Virtual Biomarkers and Simplified Metrics in the Modeling of Breast Cancer Neoadjuvant Therapy: A Proof-of-Concept Case Study Based on Diagnostic Imaging
Abstract
1. Introduction
2. Materials and Methods
2.1. Study Design and Aim
2.2. Inclusion Study Criteria
2.2.1. Patients Enrolled and Therapies Administered
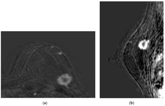
- Patient 1 was a 60-year-old woman with both estrogen and progesterone receptors expression of 85%, nuclear protein Ki67 index of 20–25%, and HER2 amplification. Preoperative CE-MRI revealed the presence of a nodular area in the left upper outer quadrant, with a volume (V) of approximately 4.1 cm3 (Figure 2). The patient underwent NAC with epirubicin/cyclophosphamide (EC) administered intravenously (IV) every three weeks for four cycles, followed by a combination of weekly IV paclitaxel plus trastuzumab for 12 weeks. Post-NAC CE-MRI showed a reduction in the heterogeneous nodule volume (V) to approximately 0.18 cm3 (Figure 3). Clinical stage cT1 N1 M0. The patient underwent quadrantectomy with sentinel lymph node biopsy, achieving pCR (ypT0 ypN0).
- Patient 2 was a 70-year-old woman with a 3.5 cm3 breast tumor adjacent to the nipple-areola complex, staged cT2 N0 M0. Hormone receptor profile showed estrogen receptor 90%, progesterone 45%, Ki67 30–35%, and HER2 1+. Preoperative CE-MRI showed a heterogeneous nodule of approximately 3.5 cm3 with infiltrative streaks extending to the skin along the outer aspect of the gland. The patient received NAC consisting of EC × 4 (every 21 days) followed by paclitaxel × 12 (every 7 days). Post-NAC CE-MRI revealed a reduction in the volume (V) of the heterogeneous nodule, given by 2.5 cm in anterior–posterior dimension, 1.8 cm in diameter, and 1.2 cm in lateral dimension, compared to the initial control V measurement of 3.5 cm × 3.2 cm × 2.6 cm. The lesion currently exhibited central necrosis with fewer infiltrative streaks and no skin retraction. Following multidisciplinary discussion, the patient underwent radical mastectomy according to the Madden technique. Pathological response ypT1c(m) ypN0(i)(sn).
- Patient 3 was a 56-year-old woman with a IIIB breast tumor, staged cT4 N0 M0, both estrogen and progesterone receptors expression of 85%, Ki67 10%, and HER2 negative. Preoperative CE-MRI identified the presence of a nodular area with irregular margins (BIRADS5) in the lower inner quadrant, measuring 1.3 cm in anterior–posterior dimension, 1.4 mm in craniocaudal diameter, and 1.3 mm in lateral dimension. The lesion extended distally to the subcutaneous plane of the mammary sulcus, which appeared retracted, and was located approximately 1.6 cm from the underlying muscle plane. The patient received NAC consisting of EC × 4 (every 21 days) followed by paclitaxel × 12 (every 7 days). Post-NAC CE-MRI showed a reduction in the heterogeneous nodule in the lower-inner quadrant of the left mammary sulcus. The size remained unchanged with weaker enhancement, suggesting a partial reduction in biological vitality. The lesion had a core size of approximately 1.6 cm and presented infiltrative streaks radiating approximately 2.0 cm, reaching and retracting the skin. There were no signs of infiltration into the underlying muscle plane. Following multidisciplinary discussion, the patient underwent radical mastectomy according to the Madden technique. Pathological response ypT4b N1(sn).
2.2.2. Ethics and Consent to Participate
2.3. Analysis and Transformation of Diagnostic Images
- T2- and T1-weighted Turbo spin echo to provide high-contrast images of the breast tissue, highlighting differences in water content between various tissues [27]. It is particularly useful in differentiating between fatty and non-fatty tissues, making it easier to detect tumors and other pathologies, and for visualizing cysts, edema, and other fluid-filled structures within the breast.
- Short-TI Inversion Recovery, designed to suppress fat signals, enhancing the visibility of lesions and abnormalities within the breast tissue.
