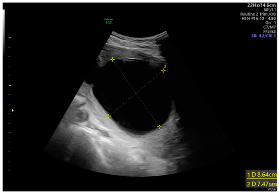
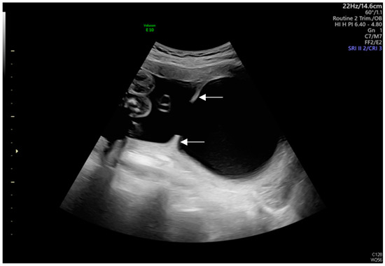
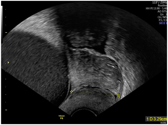
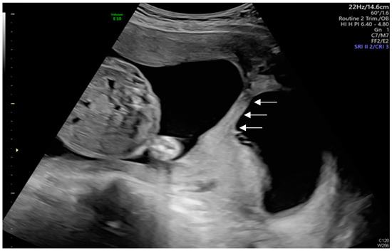
Intrauterine Adhesion-Induced Septated Amniotic Cavity: Ultrasonographic Findings in Second and Third Trimesters
Abstract






Author Contributions
Funding
Institutional Review Board Statement
Informed Consent Statement
Acknowledgments
Conflicts of Interest
References
- Chau, O.S.Y.; Law, T.S.M.; Ng, K.; Li, T.C.; Chung, J.P.W. Five-year retrospective review of ultrasound-guided manual vacuum aspiration for first-trimester miscarriage. Hong Kong Med. J. 2023, 29, 233–239. [Google Scholar] [CrossRef] [PubMed]
- Schäffler, H.; Dimpfl, M.; Schochter, F.; Janni, W.; de Gregorio, N. Curative Polyendocrine Therapy in a 21-year-Old Patient with Endometrial Carcinoma: Case Report and Review of the Literature. Oncol. Res. Treat. 2023, 46, 330–335. [Google Scholar] [CrossRef] [PubMed]
- Yang, S.T.; Chang, W.H.; Chao, W.T.; Lai, T.J.; Lin, W.L.; Lim, H.C.; Liu, C.H.; Wang, P.H. The timing of intravenous oxytocin administration is crucial to minimize perioperative blood loss during first-trimester suction curettage for missed abortion. J. Chin. Med. Assoc. 2022, 85, 1061–1067. [Google Scholar] [CrossRef] [PubMed]
- Ben-Baruch, G.; Menczer, J.; Shalev, J.; Romem, Y.; Serr, D.M. Uterine perforation during curettage: Perforation rates and postperforation management. Isr. J. Med. Sci. 1980, 16, 821–824. [Google Scholar]
- American College of Obstetricians and Gynecologists. ACOG Practice Bulletin No. 195: Prevention of Infection After Gynecologic Procedures. Obstet. Gynecol. 2018, 131, e172–e189. [Google Scholar] [CrossRef] [PubMed]
- March, C.M. Intrauterine adhesions. Obstet. Gynecol. Clin. N. Am. 1995, 22, 491–505. [Google Scholar] [CrossRef]
- Wang, P.H.; Yang, S.T.; Chang, W.H.; Liu, C.H.; Liu, H.H.; Lee, W.L. Intrauterine adhesion. Taiwan J. Obstet. Gynecol. 2024, 63, 312–319. [Google Scholar] [CrossRef]
- Qiao, X.; Liu, D.; Liu, C.; Pei, T.; Ouyang, Y. Reproductive outcomes after hysteroscopic adhesiolysis in patients experiencing recurrent pregnancy loss and intrauterine adhesions. J. Minim. Invasive Gynecol. 2024, S1553-4650(24)00415-1, Advance online publication. [Google Scholar] [CrossRef] [PubMed]
- Rajiah, P.; Eastwood, K.L.; Gunn, M.L.D.; Dighe, M. Uterine diverticulum. Obstet. Gynecol. 2009, 113, 525–527. [Google Scholar] [CrossRef]
- Nishiuchi, K.; Uotani, K.; Kobayashi, D.; Ono, Y.; Yamasaki, Y.; Kashima, Y.; Nishijima, M.; Ueno, Y.; Imaoka, I.; Murakami, T. Uterine diverticulum mimicking endometriotic cyst of the ovary. Radiol. Case Rep. 2024, 19, 934–938. [Google Scholar] [CrossRef]
- Akashi, E.; Ishiguro, T.; Nonaka, T.; Kobayashi, A.; Takakuwa, K.; Enomoto, T. Enlarged uterine fibroid forming uterine diverticulum during pregnancy: A case report. BMC Pregnancy Childbirth 2021, 21, 34. [Google Scholar] [CrossRef]
- Kulshrestha, V.; Agarwal, N.; Kachhawa, G. Post-caesarean Niche (Isthmocele) in Uterine Scar: An Update. J. Obstet. Gynaecol. India 2020, 70, 440–446. [Google Scholar] [CrossRef] [PubMed]
- Chufal, S.; Thapliyal, N.; Gupta, M.; Pangtey, N. Huge uterine-cervical diverticulum mimicking as a cyst. Indian J. Pathol. Microbiol. 2012, 55, 372–374. [Google Scholar] [CrossRef] [PubMed]
