this study, 100 multiparous Duroc × Landrace × Yorkshire sows were assigned to either a control diet or a diet supplemented with 0.05% SL extract (n = 100), beginning on day 85 of gestation and continuing until day 21 of lactation, with 50 sows in each group. Duroc boars were the source of semen for artificial insemination. While SL supplementation did not affect litter size, birth weight, or milk composition, it significantly reduced piglet mortality during lactation, from 13.11% to 9.72% (p < 0.05). Compared with the control group, feed intake of sows in the SL group increased from 4.56 kg to 4.70 kg (p < 0.01) during lactation. Furthermore, SL extract enhanced the antioxidant capacity of the sows, reduced malondialdehyde and levels of IL-1β, IL-6, and TNF-α, and increased the plasma soluble cluster of differentiation 14 (sCD14) concentrations (p < 0.05). In vitro, pretreatment of mammary epithelial cells with SL extract (2 μg/mL for 24 h) before lipopolysaccharide stimulation significantly upregulated antioxidant markers, suppressed pro-inflammatory cytokine mRNA expression, and inhibited activation of the NF-κB and MAPK pathways (p < 0.05). These findings highlight the potential of SL extract as a natural feed additive to mitigate oxidative stress and inflammation, ultimately supporting improved reproductive performance and health in sows. Full article
(This article belongs to the Special Issue Maternal Nutrition and Neonatal Development of Pigs)
Show Figures

Figure 1

8 pages, 2412 KB  
Proceeding Paper
Facile Wet-Chemical Synthesis of Graphene Oxide-Hydroxyapatite Composite for Potent, Accelerated and Synergistic Sonophotocatalytic Degradation of Diclofenac Under Light and Ultrasound Irradiation
by Joe Mari Biag, Justin Carl Briones, Crystal Cayena Dancel, Florely De Villa, Christian Ibarra Durante, Rugi Vicente Rubi and Rich Jhon Paul Latiza
Eng. Proc. 2025, 117(1), 8; https://doi.org/10.3390/engproc2025117008 - 3 Dec 2025
Viewed by 107
Abstract
The widespread disposal of pharmaceutical waste, particularly diclofenac (DCF), poses a significant threat to aquatic ecosystems. The current degradation methods, including biological treatments and standalone advanced oxidation processes, often prove insufficient, leaving residual DCF concentrations. This study proposes a novel solution using a [...] Read more.
The widespread disposal of pharmaceutical waste, particularly diclofenac (DCF), poses a significant threat to aquatic ecosystems. The current degradation methods, including biological treatments and standalone advanced oxidation processes, often prove insufficient, leaving residual DCF concentrations. This study proposes a novel solution using a rapidly synthesized graphene oxide/hydroxyapatite (GO/HAp) nanocomposite via wet-chemical precipitation to enhance DCF degradation through synergistic sonophotocatalysis. The synthesized nanocomposite’s structure was confirmed using Fourier transform infrared spectroscopy FTIR, x-ray diffraction XRD, and scanning electron microscope SEM analyses, revealing the successful formation of a hexagonal HAp phase on GO sheets. Optimization of the sonophotocatalytic parameters revealed that pH and loading significantly influenced degradation, while time had a less pronounced effect. The optimal conditions (a pH pf 4, 45 mg GO/HAp, 30 min) achieved a remarkable 93.86% DCF degradation, significantly outperforming standalone photocatalysis (72.76%) and sonolysis (63.76%). This enhanced performance is attributed to the synergistic effect of sonophotocatalysis, which increases the active surface area and radical generation, coupled with the high surface area and adsorption capacity of the GO/HAp nanocomposite. This research demonstrates that rapid wet-chemical synthesis of the GO/HAp nanocomposite, coupled with an optimized sonophotocatalytic process, offers a potent, accelerated, and efficient method for degrading DCF, paving the way for improved pharmaceutical wastewater treatment. Ultimately, this research provides a foundation for developing effective water treatment solutions to combat pharmaceutical contaminants. Full article
Show Figures