- Diffusion-Weighted Imaging with Apparent Diffusion Coefficient Maps, providing insights into the diffusion characteristics of water molecules within the tissue. Maps were generated to quantify the degree of diffusion restriction, which can help differentiate between benign and malignant lesions based on their cellular density.
- Dynamic Contrast-Enhanced implementation with enhanced T1 High-Resolution Isotropic Volume Examination Sequences, following the injection of a contrast agent, to capture the dynamic uptake and washout of contrast, allowing for the assessment of tumor vascularity and perfusion. This sequence is crucial for evaluating the angiogenic activity of tumors and identifying areas of rapid contrast uptake that may indicate malignancy.
2.4. A Diffusive-Reactive Model of Free and Challenged Tumor Growth
2.4.1. Model Simplifications
2.4.2. The Biological Conversion Mechanism
2.4.3. Governing Equations
2.4.4. Lesion Volume Computation, and Initial and Boundary Conditions
2.4.5. Numerical Treatment
3. Results
3.1. The Virtual Biomarkers Defining the Source Terms
- rc is a biological tumor conversion rate, a first VB of interest in this study. In this work, rc reflects the macroscopic classifications of BC for each patient, derived from the combination of histopathological type, grade, and stage of the tumor, and expression of estrogen and progestin receptors and HER2. Moreover, rc is linked to the patient’s baseline Ki67 value, integrating these clinical and molecular factors into a single quantitative descriptor of tumor aggressiveness.
- is a mass-mediated drug efficiency, or PD behavior of the j-th drug, another VB of primary interest in this study. Biologically, this parameter characterizes the personalized tumor response to neoadjuvant chemotherapy (NAC). Like , reflects the patient-specific biological sensitivity to treatment, as it quantifies the temporal reduction in tumor volume induced by each administered drug. This parameter is particularly relevant for stratifying patients and identifying the most effective therapeutic regimen.
- fj (t) is the personalized regimen indicator, or therapy regimen function, for each j-th drug, based on the specification outlined in Section 2.2.1, and reported, for example, in Figure 7a, for patient 1.
- md is the actual administered mass flow rate of the therapy drug, determined on a personalized basis.
- is the known effect of the clearance, or PK behavior, for each j-th drug, generally depending on each patient’s weight and body surface area and the available drug specs.
- The effective diffusivities Dc and Ddj had the same values, in this proof-of-concept study, for all considered patients.
- 1.
- Individualized optimization: For each patient, the model was calibrated from the available CBs and imaging data to minimize the discrepancy between the quantitative predicted tumor volume obtained through the computational framework and the CE-MRI-derived measurements of the cancer lesion at baseline and post NAC. This process involves model training, i.e., adjusting the corresponding VB value to match observed CB, thereby improving the accuracy of the computational model in predicting tumor behavior at the individual level.
- 2.
- Cohort-based consistency: To ensure reproducibility and extract clinically meaningful patterns, optimized VB values were then analyzed across patient subgroups sharing clinical or molecular characteristics. This step enabled the identification of clinically relevant insights consistent within each subgroup, enhancing the robustness of the model and its potential for stratifying patients in future applications.
