Sign in to use this feature.

Years

Between: -

Subjects

remove_circle_outline
remove_circle_outline
remove_circle_outline

Journals

Article Types

Countries / Regions

Search Results (29)

Search Parameters:
Keywords = transvaginal sonography

Order results
Result details
Results per page
Select all
Export citation of selected articles as:
10 pages, 472 KB  
Article
Clinical Validation of DNA Methylation Detection in Cervical Exfoliated Cells for Endometrial Cancer in Women with Suspected Lesions
by Yi Yu, Tingting Su, Hongwei Zhang, Qing Li, Qing Cong, Long Sui and Limei Chen
Diagnostics 2026, 16(2), 174; https://doi.org/10.3390/diagnostics16020174 - 6 Jan 2026
Viewed by 105
Abstract
Background/Objectives: Currently, no non-invasive detection method for endometrial cancer (EC) is recommended in clinical practice worldwide. This study aimed to evaluate the clinical value of detecting DNA methylation of CDO1 and CELF4 (CDO1m/CELF4m) in exfoliated cervical cells for the detection of EC [...] Read more.
Background/Objectives: Currently, no non-invasive detection method for endometrial cancer (EC) is recommended in clinical practice worldwide. This study aimed to evaluate the clinical value of detecting DNA methylation of CDO1 and CELF4 (CDO1m/CELF4m) in exfoliated cervical cells for the detection of EC in women with suspected endometrial lesions. Methods: A total of 2164 patients scheduled for hysteroscopic surgery due to suspected endometrial lesions at the Obstetrics and Gynecology Hospital of Fudan University between July 2023 and May 2024 were prospectively enrolled. Preoperative exfoliated cervical cells were collected for dual-gene methylation testing. Clinical data and endometrial thickness measured by transvaginal sonography (TVS) were recorded. Hysteroscopic histopathological diagnosis served as the gold standard to evaluate the performance of methylation testing alone and in combination with TVS. Results: This study included 2164 patients, comprising 33 EC cases, 31 cases of endometrial intraepithelial neoplasia (EIN), and 2100 cases of non-endometrial lesions, with mean ages of 51.7 ± 6.4, 49.5 ± 8.9, and 44.7 ± 9.8 years, respectively (p < 0.001). For EC detection, CDO1m/CELF4m positivity showed a sensitivity of 93.94% (95% CI: 79.77–99.26%), specificity of 96.7% (95% CI: 95.92–97.47%), positive predictive value (PPV) of 31.0% (95% CI: 25.96–36.53%), and negative predictive value (NPV) of 99.90% (95% CI: 99.63–99.98%). For EIN detection, the sensitivity was 83.87%, specificity 97.95%, PPV 37.68%, and NPV 99.76%. Combining TVS with DNA methylation detection further improved the sensitivity and NPV for both EC and EIN detection. Conclusions: DNA methylation detection in exfoliated cervical cells demonstrates high sensitivity and specificity for EC detection. The combination with TVS further enhances sensitivity and NPV, offering a simple and non-invasive triage strategy for patients with suspected endometrial lesions. This study was registered in China Clinical Trial Registry (ChiCTR2200055991) on 30 January 2023. Full article
(This article belongs to the Section Clinical Diagnosis and Prognosis)
Show Figures