Figure 1

22 pages, 7997 KB  
Article
Experimental Study on Dynamic Characteristics of Cemented Tailings Backfill Under Different Tailings Gradation
by Deqing Gan, Hongbao Li and Zhiyi Liu
Appl. Sci. 2025, 15(23), 12778; https://doi.org/10.3390/app152312778 - 2 Dec 2025
Viewed by 166
Abstract
The stability of cemented tailings backfill (CTB) is influenced by mining disturbance. As a property of CTB, tailings gradation (TG) is one of the factors that change its mechanical properties. Taking tailings gradation, impact amplitude, and curing age as variables, this paper focuses [...] Read more.
The stability of cemented tailings backfill (CTB) is influenced by mining disturbance. As a property of CTB, tailings gradation (TG) is one of the factors that change its mechanical properties. Taking tailings gradation, impact amplitude, and curing age as variables, this paper focuses on the characteristics of the influence of curing age on the failure deformation, strength evolution, failure mode, and microstructure of CTB. The results show that with the average particle size of the tailings from coarse to fine, the peak stress and elastic modulus of CTB first decrease and then increase. The increase in curing age and impact amplitude can improve the elastic deformation capacity of CTB. During the post-peak phase, the stress–strain curve undergoes sequential morphological transitions, evolving from the initial “stress drop” characteristics through “post-peak plasticity” manifestations before ultimately demonstrating “post-peak ductility” behavior. This progression corresponds to CTB’s material transformation pathway, commencing as a rigid substance that first transitions into a plastic-brittle composite, subsequently develops plastic properties, and finally attains ductile material characteristics. The TG changes from T1 to T4, and the failure mode of CTB gradually changes from composite failure and shear failure to tension failure and composite failure. A CTB strength prediction model based on TG is proposed. The R2 of the model is 0.997, F = 12,855, and p < 0.001, which has high applicability. As tailings vary from T1/T2 to T4, AFt content progressively decreases, the C-S-H gel transitions from a 3D network to a flocculent structure, and the skeleton shifts from coarse to fine particles, leading to increased porosity but smaller pores. Full article
Show Figures

Figure 1

20 pages, 2337 KB  
Article
The Evaluation of Ammonium Sulphate as a Potential Draw Solute in a Hybrid FO-RO Process to Concentrate Nutrients (NPK) from a Simulated Liquid Digestate—Part I: Deionized Water as a Feed Solution
by Marsa Tolouei, Roshan Abraham, Niloofar Abdehagh, Majid Sartaj and Boguslaw Kruczek
Membranes 2025, 15(12), 366; https://doi.org/10.3390/membranes15120366 - 1 Dec 2025
Viewed by 231
Abstract
The ultimate objective of this research is to concentrate nutrients—nitrogen (N), phosphorus (P), and potassium (K)—and produce process water from a chemically pretreated liquid digestate using an FO-RO hybrid process. However, in this manuscript, we assessed the suitability of (NH4)2 [...] Read more.
The ultimate objective of this research is to concentrate nutrients—nitrogen (N), phosphorus (P), and potassium (K)—and produce process water from a chemically pretreated liquid digestate using an FO-RO hybrid process. However, in this manuscript, we assessed the suitability of (NH4)2SO4 and NaCl as draw solutes in a series of FO experiments employing a commercial CTA membrane and DI water as the feed solution. We also examined the regeneration of (NH4)2SO4 in a series of RO experiments at various feed concentrations and pressures using a commercial polyamide (PA) thin-film composite (TFC) membrane, ACM4. Additionally, the RO experiments enabled the experimental determination of the osmotic pressure of (NH4)2SO4 at various feed concentrations, which is crucial for designing the FO part of the hybrid process. The CTA membrane exhibited a significantly greater selectivity for (NH4)2SO4 than for NaCl at any osmotic pressure. The RO experiments demonstrated the possibility of reconcentrating (NH4)2SO4 to 0.5 mol/L, with a corresponding water flux of 60 L h−1 m−2 at 40 bars. The experimentally determined osmotic pressures were lower than those predicted by van’t Hoff’s equation but were consistent with those reported in the literature using an indirect hygrometric method. Full article
(This article belongs to the Section Membrane Applications for Water Treatment)
Show Figures

