Sign in to use this feature.

Years

Between: -

Subjects

remove_circle_outline
remove_circle_outline
remove_circle_outline
remove_circle_outline
remove_circle_outline
remove_circle_outline
remove_circle_outline

Journals

Article Types

Countries / Regions

Search Results (15)

Search Parameters:
Keywords = thin gingival phenotype

Order results
Result details
Results per page
Select all
Export citation of selected articles as:
22 pages, 2195 KB  
Case Report
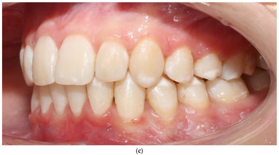
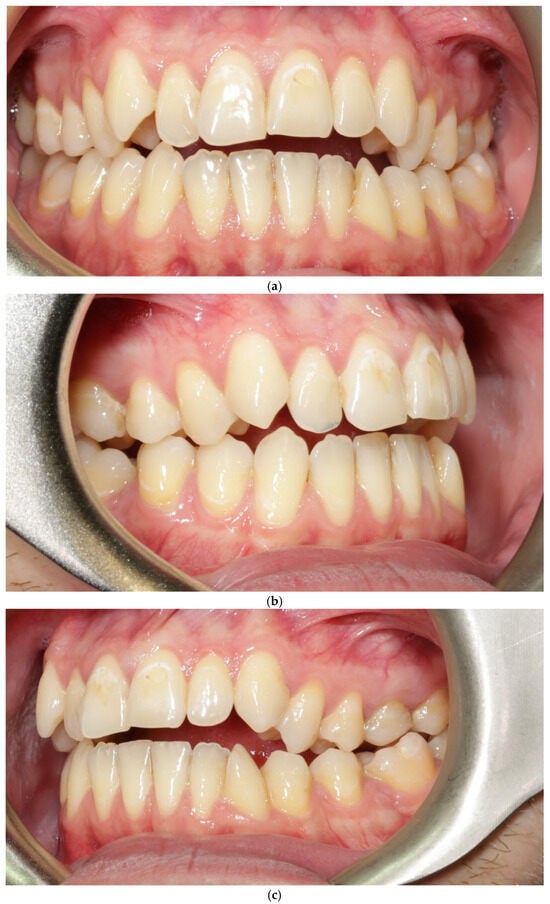
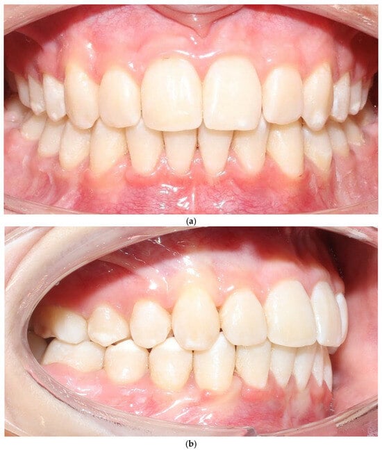
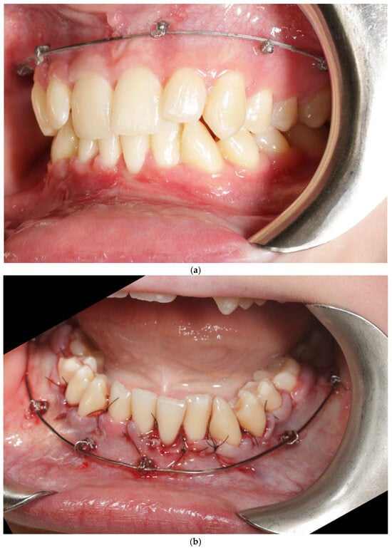
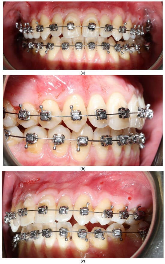
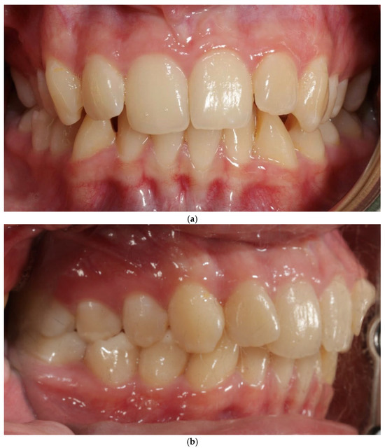
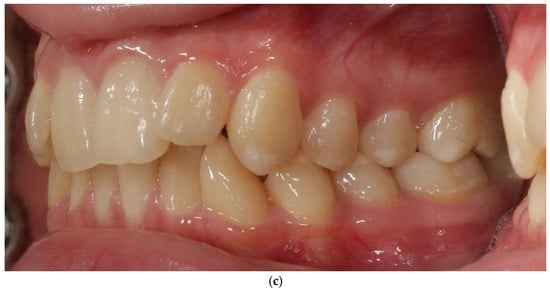
Clinical Soft Tissue Adaptation to Biomechanical Modulation with the Bone Protection System (BPS): A Two-Case Report in Thin-Biotype Patients
by Anna Ewa Kuc, Jacek Kotuła, Kamil Sybilski, Grzegorz Hajduk, Joanna Lis, Beata Kawala, Michał Sarul and Magdalena Sulewska
J. Clin. Med. 2026, 15(2), 721; https://doi.org/10.3390/jcm15020721 - 15 Jan 2026
Abstract
Background: Patients with a thin gingival phenotype and a narrow buccal alveolar plate are highly susceptible to periodontal complications during orthodontic expansion. Traditional biomechanics often fail to maintain root control in thin alveolar housing. This report presents two clinical cases illustrating soft- and [...] Read more.
Background: Patients with a thin gingival phenotype and a narrow buccal alveolar plate are highly susceptible to periodontal complications during orthodontic expansion. Traditional biomechanics often fail to maintain root control in thin alveolar housing. This report presents two clinical cases illustrating soft- and hard-tissue responses to a novel biomechanical approach, the Bone Protection System (BPS), designed to reduce buccal cortical overload during expansion. Case Presentation: Two adult patients with a thin gingival phenotype assessed by a standardized periodontal probe transparency test and narrow alveolar ridges underwent orthodontic expansion. Patient 1 was treated with the full BPS protocol in both arches. Patient 2 received BPS only in the maxilla, while the mandible was treated conventionally, creating an intra-individual control model under identical systemic conditions. Soft-tissue phenotype and cortical plate response were evaluated clinically and radiographically when applicable. Results: In Patient 1 clinically, the vestibular phenotype showed clear thickening and stabilization. In Patient 2, the maxillary arch treated with BPS exhibited progressive thickening of the vestibular phenotype, whereas the mandible treated conventionally presented thinning and increased translucency—features consistent with buccal compression in thin alveolar bone. No soft- or hard-tissue augmentation procedures were performed in either case. Conclusions: The Bone Protection System may contribute to improved periodontal safety during orthodontic expansion in thin-biotype patients by reducing buccal cortical loading and supporting adaptive soft-tissue and bone responses. Preliminary observations suggests that BPS has potential value for possibly expanding the biological limits of safe tooth movement. Further studies on larger cohorts are warranted. Full article
(This article belongs to the Special Issue Advances in Periodontitis and Other Periodontal Diseases)
Show Figures

