The Utility of Rectal Water Contrast Transvaginal Ultrasound for Assessment of Deep Bowel Endometriosis
Abstract
1. Introduction
1.1. Pathophysiology
1.2. Localization
1.3. Symptoms
1.4. DIE and Infertility
1.5. Endometriosis as a Risk Factor
1.6. Diagnosis
1.7. Treatment
1.8. Classification
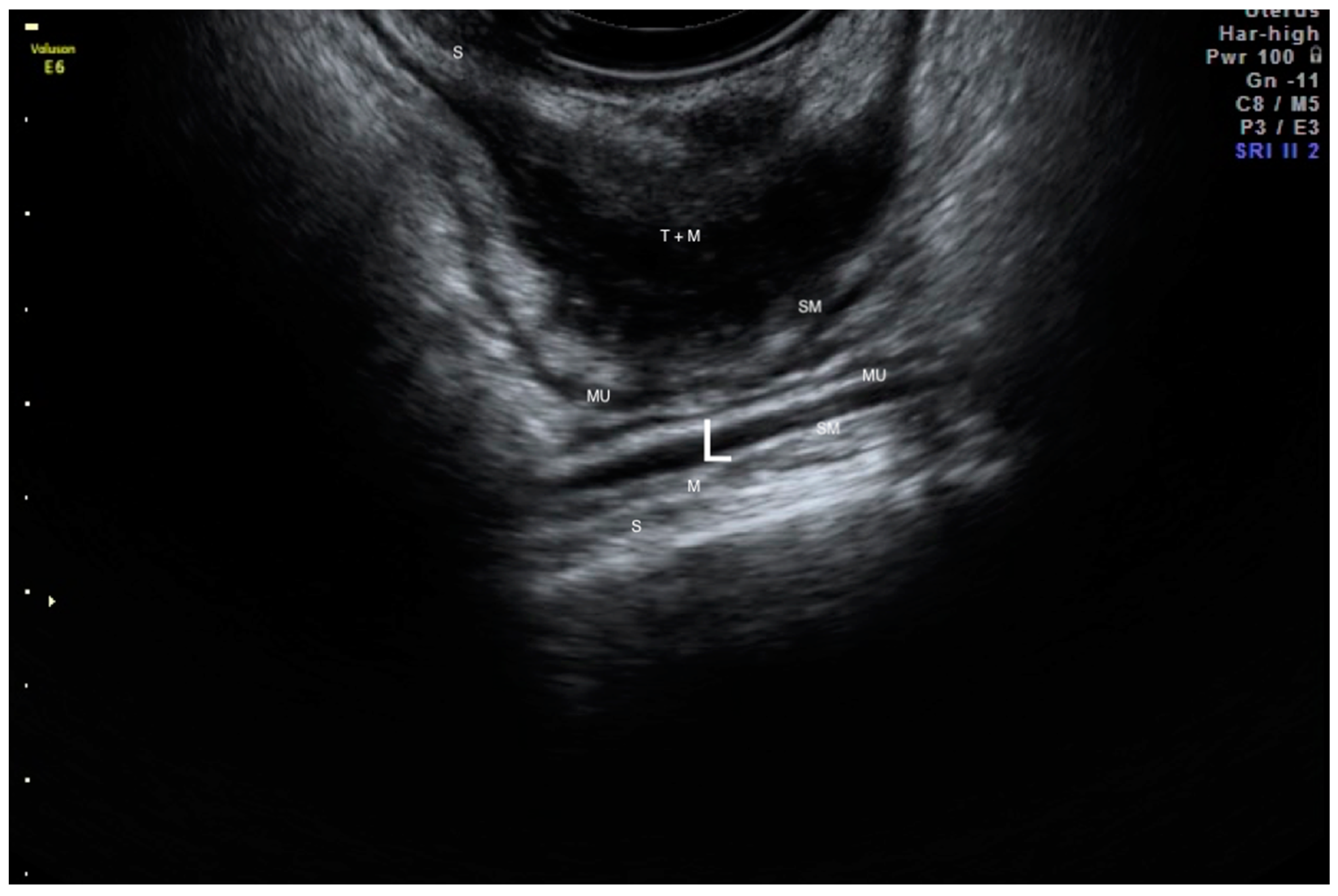
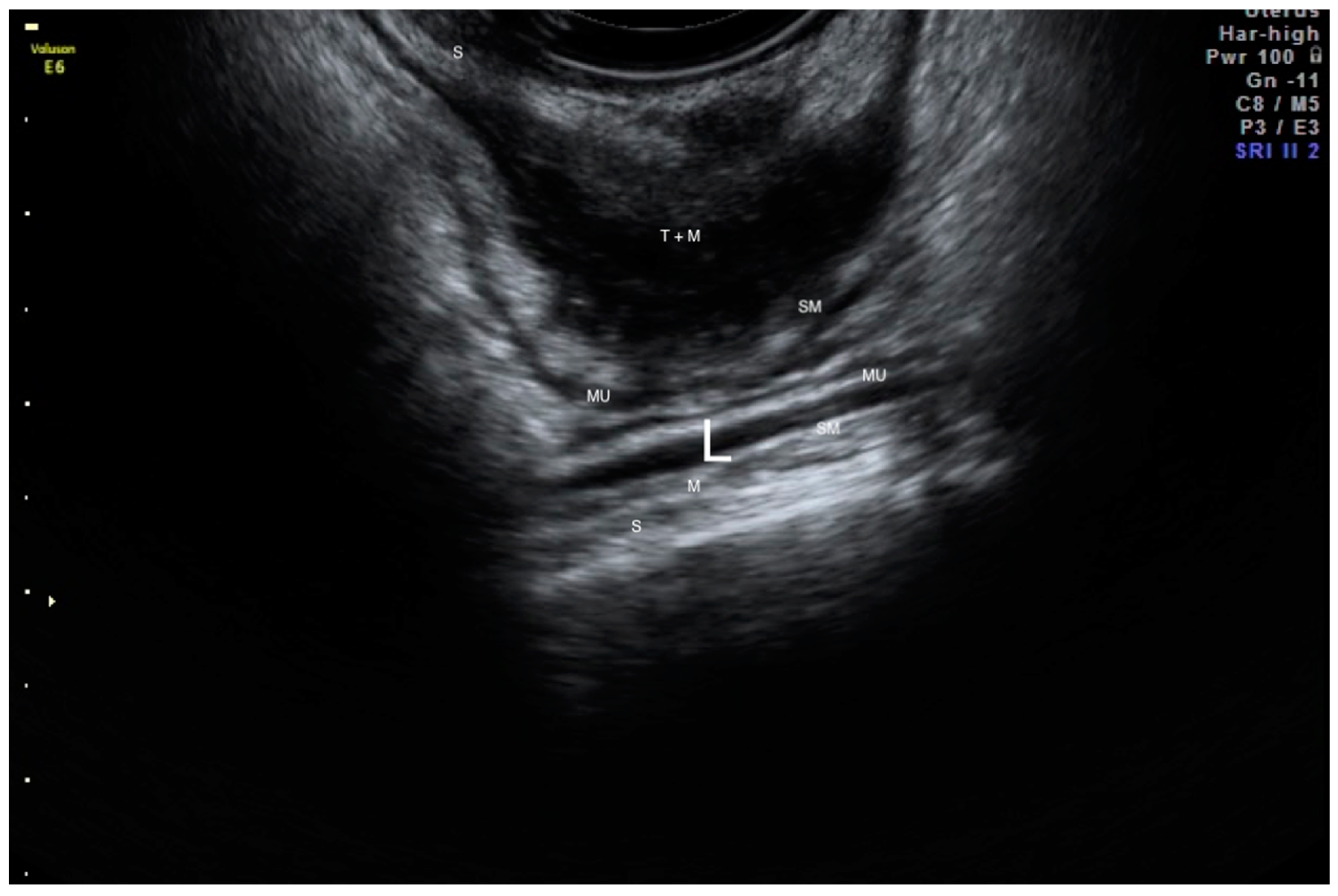
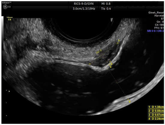
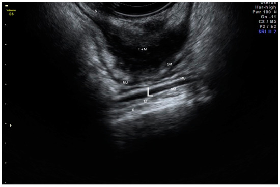
1.9. Rectal Water Contrast Transvaginal Sonography
2. Material and Methods
2.1. Source Data
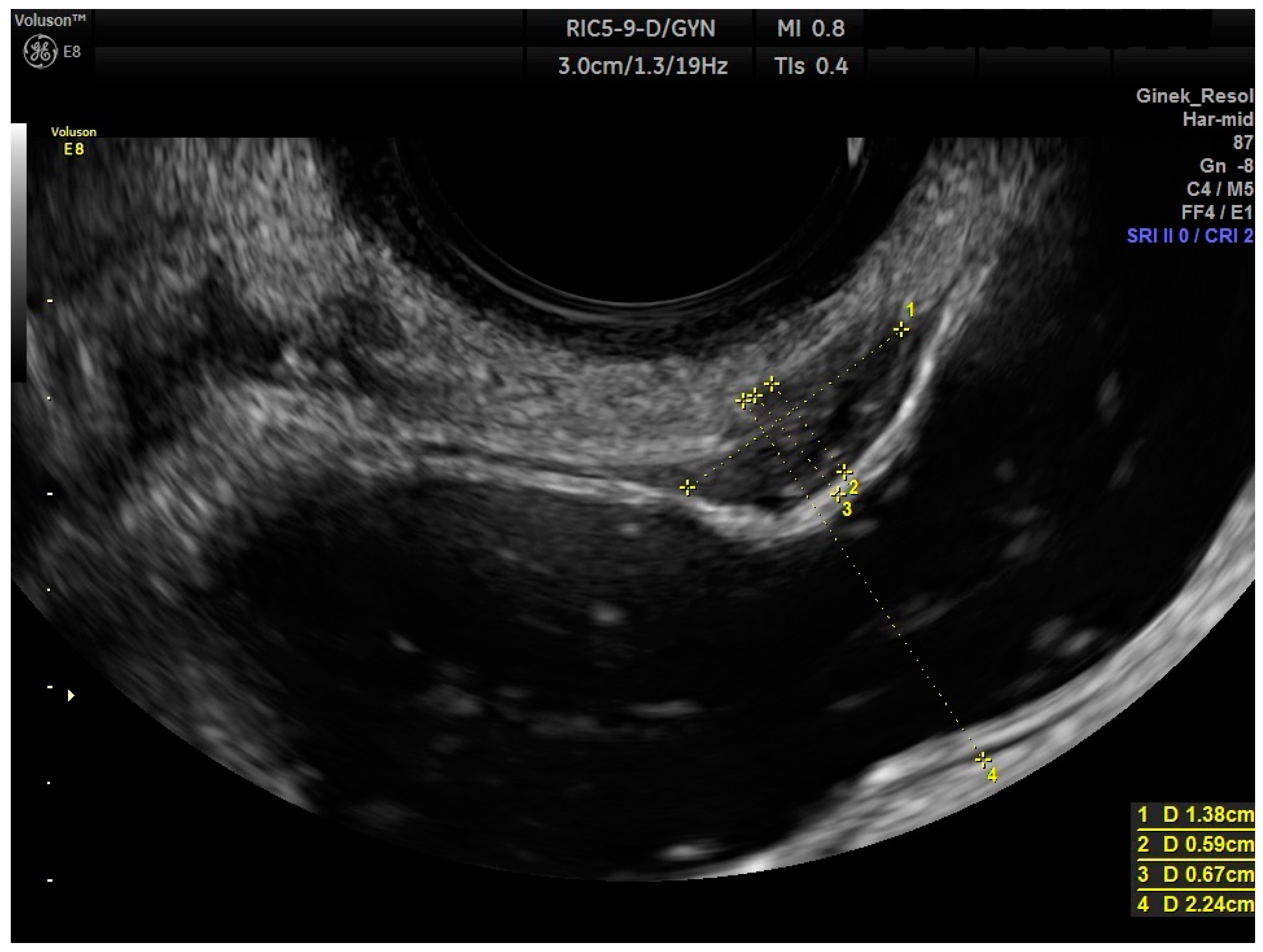
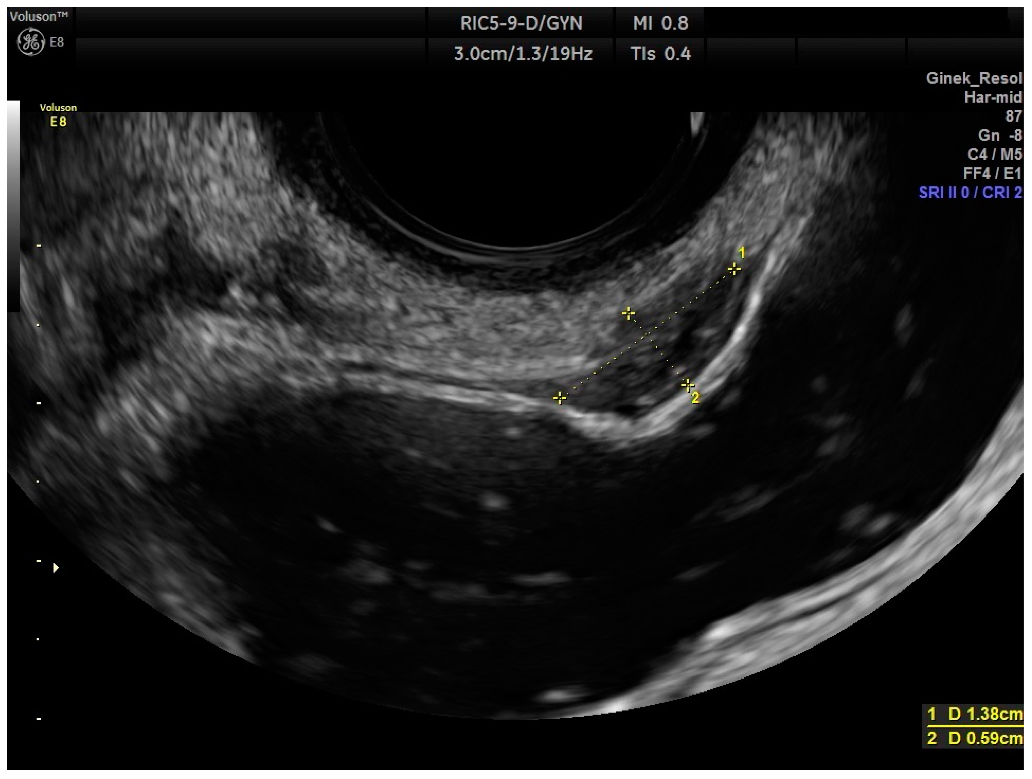
2.2. Ultrasound Measurements
2.3. Acquisition and Measurements of Histopathological Samples
2.4. Statistical Analysis
3. Results
4. Discussion
5. Conclusions
Author Contributions
Funding
Institutional Review Board Statement
Informed Consent Statement
Data Availability Statement
Conflicts of Interest
References
- Gordts, S.; Koninckx, P.; Brosens, I. Pathogenesis of Deep Endometriosis. Fertil. Steril. 2017, 108, 872–885.e1. [Google Scholar] [CrossRef]
- Nanda, A.; Thangapandi, K.; Banerjee, P.; Dutta, M.; Wangdi, T.; Sharma, P.; Chaudhury, K.; Jana, S.K. Cytokines, Angiogenesis, and Extracellular Matrix Degradation Are Augmented by Oxidative Stress in Endometriosis. Ann. Lab. Med. 2020, 40, 390–397. [Google Scholar] [CrossRef] [PubMed]