3.2. Simulations of the Clinical Volume
4. Discussion
5. Limitation and Future Perspectives
6. Conclusions
Author Contributions
Funding
Institutional Review Board Statement
Informed Consent Statement
Data Availability Statement
Conflicts of Interest
Abbreviations
| BC | breast cancer |
| BCS | breast conserving surgery |
| CBs | clinical biomarkers |
| CE-MRI | contrast-enhanced magnetic resonance imaging |
| CI | confidence interval |
| DICOM | digital imaging and communications in medicine |
| DW-MRI | diffusion-weighted magnetic resonance imaging |
| EC | epirubicin/cyclophosphamide |
| ESMO | European society for medical oncology |
| HER2 | human epidermal growth factor receptor 2 |
| IV | intravenously |
| MIP | maximum intensity projection |
| MRI | magnetic resonance imaging |
| NAC | neoadjuvant chemotherapy |
| PARP | poly ADP ribose polymerase |
| pCR | pathological complete response |
| PD | pharmacodynamics |
| PDE | partial differential equation |
| PET/CT | positron emission tomography/computed tomography |
| PK | pharmacokinetics |
| ROI | regions of interest |
| STL | stereolithography |
| TNBC | triple-negative breast cancer |
| TP | true positive |
| VBs | virtual biomarkers |
| 18FDG | 18F-fluorodeoxyglucose |
| Nomenclature | |
| The following nomenclatures are used in this manuscript: | |
| AD | absolute volume difference, cm3 |
| D | diffusion coefficient, m2/s |
| f | temporal administration pattern of therapy, or modulation function, 1/d |
| K | carrying capacity of the biological matrix, dimensionless |
| md | administered mass flow rate, determined on personalized basis, mol/m3 s |
| rc | biological conversion rate, 1/s |
| R | source term in Equations (2) and (3), 1/s |
| t | time, d |
| V* | computed lesion volume, cm3 |
| V | measured lesion volume, cm3 |
| x | coordinate vector, cm |
| Greek | |
| ∆t | duration, d |
| ∆V | residual lesion volume to remove after NAC, cm3 |
| ϵPD | drug efficiency (effect of drug on body), 1/s |
| ϵPK | drug clearance (effect of body on drug), 1/s |
| ∂Ωe | surface, m2 |
| ϕc | normalized cancer cell density or volume, dimensionless |
| ϕd | normalized drug concentration, dimensionless |
| Ω | computational volume, cm3 |
| Subscripts | |
| 0 | nominal, ROI |
| c | cancer |
| d | drug |
| e | interface with the environment |
| i | initial, starting time |
| j | drug counter |
| s | surgical |
References
- World Health Organization (WHO) Cancer. 2025. Available online: https://www.who.int/news-room/fact-sheets/detail/cancer (accessed on 4 August 2025).
- Pérez-García, J.M.; Gebhart, G.; Ruiz Borrego, M.; Stradella, A.; Bermejo, B.; Schmid, P.; Marmé, F.; Escrivá-de-Romani, S.; Calvo, L.; Ribelles, N.; et al. Chemotherapy de-escalation using an 18F-FDG-PET-based pathological response-adapted strategy in patients with HER2-positive early breast cancer (PHERGain): A multicentre, randomised, open-label, non-comparative, phase 2 trial. Lancet Oncol. 2021, 22, 858–871. [Google Scholar] [CrossRef]
- Brezden-Masley, C.; Fathers, K.E.; Coombes, M.E.; Pourmirza, B.; Xue, C.; Jerzak, K.J. A population-based comparison of treatment, resource utilization, and costs by cancer stage for Ontario patients with HER2-positive breast cancer. Breast Cancer Res. Treat. 2021, 185, 807–815. [Google Scholar] [CrossRef]
- Varsanik, M.A.; Shubeck, S.P. De-Escalating Breast Cancer Therapy. Surg. Clin. N. Am. 2023, 103, 83–92. [Google Scholar] [CrossRef]