Figure 1

20 pages, 280 KB  
Review
Biostimulation-Based Approaches for Gingival Tissue Augmentation in Thin Periodontal Phenotype: Potential Applications for Orthodontic Patients
by Amelia Rusiecka, Natalia Bielecka-Kowalska and Sebastian Kłosek
J. Clin. Med. 2026, 15(2), 576; https://doi.org/10.3390/jcm15020576 - 11 Jan 2026
Viewed by 203
Abstract
Gingival recession, particularly in patients exhibiting a thin periodontal phenotype, is a prevalent and challenging complication associated with orthodontic treatment, among other factors. Recent advances in biostimulation therapies aim to support soft tissue augmentation by increasing gingival thickness (GT) and keratinized tissue width [...] Read more.
Gingival recession, particularly in patients exhibiting a thin periodontal phenotype, is a prevalent and challenging complication associated with orthodontic treatment, among other factors. Recent advances in biostimulation therapies aim to support soft tissue augmentation by increasing gingival thickness (GT) and keratinized tissue width (KTW) while minimizing the need for invasive surgical procedures. This narrative review explores the available clinical evidence regarding several biostimulation techniques, including injectable platelet-rich fibrin (i-PRF), microneedling (MN), concentrated growth factors (CGF), atelocollagen, hyaluronic acid (HA), and low-level laser therapy (LLLT), with a particular focus on their potential adjunctive role in orthodontic patients with a thin periodontal phenotype. While i-PRF and microneedling—used alone or in combination—have shown promising short-term soft tissue thickening and reduced patient morbidity when compared with conventional grafting procedures, the available evidence is largely derived from small, randomized trials, pilot studies, and non-orthodontic cohorts, limiting the strength of comparative conclusions. Minimally invasive biostimulation techniques may represent potential adjunctive strategies for soft tissue management in selected clinical scenarios. Nevertheless, current evidence remains limited and heterogeneous, and robust, long-term, orthodontic-specific clinical trials are required before these approaches can be considered reliable alternatives to established surgical protocols or validated preventive strategies against gingival recession. Full article
(This article belongs to the Section Dentistry, Oral Surgery and Oral Medicine)
14 pages, 869 KB  
Article
Gingival Thickness Improvement After Atelocollagen Injection—Retrospective Study
by Sylwia Klewin-Steinböck, Anna Duda-Sobczak and Marzena Liliana Wyganowska
Life 2026, 16(1), 65; https://doi.org/10.3390/life16010065 - 1 Jan 2026
Viewed by 240
Abstract
Background: This study evaluates the increase in gingival thickness following the administration of injectable atelocollagen. Materials and Methods: A retrospective analysis was conducted using the medical records of 60 patients with a thin gingival phenotype at baseline, treated between 2017 and 2025. All [...] Read more.
Background: This study evaluates the increase in gingival thickness following the administration of injectable atelocollagen. Materials and Methods: A retrospective analysis was conducted using the medical records of 60 patients with a thin gingival phenotype at baseline, treated between 2017 and 2025. All patients received a standardised protocol for soft tissue thickness modification using atelocollagen injections. Based on the continuation of maintenance therapy, patients were divided into Group A (n = 30), consisting of patients who received booster doses at six-month intervals following completion of the full treatment protocol, and Group B (n = 30), consisting of patients who did not continue maintenance therapy. The observation period for all patients was five years. Gingival thickness was assessed by periodontal probe transparency using a standard WHO probe (WHO 621) and the Hu-Friedy Colorvue Biotype Probe. Longitudinal changes were analysed using linear mixed-effects models (LMMs) for continuous outcomes and generalised linear mixed-effects models (GLMMs) with a binomial distribution and logit link for binary outcomes, accounting for repeated measurements at the patient level. Results: Significant effects of Group and Time, as well as their interaction, were observed for the proportion of sites with a thick gingiva (Group effect: F (1,93.14) = 57.94, p < 0.001; Group × Time interaction: p < 0.001). GLMM analysis confirmed a significant Group × Time interaction (χ2 = 23.11, p < 0.001), indicating sustained gingival thickness improvement in Group A and a gradual decrease in effectiveness in Group B. Conclusions: Injectable atelocollagen represents a reliable, effective, and user-friendly method for long-term modification of gingival thickness, particularly when supported by maintenance therapy. Full article
(This article belongs to the Section Medical Research)
Show Figures