Figure 1

28 pages, 14273 KB  
Article
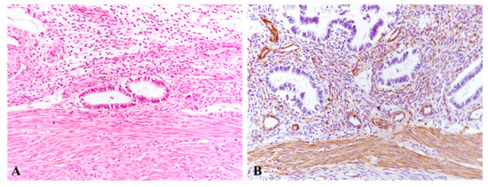
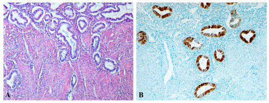
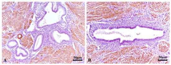
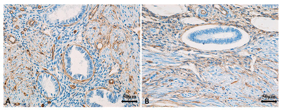
Adenomyosis-Modern Techniques for Ultrasound and Histo-Pathological Diagnosis of the Endo-Myometrial Junction Zone Changes
by Elena Iuliana Anamaria Berbecaru, George-Lucian Zorilă, Anca-Maria Istrate-Ofiţeru, Gabriela-Camelia Roșu, Elvira Brătilă, Daniel Pirici, Cristina Jana Busuioc, Laurențiu Mogoantă, Răzvan Grigoraș Căpitănescu, Dominic-Gabriel Iliescu and Marian Valentin Zorilă
J. Clin. Med. 2025, 14(24), 8744; https://doi.org/10.3390/jcm14248744 - 10 Dec 2025
Viewed by 529
Abstract
Background/Objectives: Adenomyosis (A) is a benign but invasive uterine condition frequently associated with structural changes in the uterine wall that may contribute to infertility. Methods: This is a retrospective study involving 140 patients: 100 diagnosed with primary infertility (PI) or secondary [...] Read more.
Background/Objectives: Adenomyosis (A) is a benign but invasive uterine condition frequently associated with structural changes in the uterine wall that may contribute to infertility. Methods: This is a retrospective study involving 140 patients: 100 diagnosed with primary infertility (PI) or secondary infertility (SI) and 40 in the control group. All patients were assessed using transvaginal two-dimensional, three-dimensional, and hysterosalpingo-contrast sonography (HyCoSy), performed in the early proliferative phase. Evaluated parameters included uterine dimensions, endometrial thickness, and characteristics of the junctional zone (JZ). Criteria such as JZmax > 5 mm or JZmax − JZmin > 5 mm, alongside other findings, supported the diagnosis of adenomyosis. Results: Patients with PI showed larger uterine longitudinal diameters, while SI patients had thicker JZ measurements. PI patients were significantly younger. Histopathological examination confirmed the presence of endometrial glands and periglandular stroma disrupting myometrial architecture, forming chronic lesions potentially linked to infertility. Conclusions: HyCoSy revealed variable depths of myometrial invasion by A, with some cases extending near the serosa. The chronic lesions found in histopathological examination were potentially linked to infertility. Full article
(This article belongs to the Special Issue Advances in Diagnosis and Treatment of Endometriosis)
Show Figures

Graphical abstract

12 pages, 785 KB  
Article
Incidence of Uterine Cesarean Scar Niche After Cesarean Delivery and Assessment of Its Risk Factors
by Ahmed Khedr Khalifa, Ahmed Adel Yasseen Abdel Moteleb, Marwa O. Elgendy, Ahmed Abdel Khalek Taha, Eman A. Salem, Ahmed R. N. Ibrahim, Sara Abdallah Mohamed Salem, Eman Zein Elabein Farid and Waleed Mohammed Elamin Khaled
Medicina 2025, 61(9), 1621; https://doi.org/10.3390/medicina61091621 - 8 Sep 2025
Cited by 2 | Viewed by 2427
Abstract
Background and Objectives: A cesarean scar defect (CSD), also referred to as a niche or isthmocele, is often detected incidentally during transvaginal sonography (TVS) and is typically asymptomatic. However, the exact prevalence of symptomatic niches remains unclear. This study aimed to evaluate [...] Read more.
Background and Objectives: A cesarean scar defect (CSD), also referred to as a niche or isthmocele, is often detected incidentally during transvaginal sonography (TVS) and is typically asymptomatic. However, the exact prevalence of symptomatic niches remains unclear. This study aimed to evaluate the incidence of cesarean scar niches and identify potential risk factors in a prospectively gathered cohort of Egyptian women. Materials and Methods: The primary endpoint was to determine the incidence of isthmoceles after six months following a cesarean section (CS) and to investigate any associated symptoms and risk factors. The study included 420 women, divided into three groups: Group A included 140 women who had undergone their first CS, Group B included 140 women with a history of two CSs, and Group C consisted of 140 women with more than two prior CSs. Results: Niches were identified in 23.8% of the participants via TVS. The highest incidence was observed in women with more than two previous CSs (31.2%, 39/125), followed by those with two prior CSs (24.4%, 30/123), and the lowest was among women with one previous CS (16.3%, 22/135). Of the 91 women diagnosed with a CS niche, only 23 (25.27%) reported symptoms—most commonly postmenstrual spotting (7.7%) and dyspareunia (8.8%). Conclusions: The findings indicate that multiple cesarean deliveries, the uterine positioning (as assessed via TVS), a postpartum fever, breastfeeding, low post-cesarean platelet counts, and maternal anemia are contributing factors to the development of cesarean scar niches. Full article
(This article belongs to the Special Issue Recent Advances in Gynecological Surgery)
Show Figures