- Lin, Y.H.; Chen, Y.H.; Chang, H.Y.; Au, H.K.; Tzeng, C.R.; Huang, Y.H. Chronic Niche Inflammation in Endometriosis-Associated Infertility: Current Understanding and Future Therapeutic Strategies. Int. J. Mol. Sci. 2018, 19, 2385. [Google Scholar] [CrossRef] [PubMed]
- Koninckx, P.R.; Fernandes, R.; Ussia, A.; Schindler, L.; Wattiez, A.; Al-Suwaidi, S.; Amro, B.; Al-Maamari, B.; Hakim, Z.; Tahlak, M. Pathogenesis Based Diagnosis and Treatment of Endometriosis. Front. Endocrinol. 2021, 12, 745548. [Google Scholar] [CrossRef]
- Laganà, A.S.; Garzon, S.; Götte, M.; Viganò, P.; Franchi, M.; Ghezzi, F.; Martin, D.C. The Pathogenesis of Endometriosis: Molecular and Cell Biology Insights. Int. J. Mol. Sci. 2019, 20, 5615. [Google Scholar] [CrossRef] [PubMed]
- Janša, V.; Klančič, T.; Pušić, M.; Klein, M.; Vrtačnik Bokal, E.; Ban Frangež, H.; Rižner, T.L. Proteomic Analysis of Peritoneal Fluid Identified COMP and TGFBI as New Candidate Biomarkers for Endometriosis. Sci. Rep. 2021, 11, 20870. [Google Scholar] [CrossRef]
- Gruber, T.M.; Mechsner, S. Pathogenesis of Endometriosis: The Origin of Pain and Subfertility. Cells 2021, 10, 1381. [Google Scholar] [CrossRef]
- Bull, J.R.; Rowland, S.P.; Scherwitzl, E.B.; Scherwitzl, R.; Danielsson, K.G.; Harper, J. Real-World Menstrual Cycle Characteristics of More than 600,000 Menstrual Cycles. NPJ Digit. Med. 2019, 2, 83. [Google Scholar] [CrossRef]
- Hunter, R.H.F.; Cicinelli, E.; Einer-Jensen, N. Peritoneal Fluid as an Unrecognised Vector between Female Reproductive Tissues. Acta Obstet. Gynecol. Scand. 2007, 86, 260–265. [Google Scholar] [CrossRef]