Figure 1

13 pages, 2143 KB  
Review
Crown Lengthening Surgery in the Esthetic Area for Optimized Results: A Review with Surgical Recommendations
by Sérgio Kahn, Walmir Júnio de Pinho Reis Rodrigues, Alexandra Tavares Dias, Rodrigo Resende, Juliana Campos Hasse Fernandes and Gustavo Vicentis Oliveira Fernandes
Surgeries 2024, 5(4), 1043-1055; https://doi.org/10.3390/surgeries5040084 - 28 Nov 2024
Cited by 6 | Viewed by 7182
Abstract
Background: Crown lengthening (CL) in esthetic areas has become a versatile procedure with applications in many clinical situations. Knowledge concerning different periodontal phenotypes, and the supracrestal tissue attachment (STA)—former biological width—has allowed for a better understanding of surgical management, allowing for the individualization [...] Read more.
Background: Crown lengthening (CL) in esthetic areas has become a versatile procedure with applications in many clinical situations. Knowledge concerning different periodontal phenotypes, and the supracrestal tissue attachment (STA)—former biological width—has allowed for a better understanding of surgical management, allowing for the individualization of surgical therapy. This review presented an individualized surgical approach to CL in esthetic areas based on evaluating the phenotype and current considerations about the STA, correlating them to suggestive surgical techniques. Methods: For an individualized surgical approach, it is primarily necessary to understand STA, including the relationship and distance between the cementoenamel junction (CEJ) and the bone crest (BC) and the position of the free gingival margin (FGM); secondarily, it is necessary to verify the periodontal phenotype to prepare surgical planning (gingivectomy or osseous resection/contouring). Three periodontal phenotypes are recognized, presenting different biological behaviors due to specific characteristics implicitly correlated to soft tissue management. Results: Then, after assessing the distance from the CEJ to the BC, the position of the FGM, and the periodontal phenotype, it is possible to individualize the treatment according to the phenotype. In cases of a thin and scalloped periodontium with delicate gingiva, there might be the presence of bone dehiscence, fenestration, and instability in the healing of the gingival margin, bringing extra attention to tissue manipulation and suggesting a minimally invasive technique (no flap). A partial-thickness flap is recommended for a thick and scalloped periodontium, keeping the periosteum adhered to the bone. For periodontium B (fibrous and dense gingiva and tissue resistant to injuries), the surgical approach recommended is an open full-thickness flap with osteotomy for horizontal and vertical bone volume removal. Then, observing first the specific parameters, such as the STA, CEJ, BC, FGM, and KTW, and then the characteristics of periodontal phenotypes, it is possible to determine the individualized surgical strategy and a reasonable surgical approach to tissue manipulation in clinical CL surgeries. Conclusions: The surgical approach must be defined according to individualized planning since several variables can influence the dynamics of the periodontal tissues. Full article
Show Figures