- Noguchi, M.; Kitajima, M.; Abe, S.; Murakami, N.; Kitajima, Y.; Miura, K.; Masuzaki, H. Huge uterine fibroid arising from primary uterine cervical diverticulum: A case report and review of the literatures. J. Obstet. Gynaecol. 2019, 39, 1186–1187. [Google Scholar] [CrossRef] [PubMed]
- Sun, X.; Xue, M.; Xiao, S.; Wan, Y.; Wang, B. Uterine diverticulum complicating pregnancy diagnosed by ultrasound and uteroscopy. Int. J. Gynaecol. Obstet. 2010, 109, 247–248. [Google Scholar] [CrossRef]
- Umezaki, I.; Takagi, K.; Aiba, M.; Ohta, H. Uterine cervical diverticulum resembling a degenerated leiomyoma. Obstet. Gynecol. 2004, 103, 1130–1133. [Google Scholar] [CrossRef]
- Macdonald, R.; Smith, P.; Vyas, S. Cervical incompetence: The use of transvaginal sonography to provide an objective diagnosis. Ultrasound Obstet. Gynecol. 2001, 18, 211–216. [Google Scholar] [CrossRef] [PubMed]
- Stolz, L.A.; Amini, R.; Situ-LaCasse, E.H.; Shareef, F.; Reed, H.A.; Adhikari, S. Cervical Funneling: Potential Pitfall of Point-of-Care Pelvic Ultrasound. Cureus 2017, 9, e1649. [Google Scholar] [CrossRef] [PubMed]
- Rozenberg, P.; Gillet, A.; Ville, Y. Transvaginal sonographic examination of the cervix in asymptomatic pregnant women: Review of the literature. Ultrasound Obstet. Gynecol. 2002, 19, 302–311. [Google Scholar] [CrossRef]
Disclaimer/Publisher’s Note: The statements, opinions and data contained in all publications are solely those of the individual author(s) and contributor(s) and not of MDPI and/or the editor(s). MDPI and/or the editor(s) disclaim responsibility for any injury to people or property resulting from any ideas, methods, instructions or products referred to in the content. |
© 2024 by the authors. Licensee MDPI, Basel, Switzerland. This article is an open access article distributed under the terms and conditions of the Creative Commons Attribution (CC BY) license (https://creativecommons.org/licenses/by/4.0/).
Share and Cite
Huang, J.-T.; Chen, Y.-M.; Tsai, C.-C.; Cheng, H.-H.; Lai, Y.-J.; Lee, P.-F.; Hsu, T.-Y.; Huang, K.-L. Intrauterine Adhesion-Induced Septated Amniotic Cavity: Ultrasonographic Findings in Second and Third Trimesters. Diagnostics 2024, 14, 2826. https://doi.org/10.3390/diagnostics14242826
Huang J-T, Chen Y-M, Tsai C-C, Cheng H-H, Lai Y-J, Lee P-F, Hsu T-Y, Huang K-L. Intrauterine Adhesion-Induced Septated Amniotic Cavity: Ultrasonographic Findings in Second and Third Trimesters. Diagnostics. 2024; 14(24):2826. https://doi.org/10.3390/diagnostics14242826
Chicago/Turabian StyleHuang, Jo-Ting, Yu-Ming Chen, Ching-Chang Tsai, Hsin-Hsin Cheng, Yun-Ju Lai, Pei-Fang Lee, Te-Yao Hsu, and Kun-Long Huang. 2024. "Intrauterine Adhesion-Induced Septated Amniotic Cavity: Ultrasonographic Findings in Second and Third Trimesters" Diagnostics 14, no. 24: 2826. https://doi.org/10.3390/diagnostics14242826
APA StyleHuang, J.-T., Chen, Y.-M., Tsai, C.-C., Cheng, H.-H., Lai, Y.-J., Lee, P.-F., Hsu, T.-Y., & Huang, K.-L. (2024). Intrauterine Adhesion-Induced Septated Amniotic Cavity: Ultrasonographic Findings in Second and Third Trimesters. Diagnostics, 14(24), 2826. https://doi.org/10.3390/diagnostics14242826