- Taniguchi, T.; Tomita, H.; Kanayama, T.; Mogi, K.; Koya, Y.; Yamakita, Y.; Yoshihara, M.; Kajiyama, H.; Hara, A. Regulation of Mesothelial Cell Fate during Development and Human Diseases. Int. J. Mol. Sci. 2022, 23, 11960. [Google Scholar] [CrossRef]
- Symons, L.K.; Miller, J.E.; Kay, V.R.; Marks, R.M.; Liblik, K.; Koti, M.; Tayade, C. The Immunopathophysiology of Endometriosis. Trends Mol. Med. 2018, 24, 748–762. [Google Scholar] [CrossRef]
- Warzecha, D.; Załęcka, J.; Mańka, G.; Kiecka, M.; Lipa, M.; Spaczyński, R.; Piekarski, P.; Banaszewska, B.; Jakimiuk, A.; Issat, T.; et al. Plasma and Peritoneal Fluid Fibronectin and Collagen IV Levels as Potential Biomarkers of Endometriosis. Int. J. Mol. Sci. 2022, 23, 15669. [Google Scholar] [CrossRef] [PubMed]
- Exacoustos, C.; Zupi, E.; Piccione, E. Ultrasound Imaging for Ovarian and Deep Infiltrating Endometriosis. Semin. Reprod. Med. 2017, 35, 005–024. [Google Scholar] [CrossRef]
- Barra, F.; Leone Roberti Maggiore, U.; Evangelisti, G.; Scala, C.; Alessandri, F.; Vellone, V.G.; Stabilini, C.; Ferrero, S. A Prospective Study Comparing Rectal Water Contrast-Transvaginal Ultrasonography with Sonovaginography for the Diagnosis of Deep Posterior Endometriosis. Acta Obstet. Gynecol. Scand. 2021, 100, 1700–1711. [Google Scholar] [CrossRef]
