Sign in to use this feature.

Years

Between: -

Subjects

remove_circle_outline
remove_circle_outline
remove_circle_outline
remove_circle_outline
remove_circle_outline
remove_circle_outline
remove_circle_outline
remove_circle_outline
remove_circle_outline

Journals

remove_circle_outline
remove_circle_outline
remove_circle_outline
remove_circle_outline
remove_circle_outline
remove_circle_outline
remove_circle_outline
remove_circle_outline
remove_circle_outline
remove_circle_outline
remove_circle_outline
remove_circle_outline
remove_circle_outline
remove_circle_outline
remove_circle_outline
remove_circle_outline
remove_circle_outline
remove_circle_outline
remove_circle_outline
remove_circle_outline
remove_circle_outline
remove_circle_outline
remove_circle_outline
remove_circle_outline
remove_circle_outline
remove_circle_outline
remove_circle_outline
remove_circle_outline
remove_circle_outline
remove_circle_outline

Article Types

Countries / Regions

remove_circle_outline
remove_circle_outline
remove_circle_outline
remove_circle_outline
remove_circle_outline
remove_circle_outline
remove_circle_outline
remove_circle_outline
remove_circle_outline

Search Results (10,999)

Search Parameters:
Keywords = tumor enhancement

Order results
Result details
Results per page
Select all
Export citation of selected articles as:
18 pages, 741 KB  
Review
Immunopathogenesis and Therapeutic Implications in Basal Cell Carcinoma: Current Concepts and Future Directions
by Helen C. Steel, Theresa M. Rossouw, Ronald Anderson, Lindsay Anderson, Daniel van Tonder, Teresa Smit and Bernardo Leon Rapoport
Medicina 2025, 61(11), 1914; https://doi.org/10.3390/medicina61111914 (registering DOI) - 25 Oct 2025
Abstract
This review is focused on understanding the reasons why basal cell carcinoma (BCC), the most common, increasingly prevalent cancer, is classified as an “immune excluded” malignancy. It is, despite manifesting one of the highest tumor mutational burdens of any solid human malignancy, considered [...] Read more.
This review is focused on understanding the reasons why basal cell carcinoma (BCC), the most common, increasingly prevalent cancer, is classified as an “immune excluded” malignancy. It is, despite manifesting one of the highest tumor mutational burdens of any solid human malignancy, considered to be a biomarker of enhanced tumor immunogenicity and efficacy of tumor-targeted immunotherapy. Following a brief clinical overview, the balance of the review addresses important translational issues based on recent insights into the mechanisms underpinning immune exclusion/evasion in BCC. These include, firstly, the role of infectious agents and non-infectious potential causes of predisposition for and/or exacerbation of disease development and progression. Secondly, an overview of existing and emerging novel therapeutic strategies to ameliorate immune exclusion in BCC based on targeting several key immunosuppressive mechanisms. These are (i) inappropriate activation of the hedgehog signaling pathway (HHSP) due to formation of key driver mutations; (ii) interference with the presentation of tumor-specific antigens/neoantigens to cytotoxic T-cells; (iii) attenuation of the influx of anti-tumor natural killer cells; (iv) the recruitment and activation of immune suppressive regulatory T-cells; and (v) localized and systemic immune dysfunction achieved via elevated levels of soluble co-inhibitory immune checkpoint proteins (ICPs). The final section is focused on current and emerging pharmacologic and immune-based therapies. Full article
Show Figures

