Sign in to use this feature.

Years

Between: -

Subjects

remove_circle_outline
remove_circle_outline
remove_circle_outline
remove_circle_outline
remove_circle_outline
remove_circle_outline
remove_circle_outline
remove_circle_outline
remove_circle_outline

Journals

remove_circle_outline
remove_circle_outline
remove_circle_outline
remove_circle_outline
remove_circle_outline
remove_circle_outline
remove_circle_outline
remove_circle_outline
remove_circle_outline
remove_circle_outline
remove_circle_outline

Article Types

Countries / Regions

remove_circle_outline
remove_circle_outline
remove_circle_outline
remove_circle_outline

Search Results (939)

Search Parameters:
Keywords = thinning management

Order results
Result details
Results per page
Select all
Export citation of selected articles as:
21 pages, 8458 KB  
Article
Chemo-Ultrasonication Rehabilitation of Thin-Film Composite Ultrapure Water Membrane for Spent Dialysate Recovery
by Nuhu Dalhat Mu’azu, Mukarram Zubair, Mohammad Saood Manzar, Aesha H. Alamri, Ishraq H. Alhamed, Asaad Al Alawi and Muhammad Nawaz
Membranes 2025, 15(11), 340; https://doi.org/10.3390/membranes15110340 - 14 Nov 2025
Abstract
The ever-increasing number of discarded end-of-life dialysate polyamide thin-film composite membranes (DEoLMs) from presents both environmental and economic challenges for health centers. Traditional thermo-chemical cleaning techniques have been deployed for the rehabilitation of DEoLMs. This study further investigated the application of chemo-ultrasonication rehabilitation [...] Read more.
The ever-increasing number of discarded end-of-life dialysate polyamide thin-film composite membranes (DEoLMs) from presents both environmental and economic challenges for health centers. Traditional thermo-chemical cleaning techniques have been deployed for the rehabilitation of DEoLMs. This study further investigated the application of chemo-ultrasonication rehabilitation of dialysate-production-related DEoLM for potential reuse in spent dialysate recovery considering salt and creatinine—a typical uremic toxin-removal from water. The DEoLM was rehabilitated using low-concentration citric acid (CA) and sodium lauryl sulfate (SLS) under ultrasonic waves (45 kHz, 30 min agitation). Considering different rehabilitation protocols, the synergistic effects of heating (HT) and the chemical agents, with and without and ultrasonic waves (SC) were evaluated through FTIR, SEM, and EDX analyses, and the performance of the rehabilitated DEoLM was assessed via water flux and permeance, and efficiencies for conductivity and creatinine rejection. The fully integrated protocol chemo-ultrasonication (HT + SC + chemical agents) yielded the highest performance, achieving 93.56% conductivity and 96.83% creatinine removal, with water flux of 113.48 L m−2 h−1 and permeances of 6.31 L m−2 h−1 bar−1, at markedly reduced pressures. The chemo-sonic-rehabilitated-DEoLM removed the organic–inorganic foulants beyond thermo-chemical cleaning. This suggests that the sonication waves had a great impact regarding rejuvenating the fouled DEoL dialysate membrane, offering a sustainable, cost-effective pathway for extending membrane life, and supporting sustainable water management to achieve circular economy goals within healthcare centers. Full article
(This article belongs to the Topic Separation Techniques and Circular Economy)
Show Figures