- Keckstein, J.; Saridogan, E.; Ulrich, U.A.; Sillem, M.; Oppelt, P.; Schweppe, K.W.; Krentel, H.; Janschek, E.; Exacoustos, C.; Malzoni, M.; et al. The #Enzian Classification: A Comprehensive Non-Invasive and Surgical Description System for Endometriosis. Acta Obstet. Gynecol. Scand. 2021, 100, 1165–1175. [Google Scholar] [CrossRef]
- Guerriero, S.; Saba, L.; Ajossa, S.; Peddes, C.; Angiolucci, M.; Perniciano, M.; Melis, G.B.; Alcazar, J.L. Three-Dimensional Ultrasonography in the Diagnosis of Deep Endometriosis. Hum. Reprod. 2014, 29, 1189–1198. [Google Scholar] [CrossRef] [PubMed]
- Barra, F.; Biscaldi, E.; Scala, C.; Laganà, A.S.; Vellone, V.G.; Stabilini, C.; Ghezzi, F.; Ferrero, S. A Prospective Study Comparing Three-Dimensional Rectal Water Contrast Transvaginal Ultrasonography and Computed Tomographic Colonography in the Diagnosis of Rectosigmoid Endometriosis. Diagnostics 2020, 10, 252. [Google Scholar] [CrossRef]
- Becker, C.M.; Bokor, A.; Heikinheimo, O.; Horne, A.; Jansen, F.; Kiesel, L.; King, K.; Kvaskoff, M.; Nap, A.; Petersen, K.; et al. ESHRE Guideline: Endometriosis. Hum. Reprod. Open 2022, 2022, hoac009. [Google Scholar] [CrossRef] [PubMed]
- Daniilidis, A.; Angioni, S.; Di Michele, S.; Dinas, K.; Gkrozou, F.; D’Alterio, M.N. Deep Endometriosis and Infertility: What Is the Impact of Surgery? J. Clin. Med. 2022, 11, 6727. [Google Scholar] [CrossRef]
- Králíčková, M.; Vetvicka, V. Endometriosis and Ovarian Cancer. World J. Clin. Oncol. 2014, 5, 800–805. [Google Scholar] [CrossRef] [PubMed]