Figure 1

13 pages, 12940 KB  
Case Report
Uterine Arteriovenous Malformation Presenting with Amenorrhea—A Rare Case Report and Literature Review
by Hanna Gruber, Dirk O. Bauerschlag, Chie-Hee Cho, Aimée B. Herzog, Ibrahim Alkatout and Melanie Schubert
Reports 2025, 8(3), 161; https://doi.org/10.3390/reports8030161 - 1 Sep 2025
Viewed by 1875
Abstract
Background and Clinical Significance: Uterine arteriovenous malformation (AVM) is a rare but potentially life-threatening condition due to the risk of severe acute hemorrhage. Unlike AVMs in other anatomical locations, which are predominantly congenital, uterine AVMs are often acquired, typically developing after uterine procedures [...] Read more.
Background and Clinical Significance: Uterine arteriovenous malformation (AVM) is a rare but potentially life-threatening condition due to the risk of severe acute hemorrhage. Unlike AVMs in other anatomical locations, which are predominantly congenital, uterine AVMs are often acquired, typically developing after uterine procedures such as dilatation and curettage (D&C), cesarean section, or pregnancy-related events. Women commonly present with abnormal bleeding disorders. Case Presentation: We are presenting the case of a 41-year-old Caucasian woman with secondary amenorrhea three months after vacuum curettage in the 7th week of pregnancy. Based on her clinical history and the findings on transvaginal sonography (TVS), uterine AVM was highly suspected. Contrast-enhanced magnetic resonance imaging (MRI) confirmed the diagnosis. The patient underwent successful embolization of the left uterine artery. Follow-up examinations demonstrated complete resolution of the vascular malformation, and regular menstrual cycles resumed during her recovery. With the increasing frequency of uterine surgical interventions, the incidence of uterine AVMs is also expected to rise. The clinical impact is significant when fertility preservation and family planning are still ongoing. To the best of our knowledge, this is the first reported case in which amenorrhea is the primary presenting symptom of a uterine AVM. Conclusions: Given the high risk of life-threatening hemorrhage associated with undetected or incorrectly treated AVMs, their presence must always be carefully ruled out in case of bleeding disorders after pregnancy or uterine surgery. Accurate diagnosis prior to any further intrauterine interventions, such as curettage, is crucial to prevent severe complications and ensure appropriate management. In order to avoid life-threatening complications, the possibility of uterine AVM should be considered in the differential diagnosis even in the presence of amenorrhea. The proposed diagnosis and treatment algorithm for uterine AVMs can help avoid misdiagnosis. Full article
(This article belongs to the Section Obstetrics/Gynaecology)
Show Figures

Figure 1

17 pages, 5672 KB  
Article
The Effect of Dienogest on Deep Endometriosis Nodules Involving the Recto-Sigmoid Colon: A Prospective Longitudinal Long-Term Study
by Carlos Andrés Contreras, Ignacio Brunel, Mónica Restrepo, Claudia Patricia Franco, María Clara Soto, José Carlos Vilches, Rodrigo Orozco, Stefano Guerriero and Juan Luis Alcázar
J. Clin. Med. 2025, 14(14), 5164; https://doi.org/10.3390/jcm14145164 - 21 Jul 2025
Viewed by 2291
Abstract
Objective: To assess the long-term effects of Dienogest on clinical complaints and nodule sizes in women affected by recto-sigmoid deep endometriosis (DE). Methods: This was a single-center longitudinal prospective observational study comprising a consecutive series of women affected by recto-sigmoid DE, who underwent [...] Read more.
Objective: To assess the long-term effects of Dienogest on clinical complaints and nodule sizes in women affected by recto-sigmoid deep endometriosis (DE). Methods: This was a single-center longitudinal prospective observational study comprising a consecutive series of women affected by recto-sigmoid DE, who underwent medical treatment with Dienogest (2 mg daily continuous). All women underwent clinical visits and transvaginal sonography (TVS) with bowel preparation prior to starting therapy and at 3–6-month intervals for at least 12 months. Clinical complaints such as dysmenorrhea, dyspareunia and dyschezia were assessed using a visual analog scale (VAS). The DE recto-sigmoid lesion was measured in the three orthogonal planes. The lesion’s volume was estimated using the prolate ellipsoid formula. The maximum diameter and lesion volume were used for analysis. Patients’ complaints and lesion sizes before starting the treatment and at final follow-up were compared. Results: From January 2017 to July 2020, 125 patients were consecutively recruited (mean age: 37 years, ranging from 20 to 50 years). The median follow-up period was 47.8 months (range: 12–74 months). We did not observe a significant correlation between the severity of the symptoms and the lesion size prior to starting therapy. Clinical complaints improved significantly during treatment (88% of women were symptomatic at initial visit, versus 53% at final follow-up, p < 0.001). The median lesion volume significantly decreased (median initial volume vs. final volume: 1.1 mL vs. 0.9 mL, p = 0.017). However, the median maximum lesion diameter did not change significantly (26.0 mm vs. 25.0 mm, p = 0.779). Conclusions: Long-term Dienogest therapy significantly relieves clinical symptoms related to recto-sigmoid DE. This is accompanied by a significant reduction in the lesion volume but not the maximum lesion diameter. Full article
(This article belongs to the Special Issue Challenges in Reproductive Health)
Show Figures

