Sign in to use this feature.

Years

Between: -

Subjects

remove_circle_outline
remove_circle_outline
remove_circle_outline
remove_circle_outline
remove_circle_outline
remove_circle_outline
remove_circle_outline
remove_circle_outline
remove_circle_outline

Journals

remove_circle_outline
remove_circle_outline
remove_circle_outline
remove_circle_outline
remove_circle_outline
remove_circle_outline
remove_circle_outline
remove_circle_outline
remove_circle_outline
remove_circle_outline
remove_circle_outline
remove_circle_outline
remove_circle_outline
remove_circle_outline
remove_circle_outline
remove_circle_outline
remove_circle_outline
remove_circle_outline
remove_circle_outline
remove_circle_outline
remove_circle_outline
remove_circle_outline
remove_circle_outline
remove_circle_outline
remove_circle_outline
remove_circle_outline
remove_circle_outline
remove_circle_outline
remove_circle_outline
remove_circle_outline
remove_circle_outline
remove_circle_outline

Article Types

Countries / Regions

remove_circle_outline
remove_circle_outline
remove_circle_outline
remove_circle_outline
remove_circle_outline
remove_circle_outline
remove_circle_outline
remove_circle_outline
remove_circle_outline

Search Results (7,138)

Search Parameters:
Keywords = textiles

Order results
Result details
Results per page
Select all
Export citation of selected articles as:
22 pages, 7594 KB  
Article
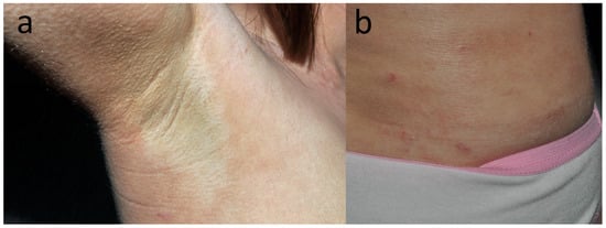
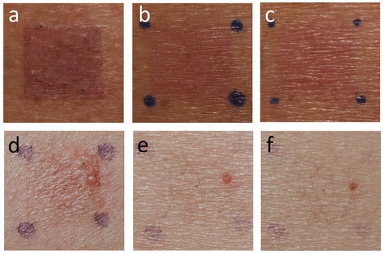
Patch Testing with Disperse Blue Mix and Textile Dye Mix in Textile Dermatitis: Diagnostic Effectiveness, Co-Positivity and Clinical Relevance
by Radoslaw Spiewak
J. Clin. Med. 2026, 15(8), 2936; https://doi.org/10.3390/jcm15082936 (registering DOI) - 12 Apr 2026
Abstract
Background/Objectives: Textile dermatitis seems underdiagnosed, partly due to low awareness of this problem and partly due to imperfect screening methods. The aim of this study was to analyse the diagnostic efficacy and clinical relevance of two textile dye mixes used in routine [...] Read more.
Background/Objectives: Textile dermatitis seems underdiagnosed, partly due to low awareness of this problem and partly due to imperfect screening methods. The aim of this study was to analyse the diagnostic efficacy and clinical relevance of two textile dye mixes used in routine patch testing. Methods: Retrospective analysis of patch test results and clinical records of patients tested with textile dyes in a specialised patch test practice. Results: Between 2007 and 2024, 207 patients were patch tested with Disperse Blue Mix 106/124 (DBM). Positive reactions were observed in 17.4% of patients, including 10.6% considered clinically relevant. Between 2019 and 2023, 90 patients were tested with Textile Dye Mix (TDM) 6.6%, of whom 14.4% developed a positive reaction, relevant in 4.4%. In a subgroup tested with TDM 6.6%, DBM, all their components and cross-reacting azo dyes, out of eight patients with confirmed textile dermatitis, three cases would have been missed if screening had been performed using TDM alone (6.6%), compared with one case being missed if screening had been performed using DBM alone. The highest rate of positivity (78.6%) to TDM 6.6% was found among patients with an allergy to the common hair dye Toluene 2,5–Diamine Sulfate, all of whom were also positive to Disperse Orange 3 (DO3) present in TDM 6.6%. Among patients with positive tests to Disperse Blue (DB) 106 1% pet. or DB124 1% pet., 68.7% and 85.7%, respectively, reacted also to DBM 106/124 (each component at 0.5%), with respective figures for TDM 6.6% (DB106 and DB124 each at 0.3%) amounting to a mere 12.5% and 14.3%. Conclusions: The detection rates of textile dermatitis can be increased by improving screening tools for textile dye allergy in baseline series for routine patch testing. Based on the results of this study, proposed improvements include removing Disperse Orange 3 from the textile dye mix, tripling the concentrations of Disperse Blue 106 and Disperse Blue 124 in the textile dye mix, and doubling their concentrations in the Disperse Blue Mix 106/124. Full article
Show Figures