- Mu, F.; Rich-Edwards, J.; Rimm, E.B.; Spiegelman, D.; Forman, J.P.; Missmer, S.A. Association between Endometriosis and Hypercholesterolemia or Hypertension. Hypertension 2017, 70, 59–65. [Google Scholar] [CrossRef]
- Bungum, H.F.; Vestergaard, C.; Knudsen, U.B. Endometriosis and Type 1 Allergies/Immediate Type Hypersensitivity: A Systematic Review. Eur. J. Obstet. Gynecol. Reprod. Biol. 2014, 179, 209–215. [Google Scholar] [CrossRef] [PubMed]
- Samartzis, E.P.; Labidi-Galy, S.I.; Moschetta, M.; Uccello, M.; Kalaitzopoulos, D.R.; Perez-Fidalgo, J.A.; Boussios, S. Endometriosis-Associated Ovarian Carcinomas: Insights into Pathogenesis, Diagnostics, and Therapeutic Targets—A Narrative Review. Ann. Transl. Med. 2020, 8, 1712. [Google Scholar] [CrossRef] [PubMed]
- Borrelli, G.M.; Abrão, M.S.; Taube, E.T.; Darb-Esfahani, S.; Köhler, C.; Chiantera, V.; Mechsner, S. (Partial) Loss of BAF250a (ARID1A) in Rectovaginal Deep-Infiltrating Endometriosis, Endometriomas and Involved Pelvic Sentinel Lymph Nodes. Mol. Hum. Reprod. 2016, 22, 329–337. [Google Scholar] [CrossRef]
- Xu, G.; Chhangawala, S.; Cocco, E.; Razavi, P.; Cai, Y.; Otto, J.E.; Ferrando, L.; Selenica, P.; Ladewig, E.; Chan, C.; et al. ARID1A Determines Luminal Identity and Therapeutic Response in Estrogen-Receptor-Positive Breast Cancer. Nat. Genet. 2020, 52, 198–207. [Google Scholar] [CrossRef]