Figure 1

28 pages, 376 KB  
Article
Morphological Dependencies in English
by Ronnie Cann
Languages 2025, 10(12), 289; https://doi.org/10.3390/languages10120289 - 27 Nov 2025
Viewed by 218
Abstract
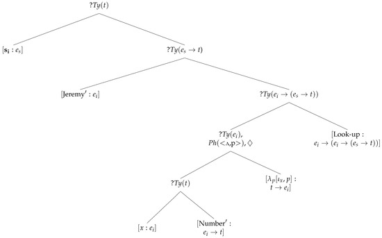
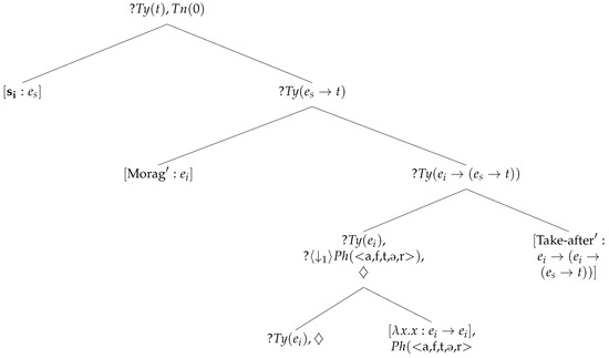
This paper presents accounts of preposition selection and agreement in English within Dynamic Syntax. To achieve this, I introduce two new, non-semantic, labels into the tree language: Ph that takes as values phonological forms which are modelled as ordered sets of phonemes [...] Read more.
This paper presents accounts of preposition selection and agreement in English within Dynamic Syntax. To achieve this, I introduce two new, non-semantic, labels into the tree language: Ph that takes as values phonological forms which are modelled as ordered sets of phonemes and Md which takes as values sets of Ph values, the phonological forms of certain words and forms with which a particular word can collocate. While these labels are not grounded in semantic concepts like type and formula, they are nevertheless grounded in phonological concepts and thus ultimately in phonetic phenomena. These labels are introduced through the parsing of words and are used to constrain the forms of other words they can felicitously appear with, such as nouns and certain determiners or verbs with selected prepositions or prepositional phrases, in a straightforward manner. It is shown how the remnant agreement and selection patterns in modern (standard) English can be captured without any recourse to traditional categories such as gender, person and number. Certain disagreement phenomena are discussed as are the broader implications of the approach. Full article
(This article belongs to the Special Issue The Development of Dynamic Syntax)
Show Figures