Figure 1

14 pages, 1837 KB  
Article
Interdisciplinary Approaches by Polish Orthodontists, Periodontists, and Oral Surgeons to Soft Tissue Augmentation in Adult Patients: A Survey Study
by Edyta Kalina, Monika Machoy and Bartłomiej Górski
Appl. Sci. 2024, 14(21), 9647; https://doi.org/10.3390/app14219647 - 22 Oct 2024
Cited by 1 | Viewed by 2056
Abstract
This study evaluates the preferences of dentists regarding the interdisciplinary treatment of patients with gingival recession (GR) and a thin periodontal phenotype, based on their specialization. A cross-sectional study was conducted among Polish dentists, between May and October 2022, using an online survey. [...] Read more.
This study evaluates the preferences of dentists regarding the interdisciplinary treatment of patients with gingival recession (GR) and a thin periodontal phenotype, based on their specialization. A cross-sectional study was conducted among Polish dentists, between May and October 2022, using an online survey. The dentists were first asked to provide details regarding their specialization and the length of their professional career. In the second part of the survey, they responded to questions about the preferred timing of a consultation and soft tissue augmentation in patients who planned to undertake orthodontic treatment (OT). Moreover, factors undermining the decision-making process regarding soft tissue augmentation and the methods used for the evaluation of periodontal tissues were assessed. In total, 554 dentists completed the survey, among whom 328 were orthodontists and 226 were periodontists/oral surgeons. A third of the surveyed periodontists/oral surgeons (33%) reported that they receive referrals from orthodontists prior to OT and 39% of orthodontists indicated that they refer patients for soft tissue augmentation before commencing OT. The majority of periodontists/oral surgeons (51%) and the most significant proportion of orthodontists (45%) agreed that the ideal timing of soft tissue augmentation is dependent on each specific case. Both groups of surveyed dentists considered “planned tooth movement” as the most important factor in clinical decision-making. Among the periodontists/oral surgeons, the most popular methods to assess periodontal tissues were: 3D radiological examination, the visual method, and gingival transparency with the use of a periodontal probe. On the other hand, the surveyed orthodontists preferred the visual method, followed by 2D radiological examination, and then by 3D radiological examination. The majority of surveyed periodontists/oral surgeons and orthodontists agreed that the ideal timing of soft tissue augmentation in patients undertaking orthodontic treatment should be decided on a case-by-case basis, with planned tooth movement being the determining factor. Full article
(This article belongs to the Special Issue Orthodontic Treatment in Oral Health)
Show Figures

Figure 1

11 pages, 3014 KB  
Case Report
Periodontal Phenotype Modification of Peri-Implant Soft Tissue Deficiency Using Subepithelial Connective Tissue Grafts and Bone Grafts in the Esthetic Region
by Won-Bae Park, Roberto Gonzalez Yumar, Ji-Young Han and Philip Kang
Medicina 2024, 60(6), 841; https://doi.org/10.3390/medicina60060841 - 21 May 2024
Cited by 2 | Viewed by 3941
Abstract
Peri-implant soft tissue deficiency (PSTD) is a significant factor impacting aesthetics, particularly in the anterior zone, where labial bone resorption and thin peri-implant phenotypes are common. The occurrence of a gray color around the implant fixture due to PSTD can be aesthetically concerning [...] Read more.
Peri-implant soft tissue deficiency (PSTD) is a significant factor impacting aesthetics, particularly in the anterior zone, where labial bone resorption and thin peri-implant phenotypes are common. The occurrence of a gray color around the implant fixture due to PSTD can be aesthetically concerning in the esthetic zone. In cases involving natural teeth, autogenous soft tissue grafts such as subepithelial connective tissue grafts (SCTGs), free gingival grafts (FGGs), and coronally advanced flaps (CAFs) are commonly utilized. However, there are limited reports of using bone grafts in conjunction with these techniques for modifying the gingival phenotype around both teeth and implants. In the presented cases where PSTD resulted in visible gray coloration of the implant fixture in the esthetic zone, mechanical and chemical decontamination of the exposed implant surface was performed using a titanium brush and tetracycline (Tc) HCl. Subsequently, to enhance peri-implant mucosa thickness and mask the titanium color, simultaneous SCTG and bone grafting procedures were conducted. Within the limitations of these case reports, successful esthetic outcomes were achieved and maintained without recurrence for 3–6 years following the simultaneous subepithelial connective tissue graft and bone graft procedures. These findings suggest the potential efficacy of this combined approach in addressing PSTD and enhancing aesthetic results around dental implants, though further studies are needed to validate these outcomes. Full article
(This article belongs to the Special Issue Recent Advances in Dental Implants and Oral Health)
Show Figures