- Abrao, M.S.; Petraglia, F.; Falcone, T.; Keckstein, J.; Osuga, Y.; Chapron, C. Deep Endometriosis Infiltrating the Recto-Sigmoid: Critical Factors to Consider before Management. Hum. Reprod. Update 2015, 21, 329–339. [Google Scholar] [CrossRef]
- Haas, D.; Shelb, O.; Shamiyeh, A.; Oppelt, P. The RASRM Score and the Enzian Classification for Endometriosis: Their Strengths and Weaknesses. Acta Obstet. Gynecol. Scand. 2013, 92, 3–7. [Google Scholar] [CrossRef]
- Morgan-Ortiz, F.; López-de la Torre, M.A.; López-Zepeda, M.A.; Morgan-Ruiz, F.V.; Ortiz-Bojórquez, J.C.; Bolívar-Rodríguez, M.A. Clinical Characteristics and Location of Lesions in Patients with Deep Infiltrating Endometriosis Using the Revised Enzian Classification. J. Turk.-Ger. Gynecol. Assoc. 2019, 20, 133–137. [Google Scholar] [CrossRef]
- Piketty, M.; Chopin, N.; Dousset, B.; Millischer-Bellaische, A.-E.; Roseau, G.; Leconte, M.; Borghese, B.; Chapron, C. Preoperative Work-up for Patients with Deeply Infiltrating Endometriosis: Transvaginal Ultrasonography Must Definitely Be the First-Line Imaging Examination. Hum. Reprod. 2008, 24, 602–607. [Google Scholar] [CrossRef]
- Delpy, R.; Barthet, M.; Gasmi, M.; Berdah, S.; Shojai, R.; Desjeux, A.; Boubli, L.; Grimaud, J.-C. Value of Endorectal Ultrasonography for Diagnosing Rectovaginal Septal Endometriosis Infiltrating the Rectum. Endoscopy 2005, 37, 357–361. [Google Scholar] [CrossRef] [PubMed]
- StatSoft, Inc. STATISTICA Version 9.1. 2010. Available online: http://www.statsoft.com/ (accessed on 23 April 2023).