Figure 1

25 pages, 8104 KB  
Article
Detection of Building Equipment from Mobile Laser Scanning Point Clouds Using Reflection Intensity Correction for Detailed BIM Generation
by Tomohiro Mizoguchi
Sensors 2025, 25(22), 6937; https://doi.org/10.3390/s25226937 - 13 Nov 2025
Abstract
The Building Information Model (BIM) has been increasingly adopted for building maintenance and management. For existing buildings lacking prior digital models, a BIM is often generated from 3D scanned point clouds. In recent years, the automatic construction of simple BIMs comprising major structural [...] Read more.
The Building Information Model (BIM) has been increasingly adopted for building maintenance and management. For existing buildings lacking prior digital models, a BIM is often generated from 3D scanned point clouds. In recent years, the automatic construction of simple BIMs comprising major structural elements, such as floors, walls, ceilings, and columns, has become feasible. However, the automated generation of detailed BIMs that incorporate building equipment, such as electrical installations and safety systems, remains a significant challenge, despite their essential role in facility maintenance. This process not only enriches the information content of the BIM but also provides a foundation for evaluating building safety and hazard levels, as well as for supporting evacuation planning and disaster-preparedness simulations. Such equipment is typically attached to ceilings or walls and is difficult to detect due to its small surface area and thin geometric profile. This paper proposes a method for detecting building equipment based on laser reflection intensity, with the objective of facilitating the automatic construction of detailed BIMs from point clouds acquired by mobile laser scanners (MLSs). The proposed approach first corrects the reflection intensity by eliminating the effects of distance and incidence angle using polynomial approximation, thereby normalizing the intensity values for surfaces composed of identical materials. Given that the corrected intensity approximately follows a normal distribution, outliers are extracted as candidate points for building equipment via thresholding. Subsequently, the point cloud is converted into a 2D image representation, and equipment regions are extracted using morphological operations and connected component labeling. Experiments conducted on point clouds of building ceilings and walls demonstrate that the proposed method achieves a high detection accuracy for various types of building equipment. Full article
Show Figures

Figure 1

17 pages, 1732 KB  
Article
Adaptation Mechanisms of Understory Vegetation in Subtropical Plantations: Synergistic Drivers of Stand Spatial Structure and Soil Fertility
by Fenglin Zheng, Dehao Lu, Wenyi Ou, Sha Tan, Xiongjian Xu, Shucai Zeng and Lihua Xian
Plants 2025, 14(22), 3452; https://doi.org/10.3390/plants14223452 - 11 Nov 2025
Viewed by 123
Abstract
Understory vegetation plays a pivotal role in enhancing forest biodiversity, and its restoration is crucial for sustainable forest development, energy flow, and nutrient cycling. However, the dynamics of the biomass, diversity, and species composition of understory vegetation in plantations in south China, along [...] Read more.
Understory vegetation plays a pivotal role in enhancing forest biodiversity, and its restoration is crucial for sustainable forest development, energy flow, and nutrient cycling. However, the dynamics of the biomass, diversity, and species composition of understory vegetation in plantations in south China, along with their key drivers, remain poorly understood. This study investigated four mature plantation types (Pinus massoniana, Pinus caribaea, Cunninghamia lanceolata, and mixed Chinese fir–broadleaf forests) in south China through plot surveys, environmental factor measurements, and structural equation modeling (SEM) to explore the diversity, biomass allocation patterns, and driving mechanisms of understory vegetation. The results demonstrated the following. (1) The introduced Caribbean pine forests exhibited higher shrub biomass than native Masson pine forests, which was driven by their high canopy openness favoring light-demanding species (e.g., Melicope pteleifolia, IV = 33.93%), but their low mingling degree limited herb diversity. (2) Masson pine forests showed superior shrub diversity due to their random spatial distribution and higher soil total potassium (TK) content. (3) Mixed Chinese fir–broadleaf forests achieved 24.50–66.06% higher herb biomass compared to coniferous monocultures, supported by high mingling degree, random spatial configuration, and phosphorus-potassium-enriched soil, with concurrently improved herb diversity. SEM revealed that stand structure (DBH, density, mingling degree) directly drove shrub diversity by regulating light availability, while herb biomass was primarily governed by soil total phosphorus (TP) and pH. Canopy-induced light suppression negatively affected herb diversity. We recommend optimizing stand density and canopy structure through thinning and pruning to enhance light heterogeneity alongside supplementing slow-release P fertilizers in P-deficient stands. This study provides theoretical support for the multi-objective management of south China plantations, emphasizing the synergistic necessity of stand structure optimization and soil amendment. Full article
(This article belongs to the Collection Forest Environment and Ecology)
Show Figures