Figure 1

11 pages, 1339 KB  
Case Report
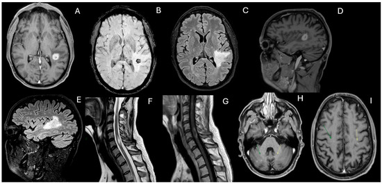
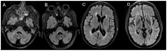
Adult Onset of Type 2 Familial Hemophagocytic Lymphohistiocytosis After SARS-CoV-2 Vaccination with an Unusual Neurological Onset: The Great Mimic
by Flaminia Bellisario, Assunta Bianco, Francesco D’Alo’, Chiara Passarelli, Rosellina Russo, Massimiliano Mirabella, Simona Sica and Stefan Hohaus
Diagnostics 2025, 15(23), 3000; https://doi.org/10.3390/diagnostics15233000 - 26 Nov 2025
Viewed by 437
Abstract
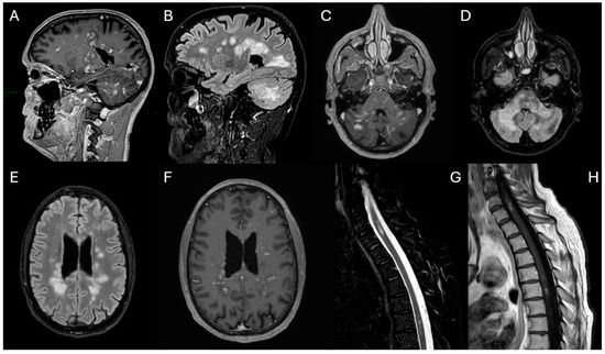
Background and Clinical Significance: This case report describes a 46-year-old male with no prior comorbidities who developed progressive neurological symptoms—ataxia and diplopia—shortly after the second Comirnaty (Pfizer-BioNTech) COVID-19 vaccine dose. The aim is to highlight the diagnostic challenges of central nervous system-dominant hemophagocytic [...] Read more.
Background and Clinical Significance: This case report describes a 46-year-old male with no prior comorbidities who developed progressive neurological symptoms—ataxia and diplopia—shortly after the second Comirnaty (Pfizer-BioNTech) COVID-19 vaccine dose. The aim is to highlight the diagnostic challenges of central nervous system-dominant hemophagocytic lymphohistiocytosis (HLH) and its overlap with neuroinflammatory disorders. Case Presentation: Initial MRI showed demyelinating lesions in the brain and spinal cord, suggesting acute disseminated encephalomyelitis (ADEM). The patient had only transient improvement with corticosteroids and then multiple relapses with expanding CNS lesions despite cyclophosphamide, plasmapheresis, and rituximab. After 27 months, systemic features appeared, including fever, cytopenias, elevated inflammatory markers, and splenomegaly. Bone marrow analysis revealed hemophagocytosis, fulfilling HLH-2004 criteria, with an H-score of 200 supporting secondary HLH. Given consanguinity and persistent immune activation, next-generation sequencing identified two homozygous PRF1 variants—one pathogenic (p.Arg232His) and one of uncertain significance (p.Ala91Val)—consistent with autosomal recessive familial type 2 HLH. The patient underwent matched unrelated donor hematopoietic stem cell transplantation (HSCT) 11 months after HLH diagnosis, achieving initial stabilization, but ultimately died from infectious complications in March 2025 without evidence of HLH relapse. Conclusions: This case illustrates an atypical adult-onset presentation of familial HLH manifesting primarily with recurrent neuroinflammatory symptoms that initially mimicked ADEM. The diagnostic delay reflects the challenge of recognizing CNS-dominant HLH, especially in adults and in the absence of early systemic features. The identification of biallelic PRF1 variants confirmed an underlying genetic predisposition. This is the first reported case of adult-onset familial HLH presenting predominantly with neurological symptoms following COVID-19 vaccination. The case emphasizes the need to consider genetic forms of HLH in relapsing neuroinflammatory disorders and raises the hypothesis that vaccination may unmask subclinical immune dysregulation in genetically susceptible individuals Full article
(This article belongs to the Section Medical Imaging and Theranostics)
Show Figures