Figure 1

33 pages, 1056 KB  
Article
Barriers and Socio-Economic Drivers of Renewable Energy Adoption Among Manufacturing SMEs: A Structural Equation Modeling Approach
by Tanvir Fittin Abir, Md. Mamun Mia and Jewel Kumar Roy
Sustainability 2026, 18(8), 3809; https://doi.org/10.3390/su18083809 (registering DOI) - 11 Apr 2026
Abstract
Background: Small- and medium-sized enterprises (SMEs) constitute a large portion of the industrial energy demand in the emerging economies, but their shift to renewable energy is not well comprehended at the firm level. Bangladesh is a special case, since the country has adopted [...] Read more.
Background: Small- and medium-sized enterprises (SMEs) constitute a large portion of the industrial energy demand in the emerging economies, but their shift to renewable energy is not well comprehended at the firm level. Bangladesh is a special case, since the country has adopted national commitments to Sustainable Development Goal 7 on clean energy, but the uptake of renewable energy by SMEs remains minimal due to complex socio-economic factors. Most of the literature has concentrated on household access to energy or national policy models, leaving a gap in empirically validated models of firm-level adoption in the manufacturing sector. Method: Based on the diffusion of innovation theory, institutional theory, and the resource-based view, this research paper formulates and empirically verifies a combined socio-economic model of renewable energy adoption. Partial least squares structural equation modeling (PLS-SEM) was used to analyze a cross-sectional survey of 426 owners and managers of manufacturing SMEs in Bangladesh’s textile and food processing sub-sectors. Findings: Four out of five hypothesized direct relationships were supported. The most important drivers were environmental orientation (β = 0.467, p < 0.001, f2 = 0.413), market competitiveness (β = 0.287, p < 0.001, f2 = 0.413), policy and institutional factors (β = 0.211, p < 0.001, f2 = 0.413), and access to finance (β = 0.096, p = 0.004). Perceptions of cost did not become significant (β= −0.036, p = 0.279). Top management support significantly and negatively moderated the relationship between environmental orientation and adoption (β = −0.093, p = 0.003), possibly because it moderates the substitution mechanism in SME decision-making, which is highly centralized. The model accounted for 64.5% of the variation in renewable energy adoption (R2 = 0.645). Conclusion: The results show that attitudinal and institutional factors tend to be more important than financial barriers in determining SMEs’ energy transitions. Environmental consciousness, market incentives, and streamlined institutional access should be the focus of policy interventions to hasten inclusive low-carbon transitions in emerging manufacturing economies. Full article
(This article belongs to the Special Issue Energy Sustainability in the 21st Century)
Show Figures

Figure 1

18 pages, 3941 KB  
Article
Biodecolorization and Biodegradation of Methyl Red by Halophilic Klebsiella aerogenes WH2
by Ruiping Wang, Haoxiong Li, Xiaoyi Ding, Yue Zhang, Zeyu Chen, Yiting Wang, Fangkui Wang and Yin Zhou
Microorganisms 2026, 14(4), 864; https://doi.org/10.3390/microorganisms14040864 (registering DOI) - 11 Apr 2026
Abstract
The textile industry wastewater contaminated by azo dyes usually contains a certain amount of salinity. Therefore, screening for microorganisms capable of degrading azo dyes in saline environments is of great significance. In this study, the decolorizing activity of azo dye methyl red (MR) by [...] Read more.
The textile industry wastewater contaminated by azo dyes usually contains a certain amount of salinity. Therefore, screening for microorganisms capable of degrading azo dyes in saline environments is of great significance. In this study, the decolorizing activity of azo dye methyl red (MR) by Klebsiella aerogenes WH2 (WH2), newly isolated from soil, was evaluated. WH2 was able to decolorize 92.4% and 86.0% of MR at concentrations of 200 mg/L and 300 mg/L within 24 h, respectively. Given that WH2 exhibited enhanced growth and superior degradation capacity in the presence of 2.5% NaCl compared to salt-free conditions, it can be classified as a slight halophile. Approximately 87.7% of MR was removed by WH2 in the presence of 10.0% NaCl within 24 h. Azoreductase activity assays indicated that WH2 retained higher enzyme activity in the presence of NaCl concentrations not exceeding 7.5%. The degradation products and putative metabolic pathways for MR degradation by WH2 were analyzed using FTIR and LC-MS. Phytotoxicity analysis based on seed germination of Vigna radiata indicated that the degradation products of MR exhibited less toxicity than the parent compound. The high degradation efficiency of MR under high salt concentrations makes WH2 a promising candidate for the treatment of saline textile wastewater. Full article
(This article belongs to the Section Microbial Biotechnology)
Show Figures