Figure 1

5 pages, 7671 KB  
Interesting Images
Intrauterine Adhesion-Induced Septated Amniotic Cavity: Ultrasonographic Findings in Second and Third Trimesters
by Jo-Ting Huang, Yu-Ming Chen, Ching-Chang Tsai, Hsin-Hsin Cheng, Yun-Ju Lai, Pei-Fang Lee, Te-Yao Hsu and Kun-Long Huang
Diagnostics 2024, 14(24), 2826; https://doi.org/10.3390/diagnostics14242826 - 16 Dec 2024
Viewed by 1974
Abstract
A 40-year-old woman who had obstetric history of one vaginal delivery and two surgical abortions to terminate early pregnancy received regular prenatal care without any systemic maternal diseases. During the detailed second trimester ultrasound, a homogenous adhesion-induced pseudocystic lesion of 8.6 × 7.4 [...] Read more.
A 40-year-old woman who had obstetric history of one vaginal delivery and two surgical abortions to terminate early pregnancy received regular prenatal care without any systemic maternal diseases. During the detailed second trimester ultrasound, a homogenous adhesion-induced pseudocystic lesion of 8.6 × 7.4 cm was found between the inlet of the endocervix and the uterine cavity in the lower segment of the uterus. There was a clear septum with an inlet of about 2.6 cm near the right lower segment of the uterus. Transvaginal sonography showed a cervical length of 3.29 cm without dilatation. No gross fetal anomalies were found. Sometimes, the fetal head or limbs moved into this cystic space. At 36 3/7 weeks of gestation, a cesarean section was arranged for fetal breech presentation and pre-labor rupture of the membrane. After the delivery of the baby and its placenta, there was no obvious septum in the uterine cavity but only a very short fibrous tissue from the posterior wall of uterus, which could be destroyed when the baby was delivered. No adverse outcomes for the mother or the neonate were observed. Full article
(This article belongs to the Special Issue Imaging for the Diagnosis of Obstetric and Gynecological Diseases)
Show Figures

Figure 1

15 pages, 3218 KB  
Article
Relationship Between Ultrasound Diagnosis, Symptoms and Pain Scale Score on Examination in Patients with Uterosacral Ligament Endometriosis
by Shae Maple, Eva Bezak, K. Jane Chalmers and Nayana Parange
J. Clin. Med. 2024, 13(22), 6901; https://doi.org/10.3390/jcm13226901 - 16 Nov 2024
Cited by 1 | Viewed by 2143
Abstract
Background/Objectives: This study investigated patient pain descriptors for transvaginal ultrasound (TVS) diagnostic evaluation of endometriosis for uterosacral ligaments (USLs), including correlation between USL thickness and site-specific tenderness (SST). It further investigated if SST could positively assist diagnosing endometriosis on TVS. Methods: TVS images [...] Read more.
Background/Objectives: This study investigated patient pain descriptors for transvaginal ultrasound (TVS) diagnostic evaluation of endometriosis for uterosacral ligaments (USLs), including correlation between USL thickness and site-specific tenderness (SST). It further investigated if SST could positively assist diagnosing endometriosis on TVS. Methods: TVS images and SST pain descriptors were collected from 42 patients. SST was evaluated by applying sonopalpation during TVS. The images were presented to six observers for diagnosis based on established USL criteria. Following this, they were given the SST pain scores and asked to reevaluate their diagnosis to assess if the pain scores impacted their decision. Results: An independent t-test showed that the patients with an endometriosis history had higher pain scores overall (7.2 ± 0.59) compared to the patients with no history (0.34 ± 0.12), t (40) = 8.8673. Spearman’s correlation showed a strong correlation to the pain scale score for clinical symptoms (r = 0.74), endometriosis diagnosis (r = 0.78), USL thickness (r = 0.74), and when USL nodules were identified (r = 0.70). Paired t-tests showed that the observers demonstrated a higher ability to correctly identify endometriosis with the pain scale information (33 ± 8.83) as opposed to not having this information (29.67 ± 6.31), which was a statistically significant change of 3.33, t (5) = 2.7735. Conclusions: Patients with an endometriosis history have significantly higher pain scores on TVS compared to patients with no endometriosis history. A strong correlation was shown between SST pain scores and patient symptoms, USL thickness, and USL nodules. Inclusion of SST alongside TVS imaging shows promise, with these results demonstrating a higher ability to diagnose endometriosis with additional SST pain scale information. Full article
Show Figures