Figure 1

31 pages, 3608 KB  
Article
Simulation of Beer Fermentation Combining CFD and Fermentation Reaction Models
by Wei Li, Hailin Yang, Jie Sun, Leiming Lou, Junhui Zhong and Zhenyu Ouyang
Symmetry 2025, 17(12), 2025; https://doi.org/10.3390/sym17122025 - 25 Nov 2025
Viewed by 371
Abstract
Beer fermentation is a critical process that directly influences product quality and flavor. However, traditional fermentation practices often rely on empirical methods, leading to prolonged production cycles and inconsistent product quality. This study presents a multiphysics-coupled simulation model that integrates computational fluid dynamics [...] Read more.
Beer fermentation is a critical process that directly influences product quality and flavor. However, traditional fermentation practices often rely on empirical methods, leading to prolonged production cycles and inconsistent product quality. This study presents a multiphysics-coupled simulation model that integrates computational fluid dynamics (CFD) with fermentation reaction kinetics to address challenges in temperature control and monitoring in large-scale fermenters. The model incorporates the Navier–Stokes equations for fluid flow, energy equations for heat transfer, fermentation kinetics for sugar metabolism, and a yeast cell proliferation model based on population balance theory. The model is validated through experiments at both lab scale (0.3 m3) and industrial scale (375 m3). Statistical analysis shows excellent agreement, with coefficients of determination (R2) for alcohol and sugar content reaching up to 0.99 and 0.96 at the lab scale, and 0.93 and 0.85 at the industrial scale, respectively. Key quantitative results from the industrial-scale validation demonstrate that the model accurately predicts the primary fermentation dynamics: within a 100 h period, alcohol concentration increased from 0% to approximately 6%, while sugar content decreased from 13 °P to 2 °P, closely matching experimental data. Crucially, the simulation captures a significant temperature overshoot at approximately 48 h, where the peak temperature at the top of the fermenter reached 16.01 °C (a 3 °C overshoot above process requirements). This pronounced vertical temperature gradient, arising from symmetry-breaking thermal conditions on the fermenter walls, was found to induce strong, asymmetric natural convection with flow velocities up to 13.2 mm·s−1, revealing spatial heterogeneities that are critical for optimizing fermenter design. At the lab scale, the simulation also accurately captures the observed quadratic temperature rise, further confirming the model’s robustness. This study provides a theoretical foundation for optimizing cooling jacket configurations and control strategies, ultimately improving fermentation efficiency and ensuring consistent product quality. Full article
(This article belongs to the Section Physics)
Show Figures

Figure 1

18 pages, 9767 KB  
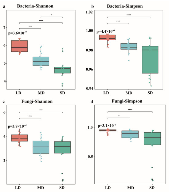
Article
Effects of Salinity-Alkalinity and Degradation on Soil Phosphorus Fractions and Microbial Communities in the Songnen Plain, Northeast China
by Zhijie Tian, Xueying Jia, Jingjing Chang, Lei Tian, Li Ji and Chunling Chang
Sustainability 2025, 17(23), 10527; https://doi.org/10.3390/su172310527 - 24 Nov 2025
Viewed by 297
Abstract
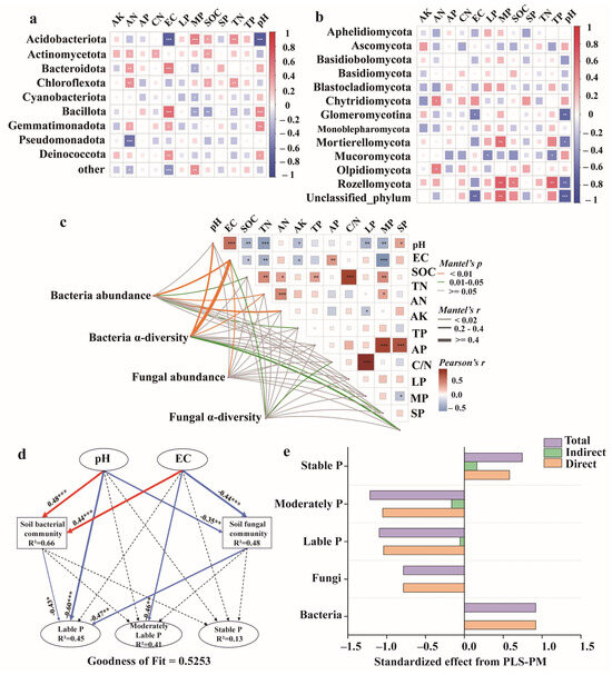
Soil microbial communities are vital for saline-alkaline ecosystem functioning; however, their succession during land degradation and their influence on phosphorus (P) transformation remain unclear. To address this gap, this study investigated the dynamics of soil microbial communities and P fractions along a degradation [...] Read more.
Soil microbial communities are vital for saline-alkaline ecosystem functioning; however, their succession during land degradation and their influence on phosphorus (P) transformation remain unclear. To address this gap, this study investigated the dynamics of soil microbial communities and P fractions along a degradation gradient from native grassland to Suaeda salsa vegetation and ultimately to bare land in the Songnen Plain, China. The results revealed that progressive saline-alkaline degradation significantly altered soil properties, increased the proportion of stable P fractions, and reduced microbial alpha diversity. Network analysis revealed that bacterial communities shifted from competition to cooperation along the salinity–alkalinity degradation gradient, indicating a cooperative strategy to cope with environmental stress. Fungal networks exhibit progressively reduced complexity and stability with increasing degradation. Partial least squares path modeling confirmed that soil pH and electrical conductivity directly and indirectly regulated P fractions by reshaping microbial communities, with bacteria exhibiting a stronger total effect than fungi. In conclusion, saline-alkaline degradation drives microbial community succession, which mediates the transformation of soil P into more stable forms and exacerbates P limitation. This study provides a scientific basis for targeted restoration and sustainable management of saline-alkaline ecosystems. Full article
(This article belongs to the Section Air, Climate Change and Sustainability)
Show Figures