Figure 1

33 pages, 1162 KB  
Systematic Review
Prevalence of the Gingival Phenotype in Adults and Associated Risk Factors: A Systematic Review of the Literature
by Sophie-Myriam Dridi, Clément Ameline, Jean Michel Heurtebise, Séverine Vincent-Bugnas and Carole Charavet
Clin. Pract. 2024, 14(3), 801-833; https://doi.org/10.3390/clinpract14030064 - 8 May 2024
Cited by 4 | Viewed by 4221
Abstract
The relevance of assessing the gingival phenotype prior to the initiation of periodontal, orthodontic, or prosthetic therapy has been clearly demonstrated. However, publications on this subject are either old or concerned with the means of assessing the gingival phenotype or the main factors [...] Read more.
The relevance of assessing the gingival phenotype prior to the initiation of periodontal, orthodontic, or prosthetic therapy has been clearly demonstrated. However, publications on this subject are either old or concerned with the means of assessing the gingival phenotype or the main factors likely to modify it. The main objective of this systematic review of the literature was therefore to investigate the prevalence of different gingival phenotypes in adults in good general health and with a healthy periodontium. A systematic review of the literature was performed following the guidelines of PRISMA recommendations using an electronic search strategy on four databases (PubMed, Scopus, Cochrane Library, and Embase) complemented by a manual search. Three independent authors were involved in study selection, data extraction, and bias assessment. Results: Of 807 articles, 17 of them, published between 2012 and 2023, involving 3277 subjects from 11 countries and 9766 dental sites, fulfilled the inclusion criteria. The prevalence of the gingival phenotype could not be determined at the level of an individual or a dental arch because all the publications assessed this phenotype only at the level of certain dental sectors, and were not chosen at random. The maxillary central incisors and maxillary or mandibular first molar sectors were associated with a high and thick gingival phenotype, independently of the dental morphology, gender, and age of adult subjects. Furthermore, in these regions, this gingival phenotype tended to be associated with a thick vestibular bone table. In contrast, maxillary and mandibular incisors and premolars more often had a thin gingival phenotype. For other teeth, the results were less conclusive. It is important not to rely solely on the overall appearance of the dentition but to independently assess the thickness and height of the gingiva at each dental site requiring intervention. Finally, this study highlights a key point, namely the need for further longitudinal studies to determine the prevalence in healthy adults. For practicality and feasibility reasons, these studies should be designed according to therapeutic needs, dental sector by dental sector, and within homogeneous source populations. PROSPERO registration: CRD 42023392602. Full article
Show Figures

Figure 1

15 pages, 260 KB  
Article
Association between Gingival Phenotype and Periodontal Disease Severity—A Comparative Longitudinal Study among Patients Undergoing Fixed Orthodontic Therapy and Invisalign Treatment
by Mansour M. Alasiri, Abdullah Almalki, Saud Alotaibi, Abdullah Alshehri, Alhanouf A. Alkhuraiji and Julie Toby Thomas
Healthcare 2024, 12(6), 656; https://doi.org/10.3390/healthcare12060656 - 14 Mar 2024
Cited by 6 | Viewed by 3277
Abstract
This longitudinal study aimed to compare the association between gingival phenotype (thin vs. thick) and periodontal disease severity in patients undergoing fixed orthodontic therapy (FOT) and Invisalign treatment over a six-month follow-up period. Clinical periodontal parameters, including full mouth plaque score (FMPS), full [...] Read more.
This longitudinal study aimed to compare the association between gingival phenotype (thin vs. thick) and periodontal disease severity in patients undergoing fixed orthodontic therapy (FOT) and Invisalign treatment over a six-month follow-up period. Clinical periodontal parameters, including full mouth plaque score (FMPS), full mouth bleeding score (FMBS), gingival index (GI), probing pocket depth (PPD), clinical attachment loss (CAL), gingival recession (GR), keratinized tissue width (KTW), transgingival probing, and gingival biotype assessment, were recorded at baseline and 6 months into treatment for both orthodontic groups and a control group. Statistical analysis evaluated differences in parameters between groups and across time points. In the thick phenotype, both Invisalign and FOT groups showed a significant mean reduction in FMPS (baseline to 6 months) by −24.8707 and −12.3489, respectively (p < 0.05). The gingival index decreased significantly for both groups, with Invisalign and FOT showing reductions of −0.83355 and −1.10409, respectively (p < 0.05). FMBS (baseline to 6 months) decreased significantly for Invisalign and FOT, with mean differences of −9.10298 and −12.6579 (p < 0.05). Probing pocket depth (baseline to 6 months) was also significantly reduced for both Invisalign and FOT groups while CAL showed non-significant differences in both groups (p > 0.05). Similar changes were seen in the thin phenotype too. This study highlights the positive influence of both Invisalign and fixed orthodontic therapy on periodontal health, particularly in patients with thin and thick gingival biotypes. These findings, with significant reductions in key periodontal parameters, offer valuable insights to guide orthodontic treatment decisions and enhance patient outcomes. Full article
8 pages, 5194 KB  
Case Report
Submerged Technique of Partially De-Epithelialized Free Gingival Grafts for Gingival Phenotype Modification in the Maxillary Anterior Region: A Case Report of a 34-Year Follow-up
by Won-Bae Park, Wonhee Park, Philip Kang, Hyun-Chang Lim and Ji-Young Han
Medicina 2023, 59(10), 1832; https://doi.org/10.3390/medicina59101832 - 15 Oct 2023
Cited by 2 | Viewed by 3734
Abstract
A coronally advanced flap combined with a subepithelial connective tissue graft is considered the gold standard for achieving root coverage on exposed root surfaces. Nevertheless, challenges arise when this technique is applied to multiple teeth and when the palatal soft tissue is very [...] Read more.
A coronally advanced flap combined with a subepithelial connective tissue graft is considered the gold standard for achieving root coverage on exposed root surfaces. Nevertheless, challenges arise when this technique is applied to multiple teeth and when the palatal soft tissue is very thin. Several surgical modifications have been reported to simultaneously achieve both single or multiple root coverage and widening of the keratinized gingiva. In this context, there have been no reported cases utilizing the submerged technique with partially de-epithelialized free gingival grafts. We intend to introduce a submerged technique involving partially de-epithelialized free gingival grafts for the modification of soft tissue phenotypes in the maxillary anterior region. Full article
Show Figures