Figure 1

9 pages, 1591 KB  
Proceeding Paper
Electrodeposition of Nickel-Based Thin Layered Double Hydroxides Electrocatalyst for 2,5-Diformylfuran Production
by Nadia Mumtazah, Nurfadlih Syahlani, Muhammad Ibadurrohman and Mohammad Nasikin
Eng. Proc. 2025, 105(1), 9; https://doi.org/10.3390/engproc2025105009 - 10 Nov 2025
Viewed by 112
Abstract
2,5-diformylfuran (DFF) is a significant biomass derivative that is employed in a variety of industries. One approach to synthesizing it is through the oxidation of 5-hydroxymethylfurfural (HMF). The challenges in DFF production arise from the need for extreme conditions, issues with overoxidation, and [...] Read more.
2,5-diformylfuran (DFF) is a significant biomass derivative that is employed in a variety of industries. One approach to synthesizing it is through the oxidation of 5-hydroxymethylfurfural (HMF). The challenges in DFF production arise from the need for extreme conditions, issues with overoxidation, and the limitations of noble materials used in neutral or acidic environments. By using a mildly alkaline electrolyte, DFF can be produced electrochemically alongside hydrogen gas generation, eliminating extreme conditions and allowing for the study of a wide range of transition metals. Moreover, the performance of bimetallic electrocatalysts has been studied, and it has been found to be more active in many kinds of processes, particularly Layered Double Hydroxides (LDH). Electrodeposition, once widely chosen among various LDH production methods, is preferred for producing controlled and uniform thin layers. This work examines the electrocatalytic properties of NiCo-LDH and NiFe-LDH in the production of DFF. Cobalt, which exhibits strong adsorption, will be compared to iron, which has a weak adsorption characteristic toward HMF. This study demonstrates that NiCo-LDH gives 1.49 V vs. RHE onset potential, 600 mV lower compared to NiFe-LDH (1.55 V vs. RHE) for HMF oxidation reaction. NiCo-LDH also converts twice the amount of HMF compared to NiFe-LDH for the same amount of charge passed at 0.25 mA/cm−2 in 0.1 M Na2B4O7. However, strong adsorption promotes reactant activation and reduces the energy barrier while reducing DFF selectivity in NiCo-LDH (23.4%) due to overoxidation, compared to NiFe-LDH (31.6%). In order to achieve optimal electrocatalyst performance, a careful balance of adsorption strength and reaction pathway management is required. Proper optimization of these parameters is essential to improve efficiency and selectivity in the electrocatalytic process. Full article
Show Figures

Figure 1

14 pages, 1226 KB  
Article
Salivary ⍺-Amylase Time-Effect on the Main Groups of Thickening Products Intended to Manage Patients with Oropharyngeal Dysphagia
by Adrian Nuñez-Lara, Alberto Solís, Irene Domínguez-López, Begoña Murga-Jambert, Pere Clave and Mireia Bolivar-Prados
Foods 2025, 14(22), 3829; https://doi.org/10.3390/foods14223829 - 8 Nov 2025
Viewed by 288
Abstract
Shear viscosity is the main property linked to the therapeutic effect of thickening products (TP) and can be reduced by the effect of salivary α-amylase during the oral phase and shear thinning during the pharyngeal phase of swallowing. The main aim of this [...] Read more.
Shear viscosity is the main property linked to the therapeutic effect of thickening products (TP) and can be reduced by the effect of salivary α-amylase during the oral phase and shear thinning during the pharyngeal phase of swallowing. The main aim of this study was to determine the time-effect salivary α-amylase. The study solutions were prepared with three types of TP: modified starch (MS), xanthan gum (XG), and mixture (MX), and two viscosity levels: 250 and 800 mPa·s at 50 s−1. Five volunteers performed oral incubations from 5 to 60 s to assess the time-effect of α-amylase. The results revealed that MS-TP presented a sudden reduction in shear viscosity >99% at 5 s at both viscosity levels. In contrast, XG-TP showed only a slight reduction (1–20%) to α-amylase for all the time intervals. MX-TP viscosity exhibited a reduction of 25% for 250 and 13% for 800 mPa·s. The immediate and extreme reduction in shear viscosity of MS-TP in contact with α-amylase contrasted with the amylase resistance presented by TPs that contained XG. These findings improve the description of the full rheological behavior of TP and provide valuable insights into optimizing the choice of TP in the management of patients suffering from swallowing disorders. Full article
(This article belongs to the Section Food Biotechnology)
Show Figures