Figure 1

20 pages, 1788 KB  
Article
Classification of Broiler Breast Meat: Defining Red, Soft and Exudative Meat as a New Quality Class
by Sara Kovačević, Nevena Grković, Branko Suvajdžić, Milijana Sindjić, Vladimir Dimitrijević, Zsolt Becskei and Nikola Čobanović
Poultry 2025, 4(4), 57; https://doi.org/10.3390/poultry4040057 - 14 Nov 2025
Viewed by 496
Abstract
This study aimed to describe a new broiler meat quality class—red, soft, and exudative (RSE) meat—and to propose novel classification criteria. Two-step cluster analysis assigned 132 broilers into five meat quality classes using ultimate pH, drip loss, and L* values: pale, soft, and [...] Read more.
This study aimed to describe a new broiler meat quality class—red, soft, and exudative (RSE) meat—and to propose novel classification criteria. Two-step cluster analysis assigned 132 broilers into five meat quality classes using ultimate pH, drip loss, and L* values: pale, soft, and exudative (PSE); pale, firm, and nonexudative (PFN); RSE; red, firm, and nonexudative (RFN); and dark, firm, and dry (DFD) meat. PSE meat showed the lowest plasma superoxide dismutase activity, highest malondialdehyde activity, greater live and carcass weights, higher breast and leg yields, the lowest initial and ultimate pH, highest initial temperature, the lightest colour (the highest L* and b* values, and the lowest a* value), and the greatest drip, thawing, and cooking losses. RFN meat had the highest superoxide dismutase activity, lowest malondialdehyde activity, and remained within the optimal range for ultimate pH, drip loss, and L* value, generally occupying a midpoint between PSE and DFD meat. RSE meat shared the poor water-holding capacity of PSE but differed by showing a colour similar to RFN and an optimal ultimate pH. PFN meat had firmness comparable to RFN, with appropriate water-holding capacity and optimal ultimate pH, but an undesirably pale colour resembling PSE. DFD meat displayed the highest initial and ultimate pH, lowest drip, thawing, and cooking losses, darkest colour (the lowest L* value), and lowest protein content. This study provides the first evidence of RSE meat in broilers and proposes a classification system based on ultimate pH, drip loss, and L* values to distinguish five quality classes. Further studies are required to validate these findings and develop preventive strategies. Full article
Show Figures