Figure 1

14 pages, 7557 KB  
Article
Concordance between Preoperative #ENZIANi Score and Postoperative #ENZIANs Score Classification—Why Do We Choose #ENZIAN and How Does It Impact the Future Classification Trend?
by Zofia Borowiec, Maja Mrugała, Krzysztof Nowak, Wiktor Bek and Ewa Milnerowicz-Nabzdyk
J. Clin. Med. 2024, 13(19), 6005; https://doi.org/10.3390/jcm13196005 - 9 Oct 2024
Cited by 1 | Viewed by 1880
Abstract
Objectives: To assess the concordance of the preoperative application of the #ENZIAN classification (#ENZIANi) with the postoperative result (#ENZIANs) using surgical findings as the reference standard. Methods: This retrospective study included 282 consecutive patients with deep endometriosis undergoing surgical treatment. Preoperative assessment with [...] Read more.
Objectives: To assess the concordance of the preoperative application of the #ENZIAN classification (#ENZIANi) with the postoperative result (#ENZIANs) using surgical findings as the reference standard. Methods: This retrospective study included 282 consecutive patients with deep endometriosis undergoing surgical treatment. Preoperative assessment with transvaginal sonography and magnetic resonance imaging was compared with postoperative assessment. Concordance and diagnostic test evaluation were calculated. Results: The highest concordance was observed in the F (abdominal wall endometriosis) with k Cohen of 0.837, following the values for pelvic locations, with 0.795 for T left, 0.791 for T right, 0.776 for F (adenomyosis), 0.766 for C (rectum), and 0.75 and 0.72 for O right k and O left, respectively. The highest sensitivity was demonstrated for the P compartment *(98%), T compartment (both sides 97%), and A, B, C (94–96%), corresponding with deep endometriosis. Conclusions: Preoperative assessment using TVS/TAS + MRI with the ENZIANi score correlates well with the ENZIANs postoperative score and demonstrates good concordance in the detection and localization of deep endometriosis, thereby minimizing false negative results and ensuring accurate preoperative staging. The ENZIAN classification is well-suited to surgeon needs and benefits from continuous development. Future improvements, such as adding the expanded C module, may be considered in the next edition. Full article
(This article belongs to the Special Issue Prevention and Treatment for Pelvic and Relative Diseases)
Show Figures

Figure 1

12 pages, 1293 KB  
Article
Comparison of Day-Specific Serum LH, Estradiol, and Progesterone with MiraTM Monitor Urinary LH, Estrone-3-glucuronide, and Pregnanediol-3-glucuronide Levels in Ovulatory Cycles
by Stephen J. Usala, David D. Vineyard, Maria Kastis, A. Alexandre Trindade and Harvinder Singh Gill
Medicina 2024, 60(8), 1207; https://doi.org/10.3390/medicina60081207 - 26 Jul 2024
Cited by 2 | Viewed by 10958
Abstract
Background and Objectives: Fertility tracking apps and devices are now currently available, but urinary hormone levels lack accuracy and sensitivity in timing the start of the 6-day fertile window and the precise 24 h interval of transition from ovulation to the luteal [...] Read more.
Background and Objectives: Fertility tracking apps and devices are now currently available, but urinary hormone levels lack accuracy and sensitivity in timing the start of the 6-day fertile window and the precise 24 h interval of transition from ovulation to the luteal phase. We hypothesized the serum hormones estradiol (E2) and progesterone (P) might be better biomarkers for these major ovulatory cycle events, using appropriate mathematical tools. Materials and Methods: Four women provided daily blood samples for serum E2, P, and LH (luteinizing hormone) levels throughout their entire ovulatory cycles, which were indexed to the first day of dominant follicle (DF) collapse (defined as Day 0) determined by transvaginal sonography; therefore, ovulation occurred in the 24 h interval of Day −1 (last day of maximum diameter DF) to Day 0. For comparison, a MiraTM fertility monitor was used to measure daily morning urinary LH (ULH), estrone-3-glucuronide (E3G), and pregnanediol-3-glucuronide (PDG) levels in three of these cycles. Results: There were more fluctuations in the MiraTM hormone levels compared to the serum levels. Previously described methods, the Fertility Indicator Equation (FIE) and Area Under the Curve (AUC) algorithm, were tested for identifying the start of the fertile window and the ovulation/luteal transition point using the day-specific hormone levels. The FIE with E2 levels predicted the start of the 6-day fertile window on Day −7 (two cycles) and Day −5 (two cycles), whereas no identifying signal was found with E3G. However, both pairs of (E2, P) and (E3G, PDG) levels with the AUC algorithm signaled the Day −1 to Day 0 ovulation/luteal transition interval in all cycles. Conclusions: serum E2 and (E2, P) were better biomarkers for signaling the start of the 6-day fertile window, but both MiraTM and serum hormone levels were successful in timing the [Day −1, Day 0] ovulatory/luteal transition interval. These results can presently be applied to urinary hormone monitors for fertility tracking and have implications for the direction of future fertility tracking technology. Full article
(This article belongs to the Section Obstetrics and Gynecology)
Show Figures