Figure 1

22 pages, 8129 KB  
Article
High-Performance Flexible Nanocomposite Networks Based on Grafted Chitosan–PANI for Flexible Electronics
by Haythem Nafati, Yousra Litaiem, Idoumou Bouya Ahmed, Karim Choubani, Barbara Ballarin, Mohammed A. Almeshaal, Mohamed Ben Rabha and Wissem Dimassi
Crystals 2026, 16(4), 255; https://doi.org/10.3390/cryst16040255 (registering DOI) - 11 Apr 2026
Abstract
In the pursuit of sustainable and flexible electronics, polymer-based conductive films offer a promising solution due to their biodegradability, mechanical flexibility, and cost-effective fabrication. This study presents the development of a highly conductive and flexible nanocomposite material based on polyaniline-grafted chitosan (PANI-g-Chs) and [...] Read more.
In the pursuit of sustainable and flexible electronics, polymer-based conductive films offer a promising solution due to their biodegradability, mechanical flexibility, and cost-effective fabrication. This study presents the development of a highly conductive and flexible nanocomposite material based on polyaniline-grafted chitosan (PANI-g-Chs) and Vinavil (Vi, a vinyl glue specifically designed for enhancing the sealability of textiles and paper), serving as a matrix for applications in flexible electronics. The PANI-g-Chs nanocomposite was synthesized via in situ oxidative polymerization, where chitosan nanoparticles (Chs) served as a stabilizing template to prevent PANI aggregation, reducing the particle size from 1700 nm (pristine PANI) to 180 nm (PANI-g-Chs). The resulting composite exhibited exceptional electrical conductivity (77.79 S/m at 25 wt% PANI-g-Chs). Hall effect measurements showed that the carrier mobility increased up to 1162.7 cm2/V·s and the carrier density rose to 6.5.1017 cm−3, confirming efficient charge transport and network formation. Mechanical analysis revealed a 300% increase in the storage modulus for PANI-g-Chs, and thermal studies confirmed stability up to 300 °C. Optical characterization showed a reduced bandgap (3.6 eV) and extended π-conjugation, which are critical for optoelectronic applications. Application tests demonstrated stable conductivity under mechanical deformation, highlighting the material’s potential for use in flexible electronics, sensors, and sustainable conductive coatings. This work offers a viable alternative to conventional conductive polymers. Full article
(This article belongs to the Section Organic Crystalline Materials)
Show Figures

Figure 1

23 pages, 7710 KB  
Article
Washability and Electrical Performance Evaluation of Jacquard Conductive Knitted Fabrics Based on Fuzzy Comprehensive Assessment
by Su Liu, Wei Wang, Hui Yang and Jun Wu
Polymers 2026, 18(8), 934; https://doi.org/10.3390/polym18080934 - 10 Apr 2026
Abstract
This study presents a systematic evaluation of 2-layer conductive Jacquard knitted fabrics with a birdseye backing designed for wearable electronic applications. Three sets of samples with 9 different proportions of conductive yarn (27 samples) are designed on a computerized flat-knitting machine, and three [...] Read more.
This study presents a systematic evaluation of 2-layer conductive Jacquard knitted fabrics with a birdseye backing designed for wearable electronic applications. Three sets of samples with 9 different proportions of conductive yarn (27 samples) are designed on a computerized flat-knitting machine, and three indicators (conductive yarn usage ratio, resistance change ratio after washing, and temperature variation) are examined. The 2-layer Jacquard structure enables conductive yarns to form loops on both the technical face and back, thus producing continuous and interlocked conductive pathways. The experimental results show that the proportions of pattern dots for the conductive yarns determine the amount of conductive yarn used in a 2-layer Jacquard structure with the same technical parameters. For the samples with 10–90% pattern dots, the conductive yarn consumption ratio ranges from 34.80% to 65.18%. After 10 washes, resistance change ratio ranges from 27.66~55.54%, which show a moderate electrical stability. After 10 washes, the heating temperature increases by 15.6 to 19.67 °C, which show good thermal properties. Finally, a fuzzy logic evaluation is conducted with objective indicator weights. The findings provide quantitative evidence for the material–structure integration of conductive knitted textiles and support their potential for applications in next-to-skin smart garments. Full article
(This article belongs to the Section Polymer Analysis and Characterization)
Show Figures