Figure 1

14 pages, 1890 KB  
Article
Impact of Rice–Fish Co-Culture on Sediment Phosphorus Forms and Resuspension in the Aquaculture Ponds
by Mengjie Wang, Ting Bao, Tong Yang, Jinfei Feng, Chunchun Xu, Fuping Fang and Fengbo Li
Water 2025, 17(21), 3161; https://doi.org/10.3390/w17213161 - 5 Nov 2025
Viewed by 540
Abstract
Most of the phosphorus (P) input from feed ends up accumulating in the pond water or sediment, ultimately harming the environment. Rice demonstrates remarkable bioremediation potential. However, the mechanisms by which long-term rice impacts the sediment P cycle in aquaculture environments remain unclear. [...] Read more.
Most of the phosphorus (P) input from feed ends up accumulating in the pond water or sediment, ultimately harming the environment. Rice demonstrates remarkable bioremediation potential. However, the mechanisms by which long-term rice impacts the sediment P cycle in aquaculture environments remain unclear. This study investigated the effects of a six-year rice–fish co-culture on sediment resuspension-driven P release, P speciation, and removal efficiency in intensive aquaculture. Our results indicated that the rice–fish co-culture (RF) system enhanced the P utilization efficiency by 128.36% while decreasing P residue in water and sediment by 77.42% and 34.62%, compared to the monoculture (F) system. The RF system reduced labile P pool (H2O-IP, NaHCO3-IP) contents, leading to a 74.89% and 82.20% reduction in sediment resuspension and P release rates, respectively. Concurrently, stable P pool (NaOH-IP, NaOH-OP) contents increased by 14.21% and 52.99%. Microbial mineralization in the 5–10 cm layer was enhanced, with acid phosphatase activity and relative abundance of functional gene phoC increasing by 19.69% and 327.61%. Our results showed that the six-year RF system enhanced sediment P cycling, reducing P release risk and improving P utilization. These findings inform eco-efficient aquaculture optimization, with future research needing isotope tracing and metagenomics to explore microbial roles. Full article
(This article belongs to the Section Water, Agriculture and Aquaculture)
Show Figures

Figure 1

24 pages, 15484 KB  
Article
On the Process Optimization, Microstructure Characterization and Mechanical Performance of Ti65 Titanium Alloy Produced by Laser Powder Bed Fusion
by Yuan Meng, Xianglong Wang, Jinjun Wu, Haojie Wang, Ping Gan, Lei Lu, Chengjie Li, Tongling Ma, Jun Niu and Zhigang Zhang
Appl. Sci. 2025, 15(21), 11717; https://doi.org/10.3390/app152111717 - 3 Nov 2025
Viewed by 578
Abstract
Ti65 high-temperature titanium alloy, known for its exceptional high-temperature mechanical properties and oxidation resistance, demonstrates considerable potential for aerospace applications. Nevertheless, conventional manufacturing techniques are often inadequate for achieving high design freedom and fabricating complex geometries. This study presents a systematic investigation into [...] Read more.
Ti65 high-temperature titanium alloy, known for its exceptional high-temperature mechanical properties and oxidation resistance, demonstrates considerable potential for aerospace applications. Nevertheless, conventional manufacturing techniques are often inadequate for achieving high design freedom and fabricating complex geometries. This study presents a systematic investigation into the process optimization, microstructure characterization, and mechanical performance of Ti65 alloy produced by laser powder bed fusion (LPBF). Via meticulously designed single-track, multi-track, and bulk sample experiments, the influences of laser power (P), scanning speed (V), and hatch spacing (h) on molten pool behavior, defect formation, microstructural evolution, and surface roughness were thoroughly examined. The results indicate that under optimized parameters, the specimens attain ultra-high dimensional accuracy, with a near-full density (>99.99%) and reduced surface roughness (Ra = 3.9 ± 1.3 μm). Inadequate energy input (low P or high V) led to lack-of-fusion defects, whereas excessive energy (high P or low V) resulted in keyhole porosity. Microstructural analysis revealed that the rapid solidification inherent to LPBF promotes the formation of fine acicular α′-phase (0.236–0.274 μm), while elevated laser power or reduced scanning speed facilitated the development of coarse lamellar α′-martensite (0.525–0.645 μm). Tensile tests demonstrated that samples produced under the optimized parameters exhibit high ultimate tensile strength (1489 ± 7.5 MPa), yield strength (1278 ± 5.2 MPa), and satisfactory elongation (5.7 ± 0.15%), alongside elevated microhardness (446.7 ± 1.7 HV0.2). The optimized microstructure thereby enables the simultaneous achievement of high density and superior mechanical properties. The fundamental mechanism is attributed to precise control over volumetric energy density, which governs melt pool mode, defect generation, and solidification kinetics, thereby tailoring the resultant microstructure. This study offers valuable insights into defect suppression, microstructure control, and process optimization for LPBF-fabricated Ti65 alloy, facilitating its application in high-temperature structural components. Full article
Show Figures

Figure 1

Back to TopTop