- Soto-Ruiz, N.; Escalada-Hernández, P.; Martín-Rodríguez, L.S.; Ferraz-Torres, M.; García-Vivar, C. Web-Based Personalized Intervention to Improve Quality of Life and Self-Efficacy of Long-Term Breast Cancer Survivors: Study Protocol for a Randomized Controlled Trial. Int. J. Environ. Res. Public Health 2022, 19, 12240. [Google Scholar] [CrossRef]
- Schott, A.F.; Hayes, D.F. Defining the benefits of neoadjuvant chemotherapy for breast cancer. J. Clin. Oncol. Off. J. Am. Soc. Clin. Oncol. 2012, 30, 1747–1749. [Google Scholar] [CrossRef]
- Tudorica, A.; Oh, K.Y.; Chui, S.Y.; Roy, N.; Troxell, M.L.; Naik, A.; Kemmer, K.A.; Chen, Y.; Holtorf, M.L.; Afzal, A.; et al. Early Prediction and Evaluation of Breast Cancer Response to Neoadjuvant Chemotherapy Using Quantitative DCE-MRI. Transl. Oncol. 2016, 9, 8–17. [Google Scholar] [CrossRef] [PubMed]
- Schegerin, M.; Tosteson, A.N.; Kaufman, P.A.; Paulsen, K.D.; Pogue, B.W. Prognostic imaging in neoadjuvant chemotherapy of locally-advanced breast cancer should be cost-effective. Breast Cancer Res. Treat. 2009, 114, 537–547. [Google Scholar] [CrossRef] [PubMed]
- Mamounas, E.P.; Untch, M.; Mano, M.S.; Huang, C.S.; Geyer, C.E.; von Minckwitz, G.; Wolmark, N.; Pivot, X.; Kuemmel, S.; DiGiovanna, M.; et al. Adjuvant T-DM1 versus trastuzumab in patients with residual invasive disease after neoadjuvant therapy for HER2-positive breast cancer: Subgroup analyses from KATHERINE. Ann. Oncol. Off. J. Eur. Soc. Med. Oncol. 2021, 32, 1005–1014. [Google Scholar] [CrossRef]
- Bear, H.D.; Anderson, S.; Smith, R.E.; Geyer, C.E., Jr.; Mamounas, E.P.; Fisher, B.; Brown, A.M.; Robidoux, A.; Margolese, R.; Kahlenberg, M.S.; et al. Sequential preoperative or postoperative docetaxel added to preoperative doxorubicin plus cyclophosphamide for operable breast cancer:National Surgical Adjuvant Breast and Bowel Project Protocol B-27. J. Clin. Oncol. Off. J. Am. Soc. Clin. Oncol. 2006, 24, 2019–2027. [Google Scholar] [CrossRef] [PubMed]
- Kaufmann, M.; von Minckwitz, G.; Mamounas, E.P.; Cameron, D.; Carey, L.A.; Cristofanilli, M.; Denkert, C.; Eiermann, W.; Gnant, M.; Harris, J.R.; et al. Recommendations from an international consensus conference on the current status and future of neoadjuvant systemic therapy in primary breast cancer. Ann. Surg. Oncol. 2012, 19, 1508–1516. [Google Scholar] [CrossRef]
- Cortazar, P.; Zhang, L.; Untch, M.; Mehta, K.; Costantino, J.P.; Wolmark, N.; Bonnefoi, H.; Cameron, D.; Gianni, L.; Valagussa, P.; et al. Pathological complete response and long-term clinical benefit in breast cancer: The CTNeoBC pooled analysis. Lancet 2014, 384, 164–172. [Google Scholar] [CrossRef] [PubMed]
- Schmid, P.; Cortes, J.; Pusztai, L.; McArthur, H.; Kümmel, S.; Bergh, J.; Denkert, C.; Park, Y.H.; Hui, R.; Harbeck, N.; et al. Pembrolizumab for Early Triple-Negative Breast Cancer. N. Engl. J. Med. 2020, 382, 810–821. [Google Scholar] [CrossRef]
- Early Breast Cancer Trialists’ Collaborative Group (EBCTCG). Long-term outcomes for neoadjuvant versus adjuvant chemotherapy in early breast cancer: Meta-analysis of individual patient data from ten randomised trials. Lancet Oncol. 2018, 19, 27–39. [Google Scholar] [CrossRef]
- Wang, K.; Li, Z.; Wu, Z.; Zheng, Y.; Zeng, S.E.L.; Liang, J. Diagnostic Performance of Diffusion Tensor Imaging for Characterizing Breast Tumors: A Comprehensive Meta-Analysis. Front. Oncol. 2019, 9, 1229. [Google Scholar] [CrossRef]