Figure 1

17 pages, 1607 KB  
Article
Divergent Understory Vegetation and Indicator Species in Four Close-to-Nature Transformed Plantations of South China
by Xunan Xiong, Xiaorong Jia, Zejia Luo and Rong Huang
Forests 2025, 16(11), 1683; https://doi.org/10.3390/f16111683 - 5 Nov 2025
Viewed by 165
Abstract
Understory vegetation diversity is the key indicator of ecological outcomes in the close-to-nature transformation of plantations, with its composition revealing successional dynamics and ecosystem functionality. In response to China’s “Green and Beautiful Guangdong” Initiative, enhancing the ecological quality of plantations has been established [...] Read more.
Understory vegetation diversity is the key indicator of ecological outcomes in the close-to-nature transformation of plantations, with its composition revealing successional dynamics and ecosystem functionality. In response to China’s “Green and Beautiful Guangdong” Initiative, enhancing the ecological quality of plantations has been established as a critical objective for sustainable forest management. This study assessed the understory vegetation in four representative transformed plantations in Guangdong Province, China, using Multi-Response Permutation Procedure (MRPP), Indicator Species Analysis (ISA), Detrended Correspondence Analysis (DCA), and Redundancy Analysis (RDA). The results showed that: (1) Species richness was highest in the Eucalyptus L’Hér plantation (102 species), followed by Pinus massoniana Lamb (94), Acacia mangium Willd (92), and Litchi chinensis Soon plantations (85). (2) MRPP analysis revealed significant differences in species composition among plantation types (A = 0.149, p < 0.001). ISA identified 5, 7, 3, and 5 indicator species for each type, respectively, predominantly light-demanding pioneers such as Dicranopteris dichotoma (Thunb.) Bernh and Microstegium vagans (Nees ex Steud.) A. Camus. (3) DCA ordination showed clear compositional segregation among the understory communities of Eucalyptus, Pinus massoniana, and Acacia mangium plantations, whereas the Litchi chinensis plantation exhibited substantial overlap with others. RDA further demonstrated a significant negative correlation between mean diameter at breast height (DBH) and understory diversity (p < 0.01) across all plantations except Litchi chinensis. These findings offer a quantitative basis for tailored management strategies. We recommend structural adjustments through target-tree thinning to optimize light availability by regulating DBH, combined with interplanting native understory species. This integrated approach can enhance structural heterogeneity and promote more effective and sustainable plantation restoration. Full article
Show Figures

Figure 1

3 pages, 128 KB  
Comment
Comment on Hanson, C.T. Cumulative Severity of Thinned and Unthinned Forests in a Large California Wildfire. Land 2022, 11, 373
by Craig Loehle
Land 2025, 14(11), 2195; https://doi.org/10.3390/land14112195 - 5 Nov 2025
Viewed by 208
Abstract
Hanson (2022) evaluated thinning as a management tool to reduce wildfire tree mortality using thinning history and fire mortality data from the Goosenest Adaptive Management Area (GAMA) in California. The combination of on-the-ground measurements of thinning tree removal with remote sensing fire mortality [...] Read more.
Hanson (2022) evaluated thinning as a management tool to reduce wildfire tree mortality using thinning history and fire mortality data from the Goosenest Adaptive Management Area (GAMA) in California. The combination of on-the-ground measurements of thinning tree removal with remote sensing fire mortality data is questionable. Using his data, fire mortality in thinned stands was calculated and found to be less than mortality in unthinned (control) stands. Fire mortality in experimental plots does not properly represent the full benefits of density reduction because lower density provides a risk reduction that increases as more area is treated, due to the nature of fire spread. Thus, the conclusion that thinning is not beneficial is not supported by Hanson’s study and does not consider the importance of individual tree mortality vs. catastrophic forest loss and associated reductions in ecosystem services and loss of human infrastructure. Full article
(This article belongs to the Special Issue Forests in the Landscape: Threats and Opportunities)
9 pages, 9052 KB  
Case Report
Surgical Management of a Maxillary Odontogenic Keratocyst: A Clinical Case Report
by Ioan Sîrbu, Ionut Cosmin Nisipasu, Pasquale Savino, Andreea Mihaela Custura, Elisei Adelin Radu, Vladimir Nastasie and Valentin Daniel Sîrbu
Dent. J. 2025, 13(11), 514; https://doi.org/10.3390/dj13110514 - 5 Nov 2025
Viewed by 261
Abstract
Introduction: Odontogenic keratocyst (OKC) is a locally aggressive cystic lesion derived from remnants of the dental lamina. It is most commonly located in the posterior mandible, while maxillary involvement is rare and poses diagnostic and surgical challenges due to its proximity to [...] Read more.
Introduction: Odontogenic keratocyst (OKC) is a locally aggressive cystic lesion derived from remnants of the dental lamina. It is most commonly located in the posterior mandible, while maxillary involvement is rare and poses diagnostic and surgical challenges due to its proximity to critical anatomical structures. This case report describes the surgical management of a maxillary OKC with an uncommon localisation. Methods: A 50-year-old male presented with an asymptomatic swelling in the posterior maxilla. Cone beam computed tomography (CBCT) revealed a well-defined unilocular radiolucency extending toward the maxillary sinus floor. Surgical management included complete enucleation and peripheral curettage, followed by histopathological confirmation. The defect was left to heal naturally through bone regeneration without the need for grafting. Results: Intraoperatively, a thin pearly white cystic capsule and buccal cortical thinning were observed, consistent with OKC. The lesion was enucleated intact, without rupture or sinus perforation. Histology confirmed the diagnosis. Postoperative healing was uneventful, with radiographic follow-up at one month showing favourable healing changes. Conclusions: Careful surgical planning combined with advanced imaging facilitates safe and effective management of OKCs in uncommon maxillary sites. Enucleation with peripheral curettage provided satisfactory short-term outcomes. Long-term follow-up remains essential due to the risk of recurrence. Full article
(This article belongs to the Topic Oral Health Management and Disease Treatment)
Show Figures