Figure 1

23 pages, 1986 KB  
Article
Solvent Fractionation Improves the Functional Properties of Sheep Rump Fat: Effects of Different Lipid Fractions on Lipid Metabolism and Gut Health in Mice
by Xin Ma, Junfei Yu, Zequan Xu, Jian Wei, Lingyan Wu, Hongjiao Han, Jianzhong Zhou and Zirong Wang
Foods 2025, 14(21), 3641; https://doi.org/10.3390/foods14213641 (registering DOI) - 24 Oct 2025
Abstract
To enhance the nutritional value of sheep fat, high-melting-point solid fat (HSO) and low-melting-point liquid oil (LSO) were prepared from Altay sheep rump fat via solvent fractionation. The effects of HSO and LSO on lipid metabolism and intestinal health were evaluated in a [...] Read more.
To enhance the nutritional value of sheep fat, high-melting-point solid fat (HSO) and low-melting-point liquid oil (LSO) were prepared from Altay sheep rump fat via solvent fractionation. The effects of HSO and LSO on lipid metabolism and intestinal health were evaluated in a mouse model. Results showed that HSO, rich in saturated fatty acids (SFA), induced obesity, dyslipidemia, and colonic inflammation in mice. These adverse effects were associated with the upregulation of hepatic lipid synthesis genes such as Sterol regulatory element-binding protein 1c (SREBP-1c) and Fatty acid synthase (FAS), as well as increased expression of pro-inflammatory cytokines including Tumor necrosis factor-alpha (TNF-α) and Interleukin-6 (IL-6) in the colon. In contrast, LSO, which was predominantly composed of unsaturated fatty acids (UFA), did not cause significant metabolic disorders. Instead, it promoted the upregulation of fatty acid oxidation-related genes such as Peroxisome proliferator-activated receptor alpha (PPARα) and Acyl-CoA oxidase 1 (Acox1), helped maintain intestinal microbial balance, and enhanced the production of beneficial short-chain fatty acids (SCFAs), particularly butyrate and propionate. In conclusion, solvent fractionation effectively modulates the fatty acid composition of sheep fat, thereby influencing lipid metabolism and inflammatory responses through the regulation of key gene expression and modulation of the gut microenvironment. Full article
(This article belongs to the Section Food Nutrition)
22 pages, 1723 KB  
Review
Clinical Experience with Targeted Alpha-Emitter Peptide Receptor Radionuclide Therapy (α-PRRT) for Somatostatin Receptor-Positive Neuroendocrine Tumors
by Hannes Leupe, Merel Cauwenbergh, Frederik Cleeren, Jeroen Dekervel, Chris Verslype and Christophe M. Deroose
Pharmaceuticals 2025, 18(11), 1608; https://doi.org/10.3390/ph18111608 (registering DOI) - 24 Oct 2025
Abstract
Background: α-emitting Peptide Receptor Radionuclide Therapy (α-PRRT) is emerging as a promising new generation of PRRT for neuroendocrine tumors (NETs), providing enhanced tumor cell cytotoxicity and reduced irradiation of adjacent healthy tissues due to its high linear energy transfer (LET) and short particle [...] Read more.
Background: α-emitting Peptide Receptor Radionuclide Therapy (α-PRRT) is emerging as a promising new generation of PRRT for neuroendocrine tumors (NETs), providing enhanced tumor cell cytotoxicity and reduced irradiation of adjacent healthy tissues due to its high linear energy transfer (LET) and short particle range. This review summarizes available clinical evidence on α-PRRT using different α-emitting isotopes, including actinium-225, lead-212, and bismuth-213, in somatostatin receptor (SSTR)-positive NETs. Methods: A comprehensive literature search was conducted across PubMed, Embase, Cochrane Library, Scopus, Web of Science, and ClinicalTrials.gov, as well as major oncology congress abstracts (ENETS, ESMO, ASCO). Eligible studies included clinical trials evaluating α-PRRT in patients with advanced SSTR-positive NETs, reporting therapeutic response and adverse events. The primary endpoint was the objective response rate (ORR); secondary endpoints included disease control rate (DCR), progression-free survival (PFS), overall survival (OS), and safety. Results: Seven studies encompassing 150 patients were included. Treatment with [225Ac]Ac-DOTATATE yielded a pooled ORR of 50% and a DCR of 81.3% across 121 evaluable patients. The best responses were observed in patients who had previously responded to β-PRRT (ORR 70.4%, DCR 96.3%), while one-third of β-PRRT–refractory patients achieved partial or complete responses. [212Pb]Pb-DOTAMTATE demonstrated an ORR of 56.8% and DCR of 100% in preliminary phase II results, though dysphagia was noted in 34% of patients. [213Bi]Bi-DOTATOC and [212Pb]Pb-VMT-α-NET studies also showed promising disease control with minimal grade ≥ 3 hematologic or renal toxicities. Across all studies, α-PRRT was well tolerated, with predominantly low-grade hematologic adverse events and no significant hepatic or renal toxicity. Conclusions: Clinical data to date indicate that α-PRRT offers meaningful therapeutic benefit in patients with metastatic or treatment-refractory NETs, achieving favorable response rates with manageable toxicity. Early results support α-PRRT as a potential first- or second-line therapeutic option. Ongoing phase III trials will be critical to confirm its long-term safety, survival outcomes, and role in routine clinical practice. Full article
(This article belongs to the Collection Will (Radio)Theranostics Hold Up in the 21st Century—and Why?)
Show Figures