Figure 1

20 pages, 1733 KB  
Article
High-Performance PA6 Composites Reinforced with Recycled Aramid Fibers from Firefighter Protective Clothing
by Joaquín Marco-Sanjuan, Carlos Lazaro-Herdez, Mario Miranda-Pinzon and Octavio Fenollar
Polymers 2026, 18(8), 931; https://doi.org/10.3390/polym18080931 - 10 Apr 2026
Abstract
The recycling of technical textile waste represents a major challenge due to the complex and multilayered structure of these materials. Firefighter protective clothing, mainly composed of high-performance aramid fibers combined with polymeric membranes and auxiliary textile components, is commonly landfilled or incinerated at [...] Read more.
The recycling of technical textile waste represents a major challenge due to the complex and multilayered structure of these materials. Firefighter protective clothing, mainly composed of high-performance aramid fibers combined with polymeric membranes and auxiliary textile components, is commonly landfilled or incinerated at the end of its service life, resulting in a significant environmental impact. This work utilized recycled aramid-rich textile waste obtained from end-of-life firefighter protective clothing as reinforcement for polyamide 6 to develop high-performance thermoplastic composites within a circular economy framework. Composites containing 15, 30, 45, and 60 wt.% of recycled textile waste were manufactured by melt compounding followed by injection molding. In addition, a selected formulation containing 30 wt.% reinforcement was compatibilized using an amino-functional silane to improve interfacial adhesion. The materials were systematically characterized in terms of tensile properties, thermal behavior, thermomechanical performance, water uptake, flammability, colorimetric properties, and fracture morphology by field emission scanning electron microscopy. The results revealed a pronounced increase in stiffness and thermomechanical stability, with tensile strength increasing from approximately 65 MPa for neat PA6 up to 78 MPa at 30 wt.% reinforcement, and elastic modulus exceeding 5000 MPa at high reinforcement contents. An optimal balance between mechanical performance and ductility was achieved at 30 wt.% reinforcement, while higher contents enabled a substantial extension of the service temperature range, with HDT values increasing from 55 °C for neat PA6 up to 173 °C for highly reinforced systems. FESEM analysis confirmed improved interfacial adhesion in silane-compatibilized systems, explaining the enhanced mechanical and thermomechanical behavior. Furthermore, the incorporation of recycled aramid-rich textile waste led to a significant improvement in flame retardancy, enabling UL-94 V-0 classification at 30 wt.% reinforcement and above, without the use of additional flame-retardant additives, enabling UL-94 V-0 classification without additional flame-retardant additives. Overall, this study demonstrates the technical feasibility and high added-value potential of valorizing firefighter protective clothing waste into advanced PA6-based composites with enhanced mechanical, thermal, and fire-resistant properties, providing a sustainable route for the valorization of high-performance textile waste. Full article
(This article belongs to the Special Issue Polymer Composites for Smart and Eco-Friendly Systems)
Show Figures

Graphical abstract

27 pages, 6782 KB  
Article
Development and Evaluation of a Data Glove-Based System for Assisting Puzzle Solving
by Shashank Srikanth Bharadwaj, Kazuma Sato and Lei Jing
Sensors 2026, 26(8), 2341; https://doi.org/10.3390/s26082341 - 10 Apr 2026
Viewed by 53
Abstract
Many hands-on tasks remain difficult to fully automate because they require human dexterity and flexible object handling. Data gloves offer a promising interface for sensing hand–object interactions, but most prior systems focus on gesture recognition or object classification rather than closed-loop, step-by-step task [...] Read more.
Many hands-on tasks remain difficult to fully automate because they require human dexterity and flexible object handling. Data gloves offer a promising interface for sensing hand–object interactions, but most prior systems focus on gesture recognition or object classification rather than closed-loop, step-by-step task guidance. In this work, we develop and evaluate a tactile-sensing operation support system using an e-textile data glove with 88 pressure sensors, a tactile pressure sheet for placement verification, and a GUI that provides step-by-step instructions. As a core component, a CNN classifies the grasped state as bare hand or one of four discs with 93.3% accuracy using 16,175 training samples collected from five participants. In a user study on the Tower of Hanoi task as a controlled proxy for multi-step manipulation, the system reduced mean solving time by 51.5% (from 242.6 s to 117.8 s), reduced the number of disc movements (35.4 to 15, about 20 fewer moves on average), and lowered perceived workload (NASA-TLX) by 53.1% (from 68.5 to 32.1), while achieving a SUS score of 75. These results demonstrate the feasibility of tactile-based step verification and guidance in a controlled multi-step task; broader generalization requires evaluation with larger and more diverse participant groups and tasks. Full article
(This article belongs to the Section Intelligent Sensors)
Show Figures