- Garry, R. The Endometriosis Syndromes: A Clinical Classification in the Presence of Aetiological Confusion and Therapeutic Anarchy. Hum. Reprod. 2004, 19, 760–768. [Google Scholar] [CrossRef] [PubMed]
- Fauconnier, A.; Fritel, X.; Chapron, C. Endometriosis and Pelvic Pain: Epidemiological Evidence of the Relationship and Implications. Gynecol. Obstet. Fertil. 2009, 37, 57–69. [Google Scholar] [CrossRef] [PubMed]
- Chapron, C.; Fauconnier, A.; Dubuisson, J.B.; Barakat, H.; Vieira, M.; Bréart, G. Deep Infiltrating Endometriosis: Relation between Severity of Dysmenorrhoea and Extent of Disease. Hum. Reprod. 2003, 18, 760–766. [Google Scholar] [CrossRef] [PubMed]
- Hudelist, G.; Fritzer, N.; Thomas, A.; Niehues, C.; Oppelt, P.; Haas, D.; Tammaa, A.; Salzer, H. Diagnostic Delay for Endometriosis in Austria and Germany: Causes and Possible Consequences. Hum. Reprod. 2012, 27, 3412–3416. [Google Scholar] [CrossRef]
- Abrao, M.S.; Goncalves, M.O.d.C.; Dias, J.A.; Podgaec, S.; Chamie, L.P.; Blasbalg, R. Comparison between Clinical Examination, Transvaginal Sonography and Magnetic Resonance Imaging for the Diagnosis of Deep Endometriosis. Hum. Reprod. 2007, 22, 3092–3097. [Google Scholar] [CrossRef]
- Saba, L.; Guerriero, S.; Sulis, R.; Pilloni, M.; Ajossa, S.; Melis, G.; Mallarini, G. Learning Curve in the Detection of Ovarian and Deep Endometriosis by Using Magnetic Resonance. Eur. J. Radiol. 2011, 79, 237–244. [Google Scholar] [CrossRef]
- Pascoal, E.; Wessels, J.M.; Aas-Eng, M.K.; Abrao, M.S.; Condous, G.; Jurkovic, D.; Espada, M.; Exacoustos, C.; Ferrero, S.; Guerriero, S.; et al. Strengths and limitations of diagnostic tools for endometriosis and relevance in diagnostic test accuracy research. Ultrasound Obstet. Gynecol. 2022, 60, 309–327. [Google Scholar] [CrossRef]
- Boussios, S.; Moschetta, M.; Tatsi, K.; Tsiouris, A.K.; Pavlidis, N. A Review on Pregnancy Complicated by Ovarian Epithelial and Non-Epithelial Malignant Tumors: Diagnostic and Therapeutic Perspectives. J. Adv. Res. 2018, 12, 1–9. [Google Scholar] [CrossRef]
- Di Giovanni, A.; Casarella, L.; Coppola, M.; Iuzzolino, D.; Rasile, M.; Malzoni, M. Combined Transvaginal/Transabdominal Pelvic Ultrasonography Accurately Predicts the 3 Dimensions of Deep Infiltrating Bowel Endometriosis Measured after Surgery: A Prospective Study in a Specialized Center. J. Minim. Invasive Gynecol. 2018, 25, 1231–1240. [Google Scholar] [CrossRef]
- Tammaa, A.; Fritzer, N.; Strunk, G.; Krell, A.; Salzer, H.; Hudelist, G. Learning Curve for the Detection of Pouch of Douglas Obliteration and Deep Infiltrating Endometriosis of the Rectum. Hum. Reprod. 2014, 29, 1199–1204. [Google Scholar] [CrossRef]
- Hudelist, G.; English, J.; Thomas, A.E.; Tinelli, A.; Singer, C.F.; Keckstein, J. Diagnostic Accuracy of Transvaginal Ultrasound for Non-Invasive Diagnosis of Bowel Endometriosis: Systematic Review and Meta-Analysis. Ultrasound Obstet. Gynecol. 2011, 37, 257–263. [Google Scholar] [CrossRef] [PubMed]
- Guerriero, S.; Ajossa, S.; Orozco, R.; Perniciano, M.; Jurado, M.; Melis, G.B.; Alcazar, J.L. Accuracy of Transvaginal Ultrasound for Diagnosis of Deep Endometriosis in the Rectosigmoid: Systematic Review and Meta-Analysis. Ultrasound Obstet. Gynecol. 2016, 47, 281–289. [Google Scholar] [CrossRef]
- Guerriero, S.; Alcázar, J.L.; Ajossa, S.; Pilloni, M.; Melis, G.B. Three-Dimensional Sonographic Characteristics of Deep Endometriosis. J. Ultrasound Med. 2009, 28, 1061–1066. [Google Scholar] [CrossRef] [PubMed]
- Valenzano Menada, M.; Remorgida, V.; Abbamonte, L.H.; Nicoletti, A.; Ragni, N.; Ferrero, S. Does Transvaginal Ultrasonography Combined with Water-Contrast in the Rectum Aid in the Diagnosis of Rectovaginal Endometriosis Infiltrating the Bowel? Hum. Reprod. 2008, 23, 1069–1075. [Google Scholar] [CrossRef] [PubMed]