Figure 1

21 pages, 1426 KB  
Article
Virtual Biomarkers and Simplified Metrics in the Modeling of Breast Cancer Neoadjuvant Therapy: A Proof-of-Concept Case Study Based on Diagnostic Imaging
by Graziella Marino, Maria Valeria De Bonis, Marisabel Mecca, Marzia Sichetti, Aldo Cammarota, Manuela Botte, Giuseppina Dinardo, Maria Imma Lancellotti, Antonio Villonio, Antonella Prudente, Alexios Thodas, Emanuela Zifarone, Francesca Sanseverino, Pasqualina Modano, Francesco Schettini, Andrea Rocca, Daniele Generali and Gianpaolo Ruocco
Med. Sci. 2025, 13(4), 242; https://doi.org/10.3390/medsci13040242 (registering DOI) - 24 Oct 2025
Abstract
Background: Neoadjuvant chemotherapy (NAC) is a standard preoperative intervention for early-stage breast cancer (BC). Dynamic contrast-enhanced magnetic resonance imaging (CE-MRI) has emerged as a critical tool for evaluating treatment response and pathological complete response (pCR) following NAC. Computational modeling offers a robust framework [...] Read more.
Background: Neoadjuvant chemotherapy (NAC) is a standard preoperative intervention for early-stage breast cancer (BC). Dynamic contrast-enhanced magnetic resonance imaging (CE-MRI) has emerged as a critical tool for evaluating treatment response and pathological complete response (pCR) following NAC. Computational modeling offers a robust framework to simulate tumor growth dynamics and therapy response, leveraging patient-specific data to enhance predictive accuracy. Despite this potential, integrating imaging data with computational models for personalized treatment prediction remains underexplored. This case study presents a proof-of-concept prognostic tool that bridges oncology, radiology, and computational modeling by simulating BC behavior and predicting individualized NAC outcomes. Methods: CE-MRI scans, clinical assessments, and blood samples from three retrospective NAC patients were analyzed. Tumor growth was modeled using a system of partial differential equations (PDEs) within a reaction–diffusion mass transfer framework, incorporating patient-specific CE-MRI data. Tumor volumes measured pre- and post-treatment were compared with model predictions. A 20% error margin was applied to assess computational accuracy. Results: All cases were classified as true positive (TP), demonstrating the model’s capacity to predict tumor volume changes within the defined threshold, achieving 100% precision and sensitivity. Absolute differences between predicted and observed tumor volumes ranged from 0.07 to 0.33 cm3. Virtual biomarkers were employed to quantify novel metrics: the biological conversion coefficient ranged from 4 × 10−7 to 6 × 10−6 s-1, while the pharmacodynamic efficiency coefficient ranged from 1 × 10−7 to 4 × 10−4 s-1, reflecting intrinsic tumor biology and treatment effects, respectively. Conclusions: This approach demonstrates the feasibility of integrating CE-MRI and computational modeling to generate patient-specific treatment predictions. Preliminary model training on retrospective cohorts with matched BC subtypes and therapy regimens enabled accurate prediction of NAC outcomes. Future work will focus on model refinement, cohort expansion, and enhanced statistical validation to support broader clinical translation. Full article
(This article belongs to the Special Issue Feature Papers in Section “Cancer and Cancer-Related Research”)
24 pages, 1035 KB  
Systematic Review
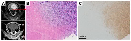
Metabolic Imaging as Future Technology and Innovation in Brain-Tumour Surgery: A Systematic Review
by Thomas Kapapa, Ralph König, Jan Coburger, Benjamin Mayer, Kornelia Kreiser and Volker Rasche
Curr. Oncol. 2025, 32(11), 597; https://doi.org/10.3390/curroncol32110597 (registering DOI) - 24 Oct 2025
Abstract
Background: Standard imaging in neurosurgery often fails to visualize infiltrative tumor regions that extend beyond contrast enhancement. Metabolic imaging using hyperpolarized 13C-MRI may offer new intraoperative insights into tumor biology. Objective: To systematically assess the clinical and technical evidence on hyperpolarized MRI for [...] Read more.
Background: Standard imaging in neurosurgery often fails to visualize infiltrative tumor regions that extend beyond contrast enhancement. Metabolic imaging using hyperpolarized 13C-MRI may offer new intraoperative insights into tumor biology. Objective: To systematically assess the clinical and technical evidence on hyperpolarized MRI for metabolic tumour characterization in patients with malignant brain tumors. Eligibility criteria: We included original human studies reporting on hyperpolarized 13C-MRI for perioperative and diagnostic use in brain tumor patients. Reviews, animal studies, and technical-only reports were excluded. Information sources: Searches were conducted in PubMed, Embase, and Web of Science on 26 December 2024. Risk of bias: Methodological quality was assessed using the QUADAS-2 tool. Synthesis of results: A qualitative synthesis was performed, and where feasible, random-effects meta-analysis was used to calculate standardized mean differences (SMDs) and heterogeneity statistics. Results: Three studies (n = 15 patients) met inclusion criteria. The bicarbonate-to-pyruvate ratio showed a significant difference between tumor and non-tumour brain (SMD = 1.34, p = 0.002), whereas pyruvate-to-lactate ratio (kPL) values showed minimal difference (SMD = 0.06, p = 0.730). Asmall effect was observed for kPL between tumor and normal-appearing white matter (SMD = –0.33). One study provided qualitative data only. Overall heterogeneity was high (I2 = 69.4%). Limitations: Limitations include small sample sizes, heterogeneous methodologies, and limited availability of patient-level data. Interpretation: Hyperpolarized 13C-MRI shows metabolic differentiation between tumor and healthy tissue in certain parameters, especially bicarbonate metabolism. While promising, the technology requires further clinical validation before routine intraoperative application. Full article
Show Figures