Figure 1

26 pages, 2795 KB  
Article
Exercise as Osteoarthritis Treatment in Wistar Rats Promotes Frequency-Dependent Benefits
by Mateus Cardoso Colares, Anand Thirupathi, Leandro Almeida da Silva, Daniela Pacheco dos Santos Haupenthal, Laura de Roch Casagrande, Ligia Milanez Venturini, Yaodong Gu, Camila da Costa, Igor Ramos Lima, Vitória Oliveira Silva da Silva, Luciano Acordi da Silva, André Domingos Lass, Ricardo Aurino Pinho and Paulo Cesar Lock Silveira
Biology 2025, 14(11), 1537; https://doi.org/10.3390/biology14111537 - 3 Nov 2025
Viewed by 210
Abstract
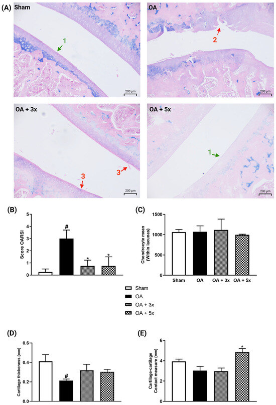
This study investigated the effects of different frequencies of moderate treadmill exercise on a knee osteoarthritis (OA) model in Wistar rats. Sixty male Wistar rats were randomly assigned to four groups: Sham, OA, OA + exercise three times/week (OA + 3×), and OA [...] Read more.
This study investigated the effects of different frequencies of moderate treadmill exercise on a knee osteoarthritis (OA) model in Wistar rats. Sixty male Wistar rats were randomly assigned to four groups: Sham, OA, OA + exercise three times/week (OA + 3×), and OA + exercise five times/week (OA + 5×). OA was induced via intra-articular injection of sodium monoiodoacetate (MIA) in the right knee. Fifteen days post-MIA, exercise treatment began with a one-week adaptation period, followed by eight weeks of aerobic training. Protocols involved treadmill walking (30 min/day) at 13 m/min for the first four weeks and 16 m/min for the last four weeks. At the end, animals were anesthetized and euthanized for collection of intra-articular tissues and gastrocnemius muscle. Both exercise regimens inhibited OA progression; however, OA + 5× yielded more pronounced effects, including greater energy expenditure, weight reduction, oxidative stress modulation, decreased pro-inflammatory and catabolic markers, increased anti-inflammatory and anabolic parameters, reduced injury scores, prevention of cartilage thinning, and increased cartilage surface area. Although both frequencies conferred cartilage protection, moderate exercise five times per week produced superior therapeutic outcomes, suggesting a dose-dependent benefit of exercise in OA management. Full article
Show Figures