Figure 1

8 pages, 2717 KB  
Article
Caesarean Section Scar and Placental Location at the First Trimester of Pregnancy—A Prospective Longitudinal Study
by Egle Savukyne, Mindaugas Kliucinskas, Laura Malakauskiene and Kristina Berskiene
Medicina 2024, 60(5), 719; https://doi.org/10.3390/medicina60050719 - 26 Apr 2024
Viewed by 2767
Abstract
Background and Objectives: This study aims to report the location of the placenta in the first trimester of pregnancy in groups of women according to the number of previous caesarean deliveries and the visibility of the caesarean scar niche. Materials and Methods: [...] Read more.
Background and Objectives: This study aims to report the location of the placenta in the first trimester of pregnancy in groups of women according to the number of previous caesarean deliveries and the visibility of the caesarean scar niche. Materials and Methods: The prospective observational research included adult women aged 18 to 41 years during pregnancy after one or more previous caesarean sections (CSs). Transvaginal (TVS) and transabdominal sonography (TAS) was used to examine the uterine scar and placental location during 11–14 weeks. The CS scar niche (“defect”) was bordered in the sagittal plane as a notch at the previous CS scar’s site with a depth of 2.0 mm or more. A comparative analysis of the placental location (high or low and anterior or posterior) was performed between groups of women according to the CS number and the CS scar niche. Results: A total of 122 participants were enrolled during the first-trimester screening. The CS scar defect (“niche”) was visible in 40.2% of cases. In cases after one previous CS, the placenta was low in the uterine cavity (anterior or posterior) at 77.4%, and after two or more CSs, it was at 67.9%. Comparing the two groups according to the CS scar niche, the placenta was low in 75.5% of cases in the participant group with a CS scar niche and in 75% of cases without a CS scar niche (p = 0.949). Conclusions: The number of previous caesarean deliveries has no effect on the incidence rate of low-lying placentas in the first trimester. Moreover, the presence of the CS scar niche is not associated with anterior low-lying placentas. Full article
(This article belongs to the Section Obstetrics and Gynecology)
Show Figures

Figure 1

7 pages, 4059 KB  
Case Report
Minimally Invasive Management and Diagnosis of Ectopic Splenic Pregnancy
by Vestina Strakšytė, Rūta Mikšytė, Ugnė Kulnickaitė and Simas Gudelevičius
Medicina 2024, 60(3), 470; https://doi.org/10.3390/medicina60030470 - 13 Mar 2024
Cited by 2 | Viewed by 2436
Abstract
This report describes the case of a 32-year-old woman with ectopic pregnancy in the spleen, which was complicated by active bleeding. The patient complained of intermittent pain in her left side and lower abdomen that lasted several days. The serum beta-human chorionic gonadotropin [...] Read more.
This report describes the case of a 32-year-old woman with ectopic pregnancy in the spleen, which was complicated by active bleeding. The patient complained of intermittent pain in her left side and lower abdomen that lasted several days. The serum beta-human chorionic gonadotropin (β-hCG) was increased, but no intrauterine gestational sac was found via transvaginal sonography. A computed tomography (CT) examination revealed the presence of a heterogeneous structure in the left peritoneal cavity, inferior to the spleen; signs of active extravasation; and a large amount of hemorrhagic fluid in the pelvis. An angiography examination also showed slow active extravasation from a small artery that branches off at the lower pole of the spleen. Coil embolization was performed. Splenic ectopic pregnancy can be managed by minimally invasive methods in carefully selected patients. Full article
(This article belongs to the Special Issue New Insights in Bleeding: From Diagnosis to Therapy)
Show Figures