Figure 1

22 pages, 5238 KB  
Review
Recent Progress in Polyamide Recycling for Sustainable Circular Economy
by Yahui Liu, Zixin Qi, Jiaxing Zhang, Mengfan Wang, Shengping You and Wei Qi
Catalysts 2026, 16(4), 340; https://doi.org/10.3390/catal16040340 - 9 Apr 2026
Viewed by 232
Abstract
Polyamide (PA) is widely used as a high-performance engineering thermoplastic in automotive components and textiles, due to its superior mechanical strength and chemical resistance. However, the increase in PA waste has posed significant challenges to resource sustainability and environmental protection. Despite breakthrough development [...] Read more.
Polyamide (PA) is widely used as a high-performance engineering thermoplastic in automotive components and textiles, due to its superior mechanical strength and chemical resistance. However, the increase in PA waste has posed significant challenges to resource sustainability and environmental protection. Despite breakthrough development achieved in PA recycling, key barriers remain in process scale-up and high-value recovery. This review examines the current state of PA recycling, analyzing the research prospects of mechanical and chemical recycling from economic feasibility and environmental impact. We present discussions on innovative recycling approaches for PA, including upcycling, molecular design of novel PA derivatives, chemo-biological coupling and solvent-based recovery, offering potential solutions to the sustainable circular economy and green cycles. Finally, by presenting case studies, we highlight pathways toward future innovation that inform industrial-scale implementation. Full article
Show Figures

Figure 1

28 pages, 10594 KB  
Article
Structure–Property Relationships in Periodate Oxidized Cotton Fabrics: Role of Textile Pretreatments
by Romeo Pruneanu, Melinda Pruneanu, Stelian Sergiu Maier, Vasilica Popescu, Vasilica Maier, Viorica Vasilache, Daniel Timpu and Diana Elena Ciolacu
Textiles 2026, 6(2), 45; https://doi.org/10.3390/textiles6020045 - 9 Apr 2026
Viewed by 64
Abstract
This study investigates the influence of conventional textile pretreatment and periodate oxidation parameters on the structural modifications and functional properties of woven cotton fabrics. Unlike most studies focused on cellulose pulps or isolated textile fibers, the present work examines how the initial structural [...] Read more.
This study investigates the influence of conventional textile pretreatment and periodate oxidation parameters on the structural modifications and functional properties of woven cotton fabrics. Unlike most studies focused on cellulose pulps or isolated textile fibers, the present work examines how the initial structural state of the textile substrate, determined by its pretreatment history, governs the oxidation pathways. Cotton fabrics were subjected to alkaline scouring (SC), hydrogen peroxide bleaching (BC), and combined scouring–bleaching (SBC), followed by sodium periodate oxidation under controlled conditions. Carbonyl species were quantified analytically and identified by ATR-FTIR spectroscopy, while structural changes were evaluated by X-ray diffraction (XRD). Mechanical properties were assessed using the normalized parameters (Fa/Fa0 and E/E0), hydrophilicity by water absorption capacity (WAC), and optical stability by the yellowness index (YI). The results demonstrated that the pretreatments influence the oxidant accessibility and the balance between carbonyl speciation. XRD analysis shows a moderate decrease in crystallinity, indicating partial preservation of the crystalline domains, whereas mechanical properties decrease significantly (35–65%), concomitant with a 25–45% reduction in WAC. These results suggest that the impairment in mechanical and hydrophilic properties is primarily governed by localized C2–C3 bond scission, secondary oxidative reactions, and supramolecular rearrangements, rather than by bulk crystalline loss. The oxidized SC series exhibits higher YI values associated with an increased free aldehyde content, while the BC and SBC fabrics show improved optical stability. Overall, these results demonstrate that pretreatment history governs periodate oxidation pathways and establishes clear structure–property relationship relevant for the controlled functionalization of woven cotton fabrics. Full article
Show Figures