Graphical abstract

28 pages, 7655 KB  
Article
Repurposing of End-of-Life Dialysate Production Polymeric Membrane for Achieving Sustainable Hemodialysis Process Water Management
by Nuhu Dalhat Mu’azu, Aesha H. AlAmri, Ishraq H. Alhamed, Mukarram Zubair, Mohammad Saood Manzar and Muhammad Nawaz
Polymers 2025, 17(21), 2922; https://doi.org/10.3390/polym17212922 - 31 Oct 2025
Viewed by 296
Abstract
Polymeric reverse osmosis (RO) membranes are critical for producing ultrapure water for hemodialysis process, but once they reach their end-of-life (EoL) stage, mainly due to fouling, they are usually discarded—adding to the growing challenges of medical waste management. This study explores a sustainable [...] Read more.
Polymeric reverse osmosis (RO) membranes are critical for producing ultrapure water for hemodialysis process, but once they reach their end-of-life (EoL) stage, mainly due to fouling, they are usually discarded—adding to the growing challenges of medical waste management. This study explores a sustainable alternative by rehabilitating EoL thin-film composite (TFC) membrane and its reuse in recovery of spent dialysate. Using different cleaning agents that included citric acid (CA), EDTA, sodium lauryl sulfate (SLS), and sodium dodecyl sulfate (SDS), the mixture of CA and SLS (1:1) exhibited the most effective combination for balanced flux recovery, salt rejection, and creatinine clearance at lower TMP, achieving 90% conductivity reduction, 46.89 L/m2/h water flux, and 1.24 L/m2/h/bar permeance. FTIR, SEM, and EDX results confirmed the removal of both organic and inorganic foulants, while further process optimization revealed the critical role of cleaning temperature, SLS ratio and pressure on water permeability and improving creatinine removal. Under the optimal operational conditions, 99.89% creatinine removal, while restoring up to 80% hydraulic performance, yielding water flux and permeance of 59.36 L/m2/h and 1.79 L/m2/h/bar, respectively. These findings suggest that reduced dialysate production costs and minimize environmental impact can be significantly, achieved by extending the useful life of dialysate membranes, thereby opening a pathway toward implementing closed-loop water management and circular economy practices at dialysis centers. Full article
Show Figures

Figure 1

15 pages, 4705 KB  
Article
Distribution Patterns, Nesting Ecology and Nest Characteristics of the Stingless Bees (Tetragonula pagdeni Schwarz) in West Bengal, India
by Ujjwal Layek and Prakash Karmakar
Conservation 2025, 5(4), 63; https://doi.org/10.3390/conservation5040063 - 30 Oct 2025
Viewed by 295
Abstract
Stingless bees, particularly Tetragonula pagdeni, are vital for both ecosystems and the economy due to their pollination services and nest products. However, little is known about their nesting habits. This study investigated the nesting ecology of Tetragonula pagdeni in West Bengal, India. [...] Read more.
Stingless bees, particularly Tetragonula pagdeni, are vital for both ecosystems and the economy due to their pollination services and nest products. However, little is known about their nesting habits. This study investigated the nesting ecology of Tetragonula pagdeni in West Bengal, India. The species was found inhabiting a variety of landscapes, including agricultural, forest, rural, semi-urban, and urban areas, with a greater abundance in rural areas featuring mixed vegetation. Colonies, which were eusocial, perennial, and cavity-nesting, occupied diverse substrates, including tree trunks, building walls, rock crevices, electric poles, and field ridges—tree trunks and walls being the most common. Wild nests were located at heights ranging from 0 to 13.46 m, mostly around 2 m. Nest entrances varied in shape (circular, oval, slit-like, or irregular), with a longest opening axis of 10.50 ± 2.94 mm, and were oriented in multiple directions. Internally, nests measured 198.31 ± 86.36 mm in length and 142.73 ± 17.28 mm in width. Nests featured brood zones surrounded by honey and pollen pots, along with structure-supporting elements like the involucra and pillars. Brood cells were light brown and oval; those for workers and drones were similar, while queen cells were larger. Honey pots were light to dark brown, oval, dome-shaped, or irregular. Each involucrum was a thin, flat sheet, and the pillar was short, narrow, thread-like. These findings offer valuable insights into the distribution, nesting behaviour, and nest architecture of Tetragonula pagdeni, supporting its conservation and sustainable management. Full article
Show Figures