Figure 1

15 pages, 2561 KB  
Article
Transvaginal Ultrasound vs. Magnetic Resonance Imaging: What Is the Optimal Imaging Modality for the Diagnosis of Endometriosis?
by Alexandra Irma Gabriela Baușic, Daniela Roxana Matasariu, Andrei Manu and Elvira Brătilă
Biomedicines 2023, 11(10), 2609; https://doi.org/10.3390/biomedicines11102609 - 23 Sep 2023
Cited by 7 | Viewed by 7908
Abstract
Endometriosis, an intriguing gynecological illness, poses a substantial health concern for women of reproductive age, despite its widespread occurrence and limited comprehension. The objective of this study is to assess the diagnostic precision of transvaginal sonography (TVS) and pelvic magnetic resonance imaging (MRI) [...] Read more.
Endometriosis, an intriguing gynecological illness, poses a substantial health concern for women of reproductive age, despite its widespread occurrence and limited comprehension. The objective of this study is to assess the diagnostic precision of transvaginal sonography (TVS) and pelvic magnetic resonance imaging (MRI) for the identification of deep infiltrated endometriosis (DIE). This study encompassed a cohort of 256 patients exhibiting signs and symptoms of endometriosis, with the aim of assessing the diagnostic accuracy over a span of four years. Both TVS and pelvic MRI were employed in the same centers to analyze each subject. The histopathologic analysis and laparoscopy were the most reliable and widely accepted methods for evaluation. TVS is a reliable diagnostic tool for ovarian endometriomas, obviating the necessity for MRI confirmation. The specificity of TVS in diagnosing ovarian endometriomas is 57.14%, while its sensitivity is 93.78%, resulting in an overall accuracy of 84.47%. In relation to parametrial lesions, the sensitivity, specificity, and accuracy of TVS and MRI were as follows: TVS: 9%, 97%, 32%, MRI: 27.14%, 89.19%, and 40.11%. Concerning the uterosacral lesions, the sensitivity, specificity, and accuracy of TVS and MRI were as follows: TVS:14.63%, 94.74%, and 55%, while MRI: 65.88%, 66.30%, and 66.1%. Regarding rectal endometriosis, the sensitivity, specificity, and accuracy of TVS and MRI were as follows: 69.72%, 76.87%, and 73.82% for TVS, and 66.28%, 94.51%, and 80.79% for MRI. The results of the present study indicate that whereas MRI generally exhibits superior capability in assessing the severity of endometriosis, TVS demonstrates sufficient diagnostic accuracy in DIE comparable to MRI. Full article
Show Figures

Figure 1

13 pages, 12017 KB  
Article
The Utility of Rectal Water Contrast Transvaginal Ultrasound for Assessment of Deep Bowel Endometriosis
by Martyna Masternak, Malwina Grabczak, Tomasz Szaflik, Beata Mroczkowska, Łukasz Mokros, Beata Smolarz, Hanna Romanowicz and Krzysztof Szyłło
Life 2023, 13(5), 1151; https://doi.org/10.3390/life13051151 - 10 May 2023
Viewed by 5265
Abstract
Deep infiltrating endometriosis (DIE) is characterized by the presence of endometrial tissue outside the uterine cavity that infiltrates at least 5-mm deep below the peritoneal layer. Imagining examinations are the first-choice methods to detect DIE. The aim of this study is to assess [...] Read more.
Deep infiltrating endometriosis (DIE) is characterized by the presence of endometrial tissue outside the uterine cavity that infiltrates at least 5-mm deep below the peritoneal layer. Imagining examinations are the first-choice methods to detect DIE. The aim of this study is to assess whether rectal water contrast transvaginal sonography (RWC-TVS) can be a useful tool for the estimation of the size of deep bowel endometriotic nodules. This retrospective study includes 31 patients subjected to RWC-TVS who underwent surgery due to deep bowel endometriosis between January 2021 and December 2022. Nodule dimensions measured via ultrasound were compared to those of histopathological samples taken after surgery. In total, 52% of patients had endometriosis limited only to the intestines, 19% had endometriotic nodules located at uterosacral ligaments and posterior vaginal fornix, 6% at the anterior compartment, and 13% at a different location. Additionally, 6% of patients had nodules at more than two locations. In all but one case, the intestinal nodules could be seen on RWC-TVS images. The largest nodule dimension measured via RWC-TVS and the size of the equivalent histopathological sample correlated (R = 0.406, p = 0.03). Thus, RWC-TVS allows for the detection of DIE and moderate estimation of the nodule sizes and should be practiced during a diagnostic process. Full article
Show Figures