Figure 1

10 pages, 790 KB  
Article
Evaluation of Gingival Phenotype in the Early Transitional Dentition Phase in Children—Comparison of Three Non-Invasive Methods
by Agnieszka Kus-Bartoszek, Mariusz Lipski, Anna Jarząbek, Joanna Manowiec, Ewa Marek and Agnieszka Droździk
J. Clin. Med. 2023, 12(18), 5897; https://doi.org/10.3390/jcm12185897 - 11 Sep 2023
Cited by 2 | Viewed by 2062
Abstract
Gingival phenotype (GP) is determined based on the thickness and width of the gingival tissue. An evaluation of GP is essential for adequate treatment planning and outcome monitoring, including orthodontic treatments in a paediatric population. The present study aimed to compare the reliability [...] Read more.
Gingival phenotype (GP) is determined based on the thickness and width of the gingival tissue. An evaluation of GP is essential for adequate treatment planning and outcome monitoring, including orthodontic treatments in a paediatric population. The present study aimed to compare the reliability of the visual and TRAN methods with that of the ultrasound biometer measurements in the early transitional dentition phase. One hundred ninety three generally healthy, 7-year-old children were examined. An assessment of GP was performed by a paedodontist and a periodontist. The average thickness of the gingiva was 0.76 ± 0.36 mm, which was classified as a thin GP. The agreement between a visual assessment and the biometric ultrasound measurements reached the highest (94%) level when assessing a very thin GP (Spearman’s rank correlation coefficient r = 0.37, p < 0.01). Similarly, 99% agreement in the diagnosis of a thin GP was recorded for the TRAN and ultrasound methods (Spearman’s rank correlation coefficient r = 0.49, p < 0.001). In total, 86% of cases diagnosed as having a thick GP using the TRAN method turned out to be thin according to the ultrasound measurements. The dentist’s specialization and professional experience in the assessment of GP were irrelevant (Spearman’s rank correlation coefficient r = 0.49, p < 0.001). All methods tested in the present study were proven to be easy to perform and well accepted by the children. The visual assessment and TRAN methods, despite the fact that they enabled the diagnosis of a thin GP (crucial for treatment planning), cannot be recommended during the teeth replacement period. A misdiagnosis of thick GP may deprive a young at-risk patient of special supervision, which may develop into mucogingival deformities. A biometric ultrasound, although expensive, allows for reliable assessment of the gingiva thickness when needed. Full article
Show Figures