Figure 1

29 pages, 9094 KB  
Article
The Breast Impact Monitoring System: A Portable and Wearable Platform to Support Injury Prevention in Female Athletes
by Cormac D. Fay, Ruby Dang, Jack Butler, Lucy Armitage, Joshua P. M. Mattock and Deirdre E. McGhee
Sensors 2025, 25(21), 6585; https://doi.org/10.3390/s25216585 - 26 Oct 2025
Viewed by 445
Abstract
This study presents the design and preliminary validation of a novel portable, wireless, and wearable sensing system—The Breast Impact Monitoring System (BIMS)—for female athletes, developed to monitor and quantify localised mechanical impacts to the breast during high-intensity sporting activity. The platform addresses a [...] Read more.
This study presents the design and preliminary validation of a novel portable, wireless, and wearable sensing system—The Breast Impact Monitoring System (BIMS)—for female athletes, developed to monitor and quantify localised mechanical impacts to the breast during high-intensity sporting activity. The platform addresses a critical gap in sports biomechanics by enabling, for the first time, objective measurement of breast forces in both controlled mechanical impact testing and preliminary on-body tackling trials for female athletes. Its application extends to advancing understanding of sports-related breast injuries, informing prevention strategies, and assessing the effectiveness of protective equipment. The BIMS leverages an array of 16 thin-film Force Sensitive Resistors (FSRs) and employs a dual-core microcontroller architecture to manage the trade-off between wireless constraints and high-speed data fidelity, successfully achieving uninterrupted acquisition at 856 Hz for each channel. The system was rigorously validated against a reference instrument using a commercial Force Plate and a custom mechanical drop rig, demonstrating high accuracy with a calibration model (R2=0.9988). Preliminary wearable testing confirmed the system’s capability to detect and spatially map high localised impact forces, including peak forces up to 550 N (across an area diameter of 20 mm), during preliminary rugby tackling activities. By offering a practical and scalable solution for capturing previously inaccessible data, this system establishes a foundation for future research into athlete welfare and long-term breast health. Full article
(This article belongs to the Collection Sensor Technology for Sports Science)
Show Figures

Graphical abstract

25 pages, 2239 KB  
Review
Carbon–Water Coupling in Forest Ecosystems Under Climate Change: Advances in Water Use Efficiency and Sustainability Perspectives
by Xiongwei Liang, Xue Cong, Baolong Du, Yongfu Ju, Yingning Wang and Dan Li
Sustainability 2025, 17(21), 9501; https://doi.org/10.3390/su17219501 - 25 Oct 2025
Viewed by 582
Abstract
Climate change is reshaping how forests balance carbon uptake and water loss. This review aims to clarify how climate change alters forest carbon–water coupling. Using water-use efficiency (WUE) as a unifying lens, we synthesize mechanisms from leaves to ecosystems and evaluate evidence from [...] Read more.
Climate change is reshaping how forests balance carbon uptake and water loss. This review aims to clarify how climate change alters forest carbon–water coupling. Using water-use efficiency (WUE) as a unifying lens, we synthesize mechanisms from leaves to ecosystems and evaluate evidence from studies screened in 2000–2025 spanning eddy covariance, tree-ring isotopes, remote sensing and models. Globally, tree-ring data indicate ~40% intrinsic WUE increases since 1901, yet ecosystem-scale gains are usually <20% after accounting for mesophyll conductance. Under drought, heat and high vapor-pressure deficit, photosynthesis declines more than evapotranspiration, producing partial carbon–water decoupling and lower WUEe. Responses vary with hydraulic traits, forest type/age and site water balance, with notable tropical data gaps. We identify when WUE gains translate into true resilience: stomatal regulation and canopy structure jointly maintain GPP, prevent hydraulic failure and ensure post-event recovery. Management options include thinning, species/provenance choice, mixed stands and adaptive rotations to balance carbon storage with water yield. Key uncertainties stem from sparse long-term observations, tropical satellite biases and models that overestimate WUE or underplay extremes. We recommend integrating multi-source, multi-scale data with interpretable hybrid models, expanding tropical networks and strengthening MRV frameworks to support risk-aware, climate-smart forestry. Full article
Show Figures