Figure 1

34 pages, 385 KB  
Review
Machine Learning in MRI Brain Imaging: A Review of Methods, Challenges, and Future Directions
by Martyna Ottoni, Anna Kasperczuk and Luis M. N. Tavora
Diagnostics 2025, 15(21), 2692; https://doi.org/10.3390/diagnostics15212692 (registering DOI) - 24 Oct 2025
Abstract
In recent years, machine learning (ML) has been increasingly used in many fields, including medicine. Magnetic resonance imaging (MRI) is a non-invasive and effective diagnostic technique; however, manual image analysis is time-consuming and prone to human variability. In response, ML models have been [...] Read more.
In recent years, machine learning (ML) has been increasingly used in many fields, including medicine. Magnetic resonance imaging (MRI) is a non-invasive and effective diagnostic technique; however, manual image analysis is time-consuming and prone to human variability. In response, ML models have been developed to support MRI analysis, particularly in segmentation and classification tasks. This work presents an updated narrative review of ML applications in brain MRI, with a focus on tumor classification and segmentation. A literature search was conducted in PubMed and Scopus databases and Mendeley Catalog (MC)—a publicly accessible bibliographic catalog linked to Elsevier’s Scopus indexing system—covering the period from January 2020 to April 2025. The included studies focused on patients with primary or secondary brain neoplasms and applied machine learning techniques to MRI data for classification or segmentation purposes. Only original research articles written in English and reporting model validation were considered. Studies using animal models, non-imaging data, lacking proper validation, or without accessible full texts (e.g., abstract-only records or publications unavailable through institutional access) were excluded. In total, 108 studies met all inclusion criteria and were analyzed qualitatively. In general, models based on convolutional neural networks (CNNs) were found to dominate current research due to their ability to extract spatial features directly from imaging data. Reported classification accuracies ranged from 95% to 99%, while Dice coefficients for segmentation tasks varied between 0.83 and 0.94. Hybrid architectures (e.g., CNN-SVM, CNN-LSTM) achieved strong results in both classification and segmentation tasks, with accuracies above 95% and Dice scores around 0.90. Transformer-based models, such as the Swin Transformer, reached the highest performance, up to 99.9%. Despite high reported accuracy, challenges remain regarding overfitting, generalization to real-world clinical data, and lack of standardized evaluation protocols. Transfer learning and data augmentation were frequently applied to mitigate limited data availability, while radiomics-based models introduced new avenues for personalized diagnostics. ML has demonstrated substantial potential in enhancing brain MRI analysis and supporting clinical decision-making. Nevertheless, further progress requires rigorous clinical validation, methodological standardization, and comparative benchmarking to bridge the gap between research settings and practical deployment. Full article
(This article belongs to the Special Issue Brain/Neuroimaging 2025–2026)
13 pages, 4146 KB  
Article
Hyperpolarized Carbon-13 Metabolic Imaging Differentiates Distinctive Molecular Phenotypes in Diffuse Midline Gliomas
by Ilwoo Park, Rintaro Hashizume and Joanna Phillips
Molecules 2025, 30(21), 4175; https://doi.org/10.3390/molecules30214175 (registering DOI) - 24 Oct 2025
Abstract
Despite a specific histone mutation defining the unique genetic makeup, diffuse midline gliomas are heterogeneous tumors with a wide range of morphologic and molecular spectrum. We investigated the feasibility of using hyperpolarized carbon-13(13C) MR metabolic imaging to differentiate distinctive molecular features [...] Read more.
Despite a specific histone mutation defining the unique genetic makeup, diffuse midline gliomas are heterogeneous tumors with a wide range of morphologic and molecular spectrum. We investigated the feasibility of using hyperpolarized carbon-13(13C) MR metabolic imaging to differentiate distinctive molecular features from two H3K27M-mutant, biopsy-originated diffuse midline glioma xenografts. 13C MR metabolic imaging data were acquired on a 3T scanner from 12 rats that had been implanted with SF8628 or SF7761 diffuse midline glioma cells in brainstem, following injection of hyperpolarized [1-13C]pyruvate. Despite the two tumors’ similar appearance of T2-hyperintensity throughout the cerebellum and pons without contrast enhancement, 13C metabolic imaging data revealed that SF8627 had significantly higher ratios of lactate to pyruvate, lactate to total carbon, and normalized lactate than SF7761. Elevated lactate levels in SF8628 were associated with large amounts of lactate dehydrogenase (LDH)-A and carbonic anhydrase-IX staining in SF8628 compared to SF7761, which implied that the highly hypoxic condition in SF8628 appeared to contribute to the high level of LDH-A enzyme activity, which, in turn, induced the large conversion from hyperpolarized pyruvate to lactate. Our findings suggest that this advanced metabolic imaging technique may be used for the noninvasive characterization of molecular hypoxia and lactate dehydrogenase-A activity in these pediatric brainstem gliomas. Full article
(This article belongs to the Special Issue Emerging Horizons of Hyperpolarization in Chemistry and Biomedicine)
Show Figures