Graphical abstract

21 pages, 17337 KB  
Article
Comparative Life Cycle Assessment of Acid-Activated Hydrochar Under Different Feedstocks
by Luisa F. Medina-Ganem, Neali Valencia-Espinoza, Eduardo Bautista-Peñuelas, Raul E. Medina-Ganem, Alejandro Vega-Rios, Manuel I. Peña-Cruz, Erick R. Bandala, Alberto Quevedo-Castro, Martin Pacheco-Álvarez and Oscar M. Rodriguez-Narvaez
Processes 2026, 14(8), 1200; https://doi.org/10.3390/pr14081200 - 9 Apr 2026
Viewed by 100
Abstract
Hydrothermal carbonization (HTC) of agricultural waste is a promising waste management technique. However, the use of different raw materials may produce hydrochars with varying efficiencies, both in yield and application, and environmental impacts, due to differences in composition and required processing conditions. To [...] Read more.
Hydrothermal carbonization (HTC) of agricultural waste is a promising waste management technique. However, the use of different raw materials may produce hydrochars with varying efficiencies, both in yield and application, and environmental impacts, due to differences in composition and required processing conditions. To understand the influence of biomass type and acid-assisted HTC conditions, this study used sugarcane and agave bagasse to produce functionalized hydrochars and evaluated them for the removal of Reactive Orange 84; an azo dye used in the textile industry. Material characterization was performed using FT-IR, TGA, BET, and XRD analyses. In addition, a life cycle assessment was conducted to evaluate environmental impacts associated with hydrochars produced using H2SO4 at concentrations of 0.2 and 0.5 M. TGA and XRD results indicate that agave bagasse hydrochars (HBA) retain more crystalline lignocellulosic structures, whereas sugarcane bagasse hydrochars (HBS) exhibit predominantly amorphous structures after HTC. FT-IR analysis confirmed the presence of –SO3H functional groups; however, HBA samples showed greater availability of these groups with increasing acid concentration. Adsorption experiments and LCA results demonstrated that the most favorable treatment, in terms of emission reduction and dye removal, was agave bagasse functionalized with 0.5 M H2SO4, achieving 75.7% mass yield and 94.5% dye removal. Full article
(This article belongs to the Special Issue Agro-Food Waste Applying Sustainable Processes)
18 pages, 4911 KB  
Article
Multimodal Surgical Management of Stage 1a/1b PCFD (Stage II AAFD): Early Outcomes of a Standardized Four-in-One Procedure Protocol
by Yu Ting Chen, Cing Syue Lin, Shou En Cheng, Shang Ming Lin and Tsung Yu Lan
Diagnostics 2026, 16(8), 1124; https://doi.org/10.3390/diagnostics16081124 - 9 Apr 2026
Viewed by 171
Abstract
Background/Objectives: Progressive collapsing foot deformity (PCFD) is driven by multiplanar peritalar instability. This study evaluated the clinical and radiographic outcomes of a standardized four-component reconstruction protocol designed to facilitate immediate postoperative weight-bearing in Stage 1a/1b PCFD. Methods: This single-center retrospective study included 20 [...] Read more.
Background/Objectives: Progressive collapsing foot deformity (PCFD) is driven by multiplanar peritalar instability. This study evaluated the clinical and radiographic outcomes of a standardized four-component reconstruction protocol designed to facilitate immediate postoperative weight-bearing in Stage 1a/1b PCFD. Methods: This single-center retrospective study included 20 patients treated between 2015 and 2023 with medializing calcaneal osteotomy, spring ligament repair, flexor digitorum longus (FDL) tendon transfer with internal brace augmentation, and subtalar arthroereisis. Clinical (VAS, AOFAS) and radiographic parameters (anteroposterior and lateral Meary angles, calcaneal pitch, and talonavicular coverage angle) were assessed longitudinally, with subgroup analysis comparing implant removal versus retention. Results: The protocol yielded significant overall improvements. Mean VAS decreased by 4.37 points (p < 0.001), and final AOFAS reached 84.7 ± 7.6 at the final follow-up. Although subtalar arthroereisis was removed in 45% of patients due to symptomatic irritation, subgroup analysis revealed no significant loss of radiographic correction (p > 0.05). Notably, a significant interaction effect was observed for VAS scores (p = 0.002) and AOFAS scores (p = 0.041), with the removal group demonstrating a pronounced functional recovery trajectory following explantation. No major complications occurred. Conclusions: A standardized four-in-one reconstruction provides reliable multiplanar correction in Stage 1a/1b PCFD. The maintenance of structural alignment despite a high implant removal rate supports the role of arthroereisis as a temporary but valuable adjunct for early mobilization. This strategy offers a reproducible framework for joint-preserving PCFD management. Full article
Show Figures