Graphical abstract

8 pages, 2181 KB  
Case Report
Periodontal Phenotype Modification Using Subepithelial Connective Tissue Graft and Bone Graft in the Mandibular Anterior Teeth with Mucogingival Problems Following Orthodontic Treatment
by Won-Bae Park, Wonhee Park, Seung-Weon Lim and Ji-Young Han
Medicina 2023, 59(3), 584; https://doi.org/10.3390/medicina59030584 - 16 Mar 2023
Cited by 7 | Viewed by 5929
Abstract
Among the complications of orthodontic treatment, mucogingival problems with gingival recession in the mandibular anterior teeth are challenging for clinicians. Mucogingival problems can lead to esthetic deficits, thermal hypersensitivity, tooth brushing pain, and complicated plaque control. Herein, we present a case of a [...] Read more.
Among the complications of orthodontic treatment, mucogingival problems with gingival recession in the mandibular anterior teeth are challenging for clinicians. Mucogingival problems can lead to esthetic deficits, thermal hypersensitivity, tooth brushing pain, and complicated plaque control. Herein, we present a case of a 16-year-old female with gingival recession in the left mandibular central incisor after orthodontic treatment. The preoperative clinical findings showed a thin soft tissue biotype with root prominence in the mandibular anterior area. The interdental area was relatively depressed. After reflection of the full-thickness flap, root coverage using a bone graft substitute and subepithelial connective tissue graft obtained from the palatal mucosa was performed. The 6-month and 5-year postoperative clinical findings showed improved soft tissue phenotype. The cross-sectional CBCT scans 5 years after surgery showed a well-maintained labial bone plate in the mandibular incisors. Within the limitations of this case report, for patients with gingival recession in the mandibular incisors after orthodontic treatment, a successful biotype modification can be achieved with a combined procedure using subepithelial connective tissue graft with bone graft substitutes. Full article
Show Figures

Figure 1

13 pages, 7745 KB  
Article
Clinical Behavior of the Gingival Margin following Conservative “Coronally Dynamic” Restorations in the Presence of Non-Carious Cervical Lesions Associated with Gingival Recession: A Pilot Study
by Felice Femiano, Rossella Sorice, Rossella Femiano, Luigi Femiano, Ludovica Nucci, Vincenzo Grassia, Marco Annunziata, Andrea Baldi, Nicola Scotti and Livia Nastri
Dent. J. 2022, 10(7), 132; https://doi.org/10.3390/dj10070132 - 13 Jul 2022
Cited by 6 | Viewed by 6166
Abstract
Gingival recessions (GR) are often associated with the presence of non-carious cervical lesions (NCCL). The latter result in the disappearance of the cement–enamel junction (CEJ), with consequent difficulties both in measuring the recession itself and in performing root coverage techniques. The restoration of [...] Read more.
Gingival recessions (GR) are often associated with the presence of non-carious cervical lesions (NCCL). The latter result in the disappearance of the cement–enamel junction (CEJ), with consequent difficulties both in measuring the recession itself and in performing root coverage techniques. The restoration of cervical lesions is consequently an important aspect in the treatment of GR, with the re-establishment of a “new” CEJ. This pilot study aimed to verify whether restorative therapy alone, with the execution of a restoration that mimics the convexity of the natural CEJ and thanks to a slight horizontal over-contour, can stabilize a clot in the intrasulcular site and consequently is able to change the position of the gingival margin in a coronal direction. In periodontally healthy patients, with a non-thin gingival phenotype, 10 GR-associated NCCL restorations were performed using a protocol inspired by concepts of prosthetic conditioning, with a progressively reduced convexity (“coronally dynamic restoration”) and de-epithelialization of the gingival sulcus. We observed that 70% of the treated teeth showed a reduction in crown length after 15 days (−0.267 mm), without an increase in probing depth. While considering the limitations of the sample and the need to evaluate the different parameters that can affect the result, the coronally dynamic restoration of NCCL with GR was able to influence the position of the gingival margin in a coronal direction. Full article
(This article belongs to the Special Issue Dentinal Hypersensitivity)
Show Figures

Figure 1

12 pages, 1502 KB  
Article
Gingival Phenotype Changes and the Prevalence of Mucogingival Deformities during the Early Transitional Dentition Phase—A Two-Year Longitudinal Study
by Agnieszka Kus-Bartoszek, Mariusz Lipski, Anna Jarząbek, Joanna Manowiec and Agnieszka Droździk
Int. J. Environ. Res. Public Health 2022, 19(7), 3899; https://doi.org/10.3390/ijerph19073899 - 25 Mar 2022
Cited by 7 | Viewed by 4715
Abstract
Thin gingival phenotype (GPh) may contribute to periodontal tissue breakdown and recession development. Thus, the early identification of thin GPh in children can allow proper preventive care and the identification of children at risk during orthodontic treatment. The present long-term study aimed to [...] Read more.
Thin gingival phenotype (GPh) may contribute to periodontal tissue breakdown and recession development. Thus, the early identification of thin GPh in children can allow proper preventive care and the identification of children at risk during orthodontic treatment. The present long-term study aimed to monitor GPh changes, i.e., thickness (GT) and width of attached gingiva (AGW) during the early transitional dentition phase, as well as its potential associations with the mucogingival deformities. Materials and Methods: 83 systematically healthy children were examined twice with an interval of 2 years. Probing depth, GT and AGW at mandibular incisors, vestibular depth, type of lower lip frenum attachment and mucogingival defects were recorded. Results: 95.2% of participants at baseline and 93.9% at 2-year examination expressed thin GPh. During the transition from the deciduous to permanent dentition, GT and AGW declined, but the GT of permanent incisors already erupted at the baseline examination increased in the observation period. Conclusions: Gingival phenotype undergoes changes in the early transitional dentition phase. In spite of the thin gingival phenotype, only single pseudo-recessions and primary shallow vestibule were noticed. Full article
Show Figures