Figure 1

14 pages, 3279 KB  
Article
An Integrated Microfluidic System for One-Stop Multiplexed Exosomal PD-L1 and MMP9 Automated Analysis with Deep Learning Model YOLO
by Yunxing Lu, Wenjing Zhang, Qiang Shi, Jianan Hui, Jieyu Wang, Yiman Song and Xiaoyue Yang
Micromachines 2025, 16(11), 1208; https://doi.org/10.3390/mi16111208 - 24 Oct 2025
Abstract
While immune escape and physical invasion are two key pathways in tumor development, traditional methods for analyzing their exosomal markers are often complex and face identification bias. Microfluidic technology offers significant advantages for non-invasive liquid biopsy, particularly in the analysis of tumor progression [...] Read more.
While immune escape and physical invasion are two key pathways in tumor development, traditional methods for analyzing their exosomal markers are often complex and face identification bias. Microfluidic technology offers significant advantages for non-invasive liquid biopsy, particularly in the analysis of tumor progression markers carried by exosomes. Here, we developed an integrated microfluidic system for the sensitive, accurate, totally on-chip exosome isolation and automatic quantification of tumor progression markers PD-L1 and MMP9. This platform leverages microfluidic design principles for efficient sample mixing and monodisperses microbeads for precise analysis, allowing for complete processing within 40 min. The system’s high efficiency and precision are further enhanced by a lightweight YOLOv5-based positional migration strategy that automates fluorescence quantification. Validation using four different cell lines demonstrated distinct exosomal protein signatures with a low detection limit of 12.58 particles/μL. This innovative microfluidic chip provides a sensitive and easy-to-handle tool for exosomal marker analysis, holding great potential for cancer identification and personalized therapy guidance in the era of point-of-care testing (POCT). Full article
Show Figures

Figure 1

16 pages, 254 KB  
Review
Advanced Neuroimaging and Emerging Systemic Therapies in Glioblastoma: Current Evidence and Future Directions
by Ilona Bar-Letkiewicz, Anna Pieczyńska, Małgorzata Dudzic, Michał Szkudlarek, Krystyna Adamska and Katarzyna Hojan
Biomedicines 2025, 13(11), 2597; https://doi.org/10.3390/biomedicines13112597 - 23 Oct 2025
Abstract
Despite technological progress, glioblastoma (GBM) continues to confer dismal prognoses. Modern neuroimaging methods are assuming an ever greater role in diagnosing and monitoring brain tumors. This review shows current neuroimaging approaches and systemic therapeutic strategies for glioblastoma, with a focus on emerging and [...] Read more.
Despite technological progress, glioblastoma (GBM) continues to confer dismal prognoses. Modern neuroimaging methods are assuming an ever greater role in diagnosing and monitoring brain tumors. This review shows current neuroimaging approaches and systemic therapeutic strategies for glioblastoma, with a focus on emerging and innovative treatments. Advances in multiparametric magnetic resonance imaging—MRI (diffusion, perfusion, and spectroscopy) and novel positron emission tomography (PET) tracers, complemented by radiomics and artificial intelligence (AI), now refine tumor delineation, differentiate progression from treatment effects, and may help predict treatment responses. Maximal safe resection followed by chemoradiotherapy with temozolomide remains the standard, with the greatest benefit seen in O6-methylguanine DNA methyltransferase (MGMT) promoter-methylated tumors. Bevacizumab and other targeted modalities offer mainly progression-free, not overall survival, gains. Immune checkpoint inhibitors (e.g., nivolumab) have not improved survival in unselected GBM, while early multi-antigen CAR-T (chimeric antigen receptor T-cell) strategies show preliminary bioactivity without established durability. While actionable alterations (NTRK fusions and BRAF V600E) justify selective targeted therapy trials, their definitive benefit in classical GBM is unproven. Future priorities include harmonized imaging molecular integration, AI-driven prognostic modeling, novel PET tracers, and strategies to breach or transiently open the blood–brain barrier to enhance drug delivery. Convergence of these domains may convert diagnostic precision into improved patient outcomes. Full article
(This article belongs to the Special Issue Medical Imaging in Brain Tumor: Charting the Future)
22 pages, 2865 KB  
Article
Taurine Supplementation in Low-Fishmeal of Golden Pompano (Trachinotus ovatus) Diets: Improving Intestinal Health and Alleviation of Inflammatory Response
by Zhanzhan Wang, Hongkai Ye, Zhong Huang, Jun Wang, Yun Wang, Wei Yu, Heizhao Lin, Zhenhua Ma and Chuanpeng Zhou
Animals 2025, 15(21), 3080; https://doi.org/10.3390/ani15213080 - 23 Oct 2025
Abstract
This research explored the effects of supplementing taurine in a low-fishmeal diet on the growth, hepatic antioxidant capacity, muscle quality, intestinal health, and alleviation of inflammatory response of golden pompano (Trachinotus ovatus). Over an eight-week period, 300 juvenile fish (initial weight [...] Read more.
This research explored the effects of supplementing taurine in a low-fishmeal diet on the growth, hepatic antioxidant capacity, muscle quality, intestinal health, and alleviation of inflammatory response of golden pompano (Trachinotus ovatus). Over an eight-week period, 300 juvenile fish (initial weight 9.4 ± 0.47 g) were randomly allocated into 12 net enclosures (1.0 × 1.0 × 1.5 m), with each treatment group comprising three replicate cages containing 25 specimens. The results demonstrated that an optimal taurine inclusion level of 1.0–1.5% significantly promoted growth, as evidenced by the increased weight gain rate (WGR) and specific growth rate (SGR). It also protected hepatic health by reducing alanine aminotransferase (ALT) activity and enhancing antioxidant capacity. Activation of the hepatic Nrf2/Keap-1/HO-1 signaling pathway increased the level of antioxidant gene expression, including catalase (CAT) and superoxide dismutase (SOD). In addition, the appropriate supplementation of taurine significantly down-regulated muscle hardness-related genes (cathepsin B (CatB) and cathepsin L (CatL)) and promoted the growth and differentiation of myoblasts, thus improving muscle quality. The chymotrypsin of fish fed the A25T10 diet was significantly higher than those in other groups (p < 0.05). The amylase (AMY) of fish fed the A25T15 diet was significantly higher than those in other groups (p < 0.05). The Chao1, Shannon, and Simpson of fish fed the A25T15 diet were significantly higher than those in other groups (p < 0.05). Proteobacteria were the most abundant in group A25T10. The relative abundance of Photobacterium rose in the A25RT10 group. In this study, taurine supplementation can down-regulate the expression of intestinal pro-inflammatory factors (interleukin-1β (IL-1β), tumor necrosis factor-α (TNF-α), interleukin-8 (IL-8)) and up-regulate the expression of anti-inflammatory factor interleukin-10 (IL-10), enhance intestinal immunity, and improve intestinal digestion and absorption. Therefore, the addition of 1–1.5% taurine to low-fishmeal feeds can improve the growth performance of golden pompano. Full article
(This article belongs to the Special Issue Recent Advances in Nutritional Ingredients for Aquaculture)
Show Figures