- Indrielle-Kelly, T.; Frühauf, F.; Fanta, M.; Burgetova, A.; Lavu, D.; Dundr, P.; Cibula, D.; Fischerova, D. Diagnostic Accuracy of Ultrasound and MRI in the Mapping of Deep Pelvic Endometriosis Using the International Deep Endometriosis Analysis (IDEA) Consensus. BioMed Res. Int. 2020, 2020, 3583989. [Google Scholar] [CrossRef] [PubMed]
- Keckstein, J.; Hoopmann, M.; Merz, E.; Grab, D.; Weichert, J.; Helmy-Bader, S.; Wölfler, M.; Bajka, M.; Mechsner, S.; Schäfer, S.; et al. Expert Opinion on the Use of Transvaginal Sonography for Presurgical Staging and Classification of Endometriosis. Arch. Gynecol. Obstet. 2023, 307, 5–19. [Google Scholar] [CrossRef]
- Carvalho, A.C.; Cardoso, R.; Pires, F.; Ventura, S.; Portela, F.; Ministro, P.; Silva, A. Diagnosis of Bowel Endometriosis Using Endoscopic Ultrasound-Guided Fine Needle Aspiration. Korean J. Gastroenterol. 2023, 81, 46–51. [Google Scholar] [CrossRef]
- Miwa, T.; Iwashita, T.; Aiba, M.; Kochi, T.; Toda, K.; Nakamura, N.; Katsumura, N.; Shimizu, M. Endoscopic Ultrasound-Guided Fine Needle Aspiration for the Diagnosis of Bowel Endometriosis: A Case Report. Med. Ultrason. 2020, 22, 243–246. [Google Scholar] [CrossRef]





| Localization of Endometriosis | Number of Patients | Percentage |
|---|---|---|
| Rectosigmoid | 16 | 52% |
| Rectosigmoid + bladder | 18 | 6% |
| Rectosigmoid + others | 22 | 13% |
| Rectosigmoid + uterosacral ligaments and posterior vaginal fornix + others | 23 | 3% |
| Rectosigmoid + uterosacral ligaments and posterior vaginal fornix + bladder | 24 | 3% |
| Rectosigmoid + uterosacral ligaments and posterior vaginal fornix | 30 | 19% |
| Unrecognized endometriosis | 1 | 4% |
| M | Min | Max | SD | p | |
|---|---|---|---|---|---|
| RWC-TVS greatest size (mm) | 23.613 | 0.00 | 45.00 | 9.42 | 0.94 |
| HPE greatest size (mm) | 26.033 | 8.00 | 90.00 | 18.49 |
Disclaimer/Publisher’s Note: The statements, opinions and data contained in all publications are solely those of the individual author(s) and contributor(s) and not of MDPI and/or the editor(s). MDPI and/or the editor(s) disclaim responsibility for any injury to people or property resulting from any ideas, methods, instructions or products referred to in the content. |
© 2023 by the authors. Licensee MDPI, Basel, Switzerland. This article is an open access article distributed under the terms and conditions of the Creative Commons Attribution (CC BY) license (https://creativecommons.org/licenses/by/4.0/).
Share and Cite
Masternak, M.; Grabczak, M.; Szaflik, T.; Mroczkowska, B.; Mokros, Ł.; Smolarz, B.; Romanowicz, H.; Szyłło, K. The Utility of Rectal Water Contrast Transvaginal Ultrasound for Assessment of Deep Bowel Endometriosis. Life 2023, 13, 1151. https://doi.org/10.3390/life13051151
Masternak M, Grabczak M, Szaflik T, Mroczkowska B, Mokros Ł, Smolarz B, Romanowicz H, Szyłło K. The Utility of Rectal Water Contrast Transvaginal Ultrasound for Assessment of Deep Bowel Endometriosis. Life. 2023; 13(5):1151. https://doi.org/10.3390/life13051151
Chicago/Turabian StyleMasternak, Martyna, Malwina Grabczak, Tomasz Szaflik, Beata Mroczkowska, Łukasz Mokros, Beata Smolarz, Hanna Romanowicz, and Krzysztof Szyłło. 2023. "The Utility of Rectal Water Contrast Transvaginal Ultrasound for Assessment of Deep Bowel Endometriosis" Life 13, no. 5: 1151. https://doi.org/10.3390/life13051151
APA StyleMasternak, M., Grabczak, M., Szaflik, T., Mroczkowska, B., Mokros, Ł., Smolarz, B., Romanowicz, H., & Szyłło, K. (2023). The Utility of Rectal Water Contrast Transvaginal Ultrasound for Assessment of Deep Bowel Endometriosis. Life, 13(5), 1151. https://doi.org/10.3390/life13051151