Figure 1

17 pages, 8801 KB  
Article
Bioavailability, Ecological Risk, and Microbial Response of Rare Earth Elements in Sediments of the Remediated Yitong River: An Integrated DGT and Multi-Parameter Assessment
by Yu Zhong, Chanchan Wu, Jiayi E, Yangguang Gu, Hai Chi and Xinglin Du
Microorganisms 2025, 13(11), 2443; https://doi.org/10.3390/microorganisms13112443 - 24 Oct 2025
Viewed by 419
Abstract
The expanding use of rare earth elements (REEs) in high-tech industrials has increased their environmental release, raising concerns about their ecological risks. This study employed the Diffusive Gradients in Thin Films (DGT) technique to assess REE bioavailability, spatial distribution, and ecological risks of [...] Read more.
The expanding use of rare earth elements (REEs) in high-tech industrials has increased their environmental release, raising concerns about their ecological risks. This study employed the Diffusive Gradients in Thin Films (DGT) technique to assess REE bioavailability, spatial distribution, and ecological risks of REEs in sediments of the Yitong River, a historically polluted urban river in Changchun, China. Sediment characteristics (organic matter, pH, salinity), nutrient dynamics (N, P), and metal concentrations (Fe, Mn, As, etc.) were analyzed alongside REEs to evaluate their interactions and environmental drivers. Results revealed that REE concentrations (0.453–1.687 μg L−1) were dominated by light REEs (50.1%), with levels an order of magnitude lower than heavily industrialized regions. Ecological risk quotients (RQ) for individual REEs were below thresholds (RQ < 1), indicating negligible immediate risks, though spatial trends suggested urban runoff influences. Probabilistic risk assessment integrating DGT data and species sensitivity distributions (SSD) estimated a low combined toxic probability (2.26%) for REEs and nutrients. Microbial community analysis revealed correlations between specific bacterial (e.g., Clostridium, Dechloromonas) and fungal genera (e.g., Pseudeurotium) with metals and REEs, highlighting microbial sensitivity to pollutant shifts. This study provides a multidimensional framework linking REE bioavailability, sediment geochemistry, and microbial ecology, offering insights for managing REE contamination in urban riverine systems. Full article
(This article belongs to the Section Environmental Microbiology)
Show Figures

Figure 1

15 pages, 4435 KB  
Case Report
Renal Hypoplasia and Oligomeganephronia in a Fetus with Wolf–Hirschhorn Syndrome
by Maria Paola Bonasoni, Mariangela Pati, Khush Shah, Andrea Musarò, Immacolata Blasi, Flavio Vanacore, Giovanna Botticelli, Veronica Barbieri, Veronica Bizzarri, Maria Marinelli, Moira Foroni, Lorenzo Aguzzoli and Marzia Pollazzon
Diagnostics 2025, 15(21), 2687; https://doi.org/10.3390/diagnostics15212687 - 24 Oct 2025
Viewed by 288
Abstract
Background and Clinical Significance: Wolf–Hirschhorn syndrome (WHS, OMIM #194190) is caused by deletion of the distal short arm of chromosome 4. It is characterized by intrauterine growth restriction (IUGR), developmental delay, epilepsy, distinctive facial features, and urinary tract anomalies, particularly renal hypoplasia. [...] Read more.
Background and Clinical Significance: Wolf–Hirschhorn syndrome (WHS, OMIM #194190) is caused by deletion of the distal short arm of chromosome 4. It is characterized by intrauterine growth restriction (IUGR), developmental delay, epilepsy, distinctive facial features, and urinary tract anomalies, particularly renal hypoplasia. However, the histological profile of renal involvement in WHS is rarely documented. Case presentation: We report a case of fetal WHS with renal hypoplasia and histological evidence of oligomeganephronia (OMN). At 21 weeks’ gestation, a prenatal ultrasound revealed oligo/anhydramnios and IUGR. Genetic testing (karyotype and CGH-array) confirmed a de novo 17.92 Mb terminal deletion from 4p16.3 to 4p15.31. The pregnancy was legally terminated at 23 weeks. The autopsy showed characteristic WHS dysmorphisms, growth restriction, and markedly small kidneys. Histology revealed OMN with a thinned renal cortex with reduced glomeruli, mainly hypoplastic, some of which were hypertrophic, and dilated proximal tubules. Scattered medullary tubules were present within the tubulointerstitial compartment, alongside thickened tubular basement membranes highlighted by Collagen IV staining. Conclusions: This case suggests that OMN may be a histological hallmark of renal hypoplasia in WHS, especially in larger 4p deletions. Recognizing this pattern may help with prenatal prognosis and clinical management. Further studies are needed to confirm this association. Full article
(This article belongs to the Section Pathology and Molecular Diagnostics)
Show Figures

Figure 1

Back to TopTop