- Marino, G.; De Bonis, M.V.; Lagonigro, L.; La Torre, G.; Prudente, A.; Sgambato, A.; Ruocco, G. Towards a decisional support system in breast cancer surgery based on mass transfer modeling. Int. Commun. Heat Mass Transf. 2021, 129, 105733. [Google Scholar] [CrossRef]
- Horvat, J.V.; Thakur, S.B. Magnetic Resonance Imaging: Regular Protocols and Fast Protocols. In Modern Breast Cancer Imaging; Springer International Publishing: Cham, Switzerland, 2022; pp. 131–139. [Google Scholar] [CrossRef]
- Gu, Y.L.; Pan, S.M.; Ren, J.; Yang, Z.X.; Jiang, G.Q. Role of Magnetic Resonance Imaging in Detection of Pathologic Complete Remission in Breast Cancer Patients Treated With Neoadjuvant Chemotherapy: A Meta-analysis. Clin. Breast Cancer 2017, 17, 245–255. [Google Scholar] [CrossRef]
- Jarrett, A.M.; Hormuth, D.A., 2nd; Wu, C.; Kazerouni, A.S.; Ekrut, D.A.; Virostko, J.; Sorace, A.G.; DiCarlo, J.C.; Kowalski, J.; Patt, D.; et al. Evaluating patient-specific neoadjuvant regimens for breast cancer via a mathematical model constrained by quantitative magnetic resonance imaging data. Neoplasia 2020, 22, 820–830. [Google Scholar] [CrossRef] [PubMed]
- Weis, J.A.; Miga, M.I.; Arlinghaus, L.R.; Li, X.; Abramson, V.; Chakravarthy, A.B.; Pendyala, P.; Yankeelov, T.E. Predicting the Response of Breast Cancer to Neoadjuvant Therapy Using a Mechanically Coupled Reaction-Diffusion Model. Cancer Res. 2015, 75, 4697–4707. [Google Scholar] [CrossRef]
- Wu, C.; Jarrett, A.M.; Zhou, Z.; Elshafeey, N.; Adrada, B.E.; Candelaria, R.P.; Mohamed, R.M.; Boge, M.; Huo, L.; White, J.B.; et al. MRI-Based Digital Models Forecast Patient-Specific Treatment Responses to Neoadjuvant Chemotherapy in Triple-Negative Breast Cancer. Cancer Res. 2022, 82, 3394–3404. [Google Scholar] [CrossRef]
- Schettini, F.; De Bonis, M.V.; Strina, C.; Milani, M.; Ziglioli, N.; Aguggini, S.; Ciliberto, I.; Azzini, C.; Barbieri, G.; Cervoni, V.; et al. Computational reactive-diffusive modeling for stratification and prognosis determination of patients with breast cancer receiving Olaparib. Sci. Rep. 2023, 13, 11951. [Google Scholar] [CrossRef] [PubMed]
- Perera-Bel, J.; Leha, A.; Beissbarth, T. Bioinformatic methods and resources for biomarker discovery, validation, development, and integration. In Predictive Biomarkers in Oncology: Applications in Precision Medicine; Springer International Publishing: Cham, Switzerland, 2018; pp. 149–164. [Google Scholar] [CrossRef]
- World Medical Association (WMA) Declaration of Helsinki—Ethical Principles for Medical Research Involving Human Participants. 2025. Available online: www.wma.net/policies-post/wma-declaration-of-helsinki/ (accessed on 4 August 2025).
- European Medicines Agency (EMA). Guideline on Good Clinical Practice. Available online: www.ema.europa.eu/en/ich-e6-good-clinical-practice-scientific-guideline (accessed on 4 August 2024).
- Durando, M.; Gennaro, L.; Cho, G.Y.; Giri, D.D.; Gnanasigamani, M.M.; Patil, S.; Sutton, E.J.; Deasy, J.O.; Morris, E.A.; Thakur, S.B. Quantitative apparent diffusion coefficient measurement obtained by 3.0Tesla MRI as a potential noninvasive marker of tumor aggressiveness in breast cancer. Eur. J. Radiol. 2016, 85, 1651–1658. [Google Scholar] [CrossRef]
- Santamaría, G.; Velasco, M.; Bargalló, X.; Caparrós, X.; Farrús, B.; Luis Fernández, P. Radiologic and pathologic findings in breast tumors with high signal intensity on T2-weighted MR images. Radiogr. Rev. Publ. Radiol. Soc. N. Am. Inc. 2010, 30, 533–548. [Google Scholar] [CrossRef] [PubMed]
- 3D Slicer v.4.1. The Slicer Community. Available online: www.slicer.org (accessed on 9 June 2025).