Figure 1

14 pages, 2089 KB  
Review
Transvaginal Ultrasound Accuracy in the Hydrosalpinx Diagnosis: A Systematic Review and Meta-Analysis
by Aina Delgado-Morell, Mar Nieto-Tous, Cristina Andrada-Ripollés, Maria Ángela Pascual, Silvia Ajossa, Stefano Guerriero and Juan Luis Alcázar
Diagnostics 2023, 13(5), 948; https://doi.org/10.3390/diagnostics13050948 - 2 Mar 2023
Cited by 5 | Viewed by 4028
Abstract
Hydrosalpinx is a condition with a crucial prognostic role in reproduction, and its diagnosis by a non-invasive technique such as ultrasound is key in achieving an adequate reproductive assessment while avoiding unnecessary laparoscopies. The aim of the present systematic review and meta-analysis is [...] Read more.
Hydrosalpinx is a condition with a crucial prognostic role in reproduction, and its diagnosis by a non-invasive technique such as ultrasound is key in achieving an adequate reproductive assessment while avoiding unnecessary laparoscopies. The aim of the present systematic review and meta-analysis is to synthetize and report the current evidence on transvaginal sonography (TVS) accuracy to diagnose hydrosalpinx. Articles on the topic published between January 1990 and December 2022 were searched in five electronic databases. Data from the six selected studies, comprising 4144 adnexal masses in 3974 women, 118 of which were hydrosalpinxes, were analyzed as follows: overall, TVS had a pooled estimated sensitivity for hydrosalpinx of 84% (95% confidence interval (CI) = 76–89%), specificity of 99% (95% CI = 98–100%), positive likelihood ratio of 80.7 (95% CI = 33.7–193.0), and negative likelihood ratio of 0.16 (95% CI = 0.11–0.25) and DOR of 496 (95% CI = 178–1381). The mean prevalence of hydrosalpinx was 4%. The quality of the studies and their risk of bias were assessed using QUADAS-2, evidencing an overall acceptable quality of the selected articles. We concluded that TVS has a good specificity and sensitivity for diagnosing hydrosalpinx. Full article
(This article belongs to the Special Issue Imaging of Gynecological Disease 2.0)
Show Figures

Figure 1

14 pages, 1090 KB  
Review
Clinical Diagnosis and Early Medical Management for Endometriosis: Consensus from Asian Expert Group
by Mee-Ran Kim, Charles Chapron, Thomas Römer, Angela Aguilar, Amphan Chalermchockcharoenkit, Siddharta Chatterjee, Le Thi Anh Dao, Yoke Fai Fong, Hendy Hendarto, Syarief Taufik Hidayat, Su Yen Khong, Li Ma, Pratap Kumar, Relly Yanuari Primariawan, Anthony Siow, Areepan Sophonsritsuk, Ramani Devi Thirunavukarasu, Bui Chi Thuong and Chih-Feng Yen
Healthcare 2022, 10(12), 2515; https://doi.org/10.3390/healthcare10122515 - 12 Dec 2022
Cited by 25 | Viewed by 12180
Abstract
This work provides consensus guidance regarding clinical diagnosis and early medical management of endometriosis within Asia. Clinicians with expertise in endometriosis critically evaluated available evidence on clinical diagnosis and early medical management and their applicability to current clinical practices. Clinical diagnosis should focus [...] Read more.
This work provides consensus guidance regarding clinical diagnosis and early medical management of endometriosis within Asia. Clinicians with expertise in endometriosis critically evaluated available evidence on clinical diagnosis and early medical management and their applicability to current clinical practices. Clinical diagnosis should focus on symptom recognition, which can be presumed to be endometriosis without laparoscopic confirmation. Transvaginal sonography can be appropriate for diagnosing pelvic endometriosis in select patients. For early empiric treatment, management of women with clinical presentation suggestive of endometriosis should be individualized and consider presentation and therapeutic need. Medical treatment is recommended to reduce endometriosis-associated pelvic pain for patients with no immediate pregnancy desires. Hormonal treatment can be considered for pelvic pain with a clinical endometriosis diagnosis; progestins are a first-line management option for early medical treatment, with oral progestin-based therapies generally a better option compared with combined oral contraceptives because of their safety profile. Dienogest can be used long-term if needed and a larger evidence base supports dienogest use compared with gonadotropin-releasing hormone agonists (GnRHa) as first-line medical therapy. GnRHa may be considered for first-line therapy in some specific situations or as short-term therapy before dienogest and non-steroidal anti-inflammatory drugs as add-on therapy for endometriosis-associated pelvic pain. Full article
(This article belongs to the Section Women’s and Children’s Health)
Show Figures

Figure 1

Back to TopTop