Figure 1

9 pages, 451 KB  
Article
Gingival Recessions and Periodontal Status after Minimum 2-Year-Retention Post-Non-Extraction Orthodontic Treatment
by Livia Nastri, Ludovica Nucci, Domenico Carozza, Stefano Martina, Ismene Serino, Letizia Perillo, Fabrizia d’Apuzzo and Vincenzo Grassia
Appl. Sci. 2022, 12(3), 1641; https://doi.org/10.3390/app12031641 - 4 Feb 2022
Cited by 6 | Viewed by 3739
Abstract
The objectives of this study were to assess gingival recessions (GR) and periodontal status in patients previously treated with non-extraction orthodontic treatment and retention at a follow-up of a minimum of two years after the end of treatment. Data from patients aged between [...] Read more.
The objectives of this study were to assess gingival recessions (GR) and periodontal status in patients previously treated with non-extraction orthodontic treatment and retention at a follow-up of a minimum of two years after the end of treatment. Data from patients aged between 16 and 35 years with a previous non-extraction orthodontic treatment and at least 2 years of retention and full records before and after treatment were collected. The casts were digitalized using the 3Shape TRIOS® intraoral scanner and the Viewbox4 software was used for the measurements. The following parameters were scored: inclination of the lower and upper incisors (IMPA and I^SN) and anterior crowding (Little index). The included patients were recalled for a clinical periodontal follow-up examination and the following parameters were evaluated: buccal and lingual GR (mm) of incisors and canines, bleeding of probing score, plaque score, and gingival phenotype. The digital cast analysis showed a mean Little index of 7.78 (SD 5.83) and 1.39 (SD 0.79), respectively, before and after treatment. The initial and final cephalometric analyses showed an I^SN of 103.53° and 105.78° (SD 7.21) and IMPA of 91.3°and 95.1°, respectively. At the follow-up periodontal visits, the patients showed an overall low oral hygiene with bleeding at probing in 66.6% and plaque in the anterior area in 76.2% of patients. From the total examined 240 teeth of the frontal sextants, three patients had GR (from 1 to 6.5 mm): in the upper arch two at canines and one at central incisor, whereas in the lower arch two at central and one at lateral incisors. The gingival phenotype was thick in 55% of cases. The lingual-to-lingual retainers at follow-up were present in 61.9% of patients. A slight increased risk for buccal GR development was found only in correlation with the presence of fixed retainer and thin gingival phenotype mainly in patients with gingivitis. Thus, non-extraction orthodontic treatment performed with controlled forces and biomechanics seems to not affect the development of GR or the periodontal health after retention. Full article
(This article belongs to the Special Issue State-of-the-Art in Orthodontics and Gnathology)
Show Figures

Figure 1

12 pages, 984 KB  
Review
Is There an Association between the Gingival Phenotype and the Width of Keratinized Gingiva? A Systematic Review
by Elpiniki Vlachodimou, Ioannis Fragkioudakis and Ioannis Vouros
Dent. J. 2021, 9(3), 34; https://doi.org/10.3390/dj9030034 - 23 Mar 2021
Cited by 38 | Viewed by 13691
Abstract
The concept of gingival phenotype and width of keratinized gingiva influencing the diagnosis and treatment in the periodontal scenario is relatively new. Soft and hard tissue dimensions of oral tissues are considered essential parameters in daily clinical practice. Factors such as the biotype [...] Read more.
The concept of gingival phenotype and width of keratinized gingiva influencing the diagnosis and treatment in the periodontal scenario is relatively new. Soft and hard tissue dimensions of oral tissues are considered essential parameters in daily clinical practice. Factors such as the biotype category and the width of the keratinized gingiva help dentists seek the perfect therapy plan for each patient to achieve long-term stability of periodontal health. Several methods have been proposed to categorize phenotypes and each phenotype is characterized by various clinical characteristics. This review aims to discuss the possible association between the gingival phenotype and the width of keratinized gingiva along with the results appeared. After a rigorous search in major electronic databases, the results of the included studies indicated that the width of keratinized gingiva seems to be associated with the periodontal phenotype, with thick biotypes being characterized by a more pronounced keratinized gingival width. However, the heterogeneity of the included studies did not allow to make a conclusion about a direct relationship. Full article
(This article belongs to the Section Oral Hygiene, Periodontology and Peri-implant Diseases)
Show Figures

Figure 1

Back to TopTop