Graphical abstract

20 pages, 1917 KB  
Article
EvoDeep-Quality: A Closed-Loop Hybrid Framework Integrating CNN-LSTM and NSGA-III for Adaptive Quality Optimization in Smart Manufacturing
by Shaymaa E. Sorour and Ahmed E. Amin
Sustainability 2026, 18(8), 3679; https://doi.org/10.3390/su18083679 - 8 Apr 2026
Viewed by 148
Abstract
This study proposes EvoDeep-Quality, a closed-loop hybrid framework integrating deep learning-based perception with multi-objective evolutionary optimization for adaptive quality control in smart manufacturing. The architecture combines a CNN-LSTM network for real-time spatiotemporal quality prediction with an NSGA-III-based optimization unit to balance conflicting objectives [...] Read more.
This study proposes EvoDeep-Quality, a closed-loop hybrid framework integrating deep learning-based perception with multi-objective evolutionary optimization for adaptive quality control in smart manufacturing. The architecture combines a CNN-LSTM network for real-time spatiotemporal quality prediction with an NSGA-III-based optimization unit to balance conflicting objectives of quality, cost, and energy efficiency. A continuous adaptive learning loop addresses concept drift and process variability. Evaluated on an industrial-inspired synthetic dataset of textile blends (N = 5000) and validated on the real-world SECOM semiconductor manufacturing dataset, the framework demonstrates strong predictive capability (R2 = 0.947 ± 0.012, MAE = 0.035 ± 0.003) and significant manufacturing performance improvements, including a 23.5% quality enhancement and an 8.7–12.3% operational cost reduction compared to traditional and standalone AI models. Statistical significance testing (paired t-test, p < 0.01) confirms the superiority of the proposed approach. This deep-evolutionary framework advances proactive quality assurance and adaptive process control, offering a scalable solution aligned with Industry 4.0 and 5.0 paradigms. Full article
Show Figures

Figure 1

17 pages, 6791 KB  
Article
Characterization of Economic Activities in the Tecolutla River Basin, Mexico: A Focus on the Risk of Microplastics in the Production Chain
by Bertha Moreno-Rodríguez, Yodaira Borroto-Penton, Luis Alberto Peralta-Pelaez, Gustavo Martínez-Castellanos, Carolina Peña-Montes and Humberto Raymundo González-Moreno
Microplastics 2026, 5(2), 69; https://doi.org/10.3390/microplastics5020069 - 8 Apr 2026
Viewed by 151
Abstract
The study of river basins is key to understanding the dynamics of microplastic (MPs) generation, transport, and accumulation in regions where various productive activities converge and waste management is limited. The objective of this study was to characterize economic activities in the Tecolutla [...] Read more.
The study of river basins is key to understanding the dynamics of microplastic (MPs) generation, transport, and accumulation in regions where various productive activities converge and waste management is limited. The objective of this study was to characterize economic activities in the Tecolutla River basin, Mexico, to identify risk factors associated with MPs generation and release throughout the production chain. A descriptive applied research study was conducted using a structured questionnaire administered to 19 economic units distributed across seven municipalities in the Tecolutla River basin, Veracruz, Mexico. The instrument allowed for the evaluation of the use of plastic materials in inputs, production processes, final products, and waste management practices. Among the economic units analyzed (n = 19), 94.7% reported the use of polymeric materials, with a predominance of thermoplastics such as polyethylene terephthalate (PET), polyvinyl chloride (PVC), and polypropylene (PP), which have a high potential for secondary fragmentation. Within the tertiary sector, accommodation and food preparation services account for the highest proportion of units with limited separation and recycling practices. Activities in the secondary sector, especially the textile and construction industries, showed a high potential for releasing this pollutant due to the use of synthetic fibers, composite materials, and the absence of retention systems. The results provide a basis for the design of mitigation strategies targeting priority productive sectors at the watershed scale. Full article
Show Figures