Figure 1

17 pages, 6941 KB  
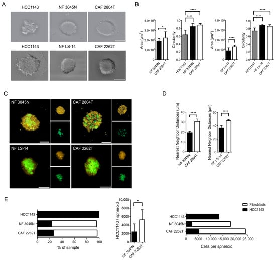
Article
Cancer-Associated Fibroblasts Move and Interact More with Triple-Negative Breast Cancer Cells and Stimulate Their Proliferation in a Hyaluronan-Dependent Manner
by Sz-Ying Hou, Sarah C. Macfarlane, Ariadna Gómez Torijano, Hyejeong Rosemary Kim, Marieke Rosier, Katalin Dobra, Penelope D. Ottewell and Annica K. B. Gad
Cells 2025, 14(21), 1663; https://doi.org/10.3390/cells14211663 - 23 Oct 2025
Abstract
While normal fibroblasts suppress tumor growth, during cancer initiation and progression, this capacity can be lost and even switched to tumor-promoting, for reasons that are not understood. In this study, we aimed to determine differences between patient-derived cancer-associated fibroblasts and fibroblasts from healthy [...] Read more.
While normal fibroblasts suppress tumor growth, during cancer initiation and progression, this capacity can be lost and even switched to tumor-promoting, for reasons that are not understood. In this study, we aimed to determine differences between patient-derived cancer-associated fibroblasts and fibroblasts from healthy breast tissue to identify if and how these changes stimulate Triple-negative breast cancer (TNBC). Two-dimensional and three-dimensional mono and co-cultures of TNBC cells with fibroblasts from healthy breast or TNBC were analyzed for cell contractility, migration, distribution, proliferation, and hyaluronan production by traction force microscopy, live cell imaging, flow cytometry, Western blot, and ELISA. In 3D spheroid co-culture, CAFs migrated into the tumor mass, mixing with tumor cells, whereas normal fibroblasts remained separate. In 2D, CAFs showed increased cell migration and contractile force, and, in both 2D and 3D co-culture, CAFs increased the proliferation of TNBC cells. CAFs showed increased production of hyaluronan, as compared to normal fibroblasts, and loss of hyaluronan synthase 2 reduced CAF-induced stimulation of TNBC proliferation. These findings suggest that increased production of hyaluronan by TNBC CAFs enhances their capacity to mix with and induce the proliferation of cancer cells, and that the production of hyaluronan by CAFs can be a future therapeutic target against TNBC. Full article
(This article belongs to the Special Issue Cancer-Associated Fibroblasts: Challenges and Directions)
Show Figures