- Kikinis, R.; Pieper, S.D.; Vosburgh, K.G. 3D Slicer: A platform for subject-specific image analysis, visualization, and clinical support. In Intraoperative Imaging and Image-Guided Therapy; Springer: New York, NY, USA, 2013; pp. 277–289. [Google Scholar] [CrossRef]
- COMSOL Multiphysics®; v. 5.6; COMSOL AB: Stockholm, Sweden; Available online: www.comsol.com (accessed on 9 June 2025).
- Anderson, A.R.; Chaplain, M.A.; Newman, E.L.; Steele, R.J.; Thompson, A.M. Mathematical modelling of tumour invasion and metastasis. Comput. Math. Methods Med. 2000, 2, 129–154. [Google Scholar] [CrossRef]
- Cristini, V.; Lowengrub, J. Multiscale Modeling of Cancer: An Integrated Experimental and Mathematical Modeling Approach; Cambridge University Press: Cambridge, UK, 2010. [Google Scholar]
- Petruolo, O.; Sevilimedu, V.; Montagna, G.; Le, T.; Morrow, M.; Barrio, A.V. How Often Does Modern Neoadjuvant Chemotherapy Downstage Patients to Breast-Conserving Surgery? Ann. Surg. Oncol. 2021, 28, 287–294. [Google Scholar] [CrossRef]
- Pawloski, K.R.; Barrio, A.V. Breast surgery after neoadjuvant systemic therapy. Transl. Breast Cancer Res. J. Focus. Transl. Res. Breast Cancer 2024, 5, 13. [Google Scholar] [CrossRef] [PubMed]
- Qin, R.; Yin, L.; Wang, D.; Cao, X.; Shaibu, Z.; Wang, X.; Chen, P.; Sui, D.; Qiu, X.; Liu, D. Survival Outcomes of Breast-Conserving Surgery Versus Mastectomy in Locally Advanced Breast Cancer Following Neoadjuvant Chemotherapy: A Meta-Analysis. Technol. Cancer Res. Treat. 2024, 23, 15330338241265030. [Google Scholar] [CrossRef]
- Benzekry, S.; Mastri, M.; Nicolò, C.; Ebos, J.M.L. Machine-learning and mechanistic modeling of metastatic breast cancer after neoadjuvant treatment. PLoS Comput. Biol. 2024, 20, e1012088. [Google Scholar] [CrossRef]
- Ahn, J.S.; Shin, S.; Yang, S.A.; Park, E.K.; Kim, K.H.; Cho, S.I.; Ock, C.Y.; Kim, S. Artificial Intelligence in Breast Cancer Diagnosis and Personalized Medicine. J. Breast Cancer 2023, 26, 405–435. [Google Scholar] [CrossRef]
- Religioni, U.; Barrios-Rodríguez, R.; Requena, P.; Borowska, M.; Ostrowski, J. Enhancing Therapy Adherence: Impact on Clinical Outcomes, Healthcare Costs, and Patient Quality of Life. Medicina 2025, 61, 153. [Google Scholar] [CrossRef]
- McDonald, T.O.; Cheng, Y.-C.; Graser, C.; Nicol, P.B.; Temko, D.; Michor, F. Computational approaches to modelling and optimizing cancer treatment. Nat. Rev. Bioeng. 2023, 1, 695–711. [Google Scholar] [CrossRef]
- Kaur, N.; Gonzales Iv, M.; Alcaraz, C.G.; Gong, J.; Wells, K.J.; Barnes, L.E. A computational framework for longitudinal medication adherence prediction in breast cancer survivors: A social cognitive theory based approach. PLoS Digit. Health 2025, 4, e0000839. [Google Scholar] [CrossRef] [PubMed]
- Wang, Z.; Butner, J.D.; Cristini, V.; Deisboeck, T.S. Integrated PK-PD and agent-based modeling in oncology. J. Pharmacokinet. Pharmacodyn. 2015, 42, 179–189. [Google Scholar] [CrossRef] [PubMed]