Figure 1

30 pages, 28721 KB  
Article
Dual-Arm Robotic Textile Unfolding with Depth-Corrected Perception and Fold Resolution
by Tilla Egerhei Båserud, Joakim Johansen, Ajit Jha and Ilya Tyapin
Robotics 2026, 15(4), 78; https://doi.org/10.3390/robotics15040078 - 8 Apr 2026
Viewed by 227
Abstract
Reliable textile recycling requires automated unfolding to expose hidden hard components such as zippers, buttons, and metal fasteners, which otherwise risk damaging machinery and compromising downstream processes. This paper presents the design and implementation of an automated textile unfolding system based on a [...] Read more.
Reliable textile recycling requires automated unfolding to expose hidden hard components such as zippers, buttons, and metal fasteners, which otherwise risk damaging machinery and compromising downstream processes. This paper presents the design and implementation of an automated textile unfolding system based on a dual-arm robotic manipulation framework. The system uses two Interbotix WidowX 250s 6-DoF robotic arms and an Intel RealSense L515 LiDAR camera for visual perception. The unfolding process consists of three stages: initial dual-arm stretching to reduce major folds, refinement through a second stretch targeting the lower region, and a machine-learning stage that employs a YOLOv11 framework trained on depth-encoded textile images, followed by a depth-gradient-based estimator for fold direction. The system applies an extremity-based grasping strategy that selects leftmost and rightmost textile points from a custom error-corrected depth map, enabling robust grasp point selection, and a fold direction estimation method based on depth gradients around the detected fold. The most confident fold region is selected, an unfolding direction is determined using depth ranking, and the textile is manipulated until a flat state is confirmed through depth uniformity. Experiments show that depth correction significantly reduces spatial error in the robot frame, while segmentation and extremity detection achieve high accuracy across varied fold configurations, and the YOLOv11n-based model reaches 98.8% classification accuracy, while fold direction is estimated correctly in 87% of test cases. By enabling robust, largely autonomous textile unfolding, the system demonstrates a practical approach that could support safer and more efficient automated textile recycling workflows. Full article
(This article belongs to the Section Sensors and Control in Robotics)
Show Figures

Figure 1

30 pages, 1363 KB  
Review
Engineered Biochar for the Sequestration of Textile Fibrous Microplastics: From Mechanistic Insights to Rational Functional Design
by Kiara Cruz and Simeng Li
C 2026, 12(2), 31; https://doi.org/10.3390/c12020031 - 7 Apr 2026
Viewed by 308
Abstract
Microplastic pollution has emerged as a major environmental concern due to its persistence, widespread distribution and potential risks to ecosystems and human health. Among the various types of microplastics, fibrous microplastics (FMPs) account for 60% to 90% of all detected microplastic particles in [...] Read more.
Microplastic pollution has emerged as a major environmental concern due to its persistence, widespread distribution and potential risks to ecosystems and human health. Among the various types of microplastics, fibrous microplastics (FMPs) account for 60% to 90% of all detected microplastic particles in surface waters, primarily originating from synthetic textile production, laundering, and wastewater discharge. Their elongated morphology, high aspect ratio, and complex surface chemistry differentiate them significantly from microplastic fragments or beads, creating unique challenges for effective removal in water treatment systems. In recent years, engineered biochar has attracted increasing attention as a promising and sustainable material for microplastic removal due to tunable pore structure, surface chemistry, and adsorption capacity. However, existing reviews largely discuss microplastic removal in general terms, with limited attention to the distinctive properties of textile FMPs and their implications for biochar design and performance. This review provides a comprehensive and focused analysis of the functional characteristics of biochar that enable the effective removal of textile FMPs in water systems. First, the environmental significance and physicochemical characteristics of textile-derived FMPs are summarized. Next, the major mechanisms governing biochar–microplastic interactions, including physical interception, adsorption, and aggregation processes, are discussed. The review then examines key functional characteristics of engineered biochar, such as pore structure, surface functional groups, hydrophobicity, and composite modifications, that enhance the sequestration of FMPs. Finally, current technological challenges, research gaps, and future directions for developing scalable biochar-based solutions for textile microplastic mitigation are discussed. By linking the unique properties of textile FMPs with the functional design of biochar, this review provides a framework to guide the development of more effective and sustainable treatment strategies for reducing microplastic contamination in aquatic environments. Full article
(This article belongs to the Topic Converting and Recycling of Waste Materials)
Show Figures

Graphical abstract

Back to TopTop