Figure 1

29 pages, 6851 KB  
Article
Analysis of Immune Cell Infiltration Distribution and Prognostic Value in Obstructive Colorectal Cancer
by Yifan Xue, Zhenxing Jiang, Junnan Gu, Shenghe Deng, Kailin Cai and Ke Wu
Biomedicines 2025, 13(11), 2596; https://doi.org/10.3390/biomedicines13112596 - 23 Oct 2025
Abstract
Objective: This study aims to determine how intestinal obstruction influences the tumor immune microenvironment (TIME) and its impact on prognosis in colorectal cancer (CRC). Methods: Immune cell densities (CD4+, CD8+, CD20+, CD68+) within [...] Read more.
Objective: This study aims to determine how intestinal obstruction influences the tumor immune microenvironment (TIME) and its impact on prognosis in colorectal cancer (CRC). Methods: Immune cell densities (CD4+, CD8+, CD20+, CD68+) within central tumor (CT) and invasive margin (IM) compartments were quantitatively analyzed using immunohistochemistry (IHC) and QuPath digital pathology in surgical resection samples from 328 patients (164 obstructed colon cancer [OCRC] vs. 164 non-obstructed [NOCRC], cohorts matched by propensity scoring). Findings on tumor-infiltrating immune cell spatial distribution were integrated with peripheral blood immune cell counts and clinicopathological characteristics to characterize the obstructed colon cancer immune microenvironment. Associations with disease-free survival (DFS) and overall survival (OS) were evaluated. Results: OCRC exhibited higher lymphocytic infiltration, particularly in the CT compartment, compared to NOCRC, with significantly elevated CT-CD8+ T cell density in T4-stage OCRC (p < 0.005). Obstruction enhanced immune cell correlations across compartments, especially in T4 tumors, and the CD68+/CD8+ ratio effectively discriminated obstruction status (CT area under the curve (AUC): T4 = 0.879). Peripheral lymphocytopenia was pronounced in obstructive cases (p = 0.003). Critically, T4 OCRC showed a complete loss of all correlations between tumor-infiltrating immune cells and peripheral parameters. Despite increased infiltration, high CD8+ density in OCRC correlated with worse prognosis, indicating a paradoxical role influenced by obstruction context. CD68+ macrophages in the invasive margin consistently predicted improved survival (Disease-free survival [DFS]: Hazard ratio [HR] = 0.59, p = 0.008). Conclusions: Intestinal obstruction in CRC, particularly in T4-stage tumors, may represent an immunologically active state that alters local immune infiltration and systemic–local immune crosstalk. These findings suggest that obstruction status could refine prognostic stratification and inform therapeutic strategies, although validation in larger cohorts is warranted. Full article
Show Figures

Figure 1

24 pages, 4031 KB  
Article
HO-1197 as a Multifaceted Therapeutic: Targeting the Cell Cycle, Angiogenesis, Metastasis, and Tumor Immunity in Hepatocellular Carcinoma
by Yeonhwa Song, Seungeun Lee, So-Won Heo, Juliane Spohn, Dominik Schmiedel, Taemoo Heo, Sanghwa Kim, Jongmin Park and Haeng Ran Seo
Int. J. Mol. Sci. 2025, 26(21), 10329; https://doi.org/10.3390/ijms262110329 - 23 Oct 2025
Abstract
Hepatocellular carcinoma (HCC) is the most prevalent primary malignancy of the liver. Characterized by rapid progression and poor overall survival rates, HCC requires effective and streamlined treatment regimens. It predominantly occurs in East Asia and sub-Saharan Africa, where it has historically been managed [...] Read more.
Hepatocellular carcinoma (HCC) is the most prevalent primary malignancy of the liver. Characterized by rapid progression and poor overall survival rates, HCC requires effective and streamlined treatment regimens. It predominantly occurs in East Asia and sub-Saharan Africa, where it has historically been managed with herbal formulas. We previously observed that the herbal formula HO-1089 exerts potent anti-HCC effects both in vitro and in vivo. In this study, we investigated the anticancer efficacy and mechanisms of HO-1197, a reconstituted herbal formulation derived from HO-1089. HO-1197 selectively inhibited the viability of HCC cell lines without hepatotoxicity and demonstrated superior anticancer activity compared with both HO-1089 and sorafenib. Mechanistically, HO-1197 induced apoptosis and G2/M arrest through reactive oxygen species-mediated DNA damage, independent of p53 status. Transcriptomic analysis revealed downregulation of mitosis-related genes, particularly those regulated by FOXM1, a key driver of HCC proliferation and metastasis. HO-1197 suppressed FOXM1 expression and nuclear translocation, reducing its downstream targets and diminishing angiogenic and metastatic potential. Furthermore, HO-1197 modulated the tumor immune microenvironment by promoting pro-inflammatory macrophage polarization and enhancing natural killer cell-mediated cytotoxicity. HO-1197 exhibited potent antitumor efficacy, and combination therapy with HO-1197 and sorafenib exhibited synergistic effects in both two-dimensional and immune-activated multicellular spheroid models. These findings suggest that HO-1197 is a promising multifunctional therapeutic candidate with antitumor, antiangiogenic, antimetastatic, and immunomodulatory properties. Its combination with sorafenib may offer effective treatment for HCC. HO-1197, which demonstrated strong efficacy, is a novel herbal medicine developed by H&O Biosis and is referred to as an Integrated Natural Medicine. Full article
(This article belongs to the Section Molecular Oncology)
Show Figures