- Sabatino, V.; Pignata, A.; Valentini, M.; Fantò, C.; Leonardi, I.; Campora, M. Assessment and Response to Neoadjuvant Treatments in Breast Cancer: Current Practice, Response Monitoring, Future Approaches and Perspectives. Cancer Treat. Res. 2023, 188, 105–147. [Google Scholar] [CrossRef] [PubMed]








| Patient | Dc [m2/s] | Ddj [m2/s] | rc [1/s] | [1/s] | [1/h] | [1/h] | [1/h] |
|---|---|---|---|---|---|---|---|
| 1 | 1.0 × 10−13 | 1.0 × 10−5 | 4.0 × 10−7 | 3.64 × 10−6 | 2 | 50 | 50 |
| 2 | 1.0 × 10−13 | 1.0 × 10−5 | 5.7 × 10−6 | 4.54 × 10−4 | 2 | 50 | - |
| 3 | 1.0 × 10−13 | 1.0 × 10−5 | 6.0 × 10−6 | 1.14 × 10−6 | 2 | 50 | - |
| Patient | V (t = 0) [cm3] | V* (t = 0) [cm3] | AD (t = 0) [cm3] | (t = ∆ts) [cm3] | (t = ∆ts) [cm3] | (t = ∆ts) [cm3] |
|---|---|---|---|---|---|---|
| 1 | 4.2 | 4.07 | −0.13 | 0.18 | 0.51 | +0.33 |
| 2 | 16.0 | 12.98 | −3.02 | 3.3 | 3.37 | +0.07 |
| 3 | 1.4 | 1.49 | +0.09 | 1.4 | 1.58 | +0.18 |
Disclaimer/Publisher’s Note: The statements, opinions and data contained in all publications are solely those of the individual author(s) and contributor(s) and not of MDPI and/or the editor(s). MDPI and/or the editor(s) disclaim responsibility for any injury to people or property resulting from any ideas, methods, instructions or products referred to in the content. |
© 2025 by the authors. Licensee MDPI, Basel, Switzerland. This article is an open access article distributed under the terms and conditions of the Creative Commons Attribution (CC BY) license (https://creativecommons.org/licenses/by/4.0/).
Share and Cite
Marino, G.; De Bonis, M.V.; Mecca, M.; Sichetti, M.; Cammarota, A.; Botte, M.; Dinardo, G.; Lancellotti, M.I.; Villonio, A.; Prudente, A.; et al. Virtual Biomarkers and Simplified Metrics in the Modeling of Breast Cancer Neoadjuvant Therapy: A Proof-of-Concept Case Study Based on Diagnostic Imaging. Med. Sci. 2025, 13, 242. https://doi.org/10.3390/medsci13040242
Marino G, De Bonis MV, Mecca M, Sichetti M, Cammarota A, Botte M, Dinardo G, Lancellotti MI, Villonio A, Prudente A, et al. Virtual Biomarkers and Simplified Metrics in the Modeling of Breast Cancer Neoadjuvant Therapy: A Proof-of-Concept Case Study Based on Diagnostic Imaging. Medical Sciences. 2025; 13(4):242. https://doi.org/10.3390/medsci13040242
Chicago/Turabian StyleMarino, Graziella, Maria Valeria De Bonis, Marisabel Mecca, Marzia Sichetti, Aldo Cammarota, Manuela Botte, Giuseppina Dinardo, Maria Imma Lancellotti, Antonio Villonio, Antonella Prudente, and et al. 2025. "Virtual Biomarkers and Simplified Metrics in the Modeling of Breast Cancer Neoadjuvant Therapy: A Proof-of-Concept Case Study Based on Diagnostic Imaging" Medical Sciences 13, no. 4: 242. https://doi.org/10.3390/medsci13040242
APA StyleMarino, G., De Bonis, M. V., Mecca, M., Sichetti, M., Cammarota, A., Botte, M., Dinardo, G., Lancellotti, M. I., Villonio, A., Prudente, A., Thodas, A., Zifarone, E., Sanseverino, F., Modano, P., Schettini, F., Rocca, A., Generali, D., & Ruocco, G. (2025). Virtual Biomarkers and Simplified Metrics in the Modeling of Breast Cancer Neoadjuvant Therapy: A Proof-of-Concept Case Study Based on Diagnostic Imaging. Medical Sciences, 13(4), 242. https://doi.org/10.3390/medsci13040242