Figure 1

21 pages, 3319 KB  
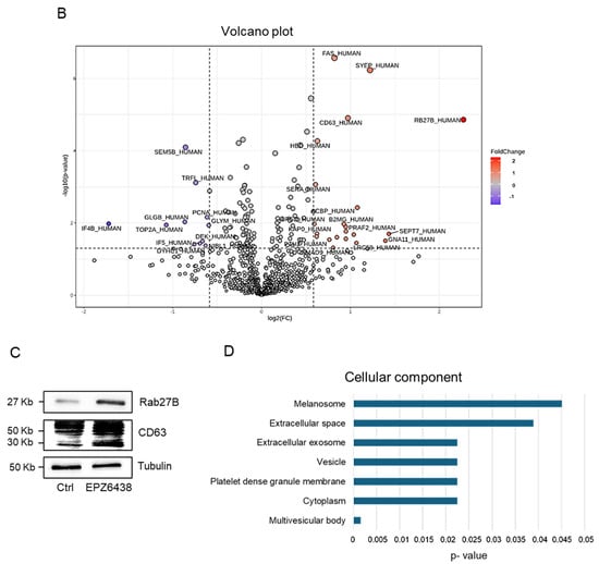
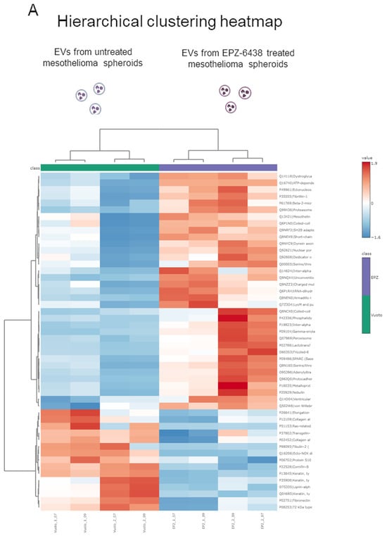
Article
EZH2 Inhibition in Mesothelioma Cells Increases the Release of Extracellular Vesicles That Skew Neutrophils Toward a Protumor Phenotype
by Giulia Pinton, Elia Bari, Silvia Fallarini, Valentina Gigliotti, Veronica De Giorgis, Fausto Chiazza, Maria Luisa Torre, Marcello Manfredi and Laura Moro
Int. J. Mol. Sci. 2025, 26(21), 10328; https://doi.org/10.3390/ijms262110328 - 23 Oct 2025
Abstract
We previously demonstrated that in BAP1-proficient pleural mesothelioma cells, CDKN2A is critical for mediating the response to selective EZH2 inhibition and highlighted a complex interplay between epigenetic regulation and the tumor immune microenvironment. In this study, we employed a quantitative proteomic mass spectrometry [...] Read more.
We previously demonstrated that in BAP1-proficient pleural mesothelioma cells, CDKN2A is critical for mediating the response to selective EZH2 inhibition and highlighted a complex interplay between epigenetic regulation and the tumor immune microenvironment. In this study, we employed a quantitative proteomic mass spectrometry approach to assess alterations in protein expression following EZH2 inhibition in BAP1- and CDKN2A-proficient mesothelioma cells cultured as spheroids. Additionally, we analyzed extracellular vesicles (EVs), which were isolated through tangential flow filtration. Flow cytometric analysis and co-culture systems were used to characterize the effects of EVs on neutrophils. Upon EZH2 inhibition, we demonstrated RAB27b and CD63 upregulation and increased release of extracellular vesicles. We found that a brief exposure to EVs derived from EZH2 inhibitor-treated cells skewed naïve neutrophils toward a pro-tumor phenotype characterized by high levels of PD-L1 and MSLN (Mesothelin) expression on the surface. These EV-elicited neutrophils suppressed T cell proliferation while enhancing tumor cell growth. Moreover, we observed changes in the EV cargo derived from EZH2 inhibitor-treated spheroids. Our findings highlight the significant role of EVs in creating an immunosuppressive microenvironment, and underscore the urgent need for further investigation into the regulation of neutrophil biology and function in the PM. Full article
(This article belongs to the Special Issue Advances and Insights in Tumorigenesis and Tumor Metastasis)
Show Figures

Figure 1

33 pages, 1667 KB  
Review
Advances in Cancer Treatment Through Nanotheranostics and Emerging Therapies
by Victor Akpe and Ian E. Cock
J. Nanotheranostics 2025, 6(4), 29; https://doi.org/10.3390/jnt6040029 - 23 Oct 2025
Abstract
The integration of nanotheranostics into cancer treatment represents a transformative shift in oncology, combining precision diagnostics with targeted therapeutic interventions. This manuscript explores the advancements in nanotechnology-driven cancer therapies, highlighting the role of engineered nanoparticles, such as liposomes, dendrimers, polymeric micelles, and virus-like [...] Read more.
The integration of nanotheranostics into cancer treatment represents a transformative shift in oncology, combining precision diagnostics with targeted therapeutic interventions. This manuscript explores the advancements in nanotechnology-driven cancer therapies, highlighting the role of engineered nanoparticles, such as liposomes, dendrimers, polymeric micelles, and virus-like particles, in enhancing drug delivery, real-time imaging, and tumor-specific targeting. Additionally, emerging therapies, including immunotherapy, gene editing, and chromophore-assisted light inactivation (CALI), are discussed in the context of personalized medicine. The convergence of these strategies is poised to redefine cancer treatment paradigms, improving therapeutic efficacy while minimizing systemic toxicity. This review outlines the key challenges, current limitations, and future directions in nanotheranostic applications, emphasizing the need for interdisciplinary collaboration to optimize their clinical translation. Full article
Show Figures

Graphical abstract

Back to TopTop